Digestive System PATHO Flashcards

(322 cards)

1
Q

Read the following list of esophageal pathologies:

A
  1. Esophageal Atresia
  2. Tracheoesophageal Fistula
  3. Gastroesophageal Reflux
  4. Achalasia
  5. Esophageal Cancer
  6. Esophageal Varices
  7. Esophageal Diverticuli
    Zenker’s diverticulum
How well did you know this?
1
Not at all
2
3
4
5
Perfectly
2
Q

What is Esophageal Atresia? What is it often asosiated with?

A

-Congenital absence or closure of the esophagus
-Often associated with tracheoesophageal fistulas

How well did you know this?
1
Not at all
2
3
4
5
Perfectly
3
Q

What is the main risk of Esophageal Atresia?

A

Aspiration Risk

How well did you know this?
1
Not at all
2
3
4
5
Perfectly
4
Q

What treatment is needed for esophageal Atresia?

A

Immediate surgery required after birth

How well did you know this?
1
Not at all
2
3
4
5
Perfectly
5
Q

What does Atresia mean?

A

Hasn’t formed properly and ends in a pouch

How well did you know this?
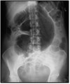
1
Not at all
2
3
4
5
Perfectly
6
Q

What does Fistula mean?

A

Abnormal connection between two things

How well did you know this?
1
Not at all
2
3
4
5
Perfectly
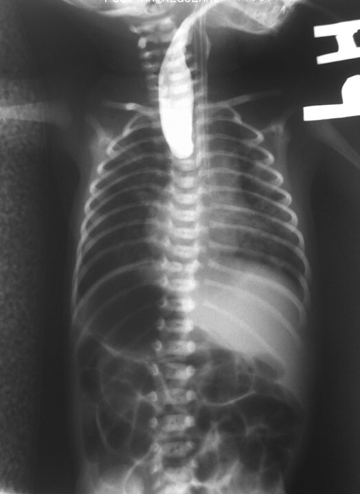
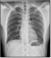
7
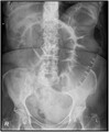
Q

What pathology is shown here?

A

Esophageal Atresia

How well did you know this?
1
Not at all
2
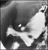
3
4
5
Perfectly
8
Q

What is Tracheoesophageal Fistula? What is this often assosiated with?

A

-Abnormal connection between the trachea and esophagus
-Associated with Esophageal Atresia

How well did you know this?
1
Not at all
2
3
4
5
Perfectly
9
Q

What are the 2 causes of Tracheoesophageal Fistula?

A
  1. Congenital
  2. Acquired (malignancy, trauma, infectious process)
How well did you know this?
1
Not at all
2
3
4
5
Perfectly
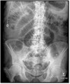
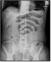
10
Q

Which of these is most common?

A

Atresia with proximal fistula (B)

How well did you know this?
1
Not at all
2
3
4
5
Perfectly
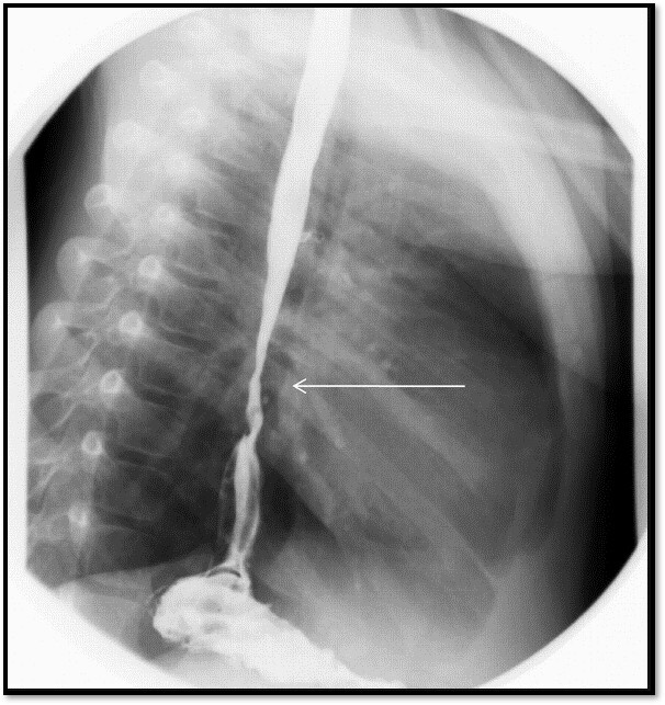
11
Q

What pathology is shown here?

A

Tracheaoesophageal fistula

How well did you know this?
1
Not at all
2
3
4
5
Perfectly
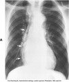
12
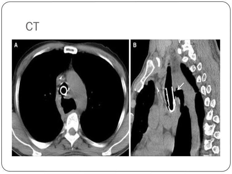
Q

What are the white arrows pointing to?

A

The airway

How well did you know this?
1
Not at all
2
3
4
5
Perfectly
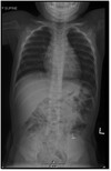
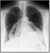
13
Q

What pathology is seen here?

A

Tracheoesophageal Fistula

How well did you know this?
1
Not at all
2
3
4
5
Perfectly
14
Q

What are the radiographic signs of a Tracheoesophageal Fistula?

A

-Connection of the fistula between airway and esophagus
-Large dilation of the esophagus

How well did you know this?
1
Not at all
2
3
4
5
Perfectly
15
Q

What is Gastroesophageal Reflux (GERD)

A

Stomach acid refluxes into esophagus

How well did you know this?
1
Not at all
2
3
4
5
Perfectly
16
Q

What are 3 possible complications of Gastroesophageal Reflux (GERD)?

A
  1. Esophagitis
  2. Strictures; narrowing of the lumen (thicker walls of esophagus)
  3. Barrett’s Esophagus (specific)
How well did you know this?
1
Not at all
2
3
4
5
Perfectly
17
Q

What is this describing?

Premalignant diagnosis in which the esophagus changes to become more like the stomach. The Squamous lining replaced by columnar epithelius.

A

Barrett’s Esophagus

How well did you know this?
1
Not at all
2
3
4
5
Perfectly
18
Q

What foods should a patient with GERD avoid? Why?

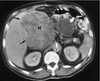
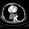
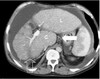
A

Avoid chocolate, caffeine, alcohol because that relaxes the sphincter

How well did you know this?
1
Not at all
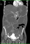
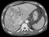
2
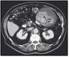
3
4
5
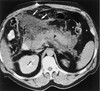
Perfectly
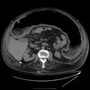
19
Q

T/F

A Sliding hernia can cause GERD.

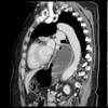
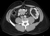
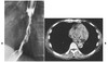
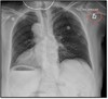
A

True

How well did you know this?
1
Not at all
2
3
4
5
Perfectly
20
Q

What imaging is done to diagnose GERD?

A

Barium Swallow
(Using Valsalva maneuver, Toe Touch and Compression Paddle)

How well did you know this?
1
Not at all
2
3
4
5
Perfectly
21
Q

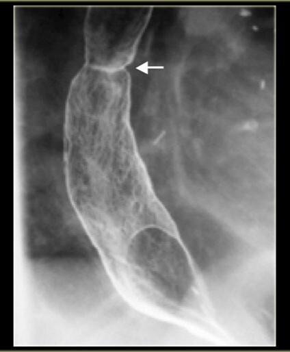
What pathology is seen here?

A

GERD stricture

-Damage to the walls
-Inflammation

How well did you know this?
1
Not at all
2
3
4
5
Perfectly
22
Q

What pathology is seen here?

A

GERD; Barretts esophagus

How well did you know this?
1
Not at all
2
3
4
5
Perfectly
23
Q

What patholgy is seen here?

A

Gastroesophageal Reflux (GERD)

How well did you know this?
1
Not at all
2
3
4
5
Perfectly
24
Q

What is Achalasia?

A

Functional obstruction of distal esophagus and incomplete relaxation of lower esophageal sphincter

-Not enough nerve cells going to the distal part of the esophagus stopping it from relaxing causing a stricture
-Compared to normal structure, area proximal is very big

How well did you know this?
1
Not at all
2
3
4
5
Perfectly
25
What physical symptom is seen with Achalasia?
Dysphagia (Difficulty swallowing)
26
What are the radiographic signs of Achalasia?
1. Acute tapering of the distal esophagus-“Bird’s Beak” or “Rat’s Tail” | . Proximal to the diseased area is dilated ## Footnote . Proximal to the diseased area is dilated 3. Tortuous, structure pushed out to the side
27
What pathology is seen here?
Achalasia
28
What pathology is seen here?
Achalasia
29
What pathology is seen here?
Achalasia
30
What pathology is seen here?
Achalasia
31
What is the most common site for Esophageal Cancer?
GE junction
32
What are the 2 types of Esophageal Cancer?
1. Squamous Cell Carcinoma 2. Adenocarcinoma
33
What is the cause of Squamous Cell Carcinoma of the esophagus?
Excessive alcohol or smoking
34
What is the cause of Adenocarcinoma of the esophagus?
Long-term acid reflux
35
What are the four physical signs of Esophageal Cancer?
1. Progressive dysphagia (over time it gets harder to swallow) 2. Hematemesis (vomiting of blood) 3. Hoarseness (esophagus makes it harder to talk) 4. Weight loss
36
What imaging is the best to evaluate esophageal cancer?
Endoscopy is the best to evaluate
37
What modality is best to evaluate esophageal cancer metastases?
CT and PET (Double-contrast barium swallow)
38
What are the 3 radiographic signs of esophageal cancer?
1. Irregular stricture with over-hanging shoulders 2. Pre-stricture dilation (cancer is ussually very irregular, overhanging shoulders-like rat bite lesion) 3. Tracheal wall thickening (walls thicker)
39
What are the early signs of esophageal cancer?
Minimal reduction in lumen caliber, plaque-like lesion ## Footnote Filling defect seen
40
What pathology is seen?
Esophageal Cancer ## Footnote Early-plaque like lesion Filling defect seen
41
What pathology is seen here?
Esophageal Cancer
42
What pathology is seen here?
Esophageal Cancer ## Footnote arrow pointing to the lumen (the rest of the area around that is wall thickness), cancer starting to evade the wall
43
What is Esophageal Varices caused by?
Caused by portal hypertension in portal vein
44
What are Esophageal Varices?
Dilated veins in the walls of the esophagus
45
Where do Esophageal Varices ussually appear?
Usually in the distal esophagus
46
What is the risk assosicated with esophageal varices?
Risk of rupture
47
What treatments are offered for esophageal Varices?
1. Blakemore tube inflated inside the stomach and esophagus 2. TIPS (Transjugular Intrahepatic Portosystemic Shunt) -Shunt or bypass around portal vein
48
# T/F Patient has end stage liver disease, and they notice esophageal varacies, prognosis is not good
True
49
What imaging is done for esophageal varicies?
1. Endoscopy 2. Double contrast barium swallow (Valsalva maneuver, supine imaging)
50
What radiographic sign indicates esophageal varices?
Round, filling defects (“Rosary beads”)
51
What pathology is seen here?
Esophageal Varices
52
What pathology is seen here?
Esophageal Varices (severe)
53
What is Esophageal Diverticuli?
Outpouching of the esophageal wall (part of the wall pushing outwards)
54
What 3 things can Esophageal Diverticuli lead to?
1. Dysphagia (trouble swallowing), 2. halitosis (bad breath), 3. aspiration pneumonia (food pushed out and goes into trach)
55
What are the 2 types of Esophageal Diverticuli?
True and False
56
What is true Esophageal Diverticuli?
all layers of the wall out pouch
57
What is false Esophageal Diverticuli?
mucosa and submucosa out pouch
58
What is Zenker’s Diverticula? What type of Esophageal Diverticula is it?
-Type of Esophageal Diverticula on the posterior wall of upper esophagus -False diverticula
59
What pathology is seen here?
Zenker’s Diverticula ## Footnote -Large impact on swallowing
60
What are the four pathologies of the stomach?
1. Hiatal Hernia 2. Hypertrophic Pyloric Stenosis 3. Peptic Ulcer Disease 4. Cancer of the Stomach
61
What is a Hiatal Hernia?
Protrusion of a portion of the stomach into thoracic cavity through the esophageal hiatus
62
What are the 2 types of Hiatal Hernias?
Large and sliding
63
# T/F 50% of the population gets a hernia at some point
True
64
What is the risk of a large Hiatal Hernia?
Risk of volvulus
65
Where is a large hiatal hernia located?
Portion of stomach in thoracic cavity
66
What type of hernia is more common?
Sliding
67
When does a sliding hernia appear?
Emerges with pressure differences ## Footnote Not permently there
68
What sign indicated a hiatus hernia?
3 gastric folds above the hiatus indicates hiatal hernia
69
What pathology is shown here?
Hiatal Hernia | Air bubble and enlarged heart shadow
70
What pathology is shown here?
Hiatal Hernia
71
What pathology is shown here?
Hiatal Hernia
72
What pathology is shown here?
Hiatal Hernia
73
What age is Hypertrophic Pyloric Stenosis most common in?
Pediatrics
74
# What pathology is this describing? Hypertrophy and hyperplasia of the muscular layers of the pylorus
Hypertrophic Pyloric Stenosis
75
What is the cause of Hypertrophic Pyloric Stenosis?
Congenital cause
76
What are the two (non radiographic) signs/symptoms of Hypertrophic Pyloric Stenosis?
1. Projectile vomiting: Causes the milk to come out 2. Palpable olive (can feel the muscular area)
77
What is the modailty of choice for Hypertrophic Pyloric Stenosis? Why? What other modailty is used?
Ultrasound is the modality of choice (because it is non-ionizing and good at showing soft tissue structures of the abdomen) -Fluroscopy is also used
78
What are the ultrasound signs of Hypertrophic Pyloric Stenosis?
Doughnut” or “target” on transverse image (thick wall around pylorus)
79
What are the fluoroscopic radiographic signs of Hypertrophic Pyloric Stenosis?
Elongated pylorus with a thickened wall
80
What pathology is shown here?
Hypertrophic Pyloric Stenosis
81
What pathology is shown here?
Hypertrophic Pyloric Stenosis ## Footnote Lumen almost completely blocked off
82
Hypertrophic Pyloric Stenosis treated?
Fixes surgically once they find it
83
What is an ulcer?
Ulcer: Breakdown of the skin causing an open sore that won’t heal well
84
What are the 2 types of ulcers seen with Peptic Ulcer Disease?
1. Gastric Ulcer 2. Duodenal Ulcer
85
What is the most common type of ulcer with Peptic Ulcer Disease?
Duodenal Ulcer
86
Where are the majority of gastric ulcers?
Majority are along the lesser curvature
87
Where are the majority of duodenal ulcers? What percentage is in this location?
95% occur in the first part of the duodenum (duodenal bulb)
88
# T/F Duodenal ulcers are almost always malignant
False; Duodenal ulcers are almost always benign
89
# T/F Gastric ulcers can only be benign.
False; Can be benign or malignant
90
What are the 3 causes of Peptic Ulcer Disease?
1. Acid and pepsin 2. Bacteria Helicobacter pylori (H pylori) 3. NSAID’s (aspirin, ibuprofen and naproxen)
91
# T/F The radiographic appearance of Peptic Ulcer Disease varies from superficial erosion to pit that perforate through the entire wall
True
92
What is the risk of Peptic Ulcer Disease?
Complications from perforation
93
What are the complications from perforations that occur with Peptic Ulcer Disease?
1. Pneumoperitoneum (“free air”) 2. GI bleed (hematemesis or melena) 3. Gastric Outlet Obstruction-Blocks the flow of food
94
What imaging is best to diagnose Peptic Ulcer Disease?
Endoscopy
95
What imaging is best if there is a perforation or bleed assosiated with Peptic Ulcer Disease?
CT
96
What pathology is shown here?
Peptic Ulcer Disease ## Footnote Pit filled with Barium (notice mucosal folds around it-filling defect)
97
What pathology is shown here?
Peptic Ulcer Disease ## Footnote Flower like appearance-end on view, pit filled with barium, swollen folds of barium around it
98
What pathology is shown here?
Peptic Ulcer Disease ## Footnote -Images to the right=ulcer that has perforated -D=Located in the duodenal bulb -White arrow=Blood -Circled: Free air in the abdomen
99
# T/F The prognosis is fairly good for the cancer of the stomach.
False; Poor prognosis
100
What is the most common type of cancer of the stomach?
Adenocarcinoma
101
What bacteria is cancer of the stomach assosiated with?
Associated with H Pylori Bacteria
102
What type of imaging is best for the diagnosis of cancer of the Stomach?
Endoscopy (+ biopsy)
103
What imaging is best to determine if there is metastases with Cancer of the Stomach?
CT ## Footnote CT good for staging and showing the thick wall
104
What contrast is given in a CT scan for Cancer of the stomach?
Double contrast barium meal
105
What are the two radiographic signs of cancer of the stomach?
1. Fibrotic wall with thickened, narrowed, fixated stomach 2. Polyp-like mass with ulceration (mass coming inward into the lumen)
106
What pathology is shown here?
Cancer of the Stomach
107
What pathology is shown here?
Cancer of the Stomach
108
What pathology is shown here?
Cancer of the Stomach
109
What are the four pathologies of the small bowel?
1. Crohn’s Disease-Can affect entire GI tract, most common in SB 2. Small Bowel Obstruction 3. Adynamic Ileus 4. Intussusception
110
What is another name for Chron's disease?
Regional Enteritis
111
Where does Crohn’s Disease affect the body?
Can affect any part of the GI tract but mostly affects the terminal ileum
112
What type of disorder is Chron's disease?
Idiopathic inflammatory autoimmune disorder
113
What layers of the small bowel does inflammation and edma from Chron's disease affect?
Diffuse inflammation and edema affecting all layers of the wall
114
# T/F With Chron's disease, Ulcerations are common
True
115
What can flare ups from Chron's disease be caused by?
Can be triggered with high amounts of stress
116
What can Chron's disease lead to?
Can lead to small Bowel Obstructions or fistulas | (1/2 of patients with Crohn's experience this)
117
What are 3 symptoms of Chron's disease?
1. Severe abdominal pain 2. Diarrhea 3. Blood in stool
118
What are 3 radiographic x-ray signs of Chron's disease?
1. String Sign”-From inflammation (barium looks like string) 2. “Skip Lesions”-Area that is affected, skips a part of the bowel and will see it again (not big continuous region) 3. “Cobblestone” appearance-Ulcerations appear longitudinal and transverse creating a ribbing pattern
119
What are the CT signs of Chron's disease?
Comb sign in CT-More blood vessels, looks like string
120
What pathology is shown here?
Chron's disease ## Footnote String sign with skip lesions
121
What pathology is shown here?
Chron's diseaes ## Footnote Cobblestone appearance
122
What pathology is shown here?
Chron's disease ## Footnote A: Inflammation at the area of the terminal ileum B: Can appreciate the thickened walls, narrow lumen, looks string like
123
# T/F Small bowel obstructions are more common than large bowel obstructions
True
124
What are the 3 causes of small bowel obstructions?
1. Fibrous Adhesions (surgeries and inflammation) 2. Hernias 3. Neoplasms, Inflammatory lesions, Intussusception
125
What is the 3,6,9 rule?
3-6-9 Rule: Referring to the diameter of the bowels (anything greeter than 3 is SI and 6 in the large intestine, and greater than 9 in cecum we are seeing obstruction
126
# What pathology is this describing? Dilated loops of bowel proximal to obstruction as they fill up with air
Small bowel obstruction
127
How do small bowel obstructions appear radiographically?
-Air/fluid levels on erect or decubitus abdominal images -“Step Ladder” appearance
128
# T/F Small bowel obstructions are more centrally located
True
129
What pathology is seen here?
Small Bowel Obstruction
130
What pathology is shown here?
Small Bowel Obstruction
131
What pathology is shown here?
Small Bowel Obstruction
132
What pathology is shown here?
Small Bowel Obstruction
133
What is the most abdominal wall herniation?
Inguinal Hernias
134
# T/F Inguinal hernias are more common in males
True
135
What are the 2 types of inguinal hernias and where are they located?
Indirect: Lateral Direct: Medial
136
What can inguinal hernias lead to?
Can cause obstruction and ischemia
137
What 3 types of imaging is done for inguinal hernias? What is the 1st choice?
1. Ultrasound-1st choice 2. CT 3. MRI
138
How are inguinal hernias treated?
Treated surgically
139
What pathology is shown here?
Inguinal hernia
140
What pathology is shown here?
Inguinal hernia
141
What pathology is shown here?
Inguinal hernia ## Footnote -Seeing large amount of bowel loops hanging out of inguinal canal
142
What pathology is shown here?
Inguinal hernia ## Footnote Seeing stricture=could cause ischemia and bowel loop prior to stricture very dialted
143
What are the four causes of Adynamic Ileus?
1. Post-op abdominal surgery (36-48 hours) 2. Drugs (Opioids) 3. Peritonitis 4. Sepsis
144
What is the radiographic appearance of Adynamic Ileus?
Distention of both large and small bowel
145
What is the auditory sign of Adynamic Ileus?
Decreased bowel sounds
146
What is Adynamic Ileus?
Paralysis of intestinal motility causing functional obstruction of the GI tract. The bowel loops get dilated
147
What pathology is shown here?
Adynamic Ileus ## Footnote -All throughout the abdomen and pelvis; everything dilated Ignore arrow
148
What is Intussusception?
“Telescoping” of proximal bowel into distal ## Footnote “Pushing one sleeve into the other” -Something catches and doesn’t come back, tangles up on itself
149
Where is the most common place for Intussusception to occur?
More common in small bowel (ileocecal valve)
150
What does Intussusception result in?
Results in small bowel obstruction or ischemic necrosis of bowel wall
151
What age group is Intussusception most common in?
More common in children
152
Why is it better for children to have Intussusception than adults?
It can be reversed easier
153
How can intussusception be reversed in children?
Reduction can be achieved with a barium enema (barium pops it back open)
154
What non radiographic sign is seen with intussusception in children?
“Currant jelly” stool
155
What is the cause of intussusception in adults
Usually a complication of a polyp (bowel moves into it and gets tangled up on it)
156
# T/F Barium enemas cannot resolve intussusception in adults
True ## Footnote Affected bowel is often resected
157
How does intussusception appear in both children and adults in Fluoroscopy?
“Coiled Spring” appearance
158
How does intussusception appear in both children and adults in ultrasound?
“Target” or “Doughnut” sign
159
What pathology is shown here?
Intussusception
160
What pathology is shown here?
Intussusception
161
What pathology is shown here?
Intussusception -Pushing into itself, getting tangled
162
What pathology is shown here?
Intussusception -Bowel loops way wider than they should be, bowel caught on cancer
163
Read over the list of the following pathologies of the colon:
Diverticulitis Volvulus Ulcerative Colitis Toxic Megacolon Primary Colon Carcinoma Large Bowel Obstruction Imperforate Anus
164
What is Diverticulosis?
Outpouching of the mucosa and submucosa through the muscular layer
165
Where does Diverticulosis appear?
Sigmoid colon
166
What is the appearance of Diverticulosis?
“Saw tooth” appearance
167
What is Diverticulitis?
Inflammation in the diverticula and retained trapped fecal material
168
What are the four radiographic appearances of Diverticulitis?
1. Mimics an intramural mass (narrowed lumen) 2. Abscesses/Perforations-GI bleeding 3. Develops fistulas-abnormal connection btwn two structures 4. GI bleeding
169
What pathology is shown here?
Diverticulosis
170
What pathology is shown here?
Diverticulosis ## Footnote Large structure, narrowing the lumen, looks like a mass (not actually colon cancer)
171
What pathology is shown here?
Diverticulosis -Seeing pouches
172
What pathology is shown here?
Diverticulosis -Seeing a case with perforations and free air, see lots of fluid surrounding the walls (lots of inflammation=lots of fluid)
173
What is Volvulus?
Twisting of the bowel on itself-Like a balloon animal
174
Where are the two places where Volvulus appear?
1. Sigmoid colon 2. Cecum
175
What is the radiographic appearance of Volvulus in the cecum?
“Kidney” shaped cecum
176
What is the radiographic appearance of Volvulus in the sigmoid colon
Bird’s beak” appearance (with contrast)
177
Where is the most common location for Volvulus?
Sigmoid colon
178
Where does the lumen taper with Volvulus in the sigmoid colon?
Lumen tapers to the site of the twist
179
# T/F With Volvulus, everything distal becomes dialted
False; Everything proximal becomes dialted
180
Where do sigmoid colon volvulus arise from and what do they appear as?
Inverted U arising from the pelvis (distended)
181
What CT sign is seen with Volvulus?
CT shows whirlpool sign
182
What pathology is shown here?
Volvulus
183
What pathology is shown here?
Volvulus
184
What pathology is shown here?
Volvulus
185
What pathology is shown here?
Volvulus
186
What age is Ulcerative Colitis ussually seen in?
Typical in young adults (15-40)
187
What is Ulcerative Colitis linked to?
Linked to autoimmune or psychogenic factor
188
What is Ulcerative Colitis?
Idiopathic inflammatory disease of the bowel
189
What layers of the colon does Ulcerative Colitis affect?
Usually only the mucosal layer ## Footnote Alternating bouts of remission and relapse
190
What is the risk assosiated with Ulcerative Colitis?
Risk of developing into carcinoma
191
Where does Ulcerative Colitis ussually begin in the colon?
Often begins in rectosigmoid region
192
What is the earliest radiographic sign of Ulcerative Colitis?
Earliest radiographic sign is fine granulations
193
What are the 3 radiographic appearances of Ulcerative Colitis?
1. Large nodular protrusions of mucosa 2. Deep ulcers outlined by intraluminal gas 3. Produces “lead pipe” appearance (loss of haustra-no muscular layers)
194
What pathology is seen here?
Ulcerative Colitis
195
What pathology is seen here?
Ulcerative Colitis -Later stage, seeing complete loss of the haustra (very smooth-lead pipe appearance) -With barium enema, it is usually double contrast
196
What pathology is shown here?
Toxic Megacolon
197
What is toxic megacolon?
Potentially fatal complication of colonic inflammation Usually ulcerative colitis
198
What number from the 369 rule indicates toxic megacolon?
Dilation > 6cm
199
# T/F Toxic megacolon can come from any type of inflection
True
200
What imaging is done for toxic megacolon?
Plain radiograph or CT
201
How does toxic megacolon appear radiographically?
-Loss of haustral markings (not going in as deep as they would) -May include pseudopolyps (not ulcerations)
202
What pathology is shown here?
Toxic Megacolon Circled: Protrusion coming in wards
203
What pathology is shown here?
Toxic Megacolon
204
What age range does Primary Colon Carcinoma ussually affect?
Peak incidence is 50 to 70 years of age
205
What cancer is the largest cause of cancer deaths
Primary Colon Carcinoma
206
Where does Primary Colon Carcinoma appear?
50% in rectum and sigmoid
207
What are the predisposing factors to Primary Colon Carcinoma?
-Long-term ulcerative colitis -Familial polyposis (genetic mutation)
208
What are the two types of familial polyps assosiated with primary colon carcinoma? What are thier differences?
1. Sessile Polyps (have no stalk) Malignant, just bulge out 2. Pedunculated Polyps (have a stalk) Benign-stalk and larger part
209
What is the most typical form of primary colon carcinoma?
Annular Carcinoma
210
What are the radiographic appearances of Primary colon carcinoma?
1. “Apple Core” lesion 2. CT demonstrates a thickened wall
211
What pathology is shown here?
Primary Colon Carcinoma -Small stricture with over hanging shoulder, outer part irregular
212
What pathology is shown here?
Primary Colon Carcinoma -Apple core lesion -Circle: Compression paddle artifact
213
What pathology is shown here?
Primary Colon Carcinoma Arrow: Wall thickened, irregular, coming inwards
214
What are the 3 causes of Large Bowel Obstructions
1. 70% by primary colon cancer 2. Diverticulitis 3. Volvulus
215
What are the 2 radiographic appearances of Large Bowel Obstructions?
1. Peripherally distended bowel proximal to obstruction (may perforate) 2. Collapse of the colon distal to obstruction
216
# T/F Large Bowel Obstruction are less acute and less common than SBO
True ## Footnote Fewer fluid and electrolyte disturbances
217
What pathology is shown here?
Large Bowel Obstruction -Bowel loop coming from the side -Clear obstruction causing the dealation
218
What is Imperforate Anus (Anal Atresia)?
Colon ends in a blind pouch No connection to the outer world for the intestinal tract
219
# T/F Imperforate Anus (Anal Atresia) may include fistulas to urethra or vagina
True
220
How does Imperforate Anus (Anal Atresia) appear radiographically?
Either plain abdomen or invertogram will show dilated bowel loops
221
What is an Invertogram?
Invertogram=Holding the patient upside down (seeing air with no where to go)
222
How is Imperforate Anus (Anal Atresia) treated?
Treated surgically
223
# T/F Imperforate Anus (Anal Atresia) is seen more in children
True
224
What pathology is shown here?
Imperforate Anus (Anal Atresia) Invertogram
225
What pathology is shown here?
Imperforate Anus (Anal Atresia) Invertogram
226
What are the two types of gall bladder diseases?
Cholelithiasis (Gallstones) (Lith-Stones) Acute Cholecystitis
227
What are the two types of Cholelithiasis (Gallstones)?
1. Cholesterol based 2. Pigment (formed from bilirubin)
228
# T/F Cholelithiasis (Gallstones) is more seen in the tropics or Asian countries
True
229
What are the four predispositions to Cholelithiasis (Gallstones)?
1. Family history 2. 40+ 3. Overweight 4. Female
230
Where do gall stones develop?
Develop in ducts (choledocholithiasis) or gall bladder (cholecystolithiasis)
231
What is the modility of choice for gall stones?
Ultrasound
232
What is used to clear out gall stones?
ERCP used to clear the stones from the common bile duct
233
What percentage of gall stones have enough calcium to appear without contrast?
20% contain enough calcium to be seen radiographically
234
# T/F We can use CT with contrast to look at gallstones
True
235
What pathology is shown here?
Cholelithiasis (Gallstones) -Hyperechoic (whiter)
236
What pathology is shown here?
Cholelithiasis (Gallstones) -Hyperechoic (whiter)
237
What pathology is shown here?
Cholelithiasis (Gallstones) -Seeing filling defects and huge blockage in the bile duct
238
What pathology is shown here?
Cholelithiasis (Gallstones) -Seeing filling defects and huge blockage in the bile duct
239
What pathology is shown here?
Acute Cholecystitis
240
What pathology is shown here?
Cirrhosis of the Liver ## Footnote -Not filled arrow: Atrophy of liver -White arrow: Collateral blood flow (blood vessels larger and shunted off to a collateral flow-blood becomes more visible) -Surrounding the abdomen: Ascites
241
What patholgy is shown here?
Fatty liver disease ## Footnote -Tissue not attenuating as well -Tissue very dark, and seeing blood vessels very white (with no contrast in image) -Early stage
242
What pathology is seen here?
Hepatocellular Carcinoma (HPC) ## Footnote Arrow: Border between the tumour and the rest of the liver White arrow: Cyst
243
What pathology is seen here?
Hepatocellular Carcinoma (HPC)
244
What pathology is seen here? Label A-D
Hepatocellular Carcinoma (HPC) -Multiphase study A: Non contrast: Mass is hypodense B: Arterial phase: Aorta bright, tumour enhanced, non uniform enhancement (mish mash) C: Portal venous phase D: Delayed phase
245
What pathology is seen here?
Hepatic Metastasis
246
What pathology is seen here?
Hemangioma -Fairly uniform
247
What pathology is seen here?
Pancreatitis ## Footnote Acute: Larger and inflamed and around the pancreas White arrows-inflammation moving into the mesocolon (inflammatory process)
248
What pathology is seen here?
Pancreatitis ## Footnote Chronic: Calcifications, appear smaller
249
What pathology is seen here?
Pancreatic Cancer ## Footnote -In the head of the pancreas -Hypodense (dark compared to the rest of the pancreas) -Contrast image shown here (always look for contrast when identifying) -Gallbladder appearing larger (blocked duct causing things to back up)
250
What pathology is shown here?
Foreign Body
251
What pathology is shown here?
Foreign Body
252
What pathology is shown here?
Pneumoperitoneum ## Footnote -Seeing on the right and left side under the diaphragm -Easier to see on the right side
253
What pathology is shown here?
Pneumoperitoneum ## Footnote Patient prone, anterior air shown
254
What pathology is shown here?
Situs Inversus
255
What pathlogy is shown here?
Situs Inversus
256
What is Acute Cholecystitis?
Inflammation of the gall bladder
257
What is acute cholecystitis caused by?
Mostly caused by cystic duct blockage
258
What is one non radiographic sign of acute cholecystitis?
Acute RUQ pain
259
What is the best modailty to look at Acute Cholecystitis?
Ultrasound
260
How does the gallbladder appear with acute cholecystitis?
Distended gallbladder Edema of gallbladder wall
261
What are the 5 types of liver diseases?
Hepatitis Cirrhosis of the Liver Hepatocellular Carcinoma Hepatic Metastasis Hemangioma
262
What is the common inflammatory disease of the liver
Hepatitis
263
# T/F Hepatitis may be asymptomatic or may cause jaundice and pain
True
264
What are the two causes of hepatitits?
1. Viruses 2. Reaction to Drugs and Toxins (alcohol, acetaminiphin)
265
What is the first screening device used for hepatitis? What other modailities are used to image?
-Ultrasound (1st screening device) -MRI, CT imaging modalities
266
What are the four types of hepatitis?
A, E, B, C
267
How is Hepatitis A virus (HAV) and Hepatitis E virus (HEV) transmitted?
Transmitted through oral or fecal contact ## Footnote Usually warned when going to other countries
268
# T/F Hepatitis A and E are self contained
True
269
How is hepatitis B spread?
1. Exposure to contaminated blood products or body fluids 2. Sexual contact
270
# T/F Hepatitis B has a poor prognosis
False; Has a better prognosis
271
How is hepatitis C transmitted?
Blood transfusion Sexual contact
272
What type of hepatitis is a common cause of chronic hepatitis, cirrhosis, and hepatocellular carcinoma?
Hepatitis C
273
# T/F The prognosis is not as good for hepatitis C
True
274
What is Cirrhosis of the liver?
Chronic deterioration of the liver
275
# T/F Cirrhosis of the Liver is end stage liver disease
True
276
What are the causes of Cirrhosis of the Liver?
Alcoholism Hepatitis C Hepatotoxic drugs
277
How is cirrhosis of the liver treated?
Liver transplant
278
What 3 modailties are used to image cirrhosis of the liver?
Ultrasound, CT, MRI
279
How does cirrhosis of the liver appear in images?
Enlarges at first, then becomes smaller and more nodular
280
What are the 3 clinical symptoms of cirrhosis of the liver?
1. Ascites-Abnormal amount of intraperitoneal fluid 2. Portal hypertension (liver becomes more fibrotic which puts more pressure and causes liquid to seep out-ascites) 3. Jaundice
281
What is the modailty of choice for Hepatocellular Carcinoma (HPC)?
CT
282
What are 3 physical signs/symptoms of Hepatocellular Carcinoma (HPC)?
More mild UQ pain, jaundice, weight loss
283
What is the primary liver cell cancer?
Hepatocellular Carcinoma (HPC) ## Footnote Seen most commonly with cirrhosis-which is caused by alcohol abuse; ect.
284
What are the radiographic signs of Hepatocellular Carcinoma (HPC)
1. arge mass outside normal border (not always) 2. Dense, diffuse non uniform enhancement with c+ 3. Small lesions creating multinodular mass
285
What is the most common liver malignancy?
Hepatic Metastasis
286
What imaging modailites are used to image hepatic metastasis? What are the best modailties?
CT MRI Ultrasound NM -CT and MRI best to look at
287
What is the treatment for Hepatic Metastasis?
Palliative treatment only
288
In order to to look at the cells with Hepatic Metastasis, what process is required?
Fine needle aspiration biopsy required
289
How do Hepatic Metastasis appear radiographically without contrast?
-Well marginated -Less dense compared to normal parenchyma
290
How do Hepatic Metastasis appear with contrast?
-Can show increased density compared to surrounding parenchyma -Are hypodense in reality ## Footnote CAMRT: (ignore for this test) WILL show increased density compared to surrounding parenchyma Hyperdense with contrast
291
What is a Common benign liver tumour?
Hemangioma ## Footnote Abnormal collection of blood vessels
292
# T/F Hemangioma can be other places in the body but most commonly seen in the liver
True
293
What is the cause of Hemangioma?
Belived to be congenital
294
How does Hemangioma appear radiographically?
Peripheral enhancement with contrast initially Uniform filling Later stages the entire lesion fills
295
# T/F Hemangioma can be an asymptomatic/incidental finding
True
296
What rae the four pathologies of the pancreas?
Pancreatitis Pancreatic Cancer Diabetes Mellitus Hypoglycemia
297
What is Pancreatitis? What are the two types?
-Inflammation of the pancreas where pancreatic enzymes activate within the pancreas -Acute and Chronic
298
What are the causes of pancreatitis? What are the physical symtoms?
-Alcohol abuse -Gall stone blocking hepatopancreatic ampulla -Sudden abdominal pain; tends to radiate around to the back
299
What percentage of pancreatic cancers are adenocarcinomas
90%
300
# T/F Pancreatic cancer has a poor prognosis
True ## Footnote Metastasizes before it is diagnosed
301
What percentage of pancreatic cancers arise from the head of the pancreas?
60%
302
What modaility is used to image lesions in the head of pancreas? What modailty is best for imaging pancreatic cancer?
-Ultrasound for lesions in the head of pancreas -CT is best for imaging
303
How does pancreatic cancer appear radiographically in CT?
Hypodense lesion that is poorly marginated
304
What are the 3 causes of diabetes mellitus?
1. Insufficient production of insulin (Islets of Langerhans – pancreas) 2. Inadequate utilization of insulin by cells of the body 3. Autoimmune disease
305
What are the non radiographic signs of diabetes mellitus?
1. Excess sugar in blood = hyperglycemia 2. Polyuria (excessive urination), 3. polydipsia (excessive thirst), 4. polyphagia (excessive hunger)
306
What percentage of diabetes does Type one make up out off all diabetes? What is the cause?
-Makes up 5% of all diabetes -Cause unknown
307
What age does type one ussually affect?
-Typically affects children -However, can affect persons up to 30 years of age (age of onset)
308
What is type one diabetes? What is the treatment?
-Body doesn't know how to produce insulin -Insulin injections needed to control blood sugar levels
309
What population does type 2 diabetes affect?
-Persons older than 40 with a gradual onset -Patients are often very obese
310
What is type 2 diabetes caused by?
-Genetic predisposition (familial risk factors) -Caused by impaired sensitivity to insulin or decreased production of insulin
311
What is the treatment for type 2 diabetes?
-Exercise, diet, and weight loss are important to manage the hyperglycemia -Otherwise, may need insulin therapy or diabetic medication (metformin)
312
What is Hypoglycemia?
-Patient has taken insulin but no food (DI test) -Can cause them to go into hypoglycemic shock ## Footnote low blood sugar
313
What are the symptoms of hypoglycemia?
-Sudden onset of weakness, sweating, tremors, confusion -Eventually loss of consciousness
314
What is the treatment for hypoglycemia if the patient is alert/non alert?
-If alert, patient can be given fruit juice, candy, squeeze tubes (doses of glucose) -Not alert, parenteral injection of glucagon or dextrose through an IV
315
What type of imaging is done for foreign bodies?
-2 Images are required at 90° to each other -Follow up images to make sure foreign body is passed ## Footnote Radiolucent versus radiopaque Contrast may be required for radiolucent
316
What is the first line of treatment for foreign bodies?
Medication is first line of treatment to relax anatomy ## Footnote Surgical emergency
317
What is a Pneumoperitoneum?
“Free Air” in the peritoneal cavity causing perforation of the wall of part of the digestive tract
318
What are the causes of a Pneumoperitoneum?
Ulcer, ruptured diverticulum, bowel perforation during endoscopy
319
What positions are done to image a Pneumoperitoneum?
Erect Abdomen Left Lateral Decubitus
320
What is the cause of Situs Inversus?
Congenital condition
321
What are the symptoms of sinus invertus?
Usually asymptomatic
322
What is Situs Inversus? What are the two types?
-Thoracic and Abdominal organs are mirrored on opposite side of body -Dextrocardia-Heart on the right side -Levocardia-All abdominal flipped but heart is still normal position