Respiratory System PATHO Flashcards

(234 cards)

1
Q

What are the 2 Congenital/Hereditary Diseases of the lungs?

A

Cystic Fibrosis (CF)
Idiopathic Respiratory Distress Syndrome

How well did you know this?
1
Not at all
2
3
4
5
Perfectly
2
Q

What is cystic fibrosis a result of?

A

Chromosome 7 mutation

How well did you know this?
1
Not at all
2
3
4
5
Perfectly
3
Q

What pathology is this describing?

Secretion of excessively viscous mucus by exocrine glands

Increased sodium reabsorption and decreased chloride secretion (fluid doesn’t flow out, it goes into the cells along the lining)

A

Cystic fibrosis

How well did you know this?
1
Not at all
2
3
4
5
Perfectly
4
Q

T/F

There is no known cure for cystic fibrosis

A

True

How well did you know this?
1
Not at all
2
3
4
5
Perfectly
5
Q

What structures of the body does cystic fibrosis affect?

A

Affects lungs, pancreas (mucus can block things), and digestive system

How well did you know this?
1
Not at all
2
3
4
5
Perfectly
6
Q

T/F

90% CF mortality is the result of respiratory involvement

A

True

How well did you know this?
1
Not at all
2
3
4
5
Perfectly
7
Q

What are the radiographic signs of Cystic fibrosis?

A
  1. Hyperinflation (Harder to exhale),
  2. fibrotic lungs (scratchy),
  3. small cysts
How well did you know this?
1
Not at all
2
3
4
5
Perfectly
8
Q

T/F

With cystic fibrosis, the tissue appears radiolucent.

A

False; Tissue appears radiopaque

How well did you know this?
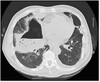
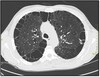
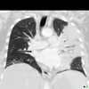
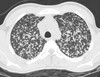
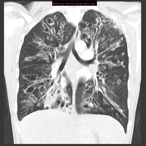
1
Not at all
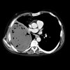
2
3
4
5
Perfectly
9
Q

Why do individuals with cystic fibrosis have a decreased amount of salt in thier body?

A

Excessive perspiration leads to loss of salts (cells doesn’t take chlorine back into the cells)

How well did you know this?
1
Not at all
2
3
4
5
Perfectly
10
Q

What are the physical signs/symptoms of cystic fibrosis?

A
  1. copious phlegm (widening of the diameter of the airways),
  2. incessant coughing,
  3. hemoptysis (burst blood vessels)
How well did you know this?
1
Not at all
2
3
4
5
Perfectly
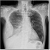
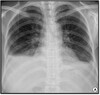
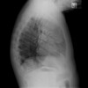
11
Q

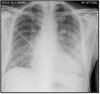
What pathology is seen here?

A

Cystic fibrosis

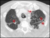
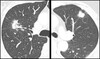
Lung looks scratchy

How well did you know this?
1
Not at all
2
3
4
5
Perfectly
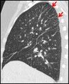
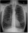
12
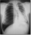
Q

What pathology is shown here? How do we know?

A

Cystic fibrosis
-Haziness inside the airway is the mucus, bronchiectasis (dilation of the airways)

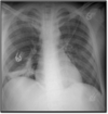
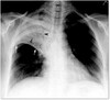
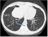
How well did you know this?
1
Not at all
2
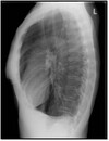
3
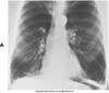
4
5
Perfectly
13
Q

What is Idiopathic Respiratory Distress Syndrome (IRDS) caused by and what age group does it affect?

A
  1. Immature lungs
  2. Insufficient surfactant
    -Affects infants

Usually resolved after 30 weeks with treatment

How well did you know this?
1
Not at all
2
3
4
5
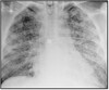
Perfectly
14
Q

What is another name for IRDS?

A

Hyaline Membrane Disease

How well did you know this?
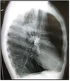
1
Not at all
2
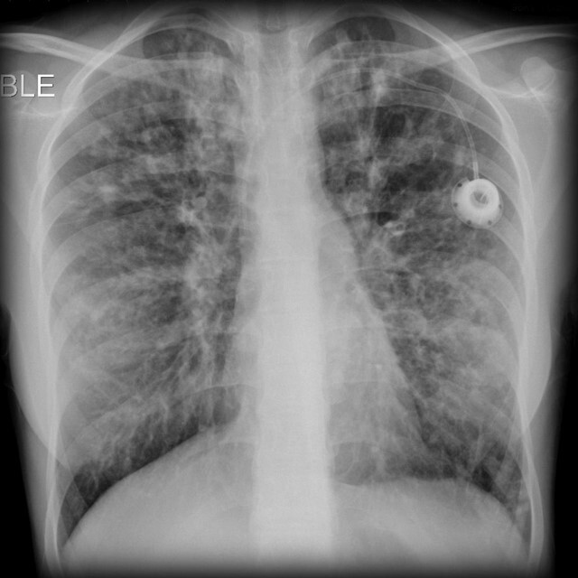
3
4
5
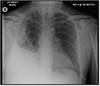
Perfectly
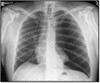
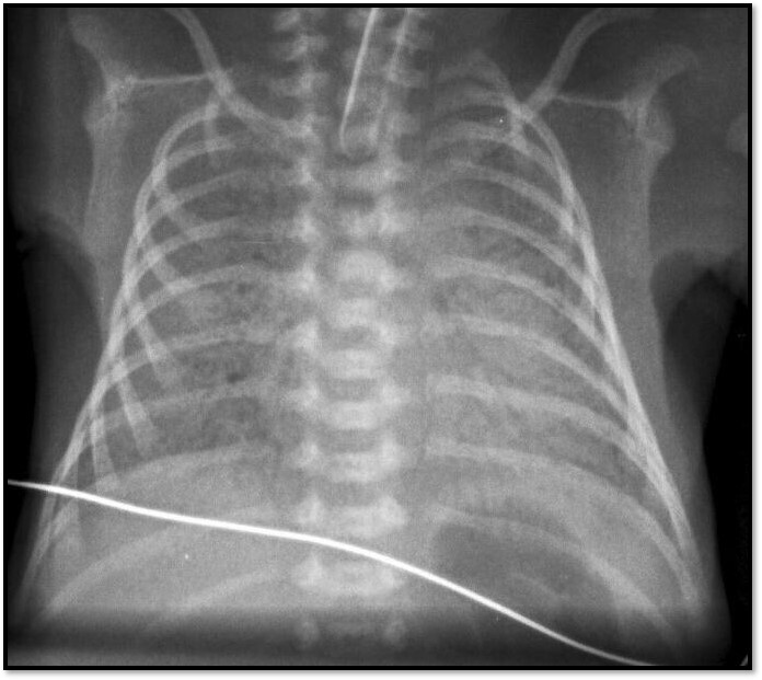
15
Q

What radiographic signs are visible with IRDS?

A
  1. Atelectasis (alveoli collapsed, whiter)
  2. Granular appearance of parenchyma (“ground glass”)
  3. Air bronchogram sign (lung white, darker airways on top)
  4. Hypoaeration (lungs not inflating as well)
How well did you know this?
1
Not at all
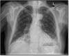
2
3
4
5
Perfectly
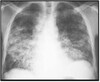
16
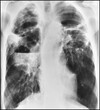
Q

What pathology is seen here? How do we know?

A

-IDRS
-Seeing the darker airways

How well did you know this?
1
Not at all
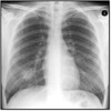
2
3
4
5
Perfectly
17
Q

What are the two Inflammatory Disorders of the upper Respiratory system?

A

Croup
Epiglottitis

How well did you know this?
1
Not at all
2
3
4
5
Perfectly
18
Q

What are the auditory signs of Croup?

A
  1. Barking cough, harder to breath
  2. Inspiratory stridor (high pitch wheeze)
How well did you know this?
1
Not at all
2
3
4
5
Perfectly
19
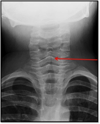
Q

How does croup appear radiographically?

A

Hour glass shape on an AP neck

How well did you know this?
1
Not at all
2
3
4
5
Perfectly
20
Q

What is croup and what age does it usually affect?

A

Subglottic inflammation and narrowing of the trachea usually affecting the young

How well did you know this?
1
Not at all
2
3
4
5
Perfectly
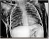
21
Q

What pathology is seen here?

A

Croup

How well did you know this?
1
Not at all
2
3
4
5
Perfectly
22
Q

What is Epiglottitis prevented by?

A

Prevent by giving HIV vaccine

How well did you know this?
1
Not at all
2
3
4
5
Perfectly
23
Q

What is the radiographic sign of eppiglottitis?

A

Thickened epiglottis (Thumb sign)

How well did you know this?
1
Not at all
2
3
4
5
Perfectly
24
Q

What is epiglottitis and what are the physical signs/symptoms?

A

Acute, rapid onset of infection of the epiglottis which causes Dysphagia; (trouble swallowing)

How well did you know this?
1
Not at all
2
3
4
5
Perfectly
25
# T/F Epiglottitis requires the patient to be intubated
True
26
What is the radiographic sign of Epiglottitis?
Thickened epiglottis (Thumb sign) on a lateral soft tissue neck
27
What pathology is seen here?
Eppiglottitis (see the red arrow pointing to thumb print sign)
28
What are the 4 Inflammatory Disorders of the Lower Respiratory?
1. Pneumonia 2. Lung Abscess 3. Tuberculosis 4. Severe Acute Respiratory Syndrome (SARS)
29
# What is this describing? Infection causing inflammation of the lungs
Pneumonia
30
What are the 4 things that Pneumonia can be caused by?
1. Bacteria 2. Viruses 3. Inhaled chemicals 4. Aspirated chemicals
31
What are the most common causes of pneumonia?
Bacteria and viruses most common causes
32
What are the four types of Pneumonia?
1. Alveolar Pneumonia 2. Bronchopneumonia 3. Interstitial Pneumonia 4. Aspiration Pneumonia
33
What is Alveolar Pneumonia
Consolidation in one or more lobes (alveolar collapse) affecting the alveoli
34
What is another name for Alveolar Pneumonia?
“Lobar pneumonia”
35
# T/F Alveolar Pneumonia has no involvement of the airways
True
36
How does Alveolar Pneumonia appear on a radiograph?
-Whiter looking tissue, and darker looking alveoli -Air Bronchogram ## Footnote -Total volume of chest is not really affected; lungs look the same size, just filled with crud
37
What is the most common type of alveolar pneumonia?
Streptococcus
38
What type of infection is alveolar pneumonia?
Bacterial infection
39
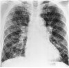
What pathology is seen here?
Alveolar Pneumonia
40
What is the air bronchogram sign?
Darker airways on whiter lung tissue
41
What pathology is seen here?
Alveolar Pneumonia
42
What is Bronchopneumonia
Inflammation of the bronchi and bronchioles that spreads to alveoli
43
# T/F Bronchopneumonia often involves both lungs (bilateral)
True
44
What is the most common type of Bronchopneumonia?
Staphylococcus (Bacterial)
45
What are the radiographic signs of Bronchopneumonia?
-Small patches of consolidation -No Air Bronchogram sign, just inflammation around the airways
46
What pathology is shown here?
Bronchopneumonia ## Footnote -Is more bilateral unlike the alveolarpneumonia
47
What are the most common causes of Interstitial Pneumonia?
Viral and mycoplasmal infections
48
What does Interstitial Pneumonia lead to?
Leads to fibrosis
49
How does Interstitial Pneumonia appear radiographically?
-“Honeycomb Lung” as seen on CT -Interstitial tissue thicker between all of the alveoli (inflammation between the air spaces) -Tissue between alveoli more visible ## Footnote No heavy mucus, bronchiectasis as seen in CF
50
What is the shaggy heart sign?
Harder to see the outline of the heart associated with Interstitial Pneumonia
51
What pathology is seen here?
Interstitial Pneumonia
52
What pathology is seen here?
Interstitial Pneumonia
53
What is Aspiration Pneumonia and in what population is it common to see this pathology?
-Aspiration of esophageal or gastric contents -Common with anesthesia, stroke patients, trauma
54
What location of the body does aspiration pneumonia typically affect?
-Typically affects the lower lobes (Right lung more affected)
55
How does Aspiration Pneumonia appear radiographically?
Inflammation, consolidation
56
What pathology is seen here?
Aspiration Pneumonia
57
What pathology is seen here?
Aspiration Pneumonia ## Footnote Barium swallow in the airway; hard to remove
58
What are Lung Abscesses and how do they appear radiographically?
-Necrotic area of lung parenchyma containing pus -Typically round and have an air-fluid level ## Footnote Body goes to fight it off, but tissues release toxins, the body cannot clear it so it builds a wall around the necrotic tissue (isolation). In the lungs, you can get air within these abscesses (if they connect with airways).
59
**What are the 5 causes of Lung Abscesses?**
-Aspiration -Bronchial obstruction -Complication of bacterial pneumonia -Septic emboli -Diffuse bacteremia
60
What is a Septic emboli?
Blood infection carried in a clot through the lungs
61
What is Diffuse bacteremia?
Bacteria in the blood spread throughout the body and the lungs
62
# T/F Lung abcesses may just appear with fluid initially
True
63
What pathology is seen here?
Lung Abscess
64
What pathology is seen here?
Lung Abscess
65
What is TB caused by?
Caused by mycobacterium tuberculosis
66
What procautions are taken for TB?
Airborne Precautions: N95 mask
67
Where can TB spread to?
GI, urinary and skeletal system
68
What are the four radiographic signs of TB?
1. Patchy consolidation, nodules 2. Hilar and mediastinal node enlargement 3. Pleural effusion 4. Calcified as healing occurs
69
What inflammatory disorder is killed by sunlight?
TB
70
What is the best method for imaging TB?
Dual energy x ray
71
What pathology is seen here?
TB
72
What pathology is seen here?
TB
73
What pathology is seen here?
TB ## Footnote Can grow to cyst like abscesses
74
TB ## Footnote Can have air fluid levels present
75
What type of TB is present here? When does this occur?
-Miliary TB -This happens when TB spreads through the blood stream (end up as fine nodules)
76
How do initial radiographs of SARS appear?
Initial chest images appear normal
77
How does SARS coronavirus appear radiographically as it progresses?
Progress to focal opacities (localized opacities), then to diffuse opacities
78
What pathology is seen here?
Severe Acute Respiratory Syndrome (SARS) ## Footnote -Focal opacitices (earlier stage)
79
What are the 4 types of COPD?
1. Chronic Bronchitis 2. Emphysema 3. Bronchiectasis 4. Asthma (not always considered COPD)
80
# What pathology is this describing? -Often includes multiple disease processes coexisting -Chronic obstruction of airflow to lungs -Ineffective exchange of respiratory gases
COPD
81
What are the physical symptoms of COPD?
Persistent cough & difficulty breathing
82
What are the predisposing factors to COPD
1. Smoking 2. Air pollution 3. Occupational exposure to harmful substances
83
What is Chronic Bronchitis?
-Inflammation of the bronchi and bronchioles -Walls thicken and produce thick mucus
84
What is a physical sign that Chronic Bronchitis is present?
Productive cough (coughing up mucus) for 3 months in 2 successive years
85
What are the four radiographic appearances of Chronic Bronchitis?
1. Subtle changes 2. Generalized increase in vascular markings, especially in lower lobes 3. Tram lines (thicker walls of the bronchi-train tracks) 4. Wall thickening on CT; inner part-lumen, more narrow
86
What pathology is present?
Chronic Bronchitis ## Footnote -Walls around airway are thicker (predominant)
87
What is the white arrow pointing to?
Tram lines as seen with Chronic Bronchitis
88
Why do the lungs become over inflated with Emphysema?
Continuous bronchial narrowing and a loss in elasticity (become stiff) makes it hard to exhale as alveoli remain filled with air
89
What can occur in an individual coughing with Emphysema?
Coughing may cause the alveoli to rupture
90
# What pathology is this describing? Inflammation causes the lungs to become stiff
Emphysema
91
What is a Bullae?
A pocket of ruptured alveoli (One big alveolus)
92
What are the 4 radiographic signs of over inflated lungs as seen with Emphysema?
1. Flattening of hemi-diaphragms (instead of a nice pointy base) 2. Increased AP diameter of chest (barrel chest) 3. Bullae 4. Increased retrosternal space (seen on lateral projection)
93
What pathology is seen here?
Emphysema ## Footnote -Costophrenic angles are not seen well even though it looks like they are taking a deep breath -Barrel chest
94
What pathology is seen here?
Emphysema
95
What pathology is seen here?
Emphysema
96
What pathology is seen here?
Emphysema ## Footnote -Flat lungs -Barrel chest
97
What could Emphysema lead to?
A PTX
98
What pathology is seen here?
Emphysema
99
What is Bronchiectasis?
Permanent abnormal dilation of the bronchi and bronchioles that destroys the elastic and muscular layers
100
Why is it harder to clear secretions with Bronchiectasis?
Enlarged airways make it harder to clear secretions ## Footnote -Because they are so big, you will not have as much pressure when coughing, making it harder to remove mucus
101
What are two physical symptoms of Bronchiectasis?
-Hemoptysis: Coughing up blood -Copious amounts of sputum
102
# T/F Bronchiectasis can lead to more infections
True ## Footnote -Prone to keeping bacteria because of decreased pressure when coughing, leading to more infections in the lungs
103
What is the cause of Bronchiectasis?
Seen because of chronic/ long term bronchitis
104
What is the best modality for diagnosing Bronchiectasis?
CT
105
What are the 3 radiographic signs of Bronchiectasis?
1. May show coarseness and loss of definition of interstitial markings (because of inflammation) 2. Advanced stage: oval or circular cystic spaces can develop 3. Can cause honeycombs due to interstitial fibrosis | Walls are normal thickness ## Footnote If we see honeycomb, for the purpose of the test, it isn’t this pathology
106
What are the 2 radiographic signs of Bronchiectasis seen in CT?
1. Signet ring sign 2. String-of-pearls sign: Very uncommon
107
What pathology is seen here?
Bronchiectasis ## Footnote -Seeing cysts (advanced) -Fibrosis throughout the lungs
108
What pathology is seen here?
Bronchiectasis ## Footnote -Airway very dilated -Walls are normal thickness
109
What pathology is seen here?
Bronchiectasis ## Footnote -Signet ring appearance (ring is the bronchus, stone sitting on the ring is the blood vessel beside)
110
What pathology is seen here?
Bronchiectasis ## Footnote -Large airways -Collection of mucus in airways
111
What pathology is seen here?
Bronchiectasis; String of pearls
112
What is extrinsic asthma?
Diffuse narrowing of airways due to allergen hypersensitivity
113
What is intrinsic asthma?
Caused by heat, cold, strong emotions, exercise
114
# What pathology is this describing? 1. Swelling of membranes 2. Excess mucus 3. Bronchial wall spasm
Asthma
115
What are the 3 radiographic signs of an acute asthma attack?
1. Bronchial narrowing 2. Flattened hemidiaphragms 3. Increased retrosternal space
116
What is a radiographic sign of chronic asthma?
Dirty lung appearance
117
# T/F Normal chest x-rays in 75% of asthma cases
True
118
What pathology is seen here?
Chronic asthma
119
Whatis the most common type of neoplasm of the lung?
Bronchogenic Carcinoma
120
Where does Bronchogenic Carcinoma arise from, and how does it spread?
Arises from mucosa of bronchial tree, metastatic bone spread
121
What are the two types of Bronchogenic Carcinomas?
1. Small Cell Carcinoma (less common of the two) 2. Non-Small Cell Carcinomas
122
What are the 3 types of Neoplasms of the lungs?
1. Bronchogenic Carcinoma 2. Solitary Pulmonary Nodule 3. Metastatic Lung Cancer
123
What are the 3 types of Non-Small Cell Carcinomas?
1. Adenocarcinoma 2. Squamous Cell Carcinoma 3. Large Cell Carcinoma
124
What is the cause of Bronchogenic Carcinoma?
Inhalation of carcinogens
125
How can you differenciate the different types of Bronchogenic Carcinoma?
Requires lung biopsy to differentiate type of cancer
126
What percentage of cases does Small Cell Carcinoma make up for the types of Bronchogenic Carcinoma?
(20%)
127
What perecentage of cases does Non-Small Cell Carcinoma make up for the types of Bronchogenic Carcinoma?
(80%)
128
What is the most agressive type of Bronchogenic Carcinoma with the worst prognosis?
Small Cell Carcinoma ## Footnote More likely to spread to other regions
129
Where does Small Cell Carcinoma appear?
Typically occur in the hilar region (closer to midline)
130
What is another name for Small Cell Carcinoma?
Oat cell carcinoma; small cells that look like oats
131
What are the risks assosiated with Small Cell Carcinoma?
SVC obstruction and other airway obstruction
132
What pathology is seen here?
Small Cell Carcinoma -Advanced cases ## Footnote -White large masses; taking up all of the anterior portion of the thorax -Make it harder to breath, move, excsersie
133
What pathology is seen here?
Small Cell Carcinoma
134
Where is Squamous Cell Carcinoma located?
In the lining, closer to the midline and the mainstem bronchi
135
Where is Adenocarcinoma located?
Located more in the peripheries, epithelial origin from glandular tissues
136
Where can Large Cell Carcinoma be located?
Can be located anywhere
137
What is the best modality for imaging Bronchogenic Carcinoma?
CT
138
What are the 3 radiographic signs of Non-Small Cell Carcinoma?
1. Hilar and mediastinal node enlargement 2. Cavitation 3. Secondary signs from obstruction: might see lungs collapsing, lungs looking over inflated
139
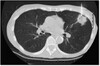
What pathology is seen here?
Non-Small Cell Carcinoma- Adenocarcinoma
140
# T/F Solitary Pulmonary Nodule is ussually an Incidental finding
True
141
# T/F Solitary Pulmonary Nodule is malignant.
False; may be benign or malignant.
142
What are the 2 radiographic signs of a benign Solitary Pulmonary Nodule?
1. Smooth, sharp margins 2. Presence of calcification
143
What modalities can be used for diagnosing a Solitary Pulmonary Nodule?
PET CT, Biopsy Bronchoscopy
144
What pathology is seen on the right?
Fungal infection; solitary pulmonary nodule
145
How does Metastatic Carcinoma spread to the lungs?
1. Lymphatic spread 2. Hematogenous spread 3. Direct invasion
146
# T/F 1/3 or 33% of all types of cancers spread to lungs
True
147
What are the 3 radiographic signs of Metastatic Carcinoma
1. Cannonball lesions-multiple large lesions 2. Fine miliary nodules 3. single lesion (less common)
148
What are Cannonball lesions
Multiple large lesions seen with Metastatic Carcinoma
149
What pathology is seen here?
Metastatic Carcinoma; Canon ball lesions
150
What pathology is seen here?
Metastatic Carcinoma-miliary nodules
151
What pathology is seen here?
Metastatic Carcinoma; Canon ball lesions
152
What is a pulmonary embolism?
Blockage of the pulmonary arterial system ## Footnote Free to float from the venous system all the way back to the heart These form in the legs, issue is that once they get through the heart and to the pulmonary system, now the arteries get smaller until the blood clot blocks everything
153
# T/F A Pulmonary embolism is potentially fatal
True
154
What percentage of pulmonary embolism patients are asymptomatic?
80% of patients are asymptomatic
155
What is the most common cause of pulmonary embolisms?
Deep Vein Thromboses (DVT’s)
156
What percentage of pulmonary embolisms result from DVTs?
95% arise from DVTs
157
What are all the possible causes of pulmonary embolisms?
Venous stasis, pregnancy, post surgery, oral contraceptives, stroke, DVT
158
What modality is best to image pulmonary embolisms?
CT is the modality of choice;CT pulmonary angiogram or M V/Q scan (Ventilation-Perfusion scan)
159
What are the 3 symptoms of pulmonary embolisms?
1. Dyspnea-Trouble breathing 2. Chest pain 3. Hemoptysis-Coughing blood
160
Why is CT the modality of choice to image pulmonary embolisms?
Shows filling defects in arteries
161
How would a pulmonary embolism appear in a nuc med scan?
Would show up as a cold spot
162
What pathology is seen here?
Pulmonary Embolism (PE) ## Footnote -Filling defect seen -As the vessels get smaller it will occlude the whole thing
163
What pathology is seen here? What are the arrows pointing to?
Pulmonary Embolism (PE) Red arrows: Areas with less signal
164
What is Atelectasis?
Collapse of one or more areas of the lung ## Footnote Trapped air is absorbed by the blood, lung collapses
165
What are the 5 main causes of Atelectasis?
1. Neoplasm 2. Foreign body 3. Mucous plug 4. Pneumothorax/pleural effusion 5. ET tube positioned into the right main stem bronchus-Iatrogenic cause ## Footnote (these things stop air flowing to the area)
166
What are the four radiographic appearances of Atelectasis?
1. Localized increase in density (area that is collapsed is whiter) 2. Shift of structures toward the affected area (everything thing else moves into the space that is made-(free real estate) 3. Compensatory over-inflation of the unaffected lung 4. Upward shift of the hemi-diaphragm on the ipsilateral side (L atelectasis, L hemidiaphragm, L structures move)
167
What pathology is shown here?
Atelectasis ## Footnote Heart shadow moved to the other side of the body
168
What pathology is seen here?
Atelectasis
169
What pathology is the blue arrow pointing to?
Atelectasis
170
What is pulmonary edema?
Abnormal accumulation of fluid in the extravascular pulmonary tissues (interstitial fluid and alveoli)
171
What are the causes of pulmonary edema? List 3:
1. Left-sided heart failure 2. Fluid overload 3. High altitudes ## Footnote Other causes: -ARDS, Overdose, Near drowning, Aspiration
172
What is the most common cause of pulmonary edema?
Left-sided heart failure
173
What are the three radiographic signs of pulmonary edema?
1. Air space opacification 2. Perihilar haze 3. Kerley B lines
174
What are Kerley B lines?
Horizontal lines at the lateral edges of the lung bases
175
What pathology is seen here?
Pulmonary Edema ## Footnote -Opacification -Enlarged heart
176
# T/F Kerley B lines can appear in other places besides the bases of the lungs.
True
177
What is the red arrow pointing to?
Kerley B lines
178
What pathology is seen here?
Pulmonary Edema ## Footnote Increased density within the interstitial areas Kerley B lines
179
What pathology is seen here?
Pulmonary edema ## Footnote Increased density within the interstitial areas Kerley B lines
180
# T/F Acute Respiratory Distress Syndrome (ARDS) is Life-threatening.
True
181
In what population is ADRS most common?
Develops in critically ill or post-op patients with no major underlying lung disease
182
What are the four causes of Acute Respiratory Distress Syndrome (ARDS)?
1. Severe pulmonary infection 2. Aspiration 3. Drug overdose 4. Inhalation of toxic substances (suddenly)
183
What are the radiographic appearances of Acute Respiratory Distress Syndrome (ARDS)?
Bilateral, patchy, ill-defined areas of consolidation ## Footnote Similar to PE (without the large heart)
184
# What pathology is this describing? -Breakdown of lung parenchyma -Substantial leakage of fluid/cells into interstitial/alveolar spaces -Low levels of O2 in blood -Severe respiratory impairment
Acute Respiratory Distress Syndrome (ARDS)
185
What pathology is seen here?
Acute Respiratory Distress Syndrome (ARDS)
186
How are radiolucent foreign bodies diagnosed?
Radiolucent foreign bodies are diagnosed by secondary signs
187
If a foreign body has caused a complete obstruction, what radiographic sign will be seen?
Complete-Atelectasis
188
If a foreign body has caused a partial obstruction, what radiographic sign will be seen?
Overinflation like with COPD
189
What is Sinusitis? What are the three causes?
-Inflammation of the sinuses caused by infection 1. Viral 2. Bacterial 3. Allergies
190
What is the best modailty to image Sinusitis?
CT
191
When imaging for sinisitis, what is the best positioning technique? Why?
Erect imaging with horizontal beam to show air-fluid levels ## Footnote Never use an angle on the tube!
192
What pathology is seen here? What projection is this?
-Sinusitis -Waters sinus method
193
What are the radiographic appearances of sinusitis in CT?
1. See fluid posteriorly in CT 2. Increased thickening of the walls 3. Airway inflamed
194
What are the four Disorders of the Pleura?
1. Pneumothorax 2. Pleural Effusion 3. Hemothorax 4. Empyema
195
What are the four causes of a Pneumothorax?
1. Trauma 2. Spontaneous 3. Bullae or bleb rupture 4. Iatrogenic
196
What is the most common cause of a PTX?
Bullae or bleb rupture
197
What population is most likely to have a spontaneuous PTX?
More likely to happen with asthenic males
198
What 2 possible Iatrogenic causes of a PTX
Lung biopsy, pacemaker insertion
199
What are the 3 radiographic appearances of a PTX?
1. Visible visceral pleural edge is seen as a very thin, sharp white line 2. No lung markings are seen peripheral to this line 3. Peripheral space is radiolucent compared to adjacent lung
200
What projections are done to image a PTX?
1. Inspiration and expiration PA chest images 2. Lateral decubitus chest image with the affected side up
201
What projection is better for imaging a PTX; inspiration or expiration?
Expiration
202
What pathology is seen here?
PTX; L sided ## Footnote Putting pressure on the lungs and pushing it the opposite direction
203
What pathology is seen here?
PTX ## Footnote Inspiration and expiration view -More subtle on inspiration -No lung markings, lung condenses
204
What pathology is seen here?
PTX ## Footnote can see the edges of the lung on expiration
205
What is tthe treatment for a PTX?
A chest tube insertion
206
What pathology is seen here?
PTX
207
# What pathology is this describing? -Air continues to enter pleural space, but cannot exit -Complete collapse of the lung and flattening of the diaphragm
Tension Pneumothorax ## Footnote Patient breaths out, lung moves inwards, pressure increases which causes air escaping into pleural space, each time they breath it becomes more shallow
208
# T/F A tension PTX is fatal if not relieved immedietly
True
209
How is a tension PTX treated?
Chest tube connected to suction
210
What pathology is seen here?
A Tension PTX
211
What is the main radiographic sign of a tension PTX?
Shift of the heart and mediastinum towards the opposite side
212
What pathology is seen here?
Tension PTX
213
What is Subcutaneous Emphysema?
Free air in the tissues of the chest wall (below the skin) that can spread to other places in the body
214
What are the 2 causes of subcutaneous emphysema?
1. Penetrating or blunt injuries that disrupt the lung and parietal pleura 2. Chest tube insertions incorrectly
215
What is one physical sign of subcutaneous emphysema?
Crepitation on palpation (When you are touching them, skin is crinkely)
216
What pathology is seen here?
Subcutaneous Emphysema
217
What pathology is seen here?
Subcutaneous Emphysema
218
What pathology is seen here?
Subcutaneous Emphysema
219
What is a Pleural Effusion?
Fluid within the pleural space/cavity ## Footnote Not interstitial tissue as seen with Pulmonary edema
220
What are the causes of a Pleural Effusion? List 3:
Congestive heart failure Pulmonary embolism Infection (especially TB) ## Footnote Other causes include; Neoplastic disease, Ascites, Pancreatitis
221
What image projections are done to visualize a Pleural Effusion?
1. Erect (looking for fluid) 2. Decubitus images with affected side down
222
What radiographic sign indicates a Pleural Effusion?
Blunting of the costophrenic angles
223
What treatment is done for a Pleural Effusion?
Thoracentesis
224
What pathology is seen here?
Pleural Effusion
225
What pathology is seen here?
Pleural Effusion
226
What pathology is seen here?
Subtle case of Pleural Effusion ## Footnote Gravity pulls fluid to the posterior
227
What is a Hemothorax?
Blood in the pleural cavity/space
228
What are the 2 causes of a hemothorax?
1. Trauma 2. Chest tube inserted against the bottom of the rib where the vessels are
229
What pathology could this be?
Hemothorax; follows where gravity is ## Footnote The difference between Pleural effusion and Hemothorax is by using HU to determine density (blood has higher density)
230
What is Empyema?
Pus, or infected liquid, accumulation in the pleural space
231
What are the causes of Empyema?
1. Spread of an adjacent infection (Bacterial pneumonia, Lung abscess, Esophageal perforation) 2. Penetrating trauma (stabbed with dirty object) 3. Unsterile surgical instruments
232
What are the 2 radigoraphic signs of Empyema?
1. Creates abscess with an air fluid level 2. In the pleural space, not in the lung ## Footnote (seeing crud)
233
What pathology is seen here?
Empyema
234
What pathology is seen here?
Empyema