Skeletal System PATHO Flashcards

(284 cards)

1
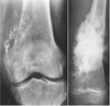
Q

What pathology is shown here?

A

Osteosarcoma

How well did you know this?
1
Not at all
2
3
4
5
Perfectly
2
Q

T/F

A fracture can cause disruption of the normal trabecular pattern.

A

True

How well did you know this?
1
Not at all
2
3
4
5
Perfectly
3
Q

Why does fracture imaging require more than one image?

A
  1. Looking at the angulation of the fracture (may have to put it back into position)
  2. Fracture may be hard to see on one view
How well did you know this?
1
Not at all
2
3
4
5
Perfectly
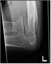
4
Q

What sign is shown in the elbow if a fracture is present?

A

SAIL sign

How well did you know this?
1
Not at all
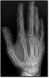
2
3
4
5
Perfectly
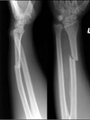
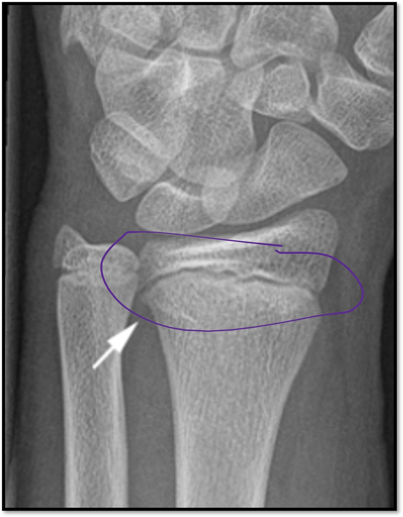
5
Q

What are the signs that a distal radius fracture is present?

A

Trabecular pattern, lucency, slight posterior angulation and cortical disruption anteriorly

How well did you know this?
1
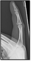
Not at all
2
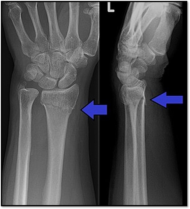
3
4
5
Perfectly
6
Q

What is circled?

A

The epiphyseal plate

How well did you know this?
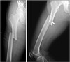
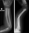
1
Not at all
2
3
4
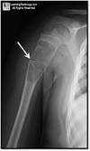
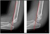
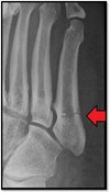
5
Perfectly
7
Q

Define the following term:

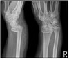
Complete fracture

A

Fractures through both sides of the bone (see at least 2 separate bone fragments)

How well did you know this?
1
Not at all
2
3
4
5
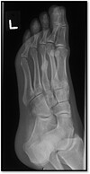
Perfectly
8
Q

Define the following term:

Incomplete Fracture

A

Fracture through only one cortex

How well did you know this?
1
Not at all
2
3
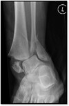
4
5
Perfectly
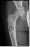
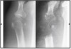
9
Q

What fracture is more common in children; complete or incomplete?

A

Incomplete

How well did you know this?
1
Not at all
2
3
4
5
Perfectly
10
Q

What type of fracture; complete or incomplete is a greenstick fracture?

A

Incomplete

How well did you know this?
1
Not at all
2
3
4
5
Perfectly
11
Q

What type of fracture is this?

Fracture is present but skin is intact

A

Closed/Simple fracture

How well did you know this?
1
Not at all
2
3
4
5
Perfectly
12
Q

What type of fracture is this?

Fracture fragment protrudes through the skin

A

Open/compound

How well did you know this?
1
Not at all
2
3
4
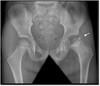
5
Perfectly
13
Q

What is one radiographic sign of an open fracture?

A

Air within the tissue

How well did you know this?
1
Not at all
2
3
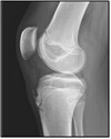
4
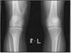
5
Perfectly
14
Q

What are the 4 MAIN classifications of fractures?

A
  1. Open
  2. Closed
  3. Complete
  4. Incomplete
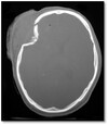
How well did you know this?
1
Not at all
2
3
4
5
Perfectly
15
Q

Read over the names of the following classifications of fractures

A
  • Transverse
  • Oblique
  • Spiral
  • Comminuted
  • Avulsion
  • Compression
  • Burst
  • Impacted
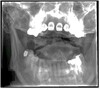
  • Depressed
  • Stress/fatigue
  • Pathological
  • Greenstick
  • Buckle or Torus
  • Undisplaced/Nondisplaced
  • Displaced

(could compile into a chart?)

How well did you know this?
1
Not at all
2
3
4
5
Perfectly
16
Q

Define the following term

Transverse fracture

A

Fracture line is horizontal to long axis

How well did you know this?
1
Not at all
2
3
4
5
Perfectly
17
Q

What type of fracture is this?

Fracture line extends at an angle to axis; From one force applied in one direction

A

Oblique Fracture

How well did you know this?
1
Not at all
2
3
4
5
Perfectly
18
Q

What type of fracture is this?

Fracture line encircles the shaft; twisting motion, bone stays in spot as body moves

A

Spiral fracture

How well did you know this?
1
Not at all
2
3
4
5
Perfectly
19
Q

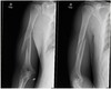
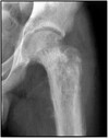
What type of fracture is this?

Bone is shattered into multiple fragments

A

Comminuted

How well did you know this?
1
Not at all
2
3
4
5
Perfectly
20
Q

What type of fracture is this?

Ligament or tendon tears away “chip” of bone; usually happen with large sprains

A

Avulsion

How well did you know this?
1
Not at all
2
3
4
5
Perfectly
21
Q

What type of fracture is this?

Commonly associated with anterior vertebral bodies; ex; osteoporosis

A

Compression fracture

How well did you know this?
1
Not at all
2
3
4
5
Perfectly
22
Q

What type of fracture is this?

Entire vertebral bodies are collapsed; sudden force

A

Burst Fracture

How well did you know this?
1
Not at all
2
3
4
5
Perfectly
23
Q

What type of fracture is this?

Humeral and femoral shafts driven into trabecular bone; high amount of impact, shaft goes into the head

A

Impacted

How well did you know this?
1
Not at all
2
3
4
5
Perfectly
24
Q

What type of fracture is this?

Skull or tibial plateau; flat area of bone with force applied

A

Depressed

How well did you know this?
1
Not at all
2
3
4
5
Perfectly
25
What pathology is shown?
Avulsion; mallet fracture
26
What classification of fracture is shown?
Impacted
27
What classification of fracture is shown?
Depressed
28
What classification of fracture is shown?
Oblique
29
What classification of fracture is shown?
Spiral
30
What classification of fracture is shown?
Compression
31
Where are stress fractures ussually seen in the body?
Tibia and metatarsals
32
What is the main reason for stress fractures?
Response of bone to repeated stresses (micro trauma)
33
How long does it ussually take for a stress fracture to appear?
10-20 days
34
What are the radiographical signs to look for a stress fracture?
Periosteal reaction (fluffiness) or thin translucent line (bone starting to be reabsorbed)
35
Where in the body is a pathological fracture most commonly seen?
Humerus, spine (older patients), femur | Be extra gentle and safe with these patients
36
What type of fracture is shown on the Medial border of the 3rd metatarsal?
Stress fracture | (see the pariosteal reaction)
37
# What type of fracture is this describing? Incomplete fracture in children
Greenstick fracture
38
# What type of fracture is this describing? One cortex is intact and the other is buckled
Buckle or Torus
39
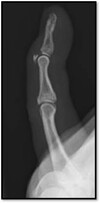
What type of fracture is shown here?
A greenstick fracture
40
# What type of fracture is this describing? Fractures involving an epiphyseal plate (growth plate
Salter-Harris Fractures
41
Describe the 5 types of Salter-harris fractures:
S-Straight across-not going through the plate at all A: Above-Comes across and goes up L: Lower/below T: Two through ER: erasure of growth plate or Crush
42
Label the type of Salter-Harris fractures in the four images below:
A: Straight across (greenstick fracture shown too) B:Above C: Lower D: Two through
43
Describe undisplaced fractures:
Fracture fragments remain aligned and unseparated ## Footnote (How to describe if the bones are together and will heal back to the way it was before)
44
# T/F Displaced fractures are described by direction of distal fragment in relation to proximal fragment
True
45
What are the two treatment options for displaced fractures?
1. Closed Reduction-Fracture manipulated without surgical incision 2. Open Reduction-Surgically manipulate into better alignment
46
What are the three steps of bone healing?
1. Bone reabsorption 2. Bony callus formation 3. Bone remodelling
47
What are the three pathologies involved in fracture healing?
1. Mal-union 2. Delayed Union 3. Non-Union
48
# What pathology is this describing? Fractures heals in a faulty position (Bone fused together but misaligned)
Mal-union
49
# What pathology is this describing? Fractures takes longer than normal to heal. Result of decreased blood flow, inadequate immobilization, infection
Delayed Union
50
# What pathology is this describing? Healing has completely stopped and fractures remain un-united. Surgical intervention is required
Non-Union
51
# What pathology is this describing? Anterior/palmar/volar angulation of distal fragment on metacarpal
Boxer’s #
52
Where is the boxers # located?
Neck of 5th metacarpal
53
# T/F A Boxers # is a transverse fracture
True
54
What pathology is shown here?
Boxers #
55
Where is a Bennetts fracture located?
At the base of the 1st metacarpal of the thumb
56
What is the Bennetts fracture a result of?
Result of hyperabduction of the thumb
57
What is the classification of a Bennetts fracture?
Avulsion fracture
58
What pathology is seen here?
Bennetts fracture
59
Where is a volar plate fracture located?
Volar surface of proximal part of the middle phalanx
60
What is the classification of a Volar plate fracture?
Avulsion #
61
What is a volar plate fracture a result of?
From hyperextension
62
What pathology is shown here?
Volar plate fracture
63
Where is a Mallett fracture located and what is the classification of fracture?
-Dorsal surface of distal phalanx -Avulsion #
64
What pathology is shown here?
Mallet fracture
65
What is the mechanism of injury for a Colles fracture?
FOOSH
66
What is the most common type of wrist fracture?
Colles fracture
67
# What pathology is this describing? Dorsal (posterior) displacement/ angulation of distal fragment in the wrist
Colles fracture
68
What pathology is shown here?
colles fracture?
69
What is the mechanism of injury for a Smiths fracture?
Falling onto flexed wrists or direct blow to dorsal (posterior) forearm
70
# What pathology is this describing? Ventral (anterior) displacement/ angulation of distal fragment in the wrist
Smiths fracture
71
What is the most commonly fractured carpal bone?
The scaphoid
72
What is the method of injury for the scaphoid?
FOOSH
73
What risks are assosiated with scaphoid fractures?
Risk of AVN (avascular necrosis)
74
What pathology is present?
Scaphoid fracture
75
# What pathology is this describing? Fracture of the proximal third of the ulnar shaft, with anterior dislocation of the radial head
Monteggia #
76
What is the method of injury for a Monteggia #?
Falling
77
What pathology is present?
Monteggia # | One bone fractured, other bone dislocated
78
# What pathology is this describing? Fracture of the distal third of the radius, with posterior dislocation of the distal ulna
Galeazzi #
79
What pathology is present?
Galeazzi #
80
What is the most common elbow fracture in adults?
Radial head #
81
What is the mechanism of injury for a radial head fracture?
FOOSH
82
What are the radiographic signs of a radial head fracture?
Look for raised anterior fat pad (“Sail sign”) and posterior fat pad
83
Where does the posterior fat pad of the elbow normally sit?
-Posterior fat pad should sit within the olecranon fossa
84
What pathology is present?
Radial head fracture
85
What is the most common elbow fracture in children?
Supracondylar #
86
What is the mechanism of injury for a Supracondylar #?
FOOSH
87
Normally, where should the humeral line be in relation to the capitulum?
Anterior humeral line should pass through the middle third of the capitulum
88
What pathology is present?
Supracondylar #
89
What are the types of common fractures of the shoulder? Describe the two:
1. Impacted #’s (compress into itself) 2. Avulsion #’s of greater tuberosity
90
# T/F The majority of shoulder dislocations are posterior.
False; the majority of shoulder dislocations are anterior
91
What are the three types of pathologies of the shoulder? Describe them:
1. Hill-Sachs deformity is a compression # of humeral head 2. Bony Bankart # is a fracture of the glenoid 3. Subluxation: Partial dislocation
92
Anterior or posterior dislocation?
Anterior dislocation
93
How should you image for a bony Bankart lesion?
Use a caudad angle | Not to be confused with a Bony Bankart #
94
How many grades of AC seperation are there?
6
95
What are the two common fractures to the foot?
-March -Jones
96
What is a march fracture?
Stress # of 2nd, 3rd, 4th metatarsal
97
What is a radiographic sign that a march fracture is present?
Pariosteal reaction
98
What pathology is present?
March fracture
99
What pathology is present?
Jones fracture | Don’t mix up jones with the apophyses of the 5th metatarsal
100
What classification and where is the Jones fracture located?
Transverse # of the 5th metatarsal distal to the tuberosity
101
What is the risk assosiated with a Jones fracture?
Clinical concern of blood supply which can result in non-union, delayed healing, or avascular necrosis
102
What are the three common types of fractures of the ankle?
1. Pott’s # or Bimalleolar # 2. Trimalleolar # 3. Maisonneuve #
103
What is the mechanism of injury for a Pott’s # or Bimalleolar #
Caused by forced abduction, eversion, and external rotation
104
What pathology is present?
Pott’s # or Bimalleolar #
105
Where is the fracture located in a Pott’s # or Bimalleolar #
Fracture of the medial and lateral malleoli
106
What part of the ankle is affected in a Trimalleolar #?
Medial, lateral, and posterior malleolus
107
What pathology is present?
Trimalleolar #
108
# What pathology is this describing? **Spiral # of the proximal fibula and unstable ankle due to torn syndesmosis and deltoid**
Maisonneuve #
109
What pathology is present?
Maisonneuve #
110
Where is an Intertrochanteric # located?
Through the trochanters
111
What is the most common type of femoral fracture
Femoral neck fracture
112
What is the risk of a subtrochanteric fracture?
Risk of malunion because there are so many muscles/ligaments and tendons around the hip, muscles can twist the femur
113
What pathology is present?
Intertrochanteric fracture
114
What are the two types of compresssion fractures?
-Wedges -Bursts
115
What is a compression fracture ussually assosiated with?
Typically associated with poor bone quality (tumour, osteoporosis)
116
# What pathology is this describing? Burst fracture of C1
Jeffersons fracture
117
What is the mechanism of injury for a Jeffersons fracture?
Axial load injury (head first)
118
What pathology is present?
Jeffersons fracture | C1 is wider
119
# What type of compression fracture is this describing? When a disc/bone in your spine is extremely compressed, becoming crushed, spreading fragments throughout the spine.
Burst fracture
120
# What type of compression fractures is this describing? Result of degeneration of the spine or trauma
Wedge fracture
121
How many types of Odontoid fractures are there?
3
122
Where is a type 1 odontoid fracture located?
At the tip of the odontoid
123
Where is a type two fracture of the odontoid located?
Through the base | not as stable
124
Where is a type 3 odontoid fracture located?
Through the body of C2
125
What is the mechanism of injury for a Hangmans fracture?
Acute hyperextension of the head on the neck
126
# T/F A hangmans fracture results in anterior subluxation of C2 on C3
True
127
What part of the vertebra is fractured in a hangmans fracture?
Both pedicles of C2
128
What pathology is present?
Hangmans fracture
129
What classification of fractures is a Clay-Shoveler’s #?
Avulsion fracture
130
Where is the Clay-Shoveler’s # located?
Through the spinous process of C7 (or C6)
131
What is a Facet Dislocation?
Sliding of the vertebral bodies without a fracture
132
What is the mechanism of injury for a faucet dislocation?
Acute flexion
133
What pathology is seen here?
Clay shovellers fracture
134
What part of the spine is affected with Fracture through the pars interarticularis
Fracture through the pars interarticularis in L3-L5
135
What is Spondylolisthesis?
Forward displacement of one vertebra on the one below
136
What is Spondylolisthesis caused by?
Caused by bilateral spondylolysis or severe Degenerative Disc Disease
137
What pathology is present?
Spondylolysis
138
What pathology is present?
Spondylolisthesis
139
What are the classifications of abnormalities within the skeletal system?
1. Congenital / Hereditary Diseases of Bone 2. Inflammatory & Infectious Disorders 3. Metabolic Bone Disease 4. Neoplasms of the Skeletal System
140
What are the types of Congenital / Hereditary Diseases of Bone? (5)
1. Spina Bifida 2. Osteopetrosis 3. Osteogenesis Imperfecta 4. Achondroplasia 5. Congenital Hip Dysplasia (Dislocation)
141
What is Spina Bifida?
Failure of the posterior vertebral arch to close (laminae)
142
What physical signs are present with Spina Bifida Occulta?
Tuft of hair and some discolouration over defect, no issues with spinal cord
143
What are the 3 types of Spina Bifida?
1. Spina Bifida Occulta 2. Meningocele 3. Myelomeningocele
144
What occurs in the spine with Meningocele?
Meninges herniate out the lesion
145
What occurs in the spine with Myelomeningocele?
Spinal cord and meninges herniate out of the defect and Chiari Malformations
146
What are Chiari Malformations?
Causes part of the brain to herniate, increasing pressure
147
What pathology is present?
Spina Bifida
148
What are the risks of of osteopetrosis?
-Could cause anemia (low blood because they are not producing as much as they should) -Bones become more fragile and fracture easily
149
What is the cause of osteopetrosis?
Genetic mutation | “Marble Bones”
150
What pathology is shown here?
Osteopetrosis
151
What are the clinical indications of Osteogenesis Imperfecta (OI)?
Multiple fractures (at different stages of healing) Blue sclera of the eye
152
What is another name for Osteogenesis Imperfecta (OI)?
Brittle Bone Disease
153
How many types of Osteogenesis Imperfecta (OI) are there?
8 types
154
# T/F Osteogenesis Imperfecta (OI) is a generalized disorder of connective tissue
True
155
What is another name for Achondroplasia?
Dwarfism
156
What is the physiological cause of Achondroplasia
Diminished proliferation of cartilage in the growth plate (specifically with the long bones)
157
What are the physical signs of Achondroplasia?
Normal trunk, but short limbs Bulging frontal bone and mandible (some effects on the normal bones)
158
What pathology is present?
Achondroplasia ## Footnote Scalloping of the vertebra (curving of the posterior body)
159
What does congenital hip displasia result from?
Results from incomplete acetabulum formation
160
What two projections are used for congenital jip displasia?
AP Bilateral Frog
161
What physical test is done to look for congenital hip displasia?
Flex and abduct the hip
162
What pathology is seen here?
Congenital hip displasia
163
# T/F Legg–Calvé–Perthes disease is congenital
False; it is not something you are born with, develops later in life
164
What is Legg–Calvé–Perthes disease?
Ischemic or avascular necrosis of the femoral head (aseptic necrosis)
165
# T/F Legg–Calvé–Perthes disease ussualy affects woman.
False; Legg–Calvé–Perthes disease ussually affects males
166
What pathology is seen here?
Legg–Calvé–Perthes disease | Femoral head dying because of avascular necrosis
167
What pathology is seen here?
Legg–Calvé–Perthes disease | Left femoral head is flatter and shorter than the typical femoral head
168
What type of fracture is Slipped Capital Femoral Epiphysis (SCFE)?
Salter harris type 1
169
What line do you use to measure for SCFE?
Klein’s line
170
What population does SCFE mostly affect?
Common condition of overweight adolescent males
171
What are the risk(s) associated with SCFE?
Failure to treat leads to AVN
172
What images are done for SCFE?
AP and bilateral frog-leg images
173
What pathology is seen here?
SCFE ## Footnote -Follow line on the superior border of the femoral head; seeing the head slipping
174
What are the 6 common types of Inflammatory and Infectious Disorders of the skeletal system?
Osteoarthritis Osteochondritis Dissecans Rheumatoid Arthritis Ankylosing Spondylitis Osteomyelitis Osgood-Schlatter’s
175
What is osteoarthritis?
Degenerative joint disease
176
What bones of the body does osteoarthritis typically affect?
Spine, hip, knee, ankle Medial side narrowed more than the lateral side of the knee (Typically affects the weight-bearing joints)
177
What is osteoarthritis a result of?
Wear and tear of the aging process-accelerated with trauma or septic and inflammatory arthritis that destroys the cartilage
178
What are the four radiographic signs of osteoarthritis?
1. Joint space narrowing (loosing cartilage) 2. Osteophyte formation (new bone formation; or bone spur formation) 3. Sclerosis along the joint margin 4. Subchondral cyst (darker) formation (geodes)
179
What is sclerosis?
Scaring; whiter bone formation along the edge of the joint
180
What pathology is seen here?
Osteoarthritis (OA) (look for the four radiographic signs)
181
What pathology is seen here?
Osteoarthritis (no picture frame appearance associated with OA)
182
What pathology is seen here?
OA
183
What joint does Heberden's node affect with OA?
The distal phalange
184
What are the two types of bone spurs seen with OA?
Types of bone spurs (Heberden's-distal joint), and (Bouchard’s-IPJ)
185
What is Osteochondritis Dissecans?
Necrotic separation of segment of bone and cartilage
186
What is the cause of Osteochondritis Dissecans?
Idiopathic
187
What bones does Osteochondritis Dissecans primarily affect?
Primarily affects knee, ankle, elbow
188
What does Osteochondritis Dissecans progress to over time?
OA
189
What are the four radiographic signs of Osteochondritis Dissecans (x-ray)
1. Radiolucency or flattening about cortical surface 2. Contour abnormalities 3. Density Changes (lucency and sclerosis) 4. Fragmentation (one chip pulled away)
190
What are the two MR signs of Osteochondritis Dissecans?
1. High intensity at interface and through articular cartilage (between the area of necrosis and normal bone you will see high signal) 2. Fluid cysts beneath lesion
191
What pathology is seen here?
Osteochondritis Dissecans (Clear area of the bone where it is darker)
192
What pathology is seen here?
Osteochondritis Dissecans-Not seeing the free fragments but seeing the free bone
193
What is the cause of Rheumatoid Arthritis (RA)?
Idiopathic, auto-immune disease
194
What is Rheumatoid Arthritis (RA)?
Body starts to attack the joints
195
Where does RA begin and where does it progress to in the body?
Typically symmetrical starting with the small joints in the fingers, hands, toes, and feet. Progresses toward the trunk affecting all joints.
196
What population does RA mostly affect?
Females
197
What are the progressive steps of RA?
1. Begins as a synovitis 2. Joint space narrowing and cortical erosions 3. Erosions lead to deformities and subluxations or dislocations
198
What is synovitis?
Periarticular soft tissue swelling
199
What pathology is seen here?
RA
200
What pathology is seen here?
RA Subfluxation of C1/C2 -Black arrow-Anterior arch
201
What is another name for Ankylosing Spondylitis?
“Bamboo spine” or Marie Strumpell Disease
202
# T/F Ankylosing Spondylitis is a variant of rheumatoid arthritis
True
203
What population is affected most with Ankylosing Spondylitis?
Males
204
**What are the progressive steps of Ankylosing Spondylitis**
1. Begins in SI joints and progresses up 2. Joints get inflamed, tissues become ossified 3. Ossification of the paravertebral tissues and longitudinal ligament
205
What pathology is seen here?
Ankylosing Spondylitis ## Footnote Bony formation along lateral and anterior borders
206
What are the sign and symptoms of Osteomyelitis
Fever or chills Pain in the area of the infection Swelling, warmth and redness over the area of the infection
207
What are the 3 ways in which individuals can get Osteomyelitis?
Hematogenous spread (through the blood) Extension from adjacent site of infection Direct introduction or from a wound
208
What is Osteomyelitis?
Inflammation of bone and bone marrow
209
What occurs to the body as osteomyelitis starts and then begins to spread?
1. Begins as an abscess (hard to see at the beginning) 2. Spreads down the medullary cavity and towards the surface 3. Lifts the periosteum and may spread a long way
210
# T/F Osteomyelitis may take 1-2 weeks to appear radiographically.
True
211
What are the two types of Osteomyelitis?
1. Acute 2. Chronic
212
What happens to the body physiologically with chronic osteomyelitis?
-Layered periosteal reaction -Bony destruction with sclerosis (inner whiter part)
213
What happens to the body physiologically with acute osteomyelitis?
Deep soft tissue swelling (not seen well on x ray)
214
What is the best modality to image acute osteomyelitis?
Nuc med
215
Define the following term: Sequestrum
Destructed bone area (separate it, inner part sealed off)
216
Define the following term: new surrounding bone (new bone to contain it)
Involucrum
217
What pathology is seen here?
Osteomyelitis
218
What is Osgood-Schlatter’s Disease and what age group is it most common in?
-Apophysitis of the tibial tubercle/inflammation of the patellar ligament (ripping away bone) -Active adolescents
219
What is the best modality for imaging Osgood-Schlatter’s Disease?
MRI or Ultrasound
220
What are the imaging signs of Osgood-Schlatter’s Disease
-Patellar ligament is not as distinct in affected knee -Possible bone fragmentation -Soft tissue swelling
221
# T/F Osgood-Schlatter’s Disease can be bilateral or unilateral
True
222
What pathology is seen here?
Osgood-Schlatter’s Disease | See the swelling
223
What are the 5 types of Metabolic Bone Diseases?
Osteoporosis Osteomalacia Rickets Gout Paget’s Disease
224
What pathology is seen here?
Bone Metastases (note the osteolytic lesions)
225
What is the most common malignant bone tumours?
Bone Metastases
226
How does bone metastases spread?
Spread via bloodstream, lymphatics or direct extension
227
What areas of the body do bone metastases originate from?
prostatic, breast, kidney, thyroid, lung (PBKTL)
228
What is the best type of imaging for bone metastases?
NM bone scan or PET scans
229
What are the two types of bone metastases? Which will appear whiter in a radiographic image?
1. Osteoblastic (appears whiter) 2. Osteolytic
230
What bone metastases are osteoblastic
Prostatic cancer
231
What bone metastases are both osteoblastic and osteolytic?
Breast cancer
232
What bone metastases are osteolytic?
kidney, thyroid, lung
233
What is Multiple Myeloma and what age group does it mostly affect?
Widespread malignancy of plasma cells most common in ages 40 to 70
234
What imaging process is done for Multiple Myeloma
Skeletal survey (AP and a lateral of every bone in the body)
235
What types of bones are mostly affected with Multiple Myeloma
Marrow-containing flat bones most affected
236
What can multiple myeloma lead to?
Bone destruction, bone marrow failure, hypercalcemia, renal failure, and recurrent infections
237
What pathology is seen here?
Multiple myeloma -Don’t mix up with Pagents: (with pagents you will see white area)
238
What pathology is seen here?
Multiple myeloma
239
What pathology is seen here?
Ewing’s Sarcoma (Tend to be in larger areas and spread further into the shaft compared to Osteogenic Sarcoma or Osteosarcoma)
240
What pathology is seen here?
Ewing’s Sarcoma (Note the area of lysis, areas of the periosteum moving)
241
What is Ewing’s Sarcoma and what age group does it affect mostly?
Tumour of children and young adults (rare over 30)
242
What radiographic signs are visible with Ewing’s Sarcoma
-Permeative (large area) lytic lesions with periosteal reaction -“Onion-skin” appearance
243
What modality is used for staging Ewing's sarcoma?
MRI is used for staging
244
What T score indicates Osteoperosis?
2.5 SD
245
What is Osteoporosis? What can it lead to?
-Cortical thinning of the bone + loss of bone density -Leads to pathological and compression/wedge fractures (hip, spine)
246
What T score indicates Osteopenia?
-1.5 to -2.5 is osteopenia
247
What modality is used to diagnose osteoporosis?
BMD DXA scan is used to diagnose osteoporosis
248
What radiographic signs do you look for with osteoporosis?
Picture frame appearance
249
What pathology is seen here?
Osteoporosis
250
What is Osteomalacia and what is it caused by?
-Loss of bone density which creates "soft bone" -Caused by insufficient calcium, phosphorus, or vitamin D
251
What are the two common radiographic signs of Osteomalacia?
Bowing deformities and protrusio acetabuli
252
What is bowing Protrusio acetabuli?
Acetabulum is soft and causes it to protrude inwards toward the pelvis
253
What is a variation of osteomalacia and what is it caused by?
-Rickets-same but in children -Caused from not enough calcium or vitamin D
254
What types of bones is rickets seen in more?
Seen more in faster-growing portions of bones
255
What pathology is seen here
Osteomalacia (difference btwn this and Osteoporosis is that you cannot see the fine detail of the cortex with osteomalacia where as with OP you can)
256
What pathology is seen here?
Protrusio acetabuli -Osteomalacia
257
What pathology is this image showing?
Kid with rickets before and after vit. D supplements (in the top image-flatter looking)
258
What pathology is this describing? Disorder in the metabolism of purine
Gout
259
What does a disorder of the metabolism of purine lead to?
Turns and Leads to elevated levels of uric acid in blood (hyperuricemia) which deposits of uric acid crystals in joints, cartilage, and kidney as seen in GOUT
260
**What is the cause of “rat bite lesions” as seen in GOUT?**
Caused by Tophi (uric acid crystals) form along the joint margin and eventually erode away the bone
261
What are the INITIAL radiographic signs of GOUT?
Initially produces inflammation, joint effusion, and peri-articular swelling
262
Where is the most common spot for GOUT to appear?
The big toe
263
What pathology is seen here?
GOUT ## Footnote Overhanging edges, swelling around the joint Rat bite lesions
264
What pathology is seen here | (aplogies to your eyes)
Gout uric acid formation (calcified)
265
What pathology is seen here?
Osteosarcoma (Periosteum lifting away seen)
266
What is Osteosarcoma and in what age/population does it appear in?
-Aggressive, malignant tumour -Typically arises between ages of 10 to 25 or in older patients with Paget’s disease
267
What are the radiographic signs of Osteosarcoma?
-Periosteal reaction (elevation); lifted away from the bone) -Codman’s Triangle (looks like SAIL sign) -Associated soft tissue mass
268
Where does Osteogenic Sarcoma or Osteosarcoma typically appear in the body?
Metaphysis of long bones especially knee
269
What pathology is shown here?
Osteochondromas ## Footnote -Neoplasm gets more radiolucent at the top -Cortex is smooth even though its growing in a weird shape -Chance for pathological fracture -Do not see the periosteum lifting off of it
270
What is Osteochondromas? Where is the most common site for it to appear?
-Projection of bone (exostosis-projecting outwards) with a cartilaginous cap -Most common at the knee
271
# T/F Osteochondromas can be painful, and can also become malignant.
True
272
What pathology is seen here?
Simple Bone Cyst-Benign | Septations (not irregular radiolucency), pathological fracture
273
What pathology is seen here?
Simple bone cyst-Benign ## Footnote Single area filled with fluid (common area)
274
What is a simple bone cyst? Can they hurt?
-Fluid-filled cyst with a fibrous wall (may have septations-not irregular radiolucency) -Sometimes can hurt
275
Where are simple bone cysts ussually found?
Often found in the proximal humerus or femur mataphyses
276
# T/F Simple bone cysts may be an Incidental finding or may produce a pathological #
True
277
What are 3 charecteristics of benign tumours?
1. As tumour expands, cortex remains intact 2. Smooth borders (could be weird shapes, but smooth) 3. Well defined margins
278
What are 4 characteristics of malignant tumours?
1. Cortical bone erosion as tumour expands 2. Poorly defined margins 3. Effects the edges of the bone 4. Periosteal reaction
279
What is Paget’s Disease “Osteitis Deformans” and what is it caused by?
-Common chronic metabolic disease of the skeleton which causes excessive bone breakdown and disorganized new bone formation -Idiopathic diseases
280
What parts of the body does Paget’s Disease “Osteitis Deformans” affect?
Affects pelvis, femurs, skull, tibias, vertebrae, clavicles, and ribs
281
What is one of the main risks of Pagets disease?
May develop into osteosarcoma
282
What are the radiographic signs of Paget's disease
Bones affected have a mottled, cotton-wool appearance (from irregular formation)
283
What pathology is seen here?
Paget's disease
284
What pathology is seen here?
Paget's disease (note cotton ball appearance)