Ca broncogenico Flashcards

(4 cards)

1
Q

Cuales son los tipos de ca?

A

Celulas pequeñas= mejor px
adenocarcinoma= mas común
celulas pequeñas= mas culero

How well did you know this?
1
Not at all
2
3
4
5
Perfectly
2
Q

Clinica?

A

Tos cronica
hemoptisis
disnea
fiebre

How well did you know this?
1
Not at all
2
3
4
5
Perfectly
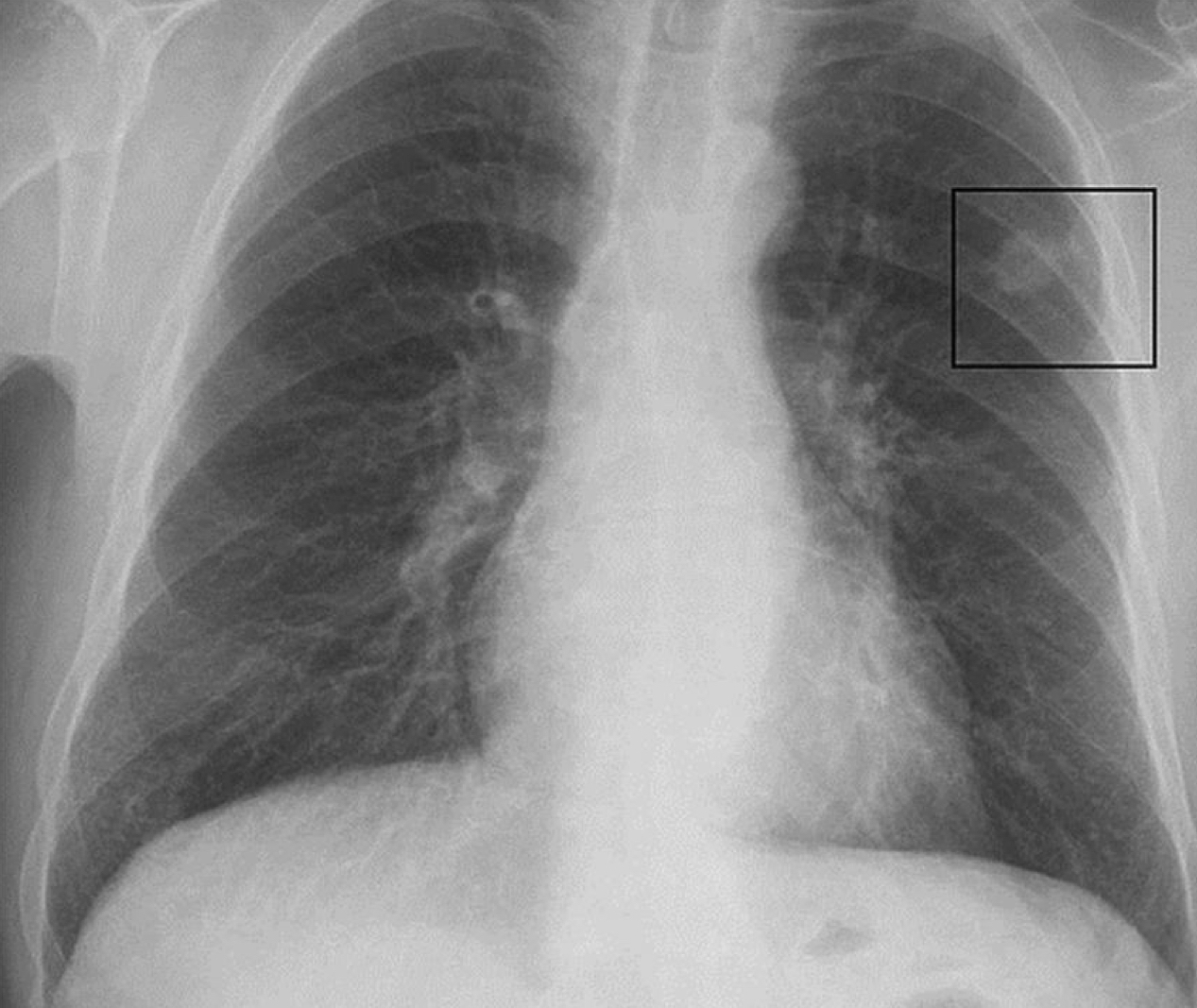
3
Q

Que se ve ?

A

Nodulo solitario

Promedio= 2.5

común en lob sup

How well did you know this?
1
Not at all
2
3
4
5
Perfectly
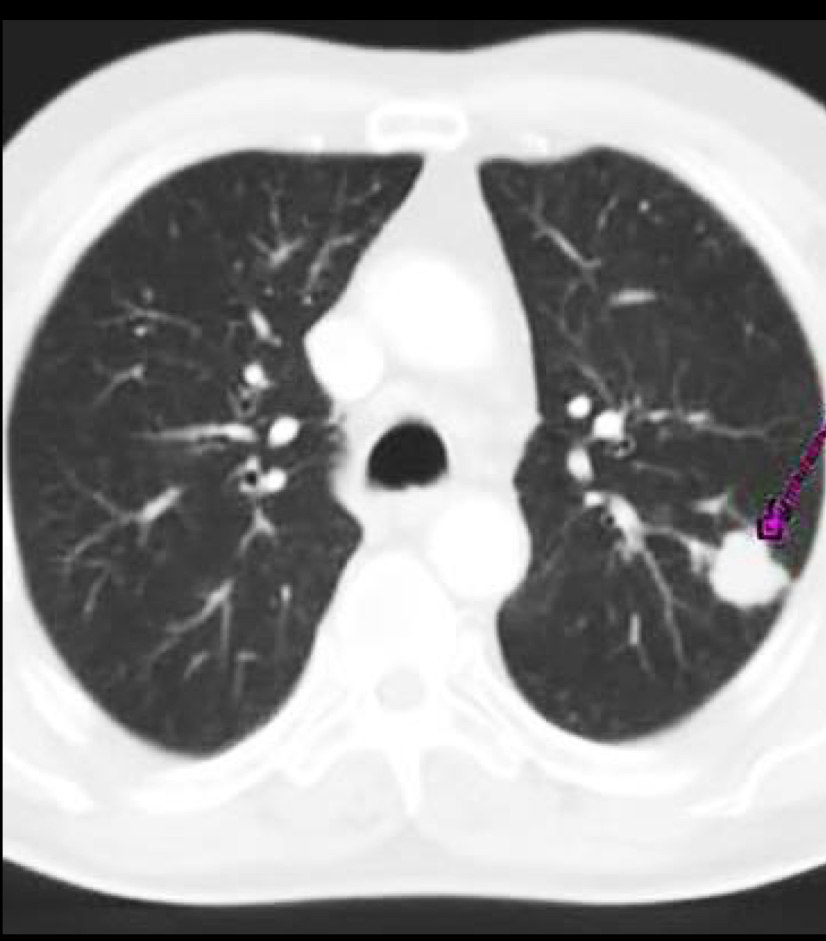
4
Q

Que es?

A

Tc de ca

Nodulo 8-15 mm

se puede cavitar

SIEMPRE CON CONTRASTE

How well did you know this?
1
Not at all
2
3
4
5
Perfectly