Oido Flashcards

(9 cards)

1
Q

Que es la otitis media y clinica?

A

Infección del oido medio
* Perdida de la audicion unilateral conductiva
* obstruccion de esutaquio
* Masa incidental
* IVA mal tratadas

4-20 años

How well did you know this?
1
Not at all
2
3
4
5
Perfectly
2
Q

Que es?

A

**TC Mejor estudio **
Otitis media
Masa bien definida en oido medio que tapa aire

How well did you know this?
1
Not at all
2
3
4
5
Perfectly
3
Q

Que es?

A

RM DE OTITIS MEDIA
indicada en complicaciones

T1= masa hipointesa
t2= hiperintensa

How well did you know this?
1
Not at all
2
3
4
5
Perfectly
4
Q

Que es la mastoiditis

A

infeccion de la apofisis mastoides
aguda
cronica= complica con resorcion osea y desmineralización

Niños/ complicacion de Otitis

How well did you know this?
1
Not at all
2
3
4
5
Perfectly
5
Q

Que es?

A

Tc de mastoiditis LO MEJOR

opacificacion de las celdillas mastoideas
coleccion de liquido
cronico= enfrosamiento oseo

How well did you know this?
1
Not at all
2
3
4
5
Perfectly
6
Q

Que es el colesteatoma?

A

neoplasia epidermica que crece dentro del conducto auditivo
Benigno de comportamiento maligno

How well did you know this?
1
Not at all
2
3
4
5
Perfectly
7
Q

Clinica del colesteatoma?

A

destruye hueso y cadena osicular
dolor retoauricular
sordera
cefalea
meningitis

How well did you know this?
1
Not at all
2
3
4
5
Perfectly
8
Q

Que estudios se usan y que se ve colesteatoma?

A

TC Y RM
mismos hallazgos en otitis y mastoiditis
MASA QUE DESTUYE HUESO= SOLO ASI SE DIFERENCIA

RM T2 MEJOR DX BRILLA

How well did you know this?
1
Not at all
2
3
4
5
Perfectly
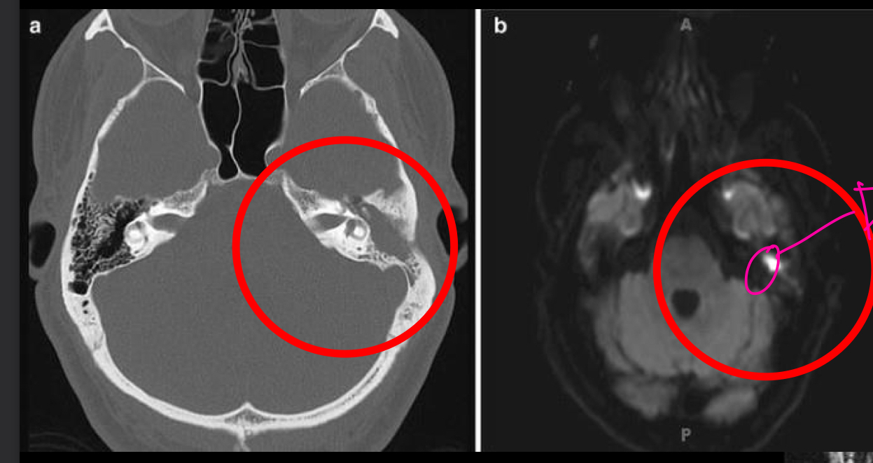
9
Q

Que es?

A

RM T2 COLESTEATOMA
BRILLA
MASA QUE DESTRUYE HUESO

How well did you know this?
1
Not at all
2
3
4
5
Perfectly