Órbita Flashcards

(17 cards)

1
Q

¿Que es la orbitopatia tiroidea?

A

Enfermeadad de Graves
Enf autoinmune asociada a la disfunción tiroidea

+ comun mujeres + agresiva hombres

How well did you know this?
1
Not at all
2
3
4
5
Perfectly
2
Q

Clinica de la orbitopatia tiroidea?

A

edema periorbital
dolor
retracción del parpado
ojo seco
diplopia
EXOFTALMOS

How well did you know this?
1
Not at all
2
3
4
5
Perfectly
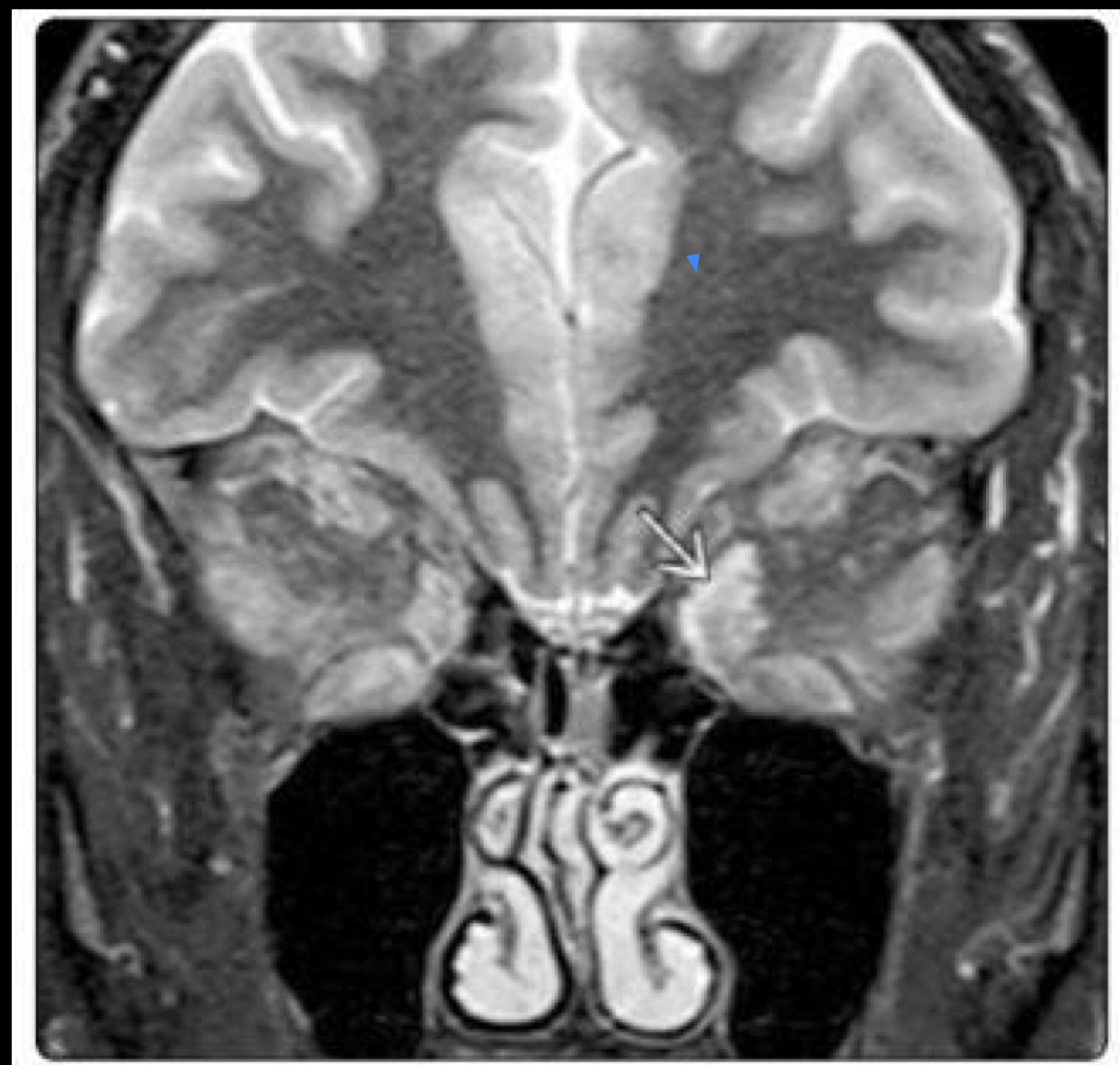
3
Q

Que se ve en la imagen de orbitopatia tiroidea?

A

Agrandamiento BILATERAL de los musculos extraoculares

Tc-> aboradar enf no complicada y cirugia
RM-> decidir tratamiento y compromiso del nervio óptico

How well did you know this?
1
Not at all
2
3
4
5
Perfectly
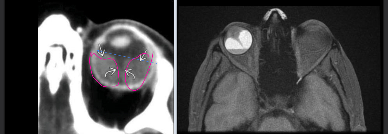
4
Q

Que es?

A

TC ORBITOPATIA TIROIDEA
* Agrandamiento de los musculos extraoculares
* Exoftalmos
* nervio optico estirado

How well did you know this?
1
Not at all
2
3
4
5
Perfectly
5
Q

Que es?

A

RM ORBITOPATIA TIROIDEA
T1: muculos grandes
T2: aumento de señal en musculos agudos/Baja en cronico

How well did you know this?
1
Not at all
2
3
4
5
Perfectly
6
Q

Cual es la causa mas comun de exoftalmos?

A

orbitopatia tiroidea

Proptosis tambien llamada

How well did you know this?
1
Not at all
2
3
4
5
Perfectly
7
Q

Cual es la clinica de exoftalmos?

A

edema palpebral
dolor retroocular
diplopia

How well did you know this?
1
Not at all
2
3
4
5
Perfectly
8
Q

Como se hace el diagnostico de exoftalmos?

A

Exoftalmometria normal 16-17mm
Dif 2 mm anormal

Imagen
RM MEJOR
Tc

How well did you know this?
1
Not at all
2
3
4
5
Perfectly
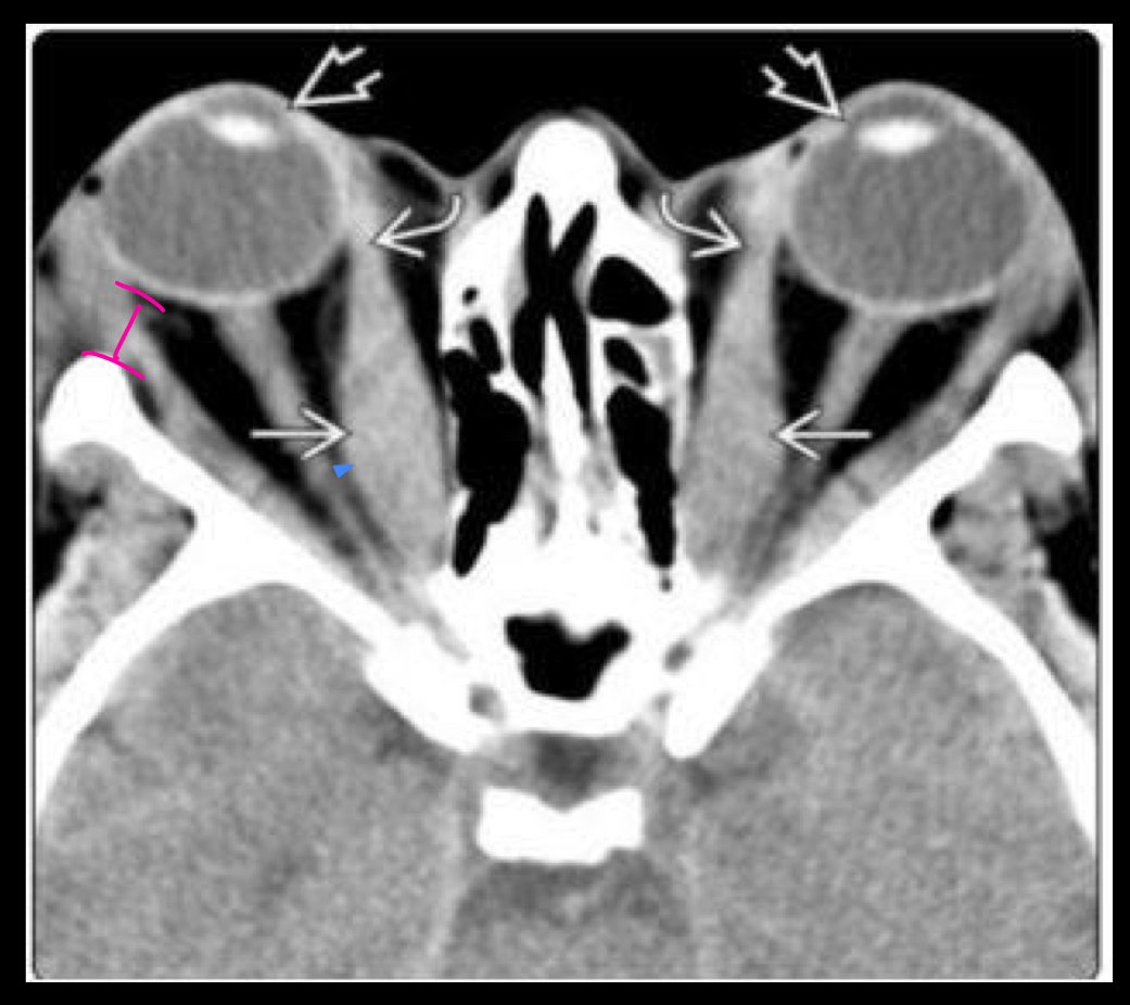
9
Q

Que es?

A

Tc EXOFTALMOS
* protusion ocular anormal
* disociasion indice globo ocular-linea zigomatica
* Masa Ocupativas retrooculares

How well did you know this?
1
Not at all
2
3
4
5
Perfectly
10
Q

Que es el retinoblastoma y sus subtipos?

A

Tumor maligno de la retina
Trilateral: retinoblastoma bilateral + t. neuroplastico intracraneal
Cuadrilatera: Retinoblastoma bilateral+ t. pineal y suprecelar

How well did you know this?
1
Not at all
2
3
4
5
Perfectly
11
Q

Clinica del retinoblastoma?

A

Leucocoria
Perdida de vision
estrabismo
niños-18 meses

How well did you know this?
1
Not at all
2
3
4
5
Perfectly
12
Q

Que se ve en imagen y que estudios se usan RETINOBLASTOMA?

A

Calcificaciones intraoculares

Tc-> calcificaciones
RM-> mapeo del tumor
US-> si no se tiene otro lesion hiperecogenica con calcif

How well did you know this?
1
Not at all
2
3
4
5
Perfectly
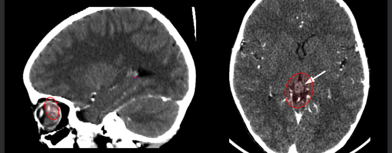
13
Q

Que se obsevra?

A

Tc Retinoblastoma trilateral
* Calcificación en ojo
* Capta contraste
* Tumor pineal

How well did you know this?
1
Not at all
2
3
4
5
Perfectly
14
Q

Que es y sus tipos de desprendimiento de retina

A

ceguera por desprendimiento de 9 capas

Regmatogeno(trauma)
No regmatogeno( retinopatia diabetica o neoplasias)

How well did you know this?
1
Not at all
2
3
4
5
Perfectly
15
Q

Como se hace el diagnostico de desprendimiento de retina?

A

Fondoscopia
US/TC
RM-> evalua neoplasias o fondoscopia no concluyente

How well did you know this?
1
Not at all
2
3
4
5
Perfectly
16
Q

Qué es?

A

US de desprendimiento de retina
Retina doblada y brillante
Forma triangular

17
Q

Que es?

A

Tc y RM de desprendimiento de retina
Hiperdensidad y hiperintensidad
fluido subretinianio
neoplasias
trauma
retina triangular