Trauma abdominal Flashcards

(8 cards)

1
Q

Que es la perforacion de viscera hueca?

A

Disrupción de las paredes de viscera abd hueca

Causas= Inflamcaión, ulceras, diverticulos, cuerpo extraño y cx

How well did you know this?
1
Not at all
2
3
4
5
Perfectly
2
Q

Que se ve el la rx de perforacion de viscera hueca?

A

AIRE LIBRE SUBDIAFRAGMATICO SEMILUNAR

TELE DE TORAX, DE PIE O SENTADO

rX DE ABD DE PIE

How well did you know this?
1
Not at all
2
3
4
5
Perfectly
3
Q

Que es el usg FAST?

A

Buscar liquido libre intraperitoneal ( hemoperitoneo)

Espacio hepato y esplenorrenal
pericardio
fondo de saco

ALTA SENSIBILIDAD Y ESPECIFICIDAD

SE USA EN TRAUMA

How well did you know this?
1
Not at all
2
3
4
5
Perfectly
4
Q

Que se ve en la TC de perforasion?

A

Neumoperitoneo y liquido libre

How well did you know this?
1
Not at all
2
3
4
5
Perfectly
5
Q

Que es el trauma cerrado de abd?

A

Contusion abdominal
(puño, piso, bici, etc)
sin perdida de la pared

How well did you know this?
1
Not at all
2
3
4
5
Perfectly
6
Q

Sirve la rx para trauma cerrado de abd?

A

NO

How well did you know this?
1
Not at all
2
3
4
5
Perfectly
7
Q

Que se usa para trauma de abdomen cerrado?

A

FAST US
O
TC

How well did you know this?
1
Not at all
2
3
4
5
Perfectly
8
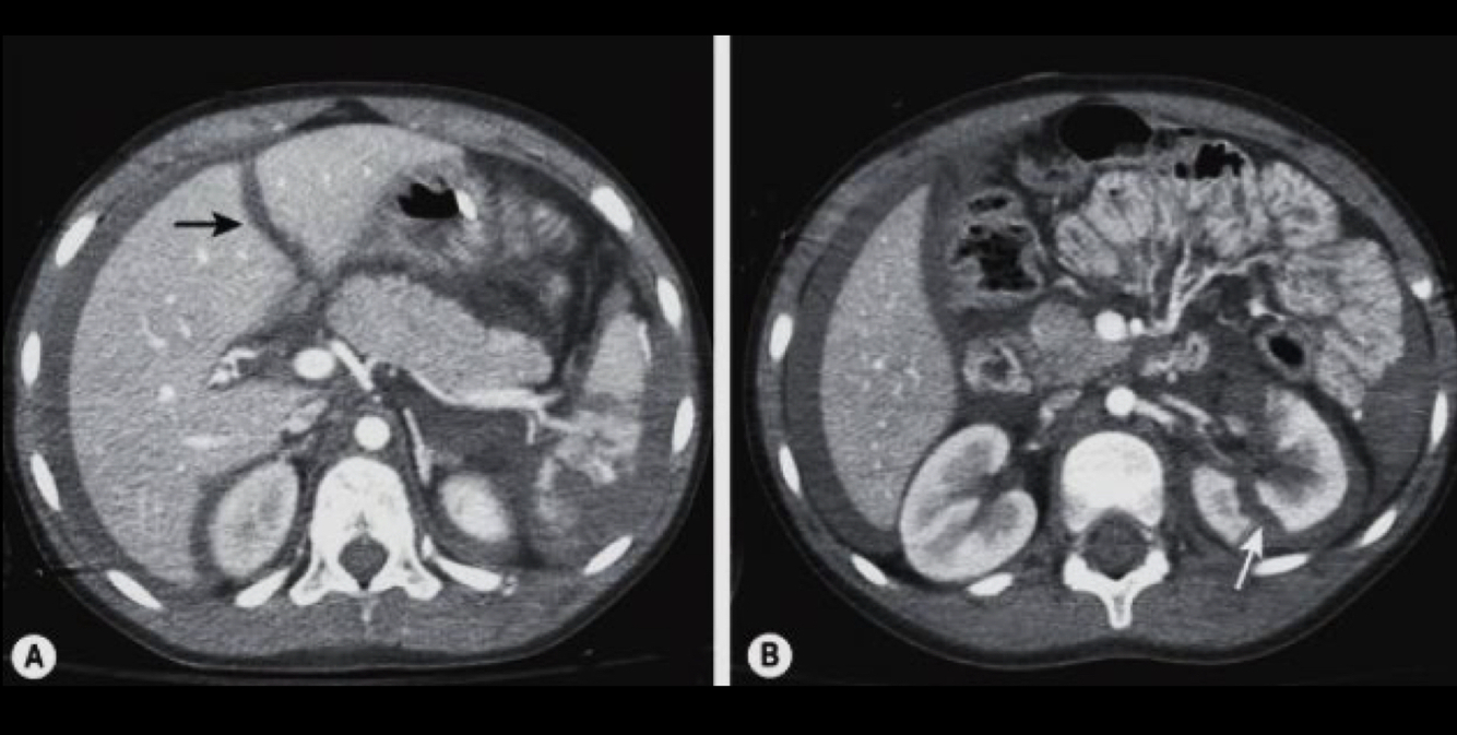
Q

Que es?

A

TC trauma de abd cerrado
se ve
higado, bazo, pancreas, riñones

liquido, hemorragia, aire, laceraciones, infartos

How well did you know this?
1
Not at all
2
3
4
5
Perfectly