Evc Flashcards

(17 cards)

1
Q

Cuales son los tipos de EVC?

A

Isquemico 80%
Hemorragico%

2da causa de muerte y 3era de discapacidad

How well did you know this?
1
Not at all
2
3
4
5
Perfectly
2
Q

Cuando es reversible e irreversible?

A

Penumbra: revesrsible
core: irreversible

How well did you know this?
1
Not at all
2
3
4
5
Perfectly
3
Q

Que sucede en la Tc en fase hiperaguda?

A

0-6hrs
Perdida de dif entre sustancia gris y negra
“signo de la cinta insular”

How well did you know this?
1
Not at all
2
3
4
5
Perfectly
4
Q

Que sucede en la Tc en fase aguda?

A

7-24hrs
edema, borramiento giros y efecto de masa

fijarse en ventriculos y giros

How well did you know this?
1
Not at all
2
3
4
5
Perfectly
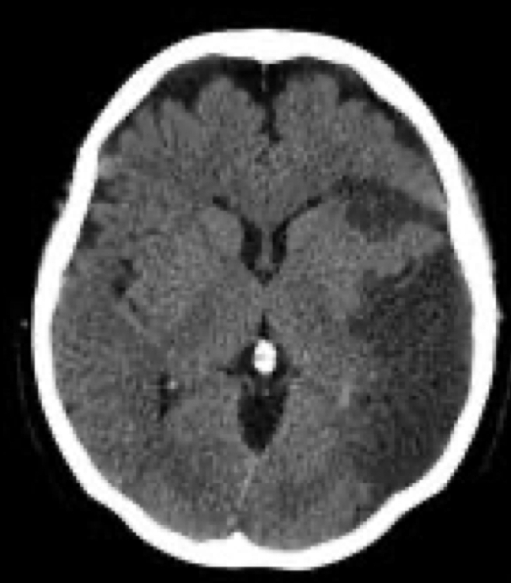
5
Q

Que es?

A

ECV isquemico agudo

How well did you know this?
1
Not at all
2
3
4
5
Perfectly
6
Q

Que sucede en la Tc en fase subaguda?

A

24-72hrs
menor edema mayor hipodensidad

How well did you know this?
1
Not at all
2
3
4
5
Perfectly
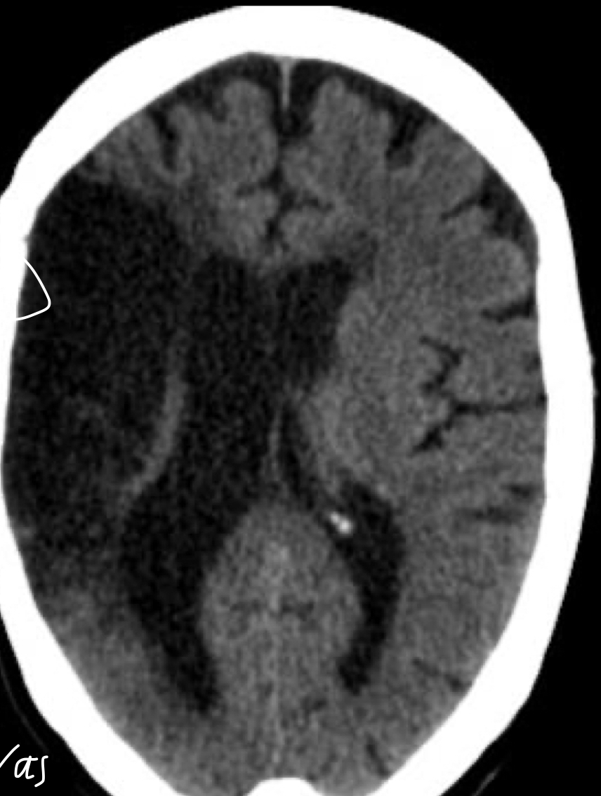
7
Q

Que es?

A

EVC isquemico subagudo

How well did you know this?
1
Not at all
2
3
4
5
Perfectly
8
Q

Que sucede en la Tc en fase crónica?

A

meses-años
Hipo densidad marcada
efecto de masa negatico(jala ventriculos)

How well did you know this?
1
Not at all
2
3
4
5
Perfectly
9
Q

¿Que es?

A

EVC isquemico crónico

How well did you know this?
1
Not at all
2
3
4
5
Perfectly
10
Q

Que otros estudios para EVC isquemico?

A

AngioTC
PerfuTC (Core y penumbra)
RM

How well did you know this?
1
Not at all
2
3
4
5
Perfectly
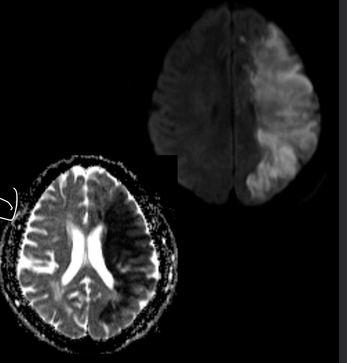
11
Q

Que secuencia se usa en RM para ver EVC agudo?

A

DIFUSION DWI /ADC

How well did you know this?
1
Not at all
2
3
4
5
Perfectly
12
Q

Qué es?

A

RM de EVC isquemico

How well did you know this?
1
Not at all
2
3
4
5
Perfectly
13
Q

causas de EVC hemorragico?

A

Presión alta( en ganglios basales) + frecuete
Aneurisma
MAVS(+comun 15-30)

How well did you know this?
1
Not at all
2
3
4
5
Perfectly
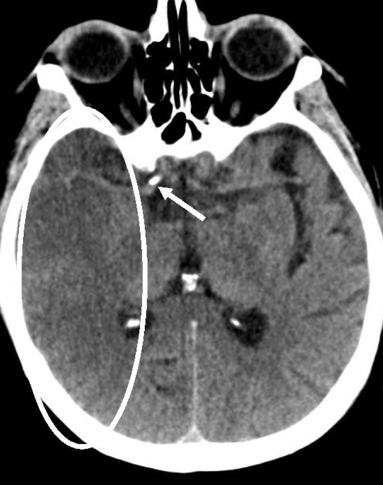
14
Q

Que signo ves aqui?

A

RM de evc Hemorragico
Signo de “Falso realce”
se ve poligono de willis
sin contraste

How well did you know this?
1
Not at all
2
3
4
5
Perfectly
15
Q

Que es vaso espasmo?

A

Que de evc hemorragico se conviarta a isquemico

EVC hemorragico se clasifica con FISHER

How well did you know this?
1
Not at all
2
3
4
5
Perfectly
16
Q

La RM sirve para EVC hemorragico AGUDO?

17
Q

Cuales son los pasos para abordaje del EVC

A

Clicica
TC= datos de hemorragia = angiotc para causa= tx qx o embolización

Tc= sin hemmorragia= isquemico= trombolisis= tc para reperfusión = RM para lesión residual