1
Q

Tapeworm infection is from?

A

Consumption of undercooked meat containing cysts

How well did you know this?
1
Not at all
2
3
4
5
Perfectly
2
Q

Beef tapeworm name? Life cycle?
How big does it get?

A

Taenia saginata
-Humans consume cysts enclosed in muscles of herbivores
-Worm then attaches to small intestine with suckers
-Slowly grows more segments from its head
-May grow up to 10m and live 25 years producing 50k eggs a day
-Eggs out in stool which infect cattle

How well did you know this?
1
Not at all
2
3
4
5
Perfectly
3
Q

Which worm causes cysticercosis? life cycle? difference to taeniasis

A

Taenia Solium

Cysticercosis
Consumption of food contaminated with T solium eggs
->Hatch into larvae and migrate to muscle /brain
-> form cysts

Taeniasis
Eat Pig meat containing cysts (with larvae)
-> adult T solium hatch in gut -> Taeniasis

How well did you know this?
1
Not at all
2
3
4
5
Perfectly
4
Q

Usual Sx of taeniasis?

A

Minimal with abdo discomfort and vauge sx.
May pass large segment of worm or vomit it out

How well did you know this?
1
Not at all
2
3
4
5
Perfectly
5
Q

Dx taenia ? 2 ways to differentiate saginata and solium?

A

Microscopy of stool for eggs / scolex

-PCR
-Saginata has >12 branches on uterus on microscopy

How well did you know this?
1
Not at all
2
3
4
5
Perfectly
6
Q

Size of tissue cysts in cysticercosis? where are they found?

A

1-2cm

Muscle (palpable) - eventually form calcified streaks

brain - seizures

How well did you know this?
1
Not at all
2
3
4
5
Perfectly
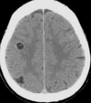
7
Q

Most common cause of non-epileptic seizures worldwide

A

Neurocysticercosis

How well did you know this?
1
Not at all
2
3
4
5
Perfectly
8
Q

Neurocysticercosis rx? What else is needed?

A

praziquantel and Albendazole
Dexamethasone
Needs antiepileptics if seizures

How well did you know this?
1
Not at all
2
3
4
5
Perfectly
9
Q

Fish tapeworm called?

A

Dibothriocephalus latum/Adenocephalus pacificus (formerly
diphyllobothrium latum)

How well did you know this?
1
Not at all
2
3
4
5
Perfectly
10
Q

Usual drug for all intestinal cestode (tapeworm)?
Main alternative?

A

Praziquantel single dose (around 10mg/kg)
[Niclosamide is alternative]

How well did you know this?
1
Not at all
2
3
4
5
Perfectly
11
Q

What causes hydatid disease

A

Echinococcus granulosus

Tapeworm from dogs / sheep / cattle
-Usually in areas of sheep / cattle farming

How well did you know this?
1
Not at all
2
3
4
5
Perfectly
12
Q

Echinococcus granulosus life cycle

A

dogs (definative host) harber 3-6mm adult tapeworm which lays eggs -> faeces
-> Ingested by sheep / humans and develop into cyts with fibrous capule (hydatid cyst) which may grow over several years
-> Dogs eat meat with cysts in

How well did you know this?
1
Not at all
2
3
4
5
Perfectly
13
Q

Where do hydatid cysts usually develop? sx?

A

70% in liver (usually right lobe)
-Usually painless (unless secondary bacterial infection which is common)

20% in lungs -> general respiratory sx and may cough up cyst
[may be single or multiple]

Bone enters bone marrow - may cause pathological fractures

Brain, spleen, heart, kidneys …

How well did you know this?
1
Not at all
2
3
4
5
Perfectly
14
Q

What is ‘water lily’ appearance on CXR

A

Collapse hydatid cyst

How well did you know this?
1
Not at all
2
3
4
5
Perfectly
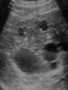
15
Q

Hydatid cysts ix?

A

CXR
CT - eg water-lilly sign
US - Snowflake sign
-Either see Single cyst or with daughter cysts

ELISA for IgG (sensitive but not specific)
Western blot

How well did you know this?
1
Not at all
2
3
4
5
Perfectly
16
Q

Hydatid cysts rx options?

A

Albendazole

Percutenous aspiration under US
-PAIR - Puncture, aspirate, Inject (hypertonic saline / alcohol) Re-aspirate
ONLY for liver cysts

Surgery
[Albendazole +/- praziquantel before and after procedure]

How well did you know this?
1
Not at all
2
3
4
5
Perfectly
17
Q

Prevention / control hydatid

A

Mostly around dog control measures (prevent eating infected cysts or treat with praziquantel

Vaccination of sheep / dogs

How well did you know this?
1
Not at all
2
3
4
5
Perfectly
18
Q

What is the difference in host and cysts between Echinococcus multilocularis vs E granulomatosus? Rx?

A

Multilocularis - mostly foxes
Doesnt tend to have fibrous capsules -> invades similar to a malignant liver Ca

Sugery with pre and post albendazole

How well did you know this?
1
Not at all
2
3
4
5
Perfectly
19
Q

Dwarf tapeworm real name

A

Hymenolepis nana
2-3mm

How well did you know this?
1
Not at all
2
3
4
5
Perfectly
20
Q

Hymenolepis nana life cycle?

A

Infected when injest eggs (either from infected insects or human fecaes)
Develop in intestines

Autoinfection

How well did you know this?
1
Not at all
2
3
4
5
Perfectly
21
Q

Hymenolepis nana clinical features? Infective vs diagnostic stage?

A

Often Asx
Non-specific symptoms often abdo/ headaches
Children get sleep and behaviour disturbance
[Nana annoys the kids]

-Infective stage: embryonated egg
infected arthropods (beetles, fleas)
-Diagnostic stage: eggs ,

How well did you know this?
1
Not at all
2
3
4
5
Perfectly
22
Q

Hymenolepis nana Dx rX?

A

Eggs in stools / ELISA

Praziquantel dose then dose after 10 days

[Niclosamide for 7 days, Nitrazoxanide for 3 days]

How well did you know this?
1
Not at all
2
3
4
5
Perfectly
23
Q

18 fever, jaundice, RUQ pain, Respiratory distress,
CT - hepatomegaly with cholangitis and large cystic lesions

A

Hydatid

How well did you know this?
1
Not at all
2
3
4
5
Perfectly
24
Q

3 species of hydatid

A

Echinococcus granulosus: Cystic HD
- E. multilocularis: Alveolar HD
- E. vogeli, (E. oligarthra): Polycystic HD

How well did you know this?
1
Not at all
2
3
4
5
Perfectly
25
Intermediate vs definitive host Echinococcus
Sheep - intermediate Dogs - definitive
26
How does hydatid cysts cause issues (3 parts)
1. Mass effect: Compression, obstruction, erosion 2. Allergy, anaphylaxis 3. Infection
27
Rupture of hydatid cyst causes what issues
Allergic reaction Peritoneal seeding - may develop 100s of cysts Cholangitis - especially if communication with bile duct Liver abscess
28
Hydatid looks like some big bubbles with smaller ones inside or near what species is this?
Echinococcus granulosus Main cysts which forms lots of daughter (smaller than main) cysts around
29
Hydatid stage 1 vs 2 vs 3 vs 4 vs 5
1 single cyst 2 - Single with daughter cysts 3a - Transitional with partial detachement of membrane 3b - cyst with solid components and daughter cysts 4 - Solid compnents predominate 5 - Inactive - with complete calcification of boarder
30
When surgery for hydatid?
Cyst >10cm Presense of daughter cysts Infected Likely to rupture compression of vital structures..... Mortality 1%
31
Albenzadole monitoring
Monitor WBC and transaminases every 2 weeks [then monthly after 2 months]
32
Contra indications albendazole
Pregnancy Chronic liver disease Bone marrow depression
33
2 options for perisurgical chemo in hydatid
Albendazole or praziquantel
34
Who is PAIR used for in hydatid
Liver: CE1 and CE3a Abdominal cavity, spleen, kidney
35
Bar PAIR what is the other percutaneous option for hydatid ? In who? differences to PAIR ?
Modified Catheterization Techniques (MoCAT) - Liver: CE2 and CE3b - Evacuation of the entire parasitic membranas - Catheter left in place Dont need to check bilirubin
36
When using PAIR for liver cysts what do you need to check?
After aspirate make sure no bilirubin -> otherwise when inject alcohol will cause necrosis of bile duct
37
Hydatid stages and rx?
1 - < 5 cm ABZ > 5 cm PAIR + ABZ 2 Non-PAIR PT + ABZ Surgery + ABZ 3a < 5 cm ABZ > 5 cm PAIR + ABZ 3b Non-PAIR PT + ABZ Surgery + ABZ [W&W] 4 Watch and Wait 5 Watch and Wai
38
Echinococcus multilocularis called? Key difference in host?
alveolar hydatid Fox
39
Where alveolar cyst (E multilocularis) most common
LIVER - 99% [Echinococcus multilocularis]
40
Rx Echinococcus multilocularis
Radical surgery Long term albendazole for minimum 2 years
41
CT showed Multiple cysts in liver without daughter cysts in 'bunch of grapes' = which hydatid? Rx
Echinococcus vogeli, E. oligarthra [polycystic hydatid] Looks more like a bunch of grapes Radical surgery Long term albendazole for minimum 2 years
42
Dog tapeworm called ? Life cycle
Dipylidium caninum Eggs → flea larvae → cysticercoid (adipose tissue and muscles) → adult flea → human swallows → adult tapeworm
43
Where do the fleas live for dog tapeworm
Dogs and cats
44
Dipylidium caninum - key clinical features ? Rx?
General abdo / eosinophilia Proglottids pass out of the anus, seen moving in stools, contain egg packets Praziquantel [or Niclosamide]
45
Which intestinal tapeworm classically causes b12 deficiency
Diphyllobothrium latum (fish)
46
Taenia general life cycles for solim/saginata
47
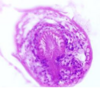
Hymenolepis nana scloex
48
Hymenolepis nana egg [nana has the dolies round her egg]
49
echinococcus granulosus
50
echinococcus granulosus
51
Dipylidium caninum proglotid
52
Dipylidium caninum egg packet
53
Diphyllobprthroid tapeworm life cycles
54
Taenia egg - thick, radially striated shell -six hooked embryo
55
Taenia egg - thick, radially striated shell -six hooked embryo
56
Taenia egg - thick, radially striated shell -six hooked embryo
57
T saginata - 4 suckers (may be pigmented), no rostellum, no hooks, thin and long
58
T saginata - >12 uterine branches (range 12 30), motile , lateral genital pore
59
T saginata - >12 uterine branches (range 12 30), motile , lateral genital pore
60
T Solium - 4 suckers , rostellum with double crown of hooks (armed), thin neck
61
T Solium - 4 suckers, rostellum with double crown of hooks (armed), thin neck
62
T Solium - <12 uterine branches (range 7 13), lateral genital pore.
63
T solium life cycle
64
Cysticercosis Infective vs diagnosic?
Infective stage: embryonated eggs Diagnostic stage: cysticercus (imaging,
65
Taenia solium Cysticercus cellulosae (larval stage)
66
Taenia solium Cysticercus cellulosae (larval stage)
67
Development of a spreading, multilobular cyst that may lack a scolex typically in the subarachnoid region called?
racemose cysticercosis
68
Echinococcus granulosus Life cycle? Infective stage? Diagnostic stage?
Infective stage : embryonated egg Diagnostic stage: hydatic cyst
69
Echinococcus granulosus 4 suckers , rostellum with double crown of hooks (armed), strobila 1 immature proglottid 1 mature proglottid 1 2 gravid proglottid
70
Echinococcus granulosus 4 suckers , rostellum with double crown of hooks (armed), strobila 1 immature proglottid 1 mature proglottid 1 2 gravid proglottid
71
3 layers of cyst in echinococcus granulosus
Pericyst (outer adventitia , host-derived fibrous tissue and blood Ectocyst (middle layer): elastic, laminated/cuticular layer, acellular hyaline layer. Endocyst (inner layer): germinal layer . Forms the ectocyst , brood capsules, hydatic
72
echinococcus granulosus
73
What are A-F
A - host tissue B - Laminated layer C - Germinal layer D - Brood capsule E - Protoscolites F - immature hooklets
74
E Granulosus protoscolex (note hooklets)
75
Buzz words for CE2 and CE3a in E. granulosus
76
Hymenolepis nana
77
Hymenolepis nana
78
Who am I and what fun facts?
Hymenolepis nana - smallest (2 4cm) and most common cestode infecting humans
79
Hymenolepis spp. rectangular (4x wider than longer: trapezoidal, “overlapped”) Structures : lateral genital pore (not visible), lobulated uterus filled with eggs , 3 testicular follicles.
80
Hymenolepis spp. lobulated uterus filled with eggs
81
Hymenolepis nana 4 suckers , short rostellum with a single row of hooklets (armed), thick neck Nana puckering for a kiss
82
Hymenolepis diminuta life cycle? Difference to nana? Infective vs diagnostic stage?
NO autoinfection -Infective stage : ingestion of an intermediate host carrying the cysticercoid larva -Diagnostic stage : eggs , proglottids (rare)
83
Hymenolepis Diminuta 2 membranes outer shell and inner embryophore Oncosphere with 6 hooklets Space between membranes has a smooth appearance No polar filaments no polar thickening Bile stained
84
Hymenolepis Diminuta
85
Hymenolepis Diminuta 4 suckers , rostellum with no hooks.
86
Hymenolepis Diminuta 4 suckers , rostellum with no hooks.
87
What disease might I give you?
Intermediate host (H. diminuta Confused flour beetle - T. confusum 3-6mm long
88
H diminuta - hookless invaginated scolex, tail .
89
Dibothriocephalus latus / Adenocephalus pacificus Look for the -operculum (Lid bit can be inconspicuous) - abopercular knob (barely discernible),
90
Longest tapeworm?
Dibothriocephalus latus / Adenocephalus pacificus 15m long wow nasty
91
Dibothriocephalus latus / Adenocephalus pacificus - spoon shaped , two sucking grooves
92
Dibothriocephalus latus / Adenocephalus pacificus -centrally located coiled + rosette shaped uterus
93
Dibothriocephalus latus / Adenocephalus pacificus
94
Prevention and control taeniasis
Adequate cooking of meat Vaccinate livestock from t saginata and t solium
95
How did peru interupt t solium?
Chemo of community - niclosamide Chemo of pigs - oxfendazole
96
Korean 46 yo F with 3 d perianal pruritus and passing noodle like material During year prior, had intermittent colicky abd pain, loose stool, “irritable bowel Colonoscopy revealed a long, moving tapeworm, in the terminal ileum and extending to the sigmoid colon Dx? Get from? Rx?
Dibothriocephalus ssp. -consumption raw fish Praziquantel single dose
97
Diphyllobothriid species locations? Key issue?
Cause b12 deficiency - as have a higher affinity b12 receptor than ours [Learn the europe and south america name]
98
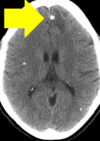
Ten year old from India with new onset seizures=? rx?
NeuroCysticercosis Praziquantel + albendazole + steroids + antiepileptics [if only 1 lesion can use just albendazole]
99
Why seizures in cysticercosis only after several years
Older cysts lose the ability to suppress inflammation -> Granuloma and inflammatory reaction around
100
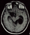
Symptoms: young person with HA, altered mental status, reduced visual acuity, Obstructive hydrocephalus - first thing you're thinking as a Dx? rx?
Ventricular cysticerci -> mechanical obstruction of CSF Optimal Rx is neuro endoscopic removal
101
Subarachnoid cysticercosis key issue?
Stroke
102
What clinical picture would you expect from NCC cysts in these locations? 1. Calcified 2. Subarachnoid 3. Ventricular 4. Single enhancing 5. Multiple cystic 6. Spinal
1. Calcified - Chronic epilepsy 2. Subarachnoid - meningitis and stroke 3. Ventricular - obstructive hydrocephalus 4. Single enhancing - benign 5. Multiple cystic - recurrent seizures 6. Spinal - paraplegia
103
Relevance of Ocular Cysticercosis
Make sure surgical removal before giving antiparasitics -Otherwise risk of inflammation and blindness
104
Cysticercosis ix?
Neuroimaging Western blot
105
Rx of calcified cysts in neurocysticercosis
Antiepileptics only +/- rx of oedema if present [You need to be sure they're not viable]
106
Name 3 worms capable of autoinfection
Strongy Hypenolepis nana capillaria philippinensis Enterobius vermicularis (kind of) T solium - rarely
107
Neurocystercircosis -If it is a SINGLE lesion rx? -Multiple?
Albendazole + Steroids +antiepileptics if needed + praziquantel for multiple
108
Multiple round 8-10 cm diameter spherical lesions in the right lung in a kid =? rx?
Echinococcus granulosus Surgery + post op albendazole
109
A college student returns from a vacation in Mexico noting passing long-thin noodle-like structures that wiggle as they come out. The structures are 1 cm wide 1-2 mm thick and in chains that vary from 2-12 cm Dx? Rx? 2nd line?
Tapeworm Praziquantel Niclosamide (or nitazoxanide)
110
Basal Subarachnoid NCC called?
racemose
111
Neurocystercecosis rx of: Viable live cysts: Calcified cysts: Extra-parenchymal eg ventricular cysts: Subarachnoid cysts eg racemose: Hydrocephalus but no viable cyst: Ophthalmic: Spinal:
Viable live cysts: Antiparasitic + steroids Calcified cysts: Steroids Extra-parenchymal eg ventricular cysts: Neuroendoscopic removal Subarachnoid cysts eg racemose: Antiparasitic + steroids (+ VP shunt if hydrocephalus) Hydrocephalus but no viable cyst: VP shunt Ophthalmic: Surgical Spinal: Surgical
112
What stage hydatid am I? Rx?
CE2 - Surgical + albendazole
113
What stage hydatid am I? Rx?
CE1 <5cm Albendazole >5 PAIR + albendazole
114
What stage hydatid am I? Rx?
CE3a - detachment of membranes <5cm Abz >5 PAIR + abz
115
What stage hydatid am I? Rx?
CE3b solid with daughters Surgery + Abz