1
Q

What does arbovirus mean?

A

Arthropod-borne virus
ie viruses that are transmitted by insects - Usually mosquitos or tics

How well did you know this?
1
Not at all
2
3
4
5
Perfectly
2
Q

3 main syndroms of arbovirus

A

Fever-athralgia-rash
Viral haemorrhagic fever
CNS infection

How well did you know this?
1
Not at all
2
3
4
5
Perfectly
3
Q

Key CNS arboviruses

A

Japanese encephalitis
Enterovirus 71
west nile virus

How well did you know this?
1
Not at all
2
3
4
5
Perfectly
4
Q

What does Chikungunya translate to? vector? Key way to differentiate from dengue

A

‘that which bends you over’
Aedes and culex mosquitos

Severe polyarthropathy

How well did you know this?
1
Not at all
2
3
4
5
Perfectly
5
Q

3 main syndroms of arbovirus

A

Fever-athralgia-rash
Viral haemorrhagic fever
CNS infection

How well did you know this?
1
Not at all
2
3
4
5
Perfectly
6
Q

Which is only arbovirus from anopheles mosquitos? key symptom?

A

o’nyong nyong

Conjunctivitis

ee oo
[Symmetrical O like a pair of eyes 👀]

How well did you know this?
1
Not at all
2
3
4
5
Perfectly
7
Q

Interval of how long between exposure and Sx rules out viral haemorrhagic fever

A

3 weeks

How well did you know this?
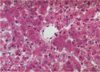
1
Not at all
2
3
4
5
Perfectly
8
Q

Lassa VHF caused by? Geography? transmission? Human-human? rx?

A

Arenavirus
West africa
Rodents / human-human
Ribavirn

[2 people riding rats with lasso in an arena]

How well did you know this?
1
Not at all
2
3
4
5
Perfectly
9
Q

Ebola / marburg VHF caused by? Geography? transmission? Human-human? rx?

A

Filovirus
Sub saharan africa
Bats / human-human
No rx

How well did you know this?
1
Not at all
2
3
4
5
Perfectly
10
Q

Hanta VHF caused by? Geography? transmission? Human-human? rx?

A

hantavirus
New and old world
rodents (NO human-human)
ribavirn

How well did you know this?
1
Not at all
2
3
4
5
Perfectly
11
Q

Crimean-congo VHF caused by? Geography? transmission? Human-human? rx?

A

Nairovirus
Europe / Asia / Africa
Hyalomma ticks / livestock / human-human
Ribavirn

[Congo by origin of river nail which travels through lots of countries. LOTS = even Europe. Only trop disease in Europe is tick borne]

How well did you know this?
1
Not at all
2
3
4
5
Perfectly
12
Q

Rift valley fever VHF caused by? Geography? transmission? Human-human? rx?

A

Phebovirus
Africa / middle east
Ades / mosquitos / livestock
Ribavirn

[Rift between You and phoebe because you went to africa and middlr east and she got bit by mosquitos and had to ride livestock ]

How well did you know this?
1
Not at all
2
3
4
5
Perfectly
13
Q

Dengue VHF caused by? Geography? transmission? Human-human? rx?

A

Flavivirus
Tropics
Ades mosquito-
no Human-human
No rx

How well did you know this?
1
Not at all
2
3
4
5
Perfectly
14
Q

Yellow fever VHF caused by? Geography? transmission? Human-human? rx?

A

Flavivirus
Africa / south america
Mosquitos / monkeys. No human
No rx

How well did you know this?
1
Not at all
2
3
4
5
Perfectly
15
Q

Key early features to make suspicious for VHF

A

Pharyngitis with ulcers (eg dysphagia / retrosternal chest pain)
Conjunctival injection - basically pronounced vessels
Petechiae
Prostration - too weak to do anything (lying face down)

How well did you know this?
1
Not at all
2
3
4
5
Perfectly
16
Q

Dx VHF ?

A

PCR
ELISA
IgM

[Need to be undertaken in biosafety level 4 labs]

How well did you know this?
1
Not at all
2
3
4
5
Perfectly
17
Q

Which VHF has sensory neural deafness as key complication long term ?

A

Lassa
[Loud crowd deafening]

How well did you know this?
1
Not at all
2
3
4
5
Perfectly
18
Q

Which VHF classically causes renal syndrome and non-cardiogenic Pulm oedema

A

Hantavirus
-requires Ribavirin

Hantavirus [in Panama like rodrick who’s got a good heart = non cardiogenic pulmonary oedema]

[note all VHF cause a degree of pulm oedema due to capillary leak]

How well did you know this?
1
Not at all
2
3
4
5
Perfectly
19
Q

Which VHF is often has a major haemorrhage? vector?

A

Crimean-congo haemorrhagic fever
ixodid ticks (hyalomma genus)

How well did you know this?
1
Not at all
2
3
4
5
Perfectly
20
Q

Generally which VHF are transmitted exclusively by arthropods?
Which by arthropods and Human-human?
which only direct eg animals and humans?

A

Arthropod only - Dengue and yellow fever

Direct transmission - Lassa, ebola / marburg

Both - crimean-congo, rift valley

How well did you know this?
1
Not at all
2
3
4
5
Perfectly
21
Q

Which is only VHF where humans can be hosts?

A

Dengue
Ades aegypti mosquito

How well did you know this?
1
Not at all
2
3
4
5
Perfectly
22
Q

Dengue Ix

A

Low neutrophils and thrombocytopenia
NS1 antigen (ELISA)
PCR
ELISA for IgM / IgG (false positives from cross-reaction with other flaviviruses)

How well did you know this?
1
Not at all
2
3
4
5
Perfectly
23
Q

w

A
How well did you know this?
1
Not at all
2
3
4
5
Perfectly
24
Q

Yellow fever clinical features?

A

Jaundice
Liver failure
GI bleeding

How well did you know this?
1
Not at all
2
3
4
5
Perfectly
25
Which mosquito-borne virus is most rapidly spreading worldwide?
Dengue
26
Which dengue protein for entry into cell and protects against host immune response
Protein E
27
Post infection with dengue how long are you immune
Only 2-3 months
28
Dengue incubation period
4-7 days - Max 2 weeks
29
Characteristic rash in dengue recovery phase
'White islands in a sea of red'
30
Dengue timeline of Temp vs haematocrit vs platelets
31
How often do you get dengue haemorrhagic fever or dengue shock syndrome
1% of cases 85% Asx/ Mild Sx
32
Most important risk factor for Severe dengue infection
Previous infection with a DIFFERENT dengue strain -Keep in mind Infants with primary infection born to dengue-immune mothers [Non-nutralising antibodies bind to new serotypes and get an excessive immune response...]
33
Criteria for severe Dengue
[Loss of Plasma, RBCs, Organs] Severe plasma leakage leading to: * Shock (DSS) * Fluid accumulation with respiratory distress Severe bleeding -as evaluated by a clinician Severe organ involvement * Liver: AST or ALT ≥ 1000 U * CNS: Impaired consciousness * Heart and other organs
34
Who needs to be treated in hospital with denngue
–Any criteria of severe – Co-existing conditions that may complicate dengue or its management: Infancy, pregnancy, old age, obesity, diabetes mellitus, renal failure, chronic haemolytic diseases, bronchial asthma – Live far from health facility
35
Who can be sent home with dengue
– Tolerate adequate volumes of oral fluids – Pass urine at least once every 6 hours – Do not have warning signs, especially when fever subsides
36
Who am I
aedes aegypti
37
Important consideration for someone with confirmed dengue
Prevent them getting bitten by other aedes aegypti mosquitos
38
Who cant have dengue vaccine
If your dengue naive -Otherwise risk of worse dengue if you get it again [Only if previous infection]
39
Which viruses are we thinking about when fever + encephalitis + arthritis +haemorrhage
40
Chikungunya vector? usual reservoir?
Aedes aegypti or Aedes albopictus (new mutation-> adapted) Humans - also primate reservoir
41
Chikungunya pattern of arthritis
Symmetric polyarthralgias /arthritis Usually: hands and feet >10 joints Assoc with swelling and tendosynovitis
42
Blood tests chinkungunya vs dengue WBC? platelets? haemoconc?
Chicken legs (lymphopenia) Everything else worse in dengue
43
Rx athritis chikungunya
Acute -NSAIDs Chonic (45% at 10 months) - may need steroids / DMARDs
44
Which alphaviruses cause arthritis - name 3
Chikungunya O’nyong’nyong Mayaro Ross River Sindbhi
45
Zika vs Chik vs dengue Fever? conjunctivitis? Arthritis? rash? myalgia? haemorrhage?
46
23F Lima Peru with 4 d fever, chills, malaise, myalgias, arthralgias and HA after travel to Iquitos [No rash, bleeding, jaundice, abdominal pain, cough, SOB, GI] Develops non-purulent conjunctivitis.
Zika
47
name 2 Key fetal issues with zika
Approx 20% get infected Fetal loss (miscarrage / still birth) 5% microcephaly - especially in 1st trimester retinal abnormalities Small for gestational age
48
Key complication following zika
Guillian barre
49
Where should you get sample for zika Dx?
Urine (95% sens) Serum - only 56% PCR ideal NAAT used commonly as cheaper
50
Most common infective cause of myocarditis
coxsackie B virus
51
2 examples of Paramyxovirus
Measles Mumps
52
high fever, cough, runny nose and conjunctivitis is what? (diarrhoea in 10%) Maculopapular rash Name 3 complications? 1 late comp?
Measles -Ear infection -Pneumonia (most common cause of death in kids) -Encephalitis -> seizures / deafness -Pregnancy - prematurely, or low-birth-weight baby Late Subacute sclerosing panencephalitis (SSPE) [Koplik spots]
53
Where does the measles rash usually start?
Behind ears
54
Measles Rx - Low vs high income?
Low income - Vitamin A (may reduce mortality by 50%) High income - immune serum Ribavirin - in immunocompromised
55
Most common precipitating factor of this progression of vit A deficiency blindness
Measles
56
The biggest issue with the distribution of the measles vaccine worldwide
Cold chain essential (loses 1/2 potency after 1hr warm)
57
Measles vaccine then kid comes in after a minor fall with reduced GCS - whats happened? Other complication
Thrombocytopenia - > bleed [Post-infectious encephalomyelitis - 50% permanent damage]
58
Rubella complications
Arthritis - 70% of adult women Pregnancy - miscarriages, fetal deaths/stillbirths -Congenital rubella syndrome - cataracts, heart defects, and hearing impairment.
59
Yellow fever geneotype west africa? East africa? South america?
1a - west africa 1b - south America 2 - central and east Africa
60
3 types of yellow fever transmission
Sylvatic (jungle) from monkey reservoir - Ades Savannah - only in Africa - Ades ssp Urban - Ades aegypti
61
Yellow fever incubation? How many go on to hemorrhagic fever
3-6 days only 10% - haemorrhagic
62
Name a few laboratory findings in yellow fever
Albuminuria Transaminase elevation - often initially massive due to apoptosis -Alkaline phosphatase only minimally elevated Direct bilirubin 5-10 mg/dl Prolonged PT
63
ALT / AST >5000 DDx?
Councilman bodies are acidophilic inclusion bodies in the cytoplasm of hepatocytes - Yellow fever, autoimmune hepatitis, other viral infections
64
Type of vaccine is YF
Live attenuated virus (17D and 17DD) vaccines - Cant give to immunocompromised
65
Mpox name 2 routes of transmission? incubation period?
Entry via broken skin, respiratory tract, mucous membranes -Contact with contaminated clothing or linens -Direct contact with skin lesions or scabs -Respiratory secretions Incubation period: 7-10 days
66
Mpox clinical Hx? How long are you infective
Invasive phase - 1-5 days -Fever -flu-like illness -Lymphadenopathy Eruptive phase - infectious while still has skin lesions
67
Differentiate mpox from chicken pox
MPOX on palms and soles has lymphadenopathy
68
Name 3 complications of mpox
Secondary bacterial infections Sepsis Encephalitis Pneumonia Keratitis -> sight-threatening
69
Who has very high mortality in Mpox
HIV infection CD4<100 mortality rate 30%
70
Mpox rx
Mostly supportive [Brincidofovir, Tecovirimat]
71
How fast does Mox replicate?
Slowly (large DNA virus) Orthopoxvirus
72
2 clades of mpox? which is the 2022 outbreak
I higher mortality, endemic in central African countries II lower mortality, IIb B.1 2022 outbreak strain.
73
Varicella - Name 3 congenital complications
chorioretinitis, optic atrophy, pigmented patches of skin but may include hypoplastic limbs, club feet, cataracts, microphthalmos and early death.
74
Adult T-cell leukaemia/lymphoma (ATLL) due to HTLV-1 infection is sub-divided into four categories:
Acute, lymphomatous, chronic, and smouldering
75
All the VHFs are what type of virus
Enveloped RNA viruses All zoonoses [Filoviruses/Arenaviruses/Bunyaviridae (Hantaviruses/Nairoviruses)]
76
1/52 Fever, fatigue, headache, joint pains, vomiting, nausea , diarrhoea, abdo pain Septic shock West Africa - which VHFs are there
Ebola Lassa
77
What is ebola? Incubation? Transmission? Diagnosis?
Filovirus [important strains - Zaire, Sudan, Bundibugyo] 2-21 days Fruit bat Contact with bodily fluids from infected patient e.g tears, blood, diarrhoea, vomit, sweat, semen RT-PCR
78
Stages of ebola
1 Dry - flu-like 2 Wet - D&V 3 Haemorrhage / seizure etc
79
Stages of ebola
1 Dry - flu-like 2 Wet - D&V 3 Haemorrhage/seizure etc
80
Ebola Rx is mostly flluid / supportive. Could you recognise one of these Drug Rx on an MCQ?
mAb114 RGEN EB3
81
Marburg is? Incubation? Transmission? Diagnosis?
Filovirus 2-21 days Fruit bat / bush meat RT-PCR No approved treatment or vaccination
82
Filoviruses (ebola and Marburg) presentation
Fever, DIARRHOEA (with or without blood) vomiting and haemorrhage
83
Lassa reservoir
Mastomys natalensis -rodent
84
Where is lassa geography
West Africa -Nigeria, sierra leone, liberia and guinnea
85
Fever, sore throat, vomiting, swollen face? Other key features? Confirm diagnosis?
Lassa SN hearing loss PCR
86
What order are hantavirus? Key pathopysiology? Dx?
Bunyavirales - Increased capillary permeability (causing vascular leakage) - thrombocytopenia. RT-PCR
87
Old world vs new world hantavirus
Old - haemorrhagic fever with renal syndrome -Proteinuria, haematuria, AKI- > oliguric New world - Cardiopulmonary syndrome Influenza-like illnesses -> rapidly progressing pulmonary oedema caused by pulmonary capillary leak syndrome
88
38 year old Afghan origin * Involved in ritual sacrifice at wedding (Kabul) -Shock, Fever, thrombocytopenia =? Transmission? Incubation?
Crimean-Congo Haemorrhagic Fever (CCHF) - Tick bite/crushing - Direct contact (blood/tissues) of infected animals/humans 1-13 days
89
2 key Bunyavirales
Hanta Crimean-Congo Haemorrhagic Fever (CCHF) Ribavarin used for both
90
CCHF presentation
Often haemorrhagic early on compared with other VHFs
91
Name 2 Key risk factors for CCHF
Tick bite/crushing (Hyalomma spp. main vector). Direct contact (blood/tissues) of infected animals/humans Living/working in close contact with Livestock (e.g., farmers, shepherds, ranchers, and abattoir workers)
92
VHF from only south west india and is a biphasic illness
Kyasunar forest disease Rats, bats, monkeys [flea born] Fever/flu-like -> recovery -> menigoencephalitis
93
Dog rabies presntation
Paralytic 'Dumb' 60% - often with high pitched bark furious 40%
94
all human-to-human rabies transmission has been?
Organ transplant
95
Rabies encephalitis 2 presentaitons in humans
Furious - hydrophobic spams -Often with ++ itching around healed bite site Paralytic 'dumb' - survive longer - Ascending flaccid paralysis - no hydrophobia or spasms
96
Negri bodies by Seller’s stain Rabies virus in a neurone - diagnostic
97
Rabies PEP? If immunosupressed?
4 dose IM over 21-28 days, or 3 or 2 dose multi-site ID over 7 days * RIG is recommended for severe/high risk exposures [Eg broken skin] Immunosuppressed - an additional booster dose at 28/30 days and RIG even for low risk exposure
98
Rabies PrEP? PEP if you've had PrEP
3 doses IM or ID over 21-28 days (boosters only for sustained high risk or check neutralising antibody titre) 2 dose IM over 3 days or multi-site ID on 1 day