1
Q

Which disease transmission intensity can be measured by rates of splenomegaly? Other infections commonly causing massive splenomegaly?

A
  • Malaria - hyperreactive malarial splenomegaly (due to recurrent infections)
  • Schistosomiasis, visceral Leishmaniasis
How well did you know this?
1
Not at all
2
3
4
5
Perfectly
2
Q

hyperreactive malarial splenomegaly pathophysiology? Sx? Who is it dangerous in?

A
  • Repeated infections -> overproduction on IgM. These removed by spleen which enlarges
  • Spleen >10cm below costal margin, anaemia, abdo discomfort
  • Pregnant - may get acute haemolysis
How well did you know this?
1
Not at all
2
3
4
5
Perfectly
3
Q

Hyperreactive malarial splenomegaly diagnosis? How to differentiate from lymphoma? Rx?

A
  • Spleen >10cm below costal margin and reduces in size by 40% on antimalarial treatment
  • Younger (usually <40) lymphocyte count more normal
  • Chloroquine
How well did you know this?
1
Not at all
2
3
4
5
Perfectly
4
Q

Where has >90% vivax? Falciparum?

A
  • Central America/ West Coast South America/ China
  • Falciparum - Sub saharan Africa
How well did you know this?
1
Not at all
2
3
4
5
Perfectly
5
Q

Malaria life cycle. Form injected and what do these do?
Which infects RBCs?
Which is taken up by other mosquitos? Life cycle within mosquitos? How long does it last?
What form in only vivax and ovale?

A
  • Sporozoites - infect hepatocytes and mature into schizonts (containing merozoites) which rupture.
    -[Vivax and ovale some from this initial infection form hepatic hypnozoites]
  • Merozoites infect RBCs (as these mature in RBC form immature ring shaped trophozoites which go on to either

Produce:
- Gametocytes (male and female) taken up by mosquitos ) - to form ookinite then oocyst then oocytes in anopheles gut wall
- 10 days

Or Form mature trophozoite in RBC which turns into RBC shizon which then ruptures releasing more merozoites

  • Hypnozoites
How well did you know this?
1
Not at all
2
3
4
5
Perfectly
6
Q

Why is falciparum more severe?

A
  • Cytoadherance - Bind to endothelial cells in capillaries of organs -> prevents effective removal of infected cells by spleen
  • Increased sequestration
  • Also replicates faster
How well did you know this?
1
Not at all
2
3
4
5
Perfectly
7
Q

Which rbc antigen protects against vivax

A
  • Duffy negative
How well did you know this?
1
Not at all
2
3
4
5
Perfectly
8
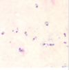
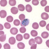
Q

Aspects of severe Malaria

A

Any 1 of:

  • Anaemia <70g/L together with parasite count>10,000/µL
    -or <50g/L in kids
  • Acidosis pH <7.3, bicarb <15, lactate >5
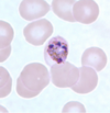
  • Hypoglycaemia <2.2 mmol (<40 mg/dl)
  • seizures >2,
  • GCS <11
  • Renal impairment Cr >265µmol/L (3 mg/dL)
  • Bilirubin >50 µmol/L (3 mg/dL) together with a parasite count>100,000/µL
  • Pulm oedema
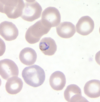
  • Shock (<80mmHg)
  • Bleeding
  • Hyperparasataemia >10%
  • Black urine
How well did you know this?
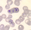
1
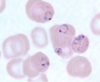
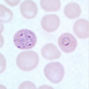
Not at all
2
3
4
5
Perfectly
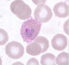
9
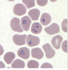
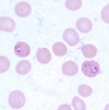
Q

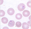
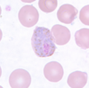
Name 2 contributing factors for hypoglycaemia in Malaria

A
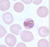
  • Impaired hepatic gluconeogenesis
  • Glucose consumption by parasites
  • Quinine - stimulates pancreatic insulin secretion
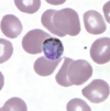
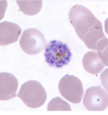
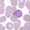
How well did you know this?
1
Not at all
2
3
4
5
Perfectly
10
Q

Seen on fundoscopy of cerebral Malaria

A

White patches on retina (due to focal ischaemia) and haemorrhage

white-centred haemorrhages, a superficial blot haemorrhage at the fovea, mild macular whitening (black arrow) and cotton wool spot (white arrow)

How well did you know this?
1
Not at all
2
3
4
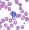
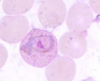
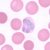
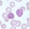
5
Perfectly
11
Q

Which Malaria can cause malarial nephrosis in children?

A
  • P malariae
  • Immune complex - Causes nephrotic syndrome that Doesn’t respond to steroids or Malaria eradication
How well did you know this?
1
Not at all
2
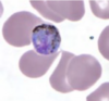
3
4
5
Perfectly
12
Q

Rbc on slide - looks like pair of headphones inside is typical of ?

A

Falciparum - actually 2 chromatin dots

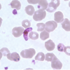
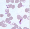
How well did you know this?
1
Not at all
2
3
4
5
Perfectly
13
Q

Thick and thin blood films mainstay of dx for Malaria. Rapid diagnostic test can be used. What might a RDT look for? Which one specific to falciparum?

A
  • pLDH (plasmodium LDH)
  • HRP-2 (histidine rich protein 2) - falciparum
How well did you know this?
1
Not at all
2
3
4
5
Perfectly
14
Q

Which antimalarial most potent (fastest drop in parasite count)? Why often given in combination? Example Combination?

A
  • Artensunate
  • Can be given IV PR or oral
  • Short half life *1hr and so often used in combination with other drugs ‘arteminism combination therapy’ as otherwise would need 7 day course.
  • Artemether-lumefantrine
How well did you know this?
1
Not at all
2
3
4
5
Perfectly
15
Q

Which Quinine no longer recommended for p falcipaum

A

Chloroquinine - high levels of resistance

How well did you know this?
1
Not at all
2
3
4
5
Perfectly
16
Q

Which antimalarial for vivax and ovale in addition to choroquine? What do you need to screen for

A
  • Primaquine 30mg for 14 days (15mg for ovale)
  • G6PD
How well did you know this?
1
Not at all
2
3
4
5
Perfectly
17
Q

Rx of uncomplicated faciparum?

A

Artemisinin combination therapy 3-days
Eg Artemether/Lumefantrine

How well did you know this?
1
Not at all
2
3
4
5
Perfectly
18
Q

Rx severe falciparum

A

IV artesunate

How well did you know this?
1
Not at all
2
3
4
5
Perfectly
19
Q

Malaria in pregnancy rx

A

Still ACT
A-Lumefantrine first line

[But not A-co-trimox or A-pyronaridine]

How well did you know this?
1
Not at all
2
3
4
5
Perfectly
20
Q

Best evidence vector control for Malaria (2 things)

A
  • Insecticide treated nets
  • Residual indoor spraying
How well did you know this?
1
Not at all
2
3
4
5
Perfectly
21
Q

Malarone is? How does it work? How does this affect length of treatment when used for prophylaxis?

A
  • Atovaquone-proguanil
  • Prevents formation of schizonts ‘causal prophylaxis’
  • Most other agents kill blood stage schizonts - ‘suppressive prophylaxis’
  • Therefore only need Malarone for 1 week after leaving but others need to keep taking for 1 month
How well did you know this?
1
Not at all
2
3
4
5
Perfectly
22
Q

Malaria vector

A

Anopheles

How well did you know this?
1
Not at all
2
3
4
5
Perfectly
23
Q

Malaria reservoir

A

Humans

How well did you know this?
1
Not at all
2
3
4
5
Perfectly
24
Q

Where does the sexual multiplcation of malaria take place

A

In mosquitos -> form sporozoites

How well did you know this?
1
Not at all
2
3
4
5
Perfectly
25
Called when fusion of male and female gametocyte in malaria ? type of genome
Zygote (diploid genome) [This penetrates gut wall and produces oocyst]
26
Trophozoites which mature in RBCs which type causes: -Schüffner’s dots: - Ziemann’s stippling: - Sinton and Mulligan’s stippling: - Maurer’s clefts:
Schüffner’s dots: P. vivax and P. ovale; enlarge RBC - Ziemann’s stippling: P. malariae - Sinton and Mulligan’s stippling: P. knowlesi - Maurer’s clefts: P. falciparum
27
What is the brown pigment seen in RBCs infected by malaria
haemozoin
28
Types of malaria and how often fevers after initial attack? [all are daily at first)
Knowlesi - Daily Vivax, falciparum, ovale - every 2 days P malarea - every 3 days Fever causes the synchronisation of erythrocytic schizogony
29
Which Malaria has trophozoites which disappear from blood after 16-24hrs?
Faliparum - sequestered in endothelial capillaries via cytoadherence due to PfEMP-1 [You will still see ring trophozoites and gametocytes]
30
2 parts of sequestration and proteins
Adherence between endothelial lining cells (ICAM-1, intercellular adhesion molecule-1) [I cam adhere] knob-like projections on infected RBC surface (PfEMP-1, Pf-erythrocyte membrane protein-1): Cytoadherence. [Pfemp through]
31
how many parasites to see malaria on thick film
50/microL
32
What 2 things can merozoites become
majority → schizonts (merozoites) (asexual) - few → gametocytes (sexual)
33
Define Patent parasitemia.- Sub-patent parasitemia.- Pre-patent period.-
Patent parasitemia.- Parasitemia detected by optic microscopy (≥50 p/µL) Sub-patent parasitemia.- Parasites present in the blood but not detected by optic microscopy (<50 p/µL) Pre-patent period.- Time between infection and patent parasitemia
34
Recrudescence is? Seen in?
Renewed detection of parasitemia arising from survival of undetectable erythrocytic parasites (persistent undetectable parasitemia): P. malariae, P. falciparum, P.knowlesi, drug resistant P.vivax.
35
What are hypnozoites also called?
exo-erythrocytic malaria parasites
36
What is pyrogenic density? Who is it lower / higher in?
Level of parasitemia at which fever occurs Lower in nonimmunes (<10 000 Pf/µL) - Higher in immunes (tolerate up to 100 000 Pf/µL). As infection continues your PD will increase slightly - ie will have asymptomatic parasitaemia
37
2 ways of malaria transmission
Bite from anopheles Inoculated with RBC eg transfusion / needles ... Congenital
38
Malaria Hypo vs meso vs hyper vs holoendemic
Hypoendemic: Spleen rate (SR) or parasite rate (PR) ≤ 10% in children 2-9 yo. Mesoendemic: SR or PR 11-50% in children 2-9 yo. Hyperendemic: SR or PR consistently over 50% in children 2-9 yo. Adult spleen rate is also high (>25%). Holoendemic: SR or PR consistently over 75% in children 2-9 yo. Adult spleen rate is low. Parasitaemia rate in infants < 1 yo is high (> 75%)
39
What is introduced malaria
Secondary cases acquired locally, but derived from imported cases. ie malria traveller infects mosquitos in new area
40
What is Authochthonous malaria
contracted locally
41
Premunition in malaria is? how long does it last?
State of partial immunity - Due to continuous exposure of infective bites - Tend to have asymptomatic parasitaemia After 6m loss of exposure -> loss of this partial immunity
42
Why do babies not tend to get malaria for first 3-6 months
Maternal IgG protects Then risk of high levels parasitaemia and death while still an infant OR develop premunition
43
Which deficiencies protect against malaria ? relevance
Iron KEY [riboflavin and PABA] Iron supplementation in people who DONT have iron deficiency is assoc with increased risk of malaria Ie STILL GIVE iron if iron deficient
44
Duffy is
Duffy NEGATIVE genotype: RBC lacking Ags Fya and Fyb Resistance to Vivax [very little vivax in west Africa]
45
name 3 protections against severe malaria
Hb S Hereditary ovalocytosis Duffy negative antigen Thalassemia G6PD deficiency Hemoglobinopathies HLA changes Protect against cerebral/severe malaria
46
Flight range of anopheles
2-3km - Bit may end up on plane or ship
47
What affects sporogony in malaria
- Duration of the sporogony: Optimum conditions: 25o- 30oC Mean relative humidity ≥ 60%. Sporogony: Ceases at To < 16oC Slows down considerably at To > 35oC Needs rainfall
48
2 key features of vivax in infected RBC
Enlarged as only invades reticulocytes Caveolae in RBC membrane: Schüffner’s dots.
49
2 people who cant get primaquine
Need to screen for G6PD [doesn't occur much in Peru and so just given Rx] Also don't give during pregnancy
50
Pregnancy and malaria risk which pregnant women have the worst time? What happens
Young and primigravid Increased severe anaemia Sequestration in placenta
51
Key issue with falciparum and preg? why? Why not in multigravida?
Sequestration in placenta Parasites in placenta express variant surface Ags (VSAs) → cytoadhere to chondroitin sulphate A (CSA) Multigravids - Develop antibodies to VSA
52
How long does risk of severe malaria last for pregnant women
8-10 weeks post-partum
53
Issues for babies with malaria-infected pregant mothers
70% of IUGR 35% of preterm delivery worldwide Stillborn / Miscarriage Anaemia of newborn Long term risk of chronic diseases in later life
54
Uncomplicated P malariea Rx
3 days chloroquine
55
Uncomplicated P vivax rx
3 days chloroquine 7 days primaquine
56
In G6PD how can you give primaquine
Low dose 45mg instead of 210mg and only given weekly for 8 weeks
57
Why combination therapy in p falciparum
More effective Less development of resistance
58
How long in ACT for p faliparum uncomplicated
3 days usually [When combined with rapidly eliminated compounds (tetracyclines, clindamycin), a 7-day course of treatment is required.]
59
Why primaquine in flaciparum
Kills gametocytes
60
Most common ACT for uncomplicated falciparum
Artesunate Lumefantrine OR Mefloquine for 3 days [+ Single dose primaquine often used for gametocytes]
61
1st trimeter uncomplicated falciparum
ACT
62
Why only primaquine after 6m old
hypnozoites only if infected by bite - Ie not from maternal blood
63
Falciparum Malaria in returning traveller Rx options
Atovaquone/proguanil 4 tabs qd X 3 or Artemether/lumefantrine bid X 3 days [or Quinine x 3 days, + doxycycline x 7 days]
64
P vivax in returning traveller Rx uncomplicated ? When different?
Chloroquine for 3 days + Primaquine 30 mg (base) po X 14d. Papa new guin/ Indonesia -> treat as falciparum
65
Drug that can be used as a single dose for vivax Hypnozoites (but rarely available
Tafenoquine
66
When does anopheles bite
Night
67
When does anopheles bite
Night
68
When does anopheles bite
Night
69
What stage of malaria life does Malarone act on when used for prophylaxis?
Atovaquone-proguanil acts on hepatic schizonts during initial infection
70
When do doxycycline, mefloquine, and chloroquine act on malaria life cycle
Blood-stage schizonticides interrupt schizogony within red cells [malarone does too but also on shizonts]
71
What is reccomended first line test in US for malaria
RDT: Binax card test - Antigen detection [Only good sensitivity is for falciparum]
72
Which Malaria fever Quotidian Tertian Quatan
Quotidian - knowlesi (daily) Tertian - vivax falciparum ovale Quatan - malariae 3 days
73
P. knowlesi usually georgraphy? mistaken for? rx?
South east asia [Monkey malaria] Looks similar to p malariae on blood film VERY sensitive to all antimalarials
74
Which malrial prophlyaxis can be used 1/week? Side effects?
Mefloquine (and for 4 weeks post travel) Insomnia, vivid dreams, and anxiety in some patients
75
Where are 95% of malaria deaths? Who makes up loads of them?
Africa Children <5 80%
76
Malria definitive vs intermediate host
Def - mosquito Intermediate - human
77
Which malaria commonly has chronic infection (doesn't kill you)
Plasmodium malariae
78
P falciparum affects what age RBC ? Whats found in peripheral circulation Key things found on RBC? Pre-patent / incubation period
All ages of RBCs infected - normal size * Usually only rings and gametocytes in the peripheral circulation Ie Shizonts are rare -unless very heavy burden * Characteristic Maurer’s clefts and appliqué forms * Prepatent period 9-11 days * Incubation period 9-14 days
79
What does vivax require to bind
duffy antigen
80
Prepatent perior of vivax
11-13 days
81
Pre patent period ovale
10-14 days
82
P malaria infects which RBCs? Parasitaemia ? Fever cycle? Associated with?
* Infects old RBCs - smaller Parasitemia less than 1% * Quartan cycle (72 hours) Long-lasting, chronic infection of senescent RBCs Nephrotic syndrome
83
Which malarias have high parasitaemia
Falciparum Knowlesi
84
Knowlesi infects which rbcs ? looks similar to? differentiate?
All RBCs 24 hour fevers Looks like p malaria (mature trophozoites) PCR
85
What temp is too cold for anopheles
<18
86
How does p faliparum get in and cause adhereance?
* RBC surface knobs (PfEMP1: major protein) * Adhesion of RBC to the endothelium of capillaries & venules (receptors: CD36, ICAM-1, CSA…) Formation of rosettes with uninfected cells
87
What does cytoadherance and rosetting lead to?
poor tissue perfusion organ dysfunction, anaerobic glycolysis and lactic acidosis immune evasion
88
What is a rosette? Significance?
binding of two or more uninfected red blood cells (rbc) to an infected rbc promotes RBC sequestration in the microvasculature and is associated with severe malaria
89
What is the new malaria vaccine?
RTS,S/AS01 (Mosquirix)
90
How is best to get blood for malaria film in low resource setting? Rich?
Finger prick Venipuncture
91
Issues with using an anticoagulant for malaria blood film? How long before you make a blood smear ?
* Interference with adhesion of blood to slide * Distortion of parasite morphology * Merozoites from mature schizont may be released * The later stages of parasites more affected. Should make the blood smear within 1 hr
92
What is used to fix the RBCs in a thin smear? Which stain?What pH is perfect>
Methanol Giemsa 7.2
93
What is the remnant of RBC which seen next to gametocyte called?
Laveran's bibs (usually falciparum)
94
Which malaria has a large cytoplasm with ameboid appearance?
Vivax - usually with scuffner's dots
95
Which malaria has a 6-14 mereozoites with large nuclei around mass of dark brown pigment?
Ovale or malariae
96
What non malaria looks like p falciparum? How is it actually different?
Babesia microti Do not produce any pigment
97
Babesia microti definitive host? intermediate? rx?
Ixodes tick Mouse [humans accidental host] Atovaquone + Azithromycin [AA it's not Malaria]
98
Falciparum RDT vs microscopy
equal or superior to routine microscopy
99
which RDT is specific to falciparum ?
Histidine-rich protein 2 of P. falciparum (PfHRP2)
100
3 types of RDT for malaria ? Which one can't differentiate between species
Parasite lactate dehydrogenase (pLDH) -has a P vivax vs p falciparum isomer Pv/Pf) Histidine-rich protein 2 of P. falciparum (PfHRP2) -Most sensitive for Pf Plasmodium aldolase -Pan malarial and can't speciate
101
Name 2 causes of false negative RDT in falciparum
Low P. falciparum parasitemia * Plasmodium other than P.falciparum * High P. falciparum parasitemia (prozone)* * Pfhrp2/3 Gene deletion or alteration* * User interpretation
102
Name 2 Causes of false positive RDT in malaria
Persistence HRP-2 Delayed reading Buffer substitution Cross reactions between species * Concomittant conditions (RF, hepatitis, schistosomiasis, toxoplasmosis, dengue, leishmaniasis, Chagas disease and human African Trypanosomiasis)
103
What is the prozone effect? What can you do if you suspect this?
False negative result due to too many antigens or antibodies Can dilute sample and re test
104
Pfhrp2 gene deletion causes?
False negative in Pf RDT testing
105
how long does a RDT take?
20 mins
106
name 3 drawbacks of RDTs in malaria
RDT does not eliminate the need for microscopy * False positive and false negative Does not give parasite quantification Can not be use to monitor malaria treatment Very poor performance for P.ovale,P. malariae and P. knowlesi
107
Alternative to PCR and RDT for malaria diagnostic
LAMP testing (like Tb) [Loop-mediated isothermal amplification test] Almost 100% sens / spec
108
Which is more sensitive thick or thin smear/
Thick
109
Can you use RDTs to monitor treatment in malaria?
No Eg Persistnece of HRP
110
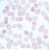
Rings of P. falciparum in a thick blood smear
111
Rings of P. falciparum in a thick blood smear
112
Which antimalarials act on gametocytes
ACT Primaquine Tafenequine
113
What is uncomplicated hyperparasitemia in malaria?
≥ 4% parasitaemia but no signs of severity -Risk of severe malaria and treatment failure
114
What degree of parasitaemia is always severe malaria
>10% [usually >2% in non-immune]
115
Which stages of malaria does artemisinin affect? Why an extra drug?
Kills all stages of malaria Longer acting Clears remaining parasites and protection against resistance to the artemisinin derivate Provide a period of post-treatment prophylaxis
116
Gene which gives malaria resistance to artemisinin
Pfkelch13
117
Rings of P. falciparum in a thin blood smear.
118
Why primaquine as an extra only in low transmission area?
Low transmission - infected people are symptomatic -> can prevent reservoir High transmission - lot of asymptomatic, infective people (with parasitaemia) about who will act as a reservoir even if you treat the symptomatic people
119
Rx of recurrent pf malaria following rx if <28d? If >28d?
<28 days Use alternative ACT After 28 days * Use the first-line ACT [but not mefloquine]
120
Which antimalarials absolute CI in pregnanacy
primaquine or tetracyclines
121
Rx uncomplicated vivax/ovale/malariae/knowlesi?
Chloroquine (+ primaquine in Vivax/ovale) or ACT In area with cloriquine resistnace -ACT
122
Name 2 groups primaquine contraindicated?
Preg / breastfeeding <6m
123
Rings of P. falciparum in a thin blood smear.
124
Malaria life cycle
125
In who can you use a qualitative (yes/no) test for G6PD
Men as only 1 x-chromasone Women may be heterozygous -> need a qualatitive test
126
Alternative to primaquine
Tafenaquine [Only if G6PD >70% Activity]
127
A 32 y.o. female from Afghanistan 35 week pregnant presents with a 3- day history of fever, chills and myalgias. She immigrated to Montreal, Canada 3 months ago. A RDT and thick and thin malaria smears are performed and P. vivax is diagnosed. Absence of severity criteria. Rx? Baby born and has fevers and has P vivax on blood smear?
Chloroquine then weekly chloroquine prophylaxis until pregnancy and breastfeeding complete ->Primaquine Baby gets just cloroquine (no need for primaquine)
128
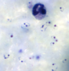
Rings of P. falciparum in a thin blood smear.
129
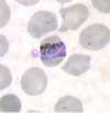
iRng-form trophozoites of P. falciparum in a thin blood smear, exhibiting Maurer's clefts.
130
Ring-form trophozoites of P. falciparum in a thin blood smear, exhibiting Maurer's clefts.
131
Ring-form trophozoites of P. falciparum in a thin blood smear, exhibiting Maurer's clefts.
132
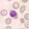
Trophozoites of P. falciparum in a thick blood smear... Apparently
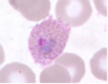
133
Trophozoite of P. falciparum in a thin blood smear
134
Trophozoite of P. falciparum in a thin blood smear
135
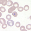
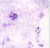
Trophozoite of P. falciparum in a thin blood smear. In this figure, a gametocyte can also be seen in the upper half of the image.
136
Trophozoites of P. falciparum in a thin blood smear.
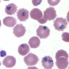
137
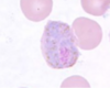
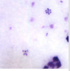
Gametocyte of P. falciparum in a thick blood smear. Note also the presence of many ring-form trophozoites.
138
Gametocytes of P. falciparum in a thick blood smear.
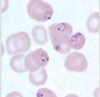
139
Gametocyte of P. falciparum in a thin blood smear. Also seen in this image are ring-form trophozoites exhibiting Maurer's clefts.
140
Gametocyte of P. falciparum in a thin blood smear. Also seen in this image are ring-form trophozoites and an RBC exhibiting basophilic stippling (upper left).
141
Gametocyte of P. falciparum in a thin blood smear, showing Laveran's bib. Also seen in this image are ring-form trophozoites exhibiting Maurer's clefts.
142
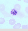
Schizont of P. falciparum in a thin blood smear.
143
Schizont of P. falciparum in a thin blood smear.
144
Ring-form trophozoites of P. knowlesi
145
Band-form trophozoite of P. knowlesi [looks same as malariae]
146
Mature schizont P knowlesi
147
Ring-form (lower right) and developing (upper left) trophozoites of P. malariae [Just need to be able to spot there's something there on thick film]
148
"Birds-eye" trophozoite of P. malariae in a thin blood smear.
149
Ring-form trophozoite of P. malariae
150
Band-form trophozoite of P. malariae
151
Band-form trophozoite of P. malariae
152
Basket-form trophozoite of P. malariae
153
Gametocyte of P. malariae in a thin blood smear.
154
Schizont of P. malariae in a thick blood
155
Schizont of P. malariae in a thick blood
156
Schizont of P. malariae in a thin blood smear.
157
Ring-form trophozoites of P. ovale in a thin blood smear. Note the multiply-infected RBC
158
Trophozoite of P. ovale in a thin blood smear. Note the fimbriation
159
Trophozoite of P. ovale in a thin blood smear. Note the fimbriation and Schüffner's dots.
160
Trophozoite of P. ovale in a thin blood smear. Note the fimbriation and Schüffner's dots.
161
Trophozoite of P. ovale in a thin blood smear.
162
Just need to spot there's Malaria here as its a thick film [Gametocyte of P. ovale (red arrow) nestled between two white blood cells in a thick blood smear.]
163
Microgametocyte of P. ovale in a thin blood smear. Note the elongated, oval shape and the Schüffner's dots.
164
Macrogametocyte of P. ovale in a thin blood smear. Note the fimbriation.
165
Macrogametocyte of P. ovale in a thin blood smear, showing Schüffner's dots.
166
Macrogametocyte of P. ovale in a thin blood smear. Note the fimbriation
167
Schizont of P. ovale in a thin blood smear. Notice the fimbriation.
168
Ring-form trophozoites of P. vivax in a thin blood smear
169
Ring-form trophozoites of P. vivax in a thin blood smear.
170
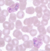
Trophozoites of P. vivax in a thin blood smear. Note the amoeboid appearance, Schüffner's dots and enlarged infected RBCs
171
Trophozoites of P. vivax in a thin blood smear. Note the amoeboid appearance, Schüffner's dots and enlarged infected RBCs
172
Trophozoite of P. vivax in a thin blood smear. The infected RBCs are also noticeably larger than the uninfected RBCs.
173
Trophozoite of P. vivax in a thin blood smear. Note the band-like appearance of the trophozoite in this figure that may be mistaken for a band-form trophozoite of P. malariae. Note, however, the fine, light brown pigment that is distributed throughout the cytoplasm (pigment in P. malariae is usually darker and coarser and distributed on the periphery of the cytoplasm). The infected RBCs are also noticeably larger than the uninfected RBCs.
174
Macrogametocytes of P. vivax in a thin blood smear. Note the enlargement of the gametocytes compared to uninfected RBCs.
175
Macrogametocytes of P. vivax in a thin blood smear. Note the enlargement of the gametocytes compared to uninfected RBCs.
176
Macrogametocytes of P. vivax in a thin blood smear. Note the enlargement of the gametocytes compared to uninfected RBCs.
177
Macrogametocytes of P. vivax in a thin blood smear.
178
Ookinete of P. vivax in a thin blood smear.
179
Ookinete of P. vivax in a thin blood smear.
180
Schizont of P. vivax in a thin blood smear.
181
Schizont of P. vivax in a thin blood smear.
182
Ruptured schizont of P. vivax in a thin blood smear, showing free merozoites and pigment.
183
Vivax male gametocyte Chromatin pulled together
184
Falciparum - Rings and Maurer’s cleft on a thin smear
185
shizont falciparum
186
vivax - Ameboid trophozoite and Schüffner’s dot
187
vivax shizont
188
vivax gametocyte
189
Ovale Trophozoite and Schüffner’s dot, fimbriated RBC
190
Ovale Schizont and Schüffner’s dot
191
ovale - Gametocyte and Schüffner’s dot
192
malariae - Trophozoites band basket forms
193
malariae Schizont, rosette pattern
194
malariae - gametocyte
195
Really sick
knowlesi - Mature trophozoite band form
196
knowlesi - Schizont, rosette pattern
197
198
Babesia microti - Pleomorphic (vary in shape and size) and do not produce pigment. * Tetrad forms (Maltese cross) * Extracellular forms
199
How many merozoites in Ovale vs Vivax shizont
Ovale - 6-14 Vivax 12-24
200
Define Imported malaria
Acquired outside a specified area in which it is found
201
Define Induced malaria
Acquired accidentally or deliberately by transfusion, needles, organ transplantation
202
Define Indigenous malaria
Naturally present in an area or country
203
Define Stable malaria
Areas of high endemicity (holoendemic) transmission rates are high, high levels of immunity in the population, epidemics are unlikely
204
What is unstable malaria in a location?
Areas of low endemicity, transmission rates vary, immunity is low in the population, epidemics are likely
205
ruptured spleen in which malaria
more common in P. vivax malaria
206
Severe malaria definition in kids
-Anyone unable to take oral therapy -Prostrated: unable to sit upright, or to drink in the case of children too young to sit -Comatose: unable to localize a painful stimulus -in respiratory distress: acidotic breathing nasal flaring - intercostal indrawing - deep (acidotic Kussmaul breathing) - >2 seizures
207
Severe malaria definition in kids
-Anyone unable to take oral therapy -Prostrated: unable to sit upright, or to drink in the case of children too young to sit -Comatose: unable to localize a painful stimulus -in respiratory distress: acidotic breathing nasal flaring - intercostal indrawing - deep (acidotic Kussmaul breathing) - >2 seizures
208
Compared with adults, children with severe malaria are more likely to?
- Raised intracranial pressure - Impaired oculo vestibular reflexes - Flaccid muscle tone - Convulsions
209
name 3 long-term sequelae of cerebral malaria
Cortical blindness Involuntary movements Hemiplegia Spasticity Cognitive and learning defects
210
Who should get Intermittent Preventive Therapy for malaria? What is it?
Recommended for all pregnant women in moderate high malaria At 4 antenatal checks (2nd and 3rd trimesters) give - 3 tabs of Sulfadoxine pyrimethamine (SP) by Directly Observed Treatment (folic acid)
211
Suspected severe malaria pre-hospital Rx in children
Pre-referral rectal artesunate for children
212
name 3 causes of treatment failure in malaria
Delayed presentation, diagnosis, treatment The inappropriate drug, dose, route of administration Incomplete course, poor bioavailability Drug resistance (against artemisinins and ACT partner drugs) Fake or substandard drug
213
P vivax positive in pregnancy rx?
Either Arteether/lumefantrine or Chloroquine Then option for chloriquine prophylaxis Primaquine after finishing breastfeeding
214
3M congo 3 days fever and disorientation 1 day of : sulfadoxine/pyrimethamine Hb 5.1 + p falciparum in blood rx? When transfuse?
IV artesunate + Ceftriaxone (10% severe malaria have bacteraemia) Transfuse if Hb <4, 4-6 with respiratory distress / CV instability
215
Which malaria RDT is affected by the prozone effect
Only HRP-2
216
Which ACT is not good for vivax infection
Artesunate+sulfadoxine/pyrimethamine
217
1st line ACT in pregnancy
Artemether/lumefantrine
218
Why not primaquine during pregnancy
Baby might have G6PD
219
Why gram-negative sepsis in severe malaria
Micro-occlusions including bowel -> translocation
220
ACT options - just recognise them
artemether + lumefantrine artesunate + amodiaquine [not with EFV (hepatitis) or AZT (neutropenia)] artesunate + mefloquine artesunate + sulfadoxine-pyrimethamine [not HIV pts with h/o TMP-SMX or first trimester] dihydroartemisinin + piperaquine artesunate + pyronaridine [not first tri]