1
Q

“lumpy jaw”, with lumps and sinus tracts after dental or jaw trauma.= ? Rx

A

Actinimycosis
Penicillin

How well did you know this?
1
Not at all
2
3
4
5
Perfectly
2
Q

Tubo-ovarian abscess, complication of intrauterine device (IUD), =

A

Actinomycosis
Penicillin rx

How well did you know this?
1
Not at all
2
3
4
5
Perfectly
3
Q

Hx : insidious onset lethargy, mild mucohemorrhagic diarrhea, non specific cramping & abdominal pain

Epi: lifelong freshwater exposure in endemic area of Africa

PE: diffuse abdominal tenderness, minimal hepatomegaly, mild malnutrition

Dx?
Rx?
Complication?

A

Schistosomiasis
Lab: S. mansoni ova in stool, mild eosinophilia, periportal fibrosis on U/S

Rx: Praziquantel

associated with bladder cancer

How well did you know this?
1
Not at all
2
3
4
5
Perfectly
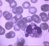
4
Q

Hx: chronic cough with blood streaked sputum,
progressive chest discomfort, breathlessness on exertion

Epi: ingestion of raw freshwater crab in China, Japan, Korea, Taiwan, Philippines, India, Africa, South & Central America

Lab: CXR: patchy cystic infiltrate. Eosinophilia

Dx? Ix? Rx?

A

Paragonimus IgG (+).

Eggs of Paragonimus westermani in sputum or stools.

Rx: Praziquantel X 3 days

How well did you know this?
1
Not at all
2
3
4
5
Perfectly
5
Q

Hx: acute onset of fever, RUQ abdominal pain, anorexia, nausea, vomiting, dark urine, lasting weeks

Epi: ingestion of raw watercress, lettuce, or alfalfa
in cattle & sheep farm

PE: fever , jaundice , hepatomegaly

Dx? Ix? Rx?

A

Fasciola Hepatica

Fas2 ELISA (+), Fasciola
hepatica Western blot (+). ve stools

Triclabendazole for 2 days .

How well did you know this?
1
Not at all
2
3
4
5
Perfectly
6
Q

Hx evanescent pruritus, maculopapular rash often on trunk
Epi: West Africa, expat, back home for 1 year
PE: dermatitis, normal ocular exam, nodules rare
Lab: scanty microfilariae in skin snips

Dx? Rx?

A

Onchocerca volvulus

Ivermectin 12 months titrated to symptoms for up to 10 years.
Doxycycline X 6 weeks.

How well did you know this?
1
Not at all
2
3
4
5
Perfectly
7
Q

Hx Transient swellings, arthralgia, inconstant pruritus
Epi: expat, West or Central Africa
Eosinophilia
May migrate to?
Dx? Ix? Rx?

A

Loasis - ‘the eye worm’
[Calabar swellings]
antifilarial IgG (+), worm in Eye

Diethylcarbamazine X 3 wks
[So long as <2500mf/ml

How well did you know this?
1
Not at all
2
3
4
5
Perfectly
8
Q

Hx initial diarrhea & non specific abdominal complaints followed by fever, facial edema, painful swollen muscles including respiratory & mastication

Epi: worldwide, tropical & non tropical, ingestion of poorly cooked meat of any carnivorous animal, including pigs

PE: Temp 40 C. Tender swollen muscles, edema, chemosis, urticaria.

ESR=0, massive eosinophilia,

Dx? Ix? Rx?

A

Trichinella spiralis
T. spiralis IgG (+)
Deltoid muscle biopsy with larvae,

Albendazole & steroids

How well did you know this?
1
Not at all
2
3
4
5
Perfectly
9
Q

Hx 2 yo with fever, malaise, RUQ discomfort, anorexia, sleep disturbance
Epi: geophagia, exposure to dogs/cats,
PE: hepatomegaly, wheezing
Lab: Massive eosinophilia,
No eggs in stool.

Dx? Ix? Rx?

A

Visceral Lava migrans
Toxocara
T. canis IgG (+)
Albendazole. Consider steroids.

How well did you know this?
1
Not at all
2
3
4
5
Perfectly
10
Q

Hx severe intractable headache, nausea, mild neck stiffness, paresthesias
Epi: ingestion of raw snails/slugs alone, or green vegetables in Asia or Pacific region
Lab: Eosinophilia,
CSF: OP 50 cm, normal glucose, raised protein, Eosinophilic
=?
Rx?

A

Angiostrongylus cantonensis

Repeated lumbar puncture, analgesics, +/ steroids.

How well did you know this?
1
Not at all
2
3
4
5
Perfectly
11
Q

Hx fever, non specific abdominal symptoms, intermittent painless subcutaneous swellings
Epi: ingestion of undercooked chicken, fish, frog, reptile in Asia or Latin America
PE: Temp 38 C. Subcutaneous migratory swelling.
Lab: eosinophilia,
=?
Ix?
Rx?
Key comp?

A

Gnathostomiasis

ELISA for G. spinigerum

Albendazole X 3wk.

Intracerebral haemorrhage

How well did you know this?
1
Not at all
2
3
4
5
Perfectly
12
Q

Hx Non specific epigastric pain, intermittent diarrhea. Cough, wheezing diagnosis of allergies.
Epi: Resident or visitor to an endemic area of
Latin America USA, or SE Asia.
PE: Asymptomatic or may have non specific abdominal findings. Occasional rash pictured called?
Dx?
Ix?
Rx?

A

Larva currens
Simple Intestinal Strongyloidiasis stercoralis

stool strongy visualised.
Baermann or agar plate culture or sampling of upper GI secretions

Ivermectin.

How well did you know this?
1
Not at all
2
3
4
5
Perfectly
13
Q

Hx Corticosteroid or other immunosuppressive treatment. Non specific epigastric pain, intermittent diarrhea.
Epi: resident of an endemic area of Latin America, USA, or SE Asia
PE: Non specific abdominal findings. Ileus . : pneumonia, bacterial septicaemia , shock, no eosinophilia
Dx?
Key causes?
Rx?

A

Strongyloides hyperinfection
Steroids, HTLV-1, Cancer Rx

Ivermectin + antibiotics for bacterial infection

How well did you know this?
1
Not at all
2
3
4
5
Perfectly
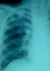
14
Q

Hx: subacute febrile illness, right upper quadrant abdominal pain, weight loss

Epi: immigrants or residents in endemic areas of Asia, Africa & Latin America
PE: fever, pallor, exquisite point tenderness over the liver, dullness & rales at the right lung base

Lab/Xray: anemia, raised neutrophil WBC , Raised Alk. P.
Dx?
Ix? Seen on CXR?
Rx?

A

Amebiasis
E. histolytica IgG
US - Abscess right lobe liver .
CXR: elevated R diaphragm / effusion

Tinidazole + paromomycin

[Colitis on endoscopy - mimics IBD]

How well did you know this?
1
Not at all
2
3
4
5
Perfectly
15
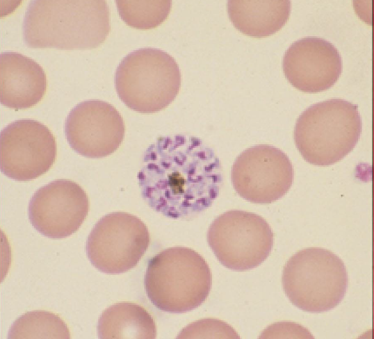
Q

Hx: Fever, chills, muscle aches For 2 days. Fever constant.

Epi: One week volunteer work in rural area of Amazonian Brazil.

Blood film … no schizonts
Rx?

A

P. falciparum

Atovaquone proguanil 4 tabs qd X 3 or
ACT ( eg . Artemether lumefantrine bid X 3 days ),

How well did you know this?
1
Not at all
2
3
4
5
Perfectly
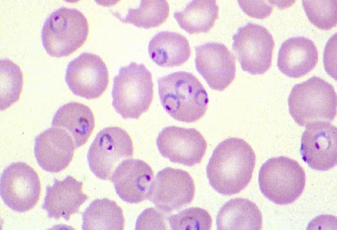
16
Q

Hx Travel to India 6 months earlier, took appropriate prophylaxis with atovaquone/proguanil. Acute onset of fever, chills/rigors, myalgias & headache

Epi: Traveler & endemic populations, worldwide distribution in tropics & subtropics, especially in India, the Americas, & SE Asia

PE: acutely ill & febrile, otherwise unremarkable Splenomegaly after a few days of illness

Lab: Anemia, leucopenia, thrombocytopenia.

Blood film….
Rx? When would you use alternative?

A

P Vivax relapse
Chloroquine
+ primaquine X 14d or Tafenoquine 300 mg
[ Vivax in Papua New Guinea, Indonesia requires ACT + primaquine]

Or ACT

How well did you know this?
1
Not at all
2
3
4
5
Perfectly
17
Q

Hx 21 yo with syncope , fatigue
Epi: childhood in rural Brazil , thatched roof dwelling
PE: Afebrile

Dx?
Seen on XR? Most common arrhythmia?
Ix?
Rx?

A

Trypanosoma cruzi

CXR: massive cardiomegaly
Complete RBBB

T. cruzi IgG (+). Xenodiagnosis

Rx Benznidazole , nifurtimox
[no benefit in late disease]

How well did you know this?
1
Not at all
2
3
4
5
Perfectly
18
Q

Acute systemic febrile illness in travelers; remembers painful tsetse bite in Tanzania
PE: high fever, inoculation chancre, rash, generalized lymphadenopathy
thrombocytopenia, anemia
Blood film shows:
Dx?
Essential Ix?
rx?

A

Trypanosoma brucei rhodesiense
CSF
Early disease -> Suramin
CNS infection -> Melarsoprol

How well did you know this?
1
Not at all
2
3
4
5
Perfectly
19
Q

Slow progressing neurological disease
PE: intermittent fever, posterior cervical lymph node, neurological signs
Dx?
Ix?
Rx?

A

Trypanosoma brucei gambiense
serological screening (CATT/RDT
LP - ALWAYS NEEDS AN LP

Early disease -> Pentamidine
CNS -> Eflornithine/nifurtimox

Fexinidazole for both early and CNS now

How well did you know this?
1
Not at all
2
3
4
5
Perfectly
20
Q

Hx: sudden unilateral loss of visual acuity without ocular pain
Epi: Ingestion of undercooked meat
PE: unilateral chorioretinitis, peri macular cotton wool spots
and no vascular involvement

Dx?
Key ix?
Rx?

A

Ocular toxoplasmosis - toxoplasma gondii
Toxoplasma IgG (+); IgM (+) in travelers

Pyrimethamine plus sulfadiazine and folinic acid 6 weeks
OR Co-trimoxazole

How well did you know this?
1
Not at all
2
3
4
5
Perfectly
21
Q

Hx: single painless chronic cutaneous ulcer progressing over weeks to months. Subsequent mucosal dissemination.
Epi: exposure in rainforested areas of S. America
PE: ulcer with raised indurated border with clean granulated base & with no surrounding inflammation

Which leish?

A

Leishmania V braziliensis
Pentavalent antimonals Eg SB5, AmphoB

How well did you know this?
1
Not at all
2
3
4
5
Perfectly
22
Q

Topical drug for limited cutnaeous leish?

A

topical paromomycin.
Imiquinoid

How well did you know this?
1
Not at all
2
3
4
5
Perfectly
23
Q

Hx febrile illness acute, subacute, or chronic course

Epi: Exposure to sandflies, zoonosis or anthroponosis rare in travelers, common in endemic populations. India, Sudan, Brazil, Southern Europe.

Exam: fever, cachexia, hepatosplenomegaly generalized lymphadenopathy

Pancytopenia with relative lymphocytosis, hypergammaglobulinemia, hypoalbuminemia.

Which type of leish?
Seen on labs?
Ix?
Rx?

A

L. donovani or
L.chagasi (=L. infantum)

Amastigotes in bone marrow or splenic aspirates.
Serology(+): DAT or rK39

Liposomal Amphotericin
[Miltefosine if oral]

How well did you know this?
1
Not at all
2
3
4
5
Perfectly
24
Q

Hx: abrupt onset fever, vomiting, diarrhea evolving to severe fatigue, anorexia, nausea, weight loss with intermittent diarrhea
Epi: Warm months in Nepal, Peru, Guatemala.

Dx?
Ix?
Rx?

A

Cyclospora cayetanensis.
Stool with AFB (+). 10um

Co-trimoxazole

How well did you know this?
1
Not at all
2
3
4
5
Perfectly
25
Hx HIV infected, CD4 < 100, chronic diarrhea, abdominal pain, no mucus, no tenesmus. Epi: tropical developing country or developed country PE: malnourished, lymphadenopathy, oral thrush, increased bowel sounds, abdominal tenderness Dx? Ix? rx? Bar HIV who might commonly get this?
Cryptosporidium hominis Stool: AFB(+) oocysts of C. parvum or C. hominis 4-6um Nitazoxanide ART therapy Normal host: 1 yr old with persistent diarrhea
26
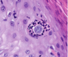
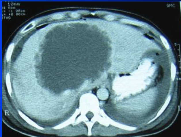
Hx: chronic RUQ abdominal pain, sensation of RUQ fullness. Early satiety. Epi: Resident of sheep raising areas worldwide including temperate zones. Exposure to dogs. PE: hepatomegaly Dx? Ix? Rx?
Echinococcus U/S: hypoechoic cystic lesion in the liver CT: septate cystic lesion. Echinococcus Western Blot (+) PAIR / Albendazole / surgery depending on stage
27
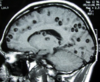
Hx: previously healthy 20 yo with new onset seizures Epi: lifelong exposure in a rural area with poor sanitation & extensive contact with pigs PE: unremarkable Dx? Ix? Rx?
Neurocysticercosis CT B T. solium Western Blot (+). Rx: Albendazole + PZQ X 10d. Dexamethasone starting 2 days before +/-Antiepileptic
28
Hx: flat white worm segment noted by patient in stool. Motile segments felt during defecation. Asymptomatic or nonspecific abdominal complaints. Epi: worldwide distribution, tropical & temperate Cows nearby PE: unremarkable dx? ix? rx?
Stool examination: eggs or segments of Taenia saginata (>15) Praziquantel
29
Hx: child with nonspecific abdominal complaints of varying duration. Mild diarrhea. Headache, sleep disturbances Epi: Resident of Egypt, Sudan, Thailand, India, South America, South Europe. PE: unremarkable Stool shows... Dx? Ix? Rx? Remember?
Hymenolepis nana Stool sample for eggs Praziquantel + repeat after 10 days Person-to-person spread; other family members with positive stools.
30
Hx: constant fever, headache, diarrhea followed by constipation, insomnia Epi: ingested food from street vendors in India PE: Temp 40.1 o C; pulse = 84. Borborygmi. leukopenia with left shift, no eosinophilia. Dx? Ix? Rx? When do complications happen?
Typhoid fever Blood or bone marrow culture Salmonella. typhi. Cipro / azithro Cef if severe or in Asia / quinolone resistance likely Complications usually around 3 week mark Eg GI bleed/perf
31
Hx : fever , night sweats , back pain , arthralgia Epi : unpasteurised goat camel sheep cheese or milk Mexico Peru , or Middle Eastern countries PE: fever , hepatosplenomegaly Lab : Leukopenia with increased lymphs Dx? Ix? Which LFT most abnormal? Rx?
brucella melitensis ALP ++ often normal transaminases Brucella Agglutination test (+). - rose bengal test B. melitensis from blood or bone marrow culture. Doxy + rifampin + gent Co-trimox in kids
32
Hx acute onset fever chills pallor jaundice Epi resident of inter Andean valleys of Peru Ecuador PE: apathy pallor jaundice lymphadenopathy hepatosplenomegaly Lab Hct 14%, increase retics Blood smear giemsa wright with intraerythrocytic gram negative coccobacilli dx? ix? Rx?
Bartonella bacilliformis Blood culture incubate 27C) with B. bacilliformis Cipro + ceftriaxone
33
Hx 3 4 days difficulty swallowing & trismus with painful neck & back muscular rigidity History of wound in previous 1 2 weeks Epi worldwide PE: Temp normal. Characteristic facies. Trismus , may have generalized muscular rigidity Dx? Rx?
Tetanus - clostridium tetani AIRWAY BCDE human hyperimmune globulin ( intrathecal ) + tetanus toxoid surgical debridement of wound + Metronidazole IV;
34
Hx: abrupt onset fever, chills, myalgia, headache, sore throat, nausea, vomiting. -Second (immune) phase with meningeal symptoms. Epi: swimming, hiking, biking or exposure of wounds to stagnant water contaminated by rodent urine PE: Temp 40 C, conjunctival suffusion, muscle tenderness, hepatomegaly, meningeal signs in immune phase Lab/X Ray: Raised CK, thrombocytopenia, Very high bilirubin with almost normal transaminases. CSF: mononuclear pleocytosis. Dx? ix? rx?
leptospira interrogans Serology - [Urine best] Rx: Ceftriaxone
35
Hx Sudden onset fever , malaise , disabling headache followed prostration , delirium & shock. Epi Person to person in settings of poor sanitation (refugee camp) PE: Temp 39 C, oliguria, diffuse erythema with blanching over chest , petechial /macular rash in axilla , confusion then semi stupor , no localizing signs , peripheral gangrene. Labs: profound lymphopenia Dx? Rx?
Louse-borne Epidemic Typhus - Rickettsia prowazekii Doxy De-lousing of living area
36
Hx: fever, severe headache, malaise, arthralgia, lesion pictured with local swelling, lymphangitis, Epi: exposure in rural area of Africa or Mediterranean basin, almost always South Africa in travelers. PE: Temp 40 C, single tache noire, petechial rash local adenopathy. Dx? Ix? Vector? rx?
African tick bite fever - Rickettsia africae Serology for IgG/IgM Amblyomma tick Doxy
37
Hx Sudden onset fever, chills, headache, myalgias, prostration. Painful unilateral inguinal swelling. Epi: rural area with flea infested dog, cat, or rat exposure in Africa, S. America, SE Asia PE: Temp 40 C, tachycardia, hypotension, delirium. =? Appearance? rx?
Yersina pestis - plague Bipolar staining safety pin bacilli in bubo aspirate. Ciprofloxacin
38
Hx painless pa pule with surrounding erythema and edema that evolves into an hemorrhagic vesicle, ulcerates and develops a black central eschar. Painful regional adenopathy. PE: necrotic ulcer with raised indurated borders and painful regional lymphadenopathy. Pleural effusion, widened mediastinum, hemorrhagic meningitis. Dx? Modes of transmission? Ix? Rx?limited cutaneous? GI/systemic? Meningitis? Prevention?
Anthrax - Bacillus anthracis -contact with infected animals or animal products. -Inhalation of spores (inhalational anthrax) - ingestion of contaminated meat (gastrointestinal). Cutaneous - Amox (kids) or cipro Inhaled/systemic - Antitoxin (Raxibacumab) or IVIg +Cipro + linezolid Add meropenem + dexamethasone for meningitis Vaccine - bioThrax in selected populations
39
Hx: Child with sudden onset fever, vomiting, disabling abdominal pain with cramps. Initial watery stools progressing to scanty unformed mucus & blood. Tenesmus & straining at stool. PE: Temp  39ºC. Only mild tenderness on abdominal exam. Intensely red rectal mucosa. Lab: increased WBC Dx? Ix? Rx?
Shigella (sonnei) Stool culture Cipro (if area of resistance azithromycin)
40
Hx: inguinal lymphadenopathy; fever & constitutional symptoms, may recall spontaneously healing painless ulcerative lesion in the genital or perianal area Epi: sexually active, worldwide but more prevalent in tropical/subtropical regions PE: Unilateral inguinal lymphadenopathy (bilateral in one third) with extensive inflammatory reaction with overlying fixed matted skin which may rupture spontaneously (bubo). Dx? Ix? Rx? What is Groove sign?
lymphogranuloma venereum -isolation in cell culture of Chlamydia trachomatis from bubo aspirates -LGV specific serology Doxy 3 weeks Groove sign - If both inguinal and femoral involvement, lymph nodes can be separated by the inguinal ligament
41
Hx solitary or multiple painful ulcers in the genital area Epi: sexually active PE: nonindurated ulcer, ragged & undermined with an erythematous halo, purulent base which bleeds, tender regional lymphadenopathy Dx? Ix? Rx?
Chancroid - Haemophilus ducreyi Culture of H. ducreyi from exudate -Need to rule out syphilis / herpes Cef or Azithro single dose
42
Hx: solitary ulcers (chancre) in the genital area, may occur anywhere; rash of secondary stage typically diffuse Epi: sexually active, PE: chancre=indurated ulcer, clean base;+ condyloma lata; neuroinvasive disease = meningitis, panuveitis, retinitis, meningovascular stroke =? Where does the secondary rash often affect? Ix? Rx?
Syphilis: Treponema pallidum Diffuse rash - involves palms/sole Serology required (quantify RPR or VDRL, confirm with treponemal test (EIA, CLIA, TPPA, FTA -Rule out herpes. Penicillin G
43
Hx: watery diarrhea, nausea, vomiting, leg cramps, oliguria Epi: endemic individual in impoverished areas of southeast Asia, Africa Latin America PE: severe dehydration: sunken eyes, dry oral mucosa, decreased skin turgor, obtundation, feeble or impalpable pulse Dx? Ix? Rx?
Vibrio cholerae on TCBS media. Rehydration Eg ORS / ringers lactate Azithromycin
44
Hx lesion beginning as single painless non tender nodule with subsequent ulceration with wide undermined edge PE: Afebrile. Undermined highly invasive ulcer. Non systemic. No adenopathy. Dx? ix? Rx?
Buruli ulcer Mycobacterum ulcerans Direct smear from ulcer border with clumped AFB+ Rifampin + clarithromycin
45
Hx two or more) well defined chronic non pruritic hypopigmented macules or erythematous plaques PE: impaired sensation on the skin lesions One or more thickened nerves Dx? Ix? Rx?
Leprosy - Paucibacillary -Slit skin smears from the lesions AFB ( (--) - Biopsy with granulomas in skin & nerves - Lepromin skin test +ve Dapsone + rifampin + clofazimine for 6 months
46
Hx : multiple , chronic , non pruritic , non anesthetic mildly erythematous infiltrative lesions on skin, papules and nodules PE: Normal or impaired sensation on the lesion (s). One or more thickened nerves in longstanding disease dx? ix? rx?
Leprosy Multibacillary -Slit skin smears from a lesion AFB (5+). -Biopsy with foamy histiocytes , perineural bacilli . -Lepromin ((--). Rifampicin , clofazimine and dapsone for 12 months
47
Hx: abrupt onset fever, rigors, severe headache, myalgias arthralgias; cyclical episodes Epi: person to person in settings of cold, crowding & poverty. Horn of Africa PE: Temp 39 C, lethargy, truncal rash (petechial), conjunctival suffusion, hepatosplenomegaly, hemorrhage. Dx? Ix? Rx? comp?
Louse borne relapsing fever -Borrelia recurrentis, typical spirochetes in peripheral blood, thrombocytopenia, increased LFTs/Bili. Doxy single dose - Jarisch/Herxheimer reaction.
48
Hx: fever, septic picture in a 46 yo diabetic Epi: rainy season in farming areas of East Asia or Northern Australia PE: Temp 40ºC, obtunded, shock Lab/X Ray: CXR: extensive pneumonia. U/S: hepatic & splenic abscesses. + muscle a abscesses dx? Ix? Rx?
Burkholderia pseudomallei Melioidosis Gram-negative rods in pus from abscesses Cef OR mero 2 weeks followed by co-trimoxazole for 20 weeks
49
Hx Abrupt onset fever, chills, arthralgia, headache, eye & lumbosacral pain. Epi: Travel or residence in urban areas of tropics PE: Fever, generalized erythematous macular rash, relative bradycardia & generalized lymphadenopathy. Petechial haemorrhages & epistaxis DX? Bloods? Ix? Rx?
Dengue Marked leukopenia, thrombocytopenia. -Viral isolation or PCR from acute serum - Dengue IgM (+) after day 5 of illness -NS1 protein Symptomatic Rx
50
Hx: fever, malaise,headache, diffuse rash, right knee pain for 2 days Epi: exposure in rural area of Malaysia. PE: Temp 40 C, single diffuse macular rash, R knee effusion. Tenosynovitis small joints of hand Mild neutropenia/thrombocytopenia Mild increased LFT Dx? Ix? Rx?
Chikungunya Fever (--), CHIK PCR or IgM positive Supportive
51
Dengue vs Chikungunya vs Zika Which has the worst arthralgia? which has none? Which commonly has peripheral oedema? Retro-orbital pain? conjunctivitis? Hepatomegally? Leukopenia? Haemorrhage?
52
Hx: acute onset fever, chills, severe headache, generalized myalgia & lumbosacral pain, nausea, vomiting, prostration Epi: exposure in forested areas of sub Saharan Africa or the Amazon region of South America PE: fever 40 C, jaundice, patient distressed & anxious, gingival hemorrhage & epistaxis, oliguria Lab: neutropenia, thrombocytopenia, ->Hepatorenal failure Dx? Ix? Rx?
Yellow fever Viral isolation from blood. IgM capture ELISA. Supportive eg dialysis for acute renal failure
53
Hx fever , headache , dizziness , diffuse myalgia , fleeting rash or flushing , gastrointestinal symptoms (diarrea). Bleeding sometimes in late disease rapid progression to petechiae or frank hemorrhagic lesions of skin & mucous membranes Epi arrived 2 days ago from Sierra Leone, recent exposure to someone with unknown febrile illness PE: acutely ill , temp 41ºC, no meningeal signs , abdominal tenderness Dx? Rx?
Haemorrhagic fever Ribavirin if arenavirus or CCHF possible Notify public health authorities Isolation in negative pressure room if possible Quarantine of patient & specimens per established protocols Contact tracing
54
Hx fever , headache , dizziness , diffuse myalgia , fleeting rash or flushing , gastrointestinal symptoms (diarrea). Bleeding sometimes in late disease rapid progression to petechiae or frank hemorrhagic lesions of skin & mucous membranes Epi arrived 2 days ago from Sierra Leone, recent exposure to someone with unknown febrile illness PE: acutely ill , temp 41ºC, no meningeal signs , abdominal tenderness Dx? Rx?
Haemorrhagic fever Ribavirin if arenavirus or CCHF possible Notify public health authorities Isolation in negative pressure room if possible Quarantine of patients & specimens per established protocols Contact tracing
55
Arenaviruses all transmitted by? What do you give? Name 2?
Rodents Ribavarin Africa - Lassa South America Argentine HF Junin virus Bolivian HF Machupo virus Venezuelan HF Guanarito virus
56
Hx: Gradual onset, sore throat, cough, GI symptoms, deafness (20%) in convalescence. Epi: Sierra Leone, Liberia, Guinea, Nigeria. rats as well as stored rain PE: pharyngitis, hypotension with generalized edema, non-icteric, sometimes facial + neck swelling. Dx? Transmission? ix? rx?
Lassa fever Rodents/contaminated urine / human-human Lab IgM, viral isolation, PCR. Ribavirin
57
Hx Intense pruritus at healed bite. Fever, ->anxiety hydrophobia, aerophobia, spasms, seizures, coma with periods of lucidity interspersed with arousal. Epi Animal bite or scratch 3 months prior, animal not captured. PE: jerky inspiratory muscle spasms, opisthotonos , meningism , hypersalivation , involuntary movements. =? ix? rx
Rabies (Lyssa virus) PCR of saliva and CSF (not blood) (+) Palliation of distressing symptoms.
58
Hx 43 yo with non tender swelling beginning in toe, progressive over 30 years now with sinus tracts and drainage of black granular material. Otherwise well. Epi: Farmer from Chiclayo on the coast. PE: Afebrile. Normal except foot. Lab: Hyphal forms in KOH prep of black granules. Culture (slow-growing) Dx? Rx?
Madurella mycetomatis Itraconazole
59
Hx: undifferentiated fever, cough, dyspnea, weight loss Epi: typically HIV high risk group, living in Eastern U.S., Central & South America PE: fever, diffuse rash, organomegaly Lab: pancytopenia, raised LDH CXR military dx? rx?
Histoplasma capsulatum Amphotericin B followed by itraconazole
60
Progressive worsening headache in HIV with poor adherence to ARVs umbilicated skin lesions dx? ix? rx?
Cryptococcus neoformans -India ink -CrAg in CSF/serum Amphotericin B + flucytosine + fluconazole 2 weeks Then 800mg fluconazole 8 weeks then 200mg fluconazole until CD4 >200 minimum 1 year
61
Hx: Single papular lesion on hand after local trauma progressing over weeks to multiple nodular lesions in a lymphatic distribution up the arm. No systemic symptoms. Epi: farmer in a rural area of Peru PE: afebrile, ulcerated violaceous hand lesion with lymphatic spread dx? ix? rx? if no money?
sporothrix schenckii Biopsy & direct smear from ulcer negative. S. schenckii on culture. Itraconazole for >3 months or potassium iodide if economic constraints
62
Hx cough, proliferative skin lesions, bone pain, constitutional symptoms Epi: Asian, Filipino, or Black with exposure to U.S. Southwest, Mexico, parts of S. America PE: fever, verrucous skin lesions (focal or diffuse), bone pain Dx? Ix rx
coccidioides immitis Lab: serum or CSF complement fixation (+) Amphotericin B for severe disease, itraconazole or fluconazole for stable
63
Hx:>4 months of chronic disease with oral and/or skin lesions, exertional dyspnea Epi: exposure in forested areas of S. America. Farmer with history of smoking & alcohol abuse PE: cachetic adult male painful oral exophytic ulcers affecting gums which bleed, & ulcerative polymorphic skin lesions Dx? Ix? Rx
Paracoccidioides brasiliensis Direct exam & culture of lesions or bronchial secretions for P. brasiliensis Complement fixation or immunodiffusion Rx Itraconazole at least 1 year
64
Hx child with fever , lymphadenopathy & anorexia Epi resident of forested region of S. America PE: fever , generalized adenopathy (may suppurate ) including abdominal, hepatosplenomegaly Dx? Ix? Rx?
Paracoccidioidomycosis - Sub acute juvenile infection P. brasiliensis in the direct aspirate of lymph node . Ampho B / itra
65
Hx: diffuse itchy hyperkeratotic skin lesions Epi: Worldwide in compromised hosts. PE: Afebrile. No adenopathy. Diffuse skin lesions. Dx? Ix Rx? Link to?
Norwegian Scabies direct scrapings crawling with mites Rx: oral ivermectin HTLV 1 positive
66
Hx Snakebite, intense pain & swelling at site with headache, abdominal pain. Epi in rural or jungle area of South America PE: Wound: edema, erythema, ecchymosis, bullae, cyanosis, necrosis and inflammation, oozing of blood through fang marks. Local lymphadenopathy. Extensive swelling of whole limb. Which snake? Systemic sx? Key Ix? Rx?
Viper - (e.g. Bothrops sp . or Lachesis sp .) Systemic: hypotension, spontaneous systemic bleeding. Lab: incoagulable blood (20WBCT). DIC profile, hemoconcentration , increased CK, myoglobinuria , increased BUN/Cr. Rx: Supportive. Appropriate specific antivenom Crotalidae. Pre treat with epinephrine. Debridement and skin grafting (not fasciotomy ) as required
67
Hx bitten while sleeping on the floor at night. No local swelling, early onset drooping eyelids, paresthesias , confused, severe crescendo abdominal pain, vomiting. Epi Sinhalese, rural Sri Lanka, at home. PE: inapparent fang marks, bilateral ptosis, external ophthalmoplegia , respiratory distress with paradoxical breathing, centrally cyanosed, vomiting. Glasgow CS 10. Dx? Blood finding? Rx?
Snakebite Elapid Lab/X Ray: All normal except for neutrophilic leucocytosis. Rx: Urgent airway and assisted ventilation. Try atropine and neostigmine. Appropriate specific antivenom after epinephrine prophylaxis.
68
Who am I
DR. EDUARDO GOTUZZO HERENCIA
69
Fever. Sore throat. Feeling sick. Painful, blister-like lesions on the tongue, gums and inside of the cheeks. A rash on the palms, soles and sometimes the buttocks. The rash is not itchy, but sometimes it has blisters. EPI : kid in child care centre Dx?
coxsackievirus 16 - Hand foot and mouth disease
70
Name 5 causes of larva migrans
Paragonimus westermani Toxocara cani Baylisascaris procyonis Angiostrongylus cantonensis Gnathostoma spinigerum Acute Ascaris lumbricoides Acute Fasciolia herpetica [Essentially same as causes of eosinophilic meningtis (PT BAG) plus ascaris / fasciola)
71
Skin nodule with eosinophilia name 2 causes of: Migratory larva? Fixed nodules?
Migratory larvae -Gnathostomiasis -Paragonimiasis, Fascioliasis -Sparganosis Fixed nodules -Cysticercosis -Onchocerciasis
72
2 key causes of eosinophilia with fixed pulmonary nodules
Paragonimus Echinococcus
73
Diffuse pulm infiltrates with eosinophilia?
Diffuse infiltrates: Tropical Pulmonary Eosinophilia due to Filariasis