1
Q

Key difference between tropical ulcer and Buruli ulcer? Who gets tropical ulcers? Usual bug?

A

Tropical are painful
Often - bacillus fusiformis

Poor and malnourished

[Buruli undermined border]

How well did you know this?
1
Not at all
2
3
4
5
Perfectly
2
Q

Cause of burili ulcer? What is it?

A

Mycobacterium ulcerans
slow-growing acid/alcohol fast bacilli

Usually following minor trauma and inoculation from stagnant water Eg rice farm

How well did you know this?
1
Not at all
2
3
4
5
Perfectly
3
Q

Buruli ulcer characteristic findings

A

Painless
Deeply undermined skin at edge
Often has satellite ulcers which communicate sub cut

Usually very invasive - osteomyelitis in 15%

How well did you know this?
1
Not at all
2
3
4
5
Perfectly
4
Q

Buruli ulcer ix? rx?

A

PCR assay - gold standard
– Direct examination
– Culture
– Skin biopsy (histopathology)

Rifampicin + clary (oral) OR streptomycin (IV) 8 weeks

AND surgical removal

How well did you know this?
1
Not at all
2
3
4
5
Perfectly
5
Q

Buruli ulcer control

A

BCG may offer some protection
Long trousers
education + early detection (painless so often delay in seeking rx)

How well did you know this?
1
Not at all
2
3
4
5
Perfectly
6
Q

What does myiasis mean? 3 main types? Which in Africa? South America?

A

Insect larvae invading sub-cut tissues or body cavities

Tumbu fly - Lies eggs on Ts - Africa
Bot fly - South America
Chiggers / jiggers - flea on feet you makes do jiggs

How well did you know this?
1
Not at all
2
3
4
5
Perfectly
7
Q

Tumbu fly other name? scientific name? Pathogenesis? rx? prevent?

A

Putzi fly - cordylobia anthropophaga
[Washing line cord]
Lies eggs on clothes on washing line
-> these hatche when warmed by body
-> causes a boil

rx is to suffocate using petroleum jelly and then remove larvae intact

Prevent by ironing clothes to kill eggs

How well did you know this?
1
Not at all
2
3
4
5
Perfectly
8
Q

Bot fly scientific name? Pathogenesis? rx?

A

Dermatobia hominis
[Makes a homis on your dermat]
Deposits eggs directly on skin -> boil lesion
Occlusion eg Jelly + surgical

[Not bad themselves but likely to get infected]

How well did you know this?
1
Not at all
2
3
4
5
Perfectly
9
Q

What causes cutaneous larva migrans? rx?

A

Hookworm - usually ancylostoma braziliense

Albendazole 400mg single dose
[or single ivermectin 12mg]

How well did you know this?
1
Not at all
2
3
4
5
Perfectly
10
Q

Compare rash from hookworm and from stronglyotides

A

Hookworm - cutaneous lava migrans - very slow moving 2-3mm per day.
-Very itchy and serpingous

Strongly- lava currens - faster moving and linear

How well did you know this?
1
Not at all
2
3
4
5
Perfectly
11
Q

Prevention cutaneous lava migrans

A

Footwear on beaches / parks
Ban dogs from beaches (from thier stool)
Dog de worming programmes

How well did you know this?
1
Not at all
2
3
4
5
Perfectly
12
Q

Scabies incubation for first infection

A

4-6weeks

How well did you know this?
1
Not at all
2
3
4
5
Perfectly
13
Q

Scabies rx best? cheapest? if severe crusting scabies in HIV?

A

All household treated and dose repeated after 1 week

Permethrin 5% 1st line
Benzyl benzoate 25% (not as good)

Ivermectin if really severe / in HIV

How well did you know this?
1
Not at all
2
3
4
5
Perfectly
14
Q

Name 2 species of louse? rx?

A

Body louse - Pediculus humanus
Pubic louse - Phthirus pubis
Head louse - pediculus capitis

Lotions with Malathion/permethrin / DDT
[can comb out head lice eggs]
Need to heat clothes after body louse to 70 degrees for at least 30 minutes

How well did you know this?
1
Not at all
2
3
4
5
Perfectly
15
Q

What is mycetoma (madura foot)? Key bugs

A

Chronic swelling with sinus formation discharging

Actinomycete bacteria
-Nocardia brasiliensis (south America)
-streptomyces somaliensis (Africa)

Fungus
-Madurella mycetomatis
[Less aggressive, fewer fistula and more slow growing]

How well did you know this?
1
Not at all
2
3
4
5
Perfectly
16
Q

Nocardia appearance? Whats interesting?
Rx?

A

Gram positive rods
form acid-fast beaded branching filaments (like fungi)

Co-trimox
[Bacteria acting like a fungi =antibiotic and anti fungal]

How well did you know this?
1
Not at all
2
3
4
5
Perfectly
17
Q

How do you get mycetoma? features?

A

usually from prick from a plant thorn
If on back -> often from carrying wood

Painless swelling
After several years break down to form discharging sinuses
With granules

How well did you know this?
1
Not at all
2
3
4
5
Perfectly
18
Q

Rx madurella mycetomatis? Actinomycotic bacteria?

A

Madurella mycetomatis- 1 year itraconazole / fluconazole
+surgery

Actinomycotic - co-trimox
+ streptomycin / amikacin / cef / linezolid / rifampin
[Second one based on drug sensitivities]

How well did you know this?
1
Not at all
2
3
4
5
Perfectly
19
Q

violet warty / ulcerated lesions which are itchy. Chestnut brown fungi or branching hyphae on smears =? cause? rx?

A

Chromoblastomycosis
Fungi from wood - enter through skin trauma
[Chromo colour from wood]

Rx tricky - combination eg itra + terbinafine

How well did you know this?
1
Not at all
2
3
4
5
Perfectly
20
Q

The treatment failure rate for leishmaniasis with SSG

A

25%

How well did you know this?
1
Not at all
2
3
4
5
Perfectly
21
Q

Malnourished kid with rapidlyprogressive mouth/cheek ulcerating disease is?

A

Noma

How well did you know this?
1
Not at all
2
3
4
5
Perfectly
22
Q

What is Splendore–Hoeppli phenomenon

A

Protinateous host response to foreign body
-Inflamm cells surrounding grain/cluster of bacteriaa

How well did you know this?
1
Not at all
2
3
4
5
Perfectly
23
Q

Fungal mycetoma is called

A

Eumycetoma

How well did you know this?
1
Not at all
2
3
4
5
Perfectly
24
Q

Which mycetoma has branching bacilli? rx

A

Nocardia (braziliensis)
3 weeks of co-trimox + amikacin
Then 22 weeks of co trimox + cycling other abx

How well did you know this?
1
Not at all
2
3
4
5
Perfectly
25
Which mycetoma can you rx with surgery
Early lesions Eumycetoma
26
Lesions on kids face key Ddx in peru
Sporothrix schenckii leishmaniasis
27
Why often cutaneous TB on Forearm or hands
Direct inoculation from coughing
28
Which lesions can follow lymph path ( sporotrichoid lesions)
Sporotrichosis Leishmaniasis Atypical micobacteria Nocardiosis TB Other endemic fungi - histo, crypto, blasto Pyodermitis SLANT
29
Asteroid bodies on biopsy of cutaneous ulcer most likely
Sporotrichosis
30
If no hyphae or filamentous bacteria in mycetoma what do you suspect
Botryomycosis - s aureus
31
2 most common locations of Balamuthiasis
Face - often nose Knee
32
Lesion on face especially with Painful ulceration in mouth Key Dx
Paracocci If minimal oral involvement -> leish
33
lesion on face and nose with +++ necrosis
NK-T cell lymphoma (caused by EBV)
34
Painful ulcerations in mouth and anus
Parracocci Herpes
35
Molliuscum-like lesions with hepatosplenomegaly and weight loss ? When else do you commonly get molluscum like lesions
Paracocci Disseminated Cryptococcus Eg HIV
35
Molliuscum-like lesions with hepatosplenomegaly and weight loss ? When else do you commonly get molluscum like lesions
Paracocci Disseminated Cryptococcus Eg HIV Mpox Talaromyces...
36
Eczematous lesions of the axilla, neck and head
Infective dermatitis From HTLV-1
37
Which myiasis in Africa vs South America
cordylobia anthropophaga in Africa Dermatobis homis in South America
38
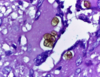
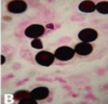
Ulcer with amastigotes
Leishmaniasis
39
Buruli ulcer sx? Seen on biopsy?
- extensive, mostly painless very deep with undermined borders - Acid-fast bacilli on edge of ulcer
40
Cause of chronic desert sore ulcer? Sx?
- Cutaneous diphtheria Usually single, painful with adherent Slough - Paralysis from toxin
41
Hypopigmented raindrop patches on trunk with minor scaling ?
Pityriasis versicolor
42
Chronic arsenic poisoning dermal presentation
- Slate gray colour of skin either small areas of normal skin - Hyperkeratosis of palms and soles Peripheral neuropathy Raindrop appearance (white spots on darkened skin)
43
Name 2 causes of multiple painful genital ulcers
Herpes, chancroid (h ducreyi) , scabies
44
3 causes of multiple painless genital ulcers and bugs
- Syphilis t palladium - Lymphogranuloma venereum - chlamydia trachomatis - Granuloma inguinale - klebisella granulomatis
45
Anaesthetic lesions
Leprosy
46
Lesions on a childs face biopsy shows this
sporotrichosis
47
Mycetoma foot
48
Grains from mycetoma foot
49
Grains from mycetoma foot
50
Differential diagnosis of verrucous plaque
Chromoblastomycosis Tuberculosis Verrucosa Cutis Leishmaniasis Sporotrichosis Fusarium
51
verrucous nodules that are characteristically very slow-growing
Chromoblastomycosis
52
Verrucous leishmaniasis
53
Lesion of the central face?
Balamuthiasis Balamuthia mandrillaris
54
Edema of the nose and upper lip, ulcerations in the mouth with haemorrhagic spots
Paracoccidiodomycosis
55
Central facial edema, mostly of the nasal pyramid and nasal cavity
Mucocutaneous leishmaniasis
56
Ulceration of the nasal pyramid and involvement of nasal mucosa With PROMINENT NECROSIS
NK T cell lymphoma of the nose [EBV]
57
Swelling starts on forehead and works down Rx?
Rhinoentomophtoromycosis Zygomycetes infection eg Conidiobolus coronatus Fluconazole/itraconazole
58
What is this lesion in TB called
Scrofula
59
Borderline leprosy
60
Leprosy
61
lives in Chicago Comes to Lima with pulmonary disease and cold abscesses on the arms
North American Blastomycosis Blastomyces dermatitides
62
Large painful ulcerations in the mouth and the anus with a cough
Paracoccidiodomycosis
63
systemic disease, hepatosplenomegaly, and moluscum like lesions
Juvenile or subacute form of Paracoccidiodomycosis
64
Umbilicated, moluscum like lesion in HIV
Cryptococcus
65
Painless ulcer what am i? describe? Characteristics? Cause?
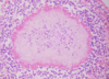
Bururli - Ulcer with an undermined border ( massive necrosis and multiple bacilli Mycobacterium ulcerans
66
Buruli distribution? Found where?
West Africa mostly especially ivory coast [few in Australia and some in South america] Around rivers and lakes especially stagnant water
67
M ulcerans pathogenesis - what must it have ?
Mycolactone toxin -> causes destruction but also anaesthesia -> Also immunosuppression UNDERMINED borders
67
M ulcerans pathogenesis - what must it have ?
Mycolactone toxin -> causes destruction but also anaesthesia -> Also immunosuppression UNDERMINED borders
68
Buruli always ulcer?
No may get nodules or plaques
69
Buruli on histology
Extensive fat necrosis clumps of acid-fast bacilli on Ziehl Nielsen stain
70
Differentiate leish and buruli
Leish - raised borders, no undermining and minimal necrosis Buruli - Undermined borders, extensive central necrosis
71
Oral Rx Buruli? common issue?
Rifampicin + clary (oral) Paradoxical reactions may happen in up to 20% of cases [Therapy diminishes the immunosuppression]
72
Buruli Size? Amount of inflam infiltrate on histology? How many mycobacteria ? Other key features
* A large ulcer with undermined borders * Extensive necrosis of fat * Inflammatory infiltrate minimal or absent * A-F stain with large amounts of bacilli ( only comparable to the amount seen in leprosy) * Severely destructive, no inflammation, no pain, undermined borders
73
Why do kids get cutaneous TB chancre on their cheeks? What is almost also always there
Kiss from parents - lymphadenitis Multibacilliary
74
What is a Scrofuloderma
Fistulous draining from underlying structure , such a lymph node ,bone or epididymis
75
What are TB Gummas? Features?
Cold abscess as a result of hematogenous spreading -Necrosis predominates -Granulomatous formation can be seen at the center -Bacilli can be seen
76
What am I? Features?
Lupus vulgaris TB Paucibacilliary Usual on face - but also hands and feet Well formed granulomas , no necrosis
77
Tuberculosis verrucosa cutis differentiate from lupus vulgaris
The whole plaque is warty Pathology is quite similar to lupus vulgaris other that facial Bacilli not seen
78
Tuberculids are?
Ulcerated nodules, posterior aspect of legs Lobular panniculitis [Like erythema nodosum but ulcerate]
79
What type of TB am I?
Lichen scrofulosorum
80
Cutaneous TB rX?
RIPE - same as pulmonary
81
38M Atrophy of the nasal mucosa and narrowing of the nasal cavity Ulceration and infiltration of the hard palate mucosa Biopsy demonstrates - this macrophage which has consumed bacteria =? Caused by?
Rhinoscleroma Klebsiella rhinoscleromatis - rx tetracyclines [Only found in people with genetic susceptibility] 3 phases * Catarrhal phase * Proliferative , granulomatous phase * Sclerotic phase Biopsy - Lymphocytes, plasma cells , histiocytes , PMNs and giant cells
82
Rhinoscleroma rx?
Cipro
83
2 cutaneous diseases caused by klebsiella?
Granuloma inguinale - klebsiella granulomatis Rhinoscleroma - Klebsiella rhinoscleromatis
84
Granuloma inguinale also called? Rx?
Donovanosis Azithromycin
85
Painful, rapidly growing , sloughing ulcer, usually on the leg Mostly prevalent in tropical areas Trauma always present , but can be trivial, from scratch to an insect bite =? Usual cause? Rx?
Tropical ulcer Fusobacterium, commonly mixed with E. coli or Enterococcus sp. Doxy + metronidazole
86
child with dental abscess which goes on to cause this? Associated with? Cause? Rx?
Noma Chronic malnutrition, poor dental hygine Fusiform bacilli + staph/strep Penicillin + metronidazole
87
What It is the most benign form of endemic treponematosis, with clinical manifestations limited to the skin, including vitiligo like achromic lesions as well as hyperpigmented lesions? Found where? What happens in late phase?
Pinta - Treponema carateum South and central america Achromic patches over body prominences after 2-5 years
88
Travel to South Africa and Botswana for safari Tick bite which turned into image ->Fever malaise muscle pain = ? Rx? If there was a Triad of fever, eschar and rash which species?
African Tick bite fever - Rickettsia africae Doxycycline A disseminated rash is more common in cases produced by R. conorii
89
Spontaneous abscess in large muscles of limbs / trunk with systemic symptoms 'wooden' texture =? Usual cause? Rx?
Tropical pyomyositis Staph IV Abx + drainage
90
rice farmer; works barefoo 10 year history of illness tumor + fistula + grain discharge (black) minimal pain initiall no response to antibiotics Dx?
Black grains = Madurella mycetomatis
91
Mycetoma Ix?
Visualise grains Fine needle aspirate US/ imaging PAS / KOH staining Molecular methods Grain
92
Which cause of mycetoma may produce red grains ?
Actinomadura
93
Eumycetoma vs Actinomycetoma World distrobution Agressiveness Fistula numbers Sinus appearance lymphatic spread Size of grains Medical vs surgical rx
94
2 most common causes of botryomycosis
Staphylococcus aureus (40%) Pseudomonas aeruginosa (20%)
95
Agricultural worker with chronic (years) verrucous or vegetant (cauliflower) lesion =? Cause?
CHROMOBLASTOMYCOSIS -trauma with wood or vegetation
96
Chonic lesion with black dots - on histology
Chromoblastomycosis
97
Chromoblastomycosis Rx
Cryotherapy / thermotherapy best -Deep excision in early lesions [Itraconazole + terbinafine] fonsecaea pedrosoi
98
What am I ? Most common bug
Chromoblastomycosis fonsecae pedrosoi fon-sec-aea [fon proSEC ae with Pedro]
99
Farmers / fishermen with a chronic keloid like lesion on ear / leg. No black dots visulalied
Lobomycosis Lacazia loboi
100
Chronic lesion Histology round oval structures; 6 12um in chains of 2 10 cells, connected by short tubular projections
Lacazia loboi (Lobomycosis)
101
Which vaccine should you check with myiasis
Tetanus
102
Inflammatory nodule with central crater on Soles/between toes, around toenails most likely? rx?
Tunga penetrans [Itching helps to release eggs] Extracted with a needle or scissors ▪ Prevention: Wear shoes, flea control
103
Tunga penetrans
104
Tunga penetrans
105
Name 2 causes of myiasis
Dermatobia hominis Cordylobia anthropophaga Cochliomyia hominivorax
106
Which fly classicly lies eggs in open wounds
Cochlyomyia hominivorax
107
Wound had this removed =?
Dermatobia hominis
108
“latigazo” is?
vesicular dermatitis caused by Blister Beetle Paederus species P. irritans , P. fuscipes, P. australis, P. melampus, P. brasilensis, P.colombius , and P. peregrinus
109
A lesion with a patent hole
Dermatobia hominis
110
For paederin to be produced what bacteria are required by blister beetles
Pseudomonas species Only adult females produce paederin
111
Blister beetle Eg Paederus irritans
112
What are bed bugs actually called
Cimex lectularius
113
Flea bites are typically ?
In lines eg line of 3 especially bed bugs
114
Scabies real name
Sarcoptes scabiei
115
Sarcoptes scabiei burrows
116
Sarcoptes scabiei burrows
117
Sarcoptes scabiei burrows
118
What causes nodular scabies
Hypersensitivity reaction of the host by persisting mite antigens
119
Crusted scabies Ivermectin
120
crusted scabies Ivermectin
121
How do you confirm diagnosis of superficial mycoses
KOH stain
122
Tinea capitis Single round patch of alopecia with scaling
123
Tinea capitis caused by? Rx?
microsporum canis -Griseofulvin Trichophyton tonsurans -Terbinafine
124
Pityriasis versicolor -Malassezia ssp M furfur. M globosa and M sympodialis
125
Pigmented lesions on palms/soles
Tinea nigra (Hortaea werneckii)