CNS Flashcards

(67 cards)

1
Q

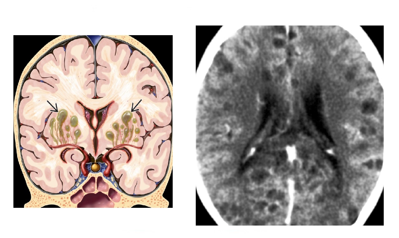
Key differences of lymphoma vs toxoplasmosis?

A

Lymphoma -
Solitary lesion
Subependymal spread/corpus callosum
Restricts DWI
Hyperdense on CT
HOT Thallium SPECT

Toxoplasmosis -
Multiple lesions.
Significant oedema - target sign
Basal ganglia
No restriction DWI
COLD Thallium SPECT

How well did you know this?
1
Not at all
2
3
4
5
Perfectly
2
Q

Paediatric brain tumour with asymtetical ventricular dilatation?

A

Choroid plexus papilloma

How well did you know this?
1
Not at all
2
3
4
5
Perfectly
3
Q

Large, mixed solid/cystic mass in child < 2 years of age with increasing head circumference and bulging Fontelle’s ?

A

Desmoplastic infantile ganglioglioma/Astrocytoma (DIG)

Is always SUPRTENTORIAL

Good prognosis vs the INFRATENTORIAL Atypical teratoma/rhabdoid

Giant hemispheric tumor of superficial cortex & leptomeninges, often attached to dura
Large, mixed solid/cystic mass in child < 2 years of age
Cortically based, enhancing solid nodule/plaque, adjacent pia + reactive dural thickening

How well did you know this?
1
Not at all
2
3
4
5
Perfectly
4
Q

Imaging features of Dandy-walker malformation?

A

Cystic dilatation of the 4th ventricle

Enlarged posterior fossa with elevated tentorium - ‘Torcular-lamboid inversion’

Cerebellar vermis agenesis - superior rotated vermain remnant

Small and widely spaced cerebellar hemispheres

Hydrocephalous

addition-
dysgenesis or agenesis of the corpus callosum
occipital encephalocele
polymicrogyria and grey matter heterotopia

How well did you know this?
1
Not at all
2
3
4
5
Perfectly
5
Q

What defines persistent Blacke pouch?

A

Cyst posterior and inferior to the vermis, that communicates with the 4th ventricle but not the cisterna magna

Structurally normal vermis that is rotated

Posterior fossa is not expanded

Tentorium is elevated

Mega cisterna magna =

How well did you know this?
1
Not at all
2
3
4
5
Perfectly
6
Q

Increases T2 signal in bilateral medial thalamus and periaqueductal gray and enhancement of the mammillary bodies?

A

Wernicke

WW1

Remember wernickes is Thiamine deficency - T for thalmus

How well did you know this?
1
Not at all
2
3
4
5
Perfectly
7
Q

T2 bright globus pallidus?

A

Carbon monoxide poisoning

How well did you know this?
1
Not at all
2
3
4
5
Perfectly
8
Q

Swelling and T2 bright corpus callosum in alcoholic ?

A

Marchiafava-Bignami

How well did you know this?
1
Not at all
2
3
4
5
Perfectly
9
Q

Optic nerve atrophy, haemorrhagic putaminal and subcortical white matter necrosis?

A

Methanol poisoning

How well did you know this?
1
Not at all
2
3
4
5
Perfectly
10
Q

Appearances of acute hepatic encephalopathy?

A

AHE: Bilateral swollen T2-/FLAIR-hyperintense gyri (most severe insular cortex, cingulate gyri) with diffusion restriction

How well did you know this?
1
Not at all
2
3
4
5
Perfectly
11
Q

Appearances of chronic hepatic encephalopathy?

A

CHE: Bilateral T1WI hyperintensity in basal ganglia (BG), particularly globus pallidus (GP)

How well did you know this?
1
Not at all
2
3
4
5
Perfectly
12
Q

Neonatal CNS infection with periventricular calcifications and polymicrogyria?

A

CMV

How well did you know this?
1
Not at all
2
3
4
5
Perfectly
13
Q

Neonatal CNS infection with basal ganglia calcifications and hydrocephalus ?

A

Toxoplasmosis

How well did you know this?
1
Not at all
2
3
4
5
Perfectly
14
Q

Neonatal CNS infection with Haemorrhagic infarcts resulting in encephalomalacia and atrophy?

A

HSV

nb - 90% HSV-2

Unlike HSV-1 in adults doesnt involve limbic system

How well did you know this?
1
Not at all
2
3
4
5
Perfectly
15
Q

Neonatal CNS infection with predominant frontal lobe atrophy?

A

HIV

How well did you know this?
1
Not at all
2
3
4
5
Perfectly
16
Q

Key difference between HIV encephalitis and progressive multifocal leukoencepalopathy?

A

HIV = Symmetric T2 hyperintensities deep WM that spare the subcortical U fibres. T1 signal is normal

PML - Asymmetric scattered T1 hypointensities and T2 hyperintensities out of proportion to mass effect. U fibres involved.

How well did you know this?
1
Not at all
2
3
4
5
Perfectly
17
Q

HIV with brain atrophy, periventricular hypodensities and ependymal enhancement?

A

CMV

How well did you know this?
1
Not at all
2
3
4
5
Perfectly
18
Q

Imaging patterns of Cryptococcus

A

-Cryptococcomas are typically non-enhancing low density lesions in the basal ganglia/dilated perivascular (Virchow-Robin) spaces filled with fungi, mucoid material.

Differentiated from VR spaces on FLAIR - VR spaces will suppress (being CSF in content)

-Leptomeningeal enhancement - Basilar meningitis

How well did you know this?
1
Not at all
2
3
4
5
Perfectly
19
Q

Features of HSV encephalitis in adult?

A

-Swollen medial temporal lobe and T2 hyperintense
- ***Diffusion restriction is the earliest sign
- Spares basal ganglia (distinguish from MCA stroke)

How well did you know this?
1
Not at all
2
3
4
5
Perfectly
20
Q

High T2/FLAIR on the dorsal medial thalamus, caudate lobe and putamina bilaterally with diffusion restriction?

A

CJD

Nb - called ‘ hockey stick’ sign

Also look for cortical gyriform restriction

WW3

C = caudate nuclei

How well did you know this?
1
Not at all
2
3
4
5
Perfectly
21
Q

4 stages of Neurocysticercosis (VCGN) ?

A

Vesicular -
Thin walled cyst - CSF pattern. No pericystic oedema. (Low T1/T2)
scolex (hole with dot appearance)

Colloidal -
Hyperdense cyst - proteinaceous fluid) (High T1/T2) . **pericystic oedema and enhancement **
scolex (hole with dot appearance) can persist

Granular -
Cyst shrinks, small ring-enhancing or solid nodule enhancement. less pericysitc oedema

Nodular -
Small calcified lesion. no oedema or enhancement. hypointense on all sequences due to calcification

How well did you know this?
1
Not at all
2
3
4
5
Perfectly
22
Q

Signs of extra-axial location ?

A

CSF Cleft
Displaced subarachnoid vessels
Displaced and expanded subarachnoid spaces
Cortical gray matter between the mass and white matter
Borad dural base/tail
Bony reaction

How well did you know this?
1
Not at all
2
3
4
5
Perfectly
23
Q

MRCT is mnemonic for haemorrhagic/hyperdense brain Mets?

A

Melanoma
Renal Cell
Carcinoid/Choriocarcinoma
Thyroid

How well did you know this?
1
Not at all
2
3
4
5
Perfectly
24
Q

Cortically based tumours ( P- DOG) ?

A

Pleomorphic Xanthoastrocytoma (PXA)
Dysembryoblastic neuroepithelial tumour (DNET)
Oligodendroglioma
Ganglioglioma

How well did you know this?
1
Not at all
2
3
4
5
Perfectly
25
Adult (40-50s) temporal lobe mass cortical mass ± adjacent enhancing leptomeninges . Often cystic with enhancing mural nodule
PXA Peripheral based cortical tumour that abuts the meninges and history of seizures!! **Can have Dural tail sign ** Cystic and mural enhancing nodule Can be very similar to ganglioglioma
26
Adult (40-50s) frontal lobe mass with calcificaiton, that expands the cortex?
Oligodendroglioma CALCIFICATION 1p/19Q deletion = Great prognosis Can enhance. Calcification is Key!! Temporal lobe too!!
27
Teenager with seizures, Temporal lobe mass that is cystic and solid with focal calcifications?
Ganglioglioma MURAL nodule typical WELL-CIRCUMSRIBED. It is low grade but can enhance. Can look lie ANY cancer. Commonest cause for temporal epilepsy
28
Teenager with drug resistant epilepsy, temporal lobe lesion. High T2 signal 'bubbly lesion' ?
DNET MULTICYSTIC Doesn't enhanced and little if any surrounding oedema FLAIR the lesions show a hyperintense ring
29
Tumours that ordinate from the ventricular wall?
Ependymoma Medulloblastoma Subependymal giant cell astrocytoma - (SEGA) Subependymoma Central neurocytoma Nb Meningioma can be intraventricular
30
Medulloblastoma and Ependymoma are causes of posterior fossa paediatric tumours, what are the key differences?
Medulloblastoma -Most common infratentorial paediatric tumour -Originate **cerebellar vermis/roof of 4th ventricle** -Do not extend in the basal cisterns -Drop met - 'Zuckerguss' - **Homogenous enhancement ** - Ca2+ (10%) Ependymoma -Less common -Originate floor of 4th ventricle **- Extend into the basal cisterns 'tooth paste' **through foramen luschka and magendie -**Calcify more (50 %) - Heterogenous enhancement**
31
Child with seizures, mental retardation, AMLs. What is the paediatric intraventricular lesion?
Subependymal giant cell astrocytoma - (SEGA) Arises from the lateral wall of the ventricle near foramen of monro, and often causes hydrocephalus Linked with TS - Differentiated Subependymal Nodules (SEN) - stay stable in size and occur anywhere along the ventricle
32
Two adult intraventricular tumours and their key differences?
Subependymoma -Well circumscribed at inferior 4th ventricle typical (60%) Other locations: Lateral > 3rd ventricle > spinal cord -Dont enhance, Benign -Typically asymptomatic but can cause hydrocephalus Central neurocytoma - Most common IV mass in adult = **Lateral ventricle attached to the septum pellucidum ** - 'Swiss cheese' **'bubbly' **appearances - numerous cystic spaces on T2 - Calcify
33
Origin of Choroid plexus papilloma in Children and adults ?
Children = TRIGONE of the later ventricle. Adults = 4th Ventricle Much more common type of tumour in children. **Present lobulated (cauliflower) enhancing mass in lateral ventricle with hydrocephalus. Cant differentiate radiologically between choroid plexus carcinomas. 10:1 CPP vs CPC
34
Despite CPP and CPA name another choroid plexus tumour?
Xanthogranuloma Benign although restricts diffusion. Usually, bilateral.
35
Hyperdense round well circumscribed lesion in the anterior 3rd ventricle?
Colloid cyst Although benign can cause death via sudden acute hydrocephalus. If contain cholesterol with be T1 and T2 bright
36
Differential for CPA lesions?
Vestibular schwannomna (75%) Meningioma (10%) Epidermoid (5%) Dermoid cyst IAC lipoma Arachnoid cyst
37
Key differences between vestibular schwannoma and meningioma ?
Vestibular schwannoma -Invade the IAC -IAC can have 'trumpet' apperance Meningioma -Homogenous enhancement -Dont usually invade the IAC -often calcifiy
38
Distinguish between epidermoid and arachnoid cyst?
Epidermoid are bright on FLAIR and will restrict diffusion. Arachnoid follows CSF so is dark on FLAIR and doesn't restrict Epidermoid can be congenital or acquired (after trauma)
39
Epidermoid vs dermoid?
Dermoid behaves like fat bright on T1 and hypodense on CT Dermoid is more central and epidermoid off midline Dermoid can rupture
40
Posterior fossa tumour in child which is cystic and enhancing nodule?
Juvenile pilocytic astrocytoma **Commonly from vermis ** very similar to hemangioblastoma but PCA more likely to be larger than 5 cm, contain calcification, have a larger mural nodule, are thick-walled In adult Hemangioblastoma **Floor of the 4th ventricle ** Associated with VHL, esp if multiple. Vs PCA Hemangioblastoma show angiographic contrast blush to the mural nodule and associated with erythrocythaemia
41
Key difference between skull base chordoma and chondrosarcoma?
Chordoma -Locally aggressive MIDLINE clivus -Most commonly located in the pelvis -thumbprinting of the pons Chondrosarcoma - LATERAL to midline -'Rings and arcs' matrix -Also favours the TMJ - cranial nerve palsy- abducens (CN VI) nerve is most often affected and CN III, V, VII and VIII may also be involved
42
Dural lesion that mimics an aggressive meningioma?
Haemangiopericytoma Soft tissue sarcoma. Like meningioma but no calcification and will invade the skull.
43
Two types of craniopharyngioma in suprasellar/sellar ?
Papillary - Adults (Papi) - Solid and less Ca2+ Adamantinomatous -Children -**Calcified ** -Can recur
44
Features of Hypothalamus Haemartoma?
In between the optic chiasm and the mamillary bodies - Tuber cinereum Occur in children and T1 and T2 low and do not enhance. Gelastic seizures
45
Pineal mass in young boy with precocious puberty, heterogenous in T1 and T2?
Germinoma Engulfed Caclification Heterogenous as mixed fat and Ca2+ Secretes hcg = precocious puberty
46
Childhood highly invasive pineal mass, hetergennous and avidly enhancing?
Pineoblastoma Exploding popcorn calcification **Associated with retinoblastoma** Nb Popcorm calcification also in the rare pineocytoma - non-invasive well circumscribed
47
Fracture through lateral nasal aperture ?
Le Fort 1 Palate is separated from the maxilla = Floating palate Pyriform rim + medial & lateral walls of maxillary sinus or alveolus + nasal septum
48
Fracture of inferior orbital rim and orbital floor ?
Le Fort 2 Maxilla separated from the face = Pyramidal Medial orbital wall, inferior orbital wall + inferior rim
49
Fracuture of Medial orbital wall, lateral orbital wall, including zygomaticofrontal suture + zygomatic arch
Le fort 3 Craniofacial dissociation
50
Vascular malformation causing pulsatile tinnitus?
Dural AVF Acquired secondary to dural venous sinus thrombosis (sigmoid sinus = pulsatile tinnitus). Visual symptoms if cavernous sinus is involved. No nidus DDx for pulsatile tinnitus Persistent stapedial artery
51
Low flow vascular malformation without intervening normal brain tissue ?
Cavernous malformation **Popcorn ball appearance with complete peripheral hypointense hemosiderin rim on T2 MR** gradient echo. Nb - Normal intervening brain tissue that developed compilation from radiation therapy = Capillary telangiectasia
52
What is crescent sign ?
Vascular dissection T1 bright intramural blood surrounding the lumen on Axial T1WI FS
53
40 year old with migrane headaches, diffuse WM Disease and dementia?
CADASIL Cerebral autosomal dominant arteriopathy and subcortical infarcts and leukoencephalopathy
54
Appearances of the ventricles in corpus callosum agenesis?
-Colpocephaly = Dilatation of the occipital horns of the lateral ventricles - 'Vertical ventricles ' lateral ventricles widely spaced -'Steer horn' - shape of anterior horns of the lateral ventricles on coronal DDX with Lobar holoprosencephaly - Absent CSP too Nb Callosal agenesis/dysgenesis is associated with pericallosal lipoma. Found typically in the interhemispheric fiisure
55
Enlargement of all parts of cerebral hemisphere with large ventricle ?
Hemimegalencephaly The grey matter is disorganised and thickened, consistent with migration arrest expanded cranial vault Nb other malformations from arrested migration of neurones **Band heterotopia** = form grey matter layer within the centrum semiovale or subcortical white matter. **Lissencephaly **(smooth brain) is a severe malformation of the cerebral cortex that results . absence or a paucity of gyri (agyria or pachygyria, respectively). Hx multiple seizures and hypotonia all limbs
56
Define Chiari 1 malformation?
**One cerebellar tonsil more than 5mm** below the foramen of magnum Look for Syrinx (50%)
57
Features of Chiari 2 malformation?
= **Small posterior fossa with cerebellar compression and hindbrain herniation through foramen magnum ** -cerebellar herniation -4th ventricle compression = hydrocephalus -obliteration of the cisterna magna ***-lumbar myelomengiocele*** Other findings include ***callosal dysgenesis*** tectal beaking enlarged massa intermedia cervical medullary spUR Foetal US -Banana sign if cerebellum wraps around midbrain -Frontal bone concavity (lemon sign) CT and MRI -colpocephaly (enlarged occipital horn and atria) ‘batwing’ configuration of frontal horns on coronal view (pointing inferiorly secondary to enlarged caudate nucleus), -‘hourglass ventricle’ - excessive cortical gyration (stenogyria)
58
Featutes of Chiari 3?
Chiari 2 + Encephalocele (either high cervical or low occipital)
59
Non enhancing, noncalcified, small suprasellar cyst with intracystic nodule which is hyper bright on T2. kidney shaped on axial.
Rathe cleft cyst Can be homogenously high on T1WI (depending on protein content) "claw" of enhancing pituitary gland wrapped around cyst **between the anterior and posterior pituitary**
60
2cm Pituitary lesion that displaces the ICA. T1 Low and T2 bright. No calcification
Pituitary adenoma most common seller lesion. Figure 8 Can have cyst and haemorrhagic components > 1cm macro < 1cm micro Can't distinguish the mass from pituitary. if you can = MENINGIOMA.
61
Partially Ca⁺⁺ mixed solid/cystic suprasellar mass in child with avid enhancement?
Craniopharyngioma Children - adamantinomatous type - Small intrasellar component and fluid-fluid level. **Craniopharyngiomas are the 90% tumors (90% cystic, 90% Ca⁺⁺, and 90% enhancing).** Mass effect can cause DI or growth retardation due to compression of the hypothalamus. DDX Thickened infundibulum, absence of normal posterior bright T1, and DI = LCH or germinoma Papillary = adults. Solid, less ca2+
62
Appearances of acute hepatic encephalopathy?
Bilateral swollen T2-/FLAIR-hyperintense gyri (most severe **insular cortex**, cingulate gyri) with diffusion restriction Remember in Chronic **Bilateral T1 hyperintensity** in globus pallidus (GP)
63
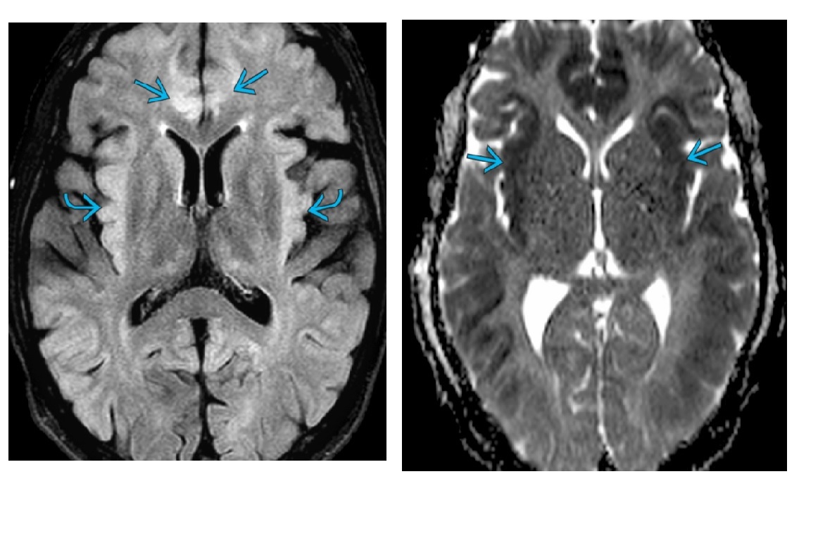
CNS features of tuberous sclerosis
Cerebral tubers Cortical/subcortical lesion expanding overlying gyri T2/FLAIR hyperintense, T1 hypointense after myelination T1 hyperintense prior to myelination Cerebellar tubers Wedge-shaped foci of volume loss Often enhance & calcify Subependymal nodules (SENs) Elongated nodules in locations of fetal germinal matrix ↑ Ca⁺⁺ over time 30-80% enhance Subependymal giant cell astrocytoma (SEGA) Growing nodule at caudothalamic groove WHO grade 1 neoplasm
64
Blood on MRI
Hyperacute (hours) - T1 iso, T2 bright Acute (0-2 days) Intracellular deoxyHb - T1 iso T2 dark Early subacute (3-7 days) Intracellular metHb - T1 bright, T2 dark Late subacute (8-30 days) Extracellular metHb - T1 and T2 bright Chronic (> 30 days) Intracellular haemosiderin - T1 and T2 dark (dark rim)
65
Cavum Velum interpositium, Cavum vergae, Cavum septum pellucidum
Cavum Velum interpositium -Triangular-shaped CSF space -Between lateral ventricles, over thalami -Apex points toward but does not extend anteriorly beyond foramen of Monro -Base contiguous with quadrigeminal cistern Cavum vergae -Elongated finger-shaped CSF collection between lateral ventricles - continuation from cavum septum pellucidum Cavum septum pellucidum -normal finding in all preterm infants -known as the 5th ventricle. -triangular shaped CSF space in between the anterior horns of the lateral ventricles.
66
Key difference between Epidural and subdural haematomas?
Epidural - cross midline but not sutures Subdural - DONT cross midline but can cross sutures and dip into the flax cerebri
67
Features of MS
Optic neuritis (infraorbital portion) Signal changes Corpus callosum, periventricular, middle cerebellar peduncle