MSK Flashcards

(74 cards)

1
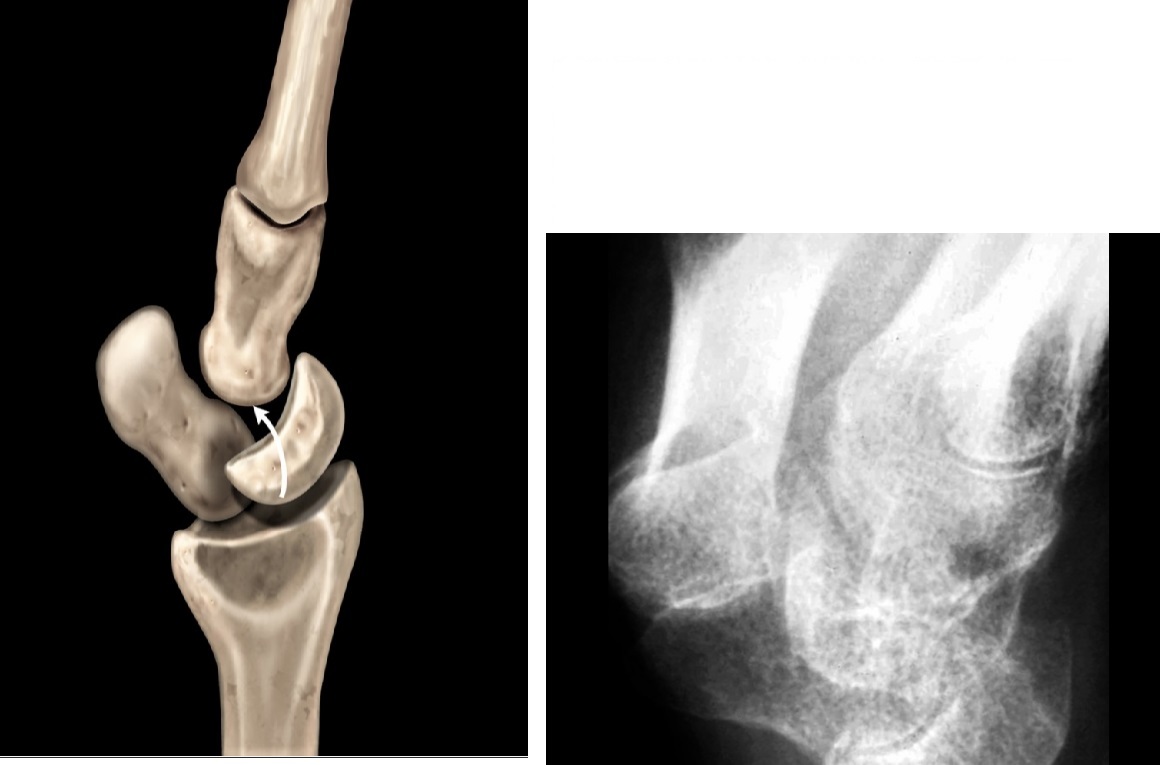
Q
A

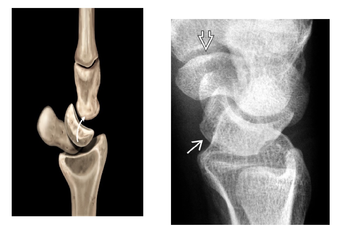
**Dorsal intercalated segmental instability **

Happens with SL ligament injury

WIDENING (>80) of the Scapholunate angle

The Lunate tilts DORSALLY and the scaphoid tilts volar

How well did you know this?
1
Not at all
2
3
4
5
Perfectly
2
Q
A

Volar intercalated segmental instability

Rare, happens with lunotriquetral lug injury.

Lunate and Scaphoid tilt Volar

ACUTE scapholunate angle <30

How well did you know this?
1
Not at all
2
3
4
5
Perfectly
3
Q
A

Bennets

Fracture base of the first metacarpal

Pull of the abductor pollicus longus (APL tendon causes dorsolateral dislocation

Nb a comminuted # base of 1st metacarpal = ROLANDO

How well did you know this?
1
Not at all
2
3
4
5
Perfectly
4
Q
A

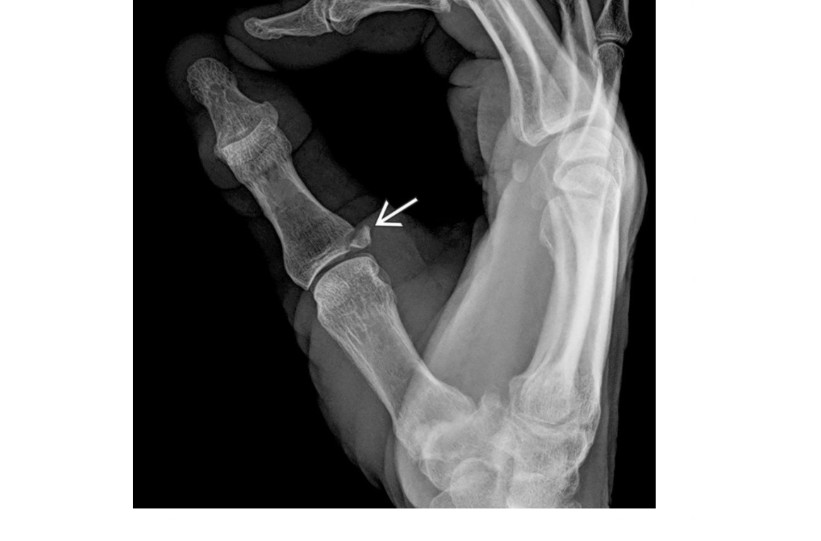
Gamekeepers

Avulsion fracture of the base of the proximal first phalanx

Ulnar collateral ligament disruption

STENER lesion = when adductor tendon gets caught in the torn edges of the UCL = Surgery

How well did you know this?
1
Not at all
2
3
4
5
Perfectly
5
Q
A

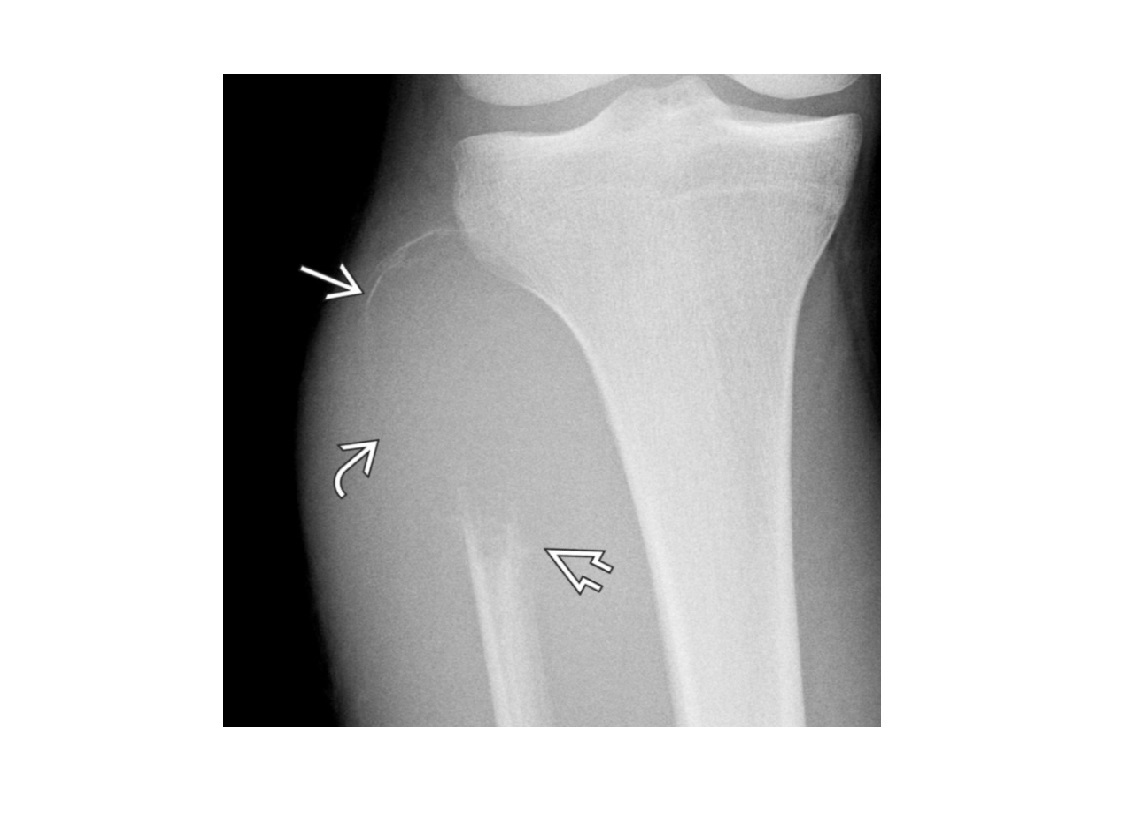
Segond fracture

Lateral tibial plateau

Associated with ACL tear (75%) and internal rotation

MR SL = Medial Reverse Lateral Segond

How well did you know this?
1
Not at all
2
3
4
5
Perfectly
6
Q
A

Reverse Segond fracture

Medial tibial plateau

Associated with PCL tear with external rotation. Associated with medial meniscus injury.

MR SL = Medial Reverse Lateral Segond

How well did you know this?
1
Not at all
2
3
4
5
Perfectly
7
Q
A

Arcuate sign

Avulsion of the proximal fibula

Associated with PCL tear

How well did you know this?
1
Not at all
2
3
4
5
Perfectly
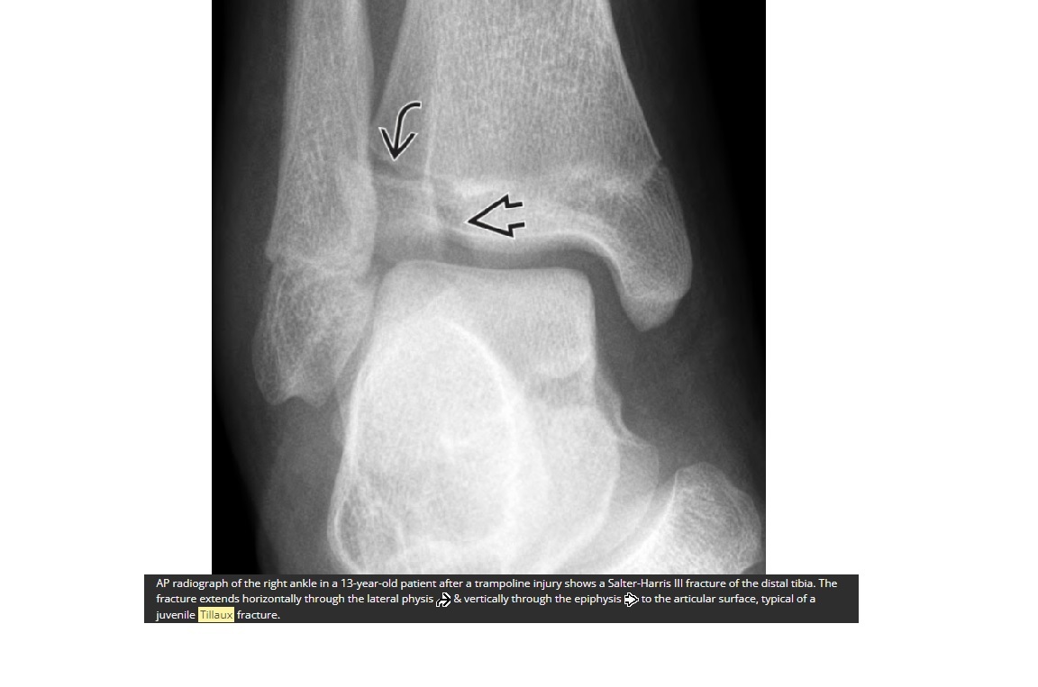
8
Q
A

Tillaux fracture

Salter-Harris 3 = through the anterolateral distal tibial epiphysis

How well did you know this?
1
Not at all
2
3
4
5
Perfectly
9
Q
A

Triplane fracture

Salter-harris 4 =Vertical component through the epiphysis , horizontal component through the physis , oblique through metaphysis

How well did you know this?
1
Not at all
2
3
4
5
Perfectly
10
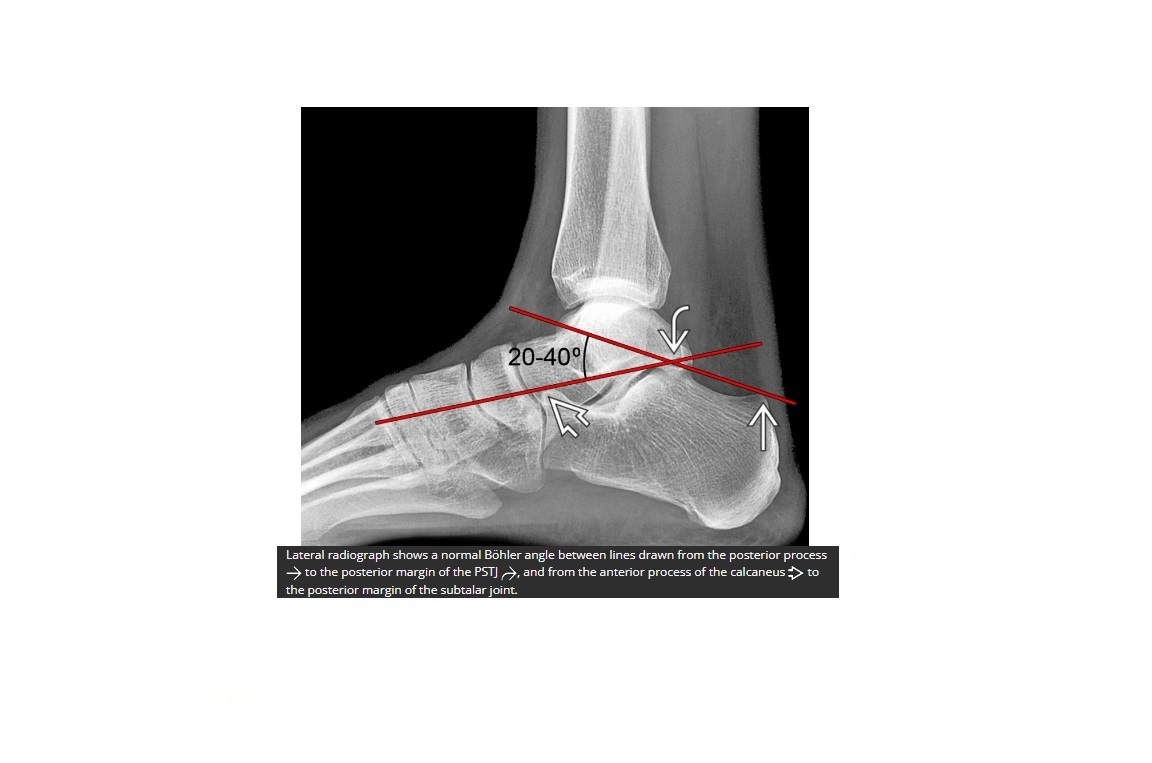
Q

What is bohlers line?

A

line drawn between the anterior and posterior borders of the calcaneus

< 20 ? fracture

How well did you know this?
1
Not at all
2
3
4
5
Perfectly
11
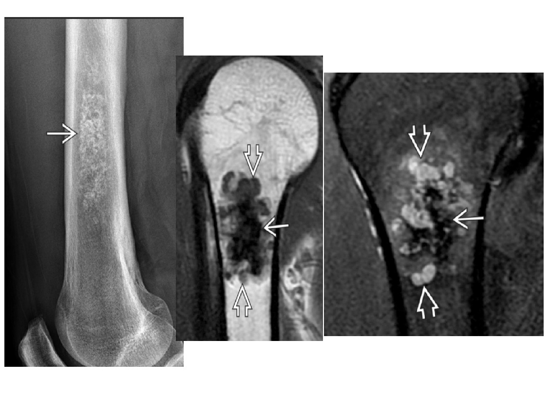
Q
A

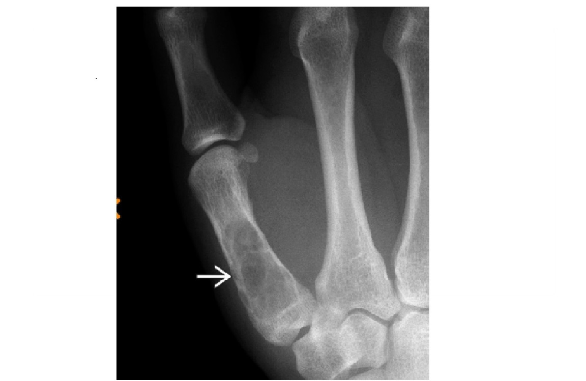
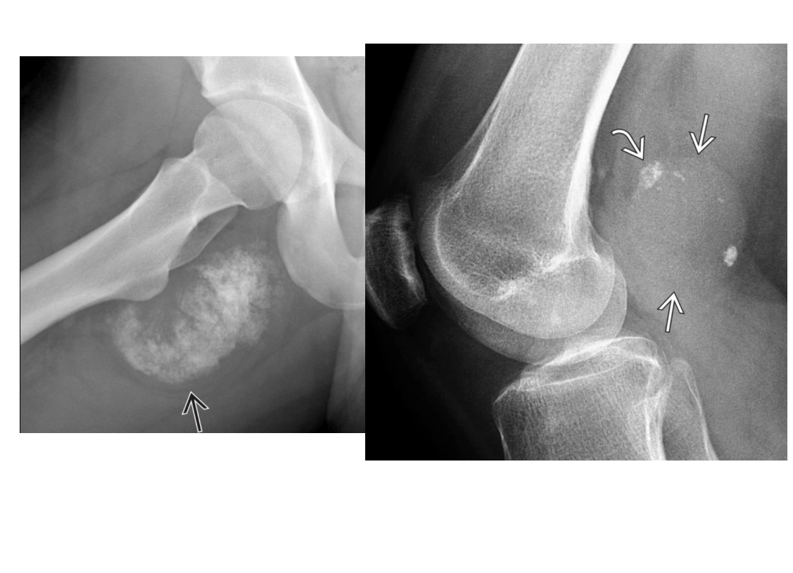
ENCHONDROMA

Commonest location Hands/feet
Long bones: proximal humerus > distal and proximal femur > proximal tibia

Intramedullary and metaphysis

multiple enchondroma
Maffuci - haemangioma
Olliers - multiple enchondroma only

DDx
-Brown tumor (hyperparathyroidism),
-sarcoid - lace like bone lesion phalanges
-intraosseous ganglion
-metastatic disease.

MRI
T1: low to intermediate signal
Fluid-sensitive sequences: lobulated high signal typical of cartilage lesions
Enhancement: peripheral and septal, accentuating lobules

How well did you know this?
1
Not at all
2
3
4
5
Perfectly
12
Q
A

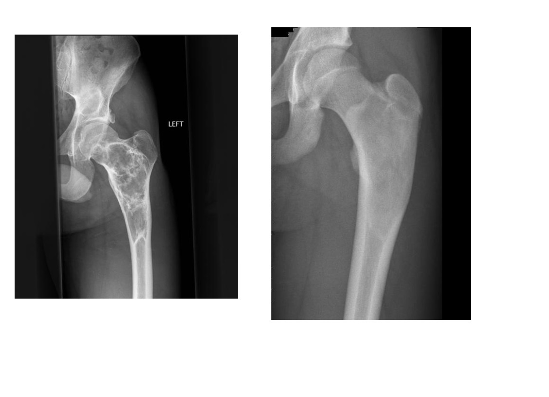
Chondrosarcoma

May be cecondary to
- Osteochondromas
- enchondromas

Chondrosarcomas occur in the pelvis, femur, humerus.
Skull base, TMJ

DDX
-Most well differentiated, low grade = ‘low grade chondroid lesion’ , cant differentate from enchondroma
-Bone infarct

MRI
Lobular growth
High 2 signal/STIR, low T1
ring and arcs/chondroid matrix islands on CT
Soft tissue extension
**endosteal scalloping. **

if no mineralized matrix/rings and arcs = aggressive/high grade

How to tell chondrosarcoma from enchondroma ?
* Pathological fracture occurring with minimal trauma
* Multilayered or spiculate periosteal reaction
* Permeative or moth-eaten osteolysis
* Cortical destruction
* A soft tissue mass
Endosteal scalloping more than 2/3 cortex

How well did you know this?
1
Not at all
2
3
4
5
Perfectly
13
Q
A

Osteochondroma

points away from the joint

Pedunculated lesion arising from surface of bone with continuity of normal cortex and marrow

Metaphysis/metaphyseal equivalents (rarely diaphysis)

Multiple =

Diaphyseal aclasia/Multiple Hereditary Exostoses - Metaphysis region of tubular bones of extremities
Cap > 1.5cm ??? chondrosarcomatous transformation

ng. avian spur points towards the joint

How well did you know this?
1
Not at all
2
3
4
5
Perfectly
14
Q
A

osteosarcoma

Femur (40%) and proximal tibia commonest sites (15%)

**Aggressive periosteal reaction **
- Sunburst
- Codman triangle
- Lamellated (onion skin)

**High grade = Met to the lung
**
Reverse zoning phenomenon - dense mature matrix in the centre, less peripherally

DDx
ewings Sarcoma

How well did you know this?
1
Not at all
2
3
4
5
Perfectly
15
Q
A

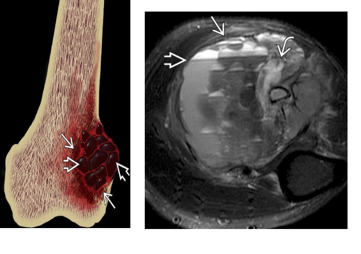
telangiectatic oestosarcoma

Distal Femur
Haemorrhagic and necrotic components
Fluid-fluid levels
Thus, heterogenous on T1 and T2
*Purely lytic but with aggressive features, less likely osteoid matrix
Solid components enhance

DDx
ABC
—Expansile lytic lesion arising in metaphysis
—No tumour nodularity and enhancement
- Thin peripheral and septal enhancement

GCT
—Mildly expansile metaphyseal lesion with extension to joint line
—Can be very aggressive and have soft tissue extension

How well did you know this?
1
Not at all
2
3
4
5
Perfectly
16
Q
A

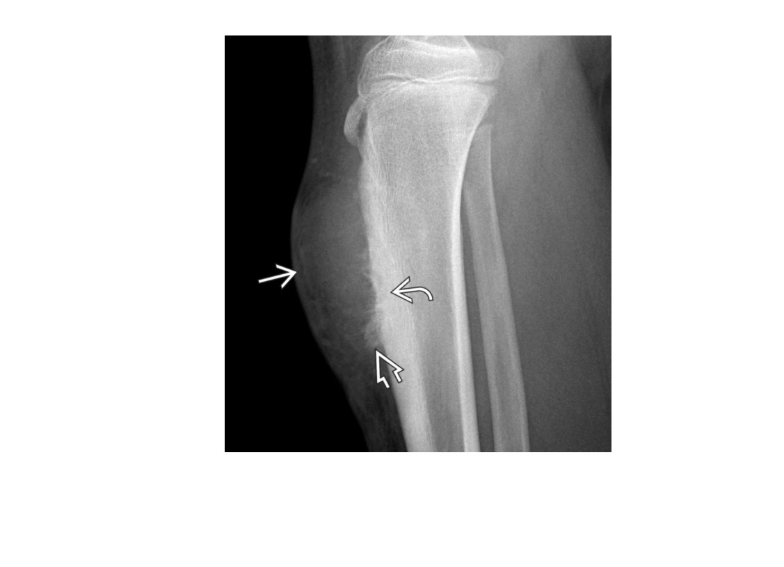
Parosteal OS

Big +++
**Posterior distal femur (metaphysis) **
Osteoid ++
Marrow extensions (50%)
Early adult and middle age

*string sign Lucnet cleft between bone and mass. This is not present in Periosteal sarcoma

Low grade

How well did you know this?
1
Not at all
2
3
4
5
Perfectly
17
Q
A

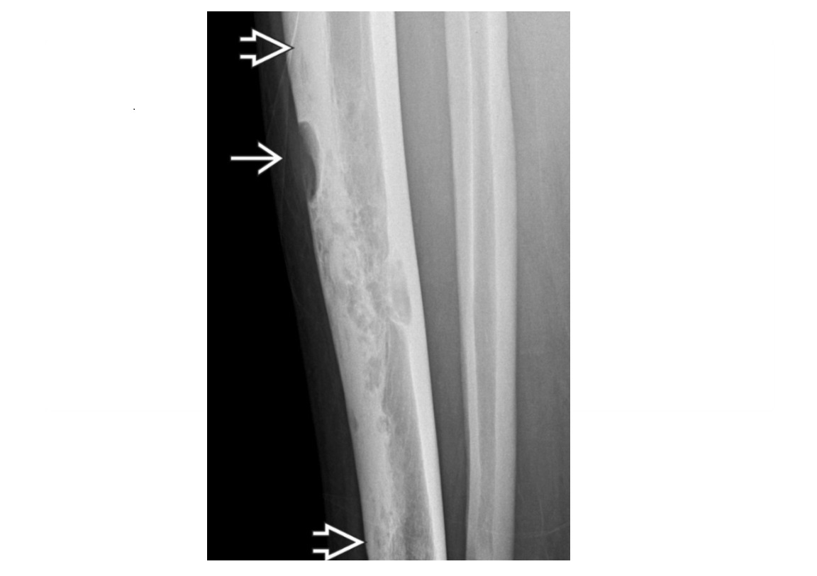
Periosteal OS

Diaphyseal
Likes **medial distal femur **
Large enhancing soft tissue component
Less osteoid comapared to parosteal
Usually, no marrow extension

Nb Intermediate grade ie worse prognosis than parosteal but better than conventional

How well did you know this?
1
Not at all
2
3
4
5
Perfectly
18
Q
A

chondromyxoid fibroma

look for internal septations/pseudotrebulations
Eccentric
Sclerotic margins

DDx GCT
- very similar, similar location (eccentric, originates in metaphysis, extends to subarticular region)
-rarely has sclerotic margin

DDx ABC
-Fluid/fluid levels MRI and thin walled

DDx Non-ossifying fibroma
-Cortex based rather than eccentric intramedullary

How well did you know this?
1
Not at all
2
3
4
5
Perfectly
19
Q
A

Adamantinoma

Low-grade, malignant lesion most frequently arising in tibial** cortex**
Mutlifocal
slcerotic and lytic compoents

*Cortically based lesion in anterior tibia

How well did you know this?
1
Not at all
2
3
4
5
Perfectly
20
Q
A

synovial sarcoma

Triple sign
Heterogeneous signal (combination of low, intermediate, and high) T2 signal from:
Solid mass
haemorrhage + necrosis
calcification (1/3).

Bowl of grapes sign = multiloculated appearance of mass with internal septa

Heterogenous enhancement of the solid components.

little to no perilesional oedema

Classic history -
paediatric patient with a multi-cystic appearing mass with well-defined margins around the knee joint

NOT in joint ie DOESNT arise from the synovium. Close to joint

How well did you know this?
1
Not at all
2
3
4
5
Perfectly
21
Q
A

well differentiated liposarcoma
*>75% fat content
*thickened septa
*small soft tissue nodularity

commonly located in the retroperitoneum

if develops a clear cut separate nodular/soft tissue dominant focus > 1 cm = de-differentiated

if < 20
= Myxoid liposarcoma often shows a classic myxoid background (T2/STIR-bright) with some nodular soft tissue
and adipose tissue components. Don’t confuse for cyst!!!

How well did you know this?
1
Not at all
2
3
4
5
Perfectly
22
Q
A

Osteoid osteoma

Cortically based
peripheral sclerosis and central with nidus

**nidus > 2cm = osteoblastoma **
= Posterior elements

Nb** Osteoblastoma can have have soft tissue expansion/involvement**

Double density bone scan

DDx
-stress fracture
- intracortical abscess

How well did you know this?
1
Not at all
2
3
4
5
Perfectly
23
Q
A

Melorheostosis

Irregular continous cortical hyperostosis or linear intraosseous sclerosis

‘Dripping candle wax’

Occurs in sclerotomal distribution - thickening underlying skin
Can cross joints

How well did you know this?
1
Not at all
2
3
4
5
Perfectly
24
Q
A

Fibrous dysplasia

long, expansile lesion with mixed density ranging from lytic to *ground glass .
‘long lesion in a long bone’.
Typically medullary, with expansion,
Monostotic is most common FD
‘Shepereds crook deformity’ if proximal femur

Polyostotic fibrous dysplasia
2 conditions assocated with polyostotic FD
1. McCune- Albright - Cafe-au-lait, precocious puberty

2.Mazarbrauds
+ look for intramuscular Myxomas in adults

Monostotic is most common FD

How well did you know this?
1
Not at all
2
3
4
5
Perfectly
25
ABC - Eccentric in location - More pronounced Fluid-fluid levels - More expansile - Can be 2o = giant cell tumor, chondroblastoma, and osteoblastoma SBC - Centered in medulla - Classic HUMERUS and long bones - Fallen fragment sign - Present with pathological fracture Nb in small bones, phalanx, metacarapls - appear identical
26
chondroblastoma Epiphyseal regions long bone (or epiphyseal equivalent - Patella, calcaneus, trochanters, tuberosities, tarsal and carpal bones) Males < 20 *Lytic lesion -eccentric ** *- arising epiphysis or apophysis.* skeletally immature patient - +/- internal Ca2/chondroid matrix+ -*Extensive perilesional edema and enhancement in marrow MRI ** Not a child or adolescent **adult clear cell chrondrosarcoma**
27
NOF children/adolescences Distal tibia and femur in a **metadiaphyseal**, ***Cortical** well defined,** sclerotic margins** , can also **have internal septations ** If <2-3 cm in size this may be termed a fibrous cortical defect. **NOF may also heal and become completely sclerotic** DDX ABC - MRI 'fluid - fluid' levels. GCT Doesnt typical extent to the epiphysis (like GCT) GCT non -sclerotic margin Growth plates closed chondromyxoid fibroma - both sclerotic margins and internal septations -eccentric intramedullary
28
Mnemonic is MELT. Metastasis/Myeloma Eosinophilic granuloma Lymphoma Trauma/Tuberculosis.
29
GCT -Physis closed. -Non-sclerotic margins -originated in epiphysis and extends to metaphysis. -Abuts articular surface -Eccentric -'Soap bubble' If in spine = **sacrum** Fluid-fluid level on MRI Can be locally aggresive, rarely metastases DDx +Chondroblastoma - Skeletal immature usually - originates in epiphysis rather than metaphysis - chondroid matrx - Sclerotic margin common + periosteal reaction -Extensive regional edema +Chondrosarcoma +ABC
30
Rickets = Child: growth plates (physes) wide, frayed, and cupped Osteomalacia = Adult: Looser zones (late finding), smudgy and ill defined trabeculae
31
Osteochondrosis?
Kohlers = Navicular Frieberg = 2nd Metatarsal Severs = Calcanael apophysis Blount = proximal medial tibial epiphysis = 'Bow leg' Perthes = Femoral head (4-8) Scheuermann disease = Vertebral apophyses. multiple wedged vertebrae and thoracic kyphosis Preiser = scaphoid Kienbock = Lunate (20-40, associated with negative ulnar variance) Panners = Capitellum (5-10, throwers)
32
Bilateral and symmetrical - AS - IBD Bilateral and asymmetrical - Gout - Reiters - Psoriatic osteitis condensans - female, bilateral, symmetric, triangle-shaped sclerosis of ilium at sacroiliac joint Unilateral - infection - rarely SAPHO
33
causes of posterior vertebral scalloping?
SATAN Syringomyelia/Dural ectasia Acromegaly Tumours - (ependymoma, lipoma , dermoid, neurofibroma) Achondroplasia NF - 1 also Connective tissue disease - marfans, ehler danlos Mucopolysacchardoses - hurlers, murquio - VERTEBAL BEAKING
34
Downs Atlanta-axial subluxation Flaring of iliac wings 'mickey mouse'/elepahant ears'pelvis DDH Eleven ribs
35
NF-1 Commonest skeletal/Spinal abnormality --**Scoliosis** (from plexiform neurofibromas) --Posterior vertebral scalloping --Dural ectasia -- Lateral thoracic mengiocele -- Foraminal narrowing, Hypoplastic pedicles and posterior elements (remodelling from mengiocele) -- Intramedullary or extramedullary intradural NF's
36
Haemophilia arthopathy Dense hemarthrosis **Epiphyseal overgrowth** Erosions & joint space narrowing, significant OA in young adolescent **Hypertrophied synovium due to haemosiderin (GRE blooming ++) and low on all signals Widened intercondylar notch** Rare pseduotumour = Large expansile or lytic bubbly lesion with mass effect on adjacent tissues/scalloping on bone
37
nail-patella syndrome **Bilateral iliac 'horns'** absent/hypoplastic patella's Broad horizontal acetabulum
38
Pagets Osseous expansion Thickening of cortex Coarse trabecular pattern Skull - osteoporosis circumpripta (lytic phase) Skull - sclerotic phase - Enlargement of skull: widening of diploic space, involvement of inner and outer tables 'tom o shanter' sign Brown = well defined cortical lesion with no periosteal reaction Also in lytic phase - blade of grass or flame shaped lucent bone lesion
39
osteopetrosis Diffusely dense bones (marble bone)
40
Pigmented villonodular synovitis (PVNS) Joint effusion Low signal T1/T2 **haemorrhagic proliferation of the synovium in a frond-like villonodular fashion **gives rise to the classic low signal 'feathery' sea-anenome-like finding Blooming artefact MRI because of haemosiderin scalloping of the pre-patellar fat pad and **erosions of adjacent bone** DDx Haemophilia - as blood products in joint too widening of the intercondylar notch due to pannus formation Joint degeneration
41
Lipoma Arborescens kids chronic inflammation of the synovium leading to extensive fatty infiltration of the synovium high on T1 and T2 but suppress on fat-saturated sequences. **Post-contrast the synovium itself will enhance. ** Treatment is by synovectomy.
42
Permeative bone destruction differential?
myeloma, lymphoma and ewings, eosinophilic granuloma
43
SAPHO Synovitis: anterior chest wall, unilateral sacroiliitis Acne: hydradenitis suppurativa, acne conglobata Pustulosis: palmoplantar pustulosis (50%) Hyperostosis: enthesopathy, sclerosis Osteitis: inflammatory changes, pain **Sternoclavicular hyperostosis** Nuclear medicine bone scan, bilateral uptake in the sternoclavicular joints and manubrium is called a** ‘bull’s head’ sign** Unilateral sacroiliitis may also occur
44
Causes of lytic bone mets?
MR LT Melanoma Renal Lung Thyroid
45
Causes of sclerotic mets?
**Prostate (most common) Breast (mixed lytic and sclerotic)** Transitional Cell Carcinoma Lymphoma Mucinous adenocarcinomas (colon, gastric, ovary) Medulloblastoma Neuroblastoma Carcinoid
46
Features of DISH?
DISH **flowing ossification of at least 4 vertebral bodies with normal disk spaces and sacroiliac joints** Adherent to anterior and right-lateral vertebral bodies in thoracic spine- left lateral vertebrae can be spared ? aortic pulsation ossification of patellar ligament spur formation in the appendicular skeleton (olecranon, calcaneum, patellar ligament) frequently present enthesopathy of the iliac crest, ischial tuberosities, and greater trochanters **whiskering of iliac crest** DDX ankylosing spondylitis (AS) Osteoporosis is prominent differentiating feature following ankylosis AS syndesmophytes: thin, vertical, form in anulus Severe late AS may extend to ossify ALL
47
gauchers **Erlenmeyer flask** - Metaphyseal flaring **H shaped vertebrae** Osteonecrosis/AVN- femoral and humeral heads -serpiginous sclerotic areas or a bone-within-bone appearance Hepatosplenomegaly is common and co-existent with thrombocytopaenia and anaemia secondary to bone marrow failure **diffuse marrow replacement with low signal T1** 100 times more common in Ashkenazi Jews DDX sickle cell Similar H-shaped vertebrae ON similar; more patchy sclerosis No Erlenmeyer flask deformity Spleen infarcts are differentiating factor - small calcified spleen
48
Rheumatoid arthritis Synovitis/soft tissue swelling Periarticular oestopenia **Marginal erosions ** Uniform joint space narrowing Deformity late stage **No bone proliferation ** Proximal distribution in hands -MCP, and PIPJ- typically first - Carpals, Radiocarpal, Hip -concentric loss of joint space, osteoarthritis (OA) = superior loss of joint space -acetabular protrusion Shoudler girdle -erosion of the distal clavicle -marginal erosions of the humeral head: the superolateral aspect -"high-riding shoulder" = subacromial-subdeltoid bursitis - high incidence of rotator cuff tear Spine -erosion of the dens - atlantoaxial subluxation - atlantoaxial impaction (cranial settling): cephalad migration of C2 - erosion and fusion of uncovertebral (apophyseal joints) and facet joints DDx Amyloid arthropathy can be similar distribution and pattern of erosions. However amyloid classically preserves joint space, unusual for periarticular osteopenia and LARGE and excessive subchondral cyst formation
49
Extra-articular manifestations of RA
Respiratory -Caplan's - + Pneumoconiosis (upper lobes) - RA ILD (lower lobes) can be UIP or NSIP pattern - Pleural effusions - Pulmonary nodules (can cavitate (necrobiotic lung nodules) Cardiology - Pericarditis - Premature coronary artery disease Hematological - Anemia of chronic disease -Felty syndrome: syndrome characterized by the triad of rheumatoid arthritis, splenomegaly, and neutropenia Cutaneous involvement Rheumatoid nodules: usually seen in pressure areas (e.g. elbows, occiput, lumbosacral)
50
Psoriatic arthritis **Distal - Favours DIPJ and IPJ>MCP ** **Mixed - Erosive changes and bone proliferation ** Sausage digit (dactylitis) Pencil in cup **No osteoporosis - NORMAL bone density** Outside hands- - Ivory phalanx -Altanoaxial subluxation -Spondyloarthropathy - **Bulky paravertebral ossification, asymmetric with skips** **Sacroiliitis: bilateral but asymmetric** DDx Reiters - Same appearance of bilateral but asymmetric sacroiliitis - Same bulky paravertebral ossification
51
**Thin vertical syndesmophytes with concomitant bilateral sacroiliitis** 'Bamboo spine' Joints widen first before narrows Enthesopathy - calcified tendon insertion sites 'Dagger sign' - spinous process fusion Early features are far more subtle and require a higher index of suspicion, which include, MRI- -Enthesopathy - high signal on MRI at tendon insertion sites -Romanus lesions/'Shiny corners' - triangular shaped oedema at the corners of vertebral bodies -Andersson lesions - bony oedema in the vertebral bodies adjacent to the disks. -Oedema in the sacroiliac joints. **Sequences = T1 fat sat and STIR, coronal SIJs and sagittal spine** T1 fat sat - useful for visualisation of bony erosions and new bone formation T1 fat sat post contrast - useful for detecting bone marrow abnormalities (but so is STIR, so contrast is not an absolute requirement for imaging ankylosing spondylitis). STIR - useful for detecting bone marrow abnormalities in the SIJs and spine T2 fat sat - useful for detecting oedema Extra-articular -Upper lobe predominant ILD, fibrobullous disease -aortic root dilatation, aortic regurgitation, pericarditis DDx - IBD associated arthritis - - Axial - Identical appearance of sacroiliitis and spondylitis to AS - IBD enthesopathy often calcaenus
52
CPPD Overlaps with OA but atypical Joints -Patellofemoral and not medial/lateral compartment Wrist: radiocarpal joint Hand: MCP joints, particularly 2nd and 3rd Chondrocalcinosis (not invariably present) **Hook osteophytes of metacarpal heads** Subchondral cysts common, may be large ****Scapholunate advanced collapse wrist SLAC*****- Degenerate SL ligament Disorders assoicated with CPPD - 4 Hs - hypothyroidism - haemochromatosis - hyperparathyroidism - hypomagneseia DDx Haemochromatosis -Younger males, similar distribution to CPPD - Both 'hooked' oestophytes - of the **radial aspect of the 2nd and 3rd MCP**
53
Gout Typically men >40 Spares joint space (until late) **Juxta-articular erosions (punched out) with Overhanging edges** erosions with sclerotic margins Soft tissue tophi 1st MTP joint = most frequent site
54
Hyperparathyroidism **'Subperiosteal bone resorption' radial 2nd and 3rd fingers ** **Terminal tuft erosions/resportion = Acro osteolysis ** Brown tumour: -expansile, nonaggressive lytic lesion, Non sclerotic margins -no cortex destruction, periosteal reaction, soft tissue mass or matrix Superior and inferior rib notching Rugger jersey spine/osteosclerosis is associated with secondary hyperparathyroidism chondrocalcinosis salt and pepper skull -due to generalized bone resorption with more focal areas of lucency ± patchy sclerosis 1° hyperparathyroidism (HPTH): parathyroid adenoma (75-85%) Tc-99m sestamibi scan and US for diagnosis 2° HPTH: chronic kidney disease most common Nb Renal osetodystrophy is 2° HPTH and oestomalacia
55
JIA? Before 16 Premature closure of the physis large effusions++ erosions Cartilage destruction & joint space narrowing (JSN) **End-stage ankylosis Carpus most frequent site of fusion** Widened intercondylar notch DDx Haemophilia TB Psoriatic arthropathy
56
DDx for Ivory vertebrae
see picture
57
DDx Atlanto-axial subluxation?
see picture
58
Osteoporotic vs metastatic vertebral body fracture
see picture
59
TB vs Staph discitis?
see picture
60
Dashboard injury?
see picture
61
Hyperextension injury to the knee?
see picture anterior aspect of the tibial plateau and femoral condyles
62
Pivot shift injury?
see pic
63
Clip injury
see picture
64
Patellar dislocation injury pattern?
see pic
65
DDx for Erlenmeyer flask deformity?
see picture
66
Sclerosing Dysplasia **Osteopoikilosis** Metaphyseal or epiphyseal foci of dense lamellar bone that resemble bone islands **Pyknodysostosis ** Severe sclerosis involving entire skeleton but **medullary space is preserved** - short stature - small mandibular size and beaking of the nose -Wormian bones -acro-osteolysis with sclerosis (-acro-osteolysis with sclerosis) **osteopathia striata** Striated intramedullary densities, often metaphyseal 'stalks of celery'
67
Osteomyelitis features on MRI ?
High T2 and low T1 bone marrow changes presence of an ulcer with adjacent inflammatory changes Fluid collections
68
Myositis ossifcans calcifcation pattern?
It begins as amorphous calcification and then develops a **sharper cortical margin** after approximately 2 months. Periosteal reaction may or may not be present but crucially there is **no erosion of the underlying cortex**, a fact which discriminates it from malignant fibrous histiocytoma. string sign Unlike a parosteal osteosarcoma, this plane will extend along the whole length of the mass completely separating it from the bone. Parosteal osteosarcoma may have scalloping
69
Features of acromegaly?
**Enlargement of the paranasal sinuses – 75% Posterior vertebral scalloping – 30%** Widening of the terminal tufts Heel pad thickness >25mm Premature osteoarthritis Enlargement and erosion of the sella Hyperostosis of the inner table of the skull
70
problem with the development of the ulnar side of the distal end of the radius. The distal radioulnar joint subluxes and the ulna displaces dorsally. proximal carpus is V-shaped
Madelung deformity growth failure of the distal radius, by comparison the ulna appears lengthened (Positive ulnar variance). appearance is of a V-shape to the radioulnarcarpal joint with angles of <120 considered characteristic. Mnemonic = DIGIT D = Dysplastic - Ollier disease, osteochondromatosis, achondroplasia, mucopolysaccharidoses, diaphyseal aclasis I = Idiopathic G = Genetic - Autosomal dominant. 50% of patients have bilateral deformities. **Most common association is Turner syndrome** I = Infection T = Post-Traumatic
71
Features of multiple myeloma
1) Plasmacytoma - solitary lytic lesion - spine, pelvis , skull 2) Myelomatosis - Diffuse skeletal involvement - oestolytic lesions with discrete margins 3) Diffuse skeleteal oestopenia - no lytic , predominantly in the spine (this type can have multiple compression fractures) 4) Scelorsng myeloma - with sclerotic bony lesions , associated with POEMS syndrome Myeloma has poor uptake on bone isotope scans
72
Features of hypertrophic osteoarthopathy
Periosteal reaction, usually along shafts of tubular bones in extremities Generally symmetrical Location Tibia, fibula, radius, ulna are most frequent Less common in phalanges 3-phase bone scan Typically linear symmetric ↑ uptake along margins of long bones: parallel track sign, tram line sign, or double stripe sign
73
types of osteogensis imperfecta?
Almost alwas type 1 or 4 Type 1 most common - Blue sclera - normal stature - Hearing impairment Type 4 -small stature -usually normal hearing
74
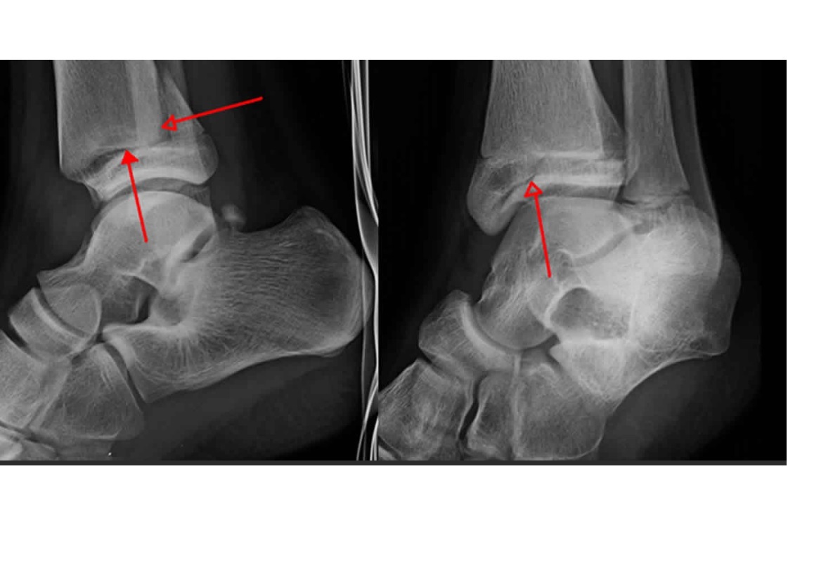
Calcaneonavicular vs talocalcaneal coalitions
see picture