Paediatrics Flashcards

(81 cards)

1
Q

Monoventricle, thalami and basal ganglia are fused?

A

Alobar Holoprosencephaly

Addition: Most severe form.

**No falx or corpus callosum

Complete absence of cleavage with “pancake” of anterior cerebral tissue, crescent-shaped anterior monoventricle communicating with large dorsal cyst,** fused thalami**

How well did you know this?
1
Not at all
2
3
4
5
Perfectly
2
Q

Multilocular fluid filled mass with internal septations at the the posterior triangle?

A

Cystic hygroma

Nb - Associated with turners and hydrops/downs

T2 bright. Doesnt enhance. No internal flow.

How well did you know this?
1
Not at all
2
3
4
5
Perfectly
3
Q

Difference and similarities between Epidermoid cyst and arachnoid cyst

A

Both - CSF density on CT, can occupy CPA, homogeneous.

Epidermoid - Restricts diffusion. Hyperintensity on FLAIR

How well did you know this?
1
Not at all
2
3
4
5
Perfectly
4
Q

Complete opacification of the maxillary sinus, peripheral enhancemen, expanded sinus with smooth remodeling of walls?

A

Mucocoele

Nb - Ostium of given sinus is occluded thus complete opacification.
*- Doesn’t extend beyond the cavity. *
- **Expands cavity and can cause bone thinning. **

Associated with* CF and prior trauma*

Peripheral enhancment allows differentiate from neoplasm

How well did you know this?
1
Not at all
2
3
4
5
Perfectly
5
Q

Low attenuation mass in the sinus that expands the cavity and extends into the meatus ?

A

Antrochonal polyp/Solitary Sinonasal Polyp

*Nb - T2 bright and also peripheral enhancement. *

Typically doesn’t completely opacify the sinus

Solitary ‘dumbell shaped-‘ polypoid mass fills maxillary antrum, then spills through enlarged maxillary ostium and infundibulum or accessory ostium into nasal cavity

How well did you know this?
1
Not at all
2
3
4
5
Perfectly
6
Q

Seizures, atrophy of hippocampus and high T2/FLAIR signal?

A

Mesial temporal sclerosis

How well did you know this?
1
Not at all
2
3
4
5
Perfectly
7
Q

Intraventricular lobulated mass in trigone of lateral ventricle. Smooth, large and small foci of calcification on CT. Lateral ventricle is dilated?

A

Choroid plexus papilloma

Hyperdense on CT.
Iso on T1 and hyperintense on T2.
**Intense homogenous enhancement. **

Nb in adults - occur predominantly in 4th ventricle

How well did you know this?
1
Not at all
2
3
4
5
Perfectly
8
Q

Mass in the inferior 4th ventricle of child with hypointensity on T1 and foci of high T2 signal ?

A

Ependymoma

4th ventricle mass (± indistinct interface with floor of 4th ventricle)
Fine, stippled Ca⁺⁺ common (50%)
± cysts, hemorrhage
Hydrocephalus common

Hetergenous Signal as Ca2+/Blood products
- overall T1 iso/hypointense and T2 hyerpintense

Anterolateral extension through recess(es) into CPA cistern
Posteroinferior extension through foramen of Magendie into cisterna magna

How well did you know this?
1
Not at all
2
3
4
5
Perfectly
9
Q

Erosive soft tissue mass in the middle ear ?

A

Cholesteatoma

Nb - its termed ‘Congenital’ if less than < 5yrs.

Isointense T1 and hyperintense T2

Resticts diffusion

Congenital cholesteatoma are less destructive.

How well did you know this?
1
Not at all
2
3
4
5
Perfectly
10
Q

Non- erosive soft tissue mass in the middle ear ?

A

Choleterol granuloma

Nb - Cystic strucutres with Blood and cholesterol =** High T1 and T2.**

If located in petrous apex can be aggressive

How well did you know this?
1
Not at all
2
3
4
5
Perfectly
11
Q

What brain tumour is found in Tuberous Sclerosis?

A

Subependymal giant cell astrocytoma (SEGA)

aka Intraventricular astrocytoma of tuberous sclerosis complex (TSC

Enlarging, enhancing foramen of Monro mass in patient with TSC

Tuberous sclerosis is triad of
-facial angiofibromas
-seizures
-mental retardation

Cortical/subcortical TUBERS
- expand overlying gyri, low on CT,
- can have cystic and Ca2+ transformation.

DDX - TORCH namely toxo and CMV can cause periventricular Ca2+

How well did you know this?
1
Not at all
2
3
4
5
Perfectly
12
Q

Highly vascular mass in nasopharynx eroding the medial ptyergoid plates and arising from sphenopalatine fossa?

A

Juvenile angiofibroma

Supplied by the internal maxillary artery. Embolise it.

How well did you know this?
1
Not at all
2
3
4
5
Perfectly
13
Q

Pineal mass in boy with precocious puberty?

A

Germinoma

Pineal mass with Central localized Ca⁺⁺ & bithalamic extension

Nb Germinoma and Pineoblastoma difficult to differentiate on imaging.

Can be Suprasellar mass with diabetes insipidus (DI)

How well did you know this?
1
Not at all
2
3
4
5
Perfectly
14
Q

Child with large, heterogeneous hyperdense pineal mass with peripheral Ca⁺⁺

A

Pineoblastoma

**Scattered (“exploded”) Ca⁺⁺ rather **than localized (“engulfed”) Ca⁺⁺ in germinoma

How well did you know this?
1
Not at all
2
3
4
5
Perfectly
15
Q

Differentiate a medulloblastoma from a pilocytic astrocytoma in the posterior cranial fossa

A

Medulloblastoma
Midline 4th ventricular mass in 1st decade of life
Hyperattenuating (CT)
diffusion restricting (MR)

PCA -
Cystic cerebellar mass with enhancing mural nodule
Enlarged optic nerve/chiasm/tract with variable enhancement

Hypo/Isodense. Ca2+ often

How well did you know this?
1
Not at all
2
3
4
5
Perfectly
16
Q

Distinguishing features if ADEM?

A

Post viral. Young adults or children

Demyelination with bilateral asymmetrical T2/FLAIR hyperintensities (confluent or punctuate).

Thalamic involvement and cranial nerves (not typcial MS)

Dramatic response with steorids

How well did you know this?
1
Not at all
2
3
4
5
Perfectly
17
Q

Chondrocalcinosis, premature OA changes and dark pigmentation in skin, particularly the ears?

A

Alkaptonuria / oschronosis

Nb Can be diagnosed in infancy - nappies stained black from urine.

AR condition. Excessive levels of homogentisic acid (HGA), affinity to accumulate in connective tissues.

Calcification and destruction intervertebral discs.

How well did you know this?
1
Not at all
2
3
4
5
Perfectly
18
Q

History of epilepsy, young, temporal lobe lesion, multi-cystic lesion?

A

Dysembryoplastic neuroepithelia tumours (DNET)

**Nb - Multiple cysts in the lesion ‘bubbly’ **.

Lack of oedema or enhancement is typical

DDX for a temporal lobe lesion and epilepsy -
—Ganglioglioma (not bubbly, can be cystic and usually enhance)

How well did you know this?
1
Not at all
2
3
4
5
Perfectly
19
Q

Baby, developmental delay, normal head size but diffuse white matter abnormalities with a stripey ‘trigoid’ appearance

A

Metachromatic Leukodystrophy

**Normal head size **

Most common leukodystrophy. Trigoid or butterfly appearance.

Spares subcortical u fibres

How well did you know this?
1
Not at all
2
3
4
5
Perfectly
20
Q

Baby under 6 months old, RUQ mass, cardiomegaly ?

A

Haemangioendothelioma (aka Infantile hepatic haemangiomas (IHH))

**Fine calcifications. **

Often found on foetal antenatal scans!!!

Can be solitary or multiple

Nb - behave like giant haemangioma on imaging -
Heterogenous on US, peripheral enhancement with gradual filling in on CT, flow voids on MRI.

can cause significant R-L heart shunting.

AFP + Endothelial growth factor is elevated.

Thrombocytopenia due to platelet trapping

Nb - not like adult epitheliod haemangioendothelioma

How well did you know this?
1
Not at all
2
3
4
5
Perfectly
21
Q

Painless abdominal mass, 6 year old child. US - large well defined solid heterogenous liver mass with raised AFP?

A

Hepatoblastoma

Coarse calcification

Precocious puberty is highly specific but rare.

Most common malignant hepatic tumour of childhood.
Young adolescents = HCC

Associated with* Beckwith Wiedemann syndrome. *

Can invade the vessels

How well did you know this?
1
Not at all
2
3
4
5
Perfectly
22
Q

Large abdominal mass in neonate, with respiratory compromise. Multicystic and enhancing septations.

A

Mesenchymal hamartoma

Benign tumour. Sheer size can cause diaphragms splinting.

No Ca2+ or haemmorhage.

May grow rapidly, leading to compartment syndrome, respiratory distress, rarely heart failure

AFP may be moderately elevated

Imaging: Multiloculated large cystic mass in 70%;

How well did you know this?
1
Not at all
2
3
4
5
Perfectly
23
Q

Neonatal jaundice, normal US and 6 and 24 hours HIDA scan show no excretion?

A

Biliary atresia

US - sometimes shows echogenic ‘triangular cord’ structure in the porta hepatis which is pathogonomic

DDx - Neonatal hepatitis - 6 or 24 hours HIDA will show bowel uptake

Nb
Hepatic activity after 5 minutes and no bowel activity after 6 and 24 hours

How well did you know this?
1
Not at all
2
3
4
5
Perfectly
24
Q

Main causes for Neonatal distal intestinal obstruction with microcolon?

A

A. Meconium Ileus

Meconium impacted at the terminal ileum. Linked to CF.
On WSCE - outlines meconium pellets obstructing terminal ileum.

B. Ileal atresia
On WSCE - Blind end of contrast column in ileum = Ileal atresia

C. Total colonic Hirschsprung disease

How well did you know this?
1
Not at all
2
3
4
5
Perfectly
25
Main causes of neonatal distal intestinal obstruction with small distal /left colon?
A. Meconium plug syndrome (neonatal small left colon) Nonpathological transient functional obstruction at the **proximal descending colon****. +/- if water souble contrast isnt therapeutic then - Rectal biopsy to exclude long segment HD B. Colonic atresia WSCE - blind ending small caliber distal colon (can be more proximal) C. Hirschsprung's disease WSCE - Classically short rectosigmoid segment = small calibre rectum and dilated sigmoid (rectosigmoid ration <1). Long segment - Transition zone from the small distal colon to the dilated proximal colon ****suction biopsy below this transition point.**
26
Older child with distal intestinal obstruction or right iliac fossa pain/mass and normal appendix. Bilateral upper zone bronchiectasis ?
Distal intestinal obstruction syndrome Secondary to CF Older child meconium ileus equivalent
27
3 year old RUQ mass, hilar mass displacing the pancreatic head and causing intrahepatic duct dilatation. CT shows retroperitoneal lymphadenopathy?
Rhabdomyosarcoma Most commonly arise form the CBD. Expansile intraductal biliary mass in young child Dilated intrahepatic bile ducts caused by downstream biliary obstruction DDx - Choledochal cyst
28
Lobular liver mass in young patient with a central fibrous scar that doesn't enhance?
Fibrolamellar carcinoma Central scar (low T1 and T2 as fibrous) that doesn't enhance or Ca2+ in scar help differentiate from FNH
29
Sacular dilatation of the proximal large intrahepatic biliary ducts, alongside focal strictures (beaded apperance) ?
Caroli Disease (Type V choledochal cyst) AR disease linked with medullary sponge kidney, ARPKD and ADPKD and significant risk of cholangiocarcinoma
30
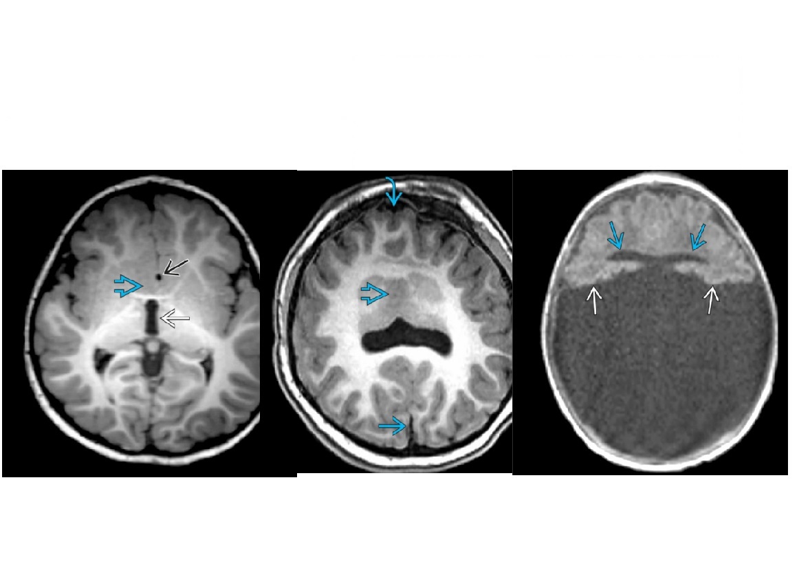
Port wine stain, recurrent seizures, Gyral cortical calcification and leptomeningeal enhancement ?
Sturge-Weber syndrome Cerebral lobar atrophy with cortical/subcortical Ca⁺⁺ leptomeningeal enhancement enlarged ipsilateral choroid plexus
31
What is the most common type of tracheoesophageal fistula ?
Type C Type **A** - No/**A**bsent TOF, just oesophageal atresia (9%) Type B - oesophageal atresia with a fistula between the proximal pouch and the trachea **Type C - oesophageal atresia with a fistula from the trachea or the main bronchus (Level of carina) to the distal oesophageal segment (80%) ** Type D is oesophageal atresia with both proximal and distal fistulas Type H - Isolated TOF with no oesophageal atresia. Present later in life with recurrent URTIs C and D: Gas in stomach & bowel A and B: Gasless stomach & bowel
32
US measurements to Dx pyloric stenosis ?
Single wall thickness - 3mm Pyloric transverse diameter: > 13 mm Pyloric length - > 15mm Pyloric volume > 1.4cm3
33
Congenital heterotaxy disorder with large ASD ?
Left sided isomerism (Polysplenia) Bilobed lungs liver positioned centrally interrupted IVC with azygous or hemiazygos continuation truncated pancreas. Mortality by age 5 is 75% (slighlty better prognosis that right/asplenia)
34
What cardiac abnormality in right sided isomerism ?
TAPVR Severe cyanotic disease at birth. Mortality rate 80% by age 1. Asplenia trilobed lungs IVC on same side as aorta horseshoe kidney Liver normal position.
35
Overinflation of the apicoposterior segment of the left upper lobe with 'gloved finger' sign?
Bronchial atresia Gloved finger - is mucal impaction (mucocele). Presents usually in adolescences Ovoid/round or tubular branching mass (finger-in-glove sign) with hyperinflated lung distally
36
Transient tachypnoea of the new-born (TTN) Nb - normal descend down the vaginal canal squeezes fluid out of the lungs. Term baby C-section Diabetic mother. CXR - WET lungs - Looks like pulmonary oedema Bilateral symmetrical nodular air space opacities or intersitial markings Fluid in fissures pleural effusions. No cardiomegaly Peaks in severity in 24hrs, resolved by 3 days.
37
Surfactant deficient disease (a.k.a. respiratory distress syndrome & hyaline membrane disease) Pre-term neonate Diffuse granular opacities Lung volume appears low Air bronchograms DDx Group B Streptococcal Pneumonia as 'diffuse granular' opacities + PLEURAL EFFUSIONS Can go on to develop PIE and Bronchopulmonary dysplasia -Varying degrees of hazy opacities, **cysts, hyperinflation,** & coarse linear opacities diffusely in premature infant - 28 days needing 02 /respiratory suppport
38
Meconium aspiration syndrome Term/post term Coarse, rope-like perihilar opacities hyperinflation in term infant **Air bronchograms ABSENT** Can develop PTx, pneumomediastinum or PIE
39
Congenital lobar overinflation Check-valve bronchial obstruction. **Neonate with hyperexpanded lucent pulmonary lobe Especially left upper lobe** May be fluid-filled in 1st few hours after birth LUL commonest. Then RML
40
Bronchogenic cyst clasically subcarinal Malformation of bronchial tree and lined with respiratory epithelium so hence produce fluid. **Do not usually communicate with bronchial tree so don't contain air. ** If air = infected **Middle Mediastinal** or Central location with NO feeding vessels If small asymptomatic/incidental
41
Congenital pulmonary airway malformation -multiple gas filled cystic mass in the lung, -contralateral mediastinal shift. Often seen antenatal scan but can present neonatal respiratory distress or milder cases in child with LRTI and decompensation. Can be cystic and solid masses thus CTA is performed to rule out a feeding vessel (pulmonary sequestration) **Not lobe predominant. ** Remember CLO upper lobe and sequestration left lower lobe
42
Pulmonary Interstitial emphysema Alveolar rupture from barotrauma. Prevalent in low birth weight, hyaline membrane disease, meconum aspiration after ventilation **New, "bubbly," cystic or linear lucencies within lung of intubated premature infant** Can *cause acute life threatening PTX and pneumomediastinum* Treated with high frequency oscillation ventilation
43
Sequestration Both have arterial supply from systemic circulation/aorta Extralobular less common (25%) vs intralobular (75%) Extralobular has its own pleura and additional congenital abnormalities - Diaphragmantic hernia/VSD Venous drainage is into the IVC - so can present with respiratory distress to shunting Intralobular presents later in life with recurrent infection No pleura lining. Drains into pulmonary veins CXR **opacity adjacent to the heart, abutting the diaphragm.**
44
5 Ts of neonatal cyanotic and plethoric congenital heart disease?
TGA Tricuspid atresia Truncus arteriosus TAPVC Tingle ie single right ventricle
45
Most common cyanotic congenital heart disease present after 12 months?
TOF Nb - Boot shaped heart as the RVH turns the cardiac apex upwards. Can have normal CXR when infant **Pulmonary oligemia** Strong association with right sided aortic arch RVOT commonly implicated cause is infundibular stenosis at Pulmonary valve
46
Which diaphragmatic hernia is most common?
Bochdalek - 80% Big, Back (posterior), Bad - present as Baby, contain Bowel and can be Bad As associated with pulmonary hypolasia due to mass effect LEFT Morgagni Anteromedial aspect. Omental fat
47
Very large enhancing hemi thoracic mass in a 1-2 year old - 2 key differentials?
A. Pleuorpulmonary blastoma -Large pulmonary cystic, solid, or mixed mass in child < 6 years old B. Askin tumour/Ewing Sarcoma of Chest Wall -Early teens with large unilateral intrathoracic mass -Large unilateral lobular opacity; may occupy entire hemithorax, particularly in combination with pleural effusion **--Key differentiation feature is rib destruction = Askin **
48
Child with symptoms of night pain in long bone diaphysis with sclerotic lesion?
Osteoid osteoma or Osteoblastoma Depends on size < 1.5cm is osteoid osteoma > 2cm is osteoblastoma. Diaphysis and posterior elements of spine are classic locations. Nidus isn't typically apparent on Xray - normally just seen sclerotic solid periosteal recaption. CT helps identify the sclerotic nidus. NB - Look for aspirin = classically reliefs pain
49
Child with incidental lucent lesion in the long bone, diameatphyseal, sclerotic margin, eccentric and elongated?
Fibrous cortical defect if <2 cm Non-ossifying firboma if > 2cm Common benign
50
Child after FOOSH with ulnar shaft fracture and radial head dislocation?
Monteggia
51
Child after FOOSH with dislocation of the distal radio-ulnar joint with radial fracture?
Galeazzi
52
Teenager and black, with densely calcified soft tissue mass at a joint with no bone involvement ?
Tumoral calcinosis
53
What are the radiologically features of Perthes?
Small femoral epiphysis Sclerosis of the femoral epiphysis Soft tissue line changes Widening of the joint space (effusion) Radiolucent crescent subchondral lucent line
54
Adolescent with pain in his leg for weeks, lucent, lobulated lesion with thin sclerotic margins at the proximal tibia epiphyses?
Chondroblastoma The oedema on MRI can be florid. Epiphysis and epiphyseal equivalent (tarsals, carpals, patella)
55
What are the radiologically appearances of bone infarction?
Xray - Lucent area with a sclerotic serpiginous border of granulation tissue. MRI - Serpiginous border returns low signal on T1 and a 'double-line' sign on T2 (high signal of granulation tissue surrounded by low signal of sclerosis) Causes - Sickle cell, excess corticosteroid , pancreatitis, caisson disease (the bends), Gaucher disease, leukaemia/lymphoma, trauma
56
Knee pain for few months, Lucent lesion with thick sclerotic margin in the tibial metaphysis. Pyrexia ?
Brodie abscess Smoldering osteomyelitis. children arise in the metaphysis as growth plater acts as physical barrier In very young children (<18 months) this isnt the case and can be epiphysis and metaphysis . on xray a lucent channel extending towards the growth plate it pathognomonic.
57
15-year-old with lucent lesion in femur, permeative, periosteal reaction and associated soft tissue component?
Ewings sarcoma Permeative/moth eaten appearance Often **Lamellated periosteal reaction** can be sunburst Predilection for DIAPHYSIS of long bones 1/3 have metastatic disease at presentation
58
Adolescent Painful leg, fever. Poorly defined aggressive lesion with sunburst periosteal reaction and fluffy cloud like osseous matrix?
Osteosarcoma Predilections for proximal tibia or distal femur (around the knee) = METAPHYSIS Staging need MRI of entire bone affected. Nuclear bone scan and a CT chest. Parosteal - lower grade, older age (20-50s) Telangiectatic - purely lytic, poor prognosis, fluid-fluid levels Multicentric - Age 5-10mvery poor prognosis
59
Lower urinary obstruction in baby boy, enlarged urinary bladder with keyhole sign ?
Posterior urethral valves Bladder funnels into a dilated posterior urethra Hydronephrosis Micturating cystogram will show fusiform dilatation of posterior urethra and trabeculation of the ballder with reflux
60
Differentiate between multicystic dysplastic kidney and hydronephrosis ?
Hydronephrosis apparent cysts on US communicate with each other Hydro is the most common cause of neonatal abdominal mass Multicystic dysplastic kideny -normal renal architecture is entirely replaced by a non-functioning mass of cysts separated from one another by fibrous tissue. - 'Bunch of grape'
61
Most common solid renal mass in neonate?
Mesoblastic nephroma *Most common Soild neonatal renal mass** US - large hypoechoic renal mass which cannot clearly be separated from the normal renal parenchyma. Get nephrectomy. **Doesnt invade into the collecting system or veins ** Multicystic dysplastic kidney 2nd commnest SOLID . Any renal mass commonest is hydronephrosis.
62
How to differentiate between mesoblastic nephroma and wilms tumour?
**Mesoblastic nephroma do not invade into the collecting system/pelvis or venous.** US appearances are similar. Solid mass, iso or slightly hyperechoic, cysts/necrotic areas. Both need resected, Mesoblastic nephroma is benign.
63
Most common solid abdominal mass in infants?
Neuroblastoma Second most common in children of all ages to Wilms
64
Key features of neuroblastoma?
Peak age is 2 Most adrenal in location, 1/3 retroperitoneum and 1/5 posterior mediastinum. Secrete catecholamines = hypertension ir VIP = watery diarrhoea **ENCASES the IVC ** Crosses midline **Ca2+ ** 'Dropping lily sign' on urography - kidney displaced Downard's **Staging is performed with an 123I-MIBG scan ** Stage IVs (disease involving the skin, bone marrow and liver) which has the best prognosis.
65
Key features of Wilms (nephroblastoma) tumour?
peak age 3-4 **Displaces +/- invades the IVC ** less commonly crosses the midline or Ca2+ 'Claw sign' - Rim of normal renal tissue extending around the mass. 10% tumour - Ca2+ ( curvillnear), vascular invasion, bilateral, lung mets
66
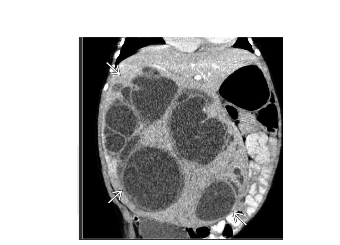
Abdominal mass in 4 year old boy, US mass of cysts with thick fibrous capsule. Mass protudes into the renal pelvis but no solid components?
Multilocular cystic nephroma ***Protusion into the renal pelvis** two age peaks; one at around age 4 which affects mostly boys and one at around age 40 which affects mostly women ie 'Michael jackson' tumour - like young boys and older women
67
Features of idiopathic scrotal odema syndrome?
Scrotal swelling +/- acute pain. Scrotal wall oedema and hypervascularity on US Managed conservatively with NSAIDS
68
Early teens female, amenorrhoea, elevated AFP. Ovarian lesion on US than shows low signal on MRI (T1 and T2) ?
Leydig-Sertoli tumour They produce excess testosterone/oestrogen hence amenorrhoea. Solid fibrous tumours that can have cystic elements with haemorrhage or necrosis
69
What is autosomal recessive polycystic disease linked with ?
**Hepatic fibrosis - disease severity has inversion correlation Caroli disease Pancreatic fibrosis Portal hypertension
70
Dense bones with short stature, acroosteolysis, increased angle of mandible
Pycnodysostosis AR widened hands and feet Receding jaw and beaked faces -Obtuse mandibular angle Osteosclerosis is dominant radiographic finding - Does not obliterate marrow space DDx Osteopetrosis - Whole medulla of long bone sclerotic
71
Shortening of long bones with widening of the metaphysis and diaphysis. Kyphosis and beaking of the anterior vertebral bodies.
Mucopolysaccharidosis metacarpals that are short, broad, and constricted proximally (pointing proximally) Marcocephaly Dysplastic changes in the femoral head Odontoid hypoplasia → atlantoaxial instability **Murquio = anterior middle Vertebral beaking ** Hulers = anterior inferior vertebral body beaking
72
Periosteal reaction, coarse trabeculation, epiphysel plates are widened, fraying at the metaphysis side?
Rickets
73
Squaring of the patella and widending of the intercondylar notch?
Haemophilia arthopathy
74
Fusion of C2/C3, short neck and low hariline?
Kippel-Feil syndrome
75
causes of lung mets in children?
Wilms Ewings Oestosarcoma Rhabdomyosarcoma
76
paediatric liver tumours and a raised AFP
see chart
77
NAI fractures
Child less than 1 = Skeletal survery, reported by 2 radiologists and repeated in 3 weeks CTB If positive need MRI brain and whole spine interhemispheric SDH highest specificity for abuse of any intracranial injruy
78
Neonatal lines and tubes
ET tube - T3 or 1-1.5cm above the carina UVC - At/just above diaphragm, usually ***T8-T9. IVC-RA junction*** UAC - Ideal high line: **Descending thoracic aorta (T6-T10)** Acceptable low line: **Distal abdominal aorta (L3-L4)** **Nb cant be sited T12- L3 as banches of aorta and can cause stenosis**
79
Schizencephaly
Open-lip schizencephaly may result in large cystic cavity often mistaken for cyst Closed-lip schizencephaly may be very small & subtle, mimicking transmantle GM heterotopia transmantle GM heterotopia -Column of grey matter extending from the subependymal to the pial surface. DDx porencephalic cyst -intraparenchymal CSF-filled cavity that communicates with the ventricle and subarachnoid space. -lined with ** gliotic white matter ** - previous insult - fetal life or early infancy , Brain destruction during perinatal period Neuroglial cyst - doesnt communicated with the lateral ventricle - Nonenhancing, CSF-like parenchymal cyst with minimal/no surrounding signal abnormality
80
Features of moyamoya
Attenuated COW with multiple tiny basal ganglia (BG) flow voids on MR Large vessel occlusion- supraclinoid ICA/COW; anterior > > posterior circulation "Puff of smoke" (moyamoya in Japanese) Cloud-like lenticulostriate and thalamostriate collaterals on angiography
81
grading of VUR
Grade I: Reflux into distal ureters Grade II: Reflux into collecting system (without calyceal dilatation/blunting) Grade III: All of the above, plus mild dilatation of the pelvis and calices Grade IV: All of the above, plus moderate dilatation (clubbing of calices) Grade V: All of the above, plus severe tortuosity of the ureter Grades IV and V require surgery to avoid renal scarring, renal impairment and/or hypertension.