Thoracic Flashcards

(42 cards)

1
Q
A

Unilateral Hypertransradiancy

-Rotation (lucent side closer to the tube ie away from the plate)

  • Airway obstruction/FB

-PTx

Chest wall =
- Mastectomy
- Poland syndrome
- Polio

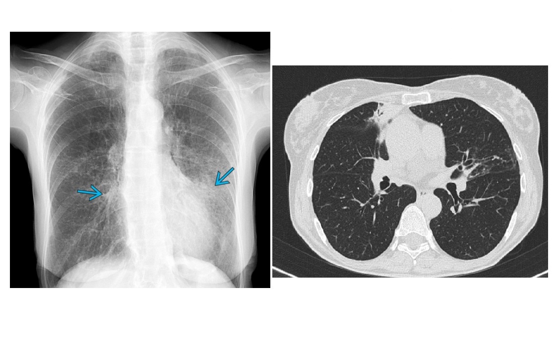
Swyer-james
- unilateral hyperlucent lung on radiography and air-trapping +/- bronchiectasis on CT. underdeveloped pulonary vasculatiry
- Unilateral or focal postinfectious Constrictive bronchiolitis

-emphysema

Congenital Lobar Emphysema
- Neonates (hyperexpansion
Mass effect on adjacent uninvolved lung &/or mediastinum
Left upper lobe > middle lobe > right upper lobe

How well did you know this?
1
Not at all
2
3
4
5
Perfectly
2
Q
A

MAC

Tree in bud - terminal bronchiole filled with radiopaque material
cylindric bronchiectasis
clasically right middle lobe or lingula (aka lady windermere syndrome)

Other causes/areas of lung
TB (Pus)
CF, ABPA (mucus)
Cells - Breast and gastric cancer
Aspiration
CMV (bronchial wall thickening)

How well did you know this?
1
Not at all
2
3
4
5
Perfectly
3
Q
A

Angioinvasive aspergillosis

Halo sign
=Nodule/mass/consolidation surrounded by ground-glass opacity related to hemorrhage

Air crescent sign
=Crescent-shaped gas collection within nodule, mass, or consolidation
heralds improvement in the condition.

How well did you know this?
1
Not at all
2
3
4
5
Perfectly
4
Q
A

Aspergilloma
Nodule or mass within preexisting cavity
Lies dependent/ Intracavitary movement

Monod sign - gas that surrounds a mycetoma/aspergilloma in a pre-existing pulmonary cavity

How well did you know this?
1
Not at all
2
3
4
5
Perfectly
5
Q
A

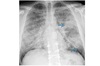
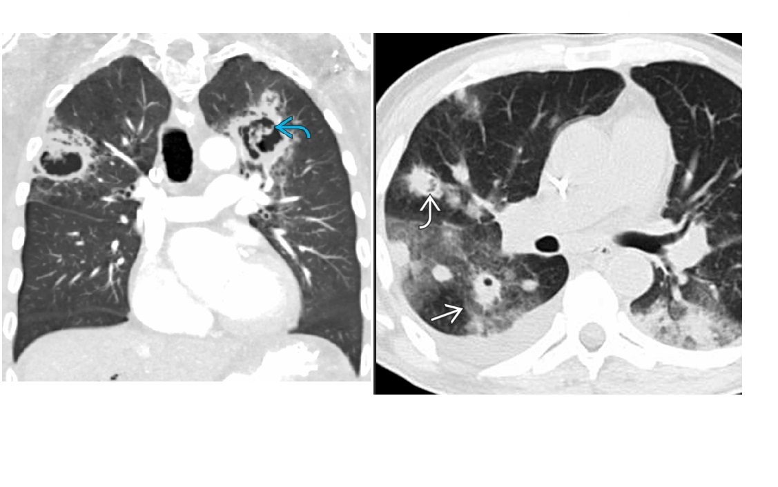
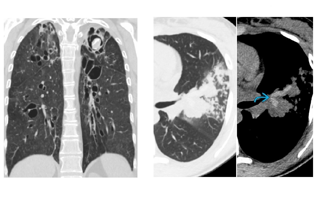
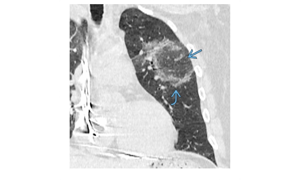
ABPA

‘Migratory’ airway consolidation

**Central (saccular) and upper lobe predomiannt bronchiectasis
(peripheral bronchi clasically spared)

**Dense mucoid impaction/finger in gloove - High-attenuating (>70–100 HU) bronchial contents represent fungal debris

Asthma

Cavity formation possible in later stage

How well did you know this?
1
Not at all
2
3
4
5
Perfectly
6
Q
A

Mucormycosis

Difficult to discern radiologically and clinically from aspergillosis

Can have halo sign but more specific reverse halo sign

unlike COP, peripheral capsule in the reversed halo sign tends to be thicker

How well did you know this?
1
Not at all
2
3
4
5
Perfectly
7
Q
A

Septic emboli

Peripheral wedges shaped densities +/- cavity
Lower lobe predominant

How well did you know this?
1
Not at all
2
3
4
5
Perfectly
8
Q

CAVITY mnemonic?

A

*Cancer (Squamous)
*Auto-immune (Wegners, Rheumatoid/caplan)
*Vascular - multiple pulmonary infarcts
*Infection - septic emboli - TB, staph, strep
*Truama - pneumatoceles
Y - Young - CPAM, Sequestrations

How well did you know this?
1
Not at all
2
3
4
5
Perfectly
9
Q
A

Round atelectasis

Comet tail sign
Adjacent to thickened pleural (assoacited with asbestosis) +/- Ca2+
can mimic a lung mass

How well did you know this?
1
Not at all
2
3
4
5
Perfectly
10
Q
A

Carcinoid

Endobronchial lesion, calcification (1/3).
Avid enhancement.

commonest lung primary in children and young adults

Atypical carcinoid are rare and can have no/heterogenous enhancement

iodine-123-octreotide scanning detect primary and metasatic disease for typical

atypical - FDG

How well did you know this?
1
Not at all
2
3
4
5
Perfectly
11
Q
A

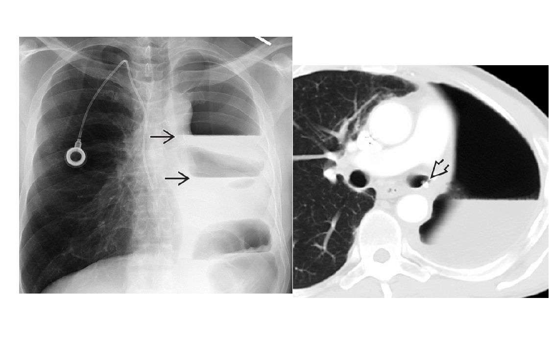
Bronchopleural fistula

Post pneumonectomy
contralateral tracheal shift
Reduction on height of fluid on sequential films.

Can confirm on Xenon gas nuclear med

Normal appearances -
air fluid level at day4/5, by 14 days 100% fluid filled
ipsilateral tracheal shift
Diaphragm elevation

How well did you know this?
1
Not at all
2
3
4
5
Perfectly
12
Q
A

Round pneumonia

Young children
Pneumoccous, strep
Spherical area posterior lower lobes

With antibiotic and resolution of symptoms it doesnt need followed up

How well did you know this?
1
Not at all
2
3
4
5
Perfectly
13
Q
A

Fibrous Tumor of the Pleura (pleural fibroma)

Peripheral soft tissue nodule/mass, abuts pleura, obtuse angle

Often beningn

Less likely to malignant transform to sarcoma

Fibrous = low on T1 and T2

How well did you know this?
1
Not at all
2
3
4
5
Perfectly
14
Q

Egg shell calcifications nodes ?

A

Silicosis
Coal workers pneumoconiosis
Sarcoidosis
Treated lymphoma

Mediastinal lymph node calcification
Tuberculosis
Histoplasmosis
Amyloidosis (rare)
Metastases: papillary/medullary thyroid cancer, osteosarcoma, mucinous adenocarcinoma

How well did you know this?
1
Not at all
2
3
4
5
Perfectly
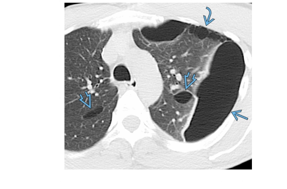
15
Q
A

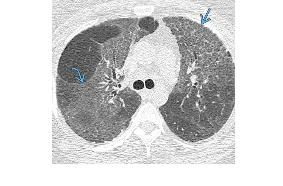
Centrilobular
-smoking, apical/upper lobes segments

Panacinar
- Alpha1-antitrpysin , lower lobes/bases

Paraspetal
- Subpleural, bullous formation, spontaneous PTx

How well did you know this?
1
Not at all
2
3
4
5
Perfectly
16
Q
A

Congenital lobar overinflation

Neonate
hyperlucent LUL,-
mass effect on mediastinum and contralateral mediastinal shift

Bronchus unable to remain open in expiration, leading to air trapping

No discrete cyst or feeding vessels

How well did you know this?
1
Not at all
2
3
4
5
Perfectly
17
Q
A

UIP

CXR
Reticular or reticulonodular opacities
Subpleural/peripheral; mid and lower lung zones

Macrocystic Honeycombing (strongest predictor)
Basilar predominant
Traction bronchiectasis
Subpleural reticulations

smoking association

Causes
- connective tissue disease such as RA
- asbestosis
- Drugs (amidorane, nitrofurantoin, methotrexate)
- IPF (diagnosis of exclusion)

18
Q
A

NSIP

lower lung zone predominant
CXR
bilateral, reticular opacities

CT
Absent (less) / microcystic honeycombing
Bilateral ground-glass &/or reticular opacities
Traction bronchiectasis/bronchiolectasis
Relative Subpleural sparing
peribronchovascular fibrosis

Most hunt for assocation/cause on CT
?dilated oesophagus - scleroderma
? joint disease - RA
?portcath/PICC - chemotherapy
sjorgens
HIV

19
Q
A

DIP

Smoker
Bilateral, lower zone predominant ground-glass opacities

± subpleural **intralobular lines/retiuclations **

Small, round,** thin-walled** (2-4 mm in diameter)

Spectrum/similar HRCT to RB-ILD
+ centrilobular nodules
+ upper lobe predominated

20
Q
A

Lymphoid Interstitial Pneumonia - LIP

Basilar predominace
Thin walled cysts
GGO
Centilobualr micronodules

GGO clears with treatment

Associated with Sjogren’s
+ PCP, Hep B, EV
+ AIDs

21
Q
A

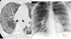
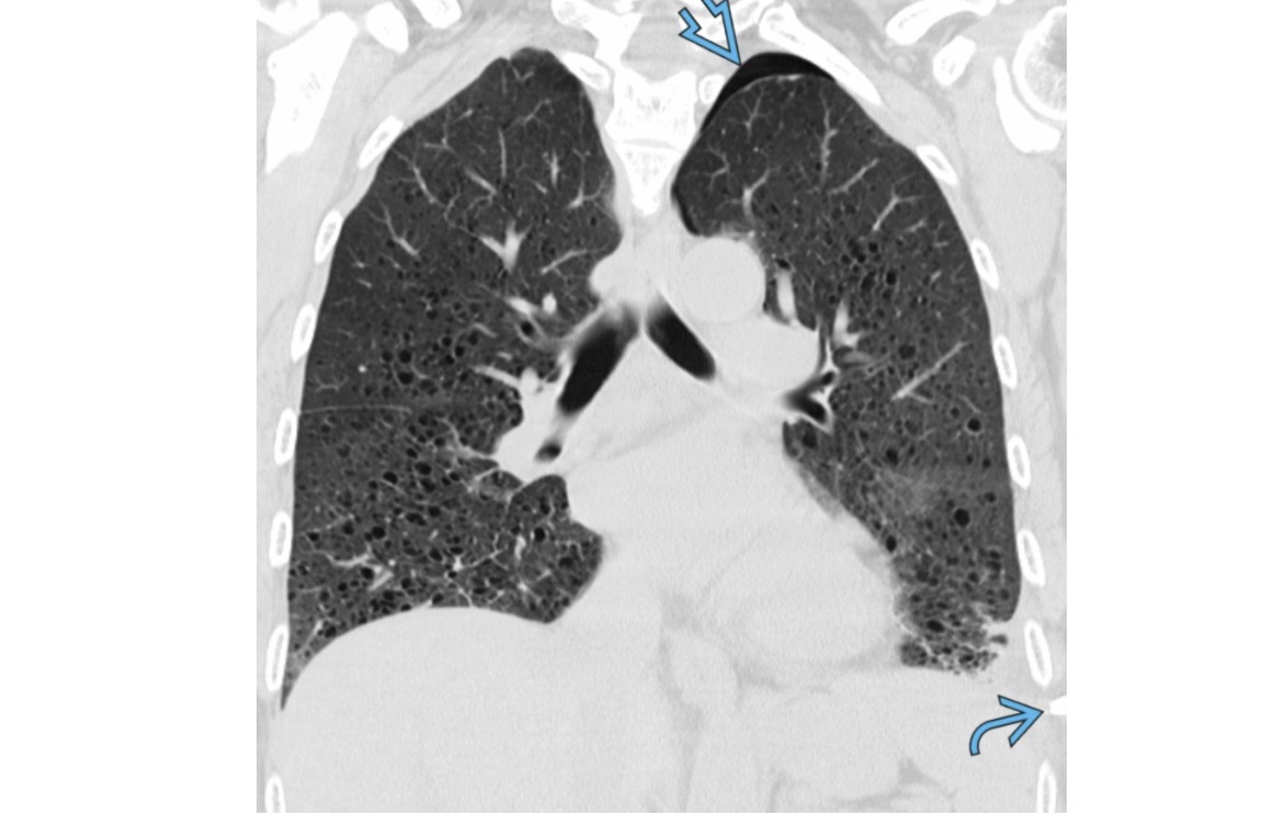
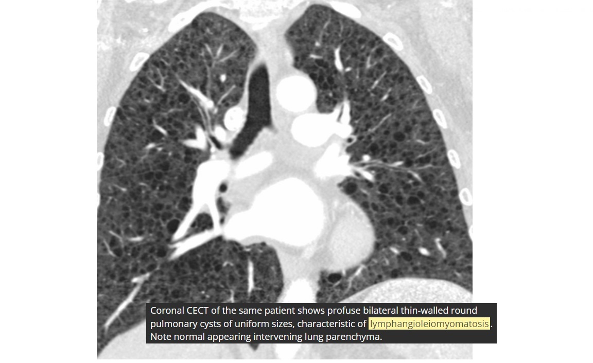
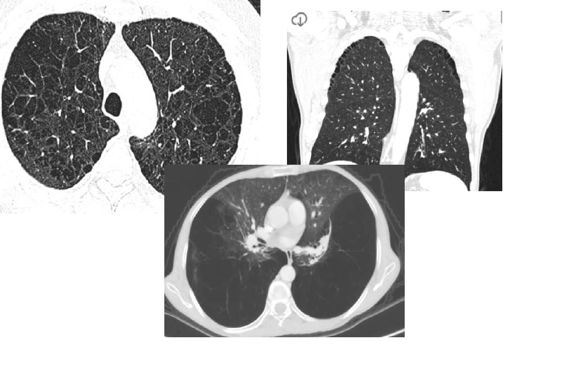
Lymphangioleiomyomatosis (LAM)

Diffuse no lobe predominant Thin walled cysts

Spontaneous PTX

Premenopausal women
NORMAL lung volumes
Chylous pleural effusions
increased lung volumes

Associated with tuberous sclerosis - 1/3rd have AMLs

22
Q
A

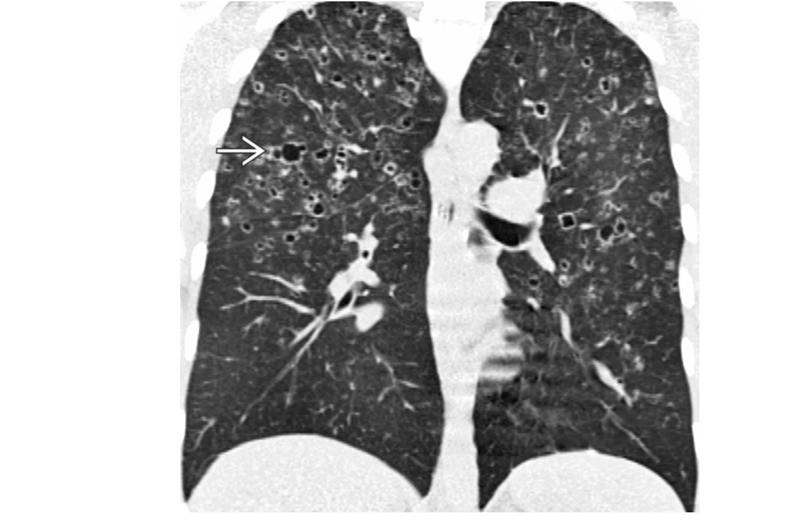
Pulmonary Langerhans cell histiocytosis (PLCH)

Predominant upper lobes
bizarre-shaped thick pulmonary cysts
Smokers
Early stages of disease, 1-10mm nodules in mid/upper zone predominant

M:F =

Effusions are rare
Sparing costophrenic angles

23
Q
A

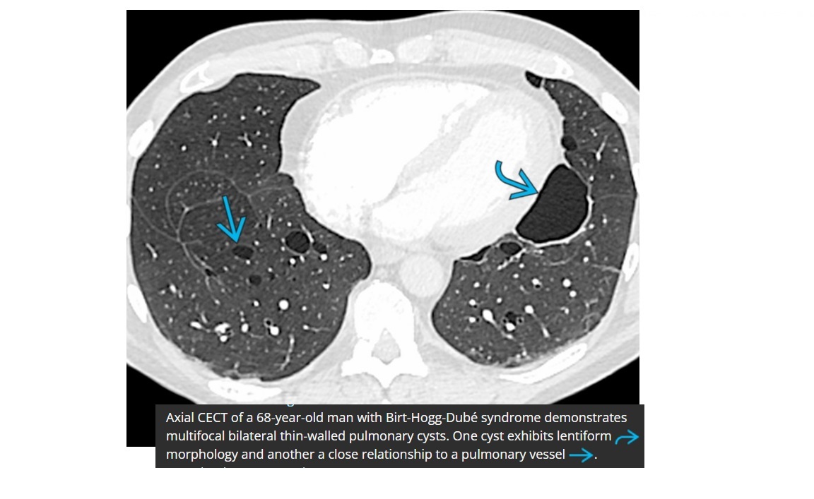
Birt-hogg-dube

Bilateral basilar predominant lentiform cysts abutting pleura, septa, and pulmonary vessels

Liver and skin lesions

Bilateral Renal oncocytomas
+ **chromophobe RCC

24
Q
A

COP

Reverse halo sign

Associated with
-CF
-Methotrexate
- post-transplant
- connective tissue

25
Sarcoidosis -Bilateral hilar and right paratracheal lymphadenopathy (95% of cases) -Perilymphatic nodules -*Mid and upper zones is classic* - End stage = fibrosis and traction bronchiectasis Side notes Garland triad = 1,2,3 sign = lymph nodes both hilum and right paratracheal Lofgren’s syndrome is an acute form of sarcoidosis characterised by erythema nodosum, bilateral hilar lymphadenopathy and polyarthralgia. stage 1: bilateral hilar lymphadenopathy stage 2: bihilar lymphadenopathy and reticulonodular infiltrates of parts or the entire lung stage 3: bilateral pulmonary infiltrates without signs of hilar lymphadenopathy stage 4: fibrotic degeneration of the lung (possibly with upward hilar traction, cystic and/or bullous destruction of the lung)
26
Acute eosinophilic pneumonia -Ground-glass opacities (100%) -crazy-paving pattern (septal thickening) -mosaic attenuation; may mimic pulmonary edema Asthma Reverse pulmonary oedema pattern (peripheral) acute type I hypersensitivity reaction triggered by variable causes (inhalational exposure, drugs, infections) Chronic eosinophilic pneumonia (CEP): Peripheral homogeneous consolidations (100%) Allergic bronchopulmonary aspergillosis (ABPA): Central upper lobe bronchiectasis ± high-attenuation mucous plugs (30%)
27
Upper lobe predominant - BREASTS?
Berylliosis Radiation / RB-ILD Extrinsic allergic alveolitis and Eosionphilic granuluma (LCH) Ankylosing spondylitis/ ABPA Sarcoidosis TB Silicosis Nb ++ all pneumoconiosis Caplans syndrome Centrilobular emphysema CF
28
Lower lobe predominant - BADAS
Bronchiectasis Asbestosis DIP/Drugs Aspiration Scleroderma (+ RA !!!) + Panlobular emphysema (alpha 1) + RA (Caplans upper lobes and less common) + UIP and NSIP
29
EAA/hypersensitivity pneumontits Acute/Nonfibrotic: Centrilobular ground-glass nodules and air-trapping Mosiac attenutation Chronic: Dyspnoea, clubbing etc Fibrotic: Upper lobe **peribronchovascular fibrosis**
30
Crazy paving sign and ground glass opacities DDx Pulmonoary oedema (?cardiomegaly, pleural effusion) ARDS (?anteriorposterior gradient) Alveolar haemmorhage PCP (?cysts) Adenocarcinoma
31
Primary -Hallmark is lymphadenopathy -Homogenous consooldiation -compressive atelectasis from compression of adjacent lymph nodes -pleural effusions (30%) Tree-in-bud opacities are the most common sign of active tuberculosis on CT. Post-primary -Cavitating nodule -tuberculomas
32
Mosaic attenuation causes?
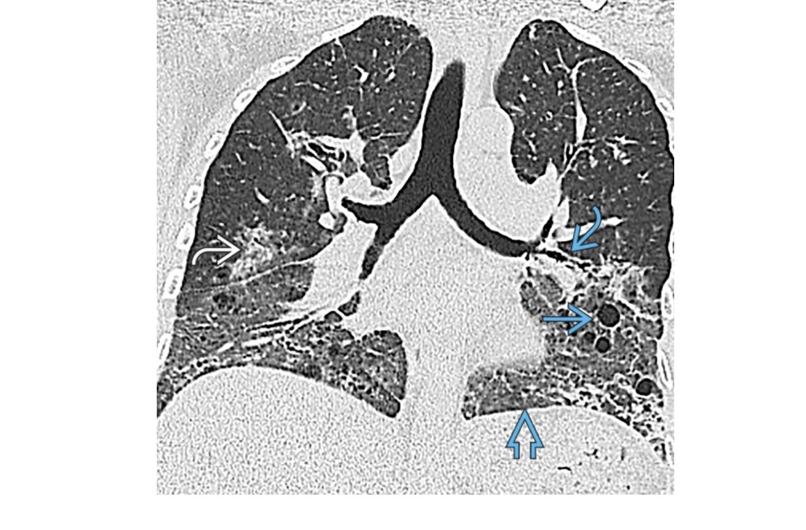
Higher attenuation pathological ie Parenchymal disease ie (GGO) - sarcoidosis, UIP, COP, DIP - No air trapping. =Vessels in the whiter areas = dilated Lower attenuation pathological **- look for vessels constricted/paucity in lucent areas ** 1. Poor ventilation = ***Air-trapping - Exacerbated by expiratory phase - Bronchitis , bronchiectasis, asthma, emphysema, Hypersensitivity pneumonitis 2. Mosaic perfusion - as above but no air trapping - CTEPH, pulmonary hypertension
33
Anterior mediastinal mass mediastinal mass that makes obtuse angles with the mediastinal contour. The hilar vessels can be seen through the mass - (hilum overlay sign) and means this is not in the middle mediastinum. The paravertebral line can also be seen, placing this mass in the anterior mediastinum. Thymoma Teratoma/GCT Terrible lymphoma Thyroid Germ cell tumours can be fruther subdivded -Teratoma (usually cystic with fat and calcification) -seminoma (bulky and lobulated) -Non-seminomatous Germ Cell Tumour (haemorrhage and necrosis)
34
1. SCC - Smoker - Lower 2/3rd trachea - ulcerated mass or nodule that projects into tracheal lumen - infiltration mediastinal structures, Frequent regional metastatic lymphadenopathy 2. Adenoid cystic carcinoma - non-smoker - proximal 1/3rd - growth along submucosal and perineural structures Consider Mucoepidermoid carcinoma (MEC) in young patient with endoluminal lesion in segmental airway - lobar or segmental bronchi
35
RB-ILD Centrilobular nodules GGO mosiac attenutation SImilar to EAA Upper/mid zones **Smoking ** No bronchiectasis or honeycombing
36
Middle mediastinal masses?
DDX Lymphadenopathy Foregut duplication cyst Haitus hernia
37
Tracheal stenosis?
Wegners Tracheal wall thickening Circumferential (**involvement of posterior membranous trachea)** Relapsing polychondritis Wall thickening ± calcification that **spares posterior membranous wall** Autoimmune disease - polyarthiris, uveitis, vestibulitis Tracheobronchomalacia Weakness of central airway walls At least 70% tracheal collapse on expiratory CT saber-sheath trachea narrowing of its coronal diameter and widening of its sagittal diameter snokers/COPD Tracheobronchomegaly a.k.a. Mounier-Kuhn syndrome Marked dilatation of trachea and mainstem bronchi
38
DDx Causes for interlobular septal thikening?
LISA Lymphangitis carcinomatosis (nodular or smooth) - beaded appearance Interstitial oedema (smooth) Sarcoidosis (nodular) Alveolar proteinosis (smooth)
39
bronchiectasis by location
Bronchiectasis with Upper or Mid-Lung Predominance * Cystic fibrosis * ABPA * Sarcoidosis * TB Bronchiectasis with Anterior Predominance * Atypical mycobacterial infection * ARDS Bronchiectasis with Lower Lung Predominance * Pulmonary fibrosis * Chronic aspiration * Kartagener’s syndrome * Common variable immunodeficiency * α1-Antitrypsin deficiency Bronchiectasis with Central Predominance * Mounier–Kuhn syndrome - Tracheal dilatation Williams–Campbell syndrome -subsegemental bronchiectasis, central normal
40
Solitary pulmonary nodule **Granuloma ** - benign patterns of calcification (central, diffuse, popcorn, or laminated). - Calcified hilar and lymph nodes **Neoplasm** - primary lung cancer and metastatic disease may present as a solitary pulmonary nodule or mass (>3 cm) - Irregular borders or suspicious calcifications (speckled, eccentric) - Adenocarcinoma - Solid, Part or GG. Peripheral - Squamous, proclivity to cavitate - Small cell, typically perhilar and lymphadenopathy **Hamartoma** - Comonest benigin aetiology. classic < 4cm , well defined and focal macroscopic fat and popcorn calcifcation Other Differerntials - Round pneumonia - paeds, < 8 - AVM - 90% associated with HHT, look for feeding vessels
41
Multiple pulmonary nodules **Metastatic** - randomly distributed with a lower lobe predominance, various sizes **Tuberculosis or fungal granulomatous disease** **Septic emboli** - Well defiend and peripheral. 'Vessel Feeding' sign, not specific Ohers - Granulomatosis with polyangitis (GPA) - May cavitate, thick walls with air fluid levels. - Rheumatoid - dissapear after treatment.
42
Cavitary pulmonary nodule/mass 1. TB - Typically reactivation phase. Multiple cavitations reflecting the increased inflammation and necrosis - Predominantly in the upper lobes (lymphatic clearance lower in lower lobes.) 2. Squamous cell carcinoma (Primary or metastatic) - typically located centrally with involvement of hilar or medistinal lymph nodes. 3. Pyogenic infection (pulmonary abscess, septic emboli) Fungal disease - Histoplasmosis