GI Flashcards

(61 cards)

1
Q
A

Candidiasis

irregular, longitudinal plaques with intervening normal mucosa

Typically upper 1/3 oesophagus

Immunocompromised (HIV, Transplant)

In older asymptomatic patients = Mucosal white plaques more uniform, rounded, and less well defined than candidiasis = Glycogenic Acanthosis

How well did you know this?
1
Not at all
2
3
4
5
Perfectly
2
Q
A

Herpes ulcer

Immunocompromised, multiple small <1cm oesophageal ulcers with a surrounding halo of oedema

How well did you know this?
1
Not at all
2
3
4
5
Perfectly
3
Q
A

CMV or HIV

Singular large flat ulcer. 1cm in length in the oesophagus

HIV more common to have massive ulcer (can be several cms)

How well did you know this?
1
Not at all
2
3
4
5
Perfectly
4
Q
A

Barretts

Mid oesophageal stricture, associated hiatal hernia and reflux

‘reticular muscosal pattern’

How well did you know this?
1
Not at all
2
3
4
5
Perfectly
5
Q
A

Eosinophilic oesophagitis

Barium - Concentric, ring-like strictures of oesophagus

**Not transient - Permanent **

DDx
feline oesophagus
- folds1-2 mm thick and run horizontally around the entire circumference of the esophageal lumen.
- The findings are transient, seen following reflux and not during swallowing.
- Associated with GORD
- distal two-thirds of the thoracic esophagus

How well did you know this?
1
Not at all
2
3
4
5
Perfectly
6
Q
A

Caustic

long stricture ± diffuse ulceration of lower and mid oesophagus

Stomach can be pulled into the chest as the oesophagus shortens and strictures

DDX Long stricture
-NG tube in too long or radiation - These are usually smooth

How well did you know this?
1
Not at all
2
3
4
5
Perfectly
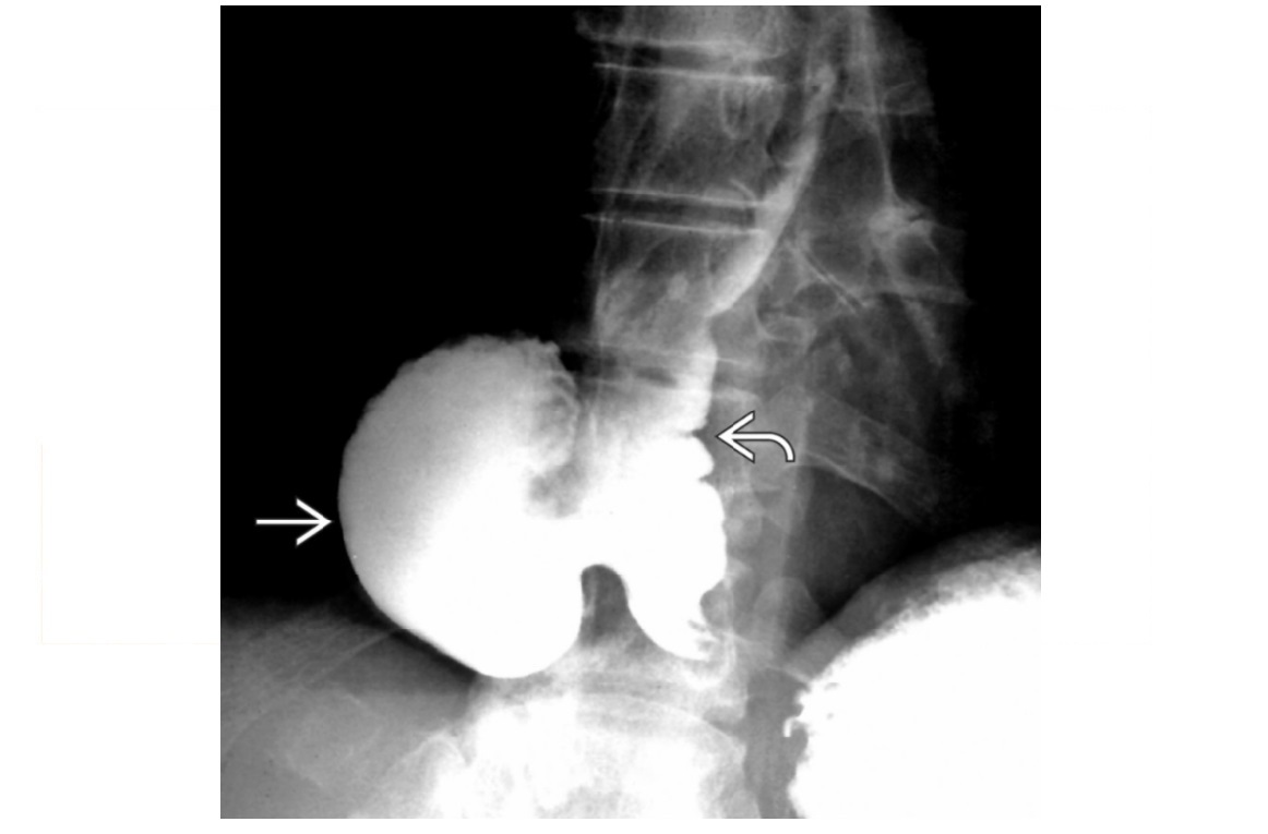
7
Q
A

oesophageal scleroderma

-affects the Lower 2/3 (smooth muscle) with atony and peristalsis that begin caudally and moves cranially.
-Moderate dilatation of esophagus with fusiform stricture at lower end

Nb upper 1/3 to above aortic arch is normal (striated muscle)

NB - Jejunum - dilated but with preserved valvulae conniventes

DDx
Achalsia
- Grossly dilated whole oesophagus with smooth, beak-like tapering at lower end

Reflux Esophagitis (With Stricture)
-Longer tapered distal stricture
-Less luminal dilation
-Distinguished from scleroderma by normal peristalsis

Esophageal Carcinoma
-Abrupt proximal borders of strictured segment (rat tail appearance)
-Mucosal irregularity, shouldering, mass effect

Nb polymositits
- affects skeletal muscle so therefore affects the upper third of oesophagus, retention of barium in the valeeculae, regurg nasal reflux, failure of contrast to progress in upper third without gravity

How well did you know this?
1
Not at all
2
3
4
5
Perfectly
8
Q
A

Oesophageal duplication cyst

Water density cyst in the posterior mediastinum

Commonest site-** distal ileum**, duodenum, oesophagus

DDx
- Bronchogenic cyst - Cartilage, **subcarinal **
- Leiomyoma - solid oesophageal mass
- Oesophageal diverticulum - communicated directly
- Neurenteric cyst - associated vertebral abnormalities

How well did you know this?
1
Not at all
2
3
4
5
Perfectly
9
Q
A

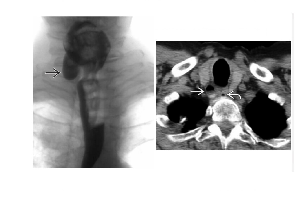
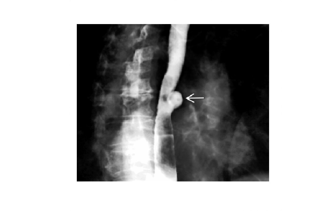
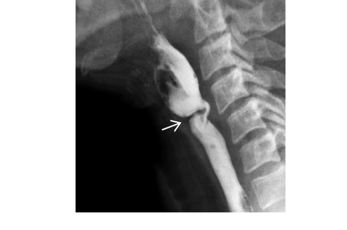
Zenker Diverticulum

Outpouching with rounded contour posteriorly in the neck is above the cricopharyngeus muscle

In hypopharynx!!!

Site of weakness is the Killian dehiscence - between the inferior pharyngeal constrictor muscle and cricopharyngeal muscle

How well did you know this?
1
Not at all
2
3
4
5
Perfectly
10
Q
A

Traction diverticulum

Dysphagia in elderly person. Previous TB.
Barium-filled tented or triangular outpouching in the mid oesophagus

Acquired condition due to subcarinal or perihilar granulomatous lymph node pathology (TB, histo)

External force on oesophageal wall, such as mediastinal inflammation, that adheres and pulls on oesophageal wall

How well did you know this?
1
Not at all
2
3
4
5
Perfectly
11
Q
A

Killian - Jamieson Diverticulum

Small outpouching in the cervical oesophagus. Anterior and lateral direction

How well did you know this?
1
Not at all
2
3
4
5
Perfectly
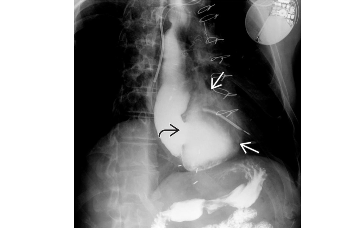
12
Q
A

Epiphrenic diverticulum

Large saccular outpouching just above the diaphragm, right side

Can be mistaken for paraesophageal hernia - usually in on the left

associated with dysmotility disorders

How well did you know this?
1
Not at all
2
3
4
5
Perfectly
13
Q
A

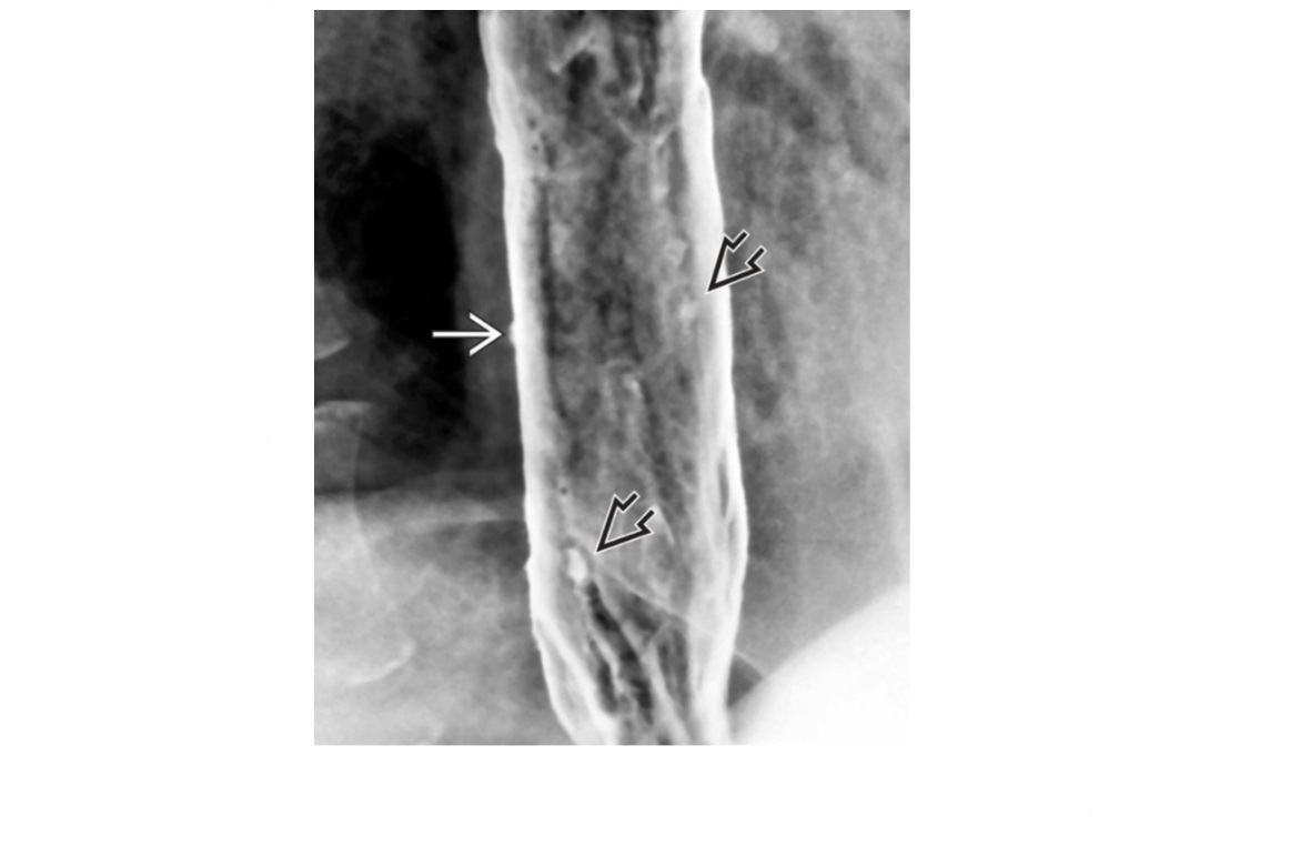
Oesophageal pseudodiverticulosis

Barium - multiple, tiny (1- to 4-mm depth), flask-like outpouchings in the oesophagus

Barium trapped in dilated excretory ducts of submucosal glands

CHRONIC REFLUX* and Candida

How well did you know this?
1
Not at all
2
3
4
5
Perfectly
14
Q
A

Plummer - Vinson syndrome

Oesophageal web, iron deficiency anaemia, dysphagia, spoon shaped nails

Webs are risk factor for hypopharyngeal and oesophageal Cancer

How well did you know this?
1
Not at all
2
3
4
5
Perfectly
15
Q
A

Pulmonary sling

Aberrant left pulmonary artery

Anterior indentation of the oesophagus and posterior indentation of the trachea

How well did you know this?
1
Not at all
2
3
4
5
Perfectly
16
Q
A

GIST

Well-circumscribed.
**Heterogenous, central necrosis is key **

Hypervascular

submucosal mass extending exophytically from GI tract
Stomach (60%) , dudoenum (30%) and oesophagus (10%)

Remember
- assocaited NF-1
- Carneys triad
- Pulmonary condromas, Exrtra-adrenal paragangliomas, GIST

How well did you know this?
1
Not at all
2
3
4
5
Perfectly
17
Q
A

Gastric lymphoma

Diffuse wall thickening
can cross the pylorus
Rarely causes gastric outlet obstruction

can be primary MALT and secondary to systemic lymphoma (NHL)

DDX
Hematogenous spread of metastases to stomach

Malignant melanoma
Bull’s-eye or target lesions, nodular intramural cavitated lesions

Breast cancer: Linitis plastica or leather bottle appearance
Markedly thickened gastric wall with enhancement, folds preserved
Mimics primary scirrhous carcinoma of stomach

How well did you know this?
1
Not at all
2
3
4
5
Perfectly
18
Q
A

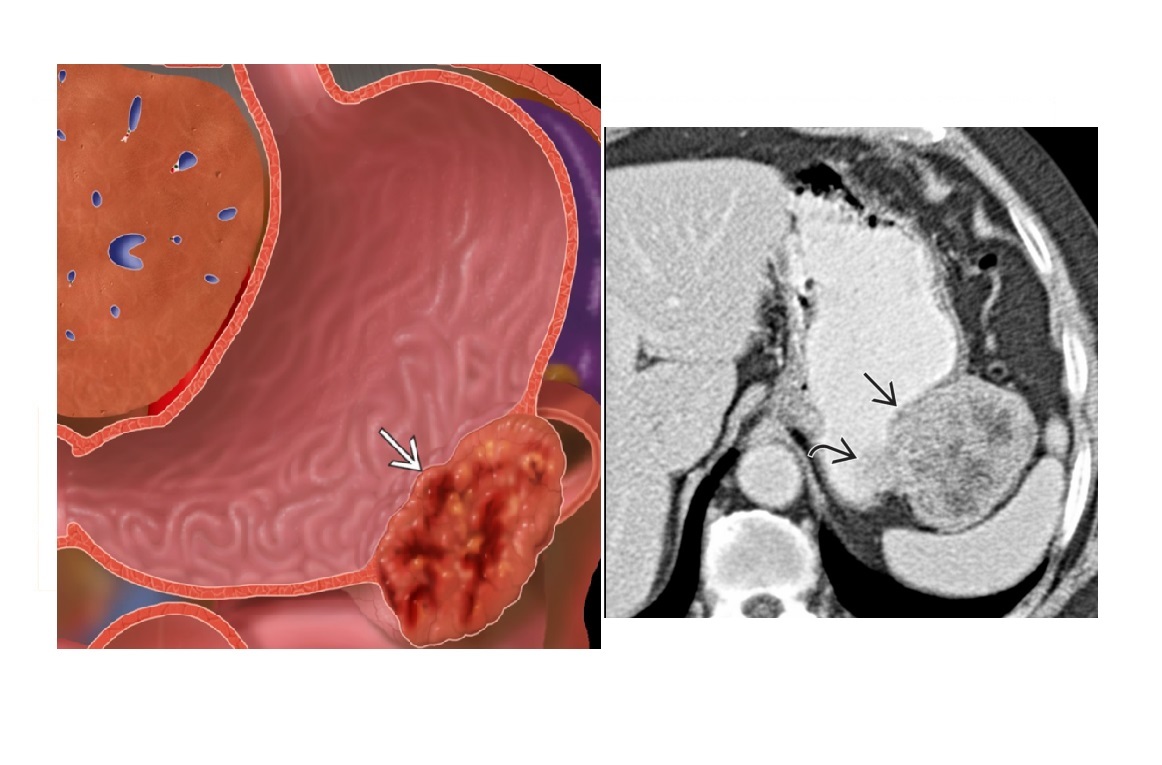
gastric carcinoma

  1. Intraluminal mass with no peristalsis through lesion (at fluoroscopy)
    - Antral mass causing outlet obstruction
  2. Ulcer -
    Width > depth, nodular edges
    obliteration of surrounding areae gastricae
  3. Infiltrative -
    Diffuse infiltration of gastric wall; non-peristaltic, non-distensible = **Linitis plastica (leather bottle) ***
    **Pseudoachalasia: Fundal carcinoma may destroy myenteric plexus
    Oesophageal obstruction, dilated lumen, diminished peristalsis; mistaken for primary achalasia - Pseudo the GE junction doesnt relax

Krukenberg tumor: Metastases to ovaries via peritoneal seeding
Early epigastric nodes

How well did you know this?
1
Not at all
2
3
4
5
Perfectly
19
Q
A

Menetriers disease

SPARES the antrum

Hyperplastic gastropathy/ protein-losing gastropathy

Grossly thickened, lobulated folds in gastric fundus and body with poor barium coating. low albumin

CT - Massive thickening of mucosa and submucosa, giant, mass-like, tortuous folds resemble cerebral convolutions

DDx
Gastritis - thickened lobulated folds favour antrum
ZES - Multiple ulcers, pancreatic tumor (gastrinoma)

How well did you know this?
1
Not at all
2
3
4
5
Perfectly
20
Q

Types of gastric volvulus?

A
  1. Organoaxial
    - Greater curvature flips over the lesser.
    - Older people
    - Associated with paraesophageal hernia
  2. Mesenteroaxial
    - Twisting over the mesentery
    - ischaemia, obstruction
    - kids
How well did you know this?
1
Not at all
2
3
4
5
Perfectly
21
Q
A

Whipples disease

Nodular thickening of jejunal folds

+ LOW density (near fat) mesenteric lymphadenopathy

Pseduo whipples
MAI infection in AIDS patient CD$ <100
Nodules in jejenum
+ Splenomegaly and retroperitoneal lymph nodes

How well did you know this?
1
Not at all
2
3
4
5
Perfectly
22
Q
A

small bowel adenocarcnioma

Proximal small bowel usually, Jejunum . present with SBO!!

**Increased incidence with coeliac disease
**
Focal circumferential bowel wall thickening in the proximal small bowel

DDx
Small bowel lymphoma
- immunosuppression - transplant, AIDS
- usually **do not obstruct, lumen can be aneurysmal and not narrow
**
Carcicnoid
- distal small bowel - terminal ileum and appendix

How well did you know this?
1
Not at all
2
3
4
5
Perfectly
23
Q
A

Carcinoid

spiculated mesenteric mass with calcification/ desmoplastic reaction

Tethering of SB loops

90% arise in terminal ileum/appendix

Hyper-vascular liver mets - Carcinoid syndrome

111I- Octreotide scans (1st - highest sensitivity)
or 123I-MIBG (for 10% dont take up octreotide)
for Dx and staging

Big centres use gallium PET

Assocaited with MEN 1 or MEN 2a

DDX

Sclerosing mesenteritis/ mesenteric pannicultuis
- FAT HALO sign - Mass envelop vessels, but preservation of fat around vessels
- usually jejunal small bowel mesentery

Gastrointestinal Stromal Tumor (GIST)
- Hypervascular tumor, not associated with desmoplastic effect on mesentery

Small Bowel Carcinoma
- More common in duodenum or jejunum than in ileum
- Causes luminal obstruction
- Mass and metastases are hypovascular

How well did you know this?
1
Not at all
2
3
4
5
Perfectly
24
Q
A

Desmoid tumour

Small bowel mesentery or abdominal wall mass arising at site of scarring from prior surgery

Associated with Gardner syndrome or familial adenomatous polyposis (FAP), usually intraabdominal

Soft tissue mass with well-defined or ill-defined margins

variable, heterogeneous enhancement on CECT

can infiltrate into bowel wall/adjacent structures, can cause SBO

How well did you know this?
1
Not at all
2
3
4
5
Perfectly
25
Key difference between direct and indirect hernia?
Direct - Medial to inferior epigastric artery - Defect in Hesselbacks triangle Indirect - most common - lateral to the inferior epigastric artery - Covered by internal spermatic fascia - failure of Processus vaginalis to close
26
Features of femoral hernia?
Old females Medial to femoral vein Posterior to the inguinal ligament Usually on the right
27
DDx for stenois of terminal ileum and features?
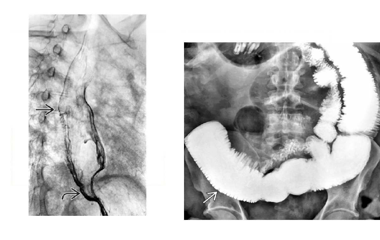
Crohn disease Yersina gram-negative bacterium, radiographic similar to Crohn's. resolves quickly, without stricture TB -Asymmetric wall thickening of ileocecal valve and - Cecum and terminal ileum are usually contracted (**cone-shaped cecum)** - nb Crohn's not typical for caecum -Look for signs of peritonitis/ ascites & caseated nodes - ** large linear Ulcers with elevated margins ** - Fleischner/umbrella - narrowed TI and open ileocecal valve Carcinoid Mesenteric mass (± calcification)/ desmoplastic infiltration of SB mesentery
28
Neutropenic Colitis (Typhlitis) Life-threatening, necrotizing enterocolitis occurring primarily in severely neutropenic patients Massive mural thickening of cecal ± ascending colon wa Mucosal hyperenhancement and submucosal edema (marked) Caecum
29
Pyogenic -Singular - Klebsiella -Multiple - E.coli **-'Double targe sign'** -Confluent complex cystic lesions Candida - Bulls eye Amoebic - 'extra hepatic extension' - if left lobe needs emergently drained as can rupture into the pericardium -transient hepatic attenuation difference (THAD) due to thrombophlebitis of portal vein and hyperemia of abscess capsule - enhancing capsule and hypodense halo of edema Hydatid - 'water lily, sandstorm' - Large, well-defined, cystic liver mass with numerous peripheral daughter cysts - Echinococcus Schistosomiasis is - 'Tortoise shell' - Septations hyperdense
30
Hepatic Cavernous Hemangioma US - Hyperechoic with acoustic enhancement CT - Hypodense (isodense to blood) MRI - T1 low and T2 High (++ light bulb) Enhancement - Peripheral nodular arterial enhancement (supplied by hepatic artery) slow, progressive, centripetal enhancement isodense to vessels > 10cm = Giant incomplete centripetal filling of lesion (scar does not enhance) **Haemangioma vs mets** - delayed imaging and T2 haemangioma is brighter than the spleen - So bright can cause T2 shine through on DWI
31
FNH Female predominant . 2nd most common benign lesion after haemangioma CT/ MRI - Homogenously arterial enhancement except for central scar. - blends in imperceptibly on the portal venous-phase - delayed enhancement of central scar MRI -'Stealth lesion' - Isointense on t1/t2 to liver parenchyma **Nb central scar can by hyperintense on T2 - retains gadoxetate ** ***Sulfur colloid hot**** Nb Small haemangioma can mimic and have rapid filling - peripheral enhanced areas though stay isodense to blood vessels
32
Hepatic adenoma Female (OCP) or Man (steroids) **Solitary Multiple = Von Gierke Can't reliably differentiate from HCC on imaging. Heterogeneous Hyper vascular mass +/- foci of fat or haemorrhage Nb Signal drop out as fat Propensity to bleed - RUQ pain is often the presentation **Doesnt retain Gad like FNH as no functioning bile ductules**
33
HCC Look for Liver cirrhosis AFP elevated (90%) Often invade the hepatic and portal vein Arterial hyperenhancement and washout in PV or delayed phases on CT or MR Heterogenous MR/CT depending on the degree of fatty change, fibrosis, necrosis
34
fibrolamellar HCC Young and non-cirrhotic Normal AFP May Ca2+ **'Central scar' ** = Doent enhance scar is T1/T2 dark **Gallium avid** (FNH is colloid sulfur) Heterogeneously enhancing, large, lobulated mass with hypointense central scar and radial septa
35
Hepatic angiomyolipoma Well-circumscribed, mostly (sometimes variable amount) fatty mass US hyperechoic CT gross fat MRI T1 and T2 hyperintense associated with tuberous sclerosis
36
Cholangiocarcinoma Elderly, male, Painless jaundice 'Capsular retraction' Delayed enhancement Peripheral biliary dilatation Encasement of the portal or hepatic veins but NO tumour thrombus Klatskin tumour - is cholangiocarcinoma at the bifurcation of the right and left hepatic ducts.
37
biliary cystadenoma of liver Solitary large, well-defined, unilocular or multiloculated cystic Mural calcifcation Enhancement of septa/capsule CANT differentiate from biliary cystadenocarcinoma
38
Primary versus secondary haemochromatosis **Low signal on T1 and T2** loss of signal on the in phase Increased density on CT Primary - Genetic, increased absoprtion of iron - Liver and pancreas invloved - Spleen is SPARED Secondary - Acquired, Chronic illness, multiple transfusions - Liver and SPLEEN - pancreas is spared MSK large hook osteophytes involving 2nd and 3rd MCP joints
39
Differences between HIV cholangiopathy and PSC?
The intrahepatic duct appearances are difficult to tell apart PSC - Extrahepatic stricture's rarely >5mm - Has saccular deformities of the ducts HIV - Focal strictures of the extrahepatic duct > 2cm and associated with **papillary stenosis**
40
which type of choledochal cyst is the most common and which type is caroli's disease?
Type 1 - Focal dilatation of the CBD Type 5 is Caroli's - Intrahepatic only Type 2 and 3 are very rare - 2 = diverticulum of the CBD - 3 = Choledochocele (into duodenum) Type 4 is both intra and extrahepatic - associated with medullary sponge kidney
41
Carolis disease Intrahepatic only Carolis disease - 'Central dot sign' - portal vein branch within dilated intrahepatic duct - associated with medullary sponge kidney, - ADPRD
42
Adenomymatosis - Crystals are intraluminal (within rokitansky-aschoff sinuses) Cholesteroloisis - Cholesterol is within the substance of the LAMINIA PROPRIA and associated with polyps GB wall thickening intramural cystic spaces containing echogenic foci and comet-tail artifacts Can be focal (typicallf fundal) or segmental or diffuse Focal most common @ fundus. Cant be differentiated from GB cancer.
43
Pancreatic Lipomatous Pseudohypertrophy DDX CF shwachman-diamond syndrome 2nd most common cause of pancreatic insufficiency in children Short stature (metaphyseal chondroplasia)
44
Serous cystadenoma Grandma (older) Heterogenous mixed density Microcystic (honeycomb apperance) Predilection Pancreatic head Doesnt communicate with the pancreatic duct (IPMNs do) 20% -** classic central scar +/- Ca2+ ** **Can be younger patients with VHL**
45
Mucinous cystic neoplasm Mother (50s) Pre-malignant Predilection Body and tail No communication with the pancreatic duct (IPMN) Unilocular + thick spetations MacroCyctic components >2cm can have elavated CEA levels (transform to mucinous cystadenocarcinoma) **Peripheral calcification**
46
side branch and main branch IPMN Side branch - small cystic mass, typically head or uncinate process - < 3cm, benign - duct can be enlarged if large amounts of mucin are produced Main branch - **Diffuse dilatation of the main duct ** excessive mucin production and accumulation - atrophy of the gland and Ca2+ (DDx chronic pancreatitis) - higher malignancy risk - resection - dilatation of the papilla, with bulging of the papilla into the duodenal lumen, secreting thick mucin = seen on ERCP
47
Solid Pseudopapillary Neoplasm Womens between 10-20 Usually, Asian or black Large at presentation - solid and cystic, heterogenous predilection for the tail 'Thick capsule'
48
Polyposis syndromes?
FAP - Hundreds or thousands of polyps may carpet colon. - Hepatoblastomas - desmoid tumours Gardner - Multiple osteomas including - skull, mandible - poor dentation -fibromatoses - desmoid tumours of mesentery and anterior abdominal wall Turcot -** medulloblastomas + GBM** - Thus Hx diarrhoea and seizures Cowdens - aka multiple hamartoma syndrome - **Fibrocystic disease of the breast - Breast cancer ** (occurs in up to 50%) - dysplastic cerebellar gangliocytoma Peutz-jeghers - multiple hamartomatous polyps (predominantly the small intestine) - mucocutaneous melanin pigmentation involving the mouth, fingers and toes - increased risk of many cancers (upper GI, ovary, thyorid, testes, pancreas and breast) Hereditary non-polyposis colorectal cancer (HNPCC) / Lynch - 40s/50s with colorectal cancer - 5 times more common than (FAP - It is the most common hereditary cause of endometrial cancer Also Cronklite-canada syndrome - hamartous polpys in the stomach and colon, - alopecia or nail atrophy
49
Hypervascular solid pancreatic tumors?
Islet cell/Neuroendocrine associated with MEN -1 and VH L Functional - insulinoma - most common (75%), solid, small, benign - Gastrionoma - associated with MEN. malignant ~ 50%. Causes increased gastric acid/ulcer Zollinger-Ellison Non-functional - usually malignant (80%) - large and metastatic at time of diagnosis - Ca2+
50
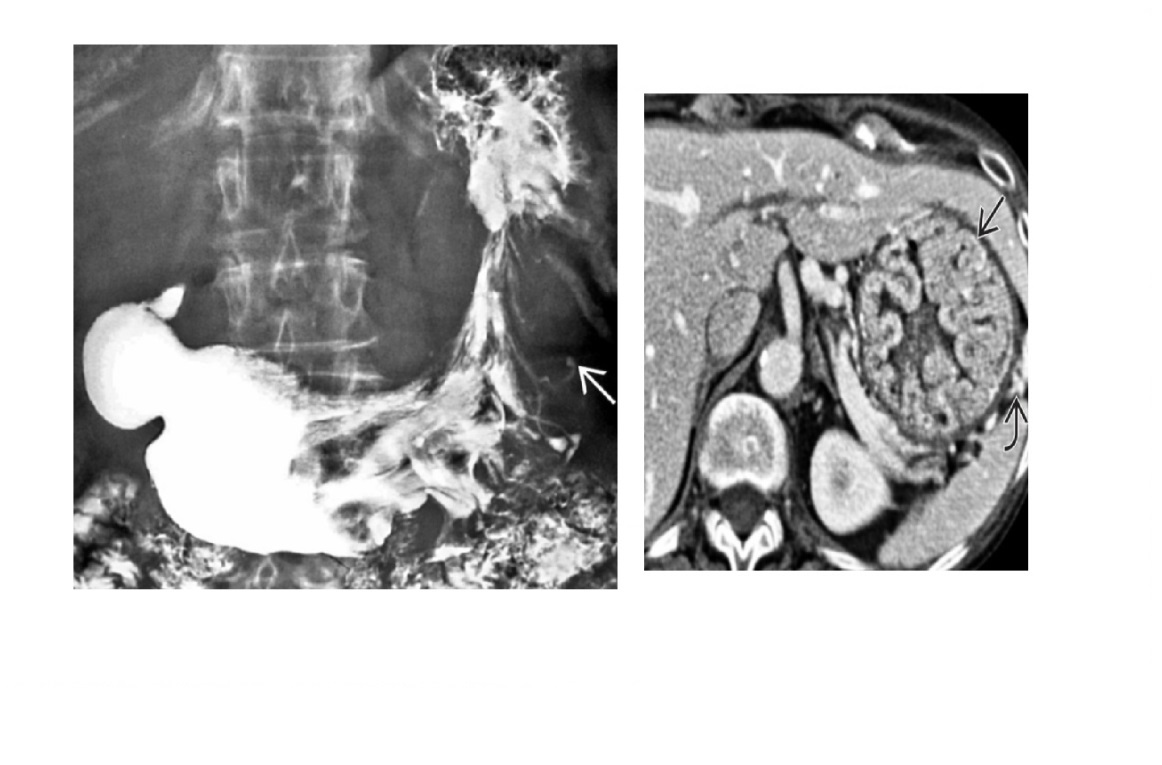
Coelaic disease CT enterography: Evidence of reversed fold pattern, multifocal intussusception Fold reverseal (jejunum like the ileum, **ileum like the jejunum**. Decreased number of jejunal folds and increased ileal folds -Moulage sign - smooth tubular appearance of the jejunum **-Dilatation without fold thickness** **Mesenteric lymph nodes (low density) - Fat-fluid levels** Splenic atrophy Iron def anaemia associated with idiopathic pulmonary hemosiderosis Increased risk if bowel wall lymphoma DDX **Lymphoma - Thickened ,nodular folds**
51
Gallbaldder polyp vs GB malignancy
see image
52
appearances of Regenerative and dysplastic nodules?
Regenerative nodules (iron) - Typically, isodense on NECT unless have iron = **siderotic regenerative nodules with are HYPERDENSE ** - Typically, low on T1 and T2 - Do not enhance Dysplastic (fat, glycoproteins) - show early arterial uptake but the **contrast DOESNT wash out on delayed phase (unlike HCC)** - **T1 bright**, T2 isointense/low Differentiate from HCC - increased T2 signal - restricted diffusion - Arterial enhancement and WASHOUT on multiphase postcontrast imaging
53
Groove pancreatitis Form of chronic pancreatitis affecting pancreaticoduodenal groove Curvilinear soft tissue between pancreas and duodenum often with cystic degeneration within groove or medial wall of duodenum
54
Autoimmune pancreatitis Sausage-like enlargement of pancreas (with smooth contour and loss of pancreatic lobulations). Hypoattenuating halo or capsule around pancreas No pancreatic duct dilatation Lack of calcifications and fluid collections Can be focal or diffuse DDX Focal AIP can difficut to differentiate from pancreatic carcinoma. MPD dilatation and atrophy in cancer Chronic pancreatitis Ductal dilatation and Ca2+ Extrapancreatic imaging findings IgG4 cholangitis in 90%: May be indistinguishable from primary sclerosing cholangitis Stricture of common bile duct (CBD) ± intrahepatic ducts with hyperenhancement of duct wall Renal - Round or wedge-shaped low-attenuation parenchymal lesions. Diffuse renal enlargement Perirenal soft tissue rind (mimicking lymphoma) Retroperitoneal fibrosis, IgG4-related lung disease, and enlarged salivary glands or salivary gland mass
55
Cause of hypervascular liver Mets?
melanoma RCC Choriocarcinoma /Carcinoid Thyroid (MRCT) Neuroendcorine tumours
56
Causes of splenic cysts?
Post -traumatic pseudocyst (80%) ** - no epithelial lining thus false cyst - mural calcification True cysts (20%) - majority are parasitic/hydatid - nonparasitic = are congenital epidermoid cyst DDX - Lymphoma Homogeneously enlarged spleen, multiple tiny hypodense nodules, or discrete hypodense mass(es) - Hemangiomas may be hypervascular on arterial-phase CECT - lymphangiomas may be multiloculated with septations
57
Pseudomyxoma peritonei Low-attenuation masses (usually < 20 HU) scattered throughout peritoneum Thick walls, septa and calcificaiton 'scalloped appearance'/displace of liver and spleen **Mucocele** Dominant cystic or solid mass often present in right lower quadrant/tip caecum (in expected location of appendix) . +/- curvillenar calcifcation Mucin-producing neoplasm of appendix causes appendiceal distention and subsequent perforation with diffuse intraperitoneal spread of mucinous implants DDx Peritoneal carcinomatous - discrete tumour Implants are solid -Rarely may cause "scalloping" TB peritonitis - Ascites and omental/mesenteric fat stranding with symmetric, smooth enhancement and thickening of peritoneal lining -can be loculated - look for including low-attenuation mesenteric nodes and thickening of cecum and terminal ileum
58
HHT **Tortuous and prominent hepatic arterial branches ** Dilated hepatic veins and early filling Arterial phase, mosaic attenuation of the liver with multiple enhancing foci aka Osler-Weber-Rendu syndrome Hereditary multiorgan disorder → fibrovascular dysplasia with development of telangiectasias and arteriovenous malformations (AVMs)
59
Sigmoid Vovulus Inverted U shape Ahaustra Coffee bean - cleft is double thickenss of opposed bowel loops Directed toward right upper quadrant (RUQ) or left upper quadrant (LUQ); Look for - Gas in proximal small bowel and colon Abscence of air in rectum Tend to be older patients Mx with rectal decompression
60
Caecal voluvulus Dilated, air-filled left upper quadrant or abdominal midline Haustra Single, long air-fluid level within cecum (upright or decubitus film) Moderately distended small bowel, little gas in distal colon Markedly dilated cecum that appears upside down and backward with ileocecal valve directed laterally
61
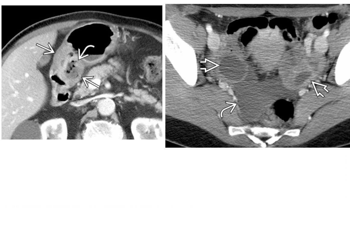
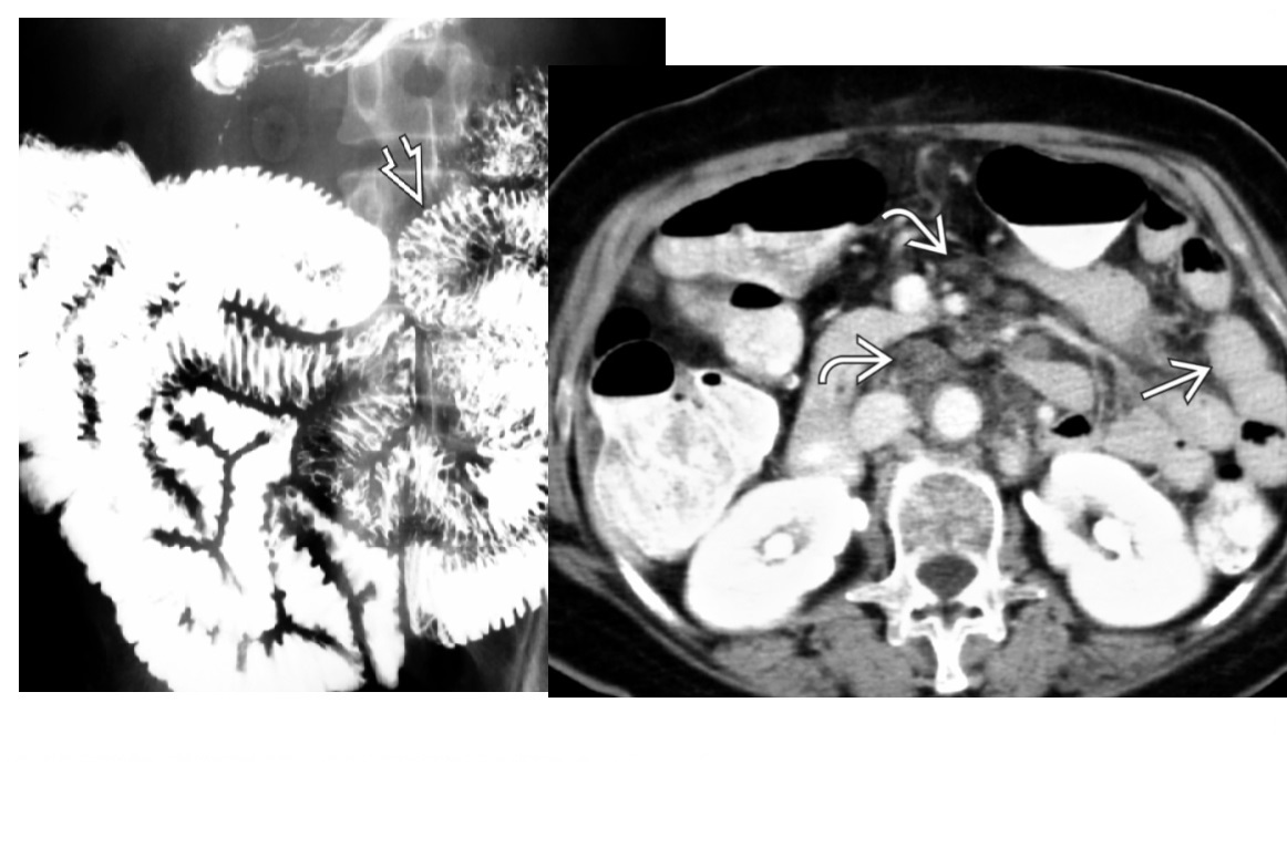
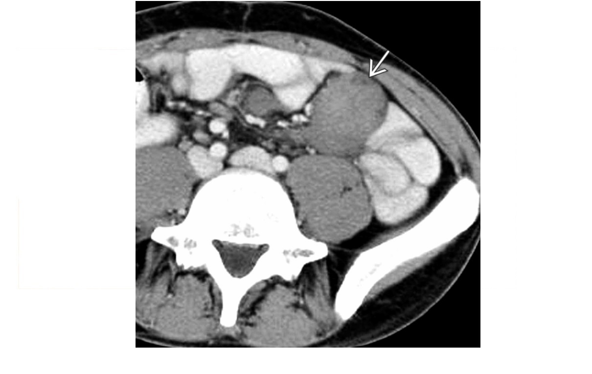
CT enterography features of active Crohn’s disease
**mucosal hyperenhancement **- most sensitive indicator but seen in other bowel diseases most specific sign for chrons - **Prominence of the vasa recta adjacent to the inflamed loop of bowel (comb sign) along with increased mesenteric fat attenuation** wall thickening (thickness >3 mm) CT enterography to depict extra-enteric disease/complications including -obstruction -sinus tract -fistula and abscess formation long-standing/inactive features include -submucosal fat deposition -pseudosacculation -surrounding fibro-fatty proliferation -fibrotic strictures MR enterography and enteroclysis - MR enteroclysis was superior to MR enterography in demonstrating mucosal abnormalities. -MR enteroclysis better bowel distension but not necessarily better diagnostics -MR enterography is more acceptable to the patient than MR enteroclysis