Colon Flashcards

(55 cards)

1
Q

60F rectal bleeding began 1 year ago. Dx initially w/ hemorrhoids 3mo prior w/ PCP gave her hydrocortisone suppositories,no improvement. DRE with picture, hard, tender, 2-cm mass at the posterior anal verge. What is the next step?

A. Start the patient on imiquimod 5% for treatment of peri-anal condylomatosis.

B. Refer the patient to a colorectal surgeon for an abdominoperineal resection.

C. Check carcinoembryonic antigen (CEA) and refer to an oncologist for treatment of rectal cancer.

D. Refer the patient to a colorectal surgeon for evaluation and biopsy.

A
  • squamous cell carcinoma of the anus (SCCA)
    • definitive diagnosis>surgeon for biopsy.
  • lesion seen is typical for SCCA not condylomata - Imiquimod for the treatment of external genital and anal condylomata
  • Answer B is incorrect because abdominoperineal resection is not the first-line treatment
How well did you know this?
1
Not at all
2
3
4
5
Perfectly
2
Q

53 M w/ FAP- EGD Six white lesions ranging in sizes from 1-3 mm in duodenum. Papilla normal. Tubular adenomas on biopsy. What is the next step?

A. Repeat EGD in 3-6 months.

B. Repeat EGD in 1 year.

C. Repeat EGD in 2-3 years.

D. Refer to a surgeon.

A
  • EGD surveillance FAP for duodenal adenomas/inc cancer R
    • polyp size, number, histology and degree of dysplasia. This patient has SS II duodenal polyposis. The 10-year cumulative risk of duodenal cancer with this stage is 2.3%.
  • Guidelines suggest repeat EGD and assessment of the papilla in 2-3 years for this SS.
  • Individuals with SS IV polyposis should be referred to an expert center for EGD every 3-6 months or to a surgeon for consideration of prophylactic duodenectomy
How well did you know this?
1
Not at all
2
3
4
5
Perfectly
3
Q

42M excruciating perianal pain.3:00 AM and woke him from sleep. Large “purple bulge” emanating from his anal verge. next best step in the management?

A. Surgical excision of the blood clot

B. Intravenous hydromorphone

C. Phenylephrine gel

D. Anal sphincterotomy

E. Topical lidocaine

A
  • This is an image of a thrombosed external hemorrhoid. These usually present with acute onset of severe pain due to the formation of a clot in the vascular tissue.
  • If a patient presents within 72-96 hours of the pain onset, definitive treatment and pain resolution will occur after surgical excision of the clot with removal of the overlying skin. The latter portion of this intervention prevents recurrence.
  • IV hydromorphone- temp, not definitive solution.
  • Phenylephrine gel is more effective in the treatment of acute symptoms of internal hemorrhoids and also will not provide definitive results.
  • Anal sphincterotomy is a treatment for chronic anal fissures, not a thrombosed external hemorrhoid.
  • Topical lidocaine will only provide short-term temporary relief.
How well did you know this?
1
Not at all
2
3
4
5
Perfectly
4
Q

59F w/ AML achieved clinical remission after chemotherapy and allogenic stem cell transplant 6 months ago. PMH HTN/hypothyroidism. ED w/ explosive nonbloody diarrhea 4-5 times daily for over 1 week. She also reports lower abdominal bloating but no nausea, vomiting, fevers, or chills. She took bismuth subsalicylate which turned her stools dark. She has no recent history of travel, eating outside, or sick contact. She was treated with a 7-day course of ciprofloxacin for urinary tract infection about 1 month ago by her primary care physician. On arrival, she was febrile to 103°F, heart rate 102 beats per minute, blood pressure 120/65, respiratory rate 16/minute, and oxygen saturation of 96% on room air.

Aspergillus and beta-glucan levels, CMV PCR, and EBV PCR were sent to the laboratory. A chest radiograph was unremarkable. She was started on empiric antibiotics-cefepime, metronidazole, and vancomycin. The gastroenterology team was consulted. Colonoscopy showed severe colitis involving the left side of the colon as shown in the figure. Histopathology showed focal rare apoptotic crypt epithelial cells along with active colitis with ulceration. What is the most likely diagnosis?

A. CMV colitis

B. Clostridioides difficile colitis

C. Graft-versus-host disease (GVHD)

D. Ischemic colitis

A
  • GVHD is a complication of allogeneic hemopoietic stem cell transplant. It affects multiple systems, including skin, liver, and gastrointestinal tract.
  • GVHD is categorized as acute or chronic based on onset using 100 days cut off from transplant.
    • immune reaction of retained donor’s leukocytes in the transplanted tissue against the recipient’s tissue(s)
    • Treatment of GVHD involves using steroids to suppress host T cell-mediated immune response.
  • CMV colitis immunosuppressed patients also like this one but w/ characteristic intranuclear inclusions with “owl’s eye”
How well did you know this?
1
Not at all
2
3
4
5
Perfectly
5
Q

32M hx depression w/ rectal pain & BRBPR. Recent dx IBS, with longstanding, mild symptoms characterized by intermittent, urgent loose stools associated with abdominal pain, especially under periods of stress. Dx external hemorrhoids by PCP 1y ago. Now rectal bleeding and worsening rectal discomfort. His social history is notable for receptive anal intercourse. He received the HPV vaccine at the age of 26.Exam posterior midline lesion, extremely tender to the touch. next?

A. Referral to colorectal surgery for possible surgical treatment

B. Rectal biopsies and urine collection for nucleic acid amplification test (NAAT)

C. Colonoscopy for evaluation of possible inflammatory bowel disease

D. Frequent warm sitz baths, stool softeners, and a high-fiber diet

A
  • Anal fissure- 90% posterior midline, as this area is subjected to the highest forces during defecation, has weaker supporting musculature, and likely poor blood flow relative to the rest of the sphincter complex to promote healing.
  • These atypical fissures can occur in patients with anorectal carcinoma, Crohn’s disease, immunodeficiency syndromes such as AIDS, tuberculosis, and a number of sexually transmitted diseases.
  • Although the history of receptive anal intercourse should raise suspicion for anorectal carcinoma, the patient received the HPV vaccine (decreasing his risk of anal cancer via HPV), and the fissure has a typical appearance.
  • Similarly, NAAT testing for chlamydia, a cause of the STI lymphogranuloma venereum (LGV), a variant of Chlamydia trachomatis that can manifest with anorectal symptoms in men who have sex with men, is less likely with a typical fissure morphology.
  • In a typical fissure, the likelihood of Crohn’s disease is low, so colonoscopy would be unnecessary at this stage.
  • The presence of visible muscle fibers in this fissure suggests a degree of chronicity that may not respond to conservative treatments; nevertheless, a trial of warm sitz baths, stool softeners, and a high-fiber diet is warranted before moving forward with surgical referral for possible sphincterotomy.
How well did you know this?
1
Not at all
2
3
4
5
Perfectly
6
Q

A 55-year-old female smoker with no significant past medical history presents with left lower quadrant abdominal pain over the last 3 months. She has had recent constipation with intermittent rectal bleeding and notes that her pain is worse with bowel movements. She has never had a colonoscopy. On exam, she is afebrile and has mild left and right lower quadrant tenderness to palpation with mild guarding and no rebound. During colonoscopy, her Boston bowel prep score is 3 and visualization is difficult. She has distal sigmoid edema and narrowing which cannot be traversed despite multiple attempts. A biopsy of the sigmoid colon is shown in the figure. The scope is withdrawn and in recovery, the patient has worsening abdominal pain. What should you do next?

A. Send her home with a clear liquid diet and tell her the pain will get better after she passes gas.

B. Contact a surgeon because this patient has a malignant stricture and needs surgery right away.

C. Get an abdominal CT scan to rule out perforation related to diverticulitis.

D. Perform an upper endoscopy to evaluate the pain.

E. Give the patient a laxative and perform another colonoscopy in a few weeks.

A

This patient has classic findings of diverticulitis. Up to 15% of patients with diverticulosis develop diverticulitis. Tobacco use is an independent risk factor of diverticulitis. Diverticulitis is a micro or macro perforation of a diverticulum. A subset of patients develop smoldering diverticulitis and can have subacute prolonged symptoms of abdominal pain, rectal bleeding, and change in bowel habits that can last over 6 months. Abdominal imaging, preferably computed tomography (CT) scan, should be obtained to establish the diagnosis of acute diverticulitis. The patient should not be sent home without a confirmed diagnosis and the extent of diverticulitis needs to be established before treatment is given. Colonoscopy should be performed after complete resolution of diverticulitis, typically after 6-8 weeks if the patient has not had a colonoscopy in the last year to rule out a malignant process. Colonoscopy should not be performed prior to recovery from acute or subacute diverticulitis because of higher risk of perforation during this inflammatory state.

The pathology slides demonstrated acutely inflamed colonic mucosa in an area of diverticulitis. There are glands with acute (neutrophils) and chronic (lymphocytes and plasma cells) inflammation inside and around the glands. The pathology slide demonstrates microabscess with numerous eosinophils >15/HPF.

How well did you know this?
1
Not at all
2
3
4
5
Perfectly
7
Q

64F hx class 3 obesity (body mass index ≥40 kg/m2) and irritable bowel syndrome presents for treatment of her chronic posterior anal fissure which has been present for the past year. She has been treated with bulking agents, soluble fiber, sitz baths, 0.3% topical nifedipine compounded with 2% lidocaine, 0.2% topical nitroglycerin, and oral nifedipine 20 mg daily without relief. She is afraid to have a bowel movement and, in many circumstances, voluntarily retains stool because it is just too painful to defecate. She admits that this has ruined her quality of life. She is tearful and begging for an alternative form of relief. She previously experienced 3 traumatic vaginal births. Figure. Which of the following would be the next most appropriate course of therapy?

A. Oral diltiazem - already tried Nifedipine

B. Lateral internal sphincterotomy (LIS)

C. Anal fissurectomy

D. Botulinum toxin A injection

E. Anal sphincteroplasty - for FI, not fissures

A
  • chronic posterior anal fissure
    • multiple local/oral therapies ineffective
    • multiple children-disruption/tearing of the anal sphincters
  • Furthermore, she has other risk factors for developing fecal incontinence including irritable bowel syndrome and class 3 obesity.
  • sphincteroplasty NOT for anal fissures. Later-stage tx for FI
  • Lateral internal sphincterotomy and anal fissurectomy are primary surgical interventions recommended for the treatment of nonhealing chronic anal fissures but are usually deferred in individuals with higher risks of fecal incontinence until a trial of botulinum toxin has been completed.
  • botulinum toxin injection
    • significantly lower rates of fecal incontinence than the lateral internal sphincterotomy
How well did you know this?
1
Not at all
2
3
4
5
Perfectly
8
Q

A 40-year-old man presents to discuss treatment for his hemorrhoids. He has been consuming 25 grams of soluble fiber a day and soaking in sitz baths 3 times a day. He previously used topical phenylephrine gel and witch hazel but neither has afforded any relief. During the past month, he has been using hydrocortisone 2.5% suppositories but continues to experience daily pruritis ani and bleeding. On exam, you have him bear down and the changes seen in the figure are witnessed at the anal verge. Despite waiting, there is no evidence of spontaneous regression, but these can be reduced manually. Based on these findings, what is the best next course of action?

A. Stapled hemorrhoidopexy

B. Hemorrhoidectomy

C. Rubber band ligation

D. Infrared coagulation

E. Sclerotherapy

A
  • The history and physical exam are consistent with grade 3 hemorrhoids (prolapse but must be manually reduced). This patient has tried using fiber and other local treatments including steroids. In this situation, rubber band ligation, infrared coagulation, and sclerotherapy can all be considered, but rubber band ligation has been associated with decreased need for repeat therapy and fewer side effects. Stapled hemorrhoidopexy has fallen out of favor due to increased risks of side effects and recurrence rates. Hemorrhoidectomies are usually reserved for those refractory to less invasive maneuvers or grade 4 hemorrhoids.
How well did you know this?
1
Not at all
2
3
4
5
Perfectly
9
Q

22F heathy but w/ constipation dating back at least to her teens. She describes infrequent, hard bowel movements occurring approximately 4 times per week with straining and a sense of anorectal blockage. Brown stool in the rectal vault. Tried psyllium and polyethylene glycol without benefit. Because she has failed conservative measures, you perform an anorectal manometry. What course of action would be recommended next?

A. Treat with a secretagogue or prokinetic agent

B. Referral for pelvic floor biofeedback therapy

C. Colonoscopy

D. Studies to assess colonic transit

A
  • In a patient who has failed conservative treatment with over-the-counter laxatives and fiber supplementation
    • DO arm W/ bet
  • Although the balloon expulsion results are not given the pictured tracing shows an adequate increase in rectal propulsive pressure with a paradoxical contraction of the muscles of the anal canal suggestive of dyssynergic defecation.
    • prompt referral for biofeedback therapy.
  • treatment with a secretagogue or prokinetic only after anorectal manometry has been performed and found to be normal.
  • If anorectal manometry is normal and a trial of a secretagogue or prokinetic is ineffective, colonic transit testing may be used to confirm slow-transit constipation, but keep in mind that many patients with disordered defecation will have evidence of delayed colonic transit.
  • Colonoscopy rarely indicated in constipation
    • received age-appropriate cancer screening and
    • not reporting alarm symptoms
How well did you know this?
1
Not at all
2
3
4
5
Perfectly
10
Q

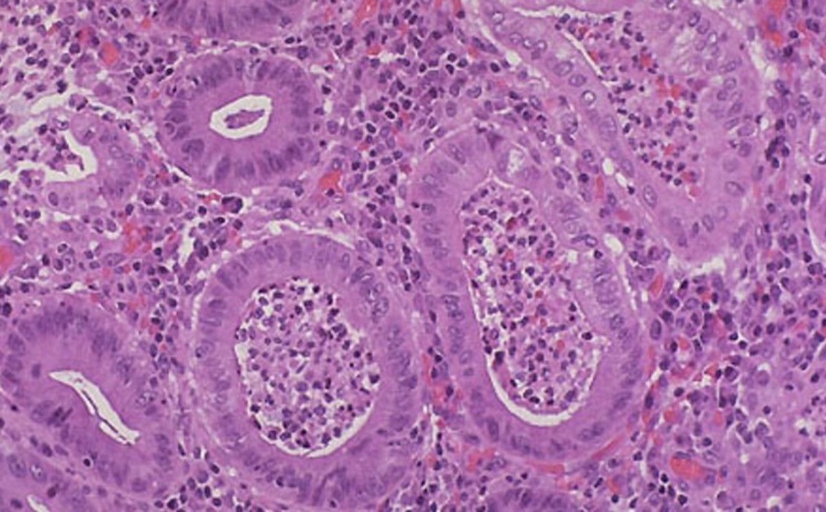
49m colonoscopy for chronic abdominal pain and chronic diarrhea. intermittent watery diarrhea symptoms associated with severe right lower abdominal cramping pain recurring on and off for the past year. Worsening. No blood. PMH chronic LBP takes ibuprofen on an as-needed basis. While he has not traveled much during the past year due to the COVID-19 pandemic, he previously traveled extensively for work, particularly to Central and South America. CBC/CMP wnl. CDI stool NEG. Several scattered mucosal ulcerations were seen on colonoscopy, particularly in the right colon [figures A and B]. Biopsies [figure C]. best next step?

A. Order CT scan of chest/abdomen/pelvis and referral to colorectal surgery.

B. Order CT angiogram of the abdomen and pelvis.

C. Start the patient on metronidazole followed by paromomycin.

D. Start the patient on infliximab with azathioprine.

E. Start the patient on oral vancomycin.

A
  • The biopsies of the colon ulcers demonstrated findings on histology consistent with Entamoeba histolytica
    • Tx of invasive colitis secondary to Entamoeba histolytica includes a 7-10 day course of metronidazole or tinidazole followed by a luminal agent such as aromomycin, iodoquinol, or diloxanide furoate.
  • Biopsies not adenoCA - no CT/surg
  • While the location of involvement is consistent with the pattern of injury seen in isolated right colonic ischemia, the histology is not consistent with ischemic colitis- no CTA
  • Colon/histo - not IBD or CDI
How well did you know this?
1
Not at all
2
3
4
5
Perfectly
11
Q

25M intermittent blood mixed in with his stools. cscope- Moderate sigmoid diverticulosis. The 1-2-cm polyp with overlying erythema in the sigmoid colon. Histopathology from the polyp shows fibromuscular hyperplasia of the lamina propria, extension of the muscularis mucosa into the lamina propria and crypt elongation. There is no dysplasia. Staining is negative for smooth muscle actin, desmin, and c-KIT (CD 117).

A. Inflammatory pseudopolyp

B. Inflammatory polyp, prolapse type

C. Gastrointestinal stromal tumor (GIST)

D. Leiomyoma

A
  • Prolapse type inflammatory polyps
    • diverticular disease
    • can display visible inflammation and ulceration
    • from traction, distorsion, and twisting of mucosa from peristalsis-induced trauma
  • Histopathology
    • fibromuscular hyperplasia of the lamina propria, extension of muscularis mucosa into the lamina propria and crypt elongation
  • Inflammatory pseudopolyps - irregularly shaped islands of intact colonic mucosa that occur in response to diffuse inflammation like IBD
  • GIST- spindle cell tumors and are c-KIT (CD117) positive
  • Leiomyomas typically found in the esophagus
    • neg c-KIT
    • positive for smooth muscle actin and desmin
How well did you know this?
1
Not at all
2
3
4
5
Perfectly
12
Q

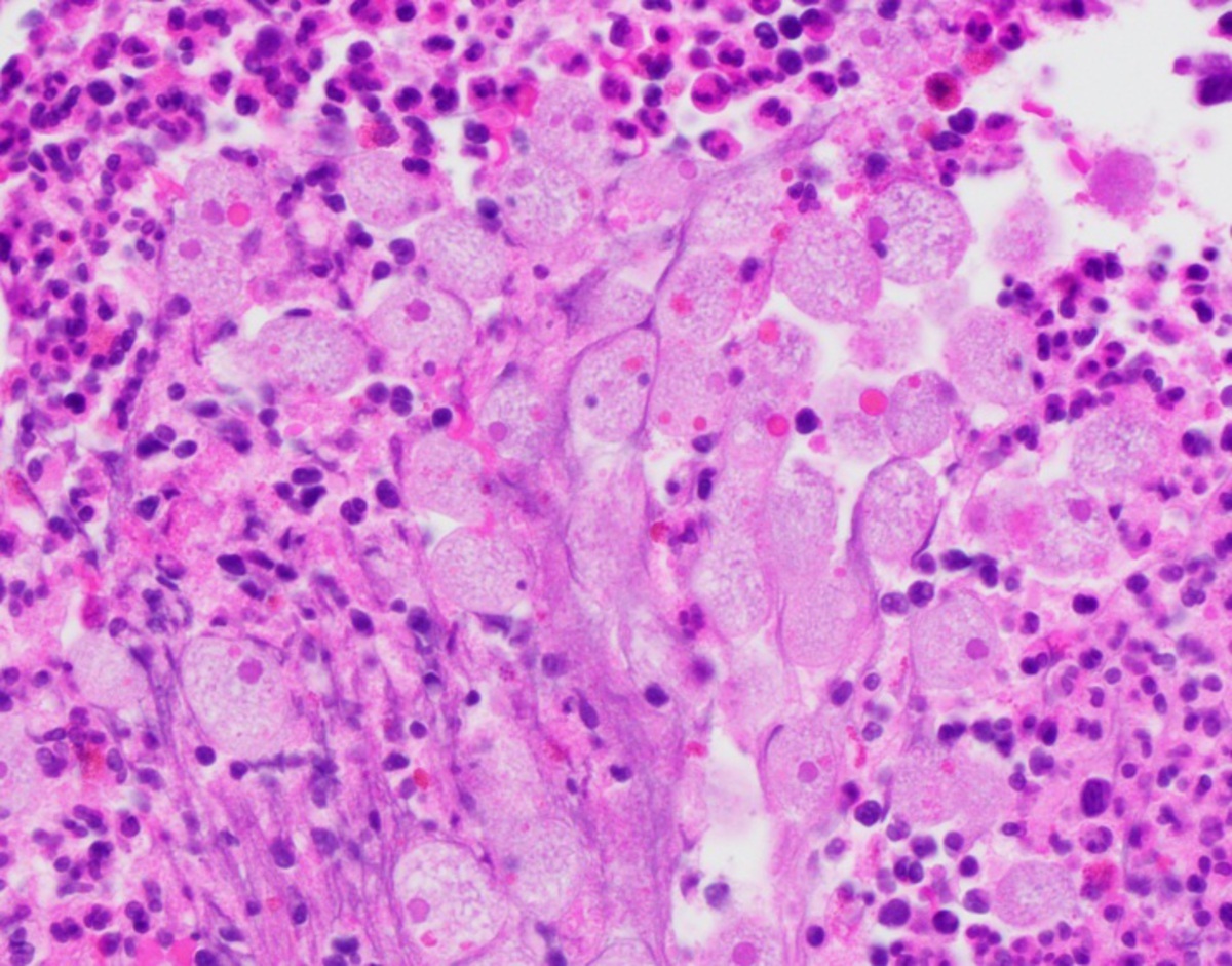
48m 1 wk diarrhea with 10-15 BM/day + intermittent, diffuse abdominal pain and denies fevers. pmh kidney transplant 6 months prior hx dm1. His immunosuppression consists of tacrolimus and mycophenolic acid. No abx, travel, or sickC. CT scan reveals right colonic wall thickening centered at the hepatic flexure with surrounding mesenteric stranding. Colonoscopy scattered erosions with surrounding erythema and edema [figure A] worse in the proximal colon. TI normal. Colon biopsies active inflammation with abnormalities in the lamina propria [figure B]. pathogen?

A. Cryptosporidium parvum

B. Mycobacterium tuberculosis

C. Cryptococcus neoformans

D. Entamoeba histolytica

E. Cytomegalovirus

A
  • colitis-associated with intracytoplasmic inclusions, as seen in the second image, is characteristic of cytomegalovirus (CMV) infection.
  • Cryptosporidium of the small intestine can lead to malabsorption but does not manifest as colitis.
  • Entamoeba involving the colon characteristically shows flask-shaped ulcers and/or trophozoites on biopsy.
  • Intestinal tuberculosis generally involves the ileocecal region associated with systemic symptoms, and necrotizing granulomas can be seen on biopsies.
  • Cryptococcal infection most commonly affects the central nervous system or lungs. It occasionally manifests gastrointestinal symptoms but is not consistent with colitis with intracellular inclusions.
How well did you know this?
1
Not at all
2
3
4
5
Perfectly
13
Q

A 46-year-old woman with obesity and a history of migraines, asthma, and anxiety presents to the emergency department (ED) with abdominal pain. She reports intermittent abdominal pain for approximately 6 months and has visited several other EDs during these episodes. She reports that last week she was in another ED and was told that she had some inflammation in a small area of her small bowel. She now states that the pains are as severe as last week, rated as 8/10 intensity, but more diffuse. The week prior, the pains were focused in her peri-umbilical area. She reports feeling constipated and has not had a bowel movement in 48 hours. On physical examination, she has some abdominal tenderness without rebound or guarding. Her only medication is an oral contraceptive pill.

Her serologic assessment shows:
WBC 20,600/µL (normal: 4,000-10,000/µL)
Hemoglobin 12.8 g/dL (normal: 12-16 g/dL)
Platelets 425,000/µL (normal: 150,000-350,000/µL)
Sodium 136 meq/L (normal: 136-145 meq/L)
Potassium 4.2 meq/L (normal: 3.5-5.0 meq/L)
Chloride 96 meq/L (normal: 98-106 meq/L)
Bicarbonate 18 meq/L (normal: 23-28 meq/L)
Blood urea nitrogen 16 mg/dL (normal: 8-20 mg/dL)
Serum creatinine 0.8 mg/dL (normal: 0.7-1.3 mg/dL)

An abdominal x-ray is performed, and the results are shown in the figure. The ED calls and asks what you think the next most important step would be for this patient?

A. Right upper quadrant ultrasound with Doppler

B. Obtain a CT angiogram.

C. Call interventional radiology to discuss angiography.

D. Call general surgery for emergency laparotomy.

E. Perform a rapid preparation for colonoscopy.

A

This patient is presenting with intermittent abdominal pains for several months in the setting of obesity and an oral contraceptive pill, both of which are risk factors for thrombotic processes. In addition, she reports that she has been to the ED intermittently and the week prior had an episode of enteritis. This is most consistent with a focal segmental ischemia that is evolving into an acute mesenteric ischemia from an atherosclerotic plaque in a branch of the superior mesenteric artery (SMA) that has now thrombosed. The modern classification for this is mesenteric arterial occlusive disease. The abdominal x-ray shows “thumbprinting” in the small bowel, a sign of mesenteric ischemia, along with dilations of the small bowel, consistent with development of an ileus. An ileus can also be seen in the setting of mesenteric ischemia. When a patient has a suspected mesenteric ischemia and if the ED has obtained a CT of the abdomen and pelvis, a call to the radiologist to review the images to ensure adequate visualization of the SMA is the most efficient next step to assess for patency and triage what should be done next. If the radiologist is unable to see the SMA and its branches, then consideration should be made for obtaining a CT angiogram. Of these next steps listed, a CT angiogram is the best option. A call to interventional radiology for angiography and presumably intervention is likely premature at this time as is obtaining a surgical consult, although surgery should be notified fairly rapidly when the diagnosis of acute mesenteric ischemia is obtained. A rapid colonoscopy would be the wrong step for this patient, and she would likely not survive the bowel preparation. An ultrasound with Doppler would not be helpful in this case.

How well did you know this?
1
Not at all
2
3
4
5
Perfectly
14
Q

45M rectal pain and bleeding for a year. w/ BM “cutting” sensation. Once the stool has passed, he experiences persistent throbbing pain over the subsequent 45 minutes before the pain spontaneously resolves. +TP blood. He was evaluated by another gastroenterologist approximately 3 months after his symptoms started and was found to have a chronic anterior fissure. CBC wnl, scope scattered diverticulosis in the sigmoid colon and a 2-mm ascending colon sessile serrated polyp. Initially, he admitted to symptoms of constipation (straining and incomplete evacuation) but those resolved with the addition of a soluble fiber supplement which he continues to use. He is frustrated because he has tried sitz baths with Epsom salts, topical nifedipine and nitroglycerin, oral diltiazem and none of these have proven effective. He does not report any associated history of fecal incontinence. next step in his care?

A. CT enterography to evaluate for evidence of Crohn’s disease -not atypical fiss, no other crohns s/s, not needed

B. Oral nifedipine 20 mg twice a day

C. Botulinum toxin (20 units) injected on either side of the anal fissure - If FI

D. Fissurectomy - if FI

E. Lateral internal sphincterotomy

A
  • medically refractory chronic anal fissure
    • anterior midline fiss less common 25% and 8% of W/M
    • not consider atypical (lateral are- STD/TB/lymphoma/Crohn’s disease)
  • oral nifedipine - little evidence, tried and failed to respond to multiple topical and oral therapies.
  • Botox and anal fissurectomies- for history of or multiple risk factors for fecal incontinence
  • If no FI- lateral internal sphincterotomy
  • head-to-head trials with topical and oral agents, botulinum toxin, fissurectomy, lateral internal sphincterotomy >>>>> symptomatic relief with healing 95% of patients- inc FI risk
How well did you know this?
1
Not at all
2
3
4
5
Perfectly
15
Q

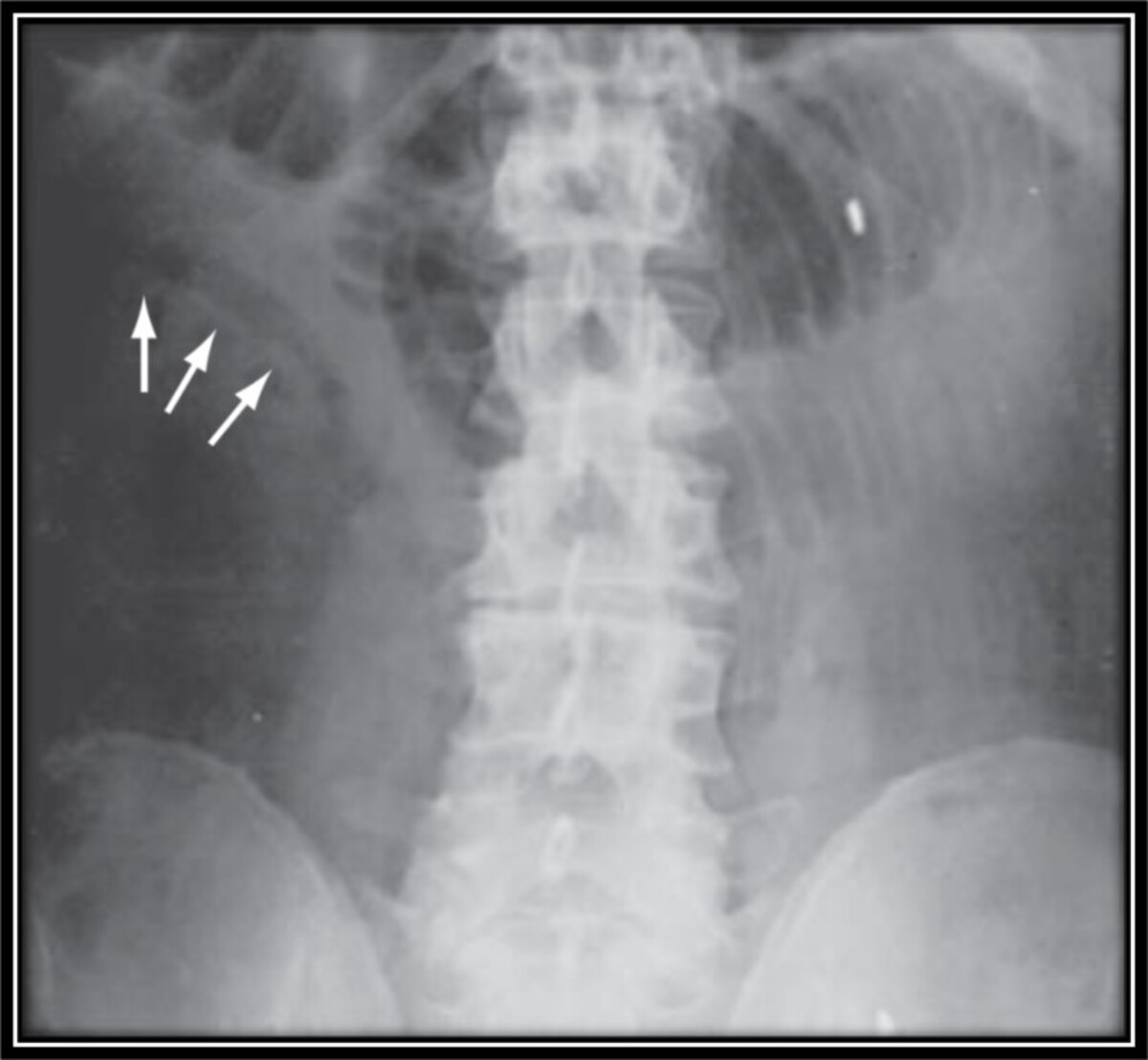
A 62-year-old man with a history of hypertension, coronary artery disease following stent placement 2 years ago, and chronic obstructive pulmonary disease presents to the emergency department with acute onset of abdominal pain. He takes clopidogrel and lisinopril. His pain is described as a 9/10 on the right side and a sharp band throughout his abdomen. He has watery diarrhea that started when the pain began. He has had 3 bowel movements since the onset of his symptoms and undergoes an initial x-ray [figure]. What is the best next step in the management of this patient?

A. Computed tomography (CT) of the abdomen and pelvis

B. Call surgery for an emergency laparotomy

C. Computed tomography (CT) of the abdomen and pelvis with angiography

D. Right upper quadrant sonogram

A

The x-ray shows pneumatosis linearis lining the right colon. In this circumstance, there is a concern for isolated right colon ischemia and possibly concomitant acute mesenteric ischemia. The most critical next test is an angiographic study to delineate how best to treat the patient. CT of the abdomen and pelvis alone might miss a vascular obstruction that requires immediate interventional radiology or vascular surgical intervention. Calling surgery for an emergency laparotomy might be best if there was clear evidence of a perforated viscus. Still, in this case, vascular imaging is most important because that will triage how to approach the patient most effectively. If there is a thrombus or embolus in the SMA, this will also reveal the distribution and whether the small bowel might be involved. Also, with a known vascular obstruction, an endovascular followed by a surgical approach might be optimal. If there is no clear vascular obstruction, then going straight to the operating room might be optimal. It is doubtful that this patient has a biliary process, so obtaining a right upper quadrant sonogram would not target the underlying diagnosis and delay identifying this acute situation.

How well did you know this?
1
Not at all
2
3
4
5
Perfectly
16
Q

58F FIT+>C scope: 30 lesions identified proximal to the splenic flexure, of which 7-10 are larger than 1 cm with most of these polyps appearing serrated by endoscopic criteria. No AO polyps. Additionally, more than 20 lesions, also appearing serrated by endoscopic evaluation, are identified in the rectosigmoid, none appear larger than 1 cm. What is the best and safest treatment approach for this patient?

A. Subtotal colectomy followed by endoscopic clearance of the rectum or rectum and distal sigmoid

B. Endoscopic submucosal dissection (ESD) of the large proximal colon lesions, followed by cold snare polypectomy of the remaining lesions

C. Hot endoscopic mucosal resection (EMR) of the larger proximal colon lesions, followed by cold snare polypectomy of the remaining lesions

D. Cold EMR of the large lesions, followed by cold snare polypectomy of the remaining lesions

A
  • This patient has serrated polyposis syndrome (SPS) and fulfills the criteria for both type 1 and type II SPS if the pathological examination confirms SSL.
  • SP
  • cold EMR for large lesions, though cold piecemeal resection may be similarly effective
  • Endoscopic clearance of this number of lesions can usually be completed over 1-2 extended colonoscopies.
  • Surgery is indicated when unable to control polyp growth endoscopically.
How well did you know this?
1
Not at all
2
3
4
5
Perfectly
17
Q

Biopsy findings of SRUS

A

smooth muscle hyperplasia in the lamina propia between colonic glands, and surface ulceration with associated chronic inflammatory infiltrates

How well did you know this?
1
Not at all
2
3
4
5
Perfectly
18
Q

Which of the following caused by HPV type 16?

A. Squamous cell carcinoma of the anus

C. Condyloma in the anal canal - low risk HPV HPV-6 and HPV-11

D. Low-grade squamous intraepithelial lesion (LSIL) of the anus - low risk HPV

A
  • Approximately 90% of squamous cell carcinoma of the anus (SCCA) is associated with high-risk HPV, most commonly types 16 and 18
  • Greater than 50% of SCCA are caused by HPV-16
How well did you know this?
1
Not at all
2
3
4
5
Perfectly
19
Q

Treatment of C diff

first

second

A

first - vanc

2nd- vanc taper or fidoxmicin

3rd occurence (2nd recurrence) FMT = 3

    1. We recommend FMT be delivered through colonoscopy or capsules, enema if other methods are unavailable
    1. We suggest repeat FMT for patients experiencing a recurrence of CDI within 8 weeks of an initial FMT
    1. For patients with rCDI who are not candidates for FMT, who relapsed after FMT, or who require ongoing or frequent courses of antibiotics, long-term suppressive oral vancomycin may be used to prevent further recurrences
    1. Oral vancomycin prophylaxis (OVP) may be considered during subsequent systemic antibiotic use in patients with a history of CDI who are at high risk of recurrence to prevent further recurrence (conditional recommendation, low quality of evidence).
How well did you know this?
1
Not at all
2
3
4
5
Perfectly
20
Q

45M w/ HIV diagnosed at age 29 here for chronic GERD. CD4 79 on dx (normal range: 500-1,200 cells/mm3) started HAART. No anal pain or rectal bleeding. He is currently sexually active with his long-term male partner. CD$ 950, VL undetectable. What would you offer for anal high-grade squamous intraepithelial lesion (HSIL) screening?

A. Do not offer screening; his risk for anal cancer is low. -pt high risk for anal cancer

B. Perform a flexible sigmoidoscopy.

C. Perform a digital anorectal examination with anal cytology.

D. Perform a colonoscopy.

A
  • HIV+ MSM most likely to benefit from a digital ano-rectal examination, anal cytology and if possible, high resolution anoscopy.
  • Lower nadir CD4 T lymphocyte count is also a risk factor for squamous cell carcinoma of the anus.
  • Answers B and D are incorrect because anal lesions are commonly missed on flexible sigmoidoscopy and colonoscopy.
  • Endoscopes lack the proper magnification for small, flat lesions and do not sufficiently splay the tissue of the anal canal.
  • These examinations are not typically performed with the vital stains used in high-resolution anoscopy: acetic acid 5% and Lugol’s solution.
How well did you know this?
1
Not at all
2
3
4
5
Perfectly
21
Q

43M HTN/COPD- abdominal pain and bloody diarrhea. Over the last week, he describes having a sore throat, runny nose, and cough. For these symptoms, he started taking pseudoephedrine. He reported eating chicken about 2 hours prior to presenting to the ED, and recalls a history of food poisoning due to undercooked food.

In the ED, he describes acute onset of cramping, peri-umbilical and left upper quadrant pain beginning 6 hours ago, rated 7 out of a scale of 10, lasting 15-30 minutes followed by numerous bloody bowel movements including blood clots. He is currently hemodynamically stable and notes improvement in his abdominal pain. His serologic assessment shows a normal complete blood count, electrolytes, and liver tests. What is the best next test to diagnose this patient’s condition?

A. CT scan of the abdomen and pelvis with oral and IV contrast

B. Colonoscopy

C. Flexible sigmoidoscopy

D. Stool culture

E. Stool ova and parasites

A
  • This patient is presenting with a classic case of ischemic colitis which was likely induced by the usage of pseudoephedrine for his viral upper respiratory tract infection.
  • colonic ischemia
  • Men>>>>>>women
  • COPD is a major risk factor
  • Left upper quadrant and peri-umbilical pains so the distribution is most likely the descending and/or sigmoid colon. This is the most common distribution for this disorder.
    • CT scan of the abdomen and pelvis would be most helpful to assess for colitis/localize the distribution.
  • If there is a segmental colitis in the same distribution as the pain, then this is clinically diagnostic for colonic ischemia.

The patient did note a history of a similar presentation several months earlier in the setting of eating chicken. With that episode, he might have had Campylobacter jejuni infection. The timing of this infection with relation to the meal argues against this etiology again as Campylobacter jejuni typically requires 1 to 7 days of incubation prior to symptomatic presentation and most commonly presents with profuse watery and/or bloody diarrhea. Given this, a stool culture is less likely to be helpful in the diagnosis of this patient.

  • Stool ova and parasite is most commonly helpful in patients presenting with nonbloody diarrhea.
  • Colonoscopy and flexible sigmoidoscopy would be premature to perform given the clinical presentation.
How well did you know this?
1
Not at all
2
3
4
5
Perfectly
22
Q

48M Cscope, +FH CRC. At colonoscopy, a 50-mm granular, lateral-spreading lesion is identified in the proximal ascending colon. The lesion occupies approximately one-third of the luminal circumference and extends over 2 haustral folds. Postprocedure, the findings are discussed and the patient is referred to a regional center for endoscopic resection. At the regional center, the patient undergoes hot piecemeal endoscopic mucosal resection (EMR). At the end of snare resection, there is no evidence of residual polyp. Which of the following best describes the evidence-based steps that should take place next?

A. Clip closure of the EMR defect, followed by repeat colonoscopy in 6 months

B. Snare tip soft coagulation treatment of the margins, followed by clip closure if feasible, followed by repeat colonoscopy in 6 months

C. Snare resection of the margins, followed by clip closure if feasible, followed by repeat colonoscopy in 6 months

D. Snare tip soft coagulation treatment of the margins, followed by coagulation of all exposed blood vessels in the base of the EMR defect, followed by clip closure if feasible, followed by repeat colonoscopy in 6 months

A
  • After piecemeal EMR utilizing electrocautery, the standard treatment to reduce recurrence is
    • snare tip SOFT COAGULATION treatment of the normal-appearing mucosa at the margin
  • The criteria for prophylactic clip closure to reduce delayed hemorrhage
    • size ≥20 mm
    • location proximal to the splenic flexure, and
    • resection using electrocautery
  • RCTs w/ coagulation forceps have not shown a benefit for coagulation of exposed vessels in the EMR defect.
How well did you know this?
1
Not at all
2
3
4
5
Perfectly
23
Q

68F Cscope - 7 adenomas are removed, the largest of which is a pedunculated polyp at 30 cm in the sigmoid colon s/p en bloc w/ clip on the residual stalk. Path- well-differentiated adenoCA invading the stalk and extending to a distance of .5 mm from the resection line. There is no lymphovascular invasion. CEA wnl, CT CAP IV contrast no disease. Which most appropriate?

A. Surgical resection of the sigmoid colon

B. Repeat colonoscopy in 3 years

C. Repeat colonoscopy in 6-12 months

D. Repeat colonoscopy now

A
  • pedunculated colorectal polyp w/ cancer, histologic features that are considered unfavorable and favor surgical resection
    • poor differentiation
    • lymphovascular invasion, and
    • tumor encroaching on the resection margin, or
    • within 1 mm of the resection margin
  • In this case, all the histologic criteria are favorable.
  • Under these circumstances, the risk of residual cancer in the bowel wall or lymph nodes is very low but not zero.
  • The risks of residual cancer and the risks of surgical resection should be reviewed with the patient, and a recommendation regarding surgery can be made, but the patient’s wishes should also be considered in reaching a final decision regarding adjuvant surgical treatment.
  • Most patients with residual disease have cancer in the lymph nodes rather than the bowel wall.
  • Thus, removal of the resection site using the full-thickness resection device cannot effectively eliminate the possibility of a lymph node metastasis and is not warranted in this instance.
24
Q

A 50-year-old woman with no family history of colon cancer or advanced adenomas has an index screening colonoscopy. This exam finds a 1.5-cm descending colon polyp, removed with a cold snare. Pathology shows tubular adenoma. Subsequent high-quality surveillance colonoscopies at age 53 and 58 do not show any polyps. What is the next appropriate step in her colon cancer surveillance regimen?

A. Colonoscopy at age 61 (3 years)

B. Colonoscopy at age 63 (5 years)

C. Colonoscopy at age 68 (10 years)

D. Yearly FIT testing beginning at age 68 (10 years)

A
  • In the 2020 USMSTF surveillance guidelines, an advanced adenoma mandates a 3-year follow-up, with next colonoscopy occurring another 5 years later, assuming no higher risk findings at the second colonoscopy shorten the interval.
  • Unlike the previous 2012 USMSTF guidelines, an advanced adenoma does not mandate 5-year follow-ups indefinitely – after 2 colonoscopies with low-risk findings, the patient’s risk returns to near baseline, and her next surveillance interval can stretch up to 10 years.
  • Due to the initial high-risk adenoma, screening with FIT testing is not recommended – CSCOPE Only
25
A **73-year-old man** with several severe comorbidities including **heart failure on home oxygen** underwent surveillance colonoscopy after a recent EMR. On **prior colonoscopy, a 5-cm lateral spreading tumor-NG lesion was seen at the splenic flexure and piecemeal removal** was performed. At that time, he was deemed to be at high surgical risk for colonic resection. Due to the COVID pandemic, he opted to **defer his surveillance for 18 months after his initial colonoscopy.** On the surveillance colonoscopy, a **3-cm sessile lesion at the previous EMR site with significant fibrosis was noted**. Biopsies showed tubular adenoma with **high-grade dysplasia**. What would be the best next step in management of this polyp? A. Referral for colorectal surgery **B. Endoscopic submucosal dissection** C. Endoscopic mucosal resection D. Endoscopic full-thickness resection
* Though most colonic neoplasms are benign and can be removed by EMR, significant **submucosal fibrosis from prior EMR**, the **need for en-bloc resection due to presence of high-grade dysplasia**, and **large (\>2 cm) size of this lesion** in a patient who is unfit for colonic resection make an ideal candidate to consider ESD. * EFTR is not indicated for lesions larger than 2.5 cm in the colon.
26
The patient is a 53-year-old man with a past medical history significant for HIV and anal condyloma who presented to the emergency department with rectal pain and tenesmus associated with bright red blood per rectum. His social history is notable for receptive anal intercourse. As part of his initial work-up, he underwent abdominal CT scan revealing "findings suggestive of proctitis with inguinal lymphadenopathy. However, persistent narrowing of the rectum concerning for underlying stricture and further evaluation with lower endoscopy is recommended." Basic laboratory work-up including complete metabolic panel and CBC are within normal limits. His last CD4 count was 600 cells/µL (normal: 500-1500 cells/µL). A stool culture and ova and parasites exam are pending. A rectal exam is difficult to perform secondary to significant pain. He is admitted to the hospital and undergoes a flexible sigmoidoscopy to evaluate the proctitis seen on imaging with the isolated ulcer in the distal rectum [figures A and B]. The remaining sigmoidoscopy up to 40 cm is without abnormality. Based on the appearance of this lesion, which is the best next step? A. Referral to colorectal surgery for possible treatment with cryotherapy **B. Rectal biopsies and urine collection for nucleic acid amplification test (NAAT)** C. Rectal biopsies and initiation of topical 5-ASA therapy daily D. No treatment necessary
The endoscopic appearance of this lesion is consistent with an excavated ulcer. The differential of isolated proctitis in this case includes inflammatory bowel disease, syphilis, anorectal carcinoma, and solitary rectal ulcer syndrome. In this patient with inguinal lymphadenopathy and risk factors (receptive anal intercourse), the gastroenterologist should consider the sexually-transmitted infection *lymphogranuloma venereum* (LGV), a variant of *Chlamydia trachomatis* that can manifest with isolated proctitis and lymphadenopathy in men who have sex with men. Left alone, it can lead to irreversible destruction of lymph tissue. Current FDA-approved testing is by nucleic acid amplification testing (NAAT) of the urine, but this is thought to miss some LGV infections that are located outside the genitourinary tract. Therefore, adjunctive rectal biopsies can be helpful as well. A solitary ulcer would be atypical for ulcerative proctitis, especially with the listed risk factors and associated lymphadenopathy. Men who have sex with men and those with HIV infection are at increased risk for anal dysplasia with progression to anal carcinoma. However, dysplasia, which may be treated with cryotherapy, would not be associated with ulceration and anal cancer would require more aggressive treatment modalities.
27
A 77-year-old man with a past medical history of diabetes, hypertension, chronic renal failure on hemodialysis, and coronary artery disease is admitted to the intensive care unit with evidence of sepsis from an infected shunt. Over the ensuing 5 days in the ICU, he has fevers, chills, diaphoresis and evidence of infection with methicillin-resistant *Staphylloccocus aureus*. He responds to antibiotic therapy but develops acute hematochezia. He denies prior history of bleeding and is currently not on anticoagulation. He has had constipation during his hospital stay which improved with oral agents; no enemas were given. Hemoglobin drops to 5.9 grams, down from a baseline of 9.0 grams. BUN 60, creatinine 4.3, both are stable. Other labs are unremarkable. Blood pressure is low at 90/50 and heart rate is 80. Rectal exam shows bright red blood and clot. You plan for colonoscopy later that day after prep and possible EGD if colonoscopy shows no source of bleeding. Blood transfusions are ordered. Two hours later, you return to the ICU, as the patient has become less responsive and more confused. Blood pressure is 70/20 and the nurse reports profuse bleeding from the rectum. On repeat rectal exam, you note blood spurting from the rectum. The patient is stabilized with blood transfusions and pressors. The patient is intubated and you proceed with emergent scope. Just proximal to the anus, there are 3 ulcers, 1 with spurting blood vessel [figure]. Above the rectum, there is no blood and the mucosa appears normal. Therapeutics were applied, and bleeding was controlled. What is the most likely etiology? A. Herpes simplex virus proctitis **B. Acute hemorrhagic rectal ulcer syndrome (AHRUS)** C. Solitary rectal ulcer syndrome (SRUS) D. Radiation proctitis E. Ischemic proctitis
The patient presents with symptoms and signs consistent with acute hemorrhagic rectal ulcer syndrome. This syndrome is characterized by multiple rectal ulcers and is almost always associated with acute, life-threatening hemorrhage. It is seen most often in elderly patients with longer ICU stays, with significant comorbidities such as respiratory failure, renal failure, diabetes mellitus or atherosclerosis, and hypoalbuminemia. About 40% of patients present with hemorrhagic or hypovolemic shock. Endoscopic therapy is successful in controlling bleeds in a high percentage of the time; however, a high percentage rebleed, and some will require surgical intervention with suturing at the base of the ulcer. This is unlikely to be herpes simplex as a diffuse proctitis was not noted; instead, discreet ulcers were seen. The patient has no history of radiation proctitis and life-threatening hemorrhage of this type is not generally seen in radiation proctitis; angioectasias and slow oozing are more commonly seen. Ischemic proctitis is rare due to the dual blood supply of the rectum.
28
A 26-year-old woman with no significant medical history presents with iron deficiency anemia. On examination, she has hyperpigmented lesions around her lips. She underwent an EGD and colonoscopy which were both unremarkable, followed by a video capsule endoscopy which demonstrated an area of possible inflammation in the proximal jejunum. She then underwent a push endoscopy [figure], which revealed 2 large (4-6 cm) pedunculated polyps with several ulcerated patches of mucosa on the top. The polyps were not bleeding at the time. They were both successfully snared and removed. On pathology, the polyps were described as "Peutz-Jeghers type polyps not associated with any dysplasia." What is the approach to cancer screening in this patient with Peutz-Jeghers syndrome? **A. Annual physical examination with a complete blood count to check for iron deficiency anemia** B. Colonoscopy, video capsule endoscopy, and upper gastrointestinal endoscopy every 5 years C. Magnetic resonance imaging/magnetic resonance cholangiopancreatography or endoscopic ultrasound of the pancreas every 5 years D. Gynecological exams are not needed due to decreased risk of breast, endometrial, or ovarian cancer.
* A clinical diagnosis of PJS can be made if 2 of the 3 following criteria are met: * **1) ≥2 Peutz-Jeghers-type hamartomatous polyps in the gastrointestinal track;** * **2) mucocutaneous hyperpigmentation of the mouth, lips, eye, nose, fingers, or genitalia;** * **3) positive family history of PJS.** * An annual physical examination with a **complete blood count to detect iron deficiency anemia from occult GI bleeding should be performed.** * **Upper endoscopy, colonoscopy, and video capsule endoscopy should be repeated every 2-3 years.** * To screen for pancreatic cancer, **magnetic resonance imaging/magnetic resonance cholangiopancreatography, or endoscopic ultrasound** of the pancreas should also be performed **every 1-2 years**. * The risk of genital tract cancers, breast cancer, and other malignancies is also increased. * Therefore, annual pelvic examination and Pap smear, and monthly breast self-examinations for women are recommended beginning at age 21, and **annual breast magnetic resonance imaging and mammography are recommended beginning at age 25 years.**
29
A 37-year-old woman presents with 2 months of rectal bleeding. While defecating, the patient experiences a **localized anal burning pain associated with 3 cc of fresh blood.** Blood is seen on the toilet paper, not in the toilet bowl, or mixed within stool. Bleeding and pain usually occur with straining to defecate and varies from 3-5 times per week. Her stools range from Bristol 2-4. A rectal exam reveals a tight internal anal sphincter and the **very painful lesion shown in the figure in the posterior midline.** Your next step in management would be which one of the following? A. Biopsy the lesion; send to rule out neoplasm or viral infection. **B. 0.2% topical nitroglycerin ointment and add psyllium fiber supplement.** C. Apply topical hydrocortisone cream 2.5% twice daily and add psyllium fiber supplement. D. Consult with colorectal surgeon. E. Perform colonoscopy along with ileal intubation
posterior midline - the most common location of primary fissures, receives less than one-half of blood flow compared with other quadrants of the anal canal and therefore, ischemia may be the etiology. In this case, a healthy adult with a typical appearing fissure, in a typical location, biopsy is unnecessary **Topical nitroglycerin or topical calcium channel blockers promote healing of anal fissures by increasing local blood flow and reducing pressure in the internal anal sphincter.** Hydrocortisone cream will not promote healing and has limited benefit as a short-term analgesic. Surgery is reserved for cases in which medical therapy fails.
30
A 55-year-old man undergoes his first screening colonoscopy and is found to have a 25-mm non-pedunculated lesion in the transverse colon [figure: examination with white light (A-B) and NBI (C-E)]. Around 3-5 cm distal to the lesion, 2 separate tattoo injections were performed for future identification. What is the next step in management of this lesion? A. EMR (endoscopic mucosal resection) B. ESD (endoscopic submucosal dissection) C. Surgical resection **D. Biopsy and await results.**
This is a lateral spreading lesion, described as a depressed type (Paris IIc) with demarcation line. The surface pattern on NBI is absent (NICE type III) (Figure C). This lesion is characteristic for deeply invasive cancer. Biopsy should be performed at the depressed area to determine the histologic diagnosis. While Nice type 3 NBI pattern is suggestive of invasive cancer, the accuracy of NICE classification is not high enough to send for surgery based on optical diagnosis alone. Tissue diagnosis is still needed with a biopsy first. Tattooing at 2-3 separate sites located and 3-5 cm distal to the lesion should be placed for localization at future surgical procedures. Because the lesion is deeply invasive cancer, it should not be removed with endoscopic resection. Partial resection for invasive cancer using snare polypectomy should be avoided due to risk of bleeding and perforation.
31
A 67-year-old man recently relocated and comes to see you to discuss colon polyp surveillance. He provides his past colonoscopy and pathology reports. Eight years ago, 3 transverse colon polyps ranging in size from 12 mm to 15 mm were completely removed. Five years ago, 2 right colon polyps, each \<10 mm, were removed. You recommend the patient undergo colonoscopy at this time and 2 polyps, 5 mm and 8 mm, are resected from the right colon. All of the polyps resected during the 3 colonoscopies are similar in appearance to the polyp shown in [figure]. Which of the following is the best recommendation for this patient? A. Return in 5 years for surveillance colonoscopy. B. Refer to surgery for consideration of colectomy. C. Perform push enteroscopy with stomach biopsy for *H. pylori* even if the stomach appears normal. **D. Advise that genetic testing is not likely to impact patient management.**
This patient meets the clinical criteria for serrated polyposis syndrome (SPS). The criteria for this diagnosis are at least 2 large (≥10 mm) serrated polyps and 3 small (6-9 mm) serrated polyps proximal to the rectum OR more than 20 serrated polyps of any size at any location in the colon. The polyp in the image is classic for a serrated polyp — smooth, flat or sessile, with overlying mucous. Colonoscopy surveillance should be performed every **1-3 years,** so 5 years would be too long an interval.
32
A 64-year-old woman with melanoma who is currently undergoing treatment with ipilimumab (cytotoxic T lymphocyte antigen 4, CTLA-4) presents with 6-8 nonbloody, watery stools per day. Associated symptoms include mild abdominal pain. She is afebrile, and her abdomen is mildly tender in the left lower quadrant without any distention, rebound, or guarding. Laboratory test results are notable for a mildly elevated WBC of 12,000/µL (normal: 4,000-10,000/µL) and mild anemia with hemoglobin of 11 g/dL (normal: 12-16 g/dL). Electrolytes, albumin, and liver function tests are normal. Stool studies are negative for *C. difficile* and bacterial pathogens. A fecal calprotectin is elevated at 2,100 µg/g (normal: \<16 µg/g). What is the next best step in management? A. Infliximab B. Antibiotics **C. Anti-diarrheals and discontinuation of ipilimumab** D. Corticosteroids
* ICI-related diarrhea * first include **stool tests** to exclude enteric infections * mild disease \>\> antidiarrheals and discontinuation of CTLA-4 first line * In patients with _more severe disease, a colonoscopy or flexible sigmoidoscopy is indicated to make a diagnosis of colitis_.
33
xx A 43-year-old woman with eosinophilic esophagitis (EoE) presented with worsening diarrhea and incontinence. Infectious work-up has been negative for bacterial and viral etiologies. Fecal calprotectin is slightly elevated at 100 µg/g (normal: \<50 µg/g). Celiac serologies are normal. Peripheral eosinophilia is absent. She takes no other medications than topical steroids for her EoE. She underwent **colonoscopy that was grossly normal, with biopsies taken in the right and left colon. Histopathology revealed \>100 eosinophils/high-power field in both the right and left colon**, with no other evidence of chronic damage. Which of the following do you tell her? A. Her biopsies are normal, and she likely has irritable bowel syndrome. B. She should stop her topical steroids as she is likely having an allergic reaction to them. C. She has evidence for ulcerative colitis and needs budesonide. **D. She should discuss therapeutic options for eosinophilic colitis after parasitic work-up is negative.**
She likely has eosinophilic colitis (EC) but needs **parasitic work-up to definitively diagnose EC.** Most patients complained of diarrhea or rectal bleeding
34
A 26-year-old man with Fdel 508 homozygous for cystic fibrosis (CF), GERD, and pancreatic insufficiency presents to your clinic. He has a normal BMI. He is asymptomatic from a colon standpoint, and he tells you that his pulmonologist thinks his lung function is good. He tells you his maternal grandmother had colorectal cancer at age 70. He denies any other family history of cancers. He wants to know when he should be referred for screening colonoscopy. When do you recommend he undergo screening for colon cancer? A. Now B. Age 30 C. Age 35 **D. Age 40** E. Age 50
* Individuals with CF have increased risk of colorectal cancer over age matched controls. Nearly all CRC develops in persons less than age 50 years. * CSCOPE rec as the screening of choice * **begin age 40** * **rescreening every 5 years.** * intensive regimens for bowel preparation to allow for optimal exam
35
A 62-year-old woman underwent a screening colonoscopy and was found to have a 30-mm Paris 0-III (excavated) polyp in the ascending colon with a Kudo V pit pattern (irregular and nonstructural pits, and amorphous surface pattern). She has no medical history other than hypertension controlled on medications. What is the appropriate management for this lesion? A. Cold snare resection B. Hot snare EMR C. Underwater EMR **D. Surgical consultation**
he lesion described is excavated with an irregular nonstructural pit pattern and amorphous surface pattern (disrupted or missing vessels), all suggestive of deep submucosal invasive cancer, best treated with surgery in this patient without significant medical comorbidities. Cold snare resection and underwater EMR for this 30-mm lesion with invasive cancer would not be appropriate. Piecemeal endoscopic resection (hot snare EMR) may be technically feasible but not curative due to presence of deep submucosal invasive cancer.
36
A 72-year-old man had CABG surgery 12 years earlier, and currently has rate-controlled atrial fibrillation. He also has CKD and is maintained on hemodialysis. After an otherwise routine hemodialysis session, he developed moderately severe lower abdominal pain that worsened over the next 4 hours and caused him to come to the ED. It is noted that his weight at the end of the hemodialysis session was 4 lb less than it was before the session began. He denies accompanying nausea, vomiting, rectal bleeding, or diarrhea. He is afebrile, cardiac rhythm is irregular at a rate of 86 bpm, blood pressure is stable at 136/82 mmHg without orthostatic change. He has no abdominal distention, hyperactive bowel sounds, and moderate right lower quadrant abdominal tenderness. Laboratory data are significant for a white blood cell count of 15,500/cmm. BMP and liver biochemical tests are normal. A noncontrast abdominal CT scan showed thickening of the ascending colon. Which of the following is the next step in his management? ## Footnote A. Acute mesenteric ischemia from nonocclusive mesenteric ischemia B. Dialysis-related amyloidosis C. Dialysis-associated peritonitis **D. Isolated right-sided ischemic colitis**
isolated right colon ischemia (IRCI) - can affect TI too * abdominal pain \>\>\>\> rectal bleeding * associated with **coronary artery disease, atrial fibrillation, and chronic kidney disease that requires dialysis** (shifts in volume + nonocclusive vascular disease). * Length of hospitalization, need for surgery, and mortality also are greater with IRCI than any other pattern of colon ischemia, except perhaps pancolitis. * some cases of IRCI have been associated with or followed by acute mesenteric ischemia, which also has a mortality exceeding 70% * **imaging studies of the splanchnic vasculature are recommended** * This recommendation is _in contrast to the usual recommendation to not do these studies in cases of colon ischemia because at the time of presentation of non-IRCI, colon blood flow has already returned to normal and the acute clinical presentation is more a result of reperfusion injury than it is ischemic injury_. * With IRCI, if vasoconstriction (NOMI) is found, or if an SMA embolus is discovered, intra-arterial infusion of papaverine or PGE1 with or without surgery has been associated with the best outcomes.
37
You are consulted on a 78-year-old woman with hypertension, diabetes, and pneumonia admitted 5 days ago. Over the prior 3 days, she has had increasing abdominal girth and discomfort. Her physical exam is notable for marked tympany and abdominal distention without surgical signs. CT with contrast shows a dilated colon without evidence of volvulus or small or large bowel obstruction. Daily abdominal x-rays since this started have progressively shown increasing cecal diameter with the most recent measuring 11 cm. Her vitals and electrolytes are within normal limits. She is euvolemic but is getting more uncomfortable each day. She has not had a bowel movement since admission and is not passing any gas per rectum. An NG tube was placed 48 hours ago for decompression. Her only medications are an ACE inhibitor, insulin, and broad-spectrum antibiotics directed towards her pneumonia. Which of the following is the best next step in management? **A. Neostigmine 2-5 mg IVP** B. Pyridostigmine 60 mg orally C. Colonic decompression +/- decompression tube D. Methylnaltrexone 25 mg orally E. Surgical decompression/resection
Acute colonic pseudo-obstruction (ACPO) is a common scenario in debilitated hospitalized patients. First line care is conservative management with correction of electrolyte and fluid status, ambulation if possible, NG tube decompression, bowel rest, and removal of potentially offending medications. Neostigmine, a short-acting anticholinesterase parasympathomimetic agent, is the pharmacologic agent of choice in the management of ACPO when conservative management fails. Glycopyrrolate can be used to minimize some of the adverse effects of neostigmine. The typical dose of neostigmine for this indication is 2-5 mg slow IV push with cardiac and hemodynamic monitoring and rescue atropine at the bedside. This medication should be administered in a cardiac monitored setting, such as an ICU or step down unit. Neostigmine is contraindicated in patients with evidence of intestinal or urinary obstruction and known hypersensitivity to the agent. Additional pharmaceutical options for nonresponders to neostigmine include oral pyridostigmine, PAMORAs, prucalopride, metoclopramide, and erythromycin. Colonic decompression is typically reserved for patients with persistent/marked colonic dilatation not responding to conservative measures, refractory to medical management, or in whom neostigmine is contraindicated. Efficacy of colonoscopic decompression has not been established in RCTs. When performing colonic decompression, the colon should not be prepped, and the endoscopist should avoid air insufflation and narcotic analgesia. Surgery for ACPO is reserved for patients with clinical deterioration, peritoneal signs, cecal diameter \>12 cm, or who are refractory to all other therapies.
38
A 54-year-old man with a history of chronic recurrent rectal bleeding seen most often on the toilet paper following a bowel movement undergoes a colonoscopy for further assessment. The colonoscopy reveals grade II internal hemorrhoids. The patient continues to have symptomatic bleeding despite topical interventions and fiber supplementation. Given this, he undergoes in-office banding of his internal hemorrhoids. Later that day, he presents to the emergency department with symptoms of fevers/chills, pelvic pain, and urinary retention. He denies any rectal bleeding or rectal pain. The patient's temperature is 101.0°F, but his other vital signs are within normal limits and his physical exam is unremarkable but a rectal exam is deferred. CBC reveals WBC of 16,000/µL (normal: 4,000-10,000/µL) and platelet count of 550,000/µL (normal: 150,000-350,000/µL). What is the next step in managing this patient? A. Reassure and discharge home. B. Discharge home with antibiotics, and arrange follow-up in 7-10 days. C. Discharge home and follow-up in clinic the next day. **D. Admit to hospital.** E. Refer to hematologist.
* rare but serious case of **necrotizing pelvic sepsis** * intravenous antibiotics, fluid resuscitation, and admission into the hospital * Early recognition is key to preventing septic shock and death. * Conservative therapies include warm, sitz baths for 20 minutes 2-3 times a day, over-the-counter vasoconstricting ointments, or anusol (witch hazel) suppositories that act as an astringent to reduce swelling.
39
On a routine surveillance colonoscopy of a 55-year-old man with long-standing ulcerative colitis, a 3-cm nodular nonpolypoid area was found in the rectum 5 cm above the dentate line. There was no evidence of active disease throughout the colon. Biopsies of this nodular area showed **low and high-grade dysplasia** in the background of quiescent proctitis. What would be the next best step in managing this patient? A. Total proctocolectomy B. Transanal excision C. Endoscopic mucosal resection **D. Endoscopic submucosal dissection**
IBD with well controlled diseae * discrete lesions showing dysplasia should be removed endoscopically * ESD is preferred in this setting due to its **ability to control wide margins, ability to remove lesion en-bloc for dysplasia assessment** and **reduce the likelihood of recurrence** * fibrosis from prior episodes of inflammation, EMR may also not be feasible in this setting
40
A 74-year-old man had a colonoscopy at his local medical facility and was found to have a 35-mm polyp in the descending colon which was partially resected. Pathology showed a tubulovillous adenoma. He has a past history of coronary artery disease, congestive heart failure, COPD, and is oxygen-dependent at home. He has now been referred to you for colonoscopy for consideration of endoscopic resection. You repeat the colonoscopy and find an 18-mm residual polyp in the descending colon with a tattoo extending into the polyp. Submucosal injection results in minimal lift, and no lift in the central part of the lesion. What is the next step in managing this patient? A. Hot snare EMR B. Hot avulsion **C. Endoscopic full thickness resection with over-the-scope device** D. Surgical consultation
* "nonlifting" of the lesion due to submucosal fibrosis from the prior partial polypectomy and from the tattoo placed into the lesion itself. Both of these practices (partial resection and tattooing into the lesion) are not recommended. * Hot snare EMR alone would be technically challenging due to submucosal fibrosis. _Hot avulsion_ may be performed for small nonlifting areas during/after EMR but _would not be appropriate for an 18-mm residual polyp._ * **Endoscopic full thickness resection with the over-the-scope device** - recurrent or residual colon polyps who is a **poor surgical candidate.**
41
A 47-year-old man is referred to you by his primary care physician for evaluation of intermittent rectal bleeding and pain for about 3 months. He is otherwise healthy except for erectile dysfunction for which he takes sildenafil. You perform a digital rectal exam and make a diagnosis of anal fissure. In view of his age, you perform a colonoscopy to make sure that there is no colon cancer. His colonoscopy is normal, and you do not see an anal fissure. How would you best manage this patient's first diagnosis of anal fissure? A. Start patient on a high-fiber diet with stool softeners and prescribe nitroglycerin ointment .125% twice a day for 3 months. B. Refer the patient to a colorectal surgeon for further management. **C. Start patient on a high-fiber diet with stool softeners and prescribe nifedipine ointment .5% twice a day for 3 months.** D. Prescribe a high-fiber diet, stool softeners, and lidocaine ointment to use as needed for pain.
* No Nitroglycerin with phosphodiesterase 5 inhibitor drugs like sildenafil * **Nifedipine** appointment can be compounded with 5% lidocaine ointment and used twice a day for up to **3 months** to ensure healing. * It is difficult to look at the anal canal with the colonoscope - often doesn’t see an anal fissure to diagnose one. The history and a digital rectal exam enough
42
42F. Which of the following is the best screening option for this patient with MUTYH gene mutation? A. Colonoscopy immediately and then every 5 years similar to current screening recommendations for first degree family history of colon cancer B. Wait until routine screening age as this mutation is not associated with increased risk of colorectal cancer **C. Colonoscopy and upper endoscopy to screen for gastric and duodenal polyps in addition to colon adenomas and cancer** D. Complete colectomy as the risk of colon cancer is 100% in this mutation
number of extra-colonic manifestations of MUTYH-associated polyposis * gastric and duodenal polyps * osteomas, sebaceous hyperplasia, and sebaceous gland tumors * cancers in duodenum, breast, ovaries, bladder, thyroid, and skin * *colonoscopy every 1-2 years starting at age 25-30** * **upper endoscopy at age of 30 or 35 with random sampling of polyps**
43
A 56-year-old woman with a history of chronic obstructive pulmonary disease presents to the emergency department with the onset of abdominal pains about 24 hours earlier. She reports that these pains were 6/10 and cramping and diffuse throughout her abdomen. At admission, the patient’s serologic assessment was remarkable for a white blood cell count of 16,000 cells/mm3. About 6 hours after the onset of abdominal pains, she experienced multiple episodes of hematochezia. She describes 6 bowel movements with blood and clots mixed with stool. She also denied sick contacts, ingestion of prepared foods, or any new medications. A CT scan showed a segmental colitis involving the descending colon that was rated as moderate in severity. The patient was admitted but her diarrhea continued over the subsequent 24 hours with less blood than previously, but with similar frequency. Given her persistent symptoms, you decide to perform a colonoscopy that reveals the following endoscopic finding [FIGURE]. According to the most recent American College of Gastroenterology guidelines for this disease state, what is the recommended treatment for this patient in addition to intravenous fluids? A. Bowel rest **B. Bowel rest and ciprofloxacin/metronidazole** C. Bowel rest, ciprofloxacin/metronidazole, and CT angiogram D. Bowel rest, ciprofloxacin/metronidazole, CT angiogram, and referral to the intensive care unit E. Bowel rest, ciprofloxacin/metronidazole, CT angiogram, referral to the intensive care unit, and surgical
The endoscopic finding shows the single stripe sign. This linear ulceration along the longitudinal axis of the bowel is frequently associated with colonic ischemia. The patient’s presentation is consistent with colonic ischemia and the distribution is classic for a watershed region. According to the American College of Gastroenterology guidelines, this patient should be rated as having a "moderate" level of severity. This level of severity is defined by patients having colonic ischemia and having up to 3 of the following risk factors: **male gender, hypotension, tachycardia, abdominal pain without rectal bleeding, BUN \>20 meq/dL, hemoglobin \<12 mg/dL, lactate dehydrogenase \>350 U/L, serum sodium \<135 meq/L, WBC \>15,000 cells/mL****3****, and/or mucosal ulceration on colonoscopy**. This patient has an increased WBC count and mucosal ulceration on colonoscopy. Therefore, she would meet 2 of the criteria for moderate disease and is indicated for intravenous fluids, bowel rest, and antimicrobials. A CTA is only recommended to be considered when colonic ischemia is isolated to the right colon. Surgical and intensive care unit referral are only indicated for those patients with "severe disease" with \>3 risk factors for severity, peritoneal signs on physical exam, gangrene on colonoscopy, isolated right colonic ischemia, and/or CT scan showing portal venous gas or pneumatosis linearis.
44
Mycophenolate induced diarrhea and colitis A 64-year-old woman presents with persistent diarrhea. Her history is significant for kidney transplant in the past year for end-stage renal disease, multiple myeloma, and diabetes. She states her diarrhea started after her kidney transplant. Stool cultures are negative, and she has both daytime and nocturnal stools with a minimum of 10 per day. She has been admitted in the past month for severe ileus and was taking anti-diarrheal medication at the time. Her other medications include prochlorperazine, prednisone, tacrolimus, mycophenolate, pregabalin, and ASA. Colonoscopy reveals **mild, patchy erythema of the colon in the rectosigmoid, cecum, and ascending colon [FIGURE] with terminal ileal biopsies showing mild prominence of eosinophils and right and left colon biopsies having foci of cryptitis, crypt distortion with focal necrosis, and apoptotic bodies.** What is the most likely etiology of her colitis?
* **mycophenolate-induced DIARRHEA + COLITIS** * Magnesium and tacrolimus - diarrhea but neither cause colitis. * Path * **eosinophils along with the apoptotic damage** is suggestive of medication-induced colitis
45
51-year-old man chronic abdominal pain and diarrhea CT scan revealing "findings suggestive of proctitis. However, persistent narrowing of the rectum concerning for underlying stricture and further evaluation with lower endoscopy is recommended." Labs ok. A stool culture and ova and parasites exam are pending. Flex sig retroflexion in the rectum [FIGURES A and B]. Based on the appearance of this lesion, which is the best next diagnostic and/or treatment step? **A. Referral to colorectal surgery for possible treatment with cryotherapy** B. Endoscopic ultrasound to evaluate for possible local extension/invasion C. Sitz baths and topical nifedipine ointment applied twice daily D. No treatment necessary
* condylomata acuminata (CA) (anal warts) * A confirmatory biopsy of the lesion revealed "fragments of condyloma acuminatum." * **CA is caused by human papilloma virus (HPV) - most common std** * CA of the anorectum typically appears as in the photo, with small flat-topped to globoid-shaped papules _distal to the dentate line_. * Tx: cryotherapy or surgery
46
Conditions most associated with stercoral colitis
* group of neurologic conditions including **dementia, Parkinson’s disease, and Alzheimer’s disease** were most frequently associated with fecal impaction with stercoral colitis being seen in 21.9% of the patients. * Both CVA and malignancy were seen in 14.6% of patients and being bedridden due to recent surgery was seen in 9.7%.
47
Risk factor inc sessile adenomas
S for SMOKING
48
A 34-year-old man undergoes complete colonoscopy for rectal bleeding, abdominal pain, and weight loss. CT scan demonstrated lesions consistent with hepatic metastases. On colonoscopy, cancer is detected at the hepatic flexure. The hepatic lesions are consistent with a CRC primary and the colon cancer shows **microsatellite instability (MSI-H).** Which of the following is recommended? A. The patient’s parents should undergo germline testing for Lynch syndrome. B. The patient should recommend his first-degree relatives begin colonoscopy at the age of 40. C. The patient should continue colonoscopy every 1-2 years after the 1-year follow-up exam. **D. The patient should undergo therapy with a PD-1 inhibitor.**
This patient’s tumor has evidence of MSI-H. Additional features are suggestive of Lynch syndrome including the young age of onset and the lesion's proximal location. The patient should have further investigation for Lynch syndrome with **immunohistochemistry to direct germline testing**. It is not recommended that unaffected patients undergo predictive testing if there is an affected relative available for testing. Affected patients are most informative. At this point, it is not known if the patient has Lynch syndrome or not and thus recommendations for age to start colonoscopy in his relatives or the frequency of his exam is unknown. What is clear is that this patient requires chemotherapy with PD-1 inhibitor such as pembrolizumab. Progression-free and overall survival have been shown to be afforded to patients with MSI-H CRC with the use of anti PD-1 therapy.
49
benign juvenile polyp vs jps
histology - cystic architecture with mucus-filled glands - prominent lamina propria - dense infiltration with inflammatory cells most common childhood colonic polyp, typically occurring in patients \<10 years of age. However, they can be diagnosed in adulthood usually after an episode of painless bleeding BJP - sporadic and not associated w/ JPS - not neoplastic but may be associated with dysplasia - If completely removed, no endoscopic surveillance is required. -- juvenile polyposis syndrome (JPS) - **autosomal dominant** (with incomplete penetrance) colon cancer syndrome that should be suspected if - **multiple (\>5) juvenile polyps in the colon** - juvenile polyps outside the colon - **or a family history of JPS** JPS is a hamartomatous polyposis syndrome. Histology of JPS polyps is similar to isolated juvenile polyps except that adenomatous features may also be present in JPS polyps. Familial studies suggest that these patients have up to a 50% risk of GI cancer, which can present at an early age (mean age 30s). Cancer of the colon, duodenum and stomach, and pancreas are most common in these patients. Genetic mutations are identified in 40-60% and include BMPR1A, DPC4, and SMAD4, a transforming GF-β intracellular signaling molecule. Surveillance colonoscopy should be performed **every 3 years** beginning from the time of symptom occurrence or in early teen years if asymptomatic with a family history. EGD should be performed every 2 years beginning at age 15.
50
A 68-year-old woman presents with a 12-week history of watery diarrhea. She has mild abdominal cramping and urgency that are partially relieved after a bowel movement. She has lost 7 lb during this illness. Stool studies for *C. difficile* and parasites are negative. Fecal calprotectin is 15 µg/mg. Laboratory test results are normal except for a mildly elevated sedimentation rate. A diagnostic colonoscopy is performed and reveals patchy areas of hyperemic mucosa throughout the colon with a normal distal terminal ileum. Representative biopsies are shown in the FIGURE. The patient is started on budesonide 9 mg daily for 8 weeks and experiences no improvement. Which of the following therapies would be recommended at this time? **A. Infliximab** B. Referral for proctocolectomy C. Mesalamine orally D. Combination oral and per rectum mesalamine
refractory microscopic colitis. * first line rx: budesonide * refractory cases - TNF-alpha inhibitor therapy * Colectomy is reserved for severe cases refractory to steroids and biologic therapy.
51
A 50-year-old woman undergoes a screening colonoscopy. She has a 4-mm polyp removed via cold snare polypectomy. Pathology reveals **traditional serrated adenoma.** When would you recommend a repeat colonoscopy? A. 1 year **B. 3 years** C. 5 years D. 10 years
Traditional serrated adenomas are the least common of the serrated polyps (hyperplastic, sessile serrated, and traditional serrated). Endoscopically, they exhibit a pinecone-like appearance. According to guidelines from the U.S. Multi-Society Task Force, the recommended follow-up after removal of a traditional serrated adenoma is 3 years.
52
other follow besides colonoscopy 1-3-5 for resected colon cancer?
* for stage 2 and stage 3 colorectal cancers include **CEA levels every 2-3 months** for the first 2 years and **annual abdominal-pelvic CT scan with IV contrast for the first 5 years**. * **EUS** follow-up is typically used only after resection of **rectal cancers.**
53
A 28-year-old man without prior medical history presents to you with increasing mild fatigue despite being able to run a 10-km race 3 weeks prior. He denies using any recreational drugs. On physical examination, his lung fields are clear to auscultation, and his **liver percusses to 10 cm at the mid-costal margin where you hear a low-grade bruit.** He has **no apparent skin lesions.** Laboratory evaluation reveals a **hematocrit of 26%, mean corpuscular volume of 74 fL, and serum iron of 35 µg/dL.** You perform a colonoscopy and note more than **75 polyps throughout the colon with most less than 5 mm in diameter, including 10 pedunculated lesions up to 2 cm in diameter.** You remove the large polyps via snare. Esophagogastroduodenoscopy performed at the same time was unremarkable. Pathological examination of the resected colon polyps reveals that they are **juvenile polyps.** What is this patient’s most likely diagnosis? A. Cowden disease B. Peutz-Jeghers syndrome C. *MYH*-associated polyposis **D. Hereditary hemorrhagic telangiectasia**
* multiple colonic juvenile polyps, indicating that the patient has a **hamartomatous polyposis** syndrome and _not an adenomatous polyposis syndrome_ such as *MYH*-associated polyposis. * **Peutz-Jeghers’ - mucocutaneous melanosis** and a distinctive hamartomatous polyp with features of **collagen arborization.** * **Cowden disease** patients often have **facial trichilemmomas with a mixture of hyperplastic and juvenile polyps**. * hereditary hemorrhagic telangiectasia overlap due to the key findings of **multiple colonic juvenile polyps and a liver bruit** * Both conditions are caused by germline defects within the **TGF-beta signaling pathway, namely the** ***SMAD4*** **gene**. * Arteriovenous malformations can be found in this overlap syndrome in the brain, lungs, and liver, among other areas.
54
Treatment of fecal incontinence presenting with diarrhea and rectal urgency
* colonoscopy first * if negative can start trials of antidiarrheal agents should be considered as first-line therapy before moving on with additional treatments or evaluation like ARM
55
Features that require resection of pedunculated polyp
Indication for surgical resection in pedunculated polyps 1. cancer on the stalk resection line (or within 2 mm of the resection line), 2. poor differentiation 3. any element of lymphovascular invasion