Liver Flashcards

(55 cards)

1
Q

A 67-year-old woman is referred to hepatology clinic for abnormal liver enzymes. The patient had been seen for several years and noted to have mildly elevated liver enzymes but worsened recently. Laboratory test results included AST 55 U/L (normal: 0-35 U/L), ALT 50 U/L (normal: 0-35 U/L), alkaline phosphatase 400 U/L (normal: 36-92 U/L), total bilirubin 1.4 mg/dL (normal: 0.3-1.2 mg/dL), and direct bilirubin 0.6 mg/dL (normal: 0-0.3 mg/dL). A GGT was performed and elevated at 172 U/L (upper limit of normal 55 U/L). Total abdominal ultrasound was normal with the exception of a surgically absent gallbladder. Magnetic resonance cholangiopancreatography revealed normal caliber bile ducts. Over the past 2 years, the patient has not started any new prescription medications, denies herbal supplements and non-steroidal anti-inflammatory drug use, and has not taken any antimicrobials. A serological workup was obtained which revealed no evidence of viral hepatitis, Wilson’s disease, alpha-1 antitrypsin deficiency, or hemochromatosis. Additionally, her quantitative immunoglobulins, anti-mitochondrial antibodies, and smooth muscle antibodies were normal. The only positive serological test was a positive p-ANCA.

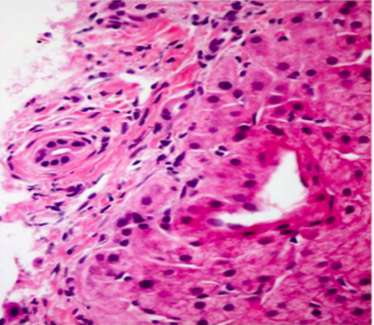
Due to the diagnostic uncertainty of the condition, a liver biopsy was performed. There was minimal steatosis (less than 5%) without evidence of interface activity. There was no evidence of granulomatous inflammation in the liver. In the portal tracts, there was evidence of bile duct loss in multiple portal tracts. In portal tracts with representative bile ductules, there was evidence of sclerosis. There was no evidence of ductulitis and no neutrophils were present in the portal tracts. IgG4 staining was performed and negative. A representative section of the biopsy is seen in the figure. What is the most likely explanation for his current liver injury?

A. Primary biliary cholangitis

B. Drug-induced liver injury

C. Small duct primary sclerosing cholangitis

D. Ascending cholangitis

A

In all patients with elevated liver enzymes, a full serological workup should be obtained. In patients with cholestatic elevations in alkaline phosphatase, a confirmatory test should be done to ensure the elevation is biliary in origin with either a gamma glutamyl transferase or 5’ nuclotidase. If the elevation is confirmed to be biliary in origin, then an imaging test is warranted as the most common cause of cholestatic elevations in liver injury tests is biliary disease. In patients with negative imaging, a liver biopsy could be considered to discover an etiology. In this case, the biopsy would be consistent with small duct primary sclerosing cholangitis.

Primary biliary cholangitis (PBC) is a more common entity but in this case, there are several things that make this diagnosis less likely. The vast majority of patients with PBC will be positive for AMA. Patients with “AMA negative” PBC will typically have either in IgM or findings on liver biopsy suggestive of PBC. In this particular case, neither is seen.

Drug-induced liver injury (DILI) can be particularly difficult to diagnose but is primarily based on history. The 10 most common culprits for clinically significant DILI are NSAIDs and antibiotics. In this case the history would not support this as a probable diagnosis.

How well did you know this?
1
Not at all
2
3
4
5
Perfectly
2
Q

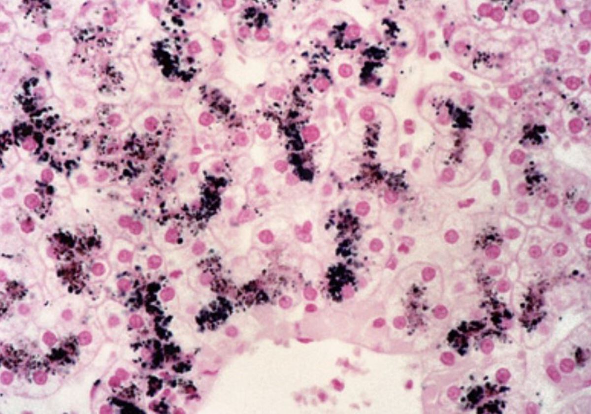
A previously healthy 14-year-old child is brought to her physician’s office by her mother for pale colored stools over the past 2 weeks. The patient appears jaundiced. Hepatic function panel demonstrates a total bilirubin level of 6.7 mg/dL (normal: 0.3-1.2 mg/dL) and direct bilirubin level of 4.6 mg/dL (normal: 0-0.3 mg/dL). A liver biopsy was obtained [figure]. Diagnosis?

A. Gilbert’s syndrome - indirect

B. Crigler-Najjar syndrome

E. Dubin-Johnson syndrome

A
  • Hereditary hyperbilirubinemias
    • UNCONJ - Gilbert’s and Crigler-Najjar - elevated indirect bilirubin levels.
    • CONJ - Dubin-Johnson and Rotor
    • Dubin-Johnson syndrome normally causes non-pruritic jaundice that may first present in the teenage years.
  • A conjugated hyperbilirubinemia may result from impaired excretion of bilirubin from the liver due to hepatocellular disease, drugs, sepsis, hereditary hepatocyte transport defects (i.e., Dubin-Johnson syndrome), or extrahepatic biliary obstruction.
  • However, the liver biopsy associated with this patient is pathognomonic of Dubin-Johnson with the dark pigmentation in the hepatocytes.
How well did you know this?
1
Not at all
2
3
4
5
Perfectly
3
Q

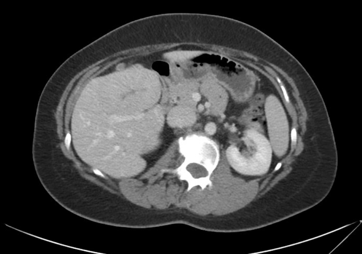
25F w/ NAFLD w/ right upper quadrant pain. PMH DM2, HLD, obesity. OCPs for the past 8 years. Physical exam is notable for obesity without spider angiomata, hepatosplenomegaly, or palmar erythema. Laboratory test results reveal AST 48 U/L (normal: 0-35 U/L) and ALT 65 U/L (normal: 0-35 U/L). Total bilirubin, albumin, alpha feto-protein (AFP), and CA 19-9 are all normal. An MRI of the abdomen with contrast reveals a 6.2-cm lesion in segment 5/6 which enhances on the arterial phase without washout or central scar [figures A and B]. Which of the following is the best recommendation for this patient?

A. Stop oral contraceptives and obtain an ultrasound in 6 months.

B. Obtain a CT liver protocol.

C. Refer for surgical resection of the lesion.

D. Reassure and follow up as needed.

A
  • Hepatocellular adenoma >5-cm lesion
    • Symptomatic pts HCA >5 cm - surgical resection
  • Although stopping oral contraceptives would be part of the recommended plan, given size and symptoms, intervention indicated rather than repeat imaging
  • CT liver protocol - No, Dx clear here
  • Reassurance/follow-up not acceptable given the risk of malignant transformation in HCAs >5 cm and symptoms
How well did you know this?
1
Not at all
2
3
4
5
Perfectly
4
Q

24F no PMH w/ epigastric abdominal pain. OCPs 8 years. VSS, PE right lower quadrant discomfort to deep palpation. CBC, CMP, lipase wnl. CT [figure]. next step in management?

A. MRI

B. Biopsy of the mass

C. Surgery consultation

D. Observation

A
  • simple cyst of the liver without features of complexity, rupture, or malignancy.
  • An MRI would not add much to this diagnosis and would add cost.
  • Biopsy of the cyst is not indicated as there are no features of complexity that would suggest the possibility of biliary cystadenoma or biliary cystadenocarcinoma.
  • Surgery consultation could be considered if the patient had a complex cyst for possible resection; however, the most prudent and best next step is to observe the patient with outpatient follow-up.
How well did you know this?
1
Not at all
2
3
4
5
Perfectly
5
Q

A 67-year-old man with history of hepatitis C cirrhosis sees you after recent presentation in emergency department with abdominal pain 5 years after achieving sustained virological response (SVR). Unfortunately, he was lost to follow-up after achieving SVR so he had not been undergoing hepatocellular carcinoma (HCC) surveillance. He underwent CT imaging in the emergency department, which demonstrated a large liver mass. He subsequently underwent a diagnostic MRI of the abdomen, which showed a large liver mass in the right lobe with arterial enhancement and delayed washout, including evidence of vascular invasion (LR-TIV) [figures A and B]. His chest CT done at that time showed evidence of pulmonary metastases. His liver function remains preserved after achieving SVR, with no history of ascites or hepatic encephalopathy. Laboratory test results demonstrate bilirubin 0.9 mg/dL (normal: 0.3-1.2 mg/dL), albumin 3.7 g/dL (normal: 3.5-5.5 g/dL), and INR 1.1 (normal: <1.4). Platelet count is 147,000/µL (normal: 150,000-350,000/µL). What would be the recommended management strategy for this patient?

A. Discuss that this is highly unlikely to be HCC since he is 5 years removed from achieving SVR.

B. Refer for biopsy of the lesion to establish a definitive diagnosis.

C. Refer to interventional radiology for locoregional therapy (e.g., transarterial chemoembolization or radioembolization).

D. Perform an EGD to assess for varices and refer the patient to medical oncology for systemic therapy with atezolizumab and bevacizumab.

E. Refer the patient to hospice given poor prognosis.

A

B = Bevacizumab bleeds, do EGD
This patient was found to have definite HCC with evidence of vascular invasion (LR-TIV). This patient has advanced-stage HCC (Barcelona Clinic Liver Cancer stage C) in the setting of compensated cirrhosis. Patients with advanced-stage HCC are not eligible for surgical or locoregional therapies in most cases and should be referred for systemic therapy. Although tyrosine-kinase inhibitors (TKIs) can be used, the IMBrave150 trial recently demonstrated superiority of atezolizumab/bevacizumab as first-line therapy for these patients. Given the risk of bleeding in the setting of HCC and with use of bevacizumab, patients should undergo an EGD to confirm that they have a low risk of bleeding prior to treatment initiation.

How well did you know this?
1
Not at all
2
3
4
5
Perfectly
6
Q

You are consulted on a 23-year-old man for evaluation of abnormal liver function tests. He has a history of neuropsychiatric disease and lives in an assisted care facility. He cannot provide a medical history and has spastic movements. Physical examination reveals the eye findings in the figure. Laboratory test results reveal AST 67 U/L (normal: 0-35 U/L), ALT 75 U/L (normal: 0-35 U/L), and alkaline phosphatase is 16 U/L (normal: 36-92 U/L). Which of the following is the best test to make a diagnosis?

A. Liver biopsy

B. Serum ammonia level

C. Molecular testing for Wilson disease

D. Ceruloplasmin and 24-hour urine copper

E. Slit lamp examination

A

20 & 40

definitive diagnosis of Wilson disease can be established when the patient has:

1. Kaiser Fleischer rings;

2. ceruloplasmin <20 mg/dL; and

3. 24-hour urine copper >40 micrograms

How well did you know this?
1
Not at all
2
3
4
5
Perfectly
7
Q

A 51-year-old woman with no known past medical history presented to the hospital with 1 week of jaundice, fatigue, weakness, and decreased appetite. Prior to 1 week ago, she had no symptoms and no known history of liver disease. She does not take any medications, herbal supplements, or illicit drugs, and she does not smoke cigarettes or consume alcohol. She has no prior surgeries, tattoos, or blood transfusions. She frequently donates blood, with the last time being 6 months ago.

Laboratory test results on admission:
Total bilirubin 20.8 mg/dL (normal: 0.2-1.3 mg/dL)
Direct bilirubin 18.8 mg/dL (normal: 0-0.3 mg/dL)
Alkaline phosphatase 328 U/L (normal: 36-92 U/L)
AST 1,860 U/L (normal: 0-35 U/L)
ALT 1,548 U/L (normal: 0-35 U/L)
INR 1.0 (normal: <1.4)

Viral hepatitis panel was notable only for positive hepatitis C virus (HCV) antibody. HCV RNA quantification was 27,100,100 IU/mL and was genotype 1b. Serologies for HBsAg, anti-HBcore IgM, and anti-HAV-IgM were negative. Autoimmune liver disease workup for alternative causes of acute liver injury was unremarkable. Magnetic resonance cholangiopancreatography (MRCP) was performed and was unremarkable. Liver biopsy was performed and showed active portal and lobular hepatitis [figure]. What is the best next step?

A. Wait 12 weeks and repeat HCV RNA quantification.

B. Treat with sofosbuvir/velpatasvir now for 12 weeks.

C. Treat with interferon alpha and ribavirin for 24 weeks.

D. Refer to liver transplant center.

A

Because of the very tolerable safety profile of the new HCV treatment regimens and to reduce potential risk of transmission of HCV, the AASLD guidelines on management of HCV infection from 2020 recommend treatment of acute HCV infection with the same regimens that are recommended for chronic HCV infection. This is a change from the AASLD guidelines from 2018, which recommended monitoring HCV RNA for at least 12-16 weeks before starting treatment.

There are currently 4 different regimens that are recommended as first line options for treatment naïve chronic HCV genotype 1 infection: elbasvir/grazoprevir, glecaprevir/pibrentasvir, ledipasvir/sofosbuvir, and sofosbuvir/velpatasvir. The patient is not in acute liver failure at this time so there is no indication for transfer to a liver transplant center.

How well did you know this?
1
Not at all
2
3
4
5
Perfectly
8
Q

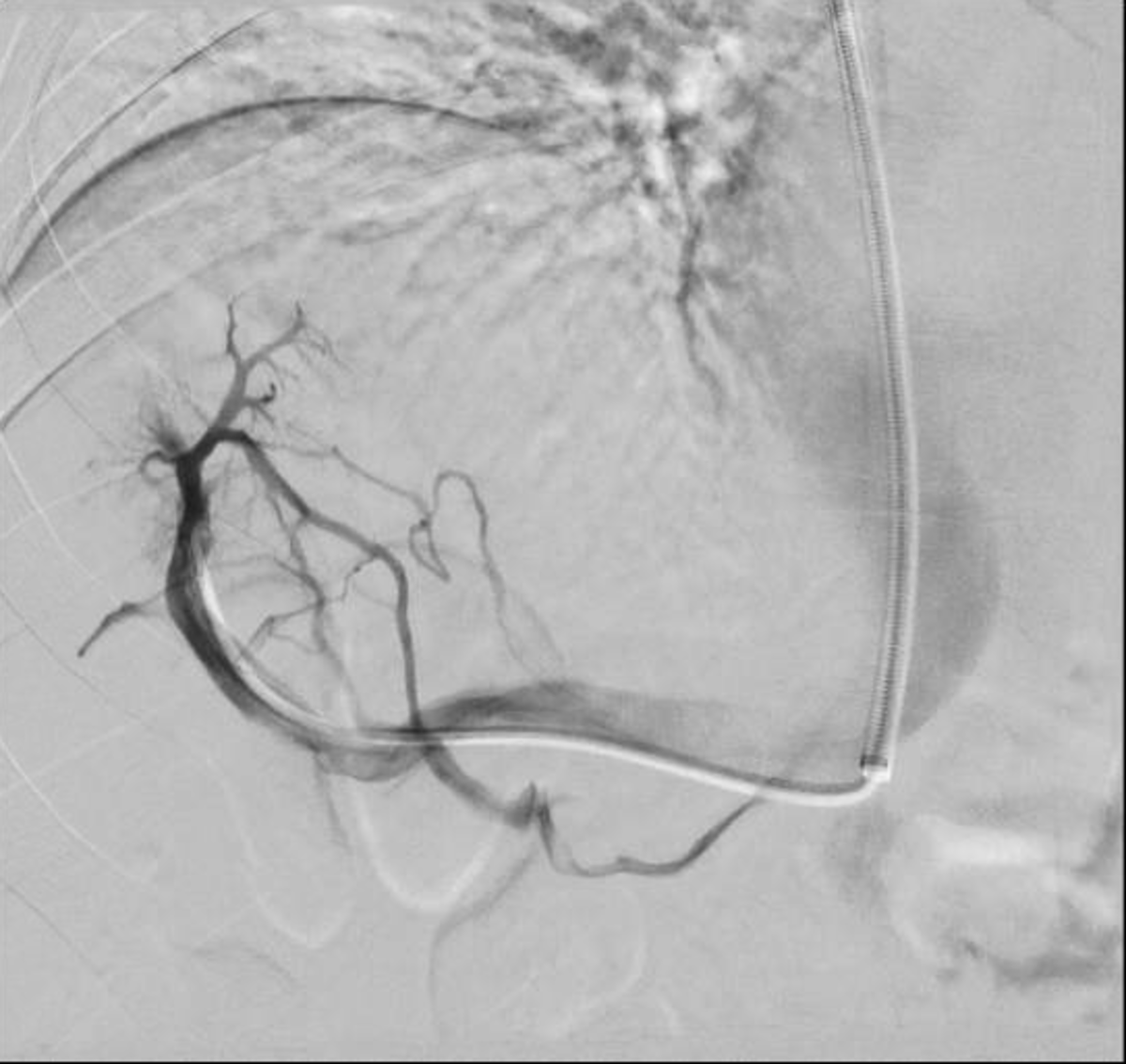
19M, no PMH, w/ abnormal liver function tests. He reports trauma to the abdomen during a fist fight 1 year prior. He has not had jaundice, nausea, or vomiting. Liver tests reveal ALT 78 U/L (normal: 0-35 U/L), AST 72 U/L (normal: 0-35 U/L), total bilirubin 1.4 mg/dL (normal: 0.3-1.2 mg/dL), alkaline phosphatase 240 U/L (normal: 36-92 U/L), and normal albumin. CBC is normal except for a platelet count of 140,000/µL (normal: 150,000-300,000/µL). CT scan reveals hepatomegaly and caudate hypertrophy. A procedure is performed as shown in the figure. What is the best next step in management?

A. TIPS placement

B. Anticoagulation

C. Referral for liver transplantation

D. Angioplasty of the hepatic vein

A
  • The patient has Budd-Chiari syndrome with the CT findings supportive of hepatic vein outflow obstruction (caudate lobe hypertrophy as the lobe maintains its direction drainage to the IVC) and venogram showing very diminutive hepatic veins with intrahepatic venous to venous collaterals with a spider web appearance.
  • Given that the patient does not have features of decompensated cirrhosis, nor acute liver failure, there is no indication for interventional radiology treatment with angioplasty, TIPS, or for liver transplantation.
  • These could be considered if initial therapy with systemic anticoagulation fails, as determined by worsening liver or renal function, or the development of ascites or hepatic encephalopathy. Evaluation for a hypercoagulable state and anticoagulation is the usual first step in this setting.
How well did you know this?
1
Not at all
2
3
4
5
Perfectly
9
Q

A 21-year-old man with mild ulcerative colitis controlled on mesalamine is referred for elevated liver enzymes. Exam is unremarkable.

Laboratory test values:
Total bilirubin 1.4 mg/dL (normal: 0.3-1.2 mg/dL)
Alkaline phosphatase 563 U/L (normal: 36-92 U/L)
AST 325 U/L (normal: 0-35 U/L)
ALT 410 U/L (normal: 0-35 U/L)
GGT 995 U/L (normal: ≤40 U/L)
ANA 1:40, speckled (normal: <1:20)
Anti-M2 0.8 (normal: <1.1)
Smooth muscle Ab negative
IgG 3,066 mg/dL (normal: 600-1,580 mg/dL)
HBsAg negative
HCV Ab negative

Abdominal ultrasound shows a mildly dilated left intrahepatic bile duct. A portal tract from his liver biopsy is shown in the figure. The pathologist reports exuberant fibrosis around one of the bile ducts, consistent with possible primary sclerosing cholangitis. There is a chronic inflammatory portal infiltrate with lymphocytes and plasma cells. There is mild cholangitis but no ductopenia. There is severe interface hepatitis. What is the best initial treatment for him?

A. Vedolizumab 300 mg at weeks 0, 2, 6, then every 8 weeks

B. Ursodiol 28 mg/kg/day

C. Observation only

D. Prednisone 40 mg/day + azathioprine 50 mg/day

A

The correct answer is D (prednisone 40 mg + azathioprine 50 mg), because the patient has AI-PSC overlap/autoimmune sclerosing cholangitis, for which the appropriate treatment is prednisone + azathioprine. The diagnosis of PSC is made from the cholestatic enzymes, dilated bile ducts, and periductal fibrosis in a young male with UC. The diagnosis of AIH is made by severe interface hepatitis, high IgG and high transaminases, ANA, and IgG. Answer A is incorrect because vedolizumab has not been shown to improve PSC or AIH, and his UC is well controlled on mesalamine. Answer B is incorrect because high-dose ursodiol has been shown to be detrimental in PSC. Answer C is incorrect because he will progress to cirrhosis or even acute liver failure without treatment.

How well did you know this?
1
Not at all
2
3
4
5
Perfectly
10
Q

29M inc LFTS, asymptomatic. PE without evidence of jaundice, hepatomegaly or splenomegaly. His laboratory test results are notable for total bilirubin 2.0 mg/dL (normal: 0.3-1.2 mg/dL), AST 51 U/L (normal: 0-35 U/L), ALT 64 U/L (normal: 0-35 U/L), and alkaline phosphatase is 168 U/L (normal: 36-92 U/L). MRCP figure. What is the best next step in his management?

A. Endoscopic ultrasound

B. Upper endoscopy

C. Colonoscopy

D. Endoscopic retrograde cholangiopancreatography

E. Liver biopsy

A
  • Primary sclerosing cholangitis (PSC) should be considered in patients with a cholestatic pattern of liver test abnormalities particularly an elevated alkaline phosphatase.
  • The diagnosis is then made by cholangiographic evidence of characteristic bile duct changes (multifocal strictures, segmental dilations).
  • MRCP for dx
  • In patients with characteristic findings on cholangiography, a liver biopsy is typically not required.
  • Inflammatory bowel disease (IBD) in patients with PSC may frequently be asymptomatic and have a quiescent course. Therefore, a full colonoscopy with biopsies is recommended in patients with PSC regardless of the presence of symptoms to screen for IBD.
How well did you know this?
1
Not at all
2
3
4
5
Perfectly
11
Q

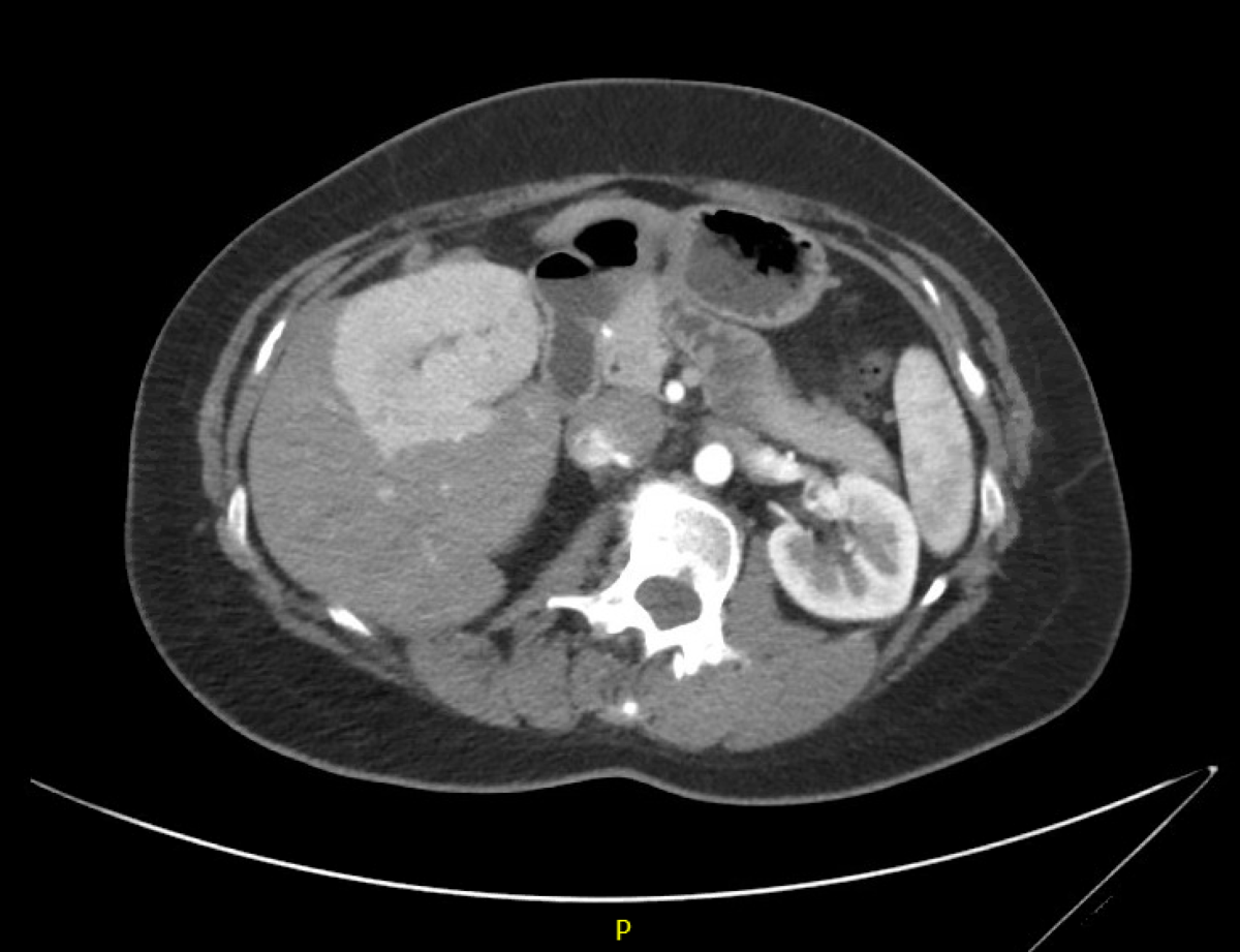
A 39-year-old woman with a history of hypothyroidism and gastroesophageal reflux disease presents with a 3-month history of increasing right upper quadrant pain. She has 2 children and no history of oral contraceptives. Physical examination does not reveal hepatomegaly or splenomegaly. Liver function tests, AFP, and CA 19-9 are normal. EGD was notable for features of mild esophagitis. Computed tomography (CT) scans are as shown in figures A and B. What would you do next?

A. Biopsy of the lesion

B. MRI of the liver

C. Referral for surgical resection of the lesion

D. Referral to interventional radiology for embolization

A
  • The CT shows a solitary, solid, large lesion with homogeneous enhancement, central non-enhancing scar during the arterial phase characteristic of focal nodular hyperplasia (FNH). The lesion returns to a precontrast density during the portal phase that is hypo or isodense.
  • Biopsy of FNH is not routinely indicated unless the lesion can’t be distinguished from hepatocellular adenoma (HCA) or hepatocellular carcinoma (HCC). MRI with hepatobiliary contrast can be obtained if the CT scan is not characteristic of FNH, to further evaluate for HCA or HCC.
  • However, it is not recommended when there are clear FNH characteristics as in this case.
  • Because the patient is symptomatic and has had an otherwise negative evaluation, intervention would be recommended. In this case, in an otherwise healthy patient who is a surgical candidate, referral for surgical resection would be advised for definitive therapy.
  • Embolization via interventional radiology is reserved for patients who are not surgical candidates.
  • lack of portal hypertension (platelet count >100,000/µL) (sep Q)
How well did you know this?
1
Not at all
2
3
4
5
Perfectly
12
Q

A 54-year-old Caucasian woman with a known history of hypothyroidism, type 2 diabetes, and being overweight was seen at the office for evaluation of abnormal liver tests. She denied any risk factors for viral hepatitis or changes in her medications. There is no associated history of jaundice, pruritus, dry eyes, or respiratory symptoms. Examination revealed normal vital signs and absence of xanthelasma.

Laboratory tests revealed:
AST 63 U/L (normal: 0-35 U/L)
ALT 72 U/L (normal: 0-35 U/L)
GGT 428 U/L (normal: 0-30 U/L)
Alkaline phosphatase 623 U/L (normal: 36-92 U/L)
Elevated ACE level 84 nmol/mL/min
Serum antimitochondrial antibodies negative
Anti-smooth muscle antibodies 1:120
ANA positive
IgG 2,219 mg/dL (normal: 640-1,430 mg/dL)
IgM 310 mg/dL (normal: 20-140 mg/dL)

Abdominal ultrasound revealed fatty infiltration of the liver, normal CBD, and no obvious mass lesions. Liver biopsy done is shown in the figure. What is the best management option for the treatment of this patient?

A. Initiation of prednisone and azathioprine

B. Referral to pulmonary for evaluation of sarcoidosis

C. Initiation of ursodiol and obeticholic acid

D. Cholestyramine

E. Ursodiol

A 54-year-old woman is referred to you with a history of persistently elevated liver enzymes. Her past medical history is remarkable for hypothyroidism, obesity (BMI 36), and diabetes. She reports fatigue but no jaundice, nausea, or pruritus. On examination, there is no evidence of hepatomegaly, icterus, or ascites. There are a few spider angiomata on her chest wall. Liver tests reveal ALT 54 U/L (normal: 0-35 U/L), AST 42 U/L (normal: 0-35 U/L), total bilirubin 1.1 mg/dL (normal: 0.3-1.2 mg/dL), alkaline phosphatase 380 U/L (normal: 36-92 U/L), and normal albumin. CBC is normal. Hepatitis B, C testing, ASMA, IgG is negative. ANA is 1:20. AMA is 1:160 and IgM is mildly elevated. An ultrasound and MRI are unremarkable except for echogenicity suggestive of steatosis. What would be the best next step in the management of this patient? Ursodiol or liver biopsy?

A
  • In this patient with cholestatic hepatitis and existing autoimmune disorder-related hypothyroidism, even though the ACE level was elevated, the histology reveals a florid duct lesion and not granulomatous lesions seen in hepatic sarcoidosis.
  • The diagnosis of PBC can be established when 2 of the following 3 criteria are met:
    1. Biochemical evidence of cholestasis based on ALP elevation
    2. Presence of AMA, or other PBC specific autoantibodies including sp100 or gp 210, if AMA is negative
    3. Histologic evidence of nonsuppurative destructive cholangitis and destruction of interlobular bile ducts.

Ursodiol has been shown to improve transplant-free survival in patients with PBC. When alkaline phosphatase is normalized, the patient has exactly the same life expectancy as someone without PBC.

  1. The patient has features associated with primary biliary cholangitis (PBC). The laboratory testing is suggestive of PBC based on demographics (older woman), AMA+, cholestatic liver function tests. The key teaching point is that a liver biopsy is NOT necessary to make the diagnosis of PBC. PBC can be diagnosed based on 2 out of 3 criteria in the setting of chronic cholestasis: increased alkaline phosphatase, AMA ≥1:40, liver biopsy with nonsuppurative destructive cholangitis, and bile duct loss. ANA can be positive in up to 50% of patients with PBC, and the ALT and AST can often be mildly elevated as in this case. These do not suggest the diagnosis of autoimmune hepatitis that would justify consideration of immunosuppression. Thus, there is enough information in the presentation data to diagnose PBC and to initiate ursodiol. Obeticholic acid is not advised as first-line therapy and is used as secondary therapy.
  2. Other facts
    1. Risk stratification calculators are done with the Mayo PBC risk score to determine who would benefit from varices and hepatocellular carcinoma screening.
    2. This is primarily seen in patients who are nonresponsive to therapy and/or have thrombocytopenia.
    3. Osteoporosis is seen in up to 1/3 of patients with PBC. The relative risk of osteoporosis is 4.4 times the age matched cohort. The most important point is that osteoporosis occurs irrespective of disease course or normalization of liver enzymes.
    4. Vitamin D 1,000 IU per day and calcium supplementation are recommended for all patients with PBC.
    5. EGD for varices screening as well as liver ultrasound would only be indicated if known cirrhosis and Mayo Risk score >4.1
How well did you know this?
1
Not at all
2
3
4
5
Perfectly
13
Q

33m abnl LFTs. Experiencing pruritus. PE telangiectasias on his chest. No FH CRC. Labs ALP 300 IU/L (normal: 44-147 IU/L) with normal AST, ALT, and total bilirubin. Platelets are 135,000 x 10(9)/L (normal: 151-355 x 10(9)/L). AUS coarse hepatic echotexture and no biliary dilation. MRCP shown. Colonoscopy - normal, and random colon biopsies show normal colonic mucosa. Recommended interval for colon CRC screening?

A. 1 year

B. 10 years

C. 5 years

D. 12 years

A
  • This patient has evidence of cholestatic liver injury given elevated alkaline phosphatase and pruritus. There is also evidence of portal hypertension from chronic liver disease given cutaneous telangiectasias and thrombocytopenia.
  • MRCP shows numerous segmental strictures - PSC
  • Following a diagnosis of PSC, given the risk for colitis/CRC, colonoscopy with random colon biopsies is recommended.
    • PSC without colitis
      • every 3-5 years
    • PSC and colitis - colonoscopy annually
How well did you know this?
1
Not at all
2
3
4
5
Perfectly
14
Q

An elderly woman with recurrent urinary tract infections, presents with fatigue, jaundice, and dark urine. Her liver biochemistries showed ALT 396 U/L (normal: 0-35 U/L) , alkaline phosphatase 162 U/L (normal: 36-92 U/L), and total bilirubin 9.1 mg/dL (normal: 0.3-1.2 mg/dL). Her medications include diltiazem 160/day, simvastatin 20 mg/day, metformin 1,000 mg/day, and nitrofurantoin 100 mg/day. Laboratory workup demonstrated negative serologies for hepatitis A virus, hepatitis B virus, and hepatitis C virus. Additional testing showed antinuclear antibody positive in 1:640 dilutions, anti-smooth muscle antibody negative, and serum immunoglobulin IgG level 2,400 mg/dL (normal: 640-1,430 mg/dL). Liver ultrasound was reported as normal. What is the most likely cause of this patient’s abnormal liver tests?

A. Nitrofurantoin-induced acute liver injury

B. Autoimmune hepatitis

C. Cryptogenic hepatitis

D. Sepsis

E. Pancreatic cancer

A
  • Chronic nitrofurantoin - DILI that mimics autoimmune hepatitis (AIH).
  • Other medications
    • minocycline, methyldopa, and hydralazine
  • It sometimes can be difficult to distinguish drug-induced liver injury from that of de novo AIH but the temporal relationship of the liver injury presentation to exposure to a medication with predilection to cause liver injury mimicking AIH and the course of liver injury improvement following the stopping of an implicated agent helps
How well did you know this?
1
Not at all
2
3
4
5
Perfectly
15
Q

A 56-year-old woman with a BMI of 44, diabetes with a hemoglobin A1C of 8.2%, and high cholesterol on statin therapy presents to your clinic. She has an AST 35 U/L (normal: 0-35 U/L) and an ALT 45 U/L (normal: 0-35 U/L). Imaging with elastography demonstrates steatosis with stage 2 fibrosis. Her platelet count is 211,000/µL. Hepatitis B and C serologies are normal. Her ferritin is 750 ng/mL (normal: 15-200 ng/mL) with an iron saturation of 42% (normal: 20-50%). Her ANA is 1:80 and her ASMA is 1:40 with an IgG of 1,220 mg/dL (normal: 640-1,430 mg/dL). She asks you what is most likely to have the biggest impact on her liver disease. Which of the following is the best treatment for her?

A. Treatment with prednisone and azathioprine

B. Therapeutic phlebotomies

C. Weight loss management

D. Change to a different statin

E. Treatment with ursodeoxycholic acid

A
  • Weight loss by any method is the treatment with the most robust data for the r_eversal of steatosis and fibrosis in the liver. A goal of 7-10% weight loss has the greatest likelihood of improving fibrosis_, whereas a 3-5% weight loss may only reverse the steatosis. Low titers of autoantibodies are present in over 20% of patients with fatty liver disease and are considered an epiphenomenon of no clinical consequence. With a normal IgG level, the likelihood that this is autoimmune hepatitis is very low and hence, treatment without a liver biopsy with steroids and azathioprine to treat autoimmune hepatitis would be incorrect.
How well did you know this?
1
Not at all
2
3
4
5
Perfectly
16
Q

A 60-year-old man with hypertension, obstructive sleep apnea, and diabetes presents to the emergency department with progressive abdominal distension and lower extremity swelling. On exam, he is well appearing and demonstrates a normal mental status, mild scleral icterus and jaundice, as well as a tense distended abdomen with a detectable fluid wave. His abdomen is nontender. The lower extremities demonstrate edema to the mid-shin. Rectal exam shows no evidence of bleeding.

Laboratory test results reveal the following:
WBC 8,000/µL (normal: 4,000-10,000/µL)
Hematocrit 10.4 g/dL (normal: 14-17 g/dL)
Platelet count 85,000/µL (normal: 150,000-350,000/µL)
Sodium 127 meq/L (normal: 136-145 meq/L)
Potassium 3.5 meq/L (normal: 3.5-5.0 meq/L)
Chloride 100 meq/L (normal: 98-106 meq/L)
Bicarbonate 22 meq/L (normal: 23-28 meq/L)
Blood urea nitrogen 28 mg/dL (normal: 8-20 mg/dL)
Creatinine 1.3 mg/dL (normal: 0.7-1.3 mg/dL)
Glucose 160 mg/dL (normal: 70-100 mg/dL)
AST 65 U/L (normal: 0-35 U/L)
ALT 20 U/L (normal: 0-35 U/L)
Total bilirubin 2.1 (normal: 0.3-1.2 mg/dL)
Alkaline phosphatase 142 U/L (normal: 36-92 U/L)
Albumin 2.8 g/dL (normal: 3.5-5.5 g/dL)
INR 1.4 (normal: <1.4)

Abdominal ultrasound demonstrated abdominal ascites with a cirrhotic-appearing liver. The portal vasculature is patent. A 3-liter diagnostic and therapeutic paracentesis is performed and reveals the following in the ascitic fluid: albumin level of 1.5, protein of 1.0, cell count 110, polymorphonucleocytes, and a negative gram stain. Which of the following is the best next step in management?

A
  • decompensated NASH cirrhosis given his metabolic comorbidities, ultrasound findings, and thrombocytopenia.
  • There is no evidence of spontaneous bacterial peritonitis at this time, though given his hyponatremia and elevated BUN and creatinine, he qualifies for primary SBP prophylaxis.
  • Criteria for SBP prophylaxis include
    1. having any prior episode of SBP
    2. GI bleeding in cirrhotic patient with ascites, as well as
    3. having low protein ascites (i.e., ascitic protein <1.5 g/dL) and
      1. 1 of either of the following 2 conditions:
        1. bilirubin >3 AND Child Pugh Score >9, or
        2. Na <130, creatinine >1.2, or BUN>25).
  • This patient has multiple indications to have SBP prophylaxis.
How well did you know this?
1
Not at all
2
3
4
5
Perfectly
17
Q

Hep B and pregnancy

A

antiviral therapy is recommended to reduce the risk of perinatal transmission of HBV in pregnant women with HBV DNA >200,000 IU/mL at the end of the second trimester, with an intent to continue antiviral therapy throughout the third trimester and for 0-12 weeks following delivery. Tenofovir disiproxil fumarate (TDF) is preferred due to available safety data in pregnancy and to minimize the risk of viral resistance

How well did you know this?
1
Not at all
2
3
4
5
Perfectly
18
Q

Amox-Clav

Hep B

A

causes cholestatic jaundice - most common cause for DILI in the western world and it typically causes cholestatic hepatitis after a short to moderate period of latency

In this patient with prior normal liver enzymes, anti-Hep B core antibodies should have been determined and monitored carefully for reactivation prior to initiation of HCV therapy and cancer or immunosuppressive drugs such as rituximab.

Reactivation is defined by: 1. HBV DNA is detectable; and 2. Reverse HBsAg seroconversion occurs. A hepatitis flare is reasonably defined as an ALT elevation by more than 3 times the baseline and >100 U/L. Prophylactic antiviral therapy should be administered 7 days before the onset of the anti-cancer therapy. The most commonly studied and recommended duration of prophylactic antiviral therapy is 6-12 months after discontinuation of anti-cancer therapy or immunosuppression. Unfortunately, this patient never received the appropriate prophylactic therapy and laboratory tests confirmed reactivation of HBV.

How well did you know this?
1
Not at all
2
3
4
5
Perfectly
19
Q

65M w. NASH cirrhosis, CTP Class A patient with a MELD score of 6. Losing weight and imp DM control. No decompensation. Platelets of 183,000/µL (normal: 150,000-350,000/µL). LFTs ALT 63 U/L (normal: 0-35 U/L) and albumin 3.3 mg/dL (normal: 3.5-5.5 g/dL). TE liver stiffness of 14 kPa. Variceal screening rec?

A. Get EGD now to screen for varices.

E. Avoid endoscopy now and follow his clinical course.

A
  • There have been changes in the guidelines for VS
  • Such patients include those with a transient elastography of <20 kPa and platelet counts >150,000/µL. These patients are felt to have a very low probability (<5%) of having high-risk varices.
How well did you know this?
1
Not at all
2
3
4
5
Perfectly
20
Q

A 32-year-old man is referred to your clinic for evaluation of elevated liver enzymes. Although he has generally been healthy for his entire life, over the course of the last 6 months, he has noticed worsening fatigue. He is currently undergoing evaluation in urology clinic for male infertility along with decreased libido. On examination, there is no evidence of lower extremity edema, abdominal distension, or darkening of the skin. Liver tests reveal aspartate aminotransferase (AST) 94 U/L (normal: 0-35 U/L) and alanine aminotransferase (ALT) 125 U/L (normal: 0-35 U/L). Alkaline phosphatase, total bilirubin, and albumin levels are all normal. Serum ferritin is 1,010 ng/mL (normal: 15-200 ng/mL) and transferrin saturation is 57% (normal: 20-50%). Testing for antinuclear and anti-smooth muscle antibodies are negative. His ceruloplasmin level is normal. Testing for viral hepatitis is negative for hepatitis C virus and hepatitis B virus. He has a normal hemoglobin A1c, complete blood count, and lipid panel. The patient reports that he does not drink alcohol. A right upper quadrant abdominal ultrasound shows evidence of hepatomegaly and hepatic steatosis, but no evidence of nodularity was noted. There was no splenomegaly. Genetic testing for HFE gene mutations reveals C2828Y/C282Y homozygosity.

In addition to ordering phlebotomy, you arrange a liver biopsy to assess for advanced fibrosis. He asks you how this therapy will impact his overall disease. Which of the following manifestations of hereditary hemochromatosis is most likely to remain problematic despite adequate iron depletion?

A. Early stage hepatic fibrosis

B. Hypogonadism

C. Skin pigmentation

D. Cardiomyopathy

A
  • Dx HH: Once the diagnosis is made, initial treatment with therapeutic phlebotomy is recommended, with the goal of achieving a serum ferritin between 50-100 ng/mL.
  • Improve
    • skin pigmentation, reversal of mild-moderate hepatic fibrosis, and even improve iron overload-related cardiac dysfunction.
  • Do NOT improve despite iron depletion therapy
    • ABCD - arthropathy, Balls (hypogonadism), cirrhosis/HCC, diabetes
How well did you know this?
1
Not at all
2
3
4
5
Perfectly
21
Q

A 39-year-old man with chronic hepatitis B infection presents for evaluation of abnormal liver function tests. He was diagnosed with hepatitis B 3 years ago and confirmed to have HBeAg positive infection, HBV DNA 92.3 million IU/mL, serum ALT 112 U/L. Transient elastography exam revealed median liver stiffness measurement of 7.6 kPa. He has been taking entecavir 0.5 mg daily for the past 3 years and reports 100% adherence. After 18 months of treatment, his HBV DNA was suppressed to <10 IU/mL, but his serum ALT remained elevated at 97 U/L. He reports no other medical history, and no use of other medications, supplements, or herbal remedies. He rarely consumes alcohol with 1-2 glasses of wine per year for special occasions and reports recreational drug use. His physical examination reveals no overt features of advanced liver disease or cirrhosis. His BMI is 21 kg/m2.

His updated laboratory tests reveal:
Total bilirubin 1.0 mg/dL (normal: 0.3-1.2 mg/dL)
Alkaline phosphatase 53 U/L (normal: 36-92 U/L)
ALT 102 U/L (normal: 0-35 U/L)
AST 89 U/L (normal: 0-35 U/L)
Albumin 4.6 g/dL (normal: 3.5-5.5 g/dL)
INR 0.8 (normal: <1.4)
Hepatitis B surface antigen positive
Hepatitis B e antigen positive
Hepatitis B e antibody negative
HBV DNA <10 IU/mL (not detected)
Hepatitis A total antibody positive
Hepatitis A IgM antibody negative
Hepatitis C antibody negative

Other tests including iron panel, ceruloplasmin, anti-smooth muscle antibody, anti-liver kidney microsomal antibody, celiac panel, and thyroid-stimulating hormone were within normal limits. A right upper quadrant ultrasound revealed normal-appearing liver parenchyma and echotexture without focal liver lesion. What is the appropriate next test to order?

A. Hepatitis B core antibody IgM

B. Hepatitis B genotype and resistance panel

C. Carbohydrate-deficient transferrin

D. Hepatitis D antibody

E. Liver biopsy

A

Hepatitis delta virus (HDV) infection represents an uncommon co-infection in approximately 5% of patients with chronic hepatitis B virus (HBV) infection

Per AASLD guidelines for the management of HBV-infected persons, anti-HDV screening is recommended in HIV-positive persons, persons who inject drugs, men who have sex with men, those at risk for sexually transmitted diseases, immigrants from areas of high HDV endemicity, and patients with elevated ALT levels in context of low HBV DNA levels.

How well did you know this?
1
Not at all
2
3
4
5
Perfectly
22
Q

A 52-year-old woman with a history of hypothyroidism and recently diagnosed autoimmune hepatitis returns for follow-up evaluation. One month ago, she presented to her physician with fatigue, pale stools, and dark urine, and serologic diagnostic investigation revealed a new diagnosis of type 1 autoimmune hepatitis with positive smooth-muscle antibody, elevated serum IgG >2x upper limit of normal, and serum ALT 233 U/L. Her thiopurine methyltransferase (TPMT) level was normal. She was started on prednisone 40 mg daily and azathioprine 50 mg daily. She now reports jaundice and epigastric and peri-umbilical pain radiating to the back.

Her updated laboratory profile reveals:
WBC 10,600/µL (normal: 4,000-10,000/µL)
Hemoglobin 11.2 mg/dL (normal: 12-16 g/dL)
Platelet count 189,000/µL (normal: 150,000-350,000/µL)
Total bilirubin 3.1 mg/dL (normal: 0.3-1.2 mg/dL)
AST 78 U/L (normal: 0-35 U/L)
ALT 93 U/L (normal: 0-35 U/L)
Alkaline phosphatase 104 U/L (normal: 36-92 U/L)
Albumin 3.6 g/dL (normal: 3.5-5.5 g/dL)
INR 0.9 (normal: <1.4)
Lipase 537 U/L (normal: <95 U/L)

Right upper quadrant ultrasound was negative for gallstones or cholecystitis. What alternative regimen should be considered in the management of autoimmune hepatitis?

A. Budesonide

B. Obeticholic acid

C. Methotrexate

D. Infliximab

E. Mycophenolate mofetil (or TAC)

A
  • Treatment with prednisone and azathioprine is recommended as first-line treatment of autoimmune hepatitis (AIH) per AASLD guidelines. Patients should be monitored for response and adverse effects at a minimum of every 4-8 weeks to confirm biochemical response.
  • Although this patient has experienced significant improvement in LFTs with interval decrease in serum ALT levels, she has likely developed azathioprine-associated pancreatitis as an adverse effect of thiopurine treatment and therefore should discontinue this agent for treatment of autoimmune hepatitis. Other notable adverse effects of azathioprine include cytopenias such as leukopenia, nausea, and vomiting, cholestatic liver injury, and nonmelanoma skin cancer. Azathioprine should be discontinued with consideration for addition of mycophenolate mofetil or tacrolimus which are recommended by the AASLD as alternative steroid-sparing immunosuppressive agents.
How well did you know this?
1
Not at all
2
3
4
5
Perfectly
23
Q

GAVE tx? biopsy shows?

A
  • GAVE is associated with chronic kidney disease and cirrhosis of the liver but is not believed to result from portal hypertension.
  • tx: argon plasma coagulation
  • biopsy - dilated tortuous mucosal capillaries, focal thrombosis, spindle cell proliferation and fibrohyalinosis
24
Q

A 45-year-old Hispanic man with obesity and a past medical history significant for hypertension, poorly controlled diabetes, and hyperlipidemia is referred by his primary care physician to your practice for elevated transaminases. He denies any history of alcohol intake. Laboratory test results reveal AST 42 U/L (normal: 0-35 U/L), ALT 61 U/L (normal: 0-35 U/L), total bilirubin 0.9 mg/dL (normal: 0.3-1.2 mg/dL), and alkaline phosphatase of 88 U/L (normal: 36-92 U/L). Right upper quadrant ultrasound reveals hepatomegaly with hypoechoic liver. The patient is referred for liver biopsy, and pathology can be found in the figure. The patient asks you for the management strategy that has been proven to improve his disease process. Which of the following treatments do you recommend he take?

A. Metformin

B. Insulin

C. Milk thistle

D. Weight loss

A

This patient’s liver biopsy reveals NASH with advanced fibrosis. Weight loss of 5-10% has been shown to improve histopathologic features of NASH, including fibrosis. Metformin and insulin are not specifically recommended for treating NASH in adult patients, but some data have demonstrated its benefits in reducing the risk of HCC in patients with NAFLD. Pioglitazone (not listed) has demonstrated improvement in liver histology in patients with biopsy-proven NASH, with or without T2DM. Vitamin E (also not listed) improves liver histology in non-diabetic NASH patients but is not recommended in diabetic patients.

25
A 57-year-old man with a history of **metastatic pancreatic cancer on chemotherapy** and recurrent episodes of melena and anemia over the last 4 months now presents with hematochezia. On previous presentations, his hemoglobin had been as low as 5 g/dL (normal: 14-17 g/dL). He had undergone multiple EGDs with the most recent report noting "prominent gastric fold in fundus vs isolated gastric varices." A colonoscopy performed was normal, in addition to a normal video capsule endoscopy. On presentation, he was hemodynamically stable. His hemoglobin was 7.2 g/dL. A CT scan showed **thrombosis of the splenic vein with multiple perisplenic and perigastric collaterals, and nodular enhancing wall of the stomach likely secondary to gastric and perigastric varices** best demonstrated on the portal venous phase. An EGD and oral EUS noted the finding in figures A and B. Which of the following is the most effective therapy for secondary prophylaxis for this finding? A. Proceed with transjugular intrahepatic portosystemic shunt (TIPS). **B. Proceed with cyanoacrylate injection via endoscopy, either with or without EUS.** C. Start the patient on beta-blockers. D. Proceed with endoscopic band ligation.
* **NO BENEFIT TO TIPS w/o CIRRHOSIS** * This patient has **isolated gastric varices type 1 secondary to splenic vein thrombosis** from pancreatic cancer * **Cyanoacrylate injection is the most effective method for secondary prophylaxis** mentioned. * lower rebleeding rate (15%) when compared with beta-blockers (55%). * lower mortality rate (3% vs. 25%) * Similarly, cyanoacrylate injection was more effective and safer than band ligation in another study
26
72-year-old woman is admitted with acute hepatitis and abdominal pain. She has a history of hypertension and has been on lisinopril for years. On exam, she is mildly icteric, with mild ascites and no asterixis. Hemoglobin 12 g/dL (normal: 12-16 g/dL) Platelet count 95,000/µL normal: 150,000-350,000/µL) **AST 1,220 U/L (normal: 0-35 U/L)** **ALT 1,140 U/L (0-35 U/L)** **Total bilirubin 6.5 mg/dL (normal: 0.3-1.2 mg/dL)** INR 1.2 (normal: \<1.4) **Alkaline phosphatase 155 U/L (normal: 36-92 U/L)** Anti-HCV negative Anti-HAV IgM negative Anti-HBc IgM negative Anti-HCV negative **ANA 1:160** Anti-smooth muscle antibody (ASMA) negative Antimitochondrial antibody (AMA) negative Ferritin 900 ng/mL You review the CT scan ordered by the emergency department physician [figure]. What is the best next step? **A. Liver biopsy** B. ERCP - no bil dil C. Methylprednisolone D. N-acetylcysteine E. Hold lisinopril
This patient is presenting with acute hepatitis, likely acute autoimmune hepatitis. **A liver biopsy is warranted.**
27
You see a 65-year-old man with a history of hepatitis C-related cirrhosis and a new diagnosis of hepatocellular cancer. He was recently found to have hepatitis C by his primary care doctor who he saw for right upper quadrant pain. He was referred to you after an ultrasound showed a vague **10-cm heterogeneous mass in the right lobe of the liver with absence of blood flow in the right portal vein.** He is genotype 1a, bilirubin is 0.6, AST 67, ALT 60, INR 1.2, platelet count 100,000, and AFP 12,000 ng/mL. His MRI is shown in the figure. It demonstrates a **large tumor in the right lobe of the liver with tumor invasion/thrombus of the portal vein.** A chest CT shows no pulmonary metastases. He should be referred for which of the following treatment options? A. Radiofrequency ablation B. Liver transplant C. Hepatitis C treatment D. Resection **E. Sorafenib**
Radiofrequency ablation would be an option for tumors generally 3 cm or smaller. ## Footnote -- This patient presents with hepatocellular carcinoma (HCC). The imaging findings are characteristic, and therefore a biopsy is unnecessary. Given that the imaging confirms the diagnosis of HCC, continued observation without further therapy would be incorrect. This would be graded as Barcelona stage 0 (very early stage) given its size of \<2 cm and unifocal nature. Sorafenib is indicated in stage C disease (multifocal with metastasis or with tumor thrombus in the portal vein), and would not be used in this case. Given the absence of portal hypertension (Child-Pugh class A), the small size of the lesion, and the patient’s lack of comorbidities, this patient would be a candidate for resection of the lesion and should be referred to an experienced hepatobiliary surgeon. If signs of portal hypertension were present (Child-Pugh B/C), the patient would then be a transplant candidate and should be referred appropriately. TACE may be used in patients with stage A disease (those with tumors \<3 cm in size or multifocal tumors \<3 cm in size). In stage 0 lesions, indirect comparisons favor survival and recurrence outcomes in patients who undergo resection compared to TACE, and as such, the American Association for the Study of Liver Diseases recommends resection as first line, if the patient is an appropriate surgical candidate.
28
#8 2020 A 64-year-old man with coronary artery disease, hyperlipidemia, and GERD is evaluated for abnormal liver tests. His current daily medications include metoprolol, atorvastatin, aspirin, and latanoprost (eye drops). He rarely takes over-the-counter bismuth. These medications have been stable for over 2 years. He denies the use of alcohol. Initial evaluation includes: ALP 134 U/L (normal: 36-92 U/L) **AST 487 U/L (normal: 0-35 U/L)** **ALT 386 U/L (normal: 0-35 U/L)** Total bilirubin 1.1 mg/dL (normal: 0.3-1.2 mg/dL) Direct bilirubin 0.7 mg/dL (normal: 0-0.3 mg/dL) CBC normal BMP normal HAV IgM negative HBcAb IgM negative HBsAg negative HCV Ab negative HCV RNA negative ANA negative SMA negative IgG 1480 mg/dL (normal: 640-1,430 mg/dL) Biliary ultrasound — mildly echogenic liver, no biliary dilation, normal gallbladder A liver biopsy is performed [figures A and B]. Which of his medications is likely responsible for these findings? A. Metoprolol **B. Atorvastatin** C. Aspirin D. Latanoprost E. Bismuth
This is an example of drug-induced, autoimmune-like liver injury from a statin, and the biopsy helps support the diagnosis. Statin-induced DILI is rare, and this class of drug is considered to be safe in the general population (including those with underlying liver conditions/cirrhosis). Only 3% of patients using long-term statins experience liver test abnormalities. In the DILIN cohort, 1.9% had clinically apparent liver injury due to statins. The latency can be long (34 days to 10 years) and DILI from statins can be missed without a high clinical suspicion. The patterns of injury can be variable and include autoimmune-like as in this case, hepatocellular, mixed, or cholestatic. Only half the patients have positive autoantibodies (ANA, anti-smooth muscle antibody or antimitochondrial antibody). If positive, the ANA titers are generally modestly elevated. The treatment is statin discontinuation and selective use of corticosteroids. Often these patients will only need a short course of steroids but should be followed regularly to ensure they do not have underlying autoimmune hepatitis that was either incidental to the initial statin or "unmasked" by statin use. It is useful to note the statin-induced, autoimmune-like injury associated with autoimmune antibodies may identify those at risk for a more chronic autoimmune course and should be followed closely. **Other drugs associated with an autoimmune pattern of injury include nitrofurantoin, minocycline, methyldopa, and hydralazine**. These drugs also often have long latency periods and do not have positive autoantibodies. Injuries usually resolve off medications and do not recur. Metoprolol can rarely cause mild DILI. Aspirin in high doses can cause DILI (especially Reye’s syndrome in children). In general, topical medications and bismuth are not thought to cause DILI. None of the other drugs are reported causes of autoimmune-like DILI.
29
You are asked to see a 52-year-old man with a history of elevated liver tests. The patient has an unremarkable past medical history and takes no medicines or supplements. He has been feeling tired for 2 months and visited his primary care provider who found his liver tests were abnormal. His exam is otherwise normal. **AST 270 IU/mL** **ALT 340 IU/mL** **Alkaline phosphatase 110 IU/mL** **Total bilirubin 2.3 mg/dL** Anti-HCV neg HBsAg Neg INR 1.1 Albumin 3.7 g/dL **Globulin 4.2 g/dL** ANA negative **Anti-smooth muscle antibody (ASMA) 1:80** Ferritin 480 ng/mL Liver biopsy is shown in the figure. Based on the biopsy, what is the best next step in management of this patient? A. MRCP B. Ursodiol **C. Prednisone** D. Anti-HDV E. HFE mutation and hepatic iron index measurement
* This biopsy shows a brisk portal inflammation with **lymphocytes and plasma cells with piecemeal necrosis.** With the presence of **high globulin and positive smooth muscle antibody** in the absence of viral hepatitis, this patient likely has autoimmune hepatitis and should receive prednisone as the initial therapy.
30
A 24-year-old body builder presented with pruritus and jaundice. He admitted taking multiple herbal products and dietary supplements including **ma-huang (6% ephedrine), anabolic steroids, carnitine, and chromium**. He also drank alcohol, estimating his average intake as **one case of beer per day** for the last year. He developed dark urine and jaundice and stopped all medications and all alcohol intake promptly. Despite this, he remained jaundiced for a month and had worsening nausea and weight loss and eventually sought medical care. He had no history of liver disease or risk factors for viral hepatitis and took no other medications. On examination, he was muscular and physically fit but deeply jaundiced. He had an enlarged liver but no rash, fever, or splenomegaly. Laboratory testing showed a total serum **bilirubin of 53 mg/dL**, but only modest elevations in serum aminotransferase and a normal alkaline phosphatase level. His prothrombin time was normal. Tests for hepatitis A, B, and C were negative. Abdominal ultrasound showed no evidence of biliary obstruction. Liver biopsy is shown in the figure with bland cholestasis. He was treated symptomatically for pruritus with antihistamines, cholestyramine, and ursodiol. What is the most likely cause for this patient’s jaundice and liver injury? A. Excessive alcohol **B. Anabolic steroids** C. Hepatitis E D. Sinusoidally infiltrating hematologic malignancy E. Ma-huang
* This represents a very typical case of **severe cholestasis due to anabolic steroid use.** * cholestasis usually arises within 4-12 weeks of starting a C-17 alkylated androgenic steroid. The jaundice can be severe and prolonged and accompanied by severe pruritus and marked weight loss. The serum enzymes are typically minimally elevated except for a short period immediately after stopping therapy. The pattern of enzyme elevations can be hepatocellular, cholestatic, or mixed. * Liver biopsy shows a **"bland" cholestasis with minimal inflammation and hepatocellular necrosis**. * Ma-huang has also been implicated in cases of drug-induced liver injury but is associated with an acute hepatocellular pattern of injury. * Alcohol usually causes central hyaline sclerosis and not bland cholestasis. In addition, in a case of severe alcoholic hepatitis with a bilirubin of 53 mg/dL, significant coagulopathy would also be expected. In this case, his PT was normal
31
Most common liver findings in CVID
* **Nodular regenerative hyperplasia** * chronic cholestasis, **noncirrhotic portal hypertension** or **cirrhosis.** * NRH is a direct result of intrahepatic vasculopathy resulting in _hepatic injury as well as hepatic regeneration_ causing macroscopic multi-nodularity similar to cirrhosis but _lacks the perinodular fibrosis and intrahepatic vascular shunts_ seen in cirrhosis.
32
A 23-year-old woman is evaluated for 1 week of jaundice, fatigue, and abnormal liver tests. She recently returned from a **3-month backpacking trip** through southeast Asia and has **completed a course of sulfamethoxazole/trimethoprim.** She denies confusion. **ALP 187 U/L (normal: 36-92 U/L)** **AST 646 U/L (normal: 0-35 U/L)** **ALT 435 U/L (normal: 0-35 U/L)** **Total bilirubin 3.2 mg/dL (normal: 0.3-1.2 mg/dL)** Direct bilirubin 0.7 mg/dL (normal: 0-0.3 mg/dL) CBC normal BMP normal INR normal HAV IgM negative HBc Ab IgM negative HBsAg negative HCV RNA negative ANA negative SMA negative IgG 986 mg/dL (normal: 640-1,430 mg/dL) Ceruloplasmin normal Biliary ultrasound normal Which of the following is the best next step? A. Obtain herpes simplex virus DNA. **B. Obtain hepatitis E IgM.** C. Start ursodiol. D. Obtain a liver biopsy. E. Observe carefully.
* **Drug-induced liver injury (DILI) is a diagnosis of exclusion.** * Patients with reported HEV risk factors **(travel to developing/endemic area or consuming undercooked pork/deer/organ meat)** should be evaluated for acute HEV with an IgM test. * If positive, obtaining HEV RNA for confirmation. * Viruses such as CMV, EBV, and HSV can cause acute hepatitis and should be considered in the appropriate clinical context, particularly in patients who are _immunosuppressed or have atypical clinical features such as atypical lymphocytosis or lymphadenopathy._
33
A 60-year-old woman was started on tenofovir DF for active chronic hepatitis B. At baseline, testing revealed **HBeAg negative**, **anti-HBe positive**, HBV DNA 30,000 IU/mL, and ALT 90 U/L. She has been on treatment for a total of 2 years; her HBV DNA became undetectable after 6 months of treatment. Her transient elastography was 8.7 kPa (stage 2 fibrosis) at baseline and repeat elastography after 2 years on treatment is 6.7 kPa (stage 0-1 fibrosis). What is the most appropriate timepoint for stopping treatment? **A. Continue tenofovir until HBsAg loss achieved.** B. Continue until at least 36 months of undetectable HBV DNA and normal ALT levels completed. C. Continue tenofovir until her elastography shows absence of fibrosis (F0). D. Stop tenofovir now and monitor closely for virologic relapse.
Per AASLD guidelines, HBeAg-negative chronic hepatitis B patients should be treated **until HBsAg loss occurs.** Stopping after a fixed duration of HBV DNA undetectability is not currently recommended as standard care, as virologic and clinical relapse are too frequent
34
A 37-year-old Romanian man presents with a 1-month history of fatigue and malaise with elevated transaminases. He has a history of moderate alcohol use. Laboratory testing is significant for: ALT 180 U/L (normal: 0-35 U/L) AST 200 U/L (normal: 0-35 U/L) Total bilirubin 2.5 mg/dL (normal: 0.3-1.2 mg/dL) Alkaline phosphatase 125 U/L (normal: 36-92 U/L) INR 1.3 (normal: \<1.4) Acetaminophen level is normal. Negative hepatitis C antibody and hepatitis A IgM, undetectable HCV RNA, and normal serum ceruloplasmin, ANA, and anti-smooth muscle antibody titers Positive hepatitis B surface antigen **Positive hepatitis D antibody** **GET HEP D RNA to tailor tx for both** An abdominal ultrasound shows a normal-sized liver without nodularity. What is the best next step? **A. Hepatitis D RNA testing**
This patient has a positive hepatitis B surface antigen and hepatitis D antibody suggestive of coinfection with hepatitis B and D. However, hepatitis D should be confirmed with RNA testing prior to considering treatment options in order to confirm coinfection or superinfection of hepatitis B with hepatitis D. Although oral antiviral therapy is appropriate, initial diagnostic testing should be obtained to confirm the hepatitis D status prior to treatment initiation. Liver biopsy is helpful when the etiology or stage of the disease is not readily apparent. However, in the case of this patient with symptomatic hepatitis with elevated liver enzymes, liver biopsy is not necessary at this point while diagnostic evaluation is focused on the possibility of hepatitis D coinfection. Pegylated interferon monotherapy is the treatment of choice for hepatitis D, but ribavirin is not recommended. In addition, it is premature at this point to initiate treatment, especially in light of the elevated bilirubin and need to confirm chronic hepatitis D infection with RNA testing.
35
wilsons presents with high or low ALP
Wilson’s disease typically presents with an abnormally low alkaline phosphatase.
36
A 60-year-old woman with primary biliary cholangitis (PBC) and normal liver enzymes after a stable and optimized dose of UCDA presents with worsening pruritus, mostly at night, which is causing her to sleep poorly. Which of the following should you initiate? A. Modafinil 100-200 mg/day **B. Cholestyramine 4-16 g/day** C. Rifampin 150-600 mg/day D. Naltrexone 12.5-50 mg/day E. Combination of cholestyramine and selective serotonin reuptake inhibitor
* Pruritus in PBC * first-line therapy is an anion-exchange resin such as cholestyramine * 4 g per dose to a maximum of 16 g per day, given 1 hour after or 4 hours before other medications, and 20 minutes before food intake. If this is not effective * **second and third-line therapies such as** * **rifampin, naltrexone, and SSRI** * There is no role for modafinil to treat pruritus, although it can be used to treat severe fatigue due to PBC.
37
A 54-year-old man with lung cancer on nivolumab presented to clinic for follow-up. He is asymptomatic and denies any jaundice. The liver is normal in size, and the spleen is not palpable. There is no ascites or edema. Liver tests reveal an **AST of 100 U/L (normal: 0-35 U/L), and ALT of 125 U/L (normal: 0-35** U/L). Alkaline phosphatase, bilirubin, and albumin are normal. Which of the following options is the best next step in management? A. Liver biopsy B. Observation only - after C. N-acetylcysteine **D. Liver ultrasound with Doppler - rule out thrombosis in high risk malignancy pts**
* The most common form of hepatotoxicity related to ICI therapy is hepatocellular damage with elevations in serum aminotransferases (ALT and AST) with or without change in bilirubin levels. * Other causes should be excluded such as viral hepatitis [hepatitis A, B and C viruses, Epstein-Barr virus (EBV), cytomegalovirus (CMV), and varicella zoster virus], and autoimmune hepatitis. * An ultrasound of the liver with Doppler is essential to rule out other causes and exclude thrombosis, which can be common in the setting of a malignancy. * Observation with close monitoring is appropriate in asymptomatic patients with mild hepatitis once other causes have been excluded.
38
A 50-year-old man with metastatic lung cancer on combination PD-1/CTLA-4 therapy presents with right upper quadrant abdominal pain and jaundice. His physical exam is notable for scleral icterus and tenderness in the right upper quadrant. He has no lower extremity edema or findings suggestive of ascites on exam. Liver tests reveal **AST 500 U/L (normal: 0-35 U/L), ALT 650 U/L (normal: 0-35 U/L), and bilirubin 4 mg/dL** (normal: 0.3-1.2 mg/dL). Alkaline phosphatase, INR, and albumin are normal. Viral hepatitis and autoimmune labs are negative. A **liver ultrasound with Doppler sh**ows a normal liver, patent vasculature, normal intra and extrahepatic bile ducts, and no choledocholithiasis. He is admitted to the hospital for further work-up. What is the next best step in management? A. Mycophenolate mofetil B. Liver biopsy C. Supportive care only **D. Intravenous corticosteroids**
The management of **grades 3-4 liver** toxicity from immune-mediated chemotherapeutic agents requires high-dose intravenous glucocorticoids for 24-48 hours, followed by an oral steroid taper. If there is no improvement or there is a worsening trend of liver function tests within 48 hours of systemic steroids, _mycophenolate mofetil should be considered._ In refractory cases, anti-thymocyte globulin can be tried. Liver biopsy is not indicated unless the patient is unresponsive to treatment.
39
A 54-year-old woman was diagnosed with primary biliary cholangitis (PBC) 1 year ago. The patient had an initial alkaline phosphatase of 450 U/L (normal: 36-92 U/L) and total bilirubin 1.1 mg/dL (normal: 0.3-1.2 mg/dL). She was started on ursodeoxycholic acid (UDCA) 13 mg/kg daily. After 1 year of therapy, her alkaline phosphatase is 260 U/L and total bilirubin 1.2 mg/dL. What is the most appropriate recommendation for her at this time? A. Continue her current UDCA dose. B. Increase UDCA to 20 mg/kg. **C. Add obeticholic acid 5 mg to her regimen.** D. Discontinue UDCA and start obeticholic acid 10 mg a day. E. Add fibrate therapy to the current regimen.
* _incomplete response to UDCA,_ **ALP \>\> 1.67 times upper limit of normal.** * obeticholic acid as the preferred second-line agent, to be started at an initial dose of 5 mg daily and titrated to 10 mg daily as tolerated (in 3mo)
40
A woman is referred to your office after being diagnosed with primary biliary cholangitis 12 months ago. She has been taking ursodeoxycholic acid (UDCA) and has had an incomplete response. Physical examination shows no evidence of encephalopathy. Laboratory tests reveal: ALT 49 U/L (normal: 0-35 U/L) AST 56 U/L (normal: 0-35 U/L) Total bilirubin 1.7 mg/dL (normal: 0.3-1.2 mg/dL) Alkaline phosphatase 286 U/L (normal: 36-92 U/L) Serum albumin 3.5 g/dL (normal: 3.5-5.5 g/dL) INR 1.8 (normal: \<1.5) Ultrasound shows trace ascites. You are considering adding obeticholic acid to her regimen. What should you recommend to her regarding starting obeticholic acid? A. 5 mg once daily, increasing after 3 months to 10 mg once daily based on tolerability and treatment response B. 10 mg once daily **C. 5 mg once weekly, with the possibility of gradually increasing to a maximum of 10 mg twice weekly** D. 5 mg once weekly, with the possibility of gradually increasing to a maximum of 10 mg 3 times a week E. 10 mg once weekly with the possibility of increasing to 10 mg every other day as tolerated
This patient has a Child-Pugh score of B (8) with decompensated cirrhosis (ascites, encephalopathy). Caution should be exercised in the use of obeticholic acid in patients with cirrhosis in the context of an **FDA black box warning** for **hepatic events including liver failure and liver-related death.** In patients with moderate to severe hepatic impairment (Child-Pugh B or C) who are treated with obeticholic acid, the recommended starting dose is 5 mg once weekly with a maximum dose of 10 mg twice per week.
41
WILSON Blood work showed: **Bilirubin 28 mg/dL (normal: 0.3-1.2 mg/dL)** *_AST 84 U/L (normal: 0-35 U/L)_* *_ALT 36 U/L (normal: 0-35 U/L)_* **Alkaline phosphatase 18 U/L (normal: 36-92 U/L)** Ceruloplasmin 8 mg/dL ## Footnote **C. Liver transplant evaluation**
fulminant liver failure from Wilson’s disease. The combination of **AST:ALT ratio \>2.2 and alkaline phosphatase:total bilirubin ratio\<4 has 100% sensitivity and specificity for fulminant Wilson’s disease**. Therefore, this patient should undergo urgent liver transplant evaluation.
42
Which medication class is the most common cause of drug-induced liver injury (DILI)? A. Herbal and dietary supplements B. Anti-neoplastic agents C. Analgesics D. Cardiovascular agents **E. Antimicrobials**
Antimicrobials are by far the most common cause of DILI. In the DILIN cohort, antimicrobials made up 45% of the cohort (herbal and dietary supplements, cardiovascular agents, central nervous agents, anti-neoplastic agents, analgesics). Among the most common drugs, antimicrobials represent 9 of the 10 drugs causing DILI. Amoxicillin-clavulanate is the most common followed by _isoniazid, nitrofurantoin, sulfamethoxazole/trimethoprim, minocycline, cefazolin, azithromycin, ciprofloxacin, levofloxacin, and diclofenac (only nonmicrobial on the list)._
43
FIB-4 scoring
FIB-4 is a serologic test to assess for hepatic fibrosis. It uses AST, ALT, platelet count, and age. If \<1.45, it has a negative predictive value of 90% for excluding advanced fibrosis. If \>3.25, it has a 97% specificity and 65% positive predictive value for predicting advanced fibrosis. In this case, his FIB-4 was 1.55 which is indeterminate and requires additional evaluation for accurate staging of his fibrosis
44
A 62-year-old woman with a history of cirrhosis due to nonalcoholic fatty liver disease is evaluated in the hospital for worsening ascites. There is no personal or family history of venous thrombosis or embolism. Blood pressure is 96/68 mm Hg; other vital signs are normal. The abdomen is distended with a positive fluid wave. Previous upper endoscopy was notable for grade I distal esophageal varices without stigmata of bleeding. Abdominal ultrasound reveals **incomplete thrombosis of the portal vein.** An ultrasound 4 weeks prior revealed patency of the portal venous system without evidence for thrombosis. Which of the following statements is true regarding acute portal venous thrombosis in this patient? A. A thrombophilia work-up is recommended given the new diagnosis of portal vein thrombosis. **B. Anticoagulation is not associated with an increased risk of variceal bleeding.** C. Anticoagulation is contraindicated due to cirrhosis and grade I esophageal varices. D. Contrast-enhanced CT or MR scan is not recommended to assess for the possible extension of thrombus into the mesenteric veins.
Patients with cirrhosis and acute portal venous thrombosis should be treated with anticoagulation and this therapy does not substantially increase the risk of variceal bleeding. Among patients with cirrhosis, thrombophilia work-up is recommended in patients with portal vein thrombosis if there is **previous history of thrombosis, thrombosis at unusual sites such as hepatic veins, or a family history of thrombosis**. **Contrast-enhanced CT or MR scan is recommended to assess the extension of thrombus into the mesenteric veins and to exclude tumor thrombus in patients with cirrhosis** who develop new portal vein thrombus.
45
A 62-year-old woman with cirrhosis secondary to nonalcoholic steatohepatitis and ascites is admitted for urosepsis. There is no recent history of GI bleeding. EGD 6 months earlier showed grade II esophageal varices without stigmata and prophylaxis for esophageal variceal bleeding was deemed unnecessary. Vital signs are normal; BMI is 39. Abdominal examination reveals ascites without tenderness. Platelet count is 86,000/µL (normal: 150,000-350,000/µL), and hemoglobin is 10.9 g/dL (normal: 12-16 g/dL). Her INR is 1.9 (normal: \<1.4). Her serum creatinine is within normal limits. Empiric antibiotic therapy is prescribed, and cultures are pending. Which of the following is most appropriate for prophylaxis of venous thromboembolism in this patient? A. Graduated compression stockings B. Low dose warfarin C. No venous thromboembolism therapy is required. **D. Low molecular weight heparin**
Give LOVENOX to hospitalized cirrhotic patients **in the absence of bleeding or platelet count \<50,000/µL as per ACG guidelines**
46
A 44-year-old male body builder with a history of hypertension, chronic kidney disease stage II, and anabolic steroid use presents with abdominal pain. An ultrasound from 6 months ago revealed a 5.0-cm mass in the right lobe of the liver which did not have radiographic characteristics of hepatocellular carcinoma. A follow-up MRI now reveals the presence of a **5.8-cm mass lesion with gadolinium uptake, iso-intense on the hepatobiliary phase**. What is the best next step in management? A. Biopsy of the mass B. CT scan of the liver now **C. Referral for surgical resection of the mass** D. Repeat MRI in 1 year
* high-risk hepatic adenoma (HA) given that he is * **male, has a history of anabolic steroid/androgen use,** and has MRI features supporting the **B-catenin subtype of HA.** * These patients have a high risk of malignant transformation * Other high-risk characteristics for HA in general include a **diameter \>5 cm, exophytic appearance, or a \>20% increase in size over 6 months.**
47
Magnetic resonance imaging (MRI) and transient elastography (TE) are used for noninvasive assessment of liver fibrosis in primary sclerosing cholangitis (PSC). Which of the following statements is true regarding use of these modalities for predicting clinical outcomes in PSC? A. TE but not MRI findings are independently associated with adverse liver outcomes. B. A TE score of \>8.0 kPa serves as a threshold for predicting clinical outcomes. C. MRI and TE are not useful to classify patients into low, medium and high-risk groups. **D. A TE score of \>10.5 kPa serves as a threshold for predicting clinical outcomes.** E. MRI does not add value to TE in assessment of prognosis in PSC.
* Noninvasive liver fibrosis assessment may be considered as an alternative to liver biopsy in patients with primary sclerosing cholangitis, including serum fibrosis indices (e.g., FIB-4), serum fibrosis assays (e.g., Fibrotest), and imaging-based elastography (e.g., transient elastography, magnetic resonance elastography). * Using transient elastography, a liver stiffness score of **\>10.5 kPa** has been associated with the optimal prognostic threshold in a large, multicenter study of PSC patients from 3 centers in Europe. **The combination was shown in this study to allow classification into low, medium, and high-risk groups.**
48
A 65-year-old Vietnam war veteran with history of well-compensated HCV cirrhosis, treated 2 years prior with glecaprevir/pibrentasvir with sustained virologic response, was found to have a new **1.2-cm lesion in the right lobe on a HCC screening sonogram.** The patient has no family history of liver cancer and is asymptomatic. His comorbidities include type 2 diabetes, hypertension, hyperlipidemia and obesity with BMI 33. He is on liraglutide, lisinopril, atorvastatin, aspirin with adequate control of his blood pressure, diabetes, and lipids. He is working as an attorney and is part of a weight reduction program. A dedicated contrast-enhanced, quadruple phase CT abdomen reveals a new 1.5-cm lesion with early arterial enhancement with washout in the delayed phase in segment 8 with no capsule, in the dome of the liver, read as a LIRAD 4 lesion. What is the most appropriate next step in the management of this patient? A. Evaluation for liver transplantation B. CT-guided biopsy of the lesion C. Evaluation for surgical resection D. Microwave ablation of the lesion **E. Short-term follow-up with dedicated liver imaging for increase in size**
* This veteran is at high risk for the development of liver cancer with his comorbidities and underlying cirrhosis despite the eradication of hepatitis C. The Liver Imaging Data Reporting System (LIRAD) was developed as a dynamic document in 2011 to enhance communication between radiologist and clinicians caring for advanced liver disease patients supported by the American College of Radiology but also the AASLD and IDSA. **A LIRAD 5 lesion in a cirrhotic represents HCC (hepatocellular carcinoma) and can be treated as such without a liver biopsy.** A **LIRAD 4 lesion is probably HCC and can be further defined by liver biopsy but also can be treated as HCC after a multidisciplinary tumor board review and concurrence**. LIRAD 3 lesions carry intermediate probability of HCC. Diagnosis requires biopsy, but lesions \<2 cm can also be observed with short-term follow-up. This patient is fully functional and liver transplant cures the HCC as well as the underlying liver disease, but lesions \<2 cm are not eligible for MELD exception points. Surgical resection or microwave ablation can be curative in lesions \<3 cm, **but the dome location would be associated with greater technical difficulty**. Lesions \<1 cm require follow-up imaging, 1-2 cm can be biopsied or followed up depending on multidisciplinary team discussion. Over 2 cm with imaging consistent with HCC should be treated without need for biopsy.
49
A 50-year-old man presented for an annual check-up. He had no significant past medical history. He reported that a younger brother has been diagnosed with hereditary hemochromatosis. The laboratory tests show: Hemoglobin 15 g/dL (normal: 14-17 g/dL) Platelets 160,000/µL (normal: 150,000-350,000/µL) AST 25 U/L (normal: 0-35 U/L) ALT 29 U/L (normal: 0-35 U/L) Total bilirubin 1.0 mg/dL (normal: 0.2-1.2 mg/dL) **Ferritin 500 ng/mL (normal: 12-300 ng/mL)** **Transferrin saturation 50% (normal: 15-45%)** The HFE test came back that the patient is homozygous for C282Y. Which is the most appropriate next step for this patient? A. Liver biopsy B. Laboratory monitoring **C. Phlebotomy** D. Deferasirox
1. Treatment should be initiated in C282Y homozygotes with an elevated serum ferritin, defined as **\>300 ng/mL in men and \>200 ng/mL in women, along with a transferrin saturation ≥45%.** 2. The liver biopsy is indicated if the serum ferritin is \>1,000 ng/mL or there is a high index of suspicion for cirrhosis 3. The first-line tx serial phlebotomies with a goal ferritin **close to 50 ng/mL.** 4. Tell pts to **avoid certain seafoods due to potential infection with** ***vibrio vulnificus*****.** This is due to possible absence of hepcidin which is required for resistance to this pathogen.
50
A 67-year-old man with hepatitis C cirrhosis presents to discuss possible treatment options for his hepatitis C. He denies any history of prior treatment for the infection. He has evidence of cachexia, mild jaundice, and moderate ascites on exam. He is alert and oriented but has mild asterixis. His medications include lactulose and rifaximin for hepatic encephalopathy. Laboratory test results are significant for: Creatinine 0.6 mg/dL (normal: 0.7-1.3 mg/dL) Albumin 2.7 g/dL (normal: 3.5-5.5 g/dL) Sodium 140 mg/dL (normal: 136-145 meq/L) Bilirubin 3.1 mg/dL (normal: 0.3-1.2 mg/dL) INR 1.2 (normal: \<1.4) WBC 5,300/µL (normal: 4,000-10,000/µL) **Hemoglobin 7.8 g/dL (normal: 14-17 g/dL)** Platelets 95,000/µL (normal: 150,000-350,000/µL) **Hepatitis C genotype 1b** Hepatitis C RNA 1.32 million IU/mL Imaging reveals cirrhosis but no evidence of hepatocellular carcinoma. He is a Child’s C cirrhotic with a MELD of 13. He has absolutely _no interest in being considered for liver transplantation_. He just wants his hepatitis C to be treated. If you opt to treat his hepatitis C, which of the following is the best regimen for him? A. 12 weeks of sofosbuvir/ledipasvir + ribavirin - anemia B. 12 weeks of sofosbuvir/velpatasvir + ribavirin - anemia **C. 24 weeks of sofosbuvir/velpatasvir** D. 12 weeks of glecaprevir/pibrentasvir - previr E. 24 weeks of glecaprevir/pibrentasvir - previr
* This question addresses 2 issues. First, this patient presents with decompensated cirrhosis and is a Child’s C cirrhotic patient. **Patients with decompensated cirrhosis should** **_not_** **be treated with regimens containing a protease inhibitor** due to a risk of further deterioration and even liver failure. **Agents ending with "previr**" (in this case glecaprevir, in answers D and E) are protease inhibitors and must be avoided for this patient. * The second point looks at the use of ribavirin. **Answers A, B, and C are all acceptable regimens for a decompensated cirrhotic**. However, with this patient’s **significant anemia and the risk of further hemolytic anemia from ribavirin**, the best treatment option is C without ribavirin. If he had expressed interest in liver transplant, it might be reasonable to withhold hepatitis C therapy until transplantation options had been explored. This might allow him to get a liver transplant sooner by using a hepatitis C-positive donor organ.
51
A 48-year-old man presents with jaundice, dark urine, fatigue, and pruritis **4 days** after completing a course of amoxicillin-clavulanate. He denies abdominal pain and confusion and is tolerating his diet without difficulty. Initial evaluation includes: ALP 323 U/L (normal: 36-92 U/L) AST 758 U/L (normal: 0-35 U/L) ALT 876 U/L (normal: 0-35 U/L) Total bilirubin 8.7 mg/dL (normal: 0.3-1.2 U/L) Direct bilirubin 4.4 mg/dL (normal: 0-0.3 U/L) CBC normal BMP normal INR normal HAV IgM negative HBcAb IgM negative HBsAg negative HCV Ab negative ANA negative ASMA negative Serum IgG level normal Biliary ultrasound — mildly echogenic liver, no biliary dilation, normal gallbladder Which of the following is the best next step? A. Obtain a liver biopsy. **B. Obtain a hepatitis C RNA.** C. Obtain an MRCP. D. Refer for liver transplant evaluation. E. Initiate N-acetylcysteine.
While amoxicillin-clavulanate can certainly present with jaundice and a mixed cholestatic/hepatocellular liver injury pattern, drug-induced liver injury (DILI) remains a diagnosis of exclusion. **This could be a patient with jaundice from acute hepatitis C masquerading as the most common cause of DILI,** amoxicillin-clavulanate. _Up to 1.5% of the DILIN cohort was reported to have acute HCV and 96% of acute HCV-infected patients presented with jaundice_ and significant transaminase elevations in the DILIN cohort. The **ACG guidelines recommend checking the HCV viral load when evaluating for DILI**. **Acute hepatitis E** can also be considered (not a choice in this question) if the patient has HEV risks (travel to endemic areas, consuming undercooked **pork/organ meat**). A liver biopsy is generally not indicated this early in the course unless autoimmune liver injury is suspected (amoxicillin-clavulanate is not a drug usually associated with autoimmune injury). MRCP is not helpful as biliary duct dilation is not noted on USG.
52
A 35-year-old African-born man presents for ongoing care. He has a history of chronic hepatitis B diagnosed at age 10, when he immigrated to U.S. He is on no medications. He has never been treated for his hepatitis B, and there is no known family history of cirrhosis or liver cancer. His physical exam is normal. You obtain updated labs, an ultrasound, and transient elastography. Abdominal ultrasound is normal, and transient elastography estimates little to no fibrosis. His CBC and creatinine are normal. His AST is 60 U/L, ALT is 75 U/L, total bilirubin is 0.4 mg/dL, HBV DNA is 1.3 million IU/mL, HBeAg positive, HBeAb negative, HIV negative, HCV negative, and HDV negative. What is the best initial approach to management of his chronic hepatitis B? **A. Monitor ALT and HBV DNA for the next 3-6 months and if ALT and HBV DNA levels remain elevated, then start treatment.** B. Start entecavir or tenofovir now. C. Start peg-interferon now. D. Monitor ALT and HBV DNA every 6 months for 1 year and if ALT and HBV DNA levels remain elevated, then start treatment.
* This patient is in the immune active phase of CHB (HBeAg positive, ALT 2xULN, and elevated HBV DNA). The guidelines suggest a period of observation for 3-6 months to document that the ALT is elevated and that the patient does not undergo spontaneous seroconversion. * **Treat anyways without observing 3-6 months if** * **If he had significant fibrosis (which he does not)** * **was older (\>age 40 years)** * **had a positive family history of cancer** * **HIV or HDV positive** * (for males, normal ALT is \<35 U/L)
53
Which of the following statements is true about the use of ursodeoxycholic acid (UDCA) and outcomes in primary sclerosing cholangitis (PSC)? A. Low-dose UDCA 13-15 mg/kg/day was effective in preventing long-term liver disease complications. B. High-dose UDCA 28-30 mg/kg/day was safe but ineffective in improving liver disease complications. **C. High-dose UDCA 28-30 mg/kg/day was associated with increased risk of adverse liver-related outcomes and should not be used in PSC.** D. Intermediate-dose UDCA 17-20 mg/kg/day is recommended by major guidelines. E. UDCA should never be used in treatment of PSC.
* Low-dose UDCA is ineffective in PSC. * However, normalization of serum alkaline phosphatase (ALP) with or without UDCA in the first year after diagnosis is associated with improved long-term outcomes. * High-dose UDCA was associated with increased risk of liver disease complications or transplantation and should not be used for treatment of PSC. * Currently, standard-dose UDCA may be used in PSC, but there are no recommendations that this therapy be started in PSC except in the form of a therapeutic trial to improve ALP levels.
54
in AIH tx if Her ALT and AST have been normal for 2 years on prednisone and azathioprine. Her globulin level is 1.3 g/dL. Which of the following is the best next step? A. Transient elastography B. Liver biopsy
**Biopsy!** TE cannot determine level of inflammation present
55
A 32-year-old P2G0 woman presents 32 weeks pregnant with itching. The baby remains active. _She denies abdominal pain, nausea, or vomiting._ Laboratory test results include: Hemoglobin 11.2 g/dL (normal: 12-16 g/dL) Platelets 147,000/µL (normal: 150,000-350,000/µL) **ALT 187 U/L (normal: 0-35 U/L)** **AST 194 U/L (normal: 0-35 U/L)** **ALP 220 U/L (normal: 36-92 U/L)** **Total bilirubin 1.2 mg/dL (normal: 0.3-1.2 mg/dL)** **Direct bilirubin 0.4 mg/dL (normal: 0-0.3 mg/dL)** Albumin 3.5 g/dL (normal: 3.5-5.5 g/dL) Total protein 5.4 g/dL (normal: 6.0-7.8 g/dL) Creatinine 0.8 mg/dL (normal: 0.7-1.3 mg/dL) INR 0.8 (normal: \<1.4) **Bile acids 16 µmol/L** UA negative for protein or bilirubin What is the next step you would recommend for this patient? C. Right upper quadrant (RUQ) ultrasound (US) - not cholestatic D. Ursodeoxycholic acid
Immediate delivery for IHCP - if bile acids were \>40 µmol/L Although a RUQ US is reasonable, she is **not cholestatic and has no symptoms of biliary disease.** Ursodeoxycholic acid should be started to reduce biliary acids, and **weekly BA should be checked until week 37 at which time delivery is recommended.**