Stomach Flashcards

(16 cards)

1
Q

Syndromes associated with gastric adenoCA

A
  1. FAP
  2. Lynch
  3. PJS
  4. JPS
  5. CVID
How well did you know this?
1
Not at all
2
3
4
5
Perfectly
2
Q

Worst type of gastric carcinoid

A

type 3

mets common

normal gastrin level

How well did you know this?
1
Not at all
2
3
4
5
Perfectly
3
Q

A 60-year-old Asian woman, with history of hypertension, presents to clinic with 6 months of post-prandial epigastric pain, lack of appetite, and a 40-lb weight loss. She denies any other symptoms. Her family history is unknown. She only takes anti-hypertensive drugs prescribed by her primary care doctor. She denies the use of cigarettes, alcohol, recreational drugs, NSAIDs, or over-the-counter medications. On exam, she appears thin with a BMI of 18. Her abdomen is mildly tender on deep palpation in the epigastric area. She undergoes an upper endoscopy, which finds that she has a diffusely thickened gastric mucosa and limited distensibility in the entire stomach, as shown in the figure. Multiple biopsies are taken from the stomach. What should you tell the patient as you wait for the biopsy results?

A. This is likely associated with Helicobacter pylori infection. Once the infection is eradicated, her symptoms will likely resolve.

B. Her symptoms are due to longstanding acid reflux. A course of proton pump inhibitors (PPI) will likely resolve her symptoms.

C. This is likely an autoimmune condition and a course of steroids will likely resolve her symptoms.

D. There is concern for malignancy. The biopsy results will help guide the next step of management.

A

This patient has gastric linitis plastica, a type of gastric carcinoma that diffusely infiltrates submucosal and muscular layers of the stomach, making it thicker and more rigid. It is also known as “leather bottle” because of its gross appearance and reduced distensibility of the stomach. Linitis plastica carries a very poor prognosis as most patients present at the late stage of cancer. This patient will likely need staging of her disease with CT scans and referral to oncology. Linitis plastica is not associated with H. pylori infection. The patient’s symptoms are not due to acid reflux. Linitis plastica is not an autoimmune condition

How well did you know this?
1
Not at all
2
3
4
5
Perfectly
4
Q

A 55-year-old man underwent upper endoscopy for abdominal pain and weight loss. He was found to have a 1.5-cm ulcerated mass in the antrum [figure A]. Biopsies confirmed a well-differentiated adenocarcinoma. Staging CT chest/abdomen/pelvis, EUS and a PET scan did not reveal positive nodes or metastatic disease. EUS of the gastric mass is shown [figure B]. What would be the best next step in the management of this patient?

A. Endoscopic mucosal resection

B. Endoscopic submucosal dissection

C. Endoscopic full-thickness resection

D. Referral for oncology and surgery

A

The lesion shown is a T2N0M0 based on the invasion of muscularis propria on EUS and absence of nodes and metastatic disease. Endoscopic resection of any modality is restricted to less than 3 cm (ulcerated) or 2 cm (poorly differentiated – expanded Japanese indications) lesions that do not have lymphovascular or perineural invasion and do not have invasion more than 500 microns (0.5 mm) within the submucosa (sm1). The NCCN guidelines have more conservative limits on the size of lesions that can be resected endoscopically, all guidelines agree that for T2 lesions, consideration of perioperative chemotherapy and surgery are current standard of care and should be recommended for this patient.

How well did you know this?
1
Not at all
2
3
4
5
Perfectly
5
Q

A 61-year-old woman presents for the evaluation of nausea and vomiting. High-fat foods result in extreme nausea and upper abdominal discomfort and precede vomiting. An upper endoscopy was unremarkable with biopsy of the duodenum negative for celiac disease. A trial of PPI therapy was ineffective. She “fills up quickly” after starting a meal. She has underlying diabetes and hyperlipidemia which are both well controlled on oral medications.

She appears healthy upon your evaluation. Her BMI is 27.3. Abdomen is tender in the epigastrium without guarding or rebound. On laboratory test results, she has mild normocytic anemia. Complete metabolic profile reveals CKD 2. HgbA1C is 5.9% (normal: <5.6%). You perform the diagnostic test shown in the figure after a standardized test meal. Which of the following is an FDA-approved treatment for the patient’s condition?

A. Domperidone

B. Pyloric botulinum toxin A injection

C. Metoclopramide

D. Mirtazapine

E. Prucalopride

A

The patient has diabetic gastroparesis. She has other organ involvement with the presence of chronic kidney disease. The figure demonstrates delayed gastric emptying, defined by greater than 10% of the standardized test meal remaining in the stomach at 240 minutes. Gastroparesis is a chronic disorder characterized by impaired gastric emptying and altered motility in the upper GI tract in the absence of mechanical obstruction. Commonly, patients with diabetic gastroparesis are overweight or even obese despite symptoms. Vagal and/or autonomic neuropathy play an important role in the development of diabetic gastroparesis and are estimated to occur in up to 20-40% of patients with diabetes mellitus. Metoclopramide remains the only medication that is FDA approved for the treatment of gastroparesis. Metoclopramide reduces emesis via central effects (at the chemoreceptor trigger zone), due to antagonism of dopamine receptors, and peripheral effects, which is due to cholinergic agonism and increased foregut motility. The latter results in increased lower esophageal sphincter and gastric fundus tone, as well as synchronized antroduodenal motility that accelerates gastric emptying.

Similar to metoclopramide, domperidone is a dopamine receptor antagonist. Domperidone is not FDA approved for use in the United States, but it is available under an FDA investigational new drug (IND) protocol that stipulates that electrolyte and electrocardiogram monitoring must be performed before starting and during treatment. Rigorous randomized, controlled trials in patients with moderately severe diabetic and idiopathic gastroparesis demonstrated that high and low doses of botulinum toxin administered into the pylorus were not beneficial compared with placebo. Mirtazapine acts on multiple 5-hydroxytryptamine (5-HT; serotonin) receptor subtypes, including 5-HT1A, 5-HT2A, 5-HT2C, and 5-HT3. In functional dyspepsia, it acts on central and peripheral 5-HT1A receptors, leading to gastric fundus relaxation, better symptom control, and improved quality of life. It is also an antagonist at 5-HT3 receptors, which may account for its antiemetic effect. However, it is not FDA approved for gastroparesis. The highly selective serotonin 5-HT4 receptor agonist prucalopride has been shown to stimulate gut motility and may be a promising treatment in the future.

How well did you know this?
1
Not at all
2
3
4
5
Perfectly
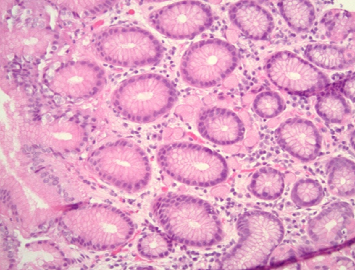
6
Q

A 44-year-old woman with a family history of lobular breast cancer was referred to you by her genetic counselor. You perform an EGD which appeared normal, but the following findings were detected on biopsy [figure]. What is the optimal next step in your management of her care?

A. Capsule endoscopy of the small intestine

B. Repeat EGD in 12 months

C. Treatment with antibiotics

D. Referral to a surgeon

A
  • This image represents the large, pink, intramucosal signet ring cancer cells (SRCC) detected on endoscopic biopsy of the stomach in individuals with hereditary diffuse gastric cancer (HDGC).
  • HDGC is an autosomal dominant cancer syndrome that is characterized by a high prevalence of diffuse gastric cancer (up to 80%) and lobular breast cancer (up to 60%) due to germline pathogenic variants in the CDH1 gene.
  • Guidelines suggest CDH1 pathogenic variant carriers should be advised to undergo prophylactic gastrectomy generally between ages 20-30 years, after baseline EGD done according to the Cambridge protocol.
  • The detection rate of SRCC on endoscopic biopsy varies between 9-61% in the best of hands. If surgery is declined, annual endoscopy by experienced endoscopists with knowledge of HDGC and expertise in endoscopic findings and Cambridge protocol should occur.
  • Capsule endoscopy of the small intestine is recommended in individuals with Peutz-Jeghers syndrome for assessment of small bowel hamartomas.
How well did you know this?
1
Not at all
2
3
4
5
Perfectly
7
Q

A 71-year-old woman was found to have a roughly 12-mm subepithelial lesion in the gastric fundus seen on a prior EGD done for evaluation of atypical GERD. A follow-up CT done 3 months later did not clearly identify the lesion and endoscopic ultrasound (EUS) was not performed initially. Twenty-two months after the initial EGD, a repeat EGD with EUS was done with the imaging findings [figures A, B, C]. A 2.9 x 2.8-cm lesion arising from the 4th wall layer of the stomach was noted on EUS imaging with no other abnormalities seen on the EUS examination. EUS-FNB of the lesion identified spindle-shaped cells with 11 mitoses/hpf, suggestive of a gastrointestinal stromal tumor (GIST). Which of the following is the most appropriate management of this lesion?

A. Continue endoscopic surveillance.

B. Recommend surgical resection of the lesion.

C. Perform endoscopic mucosal resection of the lesion.

D. Initiate imatinib therapy.

A
  • GIST w/ doubling of size in less than 2 years.
  • FNB of the lesion shows a high mitotic rate (>5 mitoses/hpf).
  • Given the rapid growth, current size (nearly 3 cm), and high mitotic rate, this lesion is high risk based on the modified Fletcher’s risk classification and should ideally be resected given the EUS evidence of resectability.
  • Imatinib- metastatic, unresectable, or recurrent lesions
  • This lesion arises from the 4th layer of the gastric wall, so EMR would not be appropriate (unable to resect fully without perforation).
How well did you know this?
1
Not at all
2
3
4
5
Perfectly
8
Q

A 38-year-old woman presents with a 3-year history of gastroparesis confirmed on gastric scintigraphy. She has symptoms on a daily basis with frequent emesis and weight loss. She has tried various medical therapies and is currently on domperidone with minimal benefit. On physical examination, her BMI is 18 kg/m2 with stable vitals and a benign abdominal examination. She is seeking improved symptom control. What would be the best next option for management of her gastroparesis?

A. Accupuncture

B. Botox injection around the pylorus

C. Gastric peroral endoscopic myotomy (G-POEM)

D. Total gastrectomy

A
  • GPOEM has been shown in observational studies to provide improvement in the Gastroparesis Cardinal Symptom Index (GCSI) and in gastric emptying scintigraphy; however, rigorous randomized controlled trials are lacking.
  • Gastric stimulation - FDA for compassionate use for refractory gastroparesis and is available at select center but is not considered a first-line approach.
  • Botox, safe, does not provide excellent long-term results
How well did you know this?
1
Not at all
2
3
4
5
Perfectly
9
Q

A 48-year-old woman is referred for nausea and vomiting. She describes 6 months of symptoms, with weekly episodes. She is moderately obese and with diabetes of 9 years duration, which is well-controlled on oral medications. She denies hematemesis, melena, and weight loss. The CBC, liver function tests, and abdominal ultrasound are unremarkable. On upper endoscopy, there is no evidence of esophagitis or Barrett’s esophagus. The incisura appears atrophic with a subtly raised, 1.3-cm lesion [figure]. Biopsies are obtained from the incisura area and surrounding mucosa, as well as the antrum and corpus. Histology reveals high-grade dysplasia of the incisura, with moderate atrophy of the antrum and surrounding mucosa in the incisura. H. pylori infection is present. What is the definitive management at this point?

A. Review of the histology with the pathologist

B. Referral for endoscopic submucosal dissection (ESD) for en bloc resection

C. Return appointment to discuss endoscopic mucosal resection (EMR)

D. H. pylori eradication, with repeat endoscopy and biopsies in 6 months

A

High-grade gastric dysplasia warrants definitive therapy.

Endoscopic submucosal dissection (ESD) is evolving as the diagnostic and therapeutic treatment of choice for gastric high-grade dysplasia and early gastric cancer. ESD offers definitive diagnosis, which is often upgraded from the biopsy-based baseline diagnosis, and ensures an en bloc resection.

Notably, some guidelines recommend ESD for low-grade dysplasia associated with mucosal irregularities. EMR is appropriate only for lesions <1 cm to ensure en bloc resection. H. pylori treatment and review of the histology are reasonable parallel measures.

How well did you know this?
1
Not at all
2
3
4
5
Perfectly
10
Q

A 56-year-old woman with no significant medical history was referred to the emergency department by her primary care provider for evaluation of anemia found on routine blood work. The patient has reported several months of fatigue. Her laboratory test results on arrival showed microcytic anemia with a hemoglobin of 6.7 g/dL (normal: 12-17 g/dL). The patient denied any overt gastrointestinal bleeding or heavy menstrual bleeding. The patient received blood transfusion and iron replacement. An endoscopy and colonoscopy were then performed. The endoscopy was notable for atrophic gastritis and nodular mucosa in the gastric body and fundus that was biopsied [figure]. The colonoscopy was normal including examination of the terminal ileum. The pathology from the biopsy of a gastric nodule showed a 0.3-cm, well-differentiated neuroendocrine tumor (NET). A CT of the abdomen with contrast was unremarkable. A serum gastrin level was obtained and was elevated at 928 pg/mL (normal: 0-180 pg/mL). What is the next step in management for this finding of gastric neuroendocrine tumor?

A. Surveillance endoscopy

B. Referral to surgery for partial gastrectomy - only for GNET type 3 and less than 1cm

C. Octreotide scintigraphy - only for type 2 and 3

D. Prescription of intramuscular long-acting release octreotide - only indicated in patients with metastatic disease or carcinoid syndrome which this patient does not have

A
  • G-NET type I or type II measuring less than 1 cm the guidelines recommend either endoscopic removal or surveillance endoscopy.
  • In G-NET type III, partial gastrectomy and lymph node dissection regardless of the size.
How well did you know this?
1
Not at all
2
3
4
5
Perfectly
11
Q

A 65-year-old man is hospitalized after a witnessed syncopal event. Medical comorbidities include diffuse large B-cell lymphoma, and the patient recently completed a course of chemotherapy with rituximab, gemcitabine, cisplatin, and dexamethasone approximately 2 weeks prior to presentation. Initial laboratories reveal a hemoglobin of 3.2 g/dL and platelet count of 12x109/liter. Computed tomography of the head, chest, abdomen, and pelvis reveals bilateral subdural hematomas. The patient states that he has had several days of melena leading up to this hospitalization. He denies any nonsteroidal anti-inflammatory drug use.

After successful resuscitation, including administration of an intravenous proton pump inhibitor, an upper endoscopy is obtained and shows the finding in the figure in the fundus of the stomach, which was treated with bipolar cautery and injection of epinephrine. Which of the following is the most appropriate step in subsequent management?

A. Obtain multiple biopsies of the above finding during this procedure.

B. Discontinue all proton pump inhibitor therapy after 72 hours.

C. Continue proton pump inhibitor therapy and repeat upper endoscopy in 8-12 weeks.

D. Refer for surgical removal of the lesion.

E. Initiate bismuth quadruple therapy.

A

Endoscopy reveals a large, cratered ulcer in the gastric fundus with a nonbleeding, visible vessel. This would be considered a Forrest Class IIa lesion and would be at high risk of rebleeding (approximately 43%) and is associated with 11% mortality. As such, obtaining biopsies at this time may exacerbate a bleed and would not be recommended. Further, given the high risk of bleeding associated with this ulcer, discontinuation of all proton pump inhibitor therapy after 72 hours, without transition to an oral option, would not be correct. Given the patient’s history of malignancy, and the suspicious nature of the current endoscopic findings, continuation of proton pump inhibitor therapy and repeat endoscopy after a period allowing for healing is advised. If the ulcer is still present, biopsies may be obtained to rule out malignancy. Given the uncertainty as to the etiology of this ulcer, referral for resection would not be recommended. Further, it would be inadvisable to start bismuth quadruple therapy at this time as an H. pylori-associated ulcer has not been confirmed.

How well did you know this?
1
Not at all
2
3
4
5
Perfectly
12
Q

A 54-year-old man has a history of iron deficiency without overt GI blood loss. He underwent an EGD with findings of a serpiginous sessile polypoid lesion in the gastric antrum. His only medication regimen is naproxen as needed for arthritis. The polyp was estimated to be approximately 2.5 cm in size [figure]. The polyp had no ulceration and was not firm to probe with forceps. Biopsy results demonstrated hyperplastic changes as well as gastric mucosa with reparative changes. Immunostain for H. pylori was performed, with appropriately reactive controls, and was negative. Intestinal metaplasia and dysplasia were not seen. What is the most appropriate step in the management of this patient?

A. Repeat EGD in 1 year to re-biopsy polyp

B. Repeat EGD in 1 year, remove polyp if it is increasing in size

C. Repeat EGD within the next 3 months for polyp removal

D. Repeat EGD to remove polyp only if anemia persists or overt bleeding occurs

E. Endoscopic ultrasound evaluation of the polyp

A

This patient was found to have a large, hyperplastic gastric polyp. Hyperplastic polyps are the result of hyper-regenerative epithelial responses to chronic inflammation, as seen with chronic atrophic gastritis, H. pylori, pernicious anemia, and gastric ulcers. Hyperplastic polyps typically are asymptomatic, incidental findings, but they can ulcerate, particularly when larger, and occasionally lead to overt GI bleeding. Hyperplastic polyps can follow the dysplasia/carcinoma sequence, and 1-20% of hyperplastic polyps may harbor foci of dysplasia. The malignant risk of hyperplastic polyps is related to polyp size, and hyperplastic polyps such as this that are >1 cm in size should be removed without delay, and without regard to change in size. The normal-appearing antral and corpus mucosa should be sampled to assess for the presence of dysplasia and H. pylori, and H. pylori positive patients should undergo eradication therapy. Some smaller polyps may regress with successful treatment of H. pylori, when present. There is no role for repeating biopsies (surveillance) in larger hyperplastic polyps, nor is there any indication for EUS in this case.

How well did you know this?
1
Not at all
2
3
4
5
Perfectly
13
Q

A 50-year-old man presented to the emergency department with a 4-week history of periumbilical abdominal pain, dark stools, and 10-lb weight loss. CT of the abdomen/pelvis with IV and oral contrast showed hepatosplenomegaly (18 cm liver and 12.4 cm spleen), enlarged lymph nodes in the periaortic region, and nonspecific thickening of the stomach wall. Blood work including complete blood count, renal, liver and pancreatic profiles were within normal limits. The patient was admitted to the hospital for work-up and evaluation. Colonoscopy was within normal limits. Push enteroscopy showed multiple ulcers in the body of the stomach ranging from 5-9 mm [figure]. Biopsies were taken from both the ulcers and the normal-appearing gastric mucosa (antrum, body, and incisura). Histopathology from the ulcers showed a lymphoid infiltrate that is BCL-6 positive. Which of the following is the most likely diagnosis?

A. Diffuse large B-cell lymphoma

B. Extranodal marginal zone lymphoma of mucosa-associated lymphoid tissue (MALT)

C. NSAID-related peptic ulcer disease

D. Zollinger-Ellison syndrome

A

The patient’s clinical presentation (hepatosplenomegaly, weight loss, gastric thickening on imaging, umbilicated gastric ulcers on upper endoscopy) is classic for extranodal diffuse large B-cell lymphoma (DLBCL) occurring in the stomach/gastrointestinal tract. This diagnosis is confirmed by biopsy of both suspicious-looking lesions as well as normal-appearing mucosa since gastric lymphoma can occasionally present as multifocal disease with involvement of tissue that appears to be unaffected on initial visualization. BCL-6 is associated with DLBCL. Extranodal marginal zone lymphoma of mucosa-associated lymphoid tissue (MALT) is not BCL-6 positive. NSAID-related peptic ulcer disease is not a malignant condition and would not be associated with hepatosplenomegaly. Zollinger-Ellison syndrome is not associated with hepatosplenomegaly and most ulcers in ZES occur in the duodenum and jejunum.

How well did you know this?
1
Not at all
2
3
4
5
Perfectly
14
Q

A 53-year-old man is referred for screening colonoscopy. He is generally healthy, mildly obese, and with well-controlled hypertension. He does not have a family history of colorectal cancer or GI cancer. He is originally from Russia, having immigrated 10 years ago. He reports “heartburn” which is characterized as moderate, intermittent midepigastric pain, lasting 20 minutes, 3 times per week, and yet unrelated to meals. He denies weight loss, nausea/vomiting, and rectal bleeding. His CBC is normal. Screening colonoscopy is unremarkable. Upper endoscopy demonstrates a normal esophagus without esophagitis, Barrett’s esophagus, or mucosal abnormalities. Biopsies from the antrum and corpus reveal gastric intestinal metaplasia (complete subtype), and chronic gastritis, respectively. Biopsies were negative for H. pylori. What is the best next step?

A. Reassure the patient, as he had a negative colonoscopy and has low-risk gastric intestinal metaplasia.

B. Review the gastric histology with the pathologist.

C. Order an H. pylori ELISA.

D. Recommend surveillance EGD in 3 years.

A

Incidentally discovered gastric intestinal metaplasia (GIM) does not require surveillance endoscopy in most cases.

5 GIM subgroups that warrant consideration of 3-year surveillance EGD.

  1. On histology, either incomplete GIM (in the antrum or the corpus) or
  2. extensive GIM (GIM of the antrum and corpus).
  3. In addition, any histologic subtype of GIM in a patient with a family history of gastric cancer, or
  4. in a foreign-born immigrant from a high-incidence region (e.g., Russia, Eastern Europe, Eastern Asia, and mountainous [western] Latin America), or
  5. in a racial/ethnic minority patient.

The endoscopy should include gastric biopsy mapping with biopsies of the antrum (2-4), incisura (1-2) and corpus (2-4), which are placed in two bottles (antrum/incisura and corpus).

As an adjunct measure, H. pylori eradication is indicated in those with GIM who are positive.

In this patient, although the GIM histology is low risk (complete and limited to the antrum), he is from a high-incidence region and with a higher risk of GIM progression; therefore, GIM surveillance is indicated. Treating H. pylori (if present) would be beneficial. However, in this case, the biopsies were already negative for H. pylori and additional serologic testing for H. pylori now is not warranted. Review of the gastric histology with the pathologist is wise if the GIM had not been characterized in the original report (e.g., incomplete vs complete, and extensive vs limited). However, in this case, it was already well characterized.

How well did you know this?
1
Not at all
2
3
4
5
Perfectly
15
Q

A 47-year-old woman with diabetic gastroparesis for which she had gastric electrical stimulation (GES) implantation 5 years ago returns to clinic for worsening symptoms of nausea, vomiting, and epigastric pain. She has lost 3 kg in the past 3 months. She has been unable to tolerate oral intake for the past week. Stimulator interrogation recently showed normal function. EGD within the last month was unremarkable. Laboratory test results reveal potassium 3.1 mEq/L (normal: 3.5-5.0 mEq/L) and glucose 458 g/dL (normal: fasting 70-100 g/dL). Abdominal x-rays (AXR) showed the results in the figure. What is the next step in management?

A. Nothing by mouth, bowel rest, nasogastric tube decompression

B. Intravenous metoclopramide 5 mg every 8 hours following baseline EKG

C. Erythromycin 500 mg liquid orally every 12 hours

D. Repeat EGD

E. Surgical consult

A
  • GES devices were approved by the FDA in 2000 for refractory symptoms of gastroparesis of diabetic or idiopathic etiology. Two leads are implanted in the stomach muscle wall to deliver low frequency electrical stimulation. This is believed to affect vagal afferent nerves and decrease symptoms, mainly nausea in diabetic gastroparesis patients. Adverse event rates range from 5-10% and include infection, lead dislodgement, and bowel obstruction. The case demonstrates lead displacement seen in the figure, demonstrating the stimulator overlying the iliac crest with 1 of the 2 leads displaced and migrating into the duodenal bulb, resulting in intermittent gastric outlet obstruction.
  • A surgical consult should be obtained to remove the displaced gastric stimulator lead. This case highlights the importance of recognizing complications of GES placement presenting with worsening symptoms of gastroparesis. AXR should be obtained and compared with initial AXR to check for lead displacement.
How well did you know this?
1
Not at all
2
3
4
5
Perfectly
16
Q

A 35-year-old woman with diabetes mellitus complicated by peripheral neuropathy and retinopathy presents to the emergency department with progressive nausea and vomiting and upper abdominal pain several times a week. She has had recurrent symptoms for 4 years. The patient has type 2 diabetes. The patient has required frequent hospitalizations for dehydration and correction of electrolyte derangements. Further, she has lost 10 lb over the past year.

On examination, she is ill appearing and in pain. BMI is 26, blood pressure 150/85 mm Hg, pulse 105/min, and respiration 18/min. She is afebrile. She appears dehydrated. Oropharynx is dry, chest is clear to auscultation, and cardiac exam reveals tachycardia. Abdomen is soft, bowel sounds are present, and there is epigastric tenderness. A G tube is seen in place in the left mid-abdomen. A recent upper endoscopy was unremarkable. Cross-sectional imaging of the abdomen shows no obstruction of the stomach or small bowel. On a wireless motility capsule study, the gastric emptying time is 8 hours.

The patient is on metoclopramide 20 mg 4 times a day, ondansetron 8 mg sublingual every 8 hours, and promethazine 25 mg 4 times a day. Medications that have been used over the course of her illness include domperidone (under an FDA-approved IND protocol), erythromycin, and prucalopride. She has had limited response to anti-emetics including promethazine, dronabinol, and ondansetron. She has previously also used aprepitant, mirtazapine, and nortriptyline with limited relief. Botulinum injection into the pylorus was not beneficial. She currently has a G tube with J extension for hydration and enteral nutrition. In addition to IV hydration and pain control, what would you recommend for management of this patient’s condition?

A. Add granisetron to improve the control of nausea.

B. Gastric electric stimulation therapy (GES)

C. TPN to improve nutritional status

D. Increase metoclopramide to 30 mg orally 4 times a day.

E. Botulinum toxin A 100 unit injection to the pylorus

A

This patient has poorly controlled diabetic gastroparesis despite optimal medical management with the use of multiple prokinetics, antiemetics, and with enteral nutritional support. She continues to be symptomatic and has frequent hospitalizations. GES is approved by the FDA for the treatment of medically refractory gastroparesis due to diabetes or idiopathic disorder. The patient has not responded to ondansetron and is unlikely to have significant benefit with another 5 HT3 antagonist. TPN is not recommended as the patient is currently receiving nutrition via the preferred enteral route. Metoclopramide is currently at an optimal dose; higher doses are associated with increased side effects including tardive dyskinesia. The patient has previously not responded to botulinum toxin A injection, and this treatment has not shown benefit in 2 randomized controlled trials.