Small bowel Flashcards

(18 cards)

1
Q

Tx for T whipplei

A

There are 4 cardinal clinical manifestations of late onset Whipple’s disease: arthralgias, weight loss, diarrhea, and abdominal pain.

Dx: endoscopy with small bowel biopsies for PAS staining, PCR, and immunohistochemistry. The main histologic features are extensive PAS-positive material in the lamina propria and villous atrophy.

  • The optimal regimen of Whipple’s disease is uncertain and multiple regimens are available. If there is no CNS involvement, the recommended regimen is ceftriaxone (2 g IV once daily) or penicillin (2 MU IV every 4 hours) for 2 weeks, followed by TMP-SMX DS twice daily for 1 year. If CNS disease is present then a recommended regimen is ceftriaxone (2 g IV once daily) or penicillin G (4 MU IV every 4 hours) for 2-4 weeks, followed by TMP-SMX DS twice daily for 1 year.
  • For patients who cannot use ceftriaxone or penicillin, meropenem 1 g every 8 hours for 2-4 weeks is an alternative for the initial intravenous phase. This is followed by TMP-SMX DS twice daily for 1 year.
  • For patients with sulfa allergy, an alternative regimen for maintenance therapy is doxycycline 100 mg orally twice a day in combination with hydroxychloroquine 200 mg orally 3 times a day.
How well did you know this?
1
Not at all
2
3
4
5
Perfectly
2
Q

A 28-year-old woman with no significant past medical history has 2-3 years of epigastric non-radiating abdominal pain that initially was precipitated only by eating or jogging but now persists even when she fasts and is at rest. The pain is associated with low-grade nausea but no vomiting. She also has upper abdominal bloating. She had become somewhat fearful of eating, reduced her intake of food, and lost 15 lb over the years she has had the pain. She has no diarrhea, constipation, or fever. Her only medications are a multivitamin and an oral contraceptive.

Physical examination revealed a BMI of 21, and an abdominal bruit, which intensified during expiration, but was barely audible at end-inspiration. Her epigastrium was tender to palpation but no organomegaly was present. Laboratory evaluation has been normal including a CBC, liver biochemical tests, amylase, lipase, BMP, and H. pylori antibody titers. EGD and UGI series revealed only a small hiatus hernia. Abdominal imaging is shown in the figure. A standardized test meal using Tc99m-labeled egg whites showed <10% of the radioisotope was present in the stomach at 4 hours. What is the most likely diagnosis?

B. Celiac artery compression syndrome

C. Superior mesenteric artery syndrome

D. Annular pancreas

A
  • Celiac artery compression syndrome (CACS), also known as median arcuate ligament syndrome (MALS)
    • compression of CA by MA ligament of the diaphragm
    • Compression worsens with deep EXPIRATION as the diaphragm moves more caudally during expiration than does the CA
    • Patients with CACS are usually young, thin women between the ages of 30 and 50 years.
    • Pain typically is located in the epigastrium and worsens after meals, with exercise, or with leaning forward
    • Physical examination may reveal an epigastric bruit in as many as 83% of patients, and up to 50% of healthy patients may exhibit angiographic features of CA compression, especially during deep expiration.
    • CACS is a diagnosis of exclusion
    • US, EGD, and gastric emptying studies are usually performed to exclude other sources of pain.
    • Angiography in deep expiration has been the gold standard in the diagnosis of CACS in the past. One may see focal narrowing of the celiac axis with post-stenotic dilatation and increased collaterals from the superior mesenteric artery.
    • Angiography has largely been supplanted by multidetector CT scanners which will show focal narrowing of the celiac axis with a characteristic “hooked” appearance.
    • Median arcuate ligament release with or without arterial dilatation or reconstruction is the mainstay of treatment. Current results using laparoscopic techniques show relief in nearly 80% of patients undergoing this surgery, although such relief may not be permanent.
  • Compression by annular pancreas or superior mesenteric artery syndrome would have been detected by imaging of the GI tract - either UGI series or CT scan.
How well did you know this?
1
Not at all
2
3
4
5
Perfectly
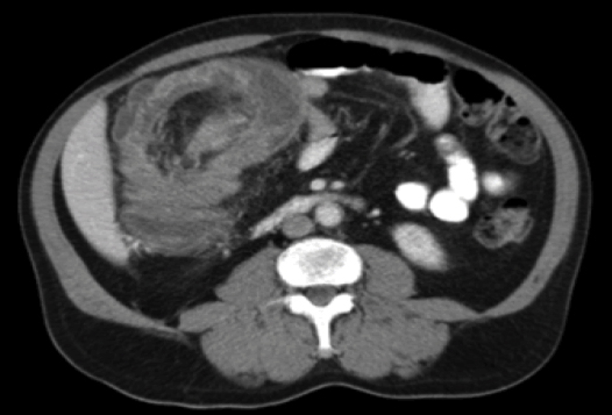
3
Q

A 68-year-old woman presents with over 4 years of intermittent diffuse lower abdominal pain. She does not have chronic medical problems and relies on acute care clinics and emergency departments for medical needs. She has never undergone colonoscopy. Previous imaging with abdominal ultrasound and CT scan of the abdomen have been negative to date. On exam, she is in moderate to severe distress with diffuse abdominal pain, a distended abdomen, nausea, and obstipation. There is no stool in the rectal vault. She undergoes a CT scan [figure]. What should be done next in this patient’s care?

A. Neostigmine

B. Contrast enema

C. Air enema

D. Colonoscopy

E. Laparoscopy

A
  • This patient has clinical and imaging evidence of entero-enteric intussusception. Intussusception is defined as the invagination of one segment of the bowel into an immediately adjacent segment. The intussusceptum refers to the proximal segment that invaginates into the distal segment, or the intussuscipiens (recipient segment).
  • The natural history of intussusception starts with a lead point, typically neoplastic (such as lymphadenopathy, polyp, or cancer), which acts as a focal area of traction that draws the proximal bowel within the peristalsing distal bowel. Symptoms occur due to continued peristaltic contractions of the intussuscepted segment against the obstruction. With continued invagination resulting in edema, eventually the vascular flow to the bowel becomes compromised, resulting in ischemia to the affected segment that can result in necrosis and perforation. In the adult population, intussusception is frequently due to a pathologic lead point, which can be intraluminal, mural, or extramural.
  • In adults, contrast enema studies are rarely performed for the evaluation of possible intussusception, although an air or contrast enema is considered the most reliable test for intussusception in children.
  • Classic findings on transverse imaging include the “target sign” or “doughnut sign,” with the presence of several concentric rings of varied echogenicity. On longitudinal imaging, several thin parallel stripes of varying degrees of echogenicity are typically seen, yielding the “pseudokidney sign.” Intussusception has a characteristic appearance on CT that consists of peripheral intussuscipiens and central intussusceptum.
  • En bloc resection is generally performed for adult colonic intussusception, and colonic reduction of intussusception is not usually attempted because of the risk of perforation and spillage of microorganisms or malignant cells.
How well did you know this?
1
Not at all
2
3
4
5
Perfectly
4
Q

28 F with IDA and epistaxis, EGD/colon NEG, VCE with AVM. next step?

C. Therapeutic double balloon enteroscopy

A
  • Hereditary hemorrhagic telangiectasias (HHT), also known as Osler-Weber-Rendu syndrome
    • obscure overt or obscure occult gastrointestinal bleeding
    • Epistaxis - common clinical manifestation
    • Angioectasias are the most common vascular abnormality of the gastrointestinal tract and probably the most frequent cause of recurrent obscure gastrointestinal bleeding.
How well did you know this?
1
Not at all
2
3
4
5
Perfectly
5
Q

A 74-year-old man with a history of diabetes mellitus type 2, hypertension, coronary artery disease, moderate aortic stenosis, GERD, and dyslipidemia presents to your office, referred by his PCP for evaluation of iron deficiency anemia. Laboratory test results demonstrate hemoglobin 10.9 g/dL (normal: 14-17 g/dL), mean corpuscular volume 73 fL (normal: 80-100 fL), and transferrin saturation 9% (normal: 20-50%) after a stool occult blood test done by the PCP is positive. He reports no history of overt GI bleeding. Abdominal exam is benign. He underwent upper endoscopy and colonoscopy 2 months ago for screening for Barrett’s esophagus and colon cancer, both of which were unrevealing. Repeat endoscopy was performed after your visit and was also negative. What is the best next step in management?

A. CT angiography

B. Deep enteroscopy

C. Begin oral iron supplementation and recheck CBC in 3 months

D. Observation

E. Small bowel video capsule endoscopy

A

The patient presents with iron deficiency anemia for which endoscopic evaluation has been performed and was unrevealing including potential second-look endoscopy. He has no overt bleeding but does have evidence of occult GI bleeding. Observation would not be appropriate as the patient is anemic with occult blood loss. One could consider oral iron supplementation in him with recheck of CBCs as part of the management strategy, but this would not complete workup for etiologies of his underlying iron deficiency anemia. Capsule endoscopy would be the best next step in management to perform to evaluate the small bowel for mucosal etiologies of potential small bowel bleeding based on best practices and guidelines.

How well did you know this?
1
Not at all
2
3
4
5
Perfectly
6
Q

A 52-year-old man with a history of vague, chronic abdominal pain, bloating, and constipation seeks your assistance. He recently underwent a screening colonoscopy which was normal except for several diminutive hyperplastic rectal polyps. Through his primary care physician, he has tried psyllium, PEG 3350, and senna without benefit. After your initial visit, you diagnose IBS-C and attempt a trial with lubiprostone 8 mcg twice daily. This provides some benefit for his stool frequency and consistency but he still has abdominal pain and bloating. You order a lactulose hydrogen/methane breath test. Baseline hydrogen is 3 ppm and methane 10 ppm. At 90 minutes, the maximum hydrogen excretion is 5 ppm and maximum methane excretion is 45 ppm. What can you tell the patient about the results of this test?

A. He has small intestinal bacterial overgrowth.

B. The most likely cause of his overgrowth is Methanobrevibacter smithii.

C. Methane stimulates migrating motor complexes in the small intestine.

D. Methane related overgrowth is most commonly associated with diarrhea.

A
  • The breath test results suggest that the patient is suffering from intestinal methanogen overgrowth (IMO). The most likely cause of IMO in humans is Methanobrevibacter smithii which, as part of the domain Archaea, is distinct from bacterial or protozoa and can reside in the small intestine or colon.
  • For this reason, it is inaccurate to assign the label of small intestinal bacterial overgrowth to patients with excess methane excretion on breath testing.
  • For methane, a concentration of ≥10 ppm at any point during the test is indicative of methanogen colonization.
  • Infusion of methane into the small intestines of dogs inhibits ileal migrating motor complexes and slows transit.
  • IMO has been more closely associated with constipation than diarrhea.
  • There is very little data on treatment of IMO, but currently a combination of rifaximin and neomycin is recommended.
How well did you know this?
1
Not at all
2
3
4
5
Perfectly
7
Q

51F w/ progressive hypoalbuminemia (albumin 2.6 g/dL) which had been identified approximately 1 year earlier. She described 1 normal-appearing stool per day, denied any GI complaints, and her physical examination was entirely normal except for a trace of pedal edema. Routine laboratory tests were notable for a peripheral eosinophilia that had been present for many years and she had undergone extensive evaluation by other specialists that were unrevealing. Which one of the following tests is the most useful in the diagnosis of this patient?

A. Fecal alpha-1 antitrypsin level

B. Fecal alpha-1 antitrypsin clearance

A
  • Protein losing enteropathy (PLE) should be a consideration in the evaluation of patients who present with moderate to severe hypoalbuminemia (serum albumin <3.0 g/dL), particularly those who present with edema.
  • Although some patients with PLE present with severe GI symptoms such as diarrhea, not all patients suffering from PLE will exhibit overt GI symptoms.
  • The diagnosis of PLE is based on fecal alpha-1 antitrypsin clearance which requires both fecal and serum alpha-1 antitrypsin levels.
  • Alpha-1 antitrypsin testing of a spot stool specimen may also show elevated levels in PLE, but this is a less sensitive approach and is not recommended in the initial diagnosis.
  • The patient in the case described was found to have eosinophilic gastroenteritis as the cause of her PLE which responded well to treatment.
How well did you know this?
1
Not at all
2
3
4
5
Perfectly
8
Q

36F w/ morbid obesity RXY w/ BMI from 42 to 30 over a 1-year period. She notes intermittent nausea, irritability, weakness, and hunger 2 hours after eating certain foods. Which of the following is the dominant mechanism of action of her symptoms?

A. Rapid fluid shifts in the bowel

B. Osmotic effects of meals

C. Hypoglycemia

D. Peptide hormone release

A 54-year-old woman with a past medical history of Roux-en-Y gastric bypass 10 years prior to this presentation is complaining of recurrent abdominal pain and has regained 40% of the weight lost. She blames her weight regain on her “sweet tooth” and love of bread that she consumes with most meals. Since her surgery, she has had cholecystectomy, hysterectomy, and a laparoscopic surgical repair of internal hernia. She describes a colicky pain that is especially bothersome after meals, associated with sweating, nausea, and occasional palpitations. She feels weak and exhausted, and this can last for the rest of the day. The abdominal discomfort begins almost immediately after eating a meal. She was taken to the emergency department for a brief syncopal episode recently. All of her laboratory test results had been normal, except for a finger stick glucose of 60 mg/dL. Which test would be most likely to yield the correct diagnosis?

A. Glucose tolerance testing and gastric emptying study

B. Upper endoscopy to rule out esophagitis or gastric pathology.

C. CT scan of the abdomen and pelvis to investigate possible recurrent internal hernia/intussusception

D. Referral to a bariatric surgeon for laparoscopic evaluation of her abdominal pain

A
  • dumping syndrome likely secondary to the consumption of larger meals or simple sugars
  • Dumping syndrome - classified as early and late.
  • Early dumping - within 1 hour of eating and is secondary to rapid dumping of food into the small bowel. The underlying mechanism involves
    • rapid fluid shifting
    • osmotic effects
    • peptide hormone release
  • late dumping - within 1-3 hours of eating and is secondary to high insulin release resulting in low blood glucose levels. This is also referred to as post-bariatric hypoglycemia.

Dumping syndrome can explain most of her symptoms and occurs in up to 40% of patients after Roux-en-Y gastric bypass (RYGB). Her Sigstad score is >7, positive for dumping. Diagnosis of dumping syndrome is mostly based on clinical history, but it can be confirmed with a modified oral glucose tolerance test and a gastric emptying study (showing abnormally fast emptying). Initial therapy for dumping syndrome consists of dietary measures: patients are instructed to take smaller, more frequent meals (up to 6 per day) and to avoid drinking with meals or the first 2 hours postprandially. Importantly, patients are taught to avoid rapidly absorbed sugars and lactose. Obesity is a risk factor for gastroesophageal reflux; however, RYGB is not typically associated with worsening of esophagitis. Although in practice, an upper endoscopy will likely be performed to rule out gastric pathology and marginal ulcers +/- CT scan depending on severity, these tests are less likely to explain her constellation of symptoms.

How well did you know this?
1
Not at all
2
3
4
5
Perfectly
9
Q

A 55-year-old woman presents with a history of chronic bloating. She reports a 3-month history of lower abdominal distension with a sense of fullness. She has no altered bowel habits, history of prior abdominal surgeries, known medical illnesses, or family history of colorectal cancer. She has lost 8 lb of weight despite a good appetite. Laboratory test results are remarkable for normal complete blood cell count and comprehensive metabolic panel. Anti-tissue transglutaminase and immunoglobulin A levels are normal. Physical exam is remarkable for mild lower abdominal distension. She undergoes a diagnostic colonoscopy that is remarkable for a 5-mm sigmoid polyp that is completely excised with pathology results showing a tubular adenoma. What is the best next step?

A. Breath hydrogen test

B. Transvaginal ultrasound

C. Upper endoscopy with duodenal biopsy

D. Empiric treatment for irritable bowel syndrome

A
  • This patient should undergo workup for ovarian cancer, which should be suspected in middle-aged women who present with abdominal bloating and distension, particularly with weight loss.
  • not SIBO- no diarrhea or risk factors
  • labs not celiac so upper endoscopy with duodenal biopsy is not recommended
  • Despite her symptoms of abdominal bloating, she does not have any altered bowel habits and so does not meet criteria for irritable bowel syndrome.
How well did you know this?
1
Not at all
2
3
4
5
Perfectly
10
Q

A 33-year-old woman reports abdominal fullness and a 20-lb weight loss in the last 2 months. She underwent an EGD that showed a 3-cm ulcerated duodenal mass with biopsies confirming primary duodenal adenocarcinoma. Which of the following may have increased her risk for this cancer?

A. NSAID use

B. H. pylori infection

C. Celiac disease

D. Female gender

A
  • Celiac disease increases the risk for
    • small bowel lymphoma
    • and adenocarcinoma
  • Other risk factors for small bowel adenocarcinoma include older age (over 50 years), Crohn’s disease, and genetic conditions such as familial adenomatous polyposis (FAP), Lynch, and Peutz-Jegher syndromes
  • Gender is not a significant risk factor, but small bowel adenocarcinoma is more common in males.
  • NSAID use and H. pylori infection increase the risk of duodenal ulcers, which is not a risk factors associated with increased risk for duodenal adenocarcinoma.
How well did you know this?
1
Not at all
2
3
4
5
Perfectly
11
Q

A 68-year-old woman is admitted to the hospital while visiting her family out of state with months of progressive diarrhea and weight loss. She reports the onset of diarrhea 1 year ago, starting with 4-5 stools daily, but notes that it has progressed to the point of 8-12 watery stools daily for the last few months. She reports a presyncopal episode in her bathroom on the day of admission. She reports a 25-lb weight loss in the last year. Her past medical history is significant for a cholecystectomy 5 years ago, recurrent uncomplicated diverticulosis, hypertension, and hyperlipidemia. She did not bring her medication bottles or list to the appointment, but she states that she has taken them for over 3 years with no recent dose change. Exam on admission revealed orthostatic hypotension, but otherwise unremarkable. Labs show evidence of volume contraction, with normal TSH and negative IgA tissue transglutaminase antibody, and normal serum immunoglobulin IgA level. After adequate intravenous hydration, she undergoes an EGD with small bowel biopsies that shows total villous atrophy, increased intraepithelial lymphocytes, chronic inflammation, and a thickened collagen band. Colonoscopy with biopsies is unremarkable. HLA genotyping reveals HLA DQ2. What is the most likely diagnosis?

A. Serologically negative celiac disease

B. Drug-induced enteropathy

C. Small intestinal bacterial overgrowth

D. Autoimmune enteropathy

E. Whipple’s disease

A

This patient has a serologically negative enteropathy, with a notable collagen band on her small bowel biopsies. When collagenous sprue is noted on small bowel biopsies, a drug-induced enteropathy needs to be ruled out. A few medications that have been known to cause a drug-induced enteropathy include olmesartan, mycophenolate mofetil, and methotrexate. Olmesartan can mimic celiac disease, both clinically and histologically, although as noted, the presence of a thickened collagen band warrants careful medication review given that can be a clue to a drug-induced etiology. The median time from drug initiation until diagnosis is roughly 3 years, but some patients have been on olmesartan in excess of 10 years before symptom onset. The negative celiac serology, presence of a collagen band, and use of an unknown anti-hypertensive agent would make a drug-induced enteropathy most likely. Small intestinal bacterial overgrowth should not cause these histologic findings. Autoimmune enteropathy may cause a paucity of goblet cells on biopsy and does not tend to cause intraepithelial lymphocytosis to the degree that celiac disease does and should not cause a thickened collagen band. Whipple’s disease would be very unlikely in a woman with these biopsy findings.

How well did you know this?
1
Not at all
2
3
4
5
Perfectly
12
Q

A 31-year-old woman with known common variable immunodeficiency (CVID) develops worsening diarrhea. EGD and colonoscopy were normal but pathology from her duodenal biopsies show sprue like villous blunting. She was tried on a gluten-free diet without improvement of her diarrhea. Stool cultures were obtained and were positive. Treatment of this pathogen dramatically improved her diarrhea. She had a follow-up EGD in 6 months due to epigastric pain, and repeat duodenal biopsies no longer demonstrated the sprue-like villous blunting. Which of the following is the most likely pathogen for which this patient was treated?

A. Clostridioides difficile

B. Giardia lamblia

C. Cryptosporidium

D. Tuberculosis

E. Cytomegalovirus

A

Host immune response plays a critical role in limiting the severity of giardiasis. Individuals infected with Giardia, who have CVID can develop a sprue-like malabsorption from Giardia infection. Giardia lamblia is the most common organism in CVID patients; however, Campylobacter jejuni, Salmonella, cytomegalovirus, and norovirus have been reported. Clostridioides infection is not at higher incidence in CVID patients despite the frequent use of antibiotics. Small bowel villous atrophy is frequently seen in these patients and can be associated with severe malabsorption. Most patients do not respond to a gluten-free diet. On occasion, villous atrophy resolves with treatment of Giardia. Any of the listed pathogens could be possible in this patient but Giardia infection is the only common pathogen in CVID patients that is also associated with villous blunting that can resolve with treating the Giardia.

How well did you know this?
1
Not at all
2
3
4
5
Perfectly
13
Q

A 62-year-old man presents with a history of metastatic pancreatic adenocarcinoma, severe heartburn, nausea with vomiting, intractable hiccups, and progressively severe, cramping, periumbilical abdominal pain. He has 3 nonbloody bowel movements daily. Medical history is notable for a prior ERCP for painless jaundice during which an uncovered metallic biliary stent was placed. Medications include capecitabine as prior therapy with gemcitabine was found to be ineffective. Prior therapy with pantoprazole 40 mg orally daily did not relieve his symptoms.

Temperature is 36.8°C, blood pressure is 108/74 mm Hg, and pulse 110 bpm; other vital signs are stable. Physical exam is notable for dry mucous membranes and mild tachycardia but is otherwise unremarkable. Stool studies are pending. EGD is notable for atypical duodenitis [figure A]. CT is included for review [figure B]. In addition to intravenous fluids, which of the following is the next best step in management?

A. Trial of esomeprazole 40 mg orally twice daily

B. Positron emission tomography scan

C. Discontinue capecitabine

D. Baclofen 10 mg orally 3 times daily

A

The EGD is notable for severe duodenitis with mucosal edema and exudates. The CT image reveals considerable small intestinal wall thickening consistent with enteritis. Whereas small intestinal infectious etiologies must be considered, it is important to recognize that capecitabine may cause severe enteritis. 5-fluorouracil, for which capecitabine is a prodrug, is known to cause enteritis. As this patient did not respond to proton pump inhibitor therapy with pantoprazole, it is not expected he would have significant response to esomeprazole. The diagnosis of metastatic pancreatic adenocarcinoma is established, and further imaging would not change management. Whereas baclofen may be utilized in centrally mediated hiccups, it would be more important to address the primary cause of the presentation.

How well did you know this?
1
Not at all
2
3
4
5
Perfectly
14
Q

A 74-year-old man with a past medical history relevant for coronary artery disease (non-ST segment elevation myocardial infarction status-post stenting of his left anterior descending artery), paroxysmal atrial fibrillation, and peripheral vascular disease, presents with complaints of worsening supraumbilical pain. He has had this pain for 3 weeks, and he describes it as “dull and crampy” in character, with some posterior radiation. He notes that this pain is worse after meals, particularly those high in fat. He is eating minimally due to these symptoms and experienced weight loss of 5 lb during this time. He also reports loose stools and nonbloody diarrhea, as well as occasional nausea. His notable medications are apixaban, aspirin 81 mg a day, clopidogrel, and omeprazole 40 mg a day.

Three months ago, he experienced an upper GI bleed with melena, at which time an EGD was performed with the finding of a gastric ulcer [figure A]. Biopsy of the margin of the ulcer revealed inflammation and cellular necrosis, without H. pylori organisms. At that time his omeprazole was increased to 40 mg twice a day. A repeat EGD was performed due to the abdominal pain, with findings of a persistent ulcer [figure B], which was again biopsied. Which of the following is the best diagnostic approach in the evaluation of this patient?

A. Secretin stimulation test

B. Stool antigen testing for H. pylori

C. Pancreatic protocol CT abdomen

D. Flow cytometry of gastric biopsies

E. CT angiography

A

This patient has a strong history of vascular disease and is presenting with symptoms of “intestinal angina” typical of chronic mesenteric ischemia, including postprandial worsening of symptoms, sitophobia, and weight loss. Chronic mesenteric ischemia results from hypoperfusion of the small intestine that occurs with multivessel mesenteric stenosis or occlusion, typically involving the celiac and superior mesenteric arteries (SMA). The nonhealing gastric ulcer, despite H. pylori negativity, and appropriate PPI therapy provides another clinical clue, and the initial EGD suggested the possibility of some pallor and hypoperfusion of the gastric mucosa surrounding the ulcer. A high index of suspicion is required to make the diagnosis.

CT angiography is the test of choice, with sensitivity and specificity exceeding 90% for the diagnosis. In this patient’s case, CT angiography showed concern for extensive plaque at the celiac and SMA level, and he underwent a revascularlization procedure with dramatic improvement in symptoms. A nonhealing solitary gastric ulcer would be a less common presentation of a hypersecretory state, such as in Zollinger-Ellison (Z-E) syndrome. More commonly, solitary duodenal ulcers or ulceration at multiple sites would be found with Z-E. Regardless, a serum gastrin level would be the appropriate initial test to evaluate this, rather than a secretin stimulation test (Answer A is incorrect). Though persistent H. pylori infection would be a consideration, he has tested negative for H. pylori (biopsy of ulcer margin) in the past, and the majority of H. pylori-associated ulcers are PPI responsive. The patient does have some posterior radiation of his pain and worsening of the symptoms with fatty foods. These are features that can sometimes be associated with pancreatitis but are nonspecific and would not be the most immediate concern as an etiology of symptoms in this patient. Flow cytometry would be pursued in the case of a suspicion for gastric lymphoma. However, again, this is not the most likely explanation of his symptoms, and flow cytometry would be premature before obtaining the routine histopathology results from his repeat biopsies

How well did you know this?
1
Not at all
2
3
4
5
Perfectly
15
Q

A 78-year-old woman was referred from the emergency department (ED) 3 days after presenting with epigastric pain. She has a history of type 2 diabetes and rheumatoid arthritis. Over a period of 4 weeks, she developed recurrent bouts of sharp, burning epigastric pain associated with nausea. She managed the pain with liquid antacids and over-the-counter histamine-2 blockers. She states that she had 2 black, tarry stools 1 week prior to her ED visit. Her regular medications include metformin, folic acid, weekly methotrexate, and acetaminophen for pain. Due to increased pain in both hands, she began once daily use of naproxen 550 mg 6 months ago. The patient consumes 4 vodka drinks nightly. She had a normal screening colonoscopy at age 75.

In the ED, the patient’s vital signs were within normal limits. Her exam was significant for palpation tenderness in the epigastric region without guarding or rebound. Laboratory test results revealed a lipase of 160 U/L (normal: ≤85 U/L) and normal liver function tests. CBC was significant for a microcytic anemia with hemoglobin 9.9 g/dL and MCV 76. Due to concern for pancreatitis, the patient underwent a CT of the abdomen with IV and oral contrast which was normal. After 6 hours, the patient was discharged and given a prescription for omeprazole.

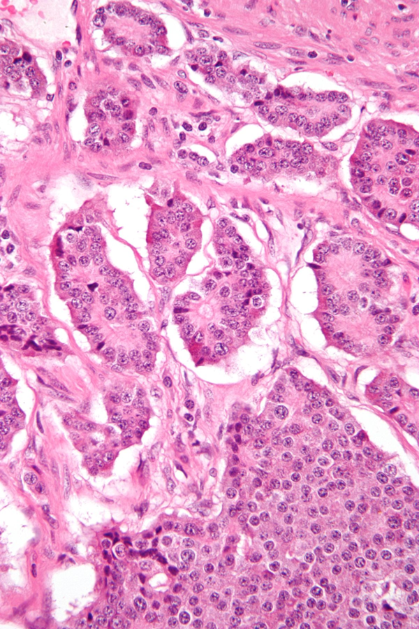
After your office visit, the patient undergoes an upper endoscopy which reveals a 1.5-cm clean-based ulcer in the antrum. Six biopsies from the ulcer reveal only inflammation and H. pylori staining is negative. In the distal duodenal bulb, a 1.8-cm lesion is identified as shown in figure A. One week later, an EUS of the lesion demonstrates that it is confined to the mucosa. The lesion is removed with a hot snare in 1 piece after saline lift and reveals the pathology shown in figure B. Cauterized deep and lateral margins are free of abnormalities. Based on these results, which of the following statements is true?

A. The duodenum is the second most common site for this lesion.

B. This lesion will stain positive for c-KIT.

C. Stains for synaptophysin and chromogranin are likely to be positive.

D. Based on pathology results, locoregional lymph node involvement is unlikely.

E. Urine 5-HIAA will be elevated.

A

This patient’s diagnosis is a duodenal neuroendocrine tumor (NET). Duodenal NETs account for less than 3% of intestinal NETs and can be removed endoscopically by simple polypectomy or endoscopic mucosal resection. Duodenal NETs may be functional and release excess endogenous hormones such as gastrin or somatostatin. Duodenal NETs typically stain positive for synaptophysin and chromogranin, but unlike GISTs, are negative for c-KIT. In 1 study, duodenal NETs less than 1 cm in size had a risk of node involvement of less than 5%. In contrast, when 1-2 cm in size or greater than 2 cm, positive nodes were found in 72 and 81% of cases, respectively. Measurement of urinary excretion of 5-HIAA is generally most useful in patients with primary midgut NETs, which produce the highest levels of serotonin. Foregut NETs (e.g., gastroduodenal) only rarely secrete serotonin because they lack the enzyme dopa decarboxylase and cannot convert 5-hydroxytryptophan (5-HT) into serotonin and, therefore, into 5-HIAA.

How well did you know this?
1
Not at all
2
3
4
5
Perfectly
16
Q

A 22-year-old internal medicine intern developed diarrhea, right lower quadrant abdominal pain, and a sore throat 4 weeks ago. The diarrhea lasted for 2 weeks and subsided, but the abdominal pain continued and worsened. He now has bilateral hand arthralgias and erythema nodosum. CT scan reveals mesenteric adenopathy with evidence of inflammation in the terminal ileum. Stool studies are positive for fecal leukocytes. His past medical history is unremarkable. He takes intermittent nonsteroidal anti-inflammatory drugs (NSAIDs) for exercise-related knee and ankle pains. Which of the following therapies should be initiated?

A. Supportive care only

B. Trimethoprim-sulfamethoxazole (TMP-SMX)

C. Prednisone taper

D. Penicillin VK

E. Infliximab

A

Yersinia enterocolitica infection is a classic Crohn’s disease mimic. Yersinia can lead to pronounced and prolonged diarrhea — much longer than many traditional pathogens. Because the initial bout of diarrhea can last weeks, it often raises suspicion for a more chronic condition, like IBD. Further, it can cause erythema nodosum, which raises the suspicion of IBD. The key clinical feature is that the diarrhea subsides, and thereafter the patient develops reactive arthritis. Another clinical clue is the sore throat. Yersinia has a propensity to involve the terminal ileum and cecum, again mimicking Crohn’s; however, with typical usual Crohn’s, the CT scan may reveal bulky mesenteric adenopathy.

Uncomplicated cases of diarrhea due to Y. enterocolitica usually resolve on their own without antibiotic treatment. However, in more severe or complicated infections, antibiotics such as aminoglycosides, doxycycline, trimethoprim-sulfamethoxazole, or fluoroquinolones may be useful. Antibiotic treatment should be used in patients with bacteremia with extraintestinal manifestations. They should be used in cases of primary extraintestinal disorders, such as the following: cellulitis, ophthalmitis, endocarditis, meningitis, osteomyelitis, pneumonia, and focal abscesses.

In addition, patient populations who should be considered for empiric antibiotic therapy include the following: elderly patients, patients with diabetes, patients with cirrhosis, immunocompromised patients, patients with cancer who are receiving chemotherapy, and healthcare and childcare workers who are at an increased risk of person-to-person spread.

17
Q

A 63-year-old woman presented to your office with abdominal bloating, weight loss of 5 lb, and diarrhea. Her medical history is notable for breast cancer following lumpectomy, ulcerative proctitis on topical 5-ASA therapy, and serous adenocarcinoma of the ovary involving the peritoneum following cytoreductive surgery, 6 cycles of chemotherapy, and consolidative radiotherapy 6 years ago thought to be in remission. She notes significant food intolerance when she strays beyond a very basic diet. Lab values are notable for normal electrolytes with a hemoglobin of 11 g/dL (normal: 12-16 g/dL) and a high-normal MCV. A malnutrition work-up is notable for an albumin of 3.5 g/dL (normal: 3.5-5.5 g/dL), serum folate is 35 ng/mL (normal: 2.5-20 ng/mL), and slightly elevated vitamin K levels.

You perform an upper endoscopy and colonoscopy. The former is unremarkable, with no evidence of celiac disease. The colonoscopy shows normal colonic mucosa with random biopsies revealing only chronic, inactive colitis in the rectum. A CT of the abdomen reveals a small amount of peritoneal fluid, felt to be physiologic, but is otherwise normal. Which approach is likely to be most helpful in revealing the diagnosis?

A. Trial of PPI therapy

B. MRI enterography

C. Video capsule endoscopy

D. Empiric treatment with antibiotics

A

In a patient with ovarian cancer with remote radiation treatment presenting with gastrointestinal symptoms, chronic radiation enteritis is a common offender. Chronic radiation enteritis is characterized by progressive obliterative endarteritis leading to chronic ischemia and submucosal fibrosis. MR enterography is considered the best diagnostic test after baseline CT is unrevealing because it may show luminal irregularities including segmental inflammation with bowel thickening, mucosal hyperenhancement, mesenteric stranding, and luminal stricturing. As such, video capsule endoscopy should be undertaken less frequently due to risk of capsule retention. PPI therapy is a common first-pass treatment for uninvestigated dyspepsia after H. pylori infection is ruled out, but this patient has more than dyspeptic symptoms. Chronic radiation enteritis frequently leads to bile salt malabsorption and small intestinal bacterial overgrowth. In this clinical vignette, the diagnosis of small intestinal bacterial overgrowth is suggested by her symptoms and elevated levels of folate and vitamin K. However, empiric antibiotic treatment is unlikely to definitively make a diagnosis, but rather treat the sequelae of the underlying problem.

when to not to vce and consider MRE/CTE- Crohn’s disease, radiation, small bowel surgery

18
Q

A 45-year-old man had Roux-en-Y gastric bypass surgery 1 month prior to this presentation. Today, he comes in complaining of persistent nausea and vomiting after the surgery. He has lost 40 lb since his procedure. He also describes tingling and burning sensations in his legs and unsteady gait. He denies use of alcohol but proceeds to describe a recent adventure involving sharks in Mozambique and insists on calling you his best mate. The emergency department physician suspects undisclosed substance use and is waiting for a urine sample. You were asked to evaluate the nausea and vomiting. What is your next step?

A. Order an abdominal ultrasound, hepatic panel, and schedule an upper endoscopy.

B. Order CBC, comprehensive metabolic panel, micronutrients, and the drug screen.

C. Ask a psychiatrist to assess the patient’s mental condition.

D. Start IV infusion of 200 mg IV thiamine immediately.

A

Symptomatic post-bariatric surgery patients should be treated with IV repletion of thiamine before laboratory confirmation of deficiency. The patient presents with symptoms typical of thiamine deficiency (paresthesias, ataxia, confabulations suggestive of Korsakoff syndrome). This scenario, persistent nausea and vomiting in a severely malnourished patient shortly after weight loss surgery, is the classic setting for thiamine deficiency. The patient may deteriorate further if he receives a dextrose infusion without concomitant thiamine supplementation.