Pancreas Flashcards

(22 cards)

1
Q

A 63-year-old woman presenting with painful calcific chronic pancreatitis (CP) is referred for further management of her abdominal pain. She has undergone noninvasive medical therapy including antioxidants, pregabalin, oxycodone, and PERT. She has managed to discontinue smoking, but the pain continues. CT scan is shown in the figure. Which of the following would be best for long-term (5 years) management of CP pain?

A. EUS-guided celiac plexus block

B. ERCP with ESWL ( extra corporal shock wave lithotripsy)

C. ERCP with pancreas duct (PD) stent

D. Pancreas surgery (resection or drainage)

A
  • This is a patient with chronic pain in the setting of CP and CT shows a dilated, irregular main pancreatic duct with calcific parenchyma disease.
  • Surgery is superior to endoscopic intervention at providing longer term pain relief in CP in this setting. One RCT reported in a 79-month follow-up period, 1 patient was lost and 7 died from unrelated causes. Of the patients treated by endoscopy, 68% required additional drainage compared with 5% in the surgery group (P = .001). Hospital stay and costs were comparable, but overall, patients assigned to endoscopy underwent more procedures (median, 12 vs 4; P = .001).
  • Moreover, 47% of the patients in the endoscopy group eventually underwent surgery. Although the mean difference in Izbicki pain scores was no longer significant (39 vs 22; P = .12), surgery was still superior in terms of pain relief (80% vs 38%; P = .042). Levels of quality of life and pancreatic function were comparable.
How well did you know this?
1
Not at all
2
3
4
5
Perfectly
2
Q

44F Korean w/ abd pain. No panceratitis hx. Moderate tenderness in her upper abdomen without rebound tenderness. AUS fusiform dilatation of the common bile duct (CBD), and mild dilatation of the pancreatic duct. There is no choledocholithiasis. Gallbladder normal. CT with interstitial panc. CBD is observed to be tortuous and dilated, without evidence of stones or masses. MRCP shown. next step in management?

A. Surveillance with yearly MRCP

B. No further intervention

C. Colonoscopy

D. Surgical evaluation

E. IgG subclass 4

A
  • type I choledochal cyst (CC) with anomalous pancreatobiliary junction (APBJ)- diffuse dilation of CBD
  • APBJ is defined as a long common channel with a length greater than 1.5 cm.
    • cholangiocarcinoma and gallbladder carcinoma (panc contents into bile) +pancreatitis (bile going to PD)
  • An anomalous anatomical arrangement of the pancreaticobiliary ductal junction allows reciprocal reflux of bile and pancreatic juices into the biliary tree, which can cause inflammation, ectasia, and dilatation.
  • Malignancy is most commonly associated with types I and IV cysts. Tx: surgery
How well did you know this?
1
Not at all
2
3
4
5
Perfectly
3
Q

A 77-year-old man with a history of ischemic cardiomyopathy (LVEF 20-25%) with an implantable cardioverter-defibrillator and compensated alcoholic cirrhosis presented with acute-onset right upper quadrant abdominal pain and fevers with chills. The patient was admitted to the hospital after transabdominal ultrasound in the emergency department revealed cholelithiasis, gallbladder wall thickening, and positive sonographic Murphy’s sign. Antimicrobial therapy was begun using piperacillin-tazobactam. On day 2 of hospitalization, the patient was transferred to the intensive care unit after development of sustained hypotension requiring initiation of norepinephrine infusion.

Laboratory workup revealed:
WBC 15,000/µL (normal: 4,000-10,000/µL)
Serum creatinine 2.4 mg/dL (eGFR 25)
INR 1.54 (normal: <1.4)
Total bilirubin 1.7 mg/dL (normal: 0.3-1.2 mg/dL)
ALT 28 U/L (normal: 0-35 U/L)
AST 71 U/L (normal: 0-35 U/L)
ALP 97 U/L (normal: 36-92 U/L)
Lactic acid 3 mg/dL (normal: 6-16 mg/dL)

Computed tomography of the abdomen/pelvis with IV contrast was obtained [figures A and B]. What should be your next step in management?

A. Percutaneous cholecystostomy

B. Endoscopic retrograde cholangiography (ERCP) with transpapillary gallbladder drainage

C. Surgery consultation

D. Endoscopic ultrasound-guided gallbladder drainage with lumen-apposing metal stent

E. Continue medical management

A
  • Surgery consultation is the best next step in this patient with septic shock due to acute calculous cholecystitis, now complicated by suspected gallbladder perforation. The CT images demonstrate a rim of enhancement along the hepatic capsule (Figure A arrows: peritonitis) and a defect in the gallbladder wall (Figure B arrow: perforation). The gallbladder otherwise shows classic findings of acute cholecystitis, including gallbladder wall thickening, pericholecystic fluid/stranding, and enhancement of the gallbladder mucosa. Emergency exploratory laparoscopy with the possibility of conversion to open exploration is indicated. Frequently, abdominal cavity washout and surgical drain placement are needed.

Initial nonoperative management with antimicrobials is recommended over immediate cholecystectomy for American Society of Anesthesiologists (ASA) classification III or IV patients with acute calculous cholecystitis who lack an indication for emergency cholecystectomy (i.e., operative risks outweigh benefits). Nonoperative gallbladder drainage is warranted among high-risk patients (ASA III/IV) who fail to clinically improve after 1-3 days of medical management, given that cholecystectomy is associated with ≤19% mortality rate in high-risk patients. Failure to improve after nonoperative biliary drainage requires re-evaluation of drain positioning and careful review for complications of acute cholecystitis. Regardless of surgical risk, emergency cholecystectomy is indicated for complicated acute cholecystitis (e.g., gallbladder necrosis, gallbladder perforation, or emphysematous cholecystitis).

How well did you know this?
1
Not at all
2
3
4
5
Perfectly
4
Q

65M incidental dilated main pancreatic duct up to 13 mm. No mass, CBD wnl. Asymptomatic, healthy, no FH. EUS with dilated PD and shows a granular appearance to the pancreas. Side-viewing endoscopy image shown. next step managing?

A. Pancreatic enzyme replacement therapy

B. Surgical referral

C. Endoscopic retrograde cholangiopancreatography (ERCP)

D. Serial imaging with CT or MRI

E. Endoscopic papillectomy

A
  • IPMN- image shows the ampulla with a dilated papilla extruding mucinous fluid.
    • 70% malignancy risk pancreatic duct is 10 mm or larger.
    • no CP - no stones or calcifications
  • Another scenario with significant dilation of the pancreatic duct is chronic pancreatitis, which can be treated with pancreatic enzymes.
  • Endoscopic papillectomy - ampullary adenomas, not IPMN
How well did you know this?
1
Not at all
2
3
4
5
Perfectly
5
Q

51F with incidental pancreatic cyst, no FH, no panc hx, Dx?

A. Pseudocyst

B. Serous cystadenoma - septated, lobular, rarely unilocular

C. Mucinous cystic neoplasm

D. Solid pseudopapillary neoplasm

A
  • Solid pseudopapillary neoplasms usually occur in younger women and have a heterogeneous appearance with a capsule and hemorrhagic components.
  • Mucinous cystic neoplasms occur almost exclusively in women due to their ovarian-like stroma
    • body and tail
    • appear unilocular
    • malignant potential, surgery recommended
How well did you know this?
1
Not at all
2
3
4
5
Perfectly
6
Q

55F CT w/ 2.5-cm cyst in the body of the pancreas, described as having a honeycomb appearance with a central scar. diagnosis?

A. Mucinous cystic neoplasm

B. Serous cystadenoma = Sentral sCar

C. Solid pseudopapillary lesion

D. Pseudocyst

A
  • Serous cystadenoma is also more likely to be seen in middle-aged women. The classic features are microcystic or having a honeycomb appearance. Approximately 1/3 have a central scar. Benign do not require intervention or surveillance.
  • Solid pseudopapillary lesions are rare lesions, most often seen in younger women. They are usually seen with a mixed solid and cystic appearance. Since they may be aggressive, surgical resection is often recommended
How well did you know this?
1
Not at all
2
3
4
5
Perfectly
7
Q

55F RUQ pain+ inc LFTs since she had a cholecystectomy 2 years ago. AUS CBD is dilated to 9 mm. ERCP w biliary sphincterotomy- Biliary cannulation with ease and no pancreatic cannulation or pancreatogram performed. No CBD stones. Which increase risk of post-ERCP pancreatitis?

A. Age

B. Underlying etiology

C. Biliary cannulation technique

D. Dilated CBD

A
  • type 1 SOD dysfunction which responds well to biliary sphincterotomy but does carry an increased risk for post-ERCP pancreatitis (PEP).
  • Age (younger than 40) and female (combined) is considered a relatively minor risk factor for post-ERCP pancreatitis.
  • Dilated CBD and easy biliary cannulation are both associated with lower rates of post-ERCP pancreatitis.
  • Among the choices listed, the patient’s clinical diagnosis of SOD portends the highest risk for PEP.
  • Factors associated with an inc risk of post-ERCP pancreatitis
    • female sex, younger age
    • suspected sphincter of Oddi (SOD) dysfunction
    • prior post-ERCP pancreatitis
    • recurrent pancreatitis
    • pancreatic duct injection
    • pancreatic sphincterotomy
    • difficult or failed cannulation at the present ERCP
    • use of pre-cut sphincterotomy and
    • failed prophylactic PD stenting.
  • Factors not associated
    • small CBD diameter
    • the presence of a periampullary diverticulum
    • pancreas divisum
    • prior failed ERCP
    • allergy to contrast media, and
    • intramural contrast injection
How well did you know this?
1
Not at all
2
3
4
5
Perfectly
8
Q

A 59-year-old woman with a history of total abdominal hysterectomy with bilateral salpingoophorectomy and hypothyroidism presents to discuss reflux symptoms. She has had burning in her chest after dinner on and off for the last 3 months. She tried famotidine as needed with no improvement. She has not tried a PPI. She takes levothyroxine and a multivitamin daily. She is up to date with colon cancer screening and had a normal colonoscopy at 55. Her father died of pancreatic cancer at 62, her cousin died of pancreatic cancer at age 46, and her paternal aunt was diagnosed with pancreatic cancer and is currently receiving neoadjuvant chemotherapy. In addition to starting a proton pump inhibitor for reflux, what would you recommend next?

A. Endoscopic ultrasound with FNA

B. MRI with MRCP

C. Genetic counseling and genetic testing

D. Serum Ca19-9

A

The patient’s family history is concerning for familial pancreatic cancer syndrome as she has 3 family members with pancreatic cancer, 1 diagnosed at a young age. If her father was still alive, he would definitely need to undergo genetic testing. She should have an evaluation with a genetic counselor and have genetic testing performed for germline mutations associated with pancreatic cancer. If a mutation is detected, she should be enrolled in a surveillance program with alternating endoscopic ultrasound and MRIs. Ca19-9 has not been shown to detect pancreatic cancer.

How well did you know this?
1
Not at all
2
3
4
5
Perfectly
9
Q

An 80-year-old woman presents to the emergency department with acute upper abdominal pain and fever. The patient has a past medical history of stage III lung cancer on home oxygen. On physical exam, the patient is febrile and hypotensive. Abdominal exam exhibits tenderness in the right upper quadrant. Laboratory studies demonstrate a WBC of 16,000/µL (normal: 4,000-10,000/µL). An abdominal sonogram reveals a thickened gallbladder wall with stones along with significant ascites. Intravenous antibiotics have been started. What is the best next step for this patient?

A. Conservative approach and continue antibiotics

B. Laparoscopic cholecystectomy

C. EUS-guided lumen-apposing metal stent (LAMS)

D. Percutaneous cholecystostomy tube

A
  • high-risk surgical candidate due to advanced lung cancer on oxygen with acute cholecystitis. The patient is exhibiting signs of sepsis, so in addition to antibiotics, gallbladder decompression is required.
  • Patients with ASCITES have a relative contraindication for percutaneous drainage via interventional radiology.
  • There is a growing body of literature supporting the role of endoscopic drainage with LAMS for patients who are high risk for surgery
  • A recent systematic review of 189 patients showed a technical success rate of over 95%. Endoscopic (EUS-guided) placement of LAMS should be considered in patients at high risk for percutaneous or surgical interventions, especially if the expertise is available.
How well did you know this?
1
Not at all
2
3
4
5
Perfectly
10
Q

A 72-year-old man presents with painless jaundice. He has no history of hepatobiliary diseases. On physical examination, his weight is 69 kg, he is afebrile, and his vital signs are within expected normal range. There is no tenderness in the right upper quadrant. His past medical history is significant for fatty liver and dyslipidemia. His medications include simvastatin 10 mg and occasional ibuprofen for headache. He denies any known allergy to medications. He does smoke 5 cigarettes every day but does not drink alcohol. There is no family history of pancreatic cancer or pancreatitis. His pertinent blood work showed AST 216 U/L (normal: 0-35 U/L), ALT 187 U/L (normal: 0-35 U/L), serum lipase 55 U/L (normal: <95 U/L), total bilirubin 6.7 mg/dL (normal: 0.3-1.2 mg/dL), and serum alkaline phosphatase 928 U/L (normal: 36-92 U/L). Abdominal ultrasound shows a dilated common bile duct (CBD), and MRCP confirms a 13-mm CBD and the presence of multiple stones in the CBD. You schedule an ERCP. What would be the best evidence-based strategy in preventing post-ERCP pancreatitis in this patient?

A. Prophylactic pancreatic stent placement

B. Rectal indomethacin 100 mg before the procedure

C. Rectal indomethacin 100 mg after the procedure

D. None is required given the low risk in this patient.

A
  • patient is average risk for post-ERCP pancreatitis
  • rectal indomethacin will prevent moderate to severe post-ERCP pancreatitis and death if given 30 minutes before the procedure.
  • Giving the medication after the procedure has not been more effective than placebo
  • Prophylactic stent placement is only indicated in high-risk patients.
How well did you know this?
1
Not at all
2
3
4
5
Perfectly
11
Q

A 71-year-old woman with no prior history of liver disease presented with 1 month of non-specific epigastric pain and was found to have mildly elevated transaminases, an alkaline phosphatase of 330 U/L and a bilirubin of 2.7 mg/dL on initial laboratory studies. Subsequent MRI imaging demonstrated a distal common hepatic duct/mid common bile duct stricture. The patient underwent ERCP for further evaluation showing findings consistent with the MRI. Which of the following techniques during ERCP would provide the greatest likelihood of achieving an accurate diagnosis regarding this stricture?

A. Biliary brushings

B. Fluoroscopically guided forceps biopsy

C. Fluoroscopically guided biopsy + brushings

D. Visual cholangioscopic impression

E. Cholangioscopically obtained forceps biopsy

A
  • The sensitivity of biliary brushings or fluoroscopically guided biopsies alone in detecting malignancy within a biliary stricture are around 45-50%. Combining these 2 techniques increases the sensitivity to around 60%.
  • Visual cholangioscopic sensitivity and accuracy appears to be better than that from histology obtained by cholangioscopic biopsies (90% vs. 80%). Newer versions of cholangioscopes with improved optics may increase/improve this sensitivity rate for cholangioscopically obtained biopsies.
  • Of note, EUS-FNA appears to have a sensitivity of around 80% for distal biliary strictures and about 60% for more proximal (hilar) strictures.
How well did you know this?
1
Not at all
2
3
4
5
Perfectly
12
Q

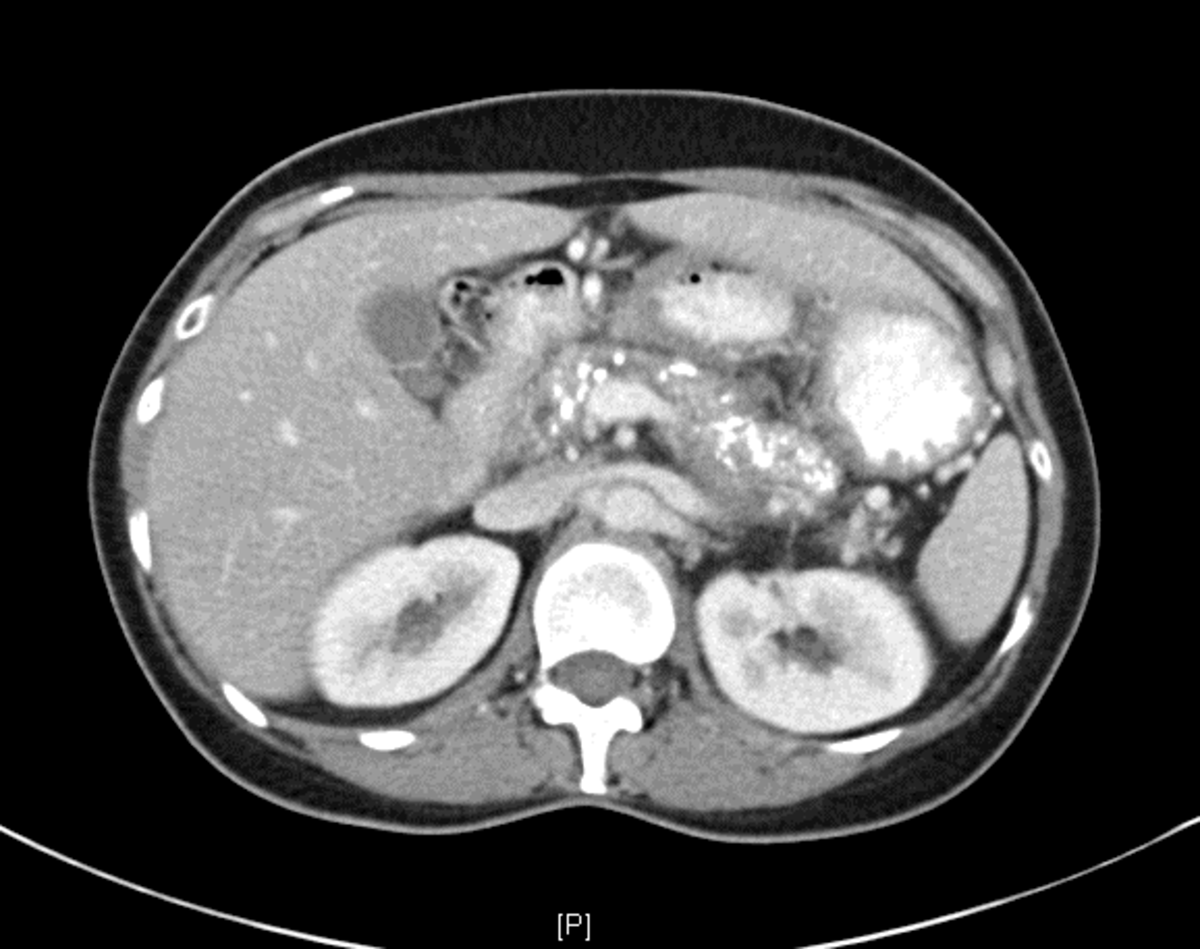
A 76-year-old man with well-controlled hypertension, reflux esophagitis controlled with once daily proton pump inhibitor, and history of small colon polyps based on a colonoscopy 1 year ago, underwent a triple phase CT scan of the abdomen and pelvis, for vague abdominal discomfort. He was noted to have an 18-mm solitary cyst in the body of the pancreas, without an associated solid mass. The main pancreatic duct measured 3 mm in the head of the pancreas, 2 mm around the genu of the pancreas, and 7 mm upstream from the pancreatic cyst, towards the tail of the pancreas, with some upstream pancreatic atrophy. Patient denies any weight loss, change in bowel habits, or steatorrhea. He has no history of pancreatitis and denies any significant alcohol use. There is no family history of pancreatic cancer. His blood work, including CBC, chemistry panel, liver function tests, CA 19-9, and fasting blood sugar were all normal. Which of the following do you recommend regarding the pancreatic cyst?

A. MRI in 1 year

B. Endoscopic ultrasound-guided fine-needle aspiration (EUS-FNA)

C. Surgery for distal pancreatectomy

D. No further workup is necessary.

A
  • CT scan w/ change in the main duct caliber with upstream atrophy warrant further evaluation with an EUS-FNA and consider referral to a multidisciplinary group.
  • In a systematic review and meta-analysis of 358 IPMNs from 8 studies, main pancreatic ductal dilation of >6 mm was associated with an increased risk of high-grade dysplasia or pancreatic cancer with a pooled OR 7.27 (95% CI, 3.0-17.4).
  • MRI in 1 year would be appropriate for a cyst size ranging 1-2 cm in the absence of the CT scan findings.
  • referral to surgery- premature
How well did you know this?
1
Not at all
2
3
4
5
Perfectly
13
Q

Risk factors for post spchinterotomy bleeding

A

The incidence of post-endoscopic sphincterotomy bleeding is approximately 1%.

  1. anticoagulant therapy within 3 days after ERCP (OR 5.11)
  2. underlying coagulopathy (OR 3.32)
  3. active cholangitis (OR 2.59), and
  4. the occurrence of any observed bleeding during the procedure (OR 1.74). Cirrhosis and the use of aspirin or other NSAIDs were not associated with bleeding after sphincterotomy
How well did you know this?
1
Not at all
2
3
4
5
Perfectly
14
Q

A 52-year-old otherwise healthy man underwent an upper endoscopy for evaluation of heartburn. He denied abdominal pain, nausea, vomiting, or jaundice. A 25-mm polypoid lesion was seen in the second portion of the duodenum [figure A] and was biopsied. Pathology showed adenomatous tissue without high-grade dysplasia or carcinoma. An endoscopic ultrasound (EUS) was performed. A dilated common bile duct (CBD) and pancreatic duct (PD) was seen as shown in figure B. Which of the following would be recommended next for management?

A. ERCP with ampullectomy

B. Whipple surgery

C. Endoscopic ablation with argon plasma coagulation (APC)

D. Surveillance endoscopy with a side-viewing duodenoscope in 12 months

A
  • papillary/ampullary adenoma
  • Tx: ERCP with ampullectomy
  • Whipple surgery would not be first-line therapy without evidence of carcinoma and without extension of the lesion into the bile duct or pancreatic duct
How well did you know this?
1
Not at all
2
3
4
5
Perfectly
15
Q

A 31-year old woman presents with a 3-month history of abdominal discomfort and early satiety. She denies melena, hematochezia, or bright red blood per rectum. She reports that she does not drink any alcoholic beverages or smoke cigarettes. Her previous work-up included negative upper endoscopy and colonoscopy. However, CT scan of the abdomen performed at an outside facility shows a 6-cm lesion in the tail of the pancreas [figure A], and EUS image is shown in figure B. Her physical exam shows no bulging, tenderness, or guarding of the abdomen. The CA 19-9 was normal. An EUS-guided biopsy was performed. What would the biopsy most likely reveal?

A. Adenocarcinoma

B. Pancreatic neuroendocrine tumor (PNET)

C. Pseudopapillary tumor

D. GIST

A

The CT scan shows a large mass with inhomogeneous density in the body/tail of the pancreas. EUS shows a hypoechoic mass with multiple small anechoic spaces. The images indicate the lesion is not a solid tumor. GIST is not a pancreatic lesion. While PNET could present with solid/cyst lesion, this is most likely a pseudopapillary tumor of the pancreas for the following reasons: 1) Pseudopapillary tumors predominantly occur in women (80%); 2) The median age at presentation is 30-38 years; 3) CT features of pseudopapillary tumor include encapsulated mass with varying solid and cystic components secondary to hemorrhagic degeneration. While symptoms are usually nonspecific, pseudopapillary tumors can present with palpable abdominal mass, indigestion, abdominal discomfort, epigastric pain, nausea, vomiting, asthenia, itching, weight loss, back pain, early satiety, bloating, jaundice, and/or pancreatitis. It comprises less than 4% of resected pancreatic cysts. EUS FNA with immunohistochemical staining is usually diagnostic. Most pseudopapillary tumors behave indolently, yet the treatment of choice is surgical resection with a 5-year survival close to 97%.

How well did you know this?
1
Not at all
2
3
4
5
Perfectly
16
Q

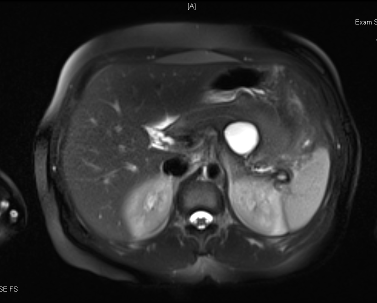
A 65-year-old woman undergoing a work-up for recurrent episodes of nephrolithiasis is incidentally found to have a mass appreciated in the body of her pancreas. The patient is asymptomatic, and denies any abdominal pain (apart from her distinct episodes of nephrolithiasis), unintentional weight loss, nausea, vomiting, jaundice, diarrhea, or steatorrhea. The patient has no other known comorbidities. Lab work-up reveals an unremarkable complete blood count, comprehensive metabolic panel, and C-reactive protein. A CA 19-9 level is obtained and found to be 5 U/mL (normal: <35 U/mL). A follow-up multiphase CT demonstrates a 5-cm lesion in the body of the pancreas (figure - slice taken during the arterial phase). Endoscopic ultrasound shows a solitary, unilocular 5-cm cystic lesion in the pancreatic body communicating with the main pancreatic duct, with mural wall thickening greater than 5 mm. EUS-guided cyst aspiration reveals a cyst fluid amylase of 443 U/L and a carcinoembryonic antigen level of 1,296 ng/mL. Which of the following is the most appropriate next step in management?

A. Repeat imaging in 2 years.

B. Refer for surgical resection.

C. No further follow-up is required.

D. Obtain a 68-Gallium DOTATATE PET/CT.

E. Initiate long-acting somatostatin analogues.

A

High-risk stigmata include obstructive jaundice associated with a cystic lesion in the head of the pancreas, an enhancing mural nodule >5 mm in size, and main pancreatic duct dilation >10 mm.

Worrisome features include cyst size greater than ≥3 cm, enhancing mural nodule <5 mm, thickened enhanced cyst walls, main pancreatic duct diameter of 5-9 mm, abrupt change in the main pancreatic duct caliber with distal pancreatic atrophy, lymphadenopathy, an elevated serum level of CA 19-9, and a rapid rate of cyst growth >5 mm/2 years.

EUS of any of the following should indicate surgical referral: definite mural nodule(s) >5 mm, main duct features suspicious for IPMN involvement, cytology suspicious or positive for malignancy. If these are not present, then the cyst is recommended to be followed with imaging (CT, MRI, or EUS depending on size) with consideration for surgical referral when appropriate.

Mucinous cysts typically will have a cyst fluid carcinoembryonic antigen level >192 ng/mL, and amylase levels can be variable. This case features high-risk stigmata in the form of mural nodule, as well as a worrisome finding of a cyst size >3 cm. As such, referral for resection is most appropriate. No further follow-up or repeat imaging in 2 years in an otherwise healthy patient who is a fit surgical candidate would be inappropriate, although for patients with less high-risk stigmata, interval imaging would be an appropriate option. A 68-Gallium DOTATATE PET/CT is obtained in the work-up of neuroendocrine tumors, which typically are solid tumors that are hyperenhancing on arterial phases (in contrast to pancreatic adenocarcinoma, which is hypoenhancing on arterial phases). The lesion shown here is clearly cystic in nature. Likewise, long-acting somatostatin analogues may be used in the treatment of certain neuroendocrine tumors, but this case is not such a lesion.

17
Q

A 67-year-old Black man with a history of longstanding alcohol use disorder presented to the local emergency department with recurrent upper gastrointestinal bleeding since the previous night. Initial laboratory test results revealed AST 67 U/L (normal: 0-35 U/L), ALT 32 U/L (normal: 0-35 U/L), alkaline phosphatase 132 U/L (normal: 36-92 U/L), and total bilirubin 1.1 mg/dL (normal: 0.3-1.2 mg/dL). CBC revealed hemoglobin of 5.8 g/dL requiring 5 units of transfused red blood cells. Upper endoscopy revealed a fundic gastric varices with red wale sign as shown in the figure. Abdominal CT scan with angiogram confirms cholelithiasis, splenomegaly, and pancreatic atrophy with multiple calcifications. What is the most appropriate intervention?

A. Consult your local interventional radiologist for angiogram with embolization.

B. Arrange for transjugular intrahepatic portosystemic shunt (TIPS) procedure.

C. Inject glue into the gastric varices under EUS guidance.

D. Refer for balloon-occluded retrograde transvenous obliteration (BRTO).

E. Surgical consult for splenectomy

A

This patient has chronic pancreatitis due to longstanding alcohol use disorder. A known complication of CP is splenic vein thrombosis due to perivenous inflammation caused by the anatomic location of the splenic vein along the entire posterior aspect of the pancreas tail, where it lies in direct contact with peripancreatic inflammatory tissue. This can be confirmed by either Doppler ultrasonography, contrast-enhanced CT scan, or MR angiogram of the abdomen. The result of the splenic vein thrombosis is formation of isolated gastric varix (IGV type 1). Splenectomy effectively eliminates the collateral outflow and is the treatment of choice whereas the other options are usually appropriate for gastroesophageal varices related to cirrhotic portal hypertension.

18
Q

A 78-year-old man presents with a 5-week history of intractable, generalized pruritis. During the past week, he noticed that his urine was dark in color. Otherwise, he denies abdominal pain, fever, chills, nausea, vomiting, or weight loss. A week ago, he was seen by his primary physician who ordered a CT scan of the abdomen. On exam, he has icteric sclera and is grossly jaundiced. His laboratory examination reveals total bilirubin 7.2 mg/dL (normal: 0.3-1.2 mg/dL), alkaline phosphatase 1,252 U/L (normal: 36-92 U/L), ALT 54 U/L (normal: 0-35 U/L), and AST 84 U/L (normal: 0-35 U/L). CT abdomen with intravenous contrast showed a large, infiltrative mass encompassing the hilum of the liver with involvement of segment s2, 5, and 6, and a 2-cm, malignant-appearing periportal lymph node. His primary physician ordered a CT-guided FNA of the hilar mass. The cytology report was nondiagnostic. What is the best next step in management of this patient?

A. Repeat CT-guided biopsy for cytology

B. EUS-FNA for cytology and fluorescent-in situ hybridization (FISH)

C. Referral for surgical resection

D. Referral for liver transplant

A

The patient presents with a likely unresectable cholangiocarcinoma with involvement of both the right and left lobes of the liver. While EUS-FNA and CT-guided FNA are not recommended as a diagnostic modality in resectable cholangiocarcinoma due to the risk of tumor seeding through the needle track, EUS-FNA is not contraindicated in this patient with presumed unresectable disease. FISH probes which target the chromosomes 3, 7, and 17 and the 9p21 band to detect evidence of chromosomal abnormality, can augment the sensitivity of routine cytology in indeterminate strictures of the bile duct. While the sensitivity and specificity of routine cytology in an indeterminate stricture were reported to be 53% and 82.4%, respectively, the sensitivity and specificity of combined cytology and FISH were higher at 69.2% and 82.4%, respectively. Liver transplant would not be possible in this patient due to local lymph node involvement.

19
Q

A 51-year-old woman has a 1-year history of episodic, mid-epigastric pain that lasts hours in duration. She believes that the pain is similar to what she experienced prior to her cholecystectomy 6 years ago. A recent attack was severe enough to cause her to see you urgently, and laboratory testing revealed AST 65 (normal: 0-35 U/L), ALT 90 U/L (normal: 0-35 U/L), and normal total bilirubin. Repeat tests 2 weeks later were entirely normal. An MRCP revealed no evidence for bile duct stones although her bile duct measured 13 mm. What is the best next therapeutic test?

A. ERCP with sphincter of Oddi manometry

B. ERCP with biliary sphincterotomy

C. Trial of low-dose amitriptyline

D. ERCP with bile duct stent placement

A

This patient has type I sphincter of Oddi dysfunction, characterized by pain, transaminemia, and common bile duct dilation of >1.1 cm. A biliary sphincterotomy is indicated without need for further diagnostic or treatment trials.

20
Q

A 55-year-old man who recently underwent Whipple resection for a rapidly enlarging side branch IPMN in the head of the pancreas presents to your clinic for follow-up. The surgical pathology specimen did not reveal invasive cancer or high-grade dysplasia. He does not have any family history of pancreas cancer. He denies any abdominal pain or episodes of acute pancreatitis. What is your recommendation for surveillance of the pancreas remnant?

A. Needed only for IPMNs with pancreas cancer

B. Needed only for IPMNs with high grade dysplasia

C. Needed only for those with family history of pancreas cancer

D. Needed for all patients with surgically resected IPMNs

A

The remnant pancreas after resection of IPMN is at risk of developing a new IPMN, progression of pre-existing IPMNs, or development of pancreas cancer unrelated to an IPMN. Surveillance is recommended for all surgically resected IPMNs. The development of this “recurrence” depends on the grade of dysplasia in the resected pancreas or at the margin. Retrospective studies reported a risk of recurrence of 17-65% in IPMNs with pancreatic cancer; 13-31% for IPMN with high-grade dysplasia, and 0-22% for IPMN with low- or intermediate-grade dysplasia. The remnant pancreas therefore invariably requires surveillance.

21
Q

A 55-year-old man was referred to you for jaundice. He denies abdominal pain, nausea, vomiting, fevers/chills, or pruritus. He has well-controlled hypertension with no other comorbidities. On exam, his abdomen is soft and nontender. His BMI is normal. Abdominal ultrasound showed dilated extra and intrahepatic bile ducts. CT pancreas protocol identified a 2-cm soft-tissue density at the level of the ampulla with dilated biliary and pancreatic ducts. Endoscopy with a side-viewing duodenoscope identified a 2-cm lesion at the ampulla. Biopsies showed invasive adenocarcinoma. What would be the next best step in management of this patient?

A. Endoscopic papillectomy

B. ERCP with stent placement

C. Pancreaticoduodenectomy

D. Neoadjuvant therapy

A
  • Endoscopic papillectomy is the treatment of choice for ampullary adenomas. However, due to the risk of nodal disease, surgery is still the treatment of choice for invasive cancers involving the ampulla. Hyperbilirubinemia is not necessarily associated with poor surgical outcomes as shown in a retrospective study of 593 patients that underwent surgery for periampullary cancers. Moreover, a multicenter randomized trial of 202 patients showed more adverse events in the group with stents prior to surgery.
  • Preoperative biliary drainage in a surgically fit patient is needed only if the patient is symptomatic (pruritus or cholangitis) or if there would be a significant delay to surgery (i.e., neoadjuvant therapy or extensive comorbidities requiring preoperative clearance) which is not the case
  • For resectable ampullary cancers, there is no need for neoadjuvant chemoradiation therapy prior to resection.
22
Q

A 55-year-old man presents complaining of recurrent epigastric pain with waxing and waning pancreatic enzyme levels for years. He does not drink alcohol and has no history of gallstones. EGD reveals no source for the abdominal pain. What is the next most appropriate imaging study to perform?

A. Secretin-enhanced MRCP

B. Abdominal x-ray

C. CT scan of the abdomen/pelvis

D. EUS

A

The 2020 ACG guideline regarding chronic pancreatitis (CP) recommends a CT scan as the first-line imaging study when chronic pancreatitis is suspected.