Imaging workup for bilious vomiting
Transverse view of pyloric stenosis
On axial you see the classic donut sign

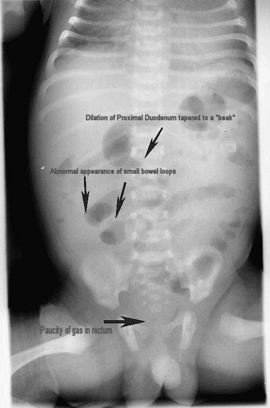
Midgut volvulus “small intestinal beak” sign

Results of a normal upper GI fluroscopy study

Anatomy of malrotation (as seen on barium enema)

Double bubble sign on fetal ultrasound
Presence of a gastric bubble is important, but there should not be two discrete bubbles

Results of upper GI fluoroscopy in a child with malrotation-volvulus
Corkscrew jejunum is also often seen

What is the key to diagnosing malrotation?
Identification of the location of the ligament of Treitz
Usually, it is on the left side of the abdomen underneath the stomach.
In malrotation, it is attached to the right abdominal wall and crosses over the cecum. (Ladd’s bands)

The appendix in a Ladd procedure
To avoid future diagnostic confusion, the appendix is usually removed as the intestinal anatomy is so altered.
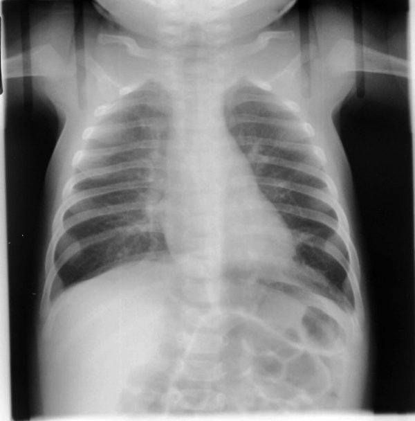
What is going on in this infant’s radiograph?

There is hyperinflation and increased perivascular markings. It can be fairly subtle, the perivascular markings are the biggets tell. Sometimes complete RUL collapse is observed.
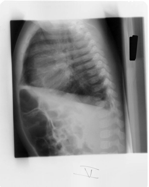
On the lateral radiograph associated with this case you can better appreciate the hyperinflation via the flattening of the diaphragm.
In the right clinical context, this is suggestive of bronchiolitis, particularly RSV.

How frequently should a baby have CXRs when intubated to assess tube placement?
As infrequently as possible
Bronchus intermedius
Where the lesion is here
After the take-off of the RUL bronchi, before the separation of the RLL and RLM bronchi.

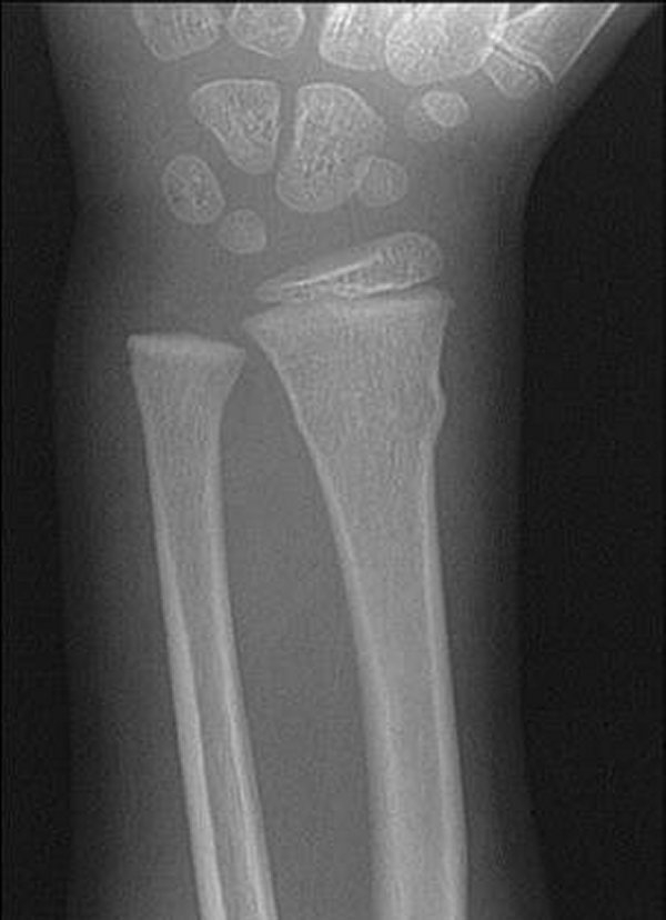
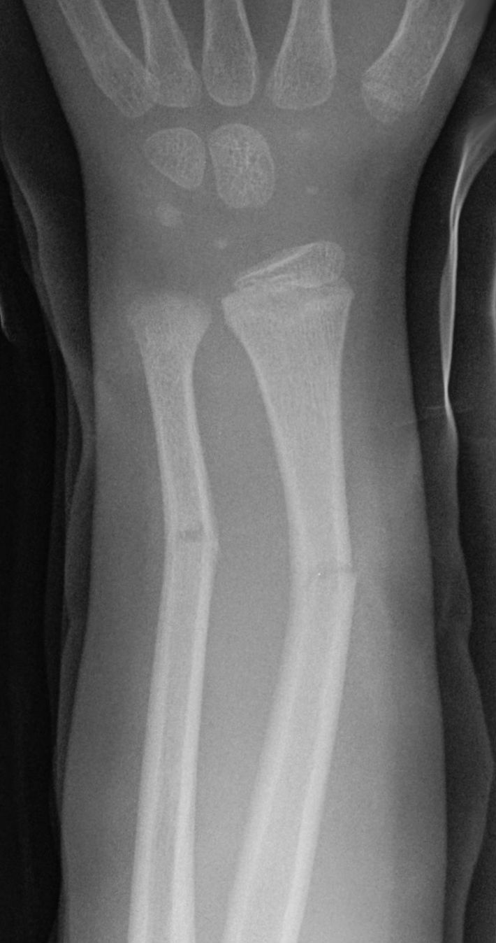
What is going on in this hand/wrist x-ray?

Taurus fracture or Buckle fracture
Common in kids and adolescents where the periosteum is stronger than the bone. More than half of these fractures involve the metaphysis only.
Any cortical “bump” should be considered a Taurus fracture if the kid has symptoms at the site.
Tx for nondisplaced fractures: splint of < 48 hours old, cast for 2-4 weeks if > 48 hours old. Repeat radiography is not indicated if symptoms improve.
Salter-Harris system
Graded in terms of increasing risk for growth disturbance (so 5 is the highest risk!)

Nomenclature of bone components

What is going on in this radiograph?

Greenstick fracture of the radius and ulna
Usually seen in pediatric patients (strong periosteum)
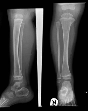
What is going on in this radiograph?

Greenstick fracture of the radius with associated plastic deformation (but not fracture!) of the ulna.
What is going on in this radiograph?

This is a Toddler’s fracture
The mechanism/traumatic event is often not witnessed. Radiographs may reveal a non-displaced spiral fracture of the tibia without fibular involvement.
However, initial radiographs may be negative and only after there has been time for periosteal reaction (~1 week, maybe more) will you be able to see the fracture.
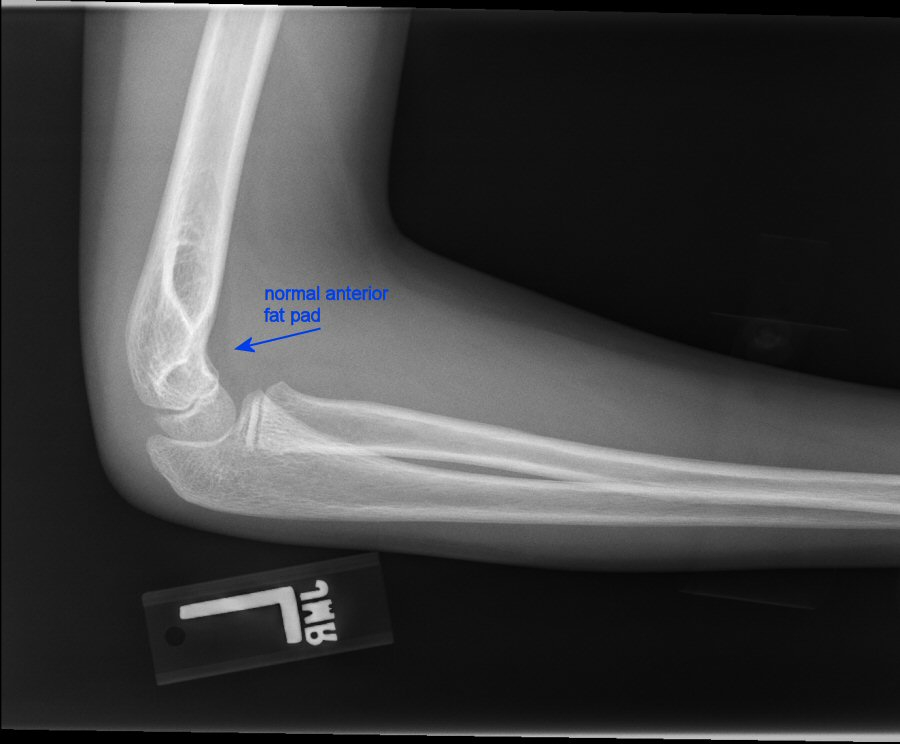
What is the most likely site of elbow fracture in pediatric patients?
Supracondylar
Unfortunately, they also tend to be hard to see on films. We often have to rely on elevation of the fat pads on plain films.

Where should you see a fat pad in a healthy elbow joint?

SCFE lesion

Osgood-Schlatter disease aka Osteochondrosis

Patellofemoral pain syndrome

Slipped capital femoral epiphysis (SCFE)
