Traumatic aortic injuries are typically caused by __ and happen at __
Traumatic aortic injuries are typically caused by decceleration trauma and happen at the aortic isthmus (where the ductus used to be, just distal to the subclavian takeoff)
Widened mediastinum absolute value
”> 8 cm on CXR”
Basically whenever you have a patient with traumatic aortic injury, they will be . . .
. . . supine
This can make it subtle to detect hemothorax on CXR, so have high suspicion
Tracheal deviation in the setting of suspected aortic dissection
Suggests mediastinal hematoma
Deep sulcus sign
Seen when a patient with pneumothorax is supine
Sulci are deeper than normal and often clear of lung markings
Flail chest

1st rib injury
Another marker of severe trauma
Worrying for aortic or tracheal injury
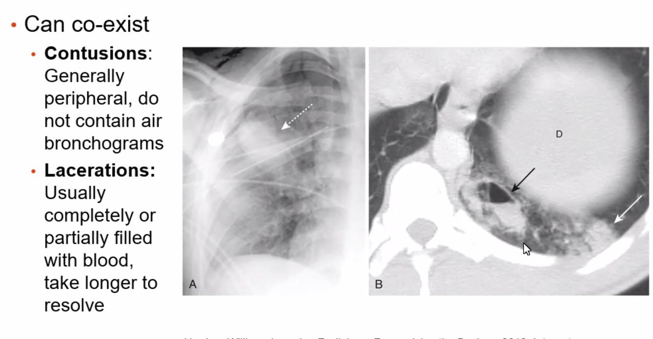
Lung laceration

“Blush” and active extravasation
Contrast leaking out
Test of choice in suspected bladder rupture
CT cystogram
Normal retrograde urethrogram

Probably exam q’s

When to do a CT cystogram vs retrograde urethrogram?
Multiple pelvic fractures: CT cystogram
Blood at urethral meatus: Retrograde urethrogram
Fracture with more than two pieces
Comminuted
Fx directions

Relationship of fragment pieces

Fractures associated with anterior shoulder dislocations

Sail sign
Fluid pushes a fat pad away from the bone
Indicates joint effusion, which may be associated with a fracture
Recommend that the patient come back in 7-8 days for re-imaging.
Adults: Radial head fracture
Kids: Distal humeral condylar head fracture
Bennett’s fracture

Rolando fracture

Gamekeeper’s thumb

Mallet finger

Boxer’s fracture
Displaced, angulated fx of 5th metacarpal
Colles fracture

