Sonohysterography

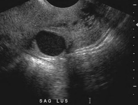
Nabothian cyst

The rule of 1-2-3
Imaging features of simple cysts

Hemorrhagic ovarian cysts


Complex ovarian cyst
What you call if it you are unsure if it is hemorrhagic on ultrasound
A follow-up examination in 6 weeks will allow for the patient to be at a different phase of the menstrual cycle
Rules of pelvis imaging

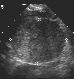
Endometrial stripe thickness in premenopausal women
Endometrial stripe thickness in postmenopausal women
What is more common: Left DVT, or right DVT?
Left DVT, due to May Thurner syndrome – compression by the iliac arteries
How to approach pelvic US in HCG+ patient
If HCG is > 3000. . .
. . . you should see an intrauterine pregnancy
If you don’t, it’s either ectopic or miscarriage
Tubal ring of fire sign
“Ring of fire” flow seen in the adenxa on ultrasound
Highly suspicious for ectopic pregnancy
