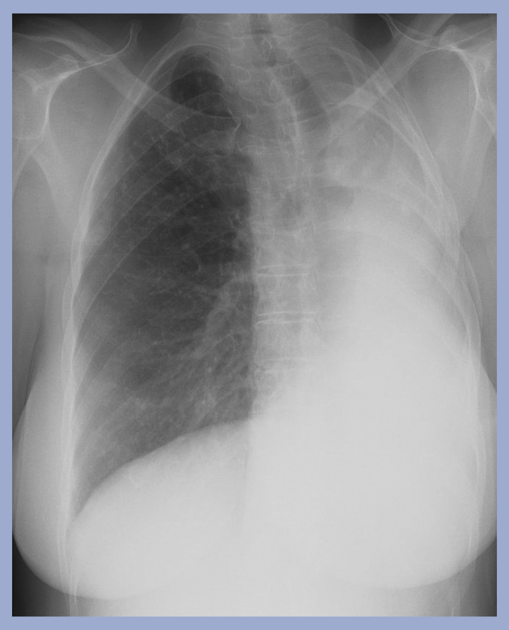
What is going on in this radiograph?

This patient had a left pneumonectomy!
The left lung is gone, and the trachea and heart have moved over to fill the void.
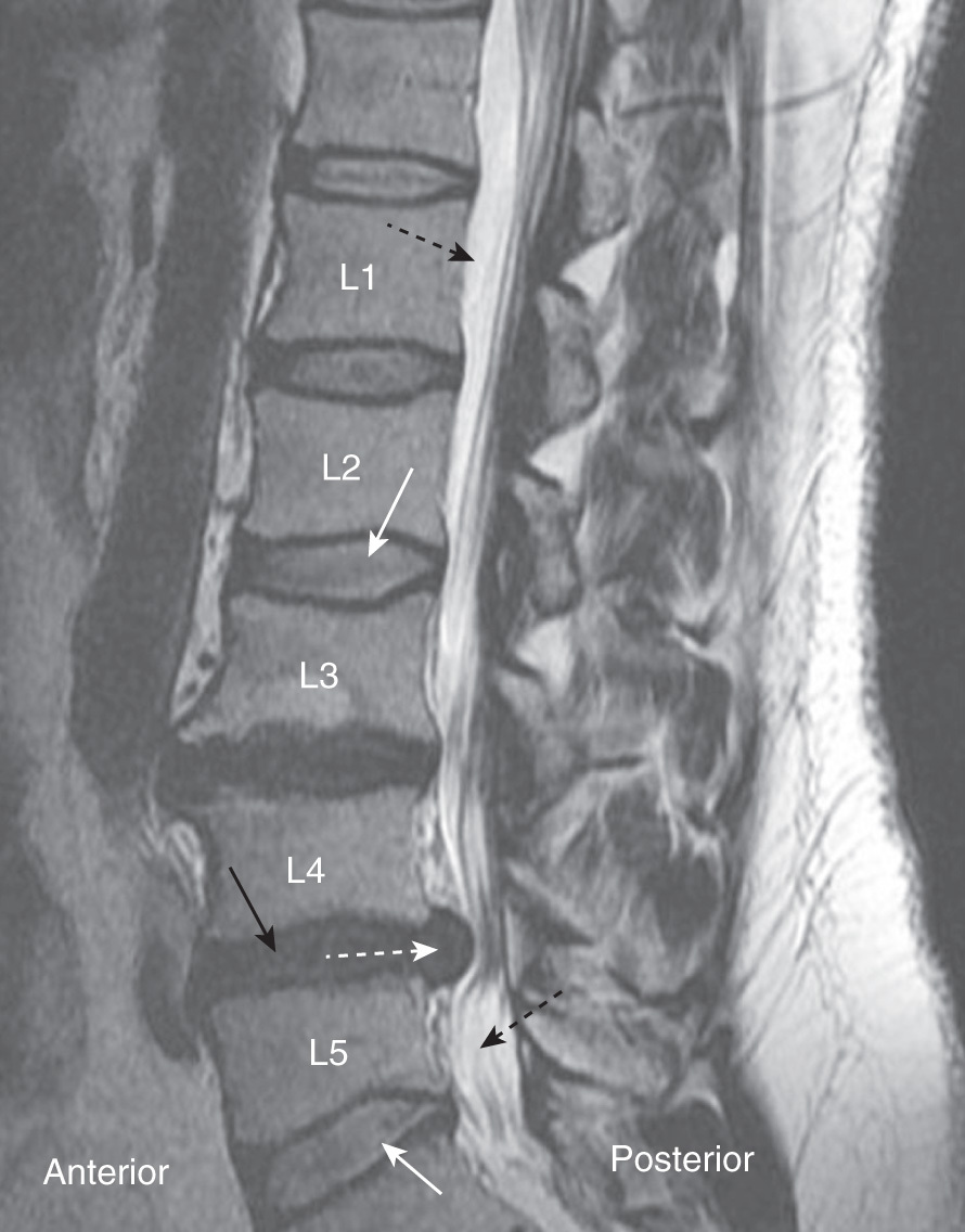
What is going on in this spine MRI?

The L4-L5 disc has herniated!

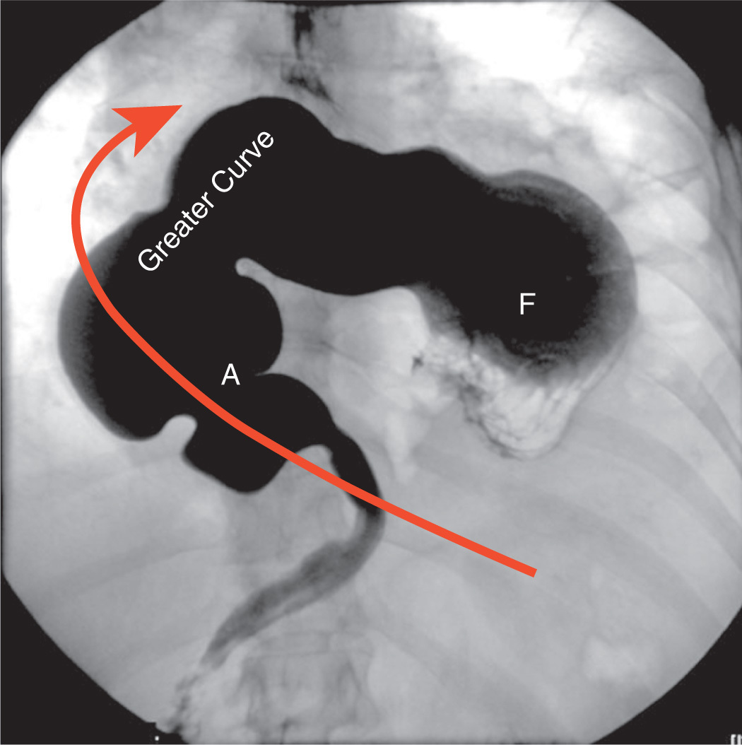
What is going on in this spot fluoroscopic film?

This is organoaxial volvulus of the stomach. It is most likely due to a large hiatal hernia into the chest (type IV hiatal hernia).
It produces an ‘upside-down’ apperance of the normal anatomy. These patients will typically present with epigatric/chest pain and vomiting.

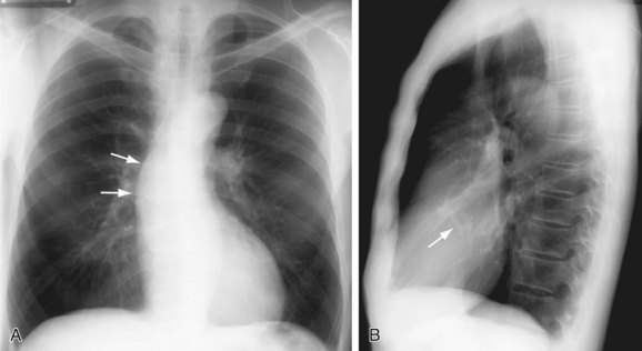
What is going on in this lateral radiograph?

This is the “donut sign”, demonstrating a hilar region that is full of ‘stuff’
Typically this indicates hilar lymphadenopathy. This particular patient has sarcoidosis, but this sign may be present in any form of hilar lymphadenopathy.

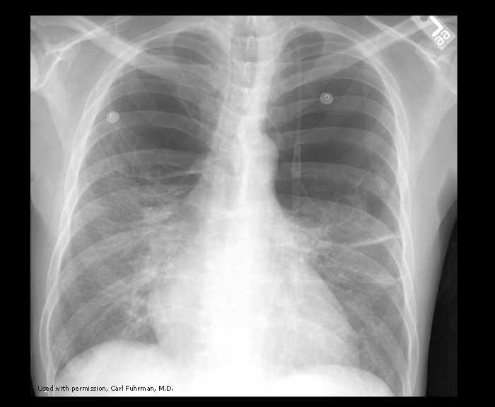
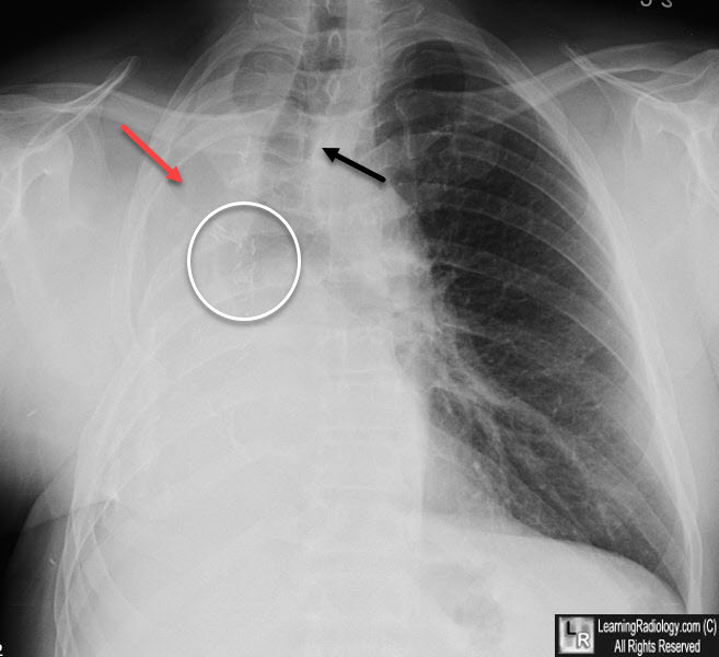
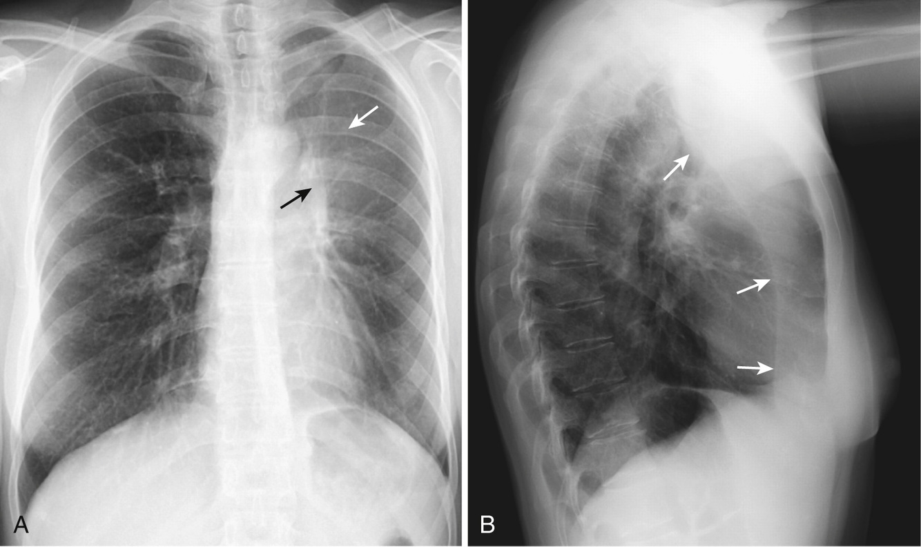
What is going on in this radiograph?

Left atrial enlargement
The potential space over where the left ventricle sits is where the atrium will expand into. You can also tell by the upward deviation of the carina, and the obtuse carinal angle

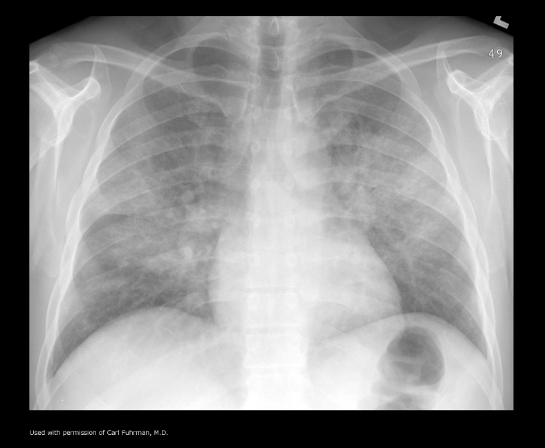
What is going on in this radiograph?

Post-stenotic dilation of the ascending aorta, indicative of aortic stenosis

What is going on in this radiograph?

This one is tricky
It could be CHF, or it could be an atypical pneumonia like Mycoplasma.
Mycoplasma can do most if not all of the things CHF can, including Kerley A and B lines.
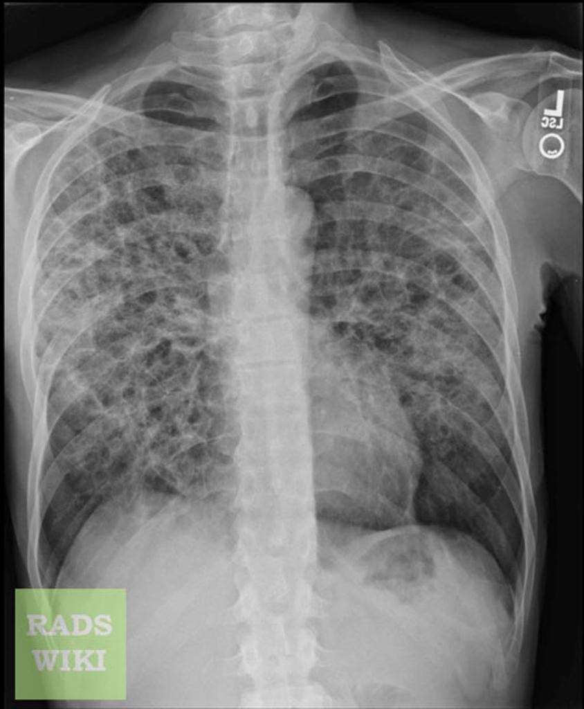
What is going on in this radiograph?

PCP pneumonia
This sort of very diffuse reticular pattern is highly suggestive in the right clinical context, and you might consider ordering an HIV test.
What is going on in this radiograph?

This radiograph shows a right pleural “pseudotumor”, aka fluid in the major fissure
A pleural “pseudotumor” is a loculated or localized collection of fluid in a major (oblique) fissure or right minor (horizontal) fissure and it can be mistaken for mass in the lung
What is going on in this radiograph?

This patient has bilateral large superior pulmonary bullae related to emphysema (ribs count 11 above the diaphragm)
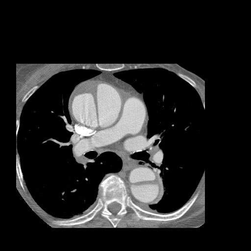
What is going on in this CT?

Ascending and descending aortic dissection

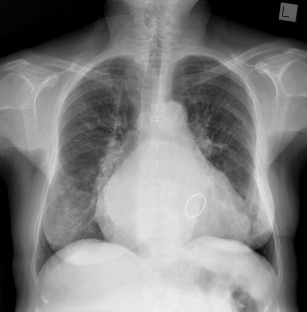
What is going on in this radiograph of a post-operative patient?

A couple things
Firstly, the aortic notch and mediastinum appear shifted to the left, but that is because this patient had a left sided wedge lung resection, so it is not indicative of aortic dissection.
There is an opacity behind the heart and we can no longer see the left hemidiaphragm. This is a common post-operative finding due to atelectasis of the lower lobe, but may also occur in the setting of a lower lobe pnemonia or left sided pleural effusion.
“Left lower lobe atelectasis/consolidation and/or effusion” is often the diagnosis
What’s going in in this CXR?

This is a postpneumonectomy patient, with the surgical clips in place.
This was taken POD1 following pneumonectomy. Over the next months, this space will slowly fill with fluid, and then over the following 3 months it will gradually fibrose. The heart and mediastinum will then shift towards this side due to myofibroblast contraction.
The patient will also be missing the 5th or 6th rib, taken as part of the procedure, and surgical clips will be present.

What is going on in this CXR?

These radiographs show atelectasis of the right middle lobe
You can tell that this is atelectasis rather than a consolidation by the downward displacement of the minor fissure
Fissures move towards a collapsed lobe, as do the trachea and heart, and the ipsilateral diaphragm.
What is going on in this CXR?

Subsegmental atelectasis
Subsegmental atelectasis produces linear densities of varying thickness usually parallel to the diaphragm, most commonly at the lung bases. It is most likely related to deactivation of surfactant
It occurs mostly in patients who are “splinting” (i.e., not taking a deep breath), such as postoperative patients or patients with pleuritic chest pain
It can look almost identical to linear lung scarring, however subsegmental atelectasis will change/disappear over days.
What is going on in this radiograph?

Obstructive atelectasis of the right upper lobe
Note the triangular distribution with the apex at the hilum
What is going on in this radiograph?

Left upper lobe obstructive atelectasis, aka Aunt Minnie sign again
Note the broad based triangle with an apex at the hilum and the movement of the major fissure towards the space of the collapse upper lobe.
What is going on in this radiograph?

Left lower lobe atelectasis
Note the triangle with the apex at the hilum
What is going on in this radiograph?

Right lower lobe atelectasis
Note the triangle with the apex at the hilum
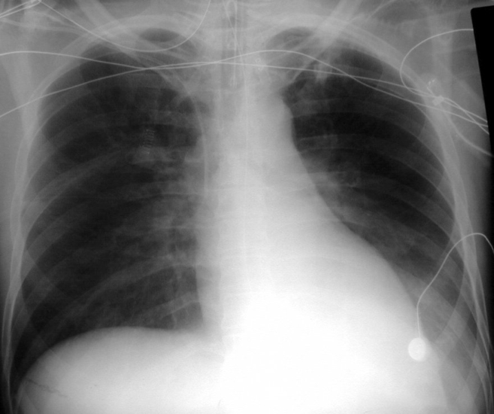
What is going on in this CXR?

This patient has a large right sided pleural effusion
Note how the frontal view almost looks like a hemidiaphragm (an “apparent hemidiaphragm”) due to the curved interface of the effusion fluid with the lung tissue on the lateral view.
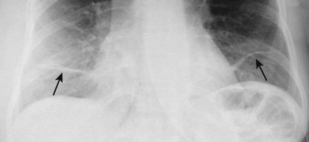
What is going on in this CXR?

Here the left costophrenic angle appears blunted, but the whole left lower lobe-diaphragmatic interface is also slanted.
Don’t be fooled into thinking that this is a pleural effusion. The angle is blunted here because of pleural thickening and fibrosis. The ski slope sign can help you differentiate them: the surface is slanted rather than concave like a meniscus.
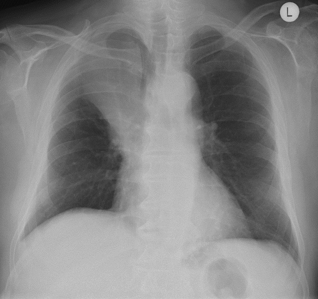
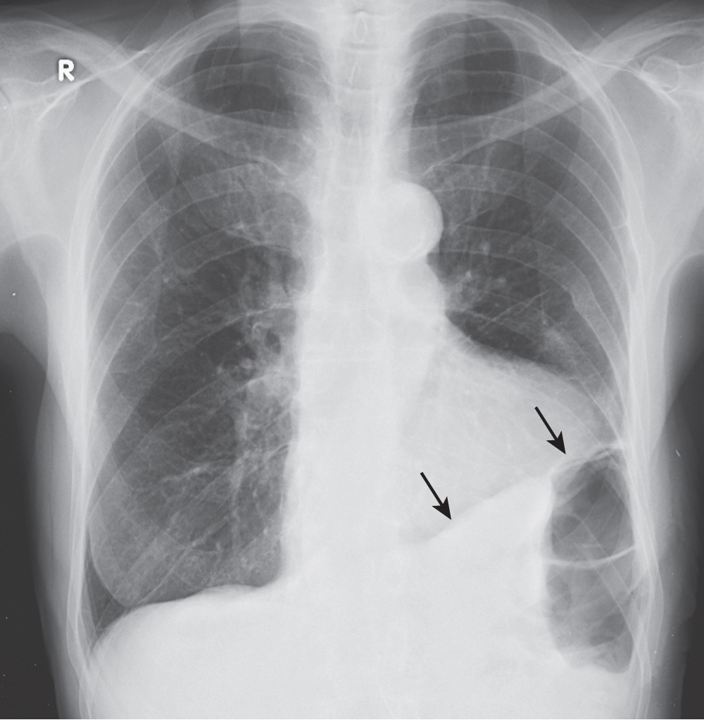
What is going on in this radiograph?

There are multiple loculated pleural effusions
Loculated effusions can be suspected when an effusion has an unusual shape or location in the thorax (e.g., the effusion defies gravity by remaining at the nondependent part of the thorax when the patient is upright on a conventional radiograph or in the supine position on a CT scan of the chest)
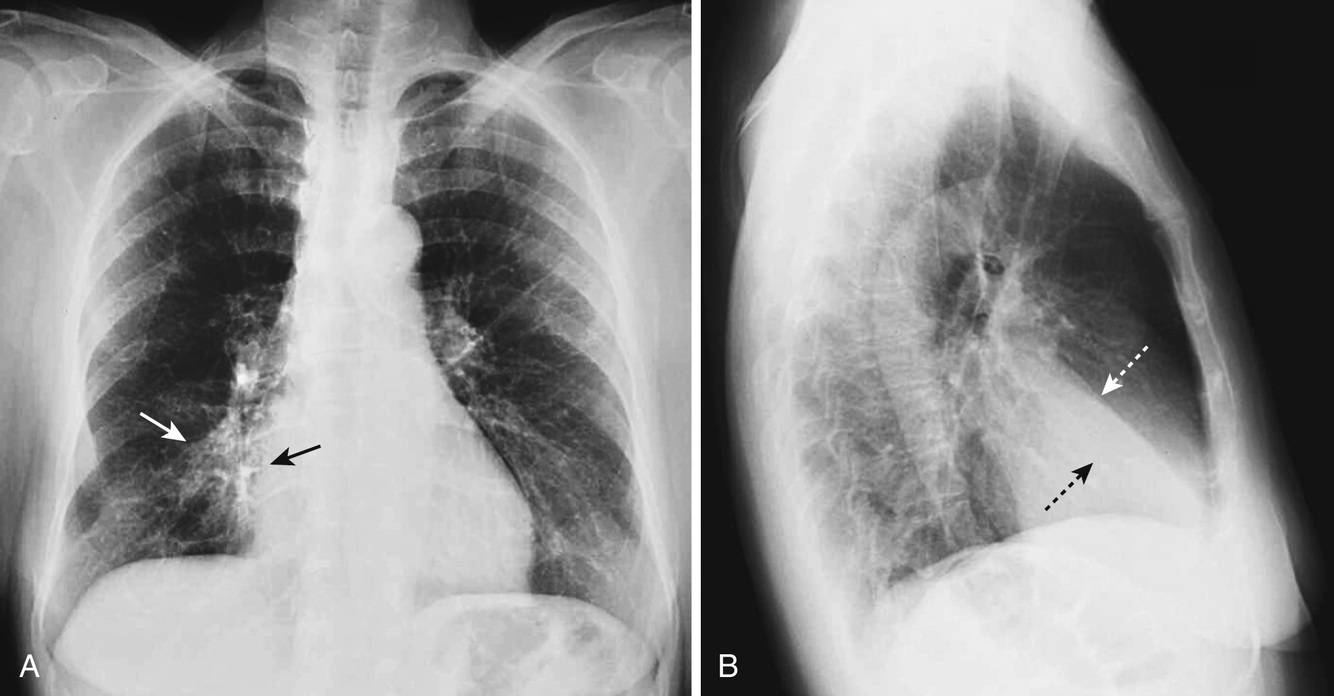
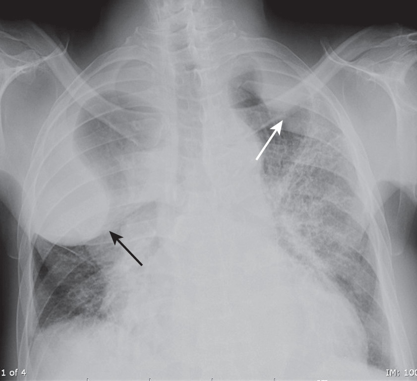
What is going on in this radiograph?

This is a pseudotumor
They are lenticular in shape, most often occur in the minor fissure (75%) and frequently have pointed ends on each side where they insinuate into the fissure, much like the shape of a lemon. They do not tend to flow freely with a change in patient positioning.
They disappear when the underlying condition (usually CHF) is treated, but they tend to recur in the same location each time the patient’s heart failure recurs
What is going on in this radiograph?

This is a laminar effusion
A laminar effusion is a form of pleural effusion in which the fluid assumes a thin, band-like density along the lateral chest wall, especially near the costophrenic angle. The lateral costophrenic angle tends to maintain its acute angle with a laminar effusion, unlike the blunting that occurs with a usual pleural effusion.
They are almost always the result of elevated left atrial pressure, as in CHF or secondary to lymphangitic spread of malignancy. They are usually not free-flowing.