Thyroid nodule management algorithm
Note: If first FNA indeterminate, wait 6-12 weeks and repeat (to avoid false positives from reactive changes caused by first FNA)

Thyroid nodules greater than ___ in size are clinically significant and require further evaluation
Thyroid nodules greater than 1 cm in size are clinically significant and require further evaluation
If a biopsy result for thyroid mass returns as medullary thyroid cancer, the next step is. . .
. . . MEN2 testing
If MEN2 testing is positive, urine metanephrines should be run to screen for pheochromocytoma. If present, this cancer takes precidence and should be dealt with prior to the medullary carcinoma.
If a patient’s FNAB results are nondiagnostic, the next step is to. . .
. . . try FNAB again!
Repeat biopsy will obtain an adequate specimen the second time in 50% of cases
If this second biopsy failed, the surgery is recommended.
Routine tests performed in a patient with a thyroid nodule who is clinically euthyroid
TSH and FNA biopsy
Adrenocortical carcinoma

Any adrenal incidentaloma ____ needs an evaluation – unless it is ___.
Any adrenal incidentaloma > 1 cm needs an evaluation – unless it is an obvious myelolipoma (fatty on imaging).
You should NEVER biopsy a patient with an adrenal mass without ruling out. . .
. . . pheochromocytoma
When you have an adrenal mass and you are not sure whether or not it is a pheochromocytoma after CT and metanephrines, what can you do?
I-131 metaiodobenzylguanidine scan
Used for confirmation or evaluation of nonlocalized pheochromoctyomia. Has specificity of 90-100% for pheos, but is not entirely sensitive.
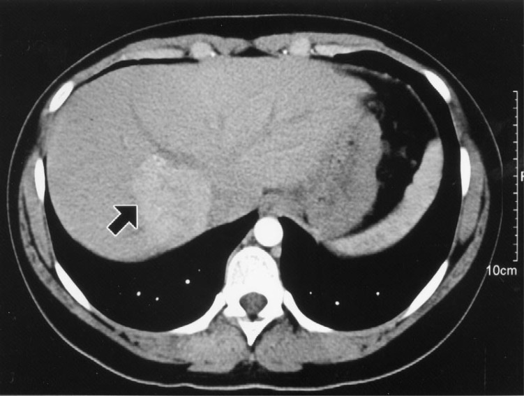
Types of focal liver lesion
Liver hemangioma

Focal nodular hyperplasia

Nodular regenerative hyperplasia

Triple phase CT scan
CT scan with IV contrast that acquires images at 30 seconds (arterial), 60 seconds (portal-venous), and 90 seconds (equilibrium)
Alows for better characterization of liver lesions
Subtypes of hepatic adenoma

CT scan has a reduced detection rate of hepatocellular carcinomas in patients with . . .
. . . cirrhotic livers
Cirrhosis makes it difficult to visualize the interior of the liver as well as you would otherwise
Management of a new diagnosis of hepatic adenoma
Major risk factors for hepatocellular carcinoma
Differentiating FNH from hepatic adenomas
Best test for this is radiolabeled sulfur colloid scintigraphy
This isotope is taken up by Kupffer cells in FNH, but not by adenomas.
This can be super helpful as the demographics affected by FNH and hepatic adenomas (middle aged, pre-menopausal women) are the same.
Hemochromatosis on MRI
Increased liver density on CT, decreased signal on MRI
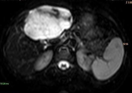
Quick MRI trick to identify a hemangioma
They are one of the only lesions in the abdomen that exhibits the T2 shine phenomenon: Bright on DWI, bright on ADC
Fat in an adrenal adenoma vs a myelolipoma
A myelolipoma is mostly fat, and so it will be fat attenuation on CT
Fat in a benign adrenal adenoma is mostly microscopic, so you cannot tell on CT. But, on MRI it will have reduced signal on in/out of phase imaging.
Finding the parotid on CT
The parotid is quite fatty, and is slightly hypoattenuating on MRI. It is just medial to the pinna.
How can you tell whether a renal cyst is simple or hemorrhagic?
Simple: T1 dark, T2 bright
Hemorrhagic (Extravasated blood): T1 bright, T2 gray