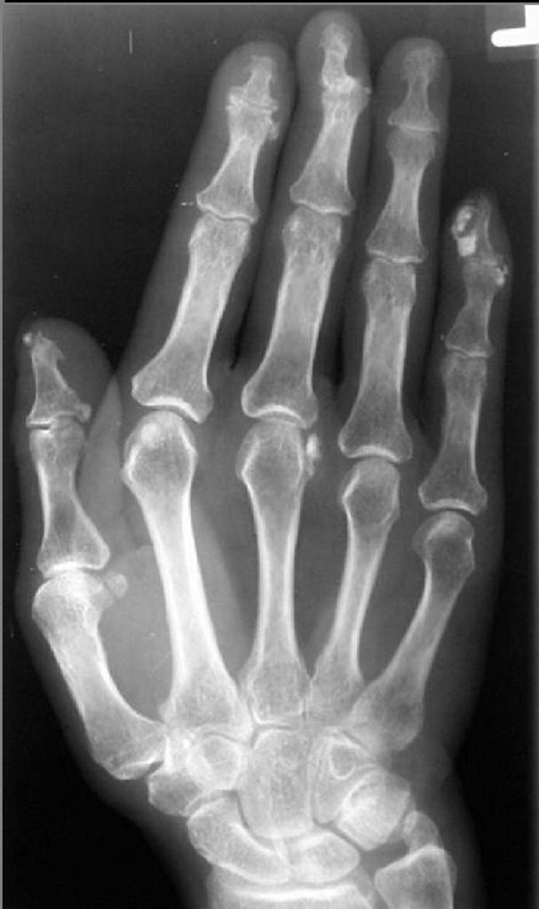
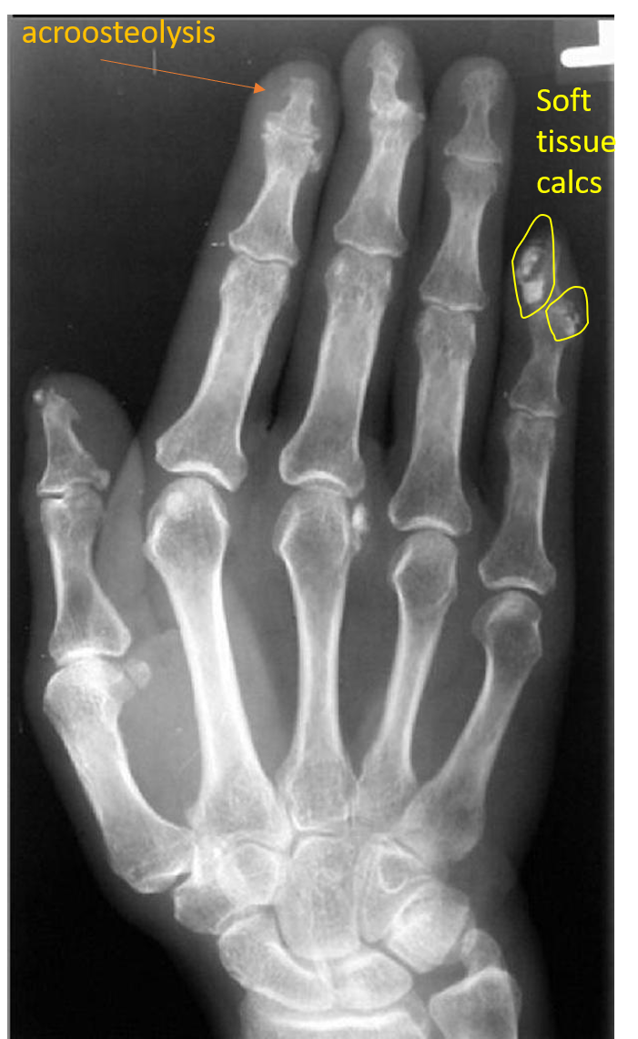
dystrophic soft tissue calcs plus acroosteolysis
scleroderma

erosions, acroosteolysis, soft tissue calcs


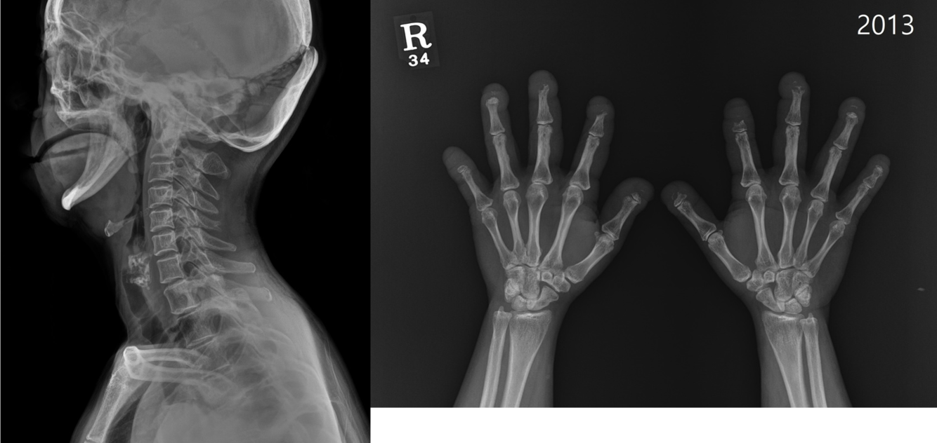
dermatomyositis. soft tissue calcs without raging arthritis
deforming non-erosive arthropathy characterized by ulnar deviation of the second to fifth fingers with metacarpophalangeal joint subluxation.
Jaccoud arthropathy

dermatomyositis
% of pts with SLE with joint involvement
90% of SLE pts have joint involvement
Reducible subluxations of the MCPs and PIPs
SLE
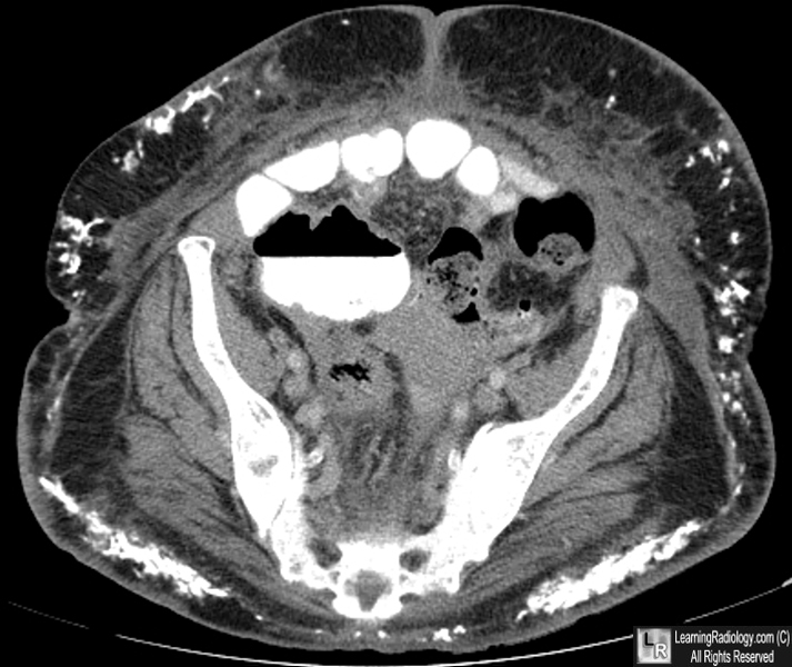
soft tissue calcs, specifically intramuscular. Weakness
polymyositis, dermatomyositis

MCP subluxation with ulnar deviation. No erosions. Related to ligamentous laxity
Jaccoud arthropathy (think SLE)
Acroosteolysis differential
Acroosteolysis and dystrophic soft tissue calcs
Scleroderma
fingertips affected first with atrophy of the distal soft tissues
scleroderma
acroosteolysis diff
scleroderma ** neuropathy polyvinyl chloride exposure thermal injury hyperparathyroidism Hajdu-Cheney
Jaccoud arthropathy
historically described as being secondary to recurrent rheumatic fever (now associated with SLE) deforming non-erosive arthropathy characterized by ulnar deviation of the second to fifth fingers with metacarpophalangeal joint subluxation.
Soft tissue calcs (most commonly intramuscular)
Polymyositis and dermatomyositis

dermatomyositis