What serum marker is typically positive in RA?
rheumatoid factor
What is the RF antibody directed against?
IgG which activates the complement cascade
erosion in RA occur where in the joint?
Marginal erosions at the “bare area”
What is the “bare area”?
region of exposed bone just within the joint capsule that is not covered by thick cartilage
Type of joint space narrowing in RA
symmetric joint space narrowing
Radiographic hallmarks of RA
Earliest radiographic findings of RA
soft tissue swelling and peri-articular osteopenia (reflects synovitis and hyperemia)
First erosions to occur in the hand in RA patients
Common place for RA involvement in the feet
Hip deformity associated with RA
protrusio deformity - >3mm medial migration of the femoral head beyond the ilioischial line in males and >6mm in females
Typical migration of the femoral head in RA
axial (symmetric joint space narrowing)
osteophytes plus symmetrical cartilage space narrowing in the knee
secondary OA in the setting of inflammatory arthropathy (like RA)
cervical spine is involved in what percentage of RA pts?
70%
Common association of RA in the cervical spine
atlantoaxial subluxation: - anterior: laxity of transverse ligament - vertical (atlantoaxial impaction): odontoid through foramen magnum secondary to facet erosion and collapse - posterior: due to odontoid fx
Finding in the shoulder commonly associated with RA
osteolysis of the distal clavicle (“penciling” of the distal clav)
How commonly does RA involve the elbow?
1/3 of pts

dens involvement in RA

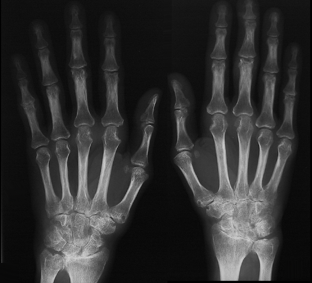
Bad RA in the hands

RA

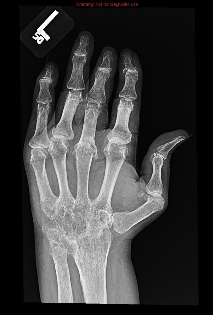
Boutonniere deformity - contracture associated with RA

swan neck deformity-associated with RA

hitch-hiker thumb - associated with RA

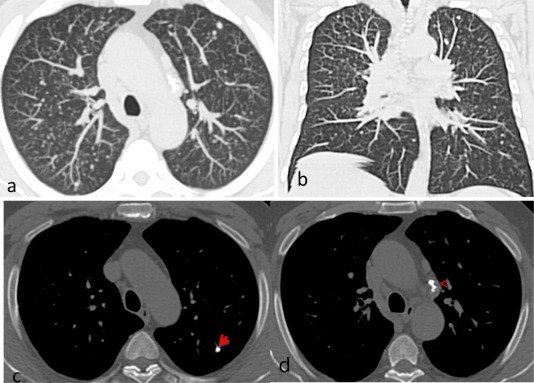
Pt also has RA and the following pulmonary findings in the image

Caplan syndrome: RA +pneumoconiosis