What is the Terry Thomas sign?
Terry Thomas sign indicates scapholunate dissociate with the distance of the scapholunate interval >4mm (often with rotary subluxation of the scaphoid)
thought to resemble the gap between the front teeth of Terry Thomas (famous British actor from the 60s)

What is SLAC wrist?
Scapholunate advanced collapse (SLAC) = widening of the scapholunate interval and proximal migration of the capitate


Scapholunate dissociation - “Terry thomas sign”
Terry-Thomas sign refers to an increase in the scapholunate space on an AP radiograph of the wrist (or coronal CT).
The increased distance indicates scapholunate dissociation (often with rotary subluxation of the scaphoid) due to ligamentous injury. There is no consensus as to what measurement constitutes widening, but a cut-off of 3 or 4 mm is reasonable in most cases.

SLAC wrist is associated with:
OA
CPPD
Chronic untreated scapholunate dissociation
What is a normal capitolunate angle?
<30 deg

Name each alignment show in the picture


Scapholunate angle in DISI
Scapholunate angle > 60 deg

Normal scapholunate angle
30-60 deg

Scapholunate angle in VISI:
<30 deg

Normal or abnormal alignment?

Normal alignment
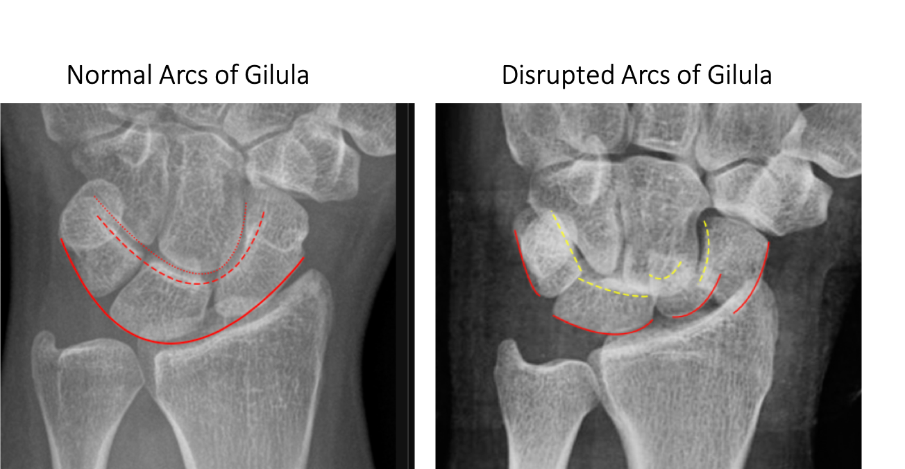
What are where are the arcs of Gilula?
Arcs of Gilula are U shaped arcs along the carpal bones. Disruption indicates ligamentous injury or fracture at the site of the broken arc. (the exception to this are congenital variants such as type II lunate morphology)
There are 3:

What is the difference between perilunate dislocation vs lunate dislocation?
Perilunate dislocation: lunate aligned with radius, but capitate is NOT aligned with the lunate
Lunate dislocation: lunate is dislocated volarly, but the capitate is still aligned with the radius.
