causes of distal clavicular osteolysis
Hyperparathyroidism, Cleidocranial dysostosis, Pyknodysostosis, Rheumatoid Arthritis, Trauma, Scleroderma
lucent lesions that cause adjacent sclerosis (“bone irritating lesions”)
osteoid osteoma, chondroblastoma, eosinophilic granuloma, infection
causes of avascular necrosis
alcoholism, steroids/SLE/sickle cell, Gaucher’s, pancreatitis, trauma, infection/idiopathic, caisson disease
Bohler angle less than what indicates calcaneal fx?
20 degrees
patellar tendon-lateral femoral condyle friction syndrome is associated with?
patellar tendon-lateral femoral condyle friction syndrome is also called
Hoffa fat pad impingement syndrome
normal Insall-Salvati ratio
< 1.2
what attaches as conjoined tendon on fibula?
biceps femoris AND lateral collateral ligament
what attaches with the posterior fibers of the IT band on the lateral proximal tibia?
anterior oblique band of LCL
sign?
dx?

MC type of acetabular fx
posterior wall
what kind of shoulder dislocation is MC?
anterior inferior (subcoracoid)
Hill-Sachs is best seen on which view?
internal rotation
Bankart is on which part of glenoid/labrum?
anterior inferior

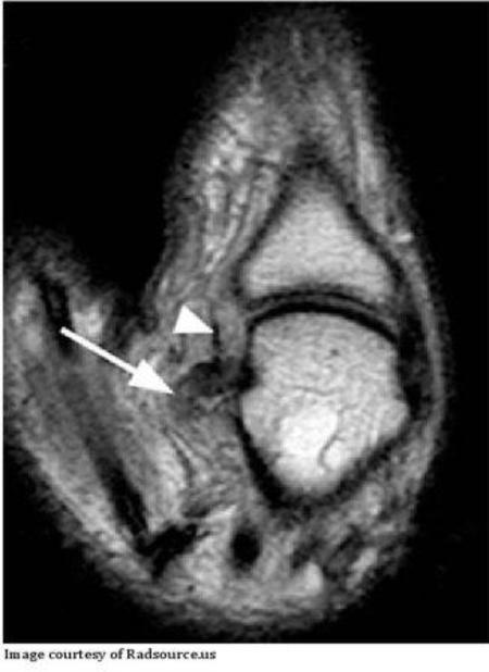
proximal tear of ulnar collateral ligament (UCL)
which is most important band of UCL?
anterior
when does UCL get torn?
valgus stress (pitchers)
what is it and MC Location

rupture of which tendon can lead to flatfoot?
tibialis posterior
soft tissue mass in foot
synovial sarcoma
age for synovial sarcoma
20-40 yo
x-18 translocation
synovial sarcoma
Baker’s cysts are located where
between medial head of gastroc and semimembranosus
synovial sarcoma signs