


notch of harty = normal variant

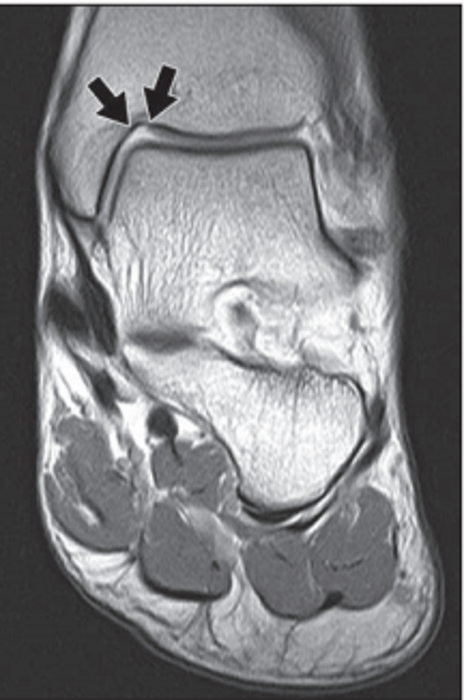
pseudodefect of the capitellum
Pseudodefect of capitellum refers to an abrupt contour change of the posterolateral margin of capitellum on coronal sections and is a potential MRI imaging pitfall giving rise to misinterpretations. It occurs because the width of the articular surface of the capitellum is non-uniform and gradually tapers posteroinferiorly.

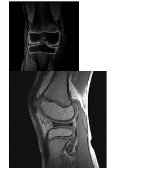
Meniscal ossicle
normal variant - don’t confuse this with a fracture!!
may be associated with meniscal root tears


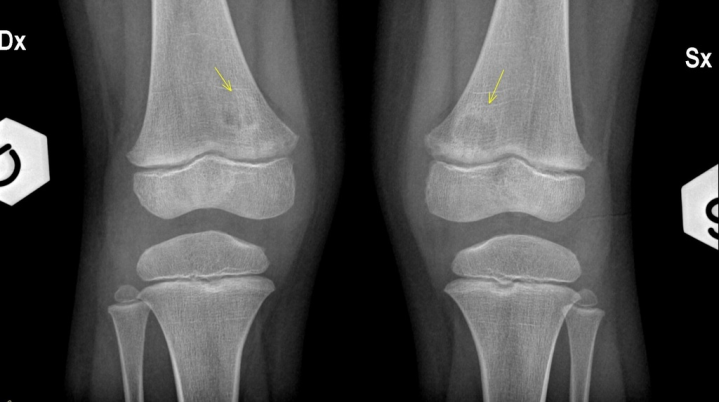
periosteal desmoid
Periosteal desmoid aka cortical desmoid aka distal femoral metaphyseal irregularity (many different names-yay). This is basically an avulsion injury 2/2 repeated microtrauma. Classic location is an eccentric cortical lucency in the medial femoral metaphysis. Usually young males, and commonly bilateral.