What are the 3 embryonic layers that the body tissues develop from?
Ectoderm e.g. spinal chord
Mesoderm e.g. muscles
Endoderm- e.g. respiratory system
What is the ectomesenchyme?
The tissue which makes up the Neural crest, a cell type between the ectoderm and the neural tube.
What does the ectoderm develop?
Tooth enamel.
What does the ectomesenchyme develop?
The tooth and supporting structures
Developing face and jaw.
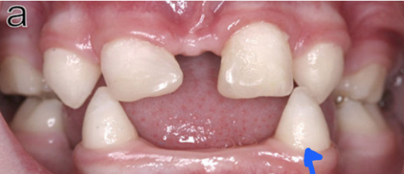
What condition is this?
What has caused it?

Mandibulofacial dysostosis.
Caused by failure of the ectomesenchymal cells to migrate.
This causes reduction in mandibular size and less teeth.
What happens in the initiation stage of tooth development.
Development of the Primary epithelial Band.
This splits into the
Vestibular lamina (forms the buccal sulcus)
Dental lamina (forms the enamel organ )
What happens in the morphogenesis stage of tooth development?
The dental lamina develops into the:
Enamel organ
Neural crest develops Dental papilla.
Enamel organ forms a cap over the dental papilla.
Describe the parts of the enamel organ .
Internal enamel epithelium
External enamel epithelium
Cervical loop (where they meet)

What is the placode?
Another word for the enamel organ.
What condition is this?

Hypohidrotic ectodermal dysplasia.
Abnormal development of the structures that develop from the ectoderm.
Causing conical shaped and missing teeth.
What happens in cytodifferentiation?
Enamel organ develops into 4 layers:
IEE
EEE
Stratum intermedium
Stellate reticulum
There is an extension on the lingual side of the dental lamina for the tooth’s permanent succesor.
What happens in the matrix secretion stage?
Dentine and enamel are secreted.
How is dentine formed?
Dental papila cells differentiate into Odontoblasts.
These lay down pre-dentine (mostly collagen).
This is then mineralised to produce hydroxyapatite.
What condition is this?
and why does it happen?

Dentinogenesis imperfecta.
It is a hereditary condition involving the production of dentine.
How is enamel produced?
What is this disease, and what causes it?

Amelogenesis imperfecta.
Caused by abnormal maturation of enamel.
How is the tooth crown formed?
Coronal migration of the cervical loop maps out the crown shape
How is the tooth root formed?
Apical migration of the cervical loop- Becomes Hertwig’s Epithelial Root Sheath.
Thsi promotes production of dentine.
HERS then breaks up, as there is no enamel in the root.
What are debris of Malassez?
The remains of HERS when it is broken up.
These can develop into a cyst.
How is cementum formed?
mesenchymal cells from Dental follicle contacts dentine and differentiates into cementoblasts.
How is the periodontal ligament formed?
Fibres from the developing PDL are embedded into the cementum as sharpey’s fibres.
What is the tooth germ made of?
Enamel organ
Dental papilla
Dental follicle.
Name the
Of the enamel organ
Tissue type- epithelium
origin- ectoderm
Products- enamel
Name the
Tissue type
origin
Products
Of the dental papilla
Dental papilla
Tissue type- Ectomesenchymal
origin- neural crest
Products- Dentine and pulp