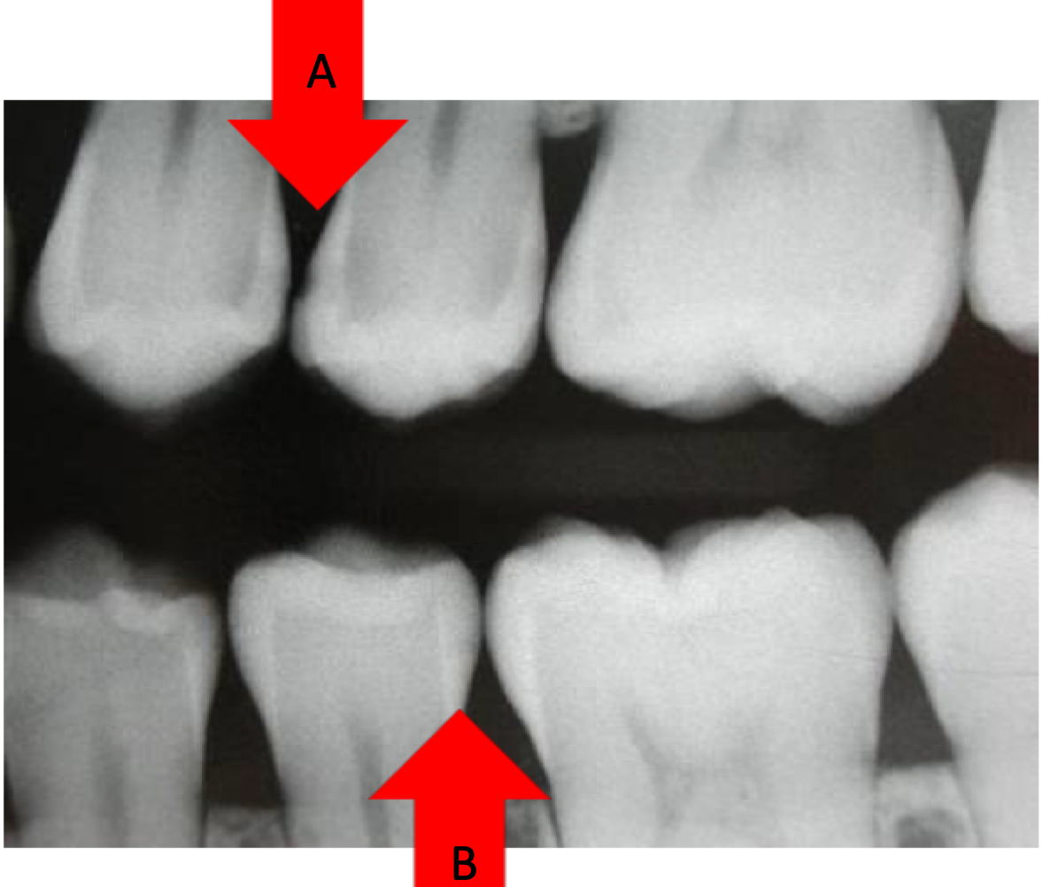
Compare the decalcification in area A and area B?
How would this be treated?

In area A the tooth surface has been broken. To treat this we will have to cut out the lesion
In Area B the tooth surface has not been broken. We can use preventative measures.
How does the Join between the tooth and restoration affect our cavity?
Any join is weak. So we need to consider how the cavity edge relates to where the tooth occludes. (there is more pressure at this point which could cause the join to break)
What is C?

These are dead tracts which are dentinal tubules filled with air as a result of damage.
Describe the stages of cavity design?
Describe how we remove carious dentine and why?
The caries in dentine is removed starting from the outside and working our way in.
This is so that you encounter the pulp in a clean environment.
What are the cavosurface margins?
The junction between internal and external enamel.
We don’t want this at an occlusal contact.
What is the line angle?
The junction between the floor of the cavity and the axel wall.

What is the point angle?
Where the 3 planes meet

How do you access secondary caries and why?
You start from the centre of the restoration and cut towards the cavity edge. This is to prevent an unneccesary increase in cavity size.
In practice what indicates carious dentine?
The sticking of the dental probe, as carious dentine is soft and sticky.
What does this clinical image illustrate?

This is the leftover hard discoloured dentine. This is staining so is not removed.
How do we remove caries on the pulpal floor and why?
This is removed last with a larger instrument.
This is to reduce the risk of pulpal exposure as the small instruments cut more quickly.
If amalgam is not adhesive how does the restoration stay in place?
Amalgam is held into the cavity by retention and restistance.
An anatomical design prevents the restoration being dislodged.
How do we design a cavity for amalgam
and how does this affect the tooth?
We need to place retentive features. (produce an undercut and cut the cavity in a dove tail shape)
This can remove healthy tooth tissue and weaken remaining tooth tissue.

Discuss why the cavo-surface margin angles are important?
If the cavosurface margin angle is too small then the amalgam edge is going to break. (difficult to clean = secondary caries)
Incorect CSMA leave enamel prisms unsupported by underlying dentine.

What is the configuration factor?
The number of surfaces inside a cavity that you are going to join using composite,
A higher configuration factor is more surfaces being joined (X)

How does a composite restoration stay in place?
Composite is an adhesive restorative material that bonds with the dentine &enamel.
How do we design a cavity for composite?
We adjust the surface margins to increase the surface area. This ensures that there is no unsupported enamel and allows us to obtain a seal

What is configuration stress?
This is when the composite material shrinks.
The etch/ bond is strength stronger than the interstitial enamel. strength
So the shrinking composite pulls it the enamel apart, leading to enamel failure (it cannot stretch)

Name these sufaces in an approxmiate cavity


What are the lingual and buccal walls?
Cavity surfaces bounded by the cavosurface margins and the cavity floor
What is the occlusal/ pulpal floor?
A parallel cavity surface that lies over the pulp.
What is the pulpal axial wall?
The surface that is parallel to the long axis of the tooth.
What is the gingival floor?
The surface that is parallel to the occlusal plane and bounded externally by the gingival margin.