How do missing teeth affect a patient’s facial appearance?
The loss of teeth causes jawbone resorption.This causes patient’s maxilla to move backwards and the patients mandible to move forwards.
Why does alveolar resorption occur?
There is a lack of downwards pressure on the alveolar bone due to tooth loss which causes bone loss.
What are A, B and C and describe them

A- The retainer (The metal wing that attaches to the neighbouring tooth)
B- The pontic (the fake tooth)
C- The abutment tooth (The tooth the retainer goes on)
What type of bridge is this?

A mesial cantilever.
What type of bridge is this?

A fixed fixed bridge
Compare the difference between a mesial cantilever and a fixed fixed bridge.
A mesial cantilever is only supported by one tooth, so has 1 retainer.
a fixed fixed is supported by two teeth, so it has 2 retainers.
What is the saddle?
The area in the mouth which has no teeth.
What type of saddle is this?

A Free end saddle
There are no teeth at the end.
What type of saddle is this?

A bounded saddle-
Where the gap has teeth on either side.
Discuss tooth borne support?
Tooth borne is when everything rests on the teeth rather than the soft tissue.
This is the most desirable as it prevents tissue damage.
Discuss mucosa borne support?
Mucosa borne support is where everything rests on the mucosa.
These dentures are replacing lots of teeth

Describe a denture patient assessment.
Why is knowing how the patient lost their teeth beneficical for producing dentures?
If the patient lost their teeth due to periodontal disease this will cause the ridges to change quicker. You want to know this.
Describe these missing teeth using kennedy class:

Kennedy class I
This is a bilateral free end saddle
(free end on both sides= bilateral)
Describe these missing teeth using kennedy class:

This is kennedy class II.
This is a unilateral free end saddle.
Describe these missing teeth using kennedy class:

This is kennedy class III.
This shows a unilateral bounded saddle.
Describe these missing teeth using kennedy class:

This is kennedy class IV.
This is a anterior bounded saddle.
(The saddle crosses the midline and is surrounded by teeth)
Describe these missing teeth using the craddock class:

This is Craddock class I.
This is tooth borne support.
Describe these missing teeth using craddock class:

This is craddock class II.
This is mucosa borne support
This is where the vertical biting force is against the soft tissue saddle.
Describe these missing teeth using craddock class:

This is craddock class III
This is mixed tooth and mucosa borne support.
1 saddle is supported by teeth, the other is a free-end.
What are the three main things we consider when looking at dentures?
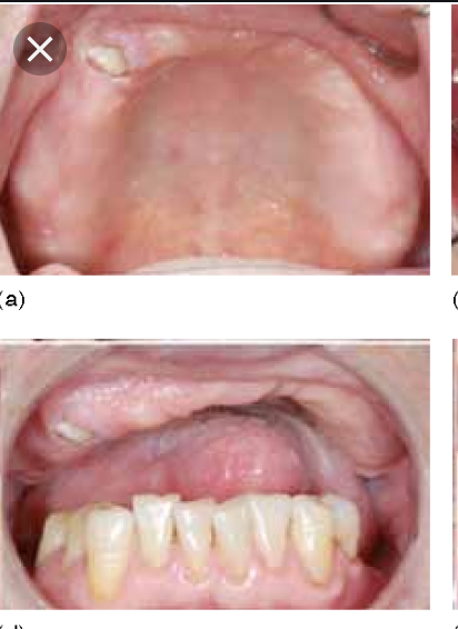
What is this picture showing? and discuss it

This is denture stomatitis.
This is a mixed infection of bacteria and yeast caused by wearing a denture all the time. The exact shape of the denture is showing the gum at A.
What is partial edentiulism?
This describes a patient with some but not all teeth missing in the arch
What is shown in this clinical image?

Combination syndrome.
This is when the patient has a flabby area of tissue due to a complete upper denture biting against real lower teeth,