What are the two functions of swallowing?
Protection - preventing food entering the lower airway.
Feeding- To transport food from the lower pharynx and oesophagus to the stomach
How can swallowing be dangerous?
Because the airway crosses the food way

What are the 3 stages of swallowing?
How does the body prevent reflux?
What is the dental relevance of reflux?
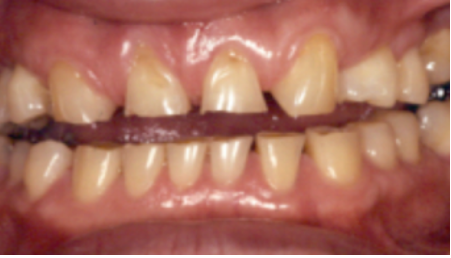
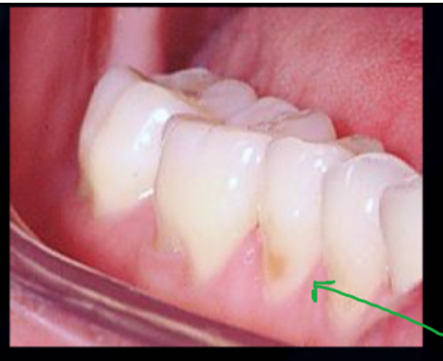
it is an intrinsic cause of erosion
What is this?

Attrition -tooth wear due to contact between occluding teeth
E.G. bruxism.
What is this?

Abrasion- tooth wear due to a non dental object e.g a toothbrush.
Alot of the time it is combined with erosion.
The acid weakens the outer mineralised tissue making it more suceptible to damage.
What is this?

Abfraction-A wedge shaped notch caused by flexure and material fatigue at the cervical region.
It is due to high stress occlusal forces.
This commonly occurs in premoalars.
How is the airway protected when you swallow?
What is dysphasia?
A language disorder due to damage of parts of the brain.
What is dysphagia?
Difficulty swallowing.
What is odynophagia?
Pain when swallowing
What is Dysarthria?
Difficulty speaking due to problems with the muscles involved in speech.
What are some oral causes of language and speech defects.
What is tongue thrust?
When you push your tongue forward when you are swallowing.
What is cleft lip and palate ?
When the oral and nasal cavities are not seperated resulting in speech with a nasal quality
What is this?

Partial atrophy- the tongue is not completed.
Why does dry mouth affect speech?
As the inadequate saliva production makes pronounciation difficult.
What is a tori?
A bony outgrowth that can affect denture design.
What causes problems pronoucing S?
The thickness of the denture.
What causes problems pronoucing F and V?
The loss of maxillary teeth and then wrong occlusal planes on restoration.
How is the s sound produced.
By the tongue producing a narrow channel in the midline of the palate.
How are F and V sounds produced?
The touching of the maxillary incisors with the lower lip
Label this diagram of the lips?

