DOENÇA TROFOBLÁSTICA Flashcards

(24 cards)

1
Q

Considerações

A

Proliferação anormal do trofoblasto.
Degeneração hidrópica.

How well did you know this?
1
Not at all
2
3
4
5
Perfectly
2
Q

Tipos

A

Benigna
Maligna

How well did you know this?
1
Not at all
2
3
4
5
Perfectly
3
Q

Tipos de MOLA MALIGNA

A
  • Mola invasora – é a mais comum.
  • Coriocarcinoma.
  • Tumor trofoblástico do sítio placentário.
How well did you know this?
1
Not at all
2
3
4
5
Perfectly
4
Q

Tipos de MOLA BENIGNA

A
  • Completa
  • Parcial
How well did you know this?
1
Not at all
2
3
4
5
Perfectly
5
Q

Fatores de risco

A
  • Idade >40 anos
  • Mola hidatiforme anterior
  • Inseminação artificial
  • Tabagismo
  • Abortamentos prévios
How well did you know this?
1
Not at all
2
3
4
5
Perfectly
6
Q

Origem do material genético da mola completa

A

Paterno

How well did you know this?
1
Not at all
2
3
4
5
Perfectly
7
Q

Cariótipo da mola completa

A

46 XX / XY
Diploide

How well did you know this?
1
Not at all
2
3
4
5
Perfectly
8
Q

Cariótipo da mola incompleta

A

69 XXY / XXX / XYY
Triploide

How well did you know this?
1
Not at all
2
3
4
5
Perfectly
9
Q

Presença de feto na mola completa

A

Não

How well did you know this?
1
Not at all
2
3
4
5
Perfectly
10
Q

Presença de feto na mola incompleta

A

Sim / não

How well did you know this?
1
Not at all
2
3
4
5
Perfectly
11
Q

Beta-HCG na mola completa

A

Muito elevado

How well did you know this?
1
Not at all
2
3
4
5
Perfectly
12
Q

Beta-HCG na mola incompleta

A

Pouco elevado

How well did you know this?
1
Not at all
2
3
4
5
Perfectly
13
Q

Clínica

A
  • Sangramento vaginal.
  • Náuseas e vômitos.
  • Útero amolecido, maior que IG.
  • Vesículas.
  • Pré-eclâmpsia precoce.
  • Hiperêmese.
  • Cistos tecaluteínicos.
  • Hipertireoidismo.
How well did you know this?
1
Not at all
2
3
4
5
Perfectly
14
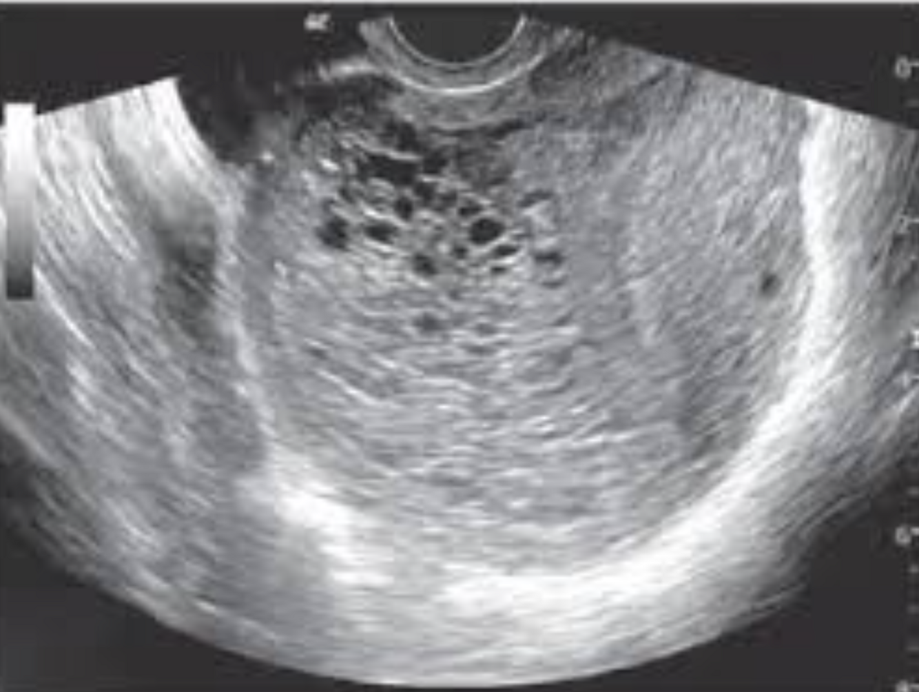
Q

Imagem USG característica de mola

A

Imagem em flocos de neve ou cachos de uva

How well did you know this?
1
Not at all
2
3
4
5
Perfectly
15
Q

Laboratorial

A

Beta-HCG superior a 200.000 mUI/mL.

How well did you know this?
1
Not at all
2
3
4
5
Perfectly
16
Q

Tratamento

A

Esvaziamento uterino + histopatológico –> vácuo.

17
Q

Quando considerar histerectomia na MOLA?

A

Prole definida e >40 anos.
A histerectomia não zera o risco de malignização.

18
Q

Controle de cura

A

Beta-HCG: titulação semanal.
Em 8-10 semanas ele vai zerar.
Uma vez negativo, repetir mais duas vezes.
Precisa de 3 titulações semanais negativas, depois passa para mensal até 6 meses.

19
Q

Características que sugerem malignização da MOLA

A
  • 3 valores de beta em ascensão
  • 4 valores em platô
  • 6 meses ainda positivo
  • Metástases
20
Q

Conduta na malignização

A

quimioterapia

21
Q

Classificação de Neoplasia trofoblástica

A

Mola invasora;
Coriocarcinoma;
Tumor trofoblástico do sítio placentário.

22
Q

Tumor trofoblástico do sítio placentário

A

Trofoblasto intermediário
Raro. Eleva hPL (lactogênio placentário)

23
Q

Coriocarinoma

A

10-30% dos casos
Pós mola, aborto, gestação a termo ou ectópica

24
Q

Mola invasora

A

70-90% dos casos
Sequela da mola hidatiforme