Qual carcterística gemelar CONFIRMA que gestação é MONOZIGÓTICA?

MONOCORIONICIDADE
Dicoriônica e diamniótica é sempre dizigótica?
NÃO!
Pode ser monozigótica que se DIVIDIU MUITO precocemente

Quais as formas de corionicidade/amnionicidade de uma gestação MZ?

Como é a corionicidade/amnionicidade de uma gestação DZ?

SEMPRE DICORIÔNICA E DIAMNIÓTICA
São fatores de risco para QUAL GESTAÇÃO GEMELAR?
DIZIGÓTICA!
Qual fator aumenta risco de gestação MZ?
FERTILIZAÇÃO in vitro

Qual sinal USG de gestação Dicoriônica?

SINAL DO Y (lambda)
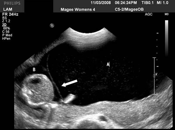
Qual sinal USG de gestação MONOcoriônica?

Sinal do T
Quando indicar o parto nas gestações DICORIÔNICAS?
38 SEMANAS
Quando indicar o parto nas gestações MONOCORIÔNICAS?
36 SEMANAS
Em que tipo de gemelaridade as complciações são mais comuns?
MONOCORIÔNICAS
Quando ocorre síndrome da transfusão feto-fetal
Gestação MONOCORIÔNICA com anastomose vascular, especialmente ARTERIOVENOSA
Como diagnosticar Sd Transfusão Feto-fetal?

USG vê POLIDRAMNIA em um feto e OLIGODRAMNIA em outro
Quais as complicações do feto DOADOR na STFF?

Quais as complicações no feto RECEPTOR na STFF?

Quais as opções terapêuticas na STFF?
