Lennart, 54 år, berättar att han
Vad tänker du att det kan vara?
Diabetes typ 2
Vilket status är viktigt vid misstanke om typ 2 diabetes utöver
Och varför är det viktigt?
Vad kan du ev notera redan på vägen in hos patient som sökt för misstänkt diabetes?
Okej, patienten med diabetes har lämnat dessa prover och har haft åtskilliga höga blodtryck, hur gå vidare med tester/prover?

Lennart, 54 år, berättar att han
Vad kan vara viktigt att fråga ytterligare?
Vad innebär simplexretinopati?

Magdalena söker vid 39 års ålder för mellanblödningar och postkoitala (efter samlag) blödningar. Postkoitala blödningar ska alltid föranleda misstanke om
Cervixcancer
Cellförändringar (förstadier) i cervix klassificeras, enligt Bethesda klassifikationssystem i?
Vad visar bilden?

Cervixcancer

Vad visar bilden?

Normalt cervixepitel
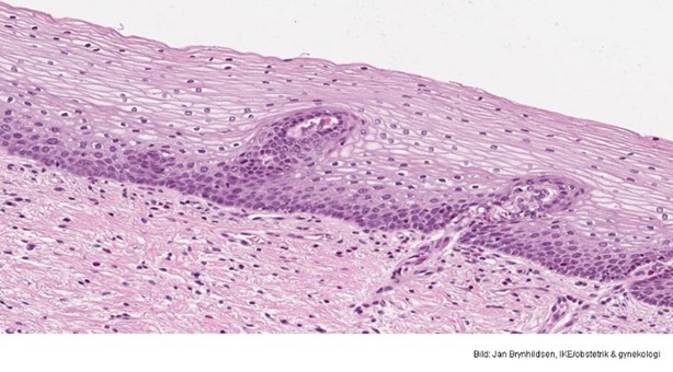
Vad visar bilden?

Cervixcancer
Invasivt växande skivepitelcancer.
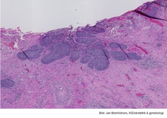
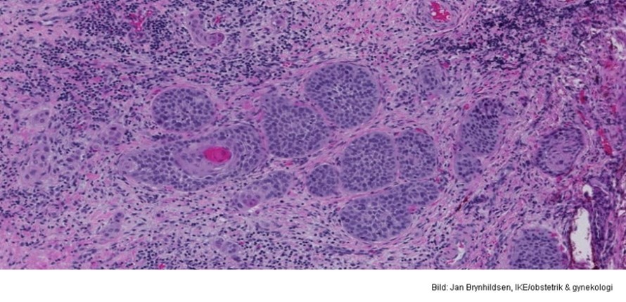
Vad visar bilden?

Invasivt växande skivepitelcancer.
Vad visar bilden?

3x4 cm stor cervixtumör utan hållpunkter för spridning.

Ung kvinna (18 år) inkommer till vårdcentral. Ej haft menstruationer på 6 mån, gravtest negativt. Ökad behåring på käklinjen samt fått mer acne på slutet. Lätt överviktig. Prover visar normal TSH, LH, FSH, fP-glukos, östradiol och testosteron. Högt insulin, sänkta nivåer av SHBG.
Varför har Magdalena kliniska symptom på hyperandrogenism trots att hon har normala testosteronnivåer?
Kvoten Testosteron/SHBG är avgörande för mängden aktivt testosteron
Vilka kriterier för PCOS uppfyller Magdalena?

Magdalena, ej haft menstruation på 6 månader
Man gjorde ett så kallat gestagentest, dvs. gav Magdalena 10 dagars behandling med syntetiskt progesteron (gestagen). Hon svarade på gestagentestet, dvs. hon fick en bortfallsblödning efter att ha avslutat behandlingen. Varför gjordes detta testet?
Om patienten blöder (2-3 dagar) efter avslutad behandling betyder det att östrogenproduktionen är adekvat och att det finns en slemhinna i proliferativ fas i uterus
Magdalena bedömdes uppfylla kriterierna för polycystiskt ovariesyndrom (PCOS). Hon fick p-piller med god effekt och fick då regelbundna bortfallsblödningar och minskad hårväxt och acne. Efter viktnedgång slutade hon med sina p-piller och återfick då regelbundna menstruationer, dvs. ovulationerna återkom. Hur kan viktnedgången hjälpa?
Britta informeras om att det kan röra sig om en äggstockscysta och ytterligare utredning behövs. Remiss skrivs för DT thorax och buk och blodprov tas för S-CA 125, S-CA 19-9 och S-CEA.
Provsvaren visar:
Vad tyder förhöjt S-CA 125 på?
Ovarialcancer
Vad orsakar att T1-diabetiker kissar och dricker så mycket?
Vad beror viktminskningen hos en T1-diabetiker på?
Vätskeförluster och ofta också på att insulinbristen, lett till nedbrytning av fett och muskler
Vad sker det för typ av kompensation vid en uttalad metabol acidos?
Kompensatorisk hyperventilation vilket ger en respiratorisk alkalos
Medicinering måste ökas vid stress och sjukdom annars finns hög risk att råka ut för alllvarligt tillstånd och som utan adekvat sjukvård med intravenöst givet kortisol och vätskebehandling kan leda till döden.
Vilket tillstånd handlar det om?
Addisonkris
Vilka uppföljande prover vill du ta?

Ann-Marie Stanner, 26 år som sökt för att hon känner sig trött uppvisar dessa prover, vad har hon ev drabbats av?

Primär hyperparatyroidism