Epithelium Qus Flashcards

(18 cards)

1
Q

What is the epithelium of the urethra

A

Stratified columnar epithelium
proximal urethra is lined by transitional epithelium, with the distal third containing stratified columnar epithelium.

In females, we have stratified squamous pseudostratified columnar, aswell as transitional

How well did you know this?
1
Not at all
2
3
4
5
Perfectly
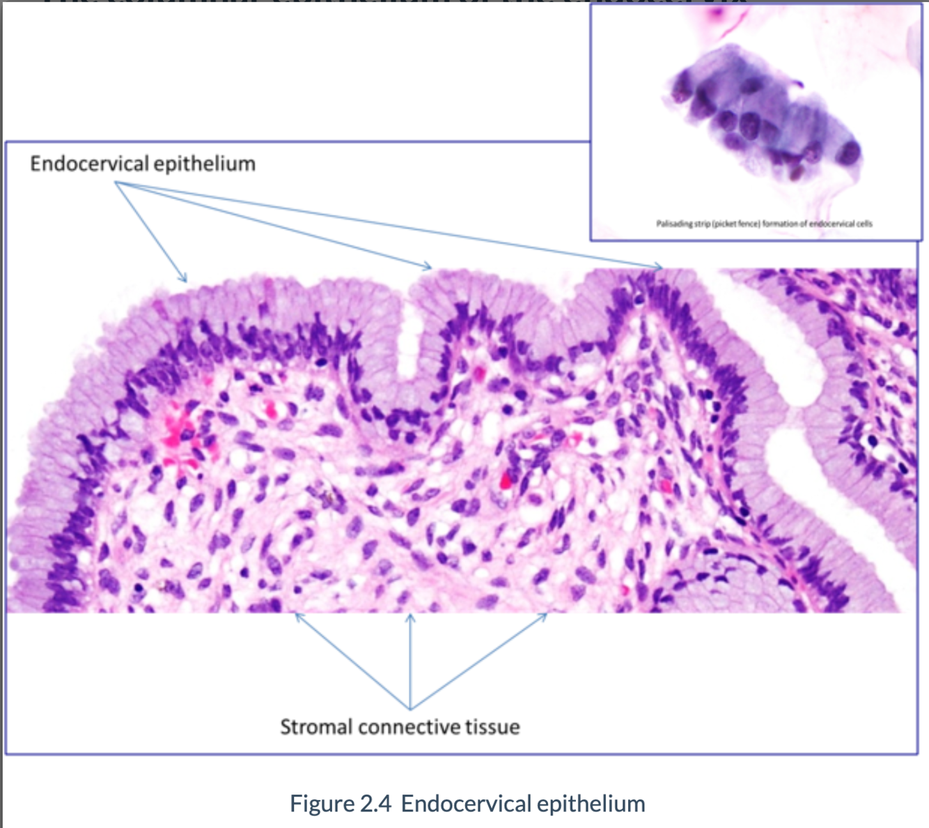
2
Q

What is the endothelium of the endocervix?

A

Simple columnar

Endocervix lies between the internal and external ostium. It marks the e

How well did you know this?
1
Not at all
2
3
4
5
Perfectly
3
Q

What is the epithelium of the ectocervix?

A

stratified squamous non-keratinised epithelium

outer part of the cervix; communicates directly with the superior vagina

How well did you know this?
1
Not at all
2
3
4
5
Perfectly
4
Q

What is the epithelium of the uterus?

A

Simple columnar epithelium

How well did you know this?
1
Not at all
2
3
4
5
Perfectly
5
Q

What is the epithelium of the fallopian tube

A

Simple columnar epithelium

(ciliated)

How well did you know this?
1
Not at all
2
3
4
5
Perfectly
6
Q

Epithelium of the vagina

A

Stratified squamous non-keratinising epitheliume

How well did you know this?
1
Not at all
2
3
4
5
Perfectly
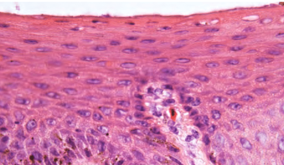
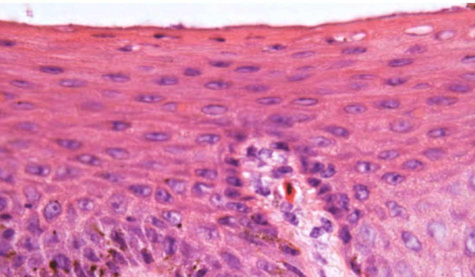
7
Q

What is this showing?

A

Epithelium of vagina: stratified squamous non-keritinising

How well did you know this?
1
Not at all
2
3
4
5
Perfectly
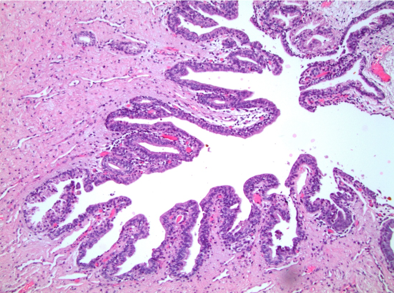
8
Q

What is this showing?

A

Epithelium of the fallopian tube

ciliated columnar epithelium

How well did you know this?
1
Not at all
2
3
4
5
Perfectly
9
Q

Type of epithelium shown

A

Fallopian tube- ciliated columnar

How well did you know this?
1
Not at all
2
3
4
5
Perfectly
10
Q

What is this?

A

Seminal vesicle: lined by pseudostratified columnar epithelium

How well did you know this?
1
Not at all
2
3
4
5
Perfectly
11
Q

What is this?

A

Epidydimis, lined by pseudostratified epithelium with long microvilli

How well did you know this?
1
Not at all
2
3
4
5
Perfectly
12
Q

Epithelium of the seminal vesicle

A

pseudostratified columnar epithelium

How well did you know this?
1
Not at all
2
3
4
5
Perfectly
13
Q

Epithelium of the epidydmis

A

Pseudostratified with long microvilli

How well did you know this?
1
Not at all
2
3
4
5
Perfectly
14
Q

What is this?

A

Prostate gland
Look out for Corpora amylacea

Columnar cuboidal epithelium

How well did you know this?
1
Not at all
2
3
4
5
Perfectly
15
Q

WHat is this?

A

Epidydmis: pseudostratified with microvilli

How well did you know this?
1
Not at all
2
3
4
5
Perfectly
16
Q
A

Ductus deferens
Pseudostratified columnar
Thick- walled muscular tube
Inner and outer longitudinal
Intermediate circular

Muscle layer

I – Inner
C- Circular
O- Outer

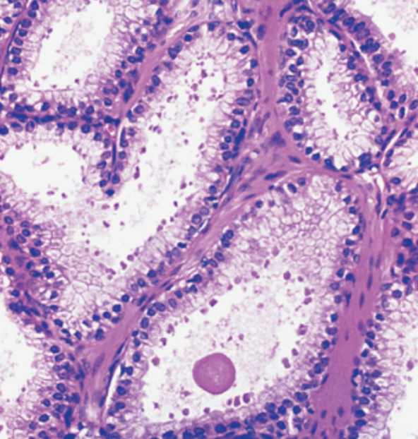
17
Q
A

Seminal vesicle
Pseudostratified tall columnar

The lumen of semin

Secretary cells with lipid droplets in the cytoplasm

18
Q

Epithelium lining seminal vesicle

A

Pseudostratified columnar