label:


Label:


Label


Label:


Label

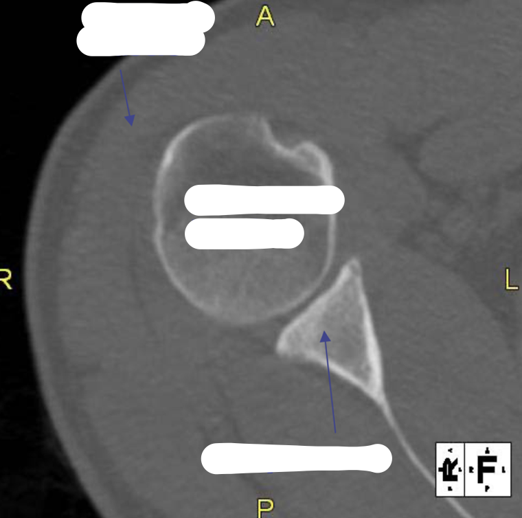
A, acromion
C, clavicle
G, glenoid cavity
Gr, greater tubercle of humerus
H, head of humerus
N, surgical neck of humerus

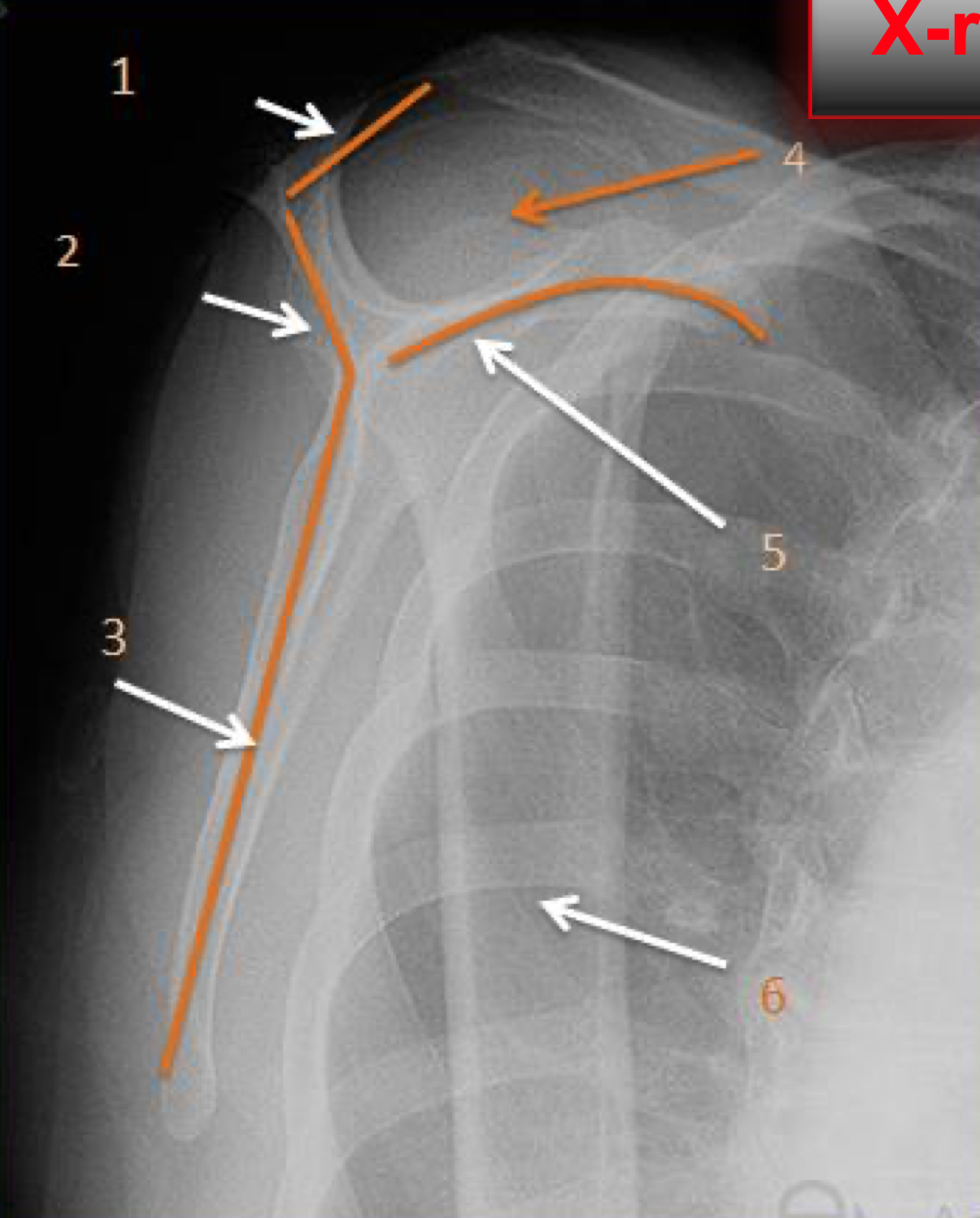
Fill in the blanks

1- Clavicle
2- Acromion
3- Greater Tuberosity
4- Lesser Tuberosity
5- Glenoid Cavity
6- Coracoid Process
7- Scapula
Fill in the blanks


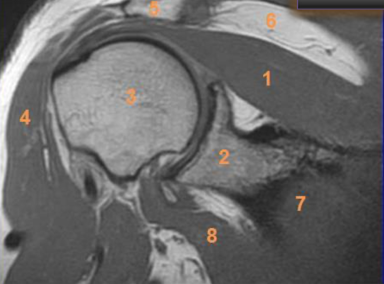
Fill in the blanks

1-supraspinatus muscle
2- glenoid cavity
3-humeral head
4-deltoid muscle
5-acromion
6-clavicle
7-subscapularis muscle
8-teres minor
label

1 Biceps brachii muscle
2-Brachialis muscle
3-Brachial artery
4 Humerus
5-Triceps muscle

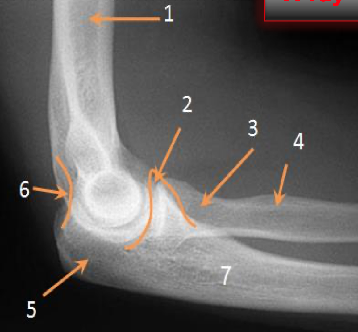
complete


label


label


label



