Repro radiology Flashcards

(52 cards)

1
Q
A
How well did you know this?
1
Not at all
2
3
4
5
Perfectly
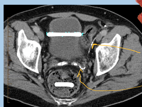
2
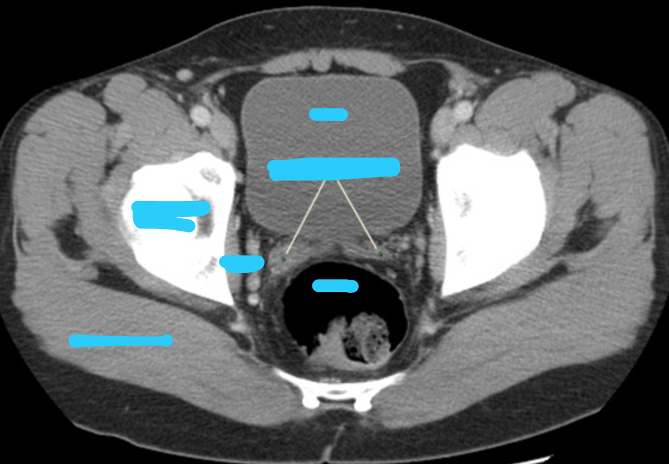
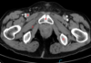
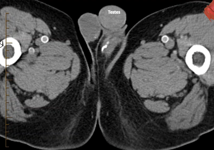
Q

What type of imaging & view is this? And what abnormalities can we see

A

CT male pelvis, axial view
Calcification within the vascular structures; small bit of calcifications in vas deferes

How well did you know this?
1
Not at all
2
3
4
5
Perfectly
3
Q

Complete labels, what is the yellow arrow pointing to?

A

Caclification wihtin the spermatic cord

How well did you know this?
1
Not at all
2
3
4
5
Perfectly
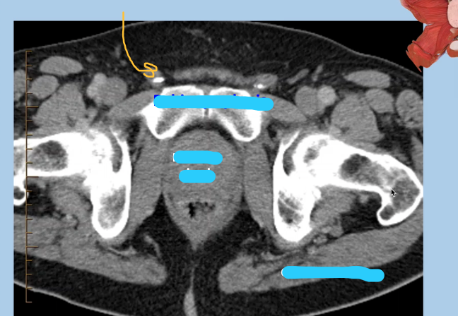
4
Q

Label & what are the yellow arrows pointing to?

A

Yellow arrows: vas deferens running over the external iliac vessels
Ureter passes undernea this
running superior to seminal vesicles
(CT axial of male pelvis)

How well did you know this?
1
Not at all
2
3
4
5
Perfectly
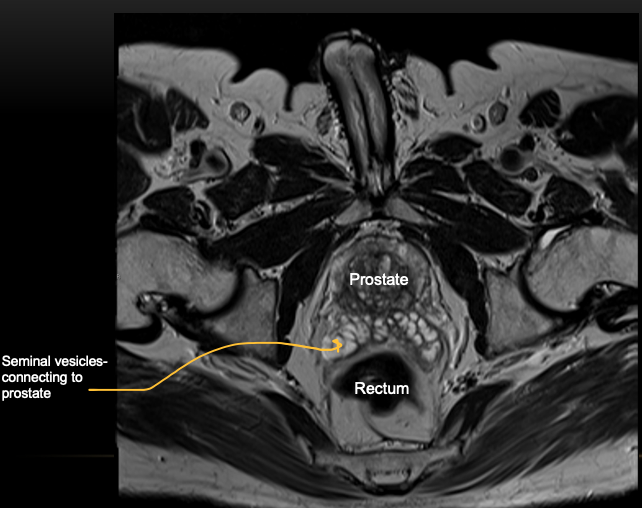
5
Q

What type of imaging modality is this & fill in the blanks

A

MRI prostate, axial

How well did you know this?
1
Not at all
2
3
4
5
Perfectly
6
Q

What is this imaging modality and what pathology is it showing

A

US testes
Green box= doppler effect
Blood flow less on RHS than LHS, right testicular enlargment
Testicular torsion

How well did you know this?
1
Not at all
2
3
4
5
Perfectly
7
Q
A
How well did you know this?
1
Not at all
2
3
4
5
Perfectly
8
Q
A

Axial MRI

How well did you know this?
1
Not at all
2
3
4
5
Perfectly
9
Q
A
How well did you know this?
1
Not at all
2
3
4
5
Perfectly
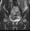
10
Q

Imaging modality & complete the labels

A

Coronal MRI

How well did you know this?
1
Not at all
2
3
4
5
Perfectly
11
Q

Imaging modality and what is seen in the ovaries

A

T2 weighted MRI (fat & water are white)
Ovaries containing follicular cysts

How well did you know this?
1
Not at all
2
3
4
5
Perfectly
12
Q

Complete the blanks & what imaging modality is this?

A

Female pelvic arteriogram

How well did you know this?
1
Not at all
2
3
4
5
Perfectly
13
Q

Fill in the blanks

A
How well did you know this?
1
Not at all
2
3
4
5
Perfectly
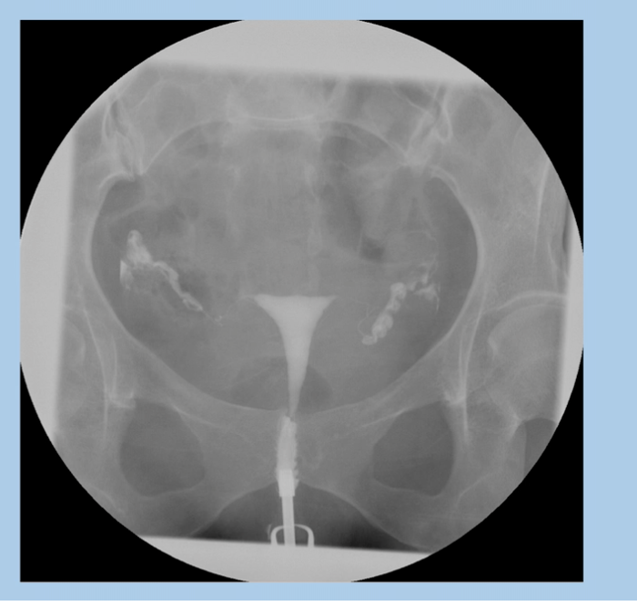
14
Q

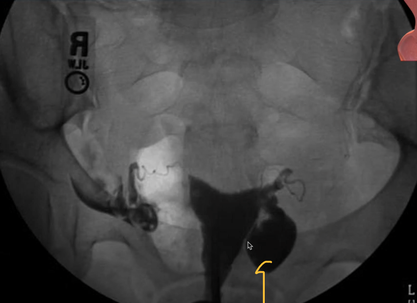
What imaing modality is being used

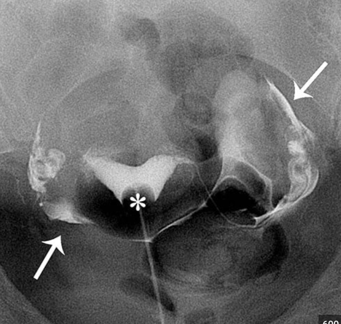
A

Hysterosalpingogram

Commonly used for investigation of infertility/miscarriage

Assess normal shape of uterine cavity, patency of fallopian ducts, free spill of contrast into interperitoneal space

A hysterosalpingogram (HSG) isan X-ray dye test used to diagnose problems related to fertility.

How well did you know this?
1
Not at all
2
3
4
5
Perfectly
15
Q

Imaging modality & what can it be used for

A

Hysterosalpinogram
Used to assess patency of fallopian tubes

How well did you know this?
1
Not at all
2
3
4
5
Perfectly
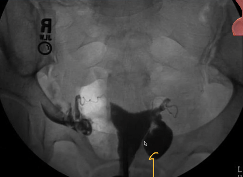
16
Q

What pathology can be seen here?

A

Hydrosalpinx: dilation of fallopian tube on LHS
On the RHS fluid is spilling into the cavity meaning that there is no blockage

How well did you know this?
1
Not at all
2
3
4
5
Perfectly
17
Q

Imaging modality

A

Female pelvic arteriogram

How well did you know this?
1
Not at all
2
3
4
5
Perfectly
18
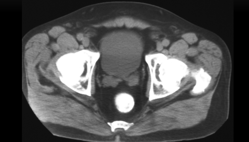
Q

Imaging modality

A

CT pelvis

How well did you know this?
1
Not at all
2
3
4
5
Perfectly
19
Q

Label & imaging modality

A

Coronal MRI of male pelvis

How well did you know this?
1
Not at all
2
3
4
5
Perfectly
20
Q
A
How well did you know this?
1
Not at all
2
3
4
5
Perfectly
24
Q

What is the arrow pointing to?

A

Corpus cavernosa

25
Imaging modality
26
27
Imaging modality
Testes ultrasound
28
What abnormaility is being shown
Testes hydrocele
29
Name the abnormality
Hydrocele
30
Name the abnormality
Testes: swollen epidydmis
31
What pathology is this showing
Ultrasound torsion
32
Name the imaging modality
Female MRI coronal > pelvis
33
Name the imaging modality & view
Female MRI coronal
34
Name the imaging modality & the plane
Axial female MRI, pelvis
35
Describe the pathology
Left ovarian cysts
36
Describe the pathology
Female pelvis: right ovary
37
38
What is this imaging modality, and what pathology is it showing?
39
Imaging modality & its function
Hysterosalpingogram > type of X-ray to identify if fallopian tubes are patent
40
Imaging modality
Ultrasound secretory uterine endothelium
41
Identify the congenital abnormality
Bicornuate uterus
42
Imaging modality
Breast MRI
43
Imaging modality
Mammogram
44
Imaging modality
Foetal MRI
45
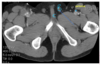
Identify the pubic symphysis and obturator foramen
1. Pubic Symphysis: C 2. Obturator foramen: H pubic crest immediately after symphasys and then the tubercle
46
Label
47
Identify > imaging modality > Pubic symphysis > Obturator foramen
CT: axial slice 1. Pubic Symphysis= A 2. Obturator foramen= C | In a MRI, fat would be wihte
48
Type of imaging & fill in the blanks
MRI
49
Imaging modality & fill in blanks
MRI
50
Imaging modality and ...
MRI (subcutaneous fat is white)
51
Imaging modality & fill blanks
CT: low density in colour
52