What kind of epithelium lines the urinary bladder and ureter?
Urothelium or transitional epithelium
The advantage of this is that it is able to stretch significantly to accommodate large volumes of urine. The transitional epithelium also provides protection to the underlying tissues from acidic or alkaline urine.

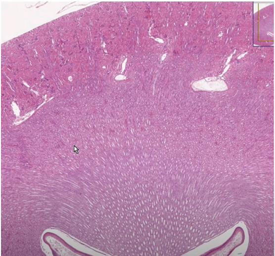
What organ is this showing

The kidney
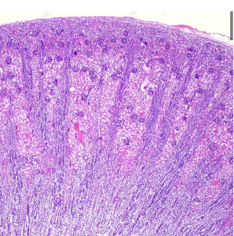
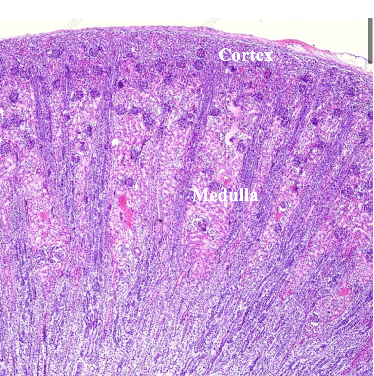
Destuinguish the cortex vs the medulla of the kidney

Cortex is full of globules whereas, the medulla is more tubule

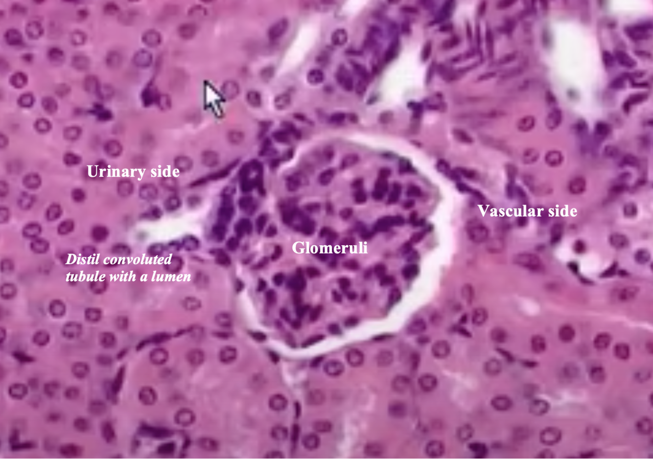
Label this diagram

Renal corpuscle
Glomeruli have a side next to blood vessels- vascular side
And then one going into nephron- urinary side

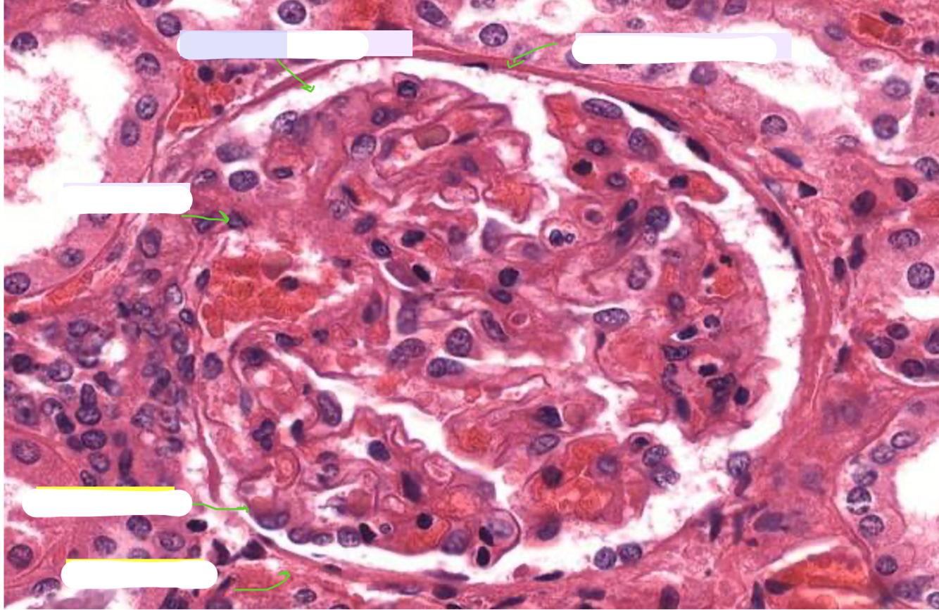
Label this diagram


Label this diagram of the renal corpuscle


Complete this diagram


Epithelium of the proximal convoluted tubule
Simple tall cuboidal epithelium, with a brush border (microvilli).
Epithelium of the loop of henle
simple squamous epithelium
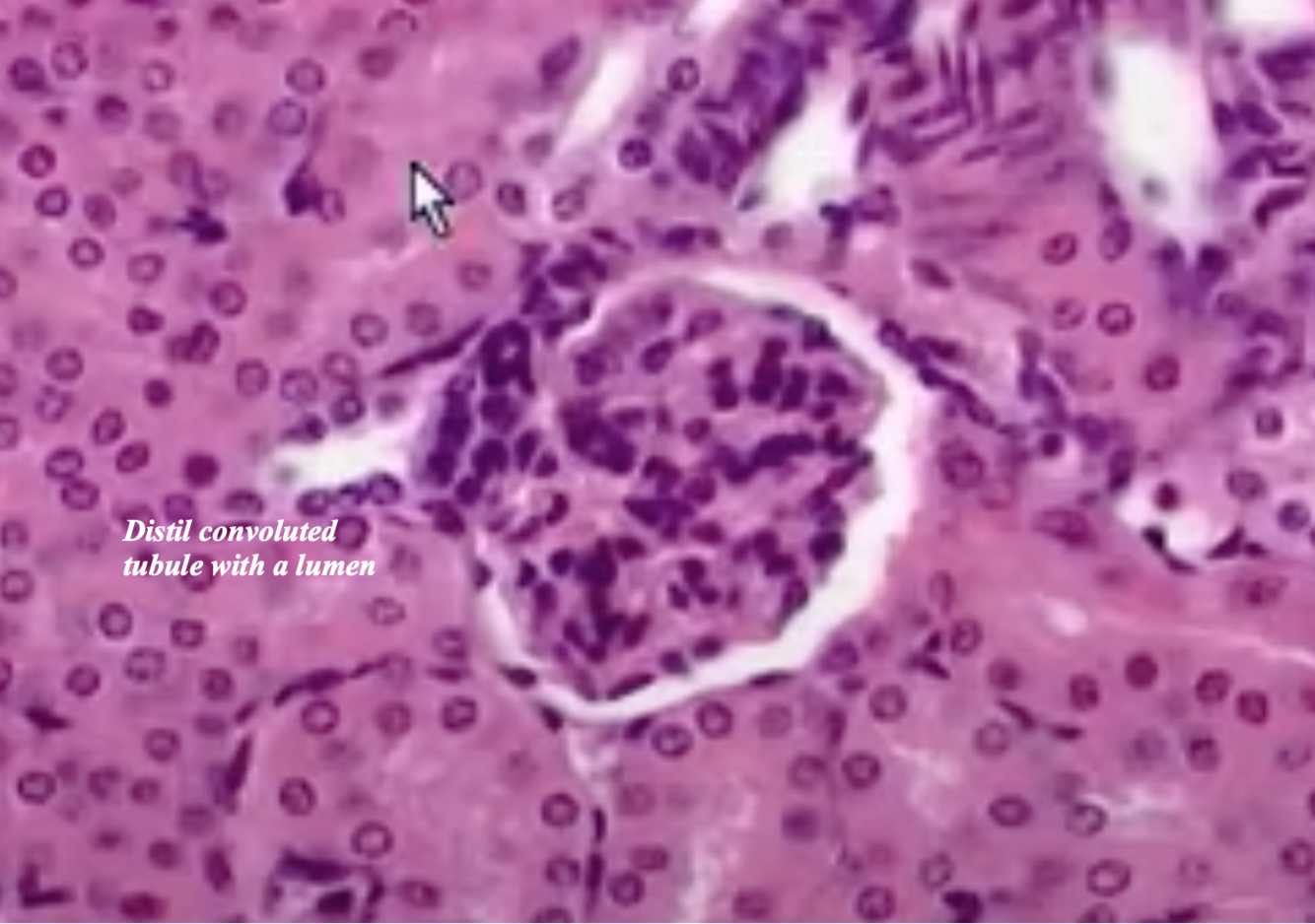
Epithelium of the distil convuluted tubule
Cuboidal, with few microvilli
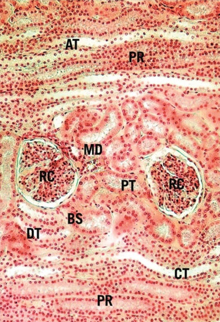
Label this diagram


Which part of the kidney is this?

Kidney: Cortex
Renal corpuscles (Bowman’s capsule: simple squamous epithelium)
Proximal convoluted tubules (cuboidal+ microvilli)
Distal convoluted tubules (cuboidal)
Collecting tubule (cuboidal)
What does this show & describe its epithelium

The ureter
Transitional epithelium
Star shaped lumen
Inner longitudinal smooth muscle (SM)
Outer circular SM
What organ does this show & describe its epithelium

Bladder
Transitional epithelium
Inner longitudinal (IL) smooth muscle (SM)
Middle circular(MC) SM
Outer longitudinal (OL) SM
Lable


Label


Label


Lable


How are hormones stored in a thyroid gland?
Hormones are stored in cavities, surrounded by secretory cells. These make up a follicle. Within the cavity of the follicle, the hormone is bound to a glycoprotein and is called as colloid. During secretion the hormone is re-absorbed from the cavity, and then released into the surrounding interstitial spaces.
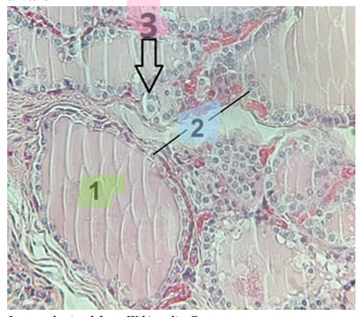
Fill in the blanks

1 = Thyroid follicle: follicular cells + colloid
Thyroid cell- produce thyroid hormones & their surface contains TSH receptors
2 = Follicular epithelial cells
3 = Parafollicular (C cells)- secrete calcitonin - takes calcium & puts it back into the blood
NB. parafollicular cells arise, separately from the thyroid and migrate into it during development of the embryo
PARAFOLICULAR CELLS are secreted from the THYROID GLAND (not the parathyroid gland, this secretes parathyroid hormones which increase calcium levels)

What type of epithelium do you see lining the follicle?
Simple, non-stratified, cuboidal epithelial cell (found in all endocrine glands)
What hormone do the C cells and the thyroid gland secrete?
C cells= calcitonin
Thyroid gland = T3&T4
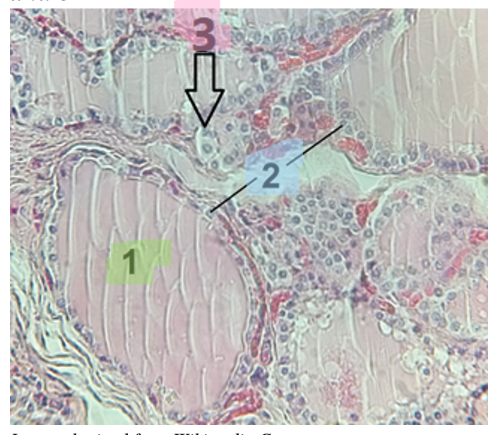
Arterial supply & venous drainage of the parathyroid glands
Arterial supply to both superior and inferior parathyroids is predominantly from the inferior thyroid arteries.
Venous drainage is via the veins draining the thyroid to the internal jugular veins.
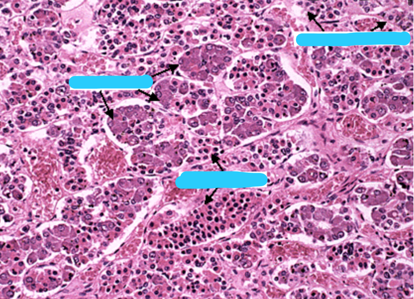
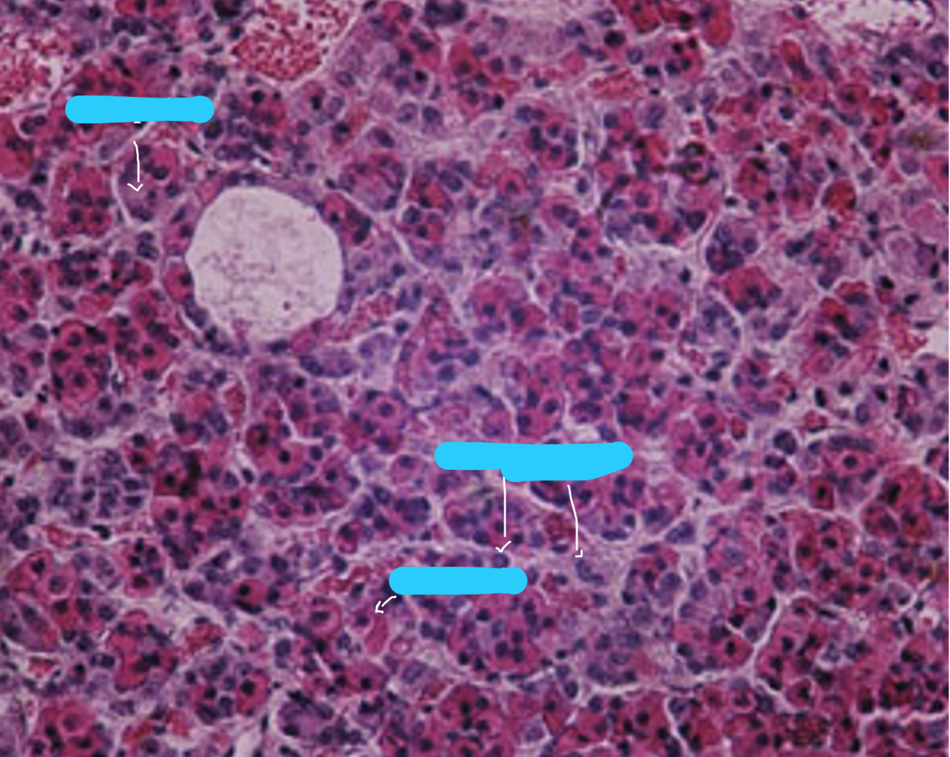
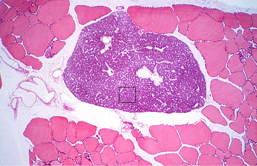
What gland is shown here

Parathyroid gland