Label


What is the caudate nuceli?
Collection of neuronal cell bodies within the cerebral hemisphere
Label


Label


Name this gland

The pinneal gland- part of the epithalamus, posterior to the thalamus



Label

Label the ventricles of the brain & the parts of the basal glanglia


Label

Label


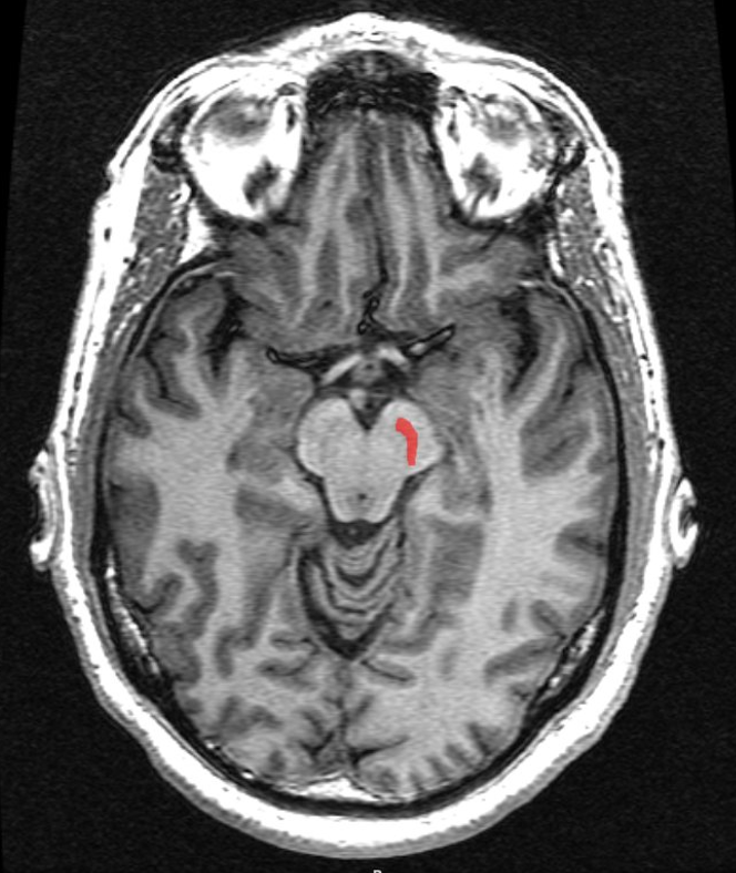
What is the structure called highlighted in red

Substantia nigra

Fill in the blanks


Label


Label


What level does the spinal cord end in adults
L2
How to tell apart different levels of the spinal cord


Which part of the spinal cord recieves sensory fibers and which part recieves motor fibers?
Dorsal root= sensory fibers
Ventral root= motor fibers
What is the name of the hole in the middle of the spinal cord and what does it contain?
The spinal canal; contains the spinal cord
Identify different sections of the spinal cord


Label


Label the foramen of the skull


Where does the olfactory nerve exit the skull

The cribriform plate of the ethmoid bone

Where does the optic nerve exit the skull

Optic canal

What nerves exit the superior orbital fissure

Occulomotor
trochlear
opthalmic
