EVC Flashcards

(63 cards)

1
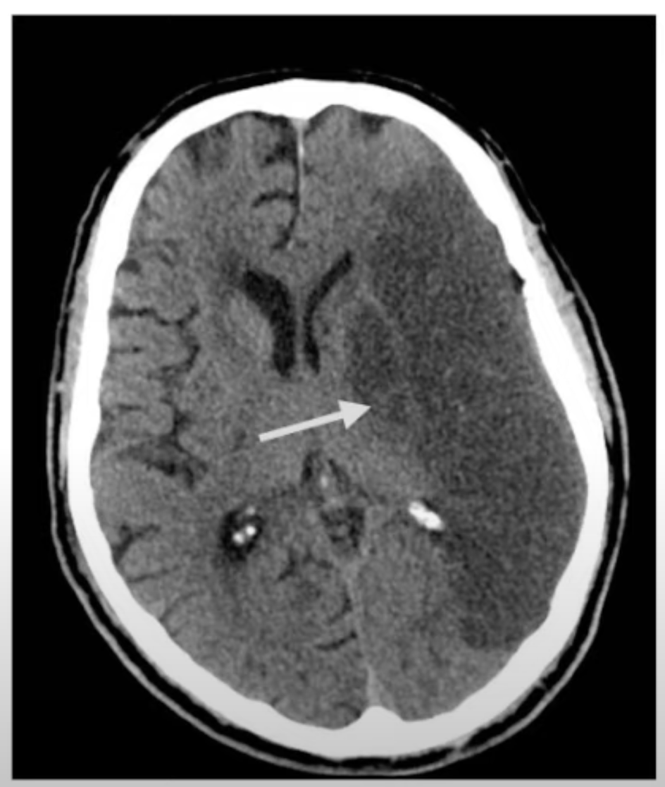
Q

Deficiencia neurológica repentina atribuible a una causa vascular no traumática del cerebro

A

EVC

How well did you know this?
1
Not at all
2
3
4
5
Perfectly
2
Q

Tipos EVC

A

Isquémico (80%, ictus) y Hemorrágico (20%, derrame)

How well did you know this?
1
Not at all
2
3
4
5
Perfectly
3
Q

Se ve hipodenso

A

EVC isquémico

How well did you know this?
1
Not at all
2
3
4
5
Perfectly
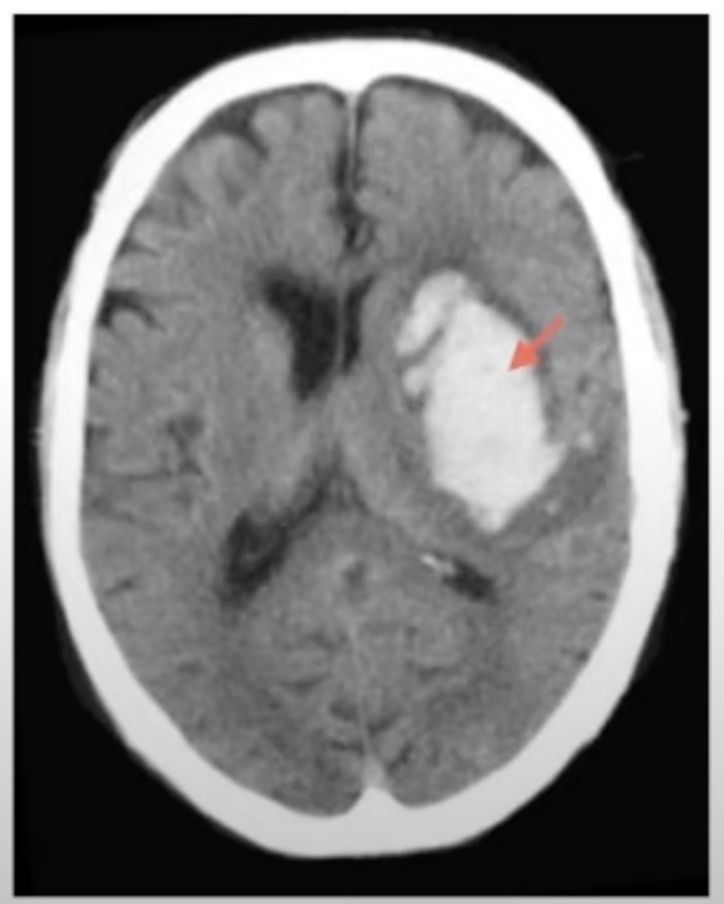
4
Q

Se ve hiperdenso

A

EVC hemorrágico

How well did you know this?
1
Not at all
2
3
4
5
Perfectly
5
Q

Rama más ocluyente más frecuentemente es la:

A

Arteria cerebral media

How well did you know this?
1
Not at all
2
3
4
5
Perfectly
6
Q

La irrigación principal se da por parte de las carótidas y las vertebrales, su unión en el espacio subaracnoideo forma el:

A

Polígono de willis

How well did you know this?
1
Not at all
2
3
4
5
Perfectly
7
Q

Cuando un vaso cerebral se tapa por un trombo proveniente de corazón (FA)

A

Cardioembolismo

How well did you know this?
1
Not at all
2
3
4
5
Perfectly
8
Q

_____ de los EVC son cardioembolicos

A

1/4

How well did you know this?
1
Not at all
2
3
4
5
Perfectly
9
Q

40-60 ml/100 g de tejido cerebral/min

A

Flujo sanguíneo normal

How well did you know this?
1
Not at all
2
3
4
5
Perfectly
10
Q

15-18 ml/100g de tejido cerebral por minuto

A

Silencio eléctrico (viabilidad neuronal)

How well did you know this?
1
Not at all
2
3
4
5
Perfectly
11
Q

10-15 mL/100g de tejido cerebral/min

A

Zona de penunbra isquémica

How well did you know this?
1
Not at all
2
3
4
5
Perfectly
12
Q

Origenes de EVC isquémica

A

FA, ateroesclerosis carotídea, hiperocoagulación, trombosis de cenos venosos, displasia fibromuscular, vasculitis, cardiogena, vasoespasmo por HSA, drogas, eclampsia

How well did you know this?
1
Not at all
2
3
4
5
Perfectly
13
Q

Fisiopatología EVC isquémico

A

1) pérdida sangre x >10 mins –> muerte tejido cerebral
2) Zona de penumbra isquémica (reversible)
3) Infarto cerebral focal con muerte celular

How well did you know this?
1
Not at all
2
3
4
5
Perfectly
14
Q

El infarto cerebral focal con muerte celular ocurre por 2 mecanismos:

A

Ruta necrótica y ruta apoptótica

How well did you know this?
1
Not at all
2
3
4
5
Perfectly
15
Q

Muerte neuronal por isquemia

A

1) Privación neuronal glucosa
2) Incapacidad formar ATP
3) Disfunción bombas ionicas
4) Despolarización neuronal
5) Aumento Ca IC
6) Liberación glutamato teminaciones sinápticas (neurotóxico)
7) Degradación lípidos
8) Catabolismo

How well did you know this?
1
Not at all
2
3
4
5
Perfectly
16
Q

Clínica EVC isquémico

A

Insidioso/ súbito, progresivo. Di es completo déficit se mantiene.

How well did you know this?
1
Not at all
2
3
4
5
Perfectly
17
Q

Escala Cincinnati

A

Habla (pronunciación), Sonrisa, Levantamiento brazos

How well did you know this?
1
Not at all
2
3
4
5
Perfectly
18
Q

Alteración del estado de despierto, reflejos primitivos, incontinencia, paralisis contralateral (pierna>brazo), marcha incoordinada

A

A. central anterior

How well did you know this?
1
Not at all
2
3
4
5
Perfectly
19
Q

Hemiplejia, hemilhipoestesia, hemianopsia, homónica, > brazos y caraparálisis pirada contralateral, hamianopasia ipsi, agnosia y afasia.

A

A. central media

How well did you know this?
1
Not at all
2
3
4
5
Perfectly
20
Q

Infarto bulbar lateral, alteraciones cerebelo, disfagia, vértigo grave, ataxia cerebral, Sx Horner ipsi, decenso sensibilidad dolor y temperatua

A

A. vertebral

How well did you know this?
1
Not at all
2
3
4
5
Perfectly
21
Q

Defecto visual homolateral, ceguera cortical, dislexia, discalciuria, deficit hemisensorial

A

A. cental posterior

How well did you know this?
1
Not at all
2
3
4
5
Perfectly
22
Q

los infartos lacunares más frecuentes son:

A

Sensitivos puros, Motores puros o Hemiparesia atráxica

How well did you know this?
1
Not at all
2
3
4
5
Perfectly
23
Q

Escala para el EVC squémico, que indica si se puede trombolizar o no el px, consta de 42 puntos

A

NIHSS

How well did you know this?
1
Not at all
2
3
4
5
Perfectly
24
Q

El dx de EVC isquémico es por sospecha clínica con base a los antecedentes, signos, síntomas y EF. Sin embargo, el gold standard es:

A

RNM y TAC para dx diferencial

How well did you know this?
1
Not at all
2
3
4
5
Perfectly
25
El tx de EVC isquémico consiste de:
1) Apoyo médico 2) Trombolisis IV (técnicas endovasculares) 3) Tx antitrombótica 4) Mediadas de neuroprotección 5) Rehabilitación
26
El apoyo médico en el tx de EVC isquémico consiste de:
Prevenir infecciones y TVP, TAM 90-110 mmHg, Normotermia, Glucemia <110 mg/dL (insulina) y medidas antiedema
27
La trombolisis intravenosa se hace con:
rTPA o ALTEPLASA durante las primeras 3 hrs de el inicio de síntomas
28
Son de utilidad en precensia de grandes trombos, requieren un centro especializado y selección adecuada de px. Pueden realizarse aún en px que ya se han sometído a trombolítico IV (no Mx)
Técnica endovascular
29
Extravasación de sangre dentro del encéfalo, secunadaria a la ruptura de un vaso. Salida sangre del parénquima o espacio subaracnoideo por ruptura vascular sin trauma.
EVC hemorrágico
30
La mitad de las muertes por EVC hemorrágico se producen en la fase aguda _____________. 30-35% fallecen en 30 días
Primeras 48 hrs
31
Clasificación EVC hemorrágico
Hemorragia cerebral (ventral o hiperparenquimatosa), H. subaracnoidea, H. primaria y H. secundaria
32
Fisiopatología EVC hemorrágico
1) Cambios degenerativos progresivos paredes arteriales por HTA 2) Microaneurismas en bifurcación vasos perforantes 3) Ruptura microaneurismas 4) Hemorragias --> desplazamiento tejido y destrucción parenquima 5) Edema perilesional (50 día) 6) Pérdida autorregulación cerebral y ruptura BHE
33
La clínica de EVC hemorrágico depende de localización y volumen de sangrado, puede producir signos y síntomas indistinguibles de otros evc como:
Cefalea grave, pérdida del estado de despierto, inicio brusco
34
GOLD STANDARD EVC Hemorrágico
TAC (blanco)
35
Causas EVC hemorrágico
Crisis hipertensivas (60%), ruptura aneurismas, angiomas cavernosos, uso drogas (coca, metanf), discrasias sanguíneas, terapia antioagulante, angiopatía amiloide, tumores cerebrales.
36
Factores riesgo EVC hemorrágico
HTA, DM y tabaquismo
37
Déficit motor contralateral a la lesión, hemianestesia, desviaciín conjugada de la mirada y deterioro del estado despierto
Putaminal (40-50%)
38
Hemorragia Putaminal
39
Hematemesis, disestesias, alt. mirada vrtical con desviación de la mirada hacia abajo y adentro. Hiporreflexia pupilar, miosis, deterioro del estado despierto
Talámicas 5-20%
40
Hemorragia talámica
41
10% px pueden tener crisis convulsivas
Lobares (20-50%)
42
Inicio súbito, cefalea, vómito, vpertigo, ataxia, nistagmus e hidrocefalia aguda
Cerebelosos (10%)
43
Trastornos focales de pares craneales, alt de movimientos oculares, coma, paro cardiorespiratorio, mortalidad 80% primeras 48 hrs
Pontinos (5-10%)
44
Extensiones de los hematomas talámico y putamen
Intraventriculares
45
Hemorragia intraventricular
46
Estudios complementarios evc hemorrágico
BH, QS, perfil coagulación, electrolitos séricos, pruebas de funcionamiento hepático y detecciones toxicológicas
47
Escala de 4 niveles para evaluar la hemorragia subaracnoidea no traumática. Su utilidad es predecir el riesgo de isquemia cerebral tardía producida por vasoespasmo tras hemorragia subaracnpidea espontánea.
Escala de Fisher
48
Fisher I
49
Según la escala de Fisher no hay evidencia de sangrado en cisternas ni ventrículos.
I
50
Según la escala de Fisher hay sangre difusa fina, con una capa <1 mm en cisternas mediada verticalmente
II
51
Fisher II
52
Según la escala de Fisher coagulo grueso cisternal >1mm en cisternas medio verticalmente
III
53
Fisher III
54
Fisher IV
55
Según la escala de Fisher hematoma intraparenquimatoso, hemorragia intraventricular +/- sangrado difuso
IV
56
Clasificación que consta de 6 niveles (evc hemorrágico)
Hunt y Hess
57
Según la Clasificación de Hunt y Hess se muestra asintomástico, leve cefalea o rigidez de nuca
I
58
Según la Clasificación de Hunt y Hess se sin compromiso de conciencia, estable, pero con déficit neurológico establecido
Ia
59
Según la Clasificación de Hunt y Hess se muestra cefalea moderada a severa, rigidez de nuca, compromiso de nervios craneales
II
60
Según la Clasificación de Hunt y Hess se muestra soporoso, confuso y con déficit focal leve
III
61
Según la Clasificación de Hunt y Hess se muestra sopor moderado a produndo, hemiparesia moderada a severa esbozo de rigidez de decerebración
IV
62
Según la Clasificación de Hunt y Hess se muestra coma profundo, rigidez de decerebración, aspecto moribundo
V
63
Tx EVC hemorrágico
1) ABCDE 2) Etología 3) Tx hipertensivos (TAS < 180mmHg) y crisis convulsivas en caso presente 4) Prevención de hipertensión endocraneana 5) Reversión de efectos de anticoagulantes en agudo (protamina/transfusión) 6) Valoración neuroquímica 7) Tx qx hipertensión intracraneana