What are the primary endocrine organs?
Party People Take Plenty of Adderall
What are the secondary endocrine organs?
Please Tell Olga’s Kids She Is Taking Heavy People Away
Which part of the brain is indicated by the arrow?

Hypothalamus
Which two hormones are produced by the hypothalamus?
ADH (Antidiuretic Hormone) & Oxytocin
**These are stored in the neurohypophysis and released at distant sites
Which part of the brain is indicated by the circle?

pituitary gland
What are the two major divisions of the pituitary gland?
adenohypophysis and neurohypophysis
The adenohypophysis arises from the ___________
The adenohypophysis arises from the oral ectoderm.
The neurohypophysis arises from the ___________.
The neurohypophysis arises from the neuroectoderm.
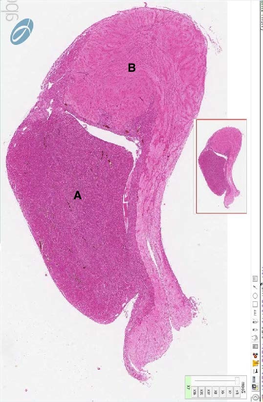
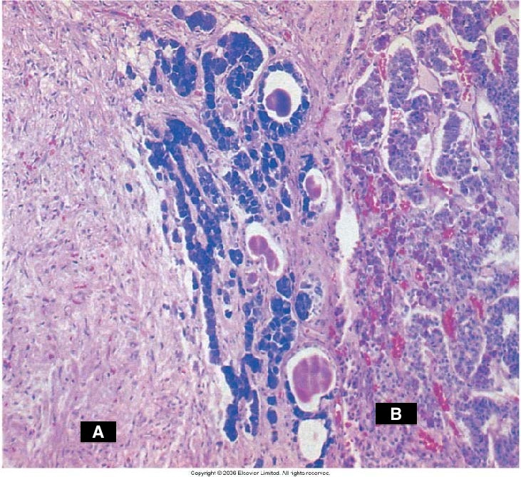
Identify B in this H&E cross section of a pituitary gland.

Posterior Pituitary (neurohypophysis)
Identify A in this H&E cross section of a pituitary gland.

Anterior Pituitary (adenohypophysis)
Name the 3 parts of the adenohypophysis.
Name the 3 parts of the neurohypophysis.
The cells of the Pars Distalis (in the adenohypophysis) require what stimulus from the hypothalamus?
The cells of the Pars Distalis (in the adenohypophysis) require a stimulus known as releasing hormone from the hypothalamus.
The pars intermedia secretes ________
The pars intermedia secretes Melanocyte-Stimulating Hormone (MSH)
The Pars tuberalis (wrapped around the indifibulum) secretes:
The Pars tuberalis (wrapped around the indifibulum) secretes ACTH (effect is to cause release of cortisol), FSH, and LH
Which cells in the pars distalis are acidophilic?
Somatotropes and Mammotropes.
(Thyrotropes & Gonadotropes are basophils)
Somatotropes in the Pars Distalis produce ___________.
Somatotropes in the Pars Distalis produce growth hormone
Mammotropes in the Pars Distalis produce ___________.
Mammotropes in the Pars Distalis produce prolactin.
Thyrotropes in the Pars Distalis produce ___________.
Thyrotropes in the Pars Distalis produce thyrotropin (TSH)
Gonadotropes in the Pars Distalis produce ___________.
Gonadotropes in the Pars Distalis produce follicle stimulating hormone (FSH) and Luteinizing Hormone (LH)
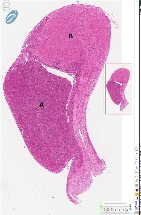
Which label represents the anterior pituitary in this H&E section of the pituitary gland? Which one represents the posterior pituitary?

A - posterior pituitary
B - anterior pituitary
Highly branched glial cells in the neurohypophysis are called _________
Highly branched glial cells in the neurohypophysis are called pituicytes.
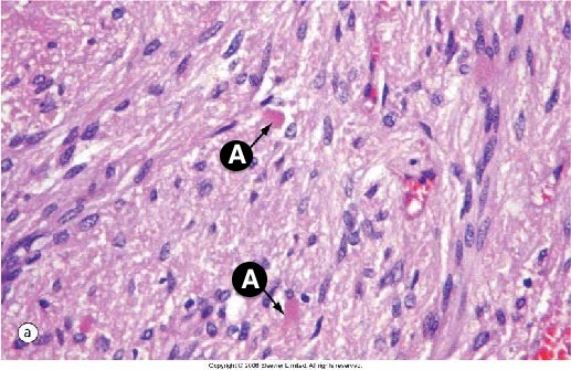
Identify the structures labeled ‘A’ in this H&E section of the Pars Nervosa.
These structures are the storage site for ____________.

Herring bodies. They are the storage site for ADH and Oxytocin
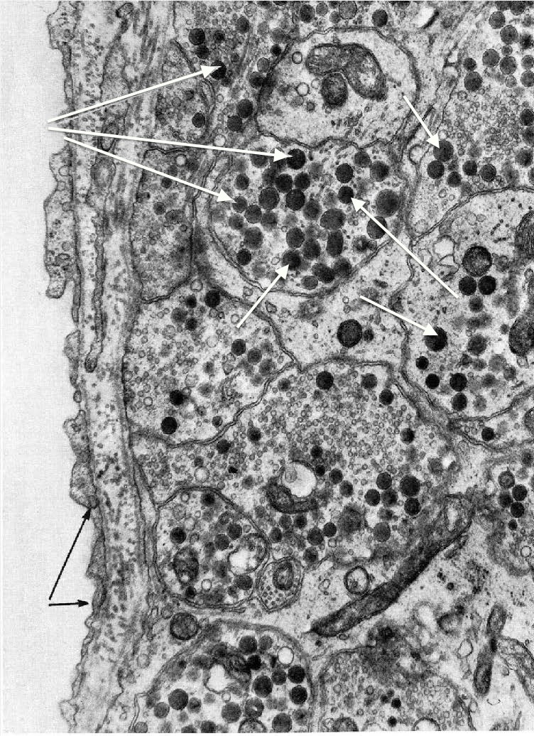
Label the structures indicated by the white arrows in this TEM section of the neurohypophysis

neurosecretory granules