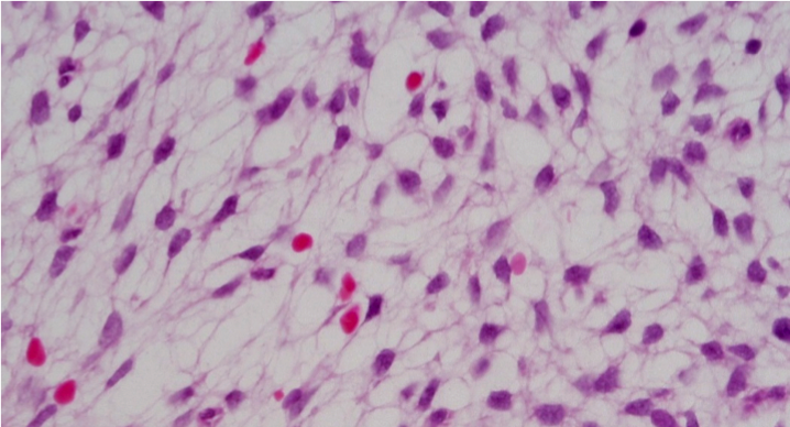
What type of cell is present here?

Mesenchymal cells
What organelle is the arrow pointing at and describe its activity

Nucleus, euchromatic
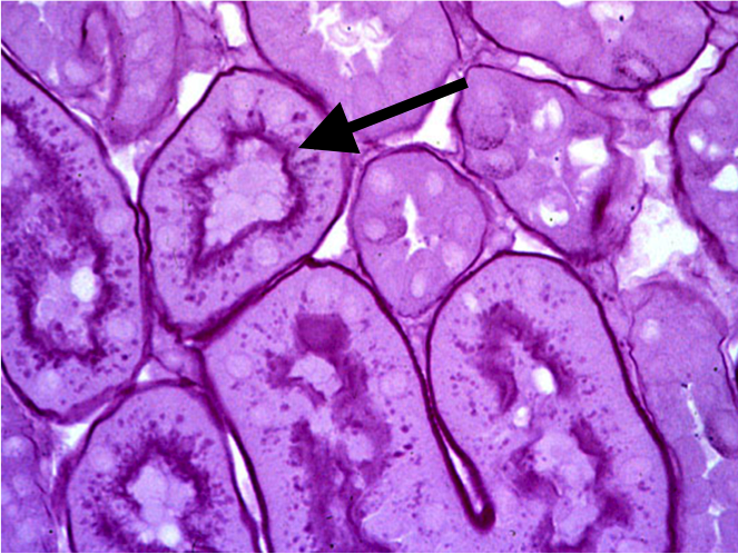
What structure(s) is the arrow pointing at?

microvilli, stained dark by PAS
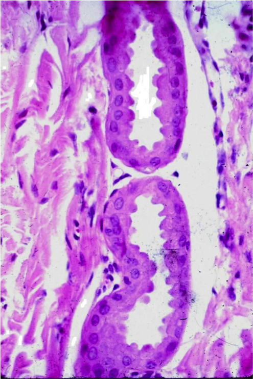
What mode of secretion is shown below?

Apocrine
Apocrine secretion typically has a bulging apex, resulting in some cytoplasmic loss during secretion
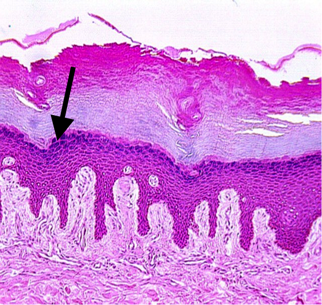
Identify the epidermal layer indicated by the arrow

Stratum Granulosum
Which receptor is responsible for deep pressure?
Pacinian corpscule

Identify the structure within the box.
(box…)

Meissner’s corpuscle
Identify the structure

Ruffini corpuscle
In muscles, what surrounds the fascicle?
Perimysium
Whole muscle surrounded by epimysium, muscle fiber surrounded by endomysium
What is a sarcomere?
Contractile unit of myocyte
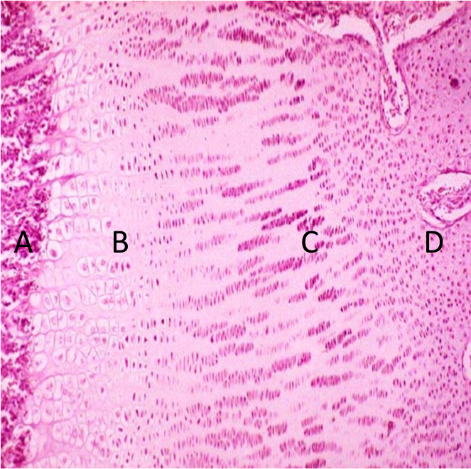
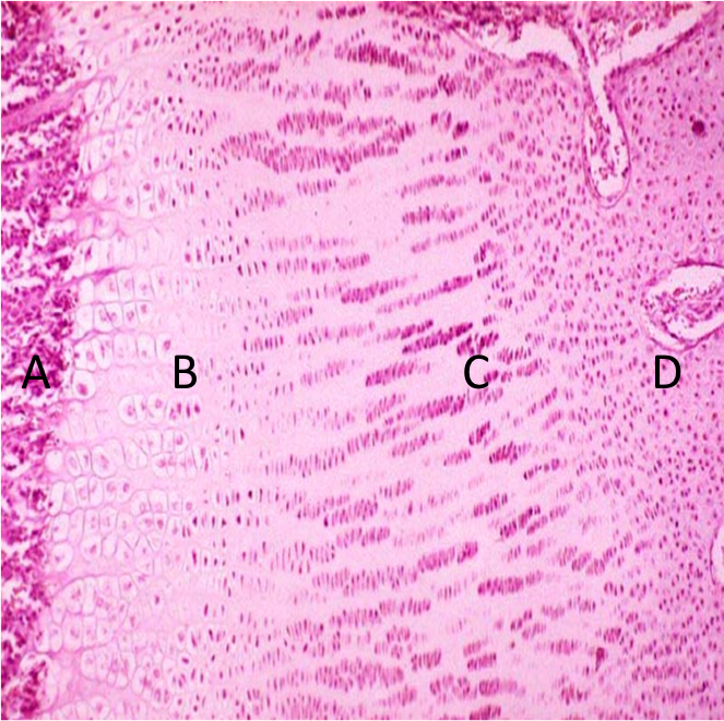
Which of the following zones corresponds to the zone of hypertrophy?

B

Which stage of the estrus cycle is this smear from?

Estrus
(no nuclei)
Which cells are responsible for the blood testis barrier?
Sertoli cells
Where is sperm stored?
(before ejactulation, you pervert)
tail of the epididymis
List the structures that contain endolymph
_C_rab _U_mbrellas _S_ound _S_illy
Identify the structure marked “2” and its associated hormones

Neurohypophysis; Oxytocin and ADH
Identify the region of the adrenal gland that produces aldosterone

Zona Glomerulosa

Where do B cells and NK cells mature?
Red bone marrow
What type of lymphocyte is found in the center of this secondary nodule?

B-cells are found at germinal centers of secondary/active nodules
Where are purkinje fibers found?
Endocardium
Identify the type of blood vessel

muscular artery
(Tunica interna of muscular arteries is distinct elastic layer)
Abnormal development of the truncus arteriosis would result in what fetal abnormality?
Transposition of the great vessels -> incompatible with life
What portion of GI is depicted?

Ileum
(Note the peyers patches)
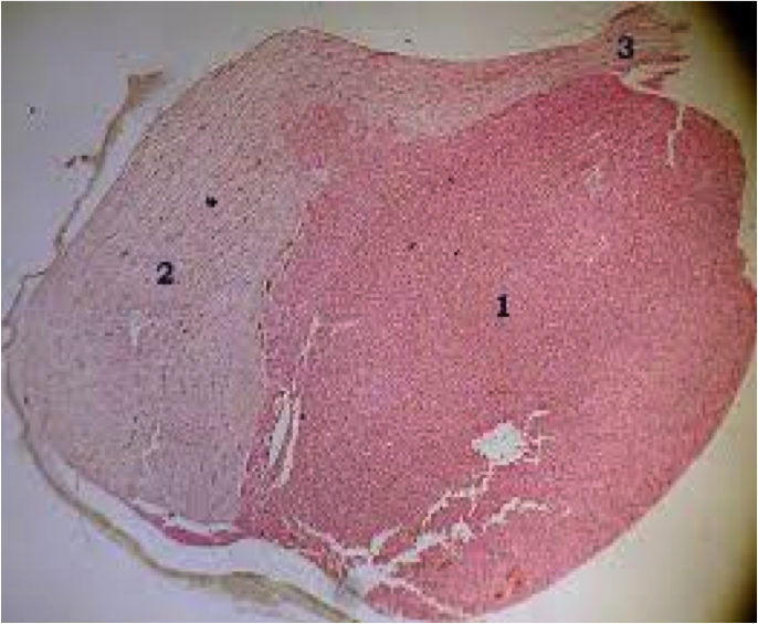
Hepatocytes closer to the central vein will be exposed to what type of environment?
(oxygen rich or oxygen poor)

oxygen poor