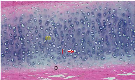
Growth Plate: Identify the zones

Identify the structure.

Growth Plate
What type of ossification is occuring here?

Intramembranous Ossification
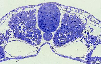
Identify the neural tube and the notochord in this H&E section of a chick embryo


Identify the structures.

Mesenchymal cells - stem cells of bone and cartilage
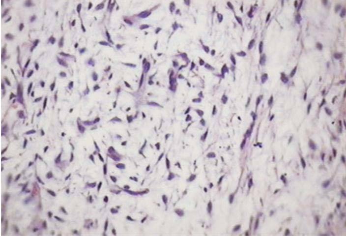
What are we looking at here?

Uncondensed mesenchymal cells
Identify the area where perichondrium is located


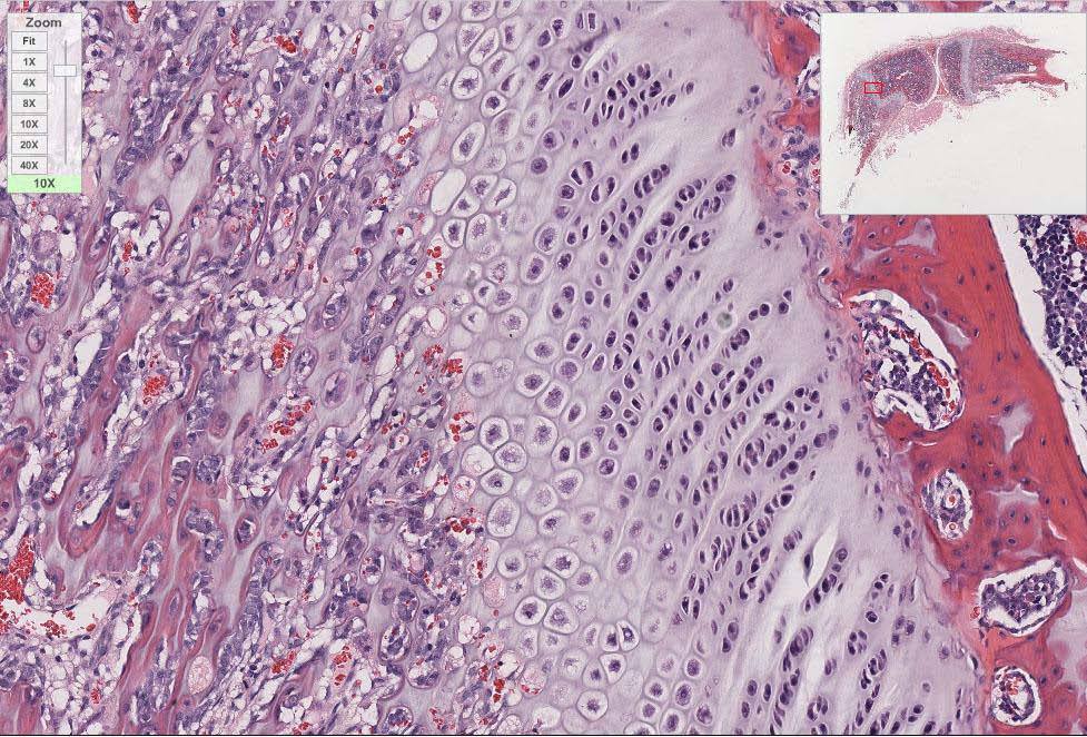
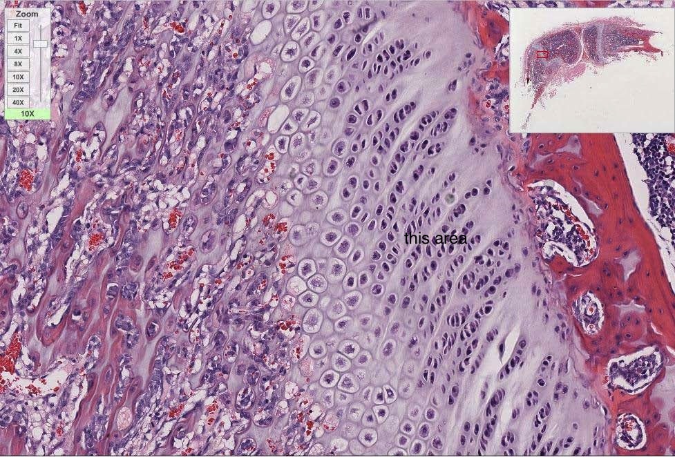
Identify the type of cartilage.

Hyaline
Identify the type of cartilage.

Elastic
Identify the type of cartilage.

Fibrocartilage
What are the arrows pointing to in this hemisected equine tarsus?

Articular hyaline cartilage - DOES NOT HAVE PERICHONDRIUM
Identify the zone of proliferation in this growth plate of hyaline cartilage.


Identify the type of cartilage.

Fibrocartilage
Identify the structures in fibrocartilage

Chondrocytes in lacunae
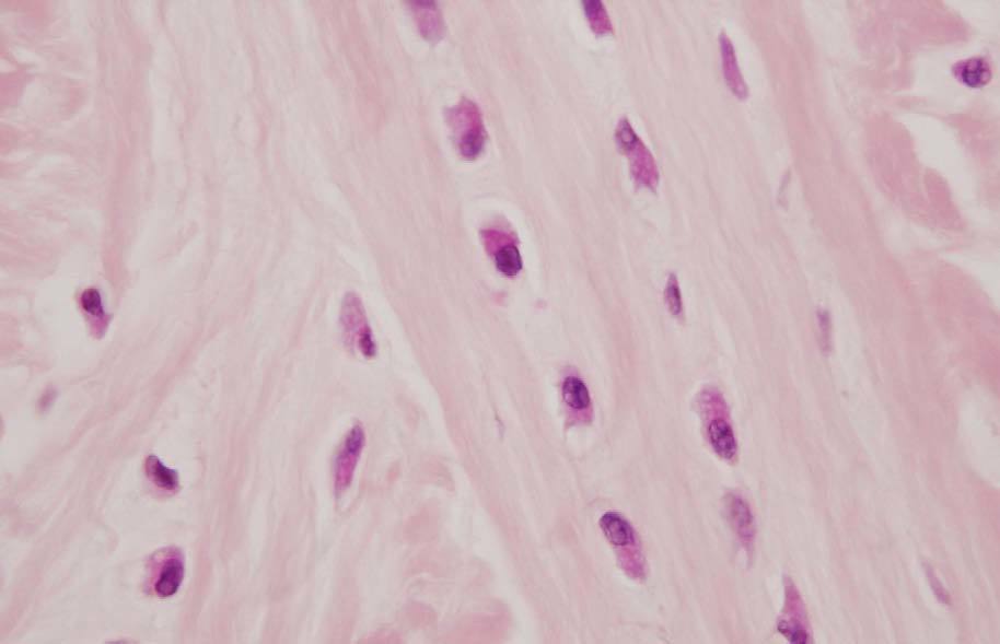
Identify the portion that is spongy bone


Identify the portion that is compact bone


Identify the osteoblasts in this woven bone


Identify the circled structure.

Osteocyte in lacuna
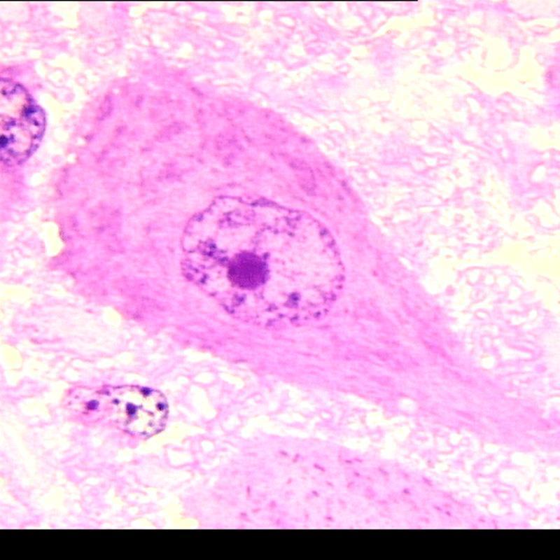
What are we looking at?

Neuron - see the cell body (parikaryon) containing nucleus, nucleolus, dendrites, and axon
What is this grainy basophilic substance?

Nissl substance - dark due to presence of RER and ribosomes
What is the pigment that the top arrow is pointing to?

lipofuscin
What type of neuron is this?

Pseudounipolar
What are we looking at here and what does it do?
Where is it located?

The golgi organ. It is a proprioceptive sensory receptor/senses stretching
It is located at the insertion of skeletal muscle fibers into the tendons
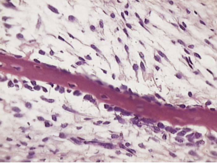
What is the name for this CNS counterpart of the fibroblast?

Astrocyte