Salivary glands empty their secretions into the ____________.
Buccal cavity
What are the major salivary glands?
parotid, sublingual and submandibular
Describe the general structure of the major salivary glands.
lobules containing secretory units, supportive connective tissue, blood vessels, nerves and excretory ducts

Identify this tissue:

salivary gland
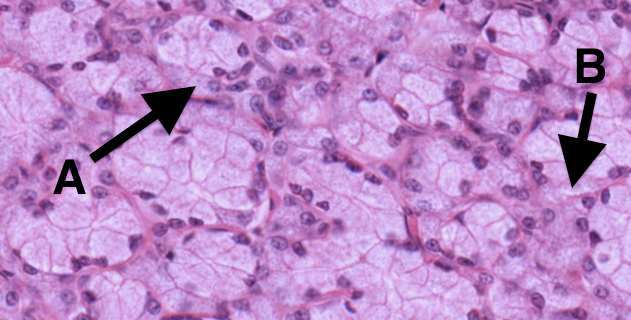
Identify the structure indicated by arrow ‘A’ in this H&E section of the salivary gland.

serous demilunes
Identify the structure indicated by arrow ‘B’ in this H&E section of the salivary gland.

mucous acini
In salivary glands, ____________ cells surround the secretory units and contract to expel saliva
In salivary glands, myoepithelial cells surround the secretory units and contract to expel saliva

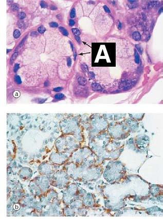
Identify the cells indicated by arrow ‘A’ in these sections of the salivary gland (These cells are also indicated by the brown staining in the bottom picture)
What is their function?

Myoepithelial cells surround the secretory units and contract to expel saliva
In the salivary gland, terminal secretory units merge to form small ____________ lined by secretory cells
In the salivary gland, terminal secretory units merge to form small intercalated ducts lined by secretory cells

In the salivary gland, intercalated ducts drain into larger ducts called ____________ lined by tall columnar cells
In the salivary gland, intercalated ducts drain into larger ducts called striated ducts lined by tall columnar cells

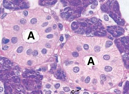
Identify ‘A’ in this H&E section of the salivary gland, lined by tall columnar cells

striated ducts
What are we looking at here?

submandibular gland
The ________ is the largest visceral organ.
The liver is the largest visceral organ.
The liver makes up about ___% of body weight in carnivores.
The liver makes up about 3-4% of body weight in carnivores.
The liver makes up about ___% of body weight in herbivores
The liver makes up about 1% of body weight in herbivores
The liver makes up about ___% of body weight in omnivores.
The liver makes up about 2% of body weight in omnivores.
Which type of cell is most prominent in the liver?
hepatocytes

____________ are responsible for immune and regenerative response in the liver
Kupffer cells
**Kupffer cells probably will not be seen under H&E

____________ produce and maintain the extracellular matrix and store vitamin A
Hepatic stellate cells

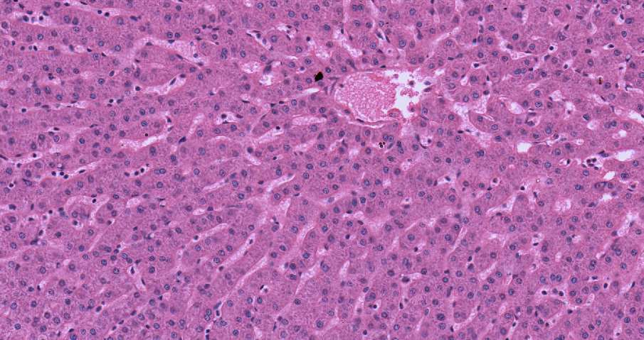
What is the most prominent cell type in this H&E section of the liver?

hepatocytes
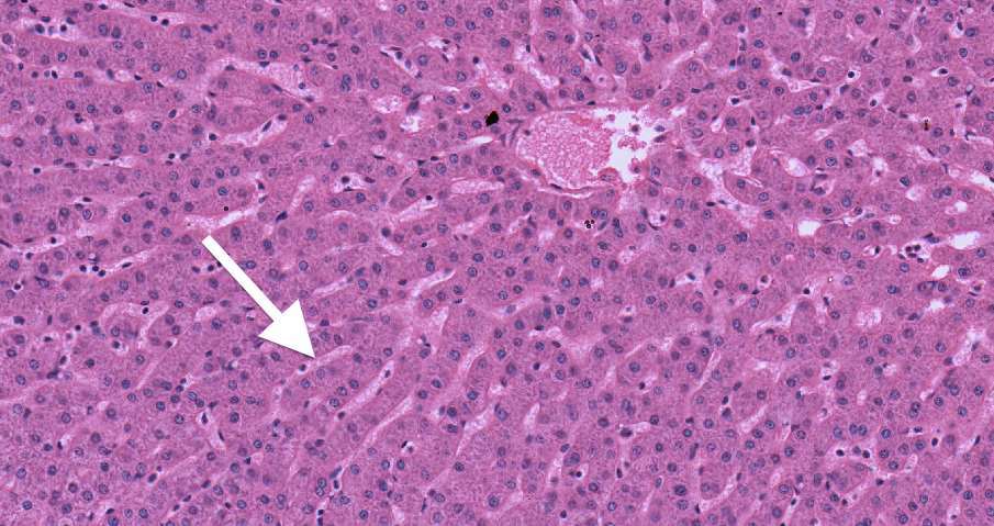
Identify the lightly colored spaces indicated by the white arrow in this H&E section of the liver.

sinusoids
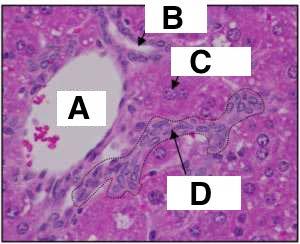
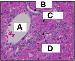
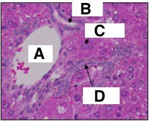
Identify ‘A’ in this H&E section of the liver.

blood vessel
Identify ‘B’ in this H&E section of the liver.

bile duct
Identify ‘C’ in this H&E section of the liver.

hepatocyte